1. GPCR/G Protein
  2. GCGR
  3. Adomeglivant

Adomeglivant  (Synonyms: 阿度格列凡; LY2409021)

目录号: HY-19904 纯度: 99.63%
COA 产品使用指南 技术支持

Adomeglivant (LY2409021) 是一种有效的选择性胰高血糖素受体 (GluR) 变构拮抗剂。Adomeglivant 广泛应用于 2 型糖尿病的研究。

MCE 的所有产品仅用作科学研究或药证申报,我们不为任何个人用途提供产品和服务

Adomeglivant

Adomeglivant Chemical Structure

CAS No. : 1488363-78-5

1.  客户无需承担相应的运输费用。

2.  同一机构(单位)同一产品试用装仅限申领一次,同一机构(单位)一年内

     可免费申领三个不同产品的试用装。

3.  试用装只面向终端客户

规格 价格 是否有货 数量
10 mM * 1 mL in DMSO ¥1100
In-stock
2 mg ¥600
In-stock
5 mg ¥900
In-stock
10 mg ¥1500
In-stock
25 mg ¥2500
In-stock
50 mg ¥4500
In-stock
100 mg 现货 询价
200 mg   询价  
500 mg   询价  

* Please select Quantity before adding items.

Customer Review

Other Forms of Adomeglivant:

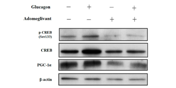
    Adomeglivant purchased from MCE. Usage Cited in: Cells. 2023 Apr 6;12(7):1098.

    Adomeglivant (50 μM; 24 h) significantly reduces the expression of PGC-1α in hepatocytes.
    • 生物活性

    • 纯度 & 产品资料

    • 参考文献

    生物活性

    Adomeglivant (LY2409021) is a potent, selective glucagon receptor (GluR) allosteric antagonist. Adomeglivant is widely used in the research for type 2 diabetes mellitus[1][2][3].

    IC50 & Target

    GluR[1][2]

    体外研究
    (In Vitro)

    Adomeglivant 剂量依赖性地阻断胰高血糖素诱导的 HEK293-GluR 细胞中 cAMP 水平升高[2]
    Adomeglivant 不能阻断腺苷的 cAMP 升高作用[2]
    Adomeglivant 对 B 族 GPCR 表现出高选择性,并与 GluR、GLP-1R 和 GIP-R 中的保守结合基序特异性相互作用[2]

    MCE has not independently confirmed the accuracy of these methods. They are for reference only.

    体内研究
    (In Vivo)

    Adomeglivant (5 mg/kg;ip) 在 Avpires-Cre+ 小鼠中完全消除 CNO (氯氮平-N-氧化物) 的高血糖作用。(CNO 是一种特异性的药理学惰性激动剂,可用于 hM3Dq 诱导的膜去极化并增加表达 hM3Dq 的精氨酸加压素 (AVP) 神经元的放电率)[3]

    MCE has not independently confirmed the accuracy of these methods. They are for reference only.

    Animal Model: Avpires-Cre+ mice[3]
    Dosage: 5 mg/kg
    Administration: Intraperitoneal injection, 30 minutes prior to CNO
    Result: Completely abolished the hyperglycaemic action of CNO.
    Clinical Trial
    分子量

    555.63

    Formula

    C32H36F3NO4

    CAS 号
    性状

    固体

    颜色

    White to off-white

    中文名称

    阿度格列凡

    运输条件

    Room temperature in continental US; may vary elsewhere.

    储存方式
    Powder -20°C 3 years
    4°C 2 years
    In solvent -80°C 2 years
    -20°C 1 year
    溶解性数据
    细胞实验: 

    DMSO 中的溶解度 : ≥ 100 mg/mL (179.98 mM; 吸湿的 DMSO 对产品的溶解度有显著影响,请使用新开封的 DMSO)

    * "≥" means soluble, but saturation unknown.

    配制储备液
    浓度 溶剂体积 质量 1 mg 5 mg 10 mg
    1 mM 1.7998 mL 8.9988 mL 17.9976 mL
    5 mM 0.3600 mL 1.7998 mL 3.5995 mL
    查看完整储备液配制表

    * 请根据产品在不同溶剂中的溶解度选择合适的溶剂配制储备液;一旦配成溶液,请分装保存,避免反复冻融造成的产品失效
    储备液的保存方式和期限:-80°C, 2 years; -20°C, 1 year。-80°C储存时,请在2年内使用, -20°C储存时,请在1年内使用。

    • 摩尔计算器

    • 稀释计算器

    Mass (g) = Concentration (mol/L) × Volume (L) × Molecular Weight (g/mol)

    质量
    =
    浓度
    ×
    体积
    ×
    分子量 *

    Concentration (start) × Volume (start) = Concentration (final) × Volume (final)

    This equation is commonly abbreviated as: C1V1 = C2V2

    浓度 (start)

    C1

    ×
    体积 (start)

    V1

    =
    浓度 (final)

    C2

    ×
    体积 (final)

    V2

    动物实验:

    请根据您的 实验动物和给药方式 选择适当的溶解方案。

    以下溶解方案都请先按照 In Vitro 方式配制澄清的储备液,再依次添加助溶剂:
    ——为保证实验结果的可靠性,澄清的储备液可以根据储存条件,适当保存;体内实验的工作液,建议您现用现配,当天使用
    以下溶剂前显示的百分比是指该溶剂在您配制终溶液中的体积占比;如在配制过程中出现沉淀、析出现象,可以通过加热和/或超声的方式助溶

    • 方案 一

      请依序添加每种溶剂: 10% DMSO    40% PEG300    5% Tween-80    45% Saline

      Solubility: ≥ 2.5 mg/mL (4.50 mM); 澄清溶液

      此方案可获得 ≥ 2.5 mg/mL(饱和度未知)的澄清溶液。

      1 mL 工作液为例,取 100 μL 25.0 mg/mL 的澄清 DMSO 储备液加到 400 μL PEG300 中,混合均匀;再向上述体系中加入 50 μL Tween-80,混合均匀;然后再继续加入 450 μL 生理盐水 定容至 1 mL

      生理盐水的配制:将 0.9 g 氯化钠,溶解于 ddH₂O 并定容至 100 mL,可以得到澄清透明的生理盐水溶液。
    • 方案 二

      请依序添加每种溶剂: 10% DMSO    90% (20% SBE-β-CD in Saline)

      Solubility: 2.5 mg/mL (4.50 mM); 悬浊液; 超声助溶

      此方案可获得 2.5 mg/mL的均匀悬浊液,悬浊液可用于口服和腹腔注射。

      1 mL 工作液为例,取 100 μL 25.0 mg/mL 的澄清 DMSO 储备液加到 900 μL 20% 的 SBE-β-CD 生理盐水水溶液 中,混合均匀。

      2 g SBE-β-CD(磺丁基醚 β-环糊精)粉末定容于 10 mL 的生理盐水中,完全溶解至澄清透明。
    动物溶解方案计算器
    请输入动物实验的基本信息:

    给药剂量

    mg/kg

    动物的平均体重

    g

    每只动物的给药体积

    μL

    动物数量

    由于实验过程有损耗,建议您多配一只动物的量
    请输入您的动物体内配方组成:
    %
    DMSO +
    +
    %
    Tween-80 +
    %
    Saline
    如果您的动物是免疫缺陷鼠或者体弱鼠,建议 DMSO 中的在最后工作液体系中的占比尽量不超过 2%。
    方案所需 助溶剂 包括:DMSO ,均可在 MCE 网站选购。 Tween 80,均可在 MCE 网站选购。
    计算结果
    工作液所需浓度 : mg/mL
    储备液配制方法 : mg 药物溶于 μL  DMSO(母液浓度为 mg/mL)。
    您所需的储备液浓度超过该产品的实测溶解度,以下方案仅供参考,如有需要,请与 MCE 中国技术支持联系。
    动物实验体内工作液的配制方法 : 取 μL DMSO 储备液,加入 μL  μL ,混合均匀至澄清,再加 μL Tween 80,混合均匀至澄清,再加 μL 生理盐水
    连续给药周期超过半月以上,请谨慎选择该方案。
    请确保第一步储备液溶解至澄清状态,从左到右依次添加助溶剂。您可采用超声加热 (超声清洗仪,建议频次 20-40 kHz),涡旋吹打等方式辅助溶解。
    纯度 & 产品资料

    纯度: 99.63%

    参考文献

    Adomeglivant 相关分类

    完整储备液配制表

    * 请根据产品在不同溶剂中的溶解度选择合适的溶剂配制储备液;一旦配成溶液,请分装保存,避免反复冻融造成的产品失效
    储备液的保存方式和期限:-80°C, 2 years; -20°C, 1 year。-80°C储存时,请在2年内使用, -20°C储存时,请在1年内使用。

    可选溶剂 浓度 溶剂体积 质量 1 mg 5 mg 10 mg 25 mg
    DMSO 1 mM 1.7998 mL 8.9988 mL 17.9976 mL 44.9940 mL
    5 mM 0.3600 mL 1.7998 mL 3.5995 mL 8.9988 mL
    10 mM 0.1800 mL 0.8999 mL 1.7998 mL 4.4994 mL
    15 mM 0.1200 mL 0.5999 mL 1.1998 mL 2.9996 mL
    20 mM 0.0900 mL 0.4499 mL 0.8999 mL 2.2497 mL
    25 mM 0.0720 mL 0.3600 mL 0.7199 mL 1.7998 mL
    30 mM 0.0600 mL 0.3000 mL 0.5999 mL 1.4998 mL
    40 mM 0.0450 mL 0.2250 mL 0.4499 mL 1.1248 mL
    50 mM 0.0360 mL 0.1800 mL 0.3600 mL 0.8999 mL
    60 mM 0.0300 mL 0.1500 mL 0.3000 mL 0.7499 mL
    80 mM 0.0225 mL 0.1125 mL 0.2250 mL 0.5624 mL
    100 mM 0.0180 mL 0.0900 mL 0.1800 mL 0.4499 mL
    Help & FAQs
    • Do most proteins show cross-species activity?

      Species cross-reactivity must be investigated individually for each product. Many human cytokines will produce a nice response in mouse cell lines, and many mouse proteins will show activity on human cells. Other proteins may have a lower specific activity when used in the opposite species.

    您最近查看的产品:

    Your information is safe with us. * Required Fields.

       产品名称:

     

    * 需求量:

    * 客户姓名:

     

    * Email:

    * 电话:

     

    * 公司或机构名称:

       留言给我们:

    Bulk Inquiry

    Inquiry Information

    产品名称:
    Adomeglivant
    目录号:
    HY-19904
    需求量: