1. Apoptosis
  2. IAP
  3. BV6

BV6 是cIAP1XIAP拮抗剂。

MCE 的所有产品仅用作科学研究或药证申报,我们不为任何个人用途提供产品和服务

BV6

BV6 Chemical Structure

CAS No. : 1001600-56-1

1.  客户无需承担相应的运输费用。

2.  同一机构(单位)同一产品试用装仅限申领一次,同一机构(单位)一年内

     可免费申领三个不同产品的试用装。

3.  试用装只面向终端客户

规格 价格 是否有货 数量
10 mM * 1 mL in DMSO ¥1915
In-stock
1 mg ¥453
In-stock
2 mg ¥621
In-stock
5 mg ¥836
In-stock
10 mg ¥1444
In-stock
50 mg ¥4288
In-stock
100 mg 现货 询价
200 mg   询价  
500 mg   询价  

* Please select Quantity before adding items.

Customer Review

    BV6 purchased from MCE. Usage Cited in: Nat Commun. 2018 Mar 19;9(1):1136.   [Abstract]

    Western Blot analysis of p52, p100, NIK, c-IAP2, Peli1, and HSP60 in total lysis of control and Peli1-knockdown M12 cells that pretreated with DMSO or smac mimetic BV6 for 4 h, and then stimulated with BAFF at the indicated time points.

    BV6 purchased from MCE. Usage Cited in: Nat Commun. 2018 Mar 19;9(1):1136.   [Abstract]

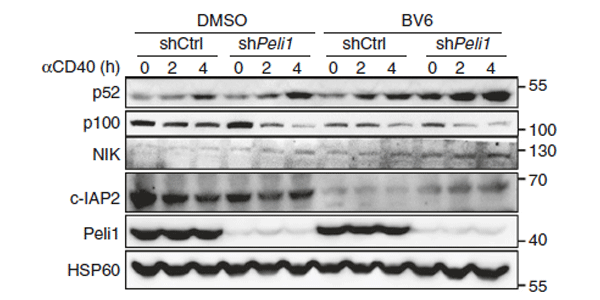
    Western Blot analysis of p52, p100, NIK, c-IAP2, Peli1, and HSP60 in total lysis of control and Peli1-knockdown M12 cells that pretreated with DMSO or smac mimetic BV6 for 4 h, and then stimulated with anti-CD40 (αCD40) at the indicated time points.

    BV6 purchased from MCE. Usage Cited in: Nat Commun. 2018 Mar 19;9(1):1136.   [Abstract]

    Analysis of Lys48 ubiquitination of NIK in control and Peli1-knockdown M12 cells that pretreated with DMSO or smac mimetic BV6 for 4 h, then left unstimulated or stimulated with anti-CD40 (αCD40) for 4 h in the presence of MG132.

    查看 IAP 亚型特异性产品:

    • 生物活性

    • 实验参考方法

    • 纯度 & 产品资料

    • 参考文献

    生物活性

    BV6 is an antagonist of cIAP1 and XIAP, members of the inhibitors of apoptosis (IAP) family.

    IC50 & Target

    IAP[1]

    体外研究
    (In Vitro)

    在 MTS 测定中,HCC193 的 IC50 为 7.2 μM,而 H460 细胞即使使用 30 μM BV6 处理也不会降低至 50% 的存活率。向 HCC193 细胞施用 1 μM BV6 会在处理后 1 小时内诱导 cIAP1 水平完全耗尽,而 XIAP 水平的下降直到添加药物后 24 小时才会出现。同样,在 H460 细胞中,5 μM BV6 会在 1 小时内完全耗尽 cIAP1,并在 24 小时内开始降低 XIAP。同时发现,在两种细胞系中,cIAP1 水平在小剂量 0.25 μM BV6 后都会下降,而 5μM BV6 下仍存在微量 XIAP。 HCC193 细胞在与 1μM BV6 孵育 12 小时后开始出现明显的裂解 caspase-3 水平,并且在 48 小时内,裂解 caspase-3 水平以时间依赖性方式持续增加。用 1 μM BV6 处理 HCC193 细胞 24 小时会导致 HCC193 细胞的存活曲线相对于 DMSO 处理的细胞发生显著偏移,DER=1.38 (p<0.05)[1]。BV6(2 和 5 μM)显著抑制异位和正常(无病和肌瘤)ESC 中的 BrdU 掺入。用 5 μM BV6 处理后,两组的 BrdU 掺入均减少了约 30%[2]

    MCE has not independently confirmed the accuracy of these methods. They are for reference only.

    体内研究
    (In Vivo)

    小鼠 cIAP-1、cIAP-2 和 XIAP 在植入物的上皮细胞和基质细胞的细胞质中均清晰可见表达,而Survivin主要在细胞核中表达。BV6 治疗 4 周后,IAP 的表达强度减弱。病灶大小约为 2 至 7 毫米,直径范围为囊肿的单层上皮细胞内壁。免疫组化染色显示,细胞角蛋白和波形蛋白呈阳性,而钙网膜蛋白呈阴性。BV6 治疗 4 周后,病灶总数(4.6 vs 2.8/只小鼠)、平均重量(78.1 vs 32.0 mg/只小鼠)和表面积(44.5 vs 24.6 mm2/只小鼠)均显著小于对照组。在子宫内膜腺上皮或基质中,BV6 治疗后 Ki67 阳性细胞的百分比降低[2]

    MCE has not independently confirmed the accuracy of these methods. They are for reference only.

    分子量

    1205.57

    Formula

    C70H96N10O8

    CAS 号
    性状

    固体

    颜色

    White to off-white

    运输条件

    Room temperature in continental US; may vary elsewhere.

    储存方式
    Powder -20°C 3 years
    4°C 2 years
    In solvent -80°C 2 years
    -20°C 1 year
    溶解性数据
    细胞实验: 

    DMSO 中的溶解度 : ≥ 100 mg/mL (82.95 mM; 吸湿的 DMSO 对产品的溶解度有显著影响,请使用新开封的 DMSO)

    * "≥" means soluble, but saturation unknown.

    配制储备液
    浓度 溶剂体积 质量 1 mg 5 mg 10 mg
    1 mM 0.8295 mL 4.1474 mL 8.2948 mL
    5 mM 0.1659 mL 0.8295 mL 1.6590 mL
    查看完整储备液配制表

    * 请根据产品在不同溶剂中的溶解度选择合适的溶剂配制储备液;一旦配成溶液,请分装保存,避免反复冻融造成的产品失效
    储备液的保存方式和期限:-80°C, 2 years; -20°C, 1 year。-80°C储存时,请在2年内使用, -20°C储存时,请在1年内使用。

    • 摩尔计算器

    • 稀释计算器

    Mass (g) = Concentration (mol/L) × Volume (L) × Molecular Weight (g/mol)

    质量
    =
    浓度
    ×
    体积
    ×
    分子量 *

    Concentration (start) × Volume (start) = Concentration (final) × Volume (final)

    This equation is commonly abbreviated as: C1V1 = C2V2

    浓度 (start)

    C1

    ×
    体积 (start)

    V1

    =
    浓度 (final)

    C2

    ×
    体积 (final)

    V2

    动物实验:

    请根据您的 实验动物和给药方式 选择适当的溶解方案。

    以下溶解方案都请先按照 In Vitro 方式配制澄清的储备液,再依次添加助溶剂:
    ——为保证实验结果的可靠性,澄清的储备液可以根据储存条件,适当保存;体内实验的工作液,建议您现用现配,当天使用
    以下溶剂前显示的百分比是指该溶剂在您配制终溶液中的体积占比;如在配制过程中出现沉淀、析出现象,可以通过加热和/或超声的方式助溶

    • 方案 一

      请依序添加每种溶剂: 10% DMSO    40% PEG300    5% Tween-80    45% Saline

      Solubility: ≥ 2.5 mg/mL (2.07 mM); 澄清溶液

      此方案可获得 ≥ 2.5 mg/mL(饱和度未知)的澄清溶液。

      1 mL 工作液为例,取 100 μL 25.0 mg/mL 的澄清 DMSO 储备液加到 400 μL PEG300 中,混合均匀;再向上述体系中加入 50 μL Tween-80,混合均匀;然后再继续加入 450 μL 生理盐水 定容至 1 mL

      生理盐水的配制:将 0.9 g 氯化钠,溶解于 ddH₂O 并定容至 100 mL,可以得到澄清透明的生理盐水溶液。
    • 方案 二

      请依序添加每种溶剂: 10% DMSO    90% (20% SBE-β-CD in Saline)

      Solubility: ≥ 2.5 mg/mL (2.07 mM); 澄清溶液

      此方案可获得 ≥ 2.5 mg/mL(饱和度未知)的澄清溶液。

      1 mL 工作液为例,取 100 μL 25.0 mg/mL 的澄清 DMSO 储备液加到 900 μL 20% 的 SBE-β-CD 生理盐水水溶液 中,混合均匀。

      2 g SBE-β-CD(磺丁基醚 β-环糊精)粉末定容于 10 mL 的生理盐水中,完全溶解至澄清透明。
    动物溶解方案计算器
    请输入动物实验的基本信息:

    给药剂量

    mg/kg

    动物的平均体重

    g

    每只动物的给药体积

    μL

    动物数量

    由于实验过程有损耗,建议您多配一只动物的量
    请输入您的动物体内配方组成:
    %
    DMSO +
    +
    %
    Tween-80 +
    %
    Saline
    如果您的动物是免疫缺陷鼠或者体弱鼠,建议 DMSO 中的在最后工作液体系中的占比尽量不超过 2%。
    方案所需 助溶剂 包括:DMSO ,均可在 MCE 网站选购。 Tween 80,均可在 MCE 网站选购。
    计算结果
    工作液所需浓度 : mg/mL
    储备液配制方法 : mg 药物溶于 μL  DMSO(母液浓度为 mg/mL)。
    您所需的储备液浓度超过该产品的实测溶解度,以下方案仅供参考,如有需要,请与 MCE 中国技术支持联系。
    动物实验体内工作液的配制方法 : 取 μL DMSO 储备液,加入 μL  μL ,混合均匀至澄清,再加 μL Tween 80,混合均匀至澄清,再加 μL 生理盐水
    连续给药周期超过半月以上,请谨慎选择该方案。
    请确保第一步储备液溶解至澄清状态,从左到右依次添加助溶剂。您可采用超声加热 (超声清洗仪,建议频次 20-40 kHz),涡旋吹打等方式辅助溶解。
    纯度 & 产品资料

    纯度: 99.90%

    参考文献
    Cell Assay
    [1]

    H460 and HCC193 cell lines are cultured in RPMI-1640 supplemented with 10% fetal bovine serum and 1% penicillin/streptomycin. Cell viability is measured using the CellTiter 96 Aqueous Non-Radioactive Cell Proliferation Assay kit. 5000 cells/well are seeded into 96-well plates in triplicate. Following adhesion of cells to the wells, increasing concentrations of BV6 are added into different wells. Control groups are exposed to the same concentration of DMSO. The final concentrations of 333 μg/mL MTS and 25 μM PMS are added to each well 24 hours later. After two hours incubation at 37°C in humidified 5% CO2, plates are read at the absorbance of 490 nm on a microplate reader. Relative cell viability of an individual sample is calculated by normalizing their absorbance to that of the corresponding control. IC50 values are calculated using Prism 5.01. For the TNFα neutralizing antibody assay, cells are exposed to 1 and 5 μM BV6 with or without 10 μg/mL Infliximab and the assay is performed 24 hours later. Plates are read at the absorbance of 490 nm on a microplate reader[1].

    MCE has not independently confirmed the accuracy of these methods. They are for reference only.

    Animal Administration
    [2]

    Mice[2]
    Female mice (6 weeks of age, BALB/c) are used. All 24 mice are ovariectomized through a 1 cm longitudinal skin incision then injected s.c. with estradiol valerate (0.5 µg/mouse/week) once per week for 6 weeks until the experimental endometriosis induction. Two weeks after ovariectomy, the uteri of an additional eight donor mice (n=8) are removed en bloc after euthanasia and cleaned of excess tissue in sterile saline. Each uterus is cut to include the uterine horns in each half with a linear incision longitudinally and minced (0.5 mm in diameter) with dissecting scissors. The ovariectomized recipient mice (n=16) are anesthetized using pentobarbital sodium. A 0.5 cm subabdominal midline incision is made. Each recipient receives half of the donor uterus (1:2 donor uterus to host ratio) minced and added to 500 µl saline, and injected into the peritoneal cavity, and the peritoneum is sutured. Injected uterine tissue weighed ~50 mg per mouse. For the next 4 weeks, recipient mice are treated with a single i.p. injection of BV6 (n=8; 10 mg/kg) or vehicle (n=8; 1% DMSO) twice weekly.

    MCE has not independently confirmed the accuracy of these methods. They are for reference only.

    参考文献

    完整储备液配制表

    * 请根据产品在不同溶剂中的溶解度选择合适的溶剂配制储备液;一旦配成溶液,请分装保存,避免反复冻融造成的产品失效
    储备液的保存方式和期限:-80°C, 2 years; -20°C, 1 year。-80°C储存时,请在2年内使用, -20°C储存时,请在1年内使用。

    可选溶剂 浓度 溶剂体积 质量 1 mg 5 mg 10 mg 25 mg
    DMSO 1 mM 0.8295 mL 4.1474 mL 8.2948 mL 20.7371 mL
    5 mM 0.1659 mL 0.8295 mL 1.6590 mL 4.1474 mL
    10 mM 0.0829 mL 0.4147 mL 0.8295 mL 2.0737 mL
    15 mM 0.0553 mL 0.2765 mL 0.5530 mL 1.3825 mL
    20 mM 0.0415 mL 0.2074 mL 0.4147 mL 1.0369 mL
    25 mM 0.0332 mL 0.1659 mL 0.3318 mL 0.8295 mL
    30 mM 0.0276 mL 0.1382 mL 0.2765 mL 0.6912 mL
    40 mM 0.0207 mL 0.1037 mL 0.2074 mL 0.5184 mL
    50 mM 0.0166 mL 0.0829 mL 0.1659 mL 0.4147 mL
    60 mM 0.0138 mL 0.0691 mL 0.1382 mL 0.3456 mL
    80 mM 0.0104 mL 0.0518 mL 0.1037 mL 0.2592 mL
    Help & FAQs
    • Do most proteins show cross-species activity?

      Species cross-reactivity must be investigated individually for each product. Many human cytokines will produce a nice response in mouse cell lines, and many mouse proteins will show activity on human cells. Other proteins may have a lower specific activity when used in the opposite species.

    您最近查看的产品:

    Your information is safe with us. * Required Fields.

       产品名称:

     

    * 需求量:

    * 客户姓名:

     

    * Email:

    * 电话:

     

    * 公司或机构名称:

       留言给我们:

    Bulk Inquiry

    Inquiry Information

    产品名称:
    BV6
    目录号:
    HY-16701
    需求量: