1. Metabolic Enzyme/Protease Vitamin D Related/Nuclear Receptor Autophagy
  2. RAR/RXR Autophagy
  3. Bexarotene

Bexarotene  (Synonyms: 贝沙罗汀; LGD1069)

目录号: HY-14171 纯度: 99.92%
COA 产品使用指南 技术支持

Bexarotene (LGD1069) 是一种高亲和力的选择性类视黄醇 X 受体 (RXR) 激动剂,对 RXRαRXRβRXRγEC50 分别为 33、24、25 nM。Bexarotene 对 RAR 受体的亲和力有限 (EC50 >10000 nM)。Bexarotene 可用于皮肤 T 细胞淋巴瘤的研究。

MCE 的所有产品仅用作科学研究或药证申报,我们不为任何个人用途提供产品和服务

Bexarotene

Bexarotene Chemical Structure

CAS No. : 153559-49-0

1.  客户无需承担相应的运输费用。

2.  同一机构(单位)同一产品试用装仅限申领一次,同一机构(单位)一年内

     可免费申领三个不同产品的试用装。

3.  试用装只面向终端客户

规格 价格 是否有货 数量
10 mM * 1 mL in DMSO ¥366
In-stock
10 mg ¥333
In-stock
25 mg ¥535
In-stock
50 mg ¥736
In-stock
100 mg ¥1056
In-stock
200 mg ¥1480
In-stock
500 mg ¥2963
In-stock
1 g   询价  
5 g   询价  

* Please select Quantity before adding items.

Customer Review

Other Forms of Bexarotene:

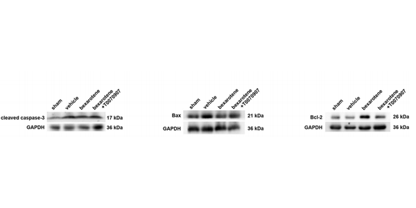
    Bexarotene purchased from MCE. Usage Cited in: Neurobiol Dis. 2018 Sep:117:114-124.  [Abstract]

    Bexarotene increases neuronal maintenance and inhibits cell apoptosis after controlled cortical impact (CCI). Representative Western blotting images of cleaved caspase-3, Bax and Bcl-2 in ipsilateral brain on the 14th day after CCI.

    Bexarotene purchased from MCE. Usage Cited in: Cell Physiol Biochem. 2016;40(5):1239-1251.  [Abstract]

    Arithmetic means±SEM (n=14) of erythrocyte annexin-V-binding following incubation for 48 hours to Ringer solution without (white bar) or with (black bars) bexarotene (0.2-0.6 µg/mL). For comparison, the effect of the solvent DMSO is shown (grey bar).

    查看 RAR/RXR 亚型特异性产品:

    • 生物活性

    • 纯度 & 产品资料

    • 参考文献

    生物活性

    Bexarotene (LGD1069) is a high-affinity and selective retinoid X receptors (RXR) agonist with EC50s of 33, 24, 25 nM for RXRα, RXRβ, and RXRγ, respectively. Bexarotene shows limited affinity for RAR receptors (EC50 >10000 nM)[1][2][3]. Bexarotene can be used for the research of cutaneous T-cell lymphoma.

    细胞效力
    (Cellular Effect)
    Cell Line Type Value Description References
    A2780 IC50
    26.5 μM
    Compound: Bexarotene
    Cytotoxicity against human A2780 cells assessed as reduction in cell viability incubated for 72 hrs by SRB assay
    Cytotoxicity against human A2780 cells assessed as reduction in cell viability incubated for 72 hrs by SRB assay
    [PMID: 32422522]
    A-375 IC50
    28.4 μM
    Compound: Bexarotene
    Cytotoxicity against human A375 cells assessed as reduction in cell viability incubated for 72 hrs by SRB assay
    Cytotoxicity against human A375 cells assessed as reduction in cell viability incubated for 72 hrs by SRB assay
    [PMID: 32422522]
    BT-549 EC50
    > 56 μM
    Compound: Bex
    Cytotoxicity against human BT549 cells assessed as reduction in cell viability by MTT assay
    Cytotoxicity against human BT549 cells assessed as reduction in cell viability by MTT assay
    [PMID: 29287960]
    Caco-2 EC50
    52 nM
    Compound: 1, Bexarotene
    Agonist activity at human recombinant Gal4-tagged RXRalpha expressed in human Caco-2 cells assessed as receptor homodimerization after 24 hrs by mammalian two hybrid assay
    Agonist activity at human recombinant Gal4-tagged RXRalpha expressed in human Caco-2 cells assessed as receptor homodimerization after 24 hrs by mammalian two hybrid assay
    [PMID: 19791803]
    COS-1 EC50
    20 nM
    Compound: Bexarotene
    Agonist activity at RXRalpha (unknown origin) expressed in COS1 cells incubated for 18 hrs by luciferase reporter gene assay
    Agonist activity at RXRalpha (unknown origin) expressed in COS1 cells incubated for 18 hrs by luciferase reporter gene assay
    [PMID: 25815156]
    COS-1 EC50
    20 nM
    Compound: 1, LGD1069
    Agonist activity at RXRalpha transfected in human COS1 cells after 18 hrs by luciferase reporter gene transactivation assay
    Agonist activity at RXRalpha transfected in human COS1 cells after 18 hrs by luciferase reporter gene transactivation assay
    [PMID: 24900241]
    CV-1 EC50
    0.04 μM
    Compound: 37, LGD1069
    Transactivation of Gal4-LBD fused mouse RXRalpha (218 to 467) transfected in african green monkey CV1 cells assessed as luciferase activity at after 6 hrs by Dual-light chemiluminescent assay
    Transactivation of Gal4-LBD fused mouse RXRalpha (218 to 467) transfected in african green monkey CV1 cells assessed as luciferase activity at after 6 hrs by Dual-light chemiluminescent assay
    [PMID: 19216008]
    DU-145 IC50
    61.6 μM
    Compound: bexarotene
    Cytotoxicity against human DU145 cells assessed as growth inhibition after 72 hrs by MTT assay
    Cytotoxicity against human DU145 cells assessed as growth inhibition after 72 hrs by MTT assay
    [PMID: 23707260]
    FaDu IC50
    29.8 μM
    Compound: Bexarotene
    Cytotoxicity against human FaDu cells assessed as reduction in cell viability incubated for 72 hrs by SRB assay
    Cytotoxicity against human FaDu cells assessed as reduction in cell viability incubated for 72 hrs by SRB assay
    [PMID: 32422522]
    HEK293 EC50
    149 nM
    Compound: bexarotene
    Transactivation of human RXRalpha transfected in human 293 cells after 48 hrs by dual-luciferase reporter gene assay
    Transactivation of human RXRalpha transfected in human 293 cells after 48 hrs by dual-luciferase reporter gene assay
    [PMID: 23707260]
    HEK293 EC50
    40 nM
    Compound: Targretin, Bexarotene
    Agonist activity at Gal4-fused human RXR-alpha expressed in HEK293 cells assessed as receptor-mediated transcriptional activity treated 24 hrs after transfection measured 48 hrs post-transfection by dual luciferase reporter assay
    Agonist activity at Gal4-fused human RXR-alpha expressed in HEK293 cells assessed as receptor-mediated transcriptional activity treated 24 hrs after transfection measured 48 hrs post-transfection by dual luciferase reporter assay
    [PMID: 24801499]
    HEK-293T EC50
    0.196 μM
    Compound: 18
    Partial agonist activity at recombinant human GAL4-DBD-fused LXRalpha-LBD expressed in HEK293T cells measured after 12 to 14 hrs by dual-glo luciferase reporter gene assay
    Partial agonist activity at recombinant human GAL4-DBD-fused LXRalpha-LBD expressed in HEK293T cells measured after 12 to 14 hrs by dual-glo luciferase reporter gene assay
    [PMID: 28169169]
    HEK-293T EC50
    0.434 μM
    Compound: 18
    Partial agonist activity at recombinant human GAL4-DBD-fused LXRbeta-LBD expressed in HEK293T cells measured after 12 to 14 hrs by dual-glo luciferase reporter gene assay
    Partial agonist activity at recombinant human GAL4-DBD-fused LXRbeta-LBD expressed in HEK293T cells measured after 12 to 14 hrs by dual-glo luciferase reporter gene assay
    [PMID: 28169169]
    Hep 3B2 IC50
    191.8 μM
    Compound: bexarotene
    Cytotoxicity against human Hep3B cells assessed as growth inhibition after 72 hrs by MTT assay
    Cytotoxicity against human Hep3B cells assessed as growth inhibition after 72 hrs by MTT assay
    [PMID: 23707260]
    HepG2 IC50
    20 μM
    Compound: 2
    Cytotoxicity against human HepG2 cells assessed as reduction in cell viability incubated for 48 hrs by WST-1 assay
    Cytotoxicity against human HepG2 cells assessed as reduction in cell viability incubated for 48 hrs by WST-1 assay
    [PMID: 33793232]
    HGC-27 IC50
    32.7 μM
    Compound: bexarotene
    Cytotoxicity against human HGC27 cells assessed as growth inhibition after 72 hrs by MTT assay
    Cytotoxicity against human HGC27 cells assessed as growth inhibition after 72 hrs by MTT assay
    [PMID: 23707260]
    HT-29 IC50
    > 30 μM
    Compound: Bexarotene
    Cytotoxicity against human HT29 cells assessed as reduction in cell viability incubated for 72 hrs by SRB assay
    Cytotoxicity against human HT29 cells assessed as reduction in cell viability incubated for 72 hrs by SRB assay
    [PMID: 32422522]
    KB IC50
    46.3 μM
    Compound: bexarotene
    Cytotoxicity against bexarotene-resistant human KB cells assessed as growth inhibition after 48 hrs by MTT assay
    Cytotoxicity against bexarotene-resistant human KB cells assessed as growth inhibition after 48 hrs by MTT assay
    [PMID: 23707260]
    KB IC50
    8.8 μM
    Compound: bexarotene
    Cytotoxicity against human KB cells assessed as growth inhibition after 72 hrs by MTT assay
    Cytotoxicity against human KB cells assessed as growth inhibition after 72 hrs by MTT assay
    [PMID: 23707260]
    MCF7 IC50
    10.6 μM
    Compound: Bexarotene
    Cytotoxicity against human MCF7 cells assessed as reduction in cell viability incubated for 72 hrs by SRB assay
    Cytotoxicity against human MCF7 cells assessed as reduction in cell viability incubated for 72 hrs by SRB assay
    [PMID: 32422522]
    MDA-MB-231 EC50
    > 56 μM
    Compound: Bex
    Cytotoxicity against human MDA-MB-231 cells assessed as reduction in cell viability by MTT assay
    Cytotoxicity against human MDA-MB-231 cells assessed as reduction in cell viability by MTT assay
    [PMID: 29287960]
    NIH3T3 IC50
    18.7 μM
    Compound: Bexarotene
    Cytotoxicity against mouse NIH3T3 cells assessed as reduction in cell viability incubated for 72 hrs by SRB assay
    Cytotoxicity against mouse NIH3T3 cells assessed as reduction in cell viability incubated for 72 hrs by SRB assay
    [PMID: 32422522]
    Sf9 IC50
    13.5 μM
    Compound: 40
    Inhibition of microsomal fraction of human CYP26A1 expressed in Sf9 cells using 9-cis-RA as substrate preincubated for 5 mins followed by NADPH addition measured after 1 min by HPLC analysis in presence of rat P450 reductase
    Inhibition of microsomal fraction of human CYP26A1 expressed in Sf9 cells using 9-cis-RA as substrate preincubated for 5 mins followed by NADPH addition measured after 1 min by HPLC analysis in presence of rat P450 reductase
    [PMID: 26918322]
    Sf9 IC50
    5.9 μM
    Compound: 40
    Inhibition of microsomal fraction of human CYP26B1 expressed in Sf9 cells using 9-cis-RA as substrate preincubated for 5 mins followed by NADPH addition measured after 5 mins by HPLC analysis in presence of rat P450 reductase
    Inhibition of microsomal fraction of human CYP26B1 expressed in Sf9 cells using 9-cis-RA as substrate preincubated for 5 mins followed by NADPH addition measured after 5 mins by HPLC analysis in presence of rat P450 reductase
    [PMID: 26918322]
    体外研究
    (In Vitro)

    Bexarotene 选择性结合并激活 RXR 亚型,对于 RXRα、RXRβ 和 RXRγ 亚型,Kd=14±2 nM、21±4 nM 和 29±7 nM[1]
    Bexarotene 可有效限制白血病 (HL-60) 细胞的增殖。Bexarotene 在 1 μM 时抑制 HL-60 细胞增殖 37%[1]
    Bexarotene 单药处理细胞在高剂量下显示出抗增殖作用,IC50分别为40.62±0.45 μM (PC3) 和50.20±4.10 μM (DU145)[2]
    Bexarotene (20 和 40 μM) 和 Docetaxel (5 和 10 μM) 对 PC3 和 DU145 细胞增殖的抑制具有协同作用[2]
    Bexarotene (20和 40 μM) 抑制 PC3 和 DU145 细胞中的细胞周期蛋白 D1 和细胞周期蛋白 D3 的表达[2]

    MCE has not independently confirmed the accuracy of these methods. They are for reference only.

    Cell Proliferation Assay[2]

    Cell Line: The human PCa androgen-independent cell lines PC3 and DU145
    Concentration: 5, 10, 20, 30, 40 μM for PC3 cells; 1, 5, 10, 20, 40 μM for DU145 cells.
    Incubation Time: 24 and 48 hours
    Result: Showed an antiproliferative effect with the IC50s were 40.62±0.45 µM (PC3) and 50.20±4.10 µM (DU145). 

    Cell Viability Assay[2]

    Cell Line: PC3 and DU145 cells
    Concentration: 20 and 40 µM
    Incubation Time: 24 or 48 hours
    Result: Decreased cyclin D1, and cyclin E2 after 24 hours treatment. 
    Not only decreased the expression of cyclin D1 and cyclin E2 but repressed cyclin B1 and CDK1 expression after 48 hours treatment.
    体内研究
    (In Vivo)

    Bexarotene (1 mg/kg/day) 可有效阻止帕金森病 (PD) 大鼠模型中行为缺陷和多巴胺神经元变性的发展,从而显著降低甘油三酯和 T4 血清的变化[1]
    Bexarotene 是一种有效的预防肺肿瘤生长和进展的药物。Bexarotene (100 mg/kg by gavage) 抑制所有三种基因型小鼠的肿瘤多样性和肿瘤体积 (p53wt/wtK-raswt/wt,p53val135/wtK-raswt/wt,或 p53wt/wtK-rasko/wt) . 在 p53wt/wtK-rasko/wt 和 p53wt/wtK-raswt/wt 小鼠中,Bexarotene 将腺瘤向腺癌的进展降低了约 50%[3]

    MCE has not independently confirmed the accuracy of these methods. They are for reference only.

    Animal Model: UL53-3 mice (p53wt/wtK-raswt/wt, p53val135/wtK-raswt/wt, or p53wt/wtK-rasko/wt)[3]
    Dosage: 100 mg/kg
    Administration: Gavage with 18 gage of gavage-needle, 0.1 mL per mouse per day, 5 times a week, continued for 12 weeks
    Result: Inhibited both tumor multiplicity and tumor volume in mice of all three genotypes.
    Clinical Trial
    分子量

    348.48

    Formula

    C24H28O2

    CAS 号
    性状

    固体

    颜色

    White to off-white

    中文名称

    贝沙罗汀;蓓萨罗丁

    运输条件

    Room temperature in continental US; may vary elsewhere.

    储存方式
    Powder -20°C 3 years
    4°C 2 years
    In solvent -80°C 6 months
    -20°C 1 month
    溶解性数据
    细胞实验: 

    DMSO 中的溶解度 : 60 mg/mL (172.18 mM; 超声助溶; 吸湿的 DMSO 对产品的溶解度有显著影响,请使用新开封的 DMSO)

    配制储备液
    浓度 溶剂体积 质量 1 mg 5 mg 10 mg
    1 mM 2.8696 mL 14.3480 mL 28.6961 mL
    5 mM 0.5739 mL 2.8696 mL 5.7392 mL
    查看完整储备液配制表

    * 请根据产品在不同溶剂中的溶解度选择合适的溶剂配制储备液;一旦配成溶液,请分装保存,避免反复冻融造成的产品失效
    储备液的保存方式和期限:-80°C, 6 months; -20°C, 1 month。-80°C储存时,请在6个月内使用,-20°C储存时,请在1个月内使用。

    • 摩尔计算器

    • 稀释计算器

    Mass (g) = Concentration (mol/L) × Volume (L) × Molecular Weight (g/mol)

    质量
    =
    浓度
    ×
    体积
    ×
    分子量 *

    Concentration (start) × Volume (start) = Concentration (final) × Volume (final)

    This equation is commonly abbreviated as: C1V1 = C2V2

    浓度 (start)

    C1

    ×
    体积 (start)

    V1

    =
    浓度 (final)

    C2

    ×
    体积 (final)

    V2

    动物实验:

    请根据您的 实验动物和给药方式 选择适当的溶解方案。

    以下溶解方案都请先按照 In Vitro 方式配制澄清的储备液,再依次添加助溶剂:
    ——为保证实验结果的可靠性,澄清的储备液可以根据储存条件,适当保存;体内实验的工作液,建议您现用现配,当天使用
    以下溶剂前显示的百分比是指该溶剂在您配制终溶液中的体积占比;如在配制过程中出现沉淀、析出现象,可以通过加热和/或超声的方式助溶

    • 方案 一

      请依序添加每种溶剂: 5% DMSO    40% PEG300    5% Tween-80    50% Saline

      Solubility: 2.62 mg/mL (7.52 mM); 悬浊液; 超声助溶

    • 方案 二

      请依序添加每种溶剂: 5% DMSO    95% (20% SBE-β-CD in Saline)

      Solubility: 2.62 mg/mL (7.52 mM); 悬浊液; 超声助溶

    动物溶解方案计算器
    请输入动物实验的基本信息:

    给药剂量

    mg/kg

    动物的平均体重

    g

    每只动物的给药体积

    μL

    动物数量

    由于实验过程有损耗,建议您多配一只动物的量
    请输入您的动物体内配方组成:
    %
    DMSO +
    +
    %
    Tween-80 +
    %
    Saline
    如果您的动物是免疫缺陷鼠或者体弱鼠,建议 DMSO 中的在最后工作液体系中的占比尽量不超过 2%。
    方案所需 助溶剂 包括:DMSO ,均可在 MCE 网站选购。 Tween 80,均可在 MCE 网站选购。
    计算结果
    工作液所需浓度 : mg/mL
    储备液配制方法 : mg 药物溶于 μL  DMSO(母液浓度为 mg/mL)。
    您所需的储备液浓度超过该产品的实测溶解度,以下方案仅供参考,如有需要,请与 MCE 中国技术支持联系。
    动物实验体内工作液的配制方法 : 取 μL DMSO 储备液,加入 μL  μL ,混合均匀至澄清,再加 μL Tween 80,混合均匀至澄清,再加 μL 生理盐水
    连续给药周期超过半月以上,请谨慎选择该方案。
    请确保第一步储备液溶解至澄清状态,从左到右依次添加助溶剂。您可采用超声加热 (超声清洗仪,建议频次 20-40 kHz),涡旋吹打等方式辅助溶解。
    纯度 & 产品资料

    纯度: 99.92%

    参考文献

    完整储备液配制表

    * 请根据产品在不同溶剂中的溶解度选择合适的溶剂配制储备液;一旦配成溶液,请分装保存,避免反复冻融造成的产品失效
    储备液的保存方式和期限:-80°C, 6 months; -20°C, 1 month。-80°C储存时,请在6个月内使用,-20°C储存时,请在1个月内使用。

    可选溶剂 浓度 溶剂体积 质量 1 mg 5 mg 10 mg 25 mg
    DMSO 1 mM 2.8696 mL 14.3480 mL 28.6961 mL 71.7401 mL
    5 mM 0.5739 mL 2.8696 mL 5.7392 mL 14.3480 mL
    10 mM 0.2870 mL 1.4348 mL 2.8696 mL 7.1740 mL
    15 mM 0.1913 mL 0.9565 mL 1.9131 mL 4.7827 mL
    20 mM 0.1435 mL 0.7174 mL 1.4348 mL 3.5870 mL
    25 mM 0.1148 mL 0.5739 mL 1.1478 mL 2.8696 mL
    30 mM 0.0957 mL 0.4783 mL 0.9565 mL 2.3913 mL
    40 mM 0.0717 mL 0.3587 mL 0.7174 mL 1.7935 mL
    50 mM 0.0574 mL 0.2870 mL 0.5739 mL 1.4348 mL
    60 mM 0.0478 mL 0.2391 mL 0.4783 mL 1.1957 mL
    80 mM 0.0359 mL 0.1794 mL 0.3587 mL 0.8968 mL
    100 mM 0.0287 mL 0.1435 mL 0.2870 mL 0.7174 mL
    Help & FAQs
    • Do most proteins show cross-species activity?

      Species cross-reactivity must be investigated individually for each product. Many human cytokines will produce a nice response in mouse cell lines, and many mouse proteins will show activity on human cells. Other proteins may have a lower specific activity when used in the opposite species.

    您最近查看的产品:

    Your information is safe with us. * Required Fields.

       产品名称:

     

    * 需求量:

    * 客户姓名:

     

    * Email:

    * 电话:

     

    * 公司或机构名称:

       留言给我们:

    Bulk Inquiry

    Inquiry Information

    产品名称:
    Bexarotene
    目录号:
    HY-14171
    需求量: