1. Metabolic Enzyme/Protease NF-κB Apoptosis Autophagy
  2. Proteasome NF-κB Apoptosis Autophagy
  3. Bortezomib

Bortezomib  (Synonyms: 硼替佐米; PS-341; LDP-341; NSC 681239)

目录号: HY-10227 纯度: 99.80%
COA 产品使用指南 技术支持

Bortezomib (PS-341) 是一种可逆性和选择性的蛋白酶体 (proteasome) 抑制剂,通过靶向苏氨酸残基有效抑制 20S 蛋白酶体 (Ki=0.6 nM)。Bortezomib 破坏细胞周期、诱导细胞凋亡以及抑制核因子 NF-κB。Bortezomib 是第一种蛋白酶体抑制剂,具有抗癌活性。

MCE 的所有产品仅用作科学研究或药证申报,我们不为任何个人用途提供产品和服务

CAS No. : 179324-69-7

1.  客户无需承担相应的运输费用。

2.  同一机构(单位)同一产品试用装仅限申领一次,同一机构(单位)一年内

     可免费申领三个不同产品的试用装。

3.  试用装只面向终端客户

规格 价格 是否有货 数量
10 mM * 1 mL in DMSO ¥561
In-stock
1 mg ¥230
In-stock
5 mg ¥510
In-stock
10 mg ¥660
In-stock
25 mg ¥1200
In-stock
50 mg ¥1800
In-stock
100 mg ¥2900
In-stock
200 mg ¥4400
In-stock
1 g 现货 询价
5 g   询价  
10 g   询价  

* Please select Quantity before adding items.

Customer Review

Other Forms of Bortezomib:

MCE 顾客使用本产品发表的 203 篇科研文献

WB
IF
Proliferation Assay

    Bortezomib purchased from MCE. Usage Cited in: Mol Cell Biochem. 2024 Apr;479(4):843-857.  [Abstract]

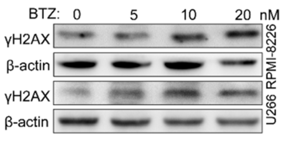
    Bortezomib (BTZ; 5, 10, 20 nM; 48 h) increases the expression level of γH2AX in RPMI-8226 and U266 cells.

    Bortezomib purchased from MCE. Usage Cited in: Mol Cell Biochem. 2024 Apr;479(4):843-857.  [Abstract]

    Bortezomib (BTZ; 10 nM; 48 h) significantly enhances the cell death of RPMI-8226.

    Bortezomib purchased from MCE. Usage Cited in: Clin Cancer Res. 2019 Jun 15;25(12):3630-3642.  [Abstract]

    H1975 cells treated with 5 μmol/L MTI-31 alone or in combination with 10 μmol/L CQ or 0.01 μmol/L PS-341.

    Bortezomib purchased from MCE. Usage Cited in: Cell Death Dis. 2018 May 22;9(6):604.  [Abstract]

    Different concentrations of two classical proteasome inhibitors Bortezomib and MG132 are added. AGS cells are either untreated or treated with Bortezomib (25 nM) or MG132 (0.1 μM) for 24 h in the absence or presence of baf A1 (100 nM).

    Bortezomib purchased from MCE. Usage Cited in: Cell Death Dis. 2018 May 22;9(6):604.  [Abstract]

    The accumulated SQSTM1 by either proteasome inhibitors or PPI was sensitive to autophagy mediated degradation. AGS cells were pretreated with 25 and 50nM bortezomib for 1h, and then incubated with 500nM torin 1 for 24h (g). After pretreatment with PPI for 24h in pH 7.4 or pH 6.5 condition, rapamycin (1μM) or torin 1 (500 nM) was added for another 24h (h). The protein level of SQSTM1 was measured by western blot analysis (g, h).

    Bortezomib purchased from MCE. Usage Cited in: Elife. 2018 Aug 1;7:e38430.  [Abstract]

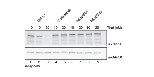
    Kelly cells are treated with increasing concentrations of Thalidomide and co-treated with 5 μM Bortezomib, 5 μM MLN4924, 0.5 μM MLN7243, or DMSO as a control. Following 24 h incubation, SALL4 and GAPDH protein levels are assessed by western blot analysis.

    Bortezomib purchased from MCE. Usage Cited in: BMC Cancer. 2018 Oct 11;18(1):971.  [Abstract]

    The reduction of MAGEC2 protein level in TRIM28-knockdown A375 cells can be inhibited by treatment with both MG132 and PS-341, and similar result is also observed in Hs 695 T cells.

    Bortezomib purchased from MCE. Usage Cited in: Eur J Pharmacol. 2017 Nov 15:815:147-155.  [Abstract]

    Shown are GFPu fluorescent images of the GFPu-HEK293 cells treated with CuSO4 (Cu, 20 μM), HK (20 μM), HK-Cu (HC, 20 μM), or Velcade (Vel, 100 nM).

    查看 NF-κB 亚型特异性产品:

    • 生物活性

    • 纯度 & 产品资料

    • 参考文献

    生物活性

    Bortezomib (PS-341) is a reversible and selective proteasome inhibitor, and potently inhibits 20S proteasome (Ki=0.6 nM) by targeting a threonine residue. Bortezomib disrupts the cell cycle, induces apoptosis, and inhibits NF-κB. Bortezomib is the first proteasome inhibitor anticancer agent. Anti-cancer activity[1][2].

    IC50 & Target

    Ki: 0.6 nM (20S proteasome)[1]

    细胞效力
    (Cellular Effect)
    Cell Line Type Value Description References
    5TGM1 IC50
    6.78 nM
    Compound: PS-341, Bortezomib
    Cytotoxicity against mouse 5TGM1 cells after 48 to 72 hrs by SRB assay
    Cytotoxicity against mouse 5TGM1 cells after 48 to 72 hrs by SRB assay
    [PMID: 24119559]
    A2780 IC50
    28.9 nM
    Compound: Bortezomib
    Antiproliferative activity against human A2780 cells after 72 hrs by SRB assay
    Antiproliferative activity against human A2780 cells after 72 hrs by SRB assay
    [PMID: 28182990]
    A-431 IC50
    28.2 nM
    Compound: Bortezomib
    Antiproliferative activity against human A431 cells after 72 hrs by oxyluciferin luminescence assay
    Antiproliferative activity against human A431 cells after 72 hrs by oxyluciferin luminescence assay
    [PMID: 26231162]
    A549 IC50
    13.9 nM
    Compound: bortezomib
    Cytotoxicity against human A549 cells after 72 hrs by MTT assay
    Cytotoxicity against human A549 cells after 72 hrs by MTT assay
    [PMID: 21077681]
    A549 IC50
    2.14 μM
    Compound: Bortezomib
    Cytotoxicity against human A549 cells after 72 hrs by MTT assay
    Cytotoxicity against human A549 cells after 72 hrs by MTT assay
    [PMID: 28634039]
    A549 IC50
    2.5 nM
    Compound: Bortezomib
    Antiproliferative activity against human A549 cells after 72 hrs by SRB assay
    Antiproliferative activity against human A549 cells after 72 hrs by SRB assay
    [PMID: 28182990]
    A549 IC50
    2135.73 nM
    Compound: PS-341
    Antiproliferative activity against human A549 cells after 72 hrs by MTT assay
    Antiproliferative activity against human A549 cells after 72 hrs by MTT assay
    [PMID: 27769033]
    A549 IC50
    255 nM
    Compound: bortezomib
    Cytotoxicity against human A549 cells after 72 hrs by MTT assay
    Cytotoxicity against human A549 cells after 72 hrs by MTT assay
    [PMID: 19537716]
    A549 IC50
    6.7 nM
    Compound: bortezomib
    Cytotoxicity against human A549 cells after 72 hrs by MTT assay
    Cytotoxicity against human A549 cells after 72 hrs by MTT assay
    [PMID: 20158184]
    A549 IC50
    9.318 μM
    Compound: Bortezomib
    Antiproliferative activity against human A549 cells after 72 hrs by SRB assay
    Antiproliferative activity against human A549 cells after 72 hrs by SRB assay
    [PMID: 29426629]
    A549 IC50
    92 nM
    Compound: BTZ
    Antiproliferative activity against human A549 cells after 72 hrs by Cell Titer-Glo assay
    Antiproliferative activity against human A549 cells after 72 hrs by Cell Titer-Glo assay
    [PMID: 28191850]
    ARH-77 IC50
    6.07 nM
    Compound: Bortezomib
    Cytotoxicity against human ARH77 cells after 72 hrs by MTS assay
    Cytotoxicity against human ARH77 cells after 72 hrs by MTS assay
    [PMID: 26965867]
    ARH-77 IC50
    9.57 nM
    Compound: Bortezomib
    Cytotoxicity against human ARH77 cells assessed as reduction in cell viability after 72 hrs by CellTiter 96 aqueous one solution assay
    Cytotoxicity against human ARH77 cells assessed as reduction in cell viability after 72 hrs by CellTiter 96 aqueous one solution assay
    [PMID: 29934218]
    BEL-7404 tumor cell line IC50
    25.04 nM
    Compound: PS-341
    Antiproliferative activity against human Bel7404 cells after 72 hrs by MTT assay
    Antiproliferative activity against human Bel7404 cells after 72 hrs by MTT assay
    [PMID: 27769033]
    BGC-823 IC50
    2890 nM
    Compound: Bortezomib
    Cytotoxicity against human BGC823 cells after 72 hrs by MTT assay
    Cytotoxicity against human BGC823 cells after 72 hrs by MTT assay
    [PMID: 19747832]
    BGC-823 IC50
    880 nM
    Compound: bortezomib
    Cytotoxicity against human BGC823 cells after 72 hrs by MTT assay
    Cytotoxicity against human BGC823 cells after 72 hrs by MTT assay
    [PMID: 19537716]
    BXPC-3 IC50
    11.8 nM
    Compound: Bortezomib
    Cytotoxicity against human BxPC3 cells after 72 hrs by MTT assay
    Cytotoxicity against human BxPC3 cells after 72 hrs by MTT assay
    [PMID: 19747832]
    BXPC-3 IC50
    16.2 nM
    Compound: bortezomib
    Cytotoxicity against human BxPC3 cells after 72 hrs by MTT assay
    Cytotoxicity against human BxPC3 cells after 72 hrs by MTT assay
    [PMID: 20158184]
    BXPC-3 IC50
    19.4 nM
    Compound: bortezomib
    Cytotoxicity against human BxPC3 cells after 72 hrs by MTT assay
    Cytotoxicity against human BxPC3 cells after 72 hrs by MTT assay
    [PMID: 21077681]
    Calu-6 IC50
    3.9 nM
    Compound: Bortezomib
    Inhibition of 26S proteasome beta5 subunit in human Calu6 cells using Suc-LLVY-aminoluciferin as substrate after 1hr by luminescence assay
    Inhibition of 26S proteasome beta5 subunit in human Calu6 cells using Suc-LLVY-aminoluciferin as substrate after 1hr by luminescence assay
    10.1039/C2MD20060K
    CCRF-CEM GI50
    0.001 μM
    Compound: Bortezomib
    Antiproliferative activity against human CEM cells after 72 hrs by calcein AM staining based fluorescence assay
    Antiproliferative activity against human CEM cells after 72 hrs by calcein AM staining based fluorescence assay
    [PMID: 28441582]
    CCRF-CEM IC50
    11 nM
    Compound: Bortezomib
    Antiproliferative activity against human CCRF-CEM cells after 72 hrs by oxyluciferin luminescence assay
    Antiproliferative activity against human CCRF-CEM cells after 72 hrs by oxyluciferin luminescence assay
    [PMID: 26231162]
    DLD-1 IC50
    0.0002 μM
    Compound: Bortezomib, Velcade, PS-341
    Inhibition of chymotrypsin-like activity of 20S proteasome in human DLD1 cells transfected with 4Ub-Luc gene using Succinyl-Leu-Leu-Val-Tyr-AMC as substrate after 6 hrs by spectrofluorometric analysis
    Inhibition of chymotrypsin-like activity of 20S proteasome in human DLD1 cells transfected with 4Ub-Luc gene using Succinyl-Leu-Leu-Val-Tyr-AMC as substrate after 6 hrs by spectrofluorometric analysis
    [PMID: 22206869]
    DLD-1 IC50
    0.0009 μM
    Compound: Bortezomib, Velcade, PS-341
    Inhibition of peptide-glutamyl-peptide-hydrolyzing activity of 20S proteasome in human DLD1 cells transfected with 4Ub-Luc gene using Z-Leu-Leu-Glu-AMC as substrate after 6 hrs by spectrofluorometric analysis
    Inhibition of peptide-glutamyl-peptide-hydrolyzing activity of 20S proteasome in human DLD1 cells transfected with 4Ub-Luc gene using Z-Leu-Leu-Glu-AMC as substrate after 6 hrs by spectrofluorometric analysis
    [PMID: 22206869]
    GES1 IC50
    12.6 nM
    Compound: PS-341
    Antiproliferative activity against human GES-1 cells incubated for 48 hrs by MTT assay
    Antiproliferative activity against human GES-1 cells incubated for 48 hrs by MTT assay
    [PMID: 32267687]
    HCT-116 IC50
    0.001 μM
    Compound: Bortezomib
    Cytotoxicity against human HCT116 cells after 72 hrs by MTT assay
    Cytotoxicity against human HCT116 cells after 72 hrs by MTT assay
    [PMID: 28634039]
    HCT-116 IC50
    0.01 μM
    Compound: bortezomib
    Cytotoxicity against human HCT116 cells after 72 hrs by CCK-8 assay
    Cytotoxicity against human HCT116 cells after 72 hrs by CCK-8 assay
    [PMID: 23547757]
    HCT-116 IC50
    1.4 nM
    Compound: PS-341
    Antiproliferative activity against human HCT116 cells after 72 hrs by MTT assay
    Antiproliferative activity against human HCT116 cells after 72 hrs by MTT assay
    [PMID: 27769033]
    HCT-116 IC50
    27 nM
    Compound: Bortezomib
    Antiproliferative activity against human HCT116 cells after 72 hrs by oxyluciferin luminescence assay
    Antiproliferative activity against human HCT116 cells after 72 hrs by oxyluciferin luminescence assay
    [PMID: 26231162]
    HEK293 IC50
    0.014 μM
    Compound: PS-341
    Inhibition of NF-kappaB activity in TNF-alpha-induced human HEK293 cells after 30 mins by luciferase assay
    Inhibition of NF-kappaB activity in TNF-alpha-induced human HEK293 cells after 30 mins by luciferase assay
    [PMID: 21044847]
    HEK293 IC50
    10 nM
    Compound: 1, bortezomib
    Inhibition of TNF-alpha-induced NF-kappaB activation in human HEK293 cells after 3 hrs by luciferase reporter gene assay
    Inhibition of TNF-alpha-induced NF-kappaB activation in human HEK293 cells after 3 hrs by luciferase reporter gene assay
    [PMID: 20875739]
    HEK293 IC50
    27 nM
    Compound: 1a, Bortezomib
    Inhibition of intracellular chymotrypsin-like activity of 20S proteasome in human HEK293 cells after 24 hrs by fluorescence plate reader
    Inhibition of intracellular chymotrypsin-like activity of 20S proteasome in human HEK293 cells after 24 hrs by fluorescence plate reader
    [PMID: 21634429]
    HEK293 CC50
    347 nM
    Compound: 1a, Bortezomib
    Cytotoxicity against human HEK293 cells after 24 hrs by MTT assay
    Cytotoxicity against human HEK293 cells after 24 hrs by MTT assay
    [PMID: 21634429]
    HEK293 IC50
    9.7 nM
    Compound: Bortezomib
    Inhibition of NFkappaB in HEK293 cells incubated for 1 hr prior to TNF-alpha challenge measured after 3 hrs by luciferase reporter gene assay relative to control
    Inhibition of NFkappaB in HEK293 cells incubated for 1 hr prior to TNF-alpha challenge measured after 3 hrs by luciferase reporter gene assay relative to control
    10.1039/C2MD20060K
    HEK-293T IC50
    12 nM
    Compound: BTZ
    Antiproliferative activity against human 293T cells after 72 hrs by Cell Titer-Glo assay
    Antiproliferative activity against human 293T cells after 72 hrs by Cell Titer-Glo assay
    [PMID: 28191850]
    HeLa IC50
    > 200 nM
    Compound: Btz
    Cytotoxicity against oleic acid-induced human HeLa cells assessed as reduction in cell viability incubated for 24 hrs by MTT assay
    Cytotoxicity against oleic acid-induced human HeLa cells assessed as reduction in cell viability incubated for 24 hrs by MTT assay
    [PMID: 35059132]
    HeLa IC50
    0.02 μM
    Compound: PS-341
    Growth inhibition of human HeLa cells after 72 hrs by MTT assay
    Growth inhibition of human HeLa cells after 72 hrs by MTT assay
    [PMID: 19428245]
    HeLa GI50
    168.1 μM
    Compound: BTZ; Product S4
    Cytotoxicity in human HeLa cells assessed as reduction in cell viability incubated for 24 hrs by MTT assay
    Cytotoxicity in human HeLa cells assessed as reduction in cell viability incubated for 24 hrs by MTT assay
    [PMID: 32031798]
    HeLa IC50
    20 nM
    Compound: Btz
    Cytotoxicity against human HeLa cells assessed as reduction in cell viability incubated for 24 hrs by MTT assay
    Cytotoxicity against human HeLa cells assessed as reduction in cell viability incubated for 24 hrs by MTT assay
    [PMID: 35059132]
    HeLa IC50
    92 nM
    Compound: bortezomib
    Cytotoxicity against human HeLa cells after 72 hrs by MTT assay
    Cytotoxicity against human HeLa cells after 72 hrs by MTT assay
    [PMID: 19537716]
    HepG2 EC50
    0.01 μM
    Compound: Bortezomib
    Cytotoxicity against human HepG2 cells after 48 hrs by CellTiter-Glo assay
    Cytotoxicity against human HepG2 cells after 48 hrs by CellTiter-Glo assay
    [PMID: 29800827]
    HepG2 IC50
    1.61 nM
    Compound: PS-341
    Antiproliferative activity against human HepG2 cells after 72 hrs by MTT assay
    Antiproliferative activity against human HepG2 cells after 72 hrs by MTT assay
    [PMID: 27769033]
    HepG2 GI50
    100.6 μM
    Compound: BTZ; Product S4
    Cytotoxicity in human HepG2 cells assessed as reduction in cell viability incubated for 24 hrs by MTT assay
    Cytotoxicity in human HepG2 cells assessed as reduction in cell viability incubated for 24 hrs by MTT assay
    [PMID: 32031798]
    HepG2 IC50
    25.2 nM
    Compound: bortezomib
    Cytotoxicity against human HepG2 cells after 72 hrs by MTT assay
    Cytotoxicity against human HepG2 cells after 72 hrs by MTT assay
    [PMID: 21077681]
    HepG2 IC50
    37.5 nM
    Compound: bortezomib
    Cytotoxicity against human HepG2 cells after 72 hrs by MTT assay
    Cytotoxicity against human HepG2 cells after 72 hrs by MTT assay
    [PMID: 19537716]
    HepG2 IC50
    7.5 nM
    Compound: bortezomib
    Cytotoxicity against human HepG2 cells after 72 hrs by MTT assay
    Cytotoxicity against human HepG2 cells after 72 hrs by MTT assay
    [PMID: 20158184]
    HET-1A IC50
    25.6 nM
    Compound: PS-341
    Antiproliferative activity against human HET-1A cells incubated for 48 hrs by MTT assay
    Antiproliferative activity against human HET-1A cells incubated for 48 hrs by MTT assay
    [PMID: 32267687]
    HL-60 ED50
    0.0025 μM
    Compound: Bortezomib
    Inhibition of chymotrypsin-like activity of purified human 20S proteasome in HL60 cells using N-succinyl-Leu-Leu-Val-Tyr-AMC as substrate pre-incubated for 10 mins by fluorimetric assay
    Inhibition of chymotrypsin-like activity of purified human 20S proteasome in HL60 cells using N-succinyl-Leu-Leu-Val-Tyr-AMC as substrate pre-incubated for 10 mins by fluorimetric assay
    [PMID: 21973101]
    HL-60 IC50
    0.008 μM
    Compound: Bortezomib
    Cytotoxicity against human HL60 cells after 72 hrs by MTT assay
    Cytotoxicity against human HL60 cells after 72 hrs by MTT assay
    [PMID: 28634039]
    HL-60 ED50
    2.5 nM
    Compound: bortezomib
    Inhibition of chymotrypsin-like activity of proteasome in human HL60 cells assessed as free AMC level after 10 mins
    Inhibition of chymotrypsin-like activity of proteasome in human HL60 cells assessed as free AMC level after 10 mins
    [PMID: 19422206]
    HL-60 IC50
    3.2 nM
    Compound: Bortezomib
    Antiproliferative activity against human HL60 cells after 72 hrs by SRB assay
    Antiproliferative activity against human HL60 cells after 72 hrs by SRB assay
    [PMID: 28182990]
    HL-60 IC50
    3.5 nM
    Compound: bortezomib
    Cytotoxicity against human HL60 cells after 72 hrs by MTT assay
    Cytotoxicity against human HL60 cells after 72 hrs by MTT assay
    [PMID: 21077681]
    HL-60 IC50
    5.5 nM
    Compound: bortezomib
    Cytotoxicity against human HL60 cells after 72 hrs by MTT assay
    Cytotoxicity against human HL60 cells after 72 hrs by MTT assay
    [PMID: 19537716]
    HL-60 IC50
    6.9 nM
    Compound: Bortezomib
    Cytotoxicity against human HL60 cells after 72 hrs by MTT assay
    Cytotoxicity against human HL60 cells after 72 hrs by MTT assay
    [PMID: 19747832]
    HL-60 IC50
    7.1 nM
    Compound: bortezomib
    Cytotoxicity against human HL60 cells after 72 hrs by MTT assay
    Cytotoxicity against human HL60 cells after 72 hrs by MTT assay
    [PMID: 20158184]
    HL-60 IC50
    7.6 nM
    Compound: PS-341
    Antiproliferative activity against human HL60 cells after 72 hrs by MTT assay
    Antiproliferative activity against human HL60 cells after 72 hrs by MTT assay
    [PMID: 27769033]
    HT-29 ED50
    > 20 μM
    Compound: Bortezomib
    Cytotoxicity against human HT-29 cells after 3 days by sulforhodamine B assay
    Cytotoxicity against human HT-29 cells after 3 days by sulforhodamine B assay
    [PMID: 21973101]
    HT-29 IC50
    3.2 nM
    Compound: Btz
    Cytotoxicity against human HT-29 cells assessed as reduction in cell viability incubated for 24 hrs by MTT assay
    Cytotoxicity against human HT-29 cells assessed as reduction in cell viability incubated for 24 hrs by MTT assay
    [PMID: 35059132]
    HUVEC IC50
    11.2 nM
    Compound: PS-341
    Antiproliferative activity against HUVEC cells incubated for 48 hrs by MTT assay
    Antiproliferative activity against HUVEC cells incubated for 48 hrs by MTT assay
    [PMID: 32267687]
    K562 GI50
    0.007 μM
    Compound: Bortezomib
    Antiproliferative activity against human K562 cells after 72 hrs by calcein AM staining based fluorescence assay
    Antiproliferative activity against human K562 cells after 72 hrs by calcein AM staining based fluorescence assay
    [PMID: 28441582]
    KB IC50
    59.5 nM
    Compound: bortezomib
    Cytotoxicity against human KB cells after 72 hrs by MTT assay
    Cytotoxicity against human KB cells after 72 hrs by MTT assay
    [PMID: 19537716]
    KM3/BTZ IC50
    226 nM
    Compound: PS-341
    Antiproliferative activity against bortezomib resistant human KM3/BTZ cells incubated for 48 hrs by MTT assay
    Antiproliferative activity against bortezomib resistant human KM3/BTZ cells incubated for 48 hrs by MTT assay
    [PMID: 32267687]
    L02 IC50
    55.5 nM
    Compound: PS-341
    Antiproliferative activity against human HL7702 cells incubated for 48 hrs by MTT assay
    Antiproliferative activity against human HL7702 cells incubated for 48 hrs by MTT assay
    [PMID: 32267687]
    MCF7 IC50
    0.025 μM
    Compound: Bz
    Antiproliferative activity against human MCF7 cells after 3 days by SRB assay
    Antiproliferative activity against human MCF7 cells after 3 days by SRB assay
    [PMID: 28557430]
    MCF7 IC50
    18.37 μM
    Compound: Bortezomib
    Antiproliferative activity against human MCF7 cells after 72 hrs by SRB assay
    Antiproliferative activity against human MCF7 cells after 72 hrs by SRB assay
    [PMID: 29426629]
    MDA-MB-231 IC50
    0.003 μM
    Compound: Bortezomib
    Antiproliferative activity against human MDA-MB-231 cells assessed as cell viability after 24 hrs
    Antiproliferative activity against human MDA-MB-231 cells assessed as cell viability after 24 hrs
    [PMID: 33139111]
    MDA-MB-231 IC50
    0.017 μM
    Compound: Bortezomib
    Cytotoxicity against human MDA-MB-231 cells after 72 hrs by MTT assay
    Cytotoxicity against human MDA-MB-231 cells after 72 hrs by MTT assay
    [PMID: 28634039]
    MDA-MB-231 IC50
    16.65 nM
    Compound: PS-341
    Antiproliferative activity against human MDA-MB-231 cells after 72 hrs by MTT assay
    Antiproliferative activity against human MDA-MB-231 cells after 72 hrs by MTT assay
    [PMID: 27769033]
    MDA-MB-231 IC50
    3.125 μM
    Compound: Bortezomib
    Antiproliferative activity against human MDA-MB-231 cells after 72 hrs by SRB assay
    Antiproliferative activity against human MDA-MB-231 cells after 72 hrs by SRB assay
    [PMID: 29426629]
    MDA-MB-231 IC50
    6.5 nM
    Compound: Bortezomib
    Antiproliferative activity against human MDA-MB-231 cells after 72 hrs by SRB assay
    Antiproliferative activity against human MDA-MB-231 cells after 72 hrs by SRB assay
    [PMID: 28182990]
    MGC-803 IC50
    0.008 μM
    Compound: Bortezomib
    Cytotoxicity against human MGC803 cells after 72 hrs by MTT assay
    Cytotoxicity against human MGC803 cells after 72 hrs by MTT assay
    [PMID: 28634039]
    MGC-803 IC50
    5.782 nM
    Compound: PS-341
    Antiproliferative activity against human MGC803 cells after 72 hrs by MTT assay
    Antiproliferative activity against human MGC803 cells after 72 hrs by MTT assay
    [PMID: 27769033]
    MKN-45 IC50
    7.15 nM
    Compound: PS-341
    Antiproliferative activity against human MKN45 cells after 72 hrs by MTT assay
    Antiproliferative activity against human MKN45 cells after 72 hrs by MTT assay
    [PMID: 27769033]
    MM1.S IC50
    0.0026 μM
    Compound: Bortezomib
    Antiproliferative activity against dexamethasone-sensitive human MM.1S cells assessed as reduction in cell viability measured after 72 hrs by XTT assay
    Antiproliferative activity against dexamethasone-sensitive human MM.1S cells assessed as reduction in cell viability measured after 72 hrs by XTT assay
    [PMID: 34969245]
    MM1.S IC50
    0.0032 μM
    Compound: Bortezomib
    Antiproliferative activity against human MM1.S cells assessed as inhibition of cell proliferation incubated for 72 hrs by XTT assay
    Antiproliferative activity against human MM1.S cells assessed as inhibition of cell proliferation incubated for 72 hrs by XTT assay
    [PMID: 36512676]
    MM1.S IC50
    2.5 nM
    Compound: BTZ
    Antiproliferative activity against human MM1.S cells assessed as reduction in cell viability incubated for 72 hrs by XTT assay
    Antiproliferative activity against human MM1.S cells assessed as reduction in cell viability incubated for 72 hrs by XTT assay
    [PMID: 34445874]
    MOLT-4 EC50
    21 nM
    Compound: 8
    Inhibition of chymotrypsin-like activity of 26S proteasome in human Molt4 cells using MeOSuc-Phe-Leu-Phe-AFC substrate
    Inhibition of chymotrypsin-like activity of 26S proteasome in human Molt4 cells using MeOSuc-Phe-Leu-Phe-AFC substrate
    [PMID: 22503349]
    Multiple myeloma cancer stem cell IC50
    8.4 nM
    Compound: BTZ
    Antiproliferative activity against human multiple myeloma cancer stem cells after 72 hrs by MTT assay
    Antiproliferative activity against human multiple myeloma cancer stem cells after 72 hrs by MTT assay
    [PMID: 30108696]
    NCI-H23 IC50
    0.01 μM
    Compound: Btz
    Cytotoxicity against human NCI-H23 cells after 72 hrs by CellTiter 96 AQueous one solution cell proliferation assay
    Cytotoxicity against human NCI-H23 cells after 72 hrs by CellTiter 96 AQueous one solution cell proliferation assay
    [PMID: 30964987]
    NCI-H460 IC50
    115 nM
    Compound: bortezomib
    Cytotoxicity against human H460 cells after 72 hrs by MTT assay
    Cytotoxicity against human H460 cells after 72 hrs by MTT assay
    [PMID: 19537716]
    NCI-H460 IC50
    780 nM
    Compound: bortezomib
    Cytotoxicity against human H460 cells after 72 hrs by MTT assay
    Cytotoxicity against human H460 cells after 72 hrs by MTT assay
    [PMID: 20158184]
    NCI-H727 IC50
    0.025 μM
    Compound: Btz
    Cytotoxicity against human NCI-H727 cells after 72 hrs by CellTiter 96 AQueous one solution cell proliferation assay
    Cytotoxicity against human NCI-H727 cells after 72 hrs by CellTiter 96 AQueous one solution cell proliferation assay
    [PMID: 30964987]
    NCI-H929 IC50
    10.85 nM
    Compound: Bortezomib
    Cytotoxic activity against human NCI-H929 cells after 72 hrs by MTS assay
    Cytotoxic activity against human NCI-H929 cells after 72 hrs by MTS assay
    [PMID: 24767818]
    PBMC IC50
    < 35 nM
    Compound: Bortezomib
    Cytotoxicity against human PBMC after 72 hrs by CellTiter-Glo luminescent cell viability assay
    Cytotoxicity against human PBMC after 72 hrs by CellTiter-Glo luminescent cell viability assay
    [PMID: 30365892]
    PBMC IC50
    2.7 nM
    Compound: 1
    Cytotoxicity against human PBMC cells assessed as reduction in cell viability by CellTiter Glo assay
    Cytotoxicity against human PBMC cells assessed as reduction in cell viability by CellTiter Glo assay
    [PMID: 31283222]
    PC-3 GI50
    0.04 μM
    Compound: Bortezomib
    Antiproliferative activity against human PC3 cells incubated for 72 hrs by CellTiter-Glo luminescence assay
    Antiproliferative activity against human PC3 cells incubated for 72 hrs by CellTiter-Glo luminescence assay
    [PMID: 30802730]
    PC-3 IC50
    7 nM
    Compound: bortezomib
    Cytotoxicity against human PC3 cells after 72 hrs by MTT assay
    Cytotoxicity against human PC3 cells after 72 hrs by MTT assay
    [PMID: 20158184]
    PC-3 IC50
    8.3 nM
    Compound: bortezomib
    Cytotoxicity against human PC3 cells after 72 hrs by MTT assay
    Cytotoxicity against human PC3 cells after 72 hrs by MTT assay
    [PMID: 21077681]
    RAW264.7 IC50
    0.03 μM
    Compound: Bortezomib
    Antiinflammatory activity against mouse RAW264.7 cells assessed as inhibition of TNFalpha-stimulated NF-kappaB activation by luciferase assay
    Antiinflammatory activity against mouse RAW264.7 cells assessed as inhibition of TNFalpha-stimulated NF-kappaB activation by luciferase assay
    [PMID: 32738985]
    RKO IC50
    20.8 nM
    Compound: Bortezomib
    Antiproliferative activity against human RKO cells after 72 hrs by oxyluciferin luminescence assay
    Antiproliferative activity against human RKO cells after 72 hrs by oxyluciferin luminescence assay
    [PMID: 26231162]
    RPMI-8226 IC50
    0.0045 μM
    Compound: Bortezomib
    Antiproliferative activity against human RPMI 8226 cells assessed as reduction in cell viability measured after 72 hrs by XTT assay
    Antiproliferative activity against human RPMI 8226 cells assessed as reduction in cell viability measured after 72 hrs by XTT assay
    [PMID: 34969245]
    RPMI-8226 IC50
    0.0056 μM
    Compound: Bortezomib
    Antiproliferative activity against human RPMI-8226 cells assessed as inhibition of cell proliferation incubated for 72 hrs by XTT assay
    Antiproliferative activity against human RPMI-8226 cells assessed as inhibition of cell proliferation incubated for 72 hrs by XTT assay
    [PMID: 36512676]
    RPMI-8226 IC50
    0.0064 μM
    Compound: BTZ
    Antiproliferative activity against human RPMI-8226 cells cultured as 3D-spheroids assessed as reduction in cell viability after 48 hrs by Celltiter-Glo assay
    Antiproliferative activity against human RPMI-8226 cells cultured as 3D-spheroids assessed as reduction in cell viability after 48 hrs by Celltiter-Glo assay
    [PMID: 34445874]
    RPMI-8226 IC50
    1.43 nM
    Compound: PS-341
    Antiproliferative activity against human RPMI8226 cells incubated for 48 hrs by MTT assay
    Antiproliferative activity against human RPMI8226 cells incubated for 48 hrs by MTT assay
    [PMID: 32267687]
    RPMI-8226 IC50
    11.2 nM
    Compound: Bortezomib
    Cytotoxicity against human RPMI8226 cells assessed as reduction in cell viability after 72 hrs by CellTiter 96 aqueous one solution assay
    Cytotoxicity against human RPMI8226 cells assessed as reduction in cell viability after 72 hrs by CellTiter 96 aqueous one solution assay
    [PMID: 29934218]
    RPMI-8226 IC50
    3.88 nM
    Compound: Bortezomib
    Cytotoxicity against human RPMI8226 cells after 72 hrs by MTS assay
    Cytotoxicity against human RPMI8226 cells after 72 hrs by MTS assay
    [PMID: 26965867]
    RPMI-8226 IC50
    4.7 nM
    Compound: BTZ
    Antiproliferative activity against human RPMI 8226 cells assessed as reduction in cell viability incubated for 72 hrs by XTT assay
    Antiproliferative activity against human RPMI 8226 cells assessed as reduction in cell viability incubated for 72 hrs by XTT assay
    [PMID: 34445874]
    RPMI-8226 IC50
    6.7 nM
    Compound: Bortezomib
    Antiproliferative activity against human RPMI8226 cells after 72 hrs by SRB assay
    Antiproliferative activity against human RPMI8226 cells after 72 hrs by SRB assay
    [PMID: 28182990]
    RPMI-8226 IC50
    7.96 nM
    Compound: Bortezomib
    Cytotoxic activity against human RPMI8226 cells after 72 hrs by MTS assay
    Cytotoxic activity against human RPMI8226 cells after 72 hrs by MTS assay
    [PMID: 24767818]
    RPMI-8226 IC50
    9.5 nM
    Compound: PS-341, Bortezomib
    Cytotoxicity against human RPMI8226 cells after 48 to 72 hrs by SRB assay
    Cytotoxicity against human RPMI8226 cells after 48 to 72 hrs by SRB assay
    [PMID: 24119559]
    SK-OV-3 IC50
    1.62 nM
    Compound: PS-341
    Antiproliferative activity against human SKOV3 cells after 72 hrs by MTT assay
    Antiproliferative activity against human SKOV3 cells after 72 hrs by MTT assay
    [PMID: 27769033]
    SK-OV-3 IC50
    12.9 nM
    Compound: Bortezomib
    Cytotoxicity against human SKOV3 cells assessed as decrease in cell viability after 4 days by CellTiter-Glo assay
    Cytotoxicity against human SKOV3 cells assessed as decrease in cell viability after 4 days by CellTiter-Glo assay
    [PMID: 29767973]
    SK-OV-3 IC50
    130 nM
    Compound: bortezomib
    Cytotoxicity against human SKOV3 cells after 72 hrs by MTT assay
    Cytotoxicity against human SKOV3 cells after 72 hrs by MTT assay
    [PMID: 19537716]
    SK-OV-3 IC50
    151 nM
    Compound: bortezomib
    Cytotoxicity against human SKOV3 cells after 72 hrs by MTT assay
    Cytotoxicity against human SKOV3 cells after 72 hrs by MTT assay
    [PMID: 20158184]
    SK-OV-3 IC50
    66.8 nM
    Compound: bortezomib
    Cytotoxicity against human SKOV3 cells after 72 hrs by MTT assay
    Cytotoxicity against human SKOV3 cells after 72 hrs by MTT assay
    [PMID: 21077681]
    SW1990 IC50
    79.06 nM
    Compound: PS-341
    Antiproliferative activity against human SW1990 cells after 72 hrs by MTT assay
    Antiproliferative activity against human SW1990 cells after 72 hrs by MTT assay
    [PMID: 27769033]
    SW480 IC50
    12.3 nM
    Compound: bortezomib
    Cytotoxicity against human SW480 cells after 72 hrs by MTT assay
    Cytotoxicity against human SW480 cells after 72 hrs by MTT assay
    [PMID: 21077681]
    SW480 IC50
    50 nM
    Compound: bortezomib
    Cytotoxicity against human SW480 cells after 72 hrs by MTT assay
    Cytotoxicity against human SW480 cells after 72 hrs by MTT assay
    [PMID: 19537716]
    SW480 IC50
    6.1 nM
    Compound: bortezomib
    Cytotoxicity against human SW480 cells after 72 hrs by MTT assay
    Cytotoxicity against human SW480 cells after 72 hrs by MTT assay
    [PMID: 20158184]
    TOV21G IC50
    16.7 nM
    Compound: Bortezomib
    Antiproliferative activity against human TOV21G cells after 72 hrs by oxyluciferin luminescence assay
    Antiproliferative activity against human TOV21G cells after 72 hrs by oxyluciferin luminescence assay
    [PMID: 26231162]
    U-266 GI50
    0.001 μM
    Compound: Bortezomib
    Antiproliferative activity against human U266 cells after 72 hrs by calcein AM staining based fluorescence assay
    Antiproliferative activity against human U266 cells after 72 hrs by calcein AM staining based fluorescence assay
    [PMID: 28441582]
    U-266 IC50
    11.63 nM
    Compound: Bortezomib
    Cytotoxicity against human U266B1 cells assessed as reduction in cell viability after 72 hrs by CellTiter 96 aqueous one solution assay
    Cytotoxicity against human U266B1 cells assessed as reduction in cell viability after 72 hrs by CellTiter 96 aqueous one solution assay
    [PMID: 29934218]
    U-266 IC50
    12.2 nM
    Compound: Bortezomib
    Cytotoxicity against human U266 cells after 72 hrs by MTT assay
    Cytotoxicity against human U266 cells after 72 hrs by MTT assay
    [PMID: 19747832]
    U-266 IC50
    12.5 nM
    Compound: PS-341
    Antiproliferative activity against human U266 cells incubated for 48 hrs by MTT assay
    Antiproliferative activity against human U266 cells incubated for 48 hrs by MTT assay
    [PMID: 32267687]
    U-266 IC50
    2.45 nM
    Compound: bortezomib
    Cytotoxicity against human U266 cells after 72 hrs by MTT assay
    Cytotoxicity against human U266 cells after 72 hrs by MTT assay
    [PMID: 19537716]
    U-266 IC50
    5.73 nM
    Compound: Bortezomib
    Cytotoxicity against human U266 cells after 72 hrs by MTS assay
    Cytotoxicity against human U266 cells after 72 hrs by MTS assay
    [PMID: 26965867]
    U-266 IC50
    8.8 nM
    Compound: bortezomib
    Cytotoxicity against human U266 cells after 72 hrs by MTT assay
    Cytotoxicity against human U266 cells after 72 hrs by MTT assay
    [PMID: 20158184]
    WM 266-4 IC50
    0.035 μM
    Compound: Bortezomib, Velcade, PS-341
    Cytotoxicity against human WM266.4 cells after 72 hrs by ATPlite assay
    Cytotoxicity against human WM266.4 cells after 72 hrs by ATPlite assay
    [PMID: 22206869]
    体外研究
    (In Vitro)

    Bortezomib (PS-341) (100 nM;8 小时) 导致 G2-M 期细胞积累,G1 期细胞数量相应减少[1]
    Bortezomib (PS-341) (5-100 nM;20 小时) 在套细胞淋巴瘤 (MCL) 细胞系中诱导细胞凋亡[3]
    Bortezomib (PS-341) (20 nM;1-14 小时) 在两种 MCL 细胞系[3]中诱导 Noxa 上调。
    Bortezomib (PS-341) 的 IC50 是发现 B16F10 细胞中 26S 蛋白酶体的浓度为 2.46 nM[4]
    Bortezomib (PS-341) 抑制多种抗凋亡蛋白 (例如,Bcl-XL、Bcl-2、和 STAT-3)[5]

    MCE has not independently confirmed the accuracy of these methods. They are for reference only.

    Cell Cycle Analysis[1]

    Cell Line: PC-3 cells
    Concentration: 100 nM
    Incubation Time: 8 hours
    Result: Resulted in the accumulation of cells in G2-M, with a corresponding decrease in the number of cells in G1.

    Apoptosis Analysis[3]

    Cell Line: JVM-2, Granta-519, Jeko, REC-1 cells (MCL cell lines)
    Concentration: 5-100 nM
    Incubation Time: 20 hours
    Result: The median LD50 for these MCL cell lines was 31 nM (range, 18.2-60.1 nM).

    Western Blot Analysis[3]

    Cell Line: wtp53 (Granta-519), mutp53 (Jeko) cells
    Concentration: 20 nM
    Incubation Time: 1, 2, 4, 6, 14 hours
    Result: Noxa up-regulation was detected between 2 to 4 hours after bortezomib (PS-341).
    体内研究
    (In Vivo)

    Bortezomib (PS-341) (0.3-1 mg/kg;静脉注射;每周一次,持续 4 周) 抑制裸鼠体内的 PC-3 肿瘤生长[1]

    MCE has not independently confirmed the accuracy of these methods. They are for reference only.

    Animal Model: Male nude mice (xenograft tumor model bearing PC-3 cells)[1]
    Dosage: 0.3, 1 mg/kg
    Administration: Intravenous injection; once weekly for 4 weeks
    Result: Resulted in a significant decrease in tumor growth ~60% at dose of 1 mg/kg.
    Clinical Trial
    分子量

    384.24

    Formula

    C19H25BN4O4

    CAS 号
    性状

    固体

    颜色

    White to off-white

    中文名称

    硼替佐米;保特佐米

    运输条件

    Room temperature in continental US; may vary elsewhere.

    储存方式

    4°C, protect from light

    *In solvent : -80°C, 6 months; -20°C, 1 month (protect from light)

    溶解性数据
    细胞实验: 

    Ethanol 中的溶解度 : 66.67 mg/mL (173.51 mM; 超声助溶 (<60°C))

    DMSO 中的溶解度 : 50 mg/mL (130.13 mM; 超声助溶; 吸湿的 DMSO 对产品的溶解度有显著影响,请使用新开封的 DMSO)

    配制储备液
    浓度 溶剂体积 质量 1 mg 5 mg 10 mg
    1 mM 2.6025 mL 13.0127 mL 26.0254 mL
    5 mM 0.5205 mL 2.6025 mL 5.2051 mL
    查看完整储备液配制表

    * 请根据产品在不同溶剂中的溶解度选择合适的溶剂配制储备液;一旦配成溶液,请分装保存,避免反复冻融造成的产品失效
    储备液的保存方式和期限:-80°C, 6 months; -20°C, 1 month (protect from light)。-80°C储存时,请在6个月内使用,-20°C储存时,请在1个月内使用。

    • 摩尔计算器

    • 稀释计算器

    Mass (g) = Concentration (mol/L) × Volume (L) × Molecular Weight (g/mol)

    质量
    =
    浓度
    ×
    体积
    ×
    分子量 *

    Concentration (start) × Volume (start) = Concentration (final) × Volume (final)

    This equation is commonly abbreviated as: C1V1 = C2V2

    浓度 (start)

    C1

    ×
    体积 (start)

    V1

    =
    浓度 (final)

    C2

    ×
    体积 (final)

    V2

    动物实验:

    请根据您的 实验动物和给药方式 选择适当的溶解方案。

    以下溶解方案都请先按照 In Vitro 方式配制澄清的储备液,再依次添加助溶剂:
    ——为保证实验结果的可靠性,澄清的储备液可以根据储存条件,适当保存;体内实验的工作液,建议您现用现配,当天使用
    以下溶剂前显示的百分比是指该溶剂在您配制终溶液中的体积占比;如在配制过程中出现沉淀、析出现象,可以通过加热和/或超声的方式助溶

    • 方案 一

      请依序添加每种溶剂: 10% EtOH    40% PEG300    5% Tween-80    45% Saline

      Solubility: ≥ 4 mg/mL (10.41 mM); 澄清溶液

      此方案可获得 ≥ 4 mg/mL(饱和度未知)的澄清溶液。

      1 mL 工作液为例,取 100 μL 40.0 mg/mL 的澄清 EtOH 储备液加到 400 μL PEG300 中,混合均匀;再向上述体系中加入 50 μL Tween-80,混合均匀;然后再继续加入 450 μL 生理盐水 定容至 1 mL

      生理盐水的配制:将 0.9 g 氯化钠,溶解于 ddH₂O 并定容至 100 mL,可以得到澄清透明的生理盐水溶液。
    • 方案 二

      请依序添加每种溶剂: 10% EtOH    90% (20% SBE-β-CD in Saline)

      Solubility: ≥ 4 mg/mL (10.41 mM); 澄清溶液

      此方案可获得 ≥ 4 mg/mL(饱和度未知)的澄清溶液。

      1 mL 工作液为例,取 100 μL 40.0 mg/mL 的澄清 EtOH 储备液加到 900 μL 20% 的 SBE-β-CD 生理盐水水溶液 中,混合均匀。

      2 g SBE-β-CD(磺丁基醚 β-环糊精)粉末定容于 10 mL 的生理盐水中,完全溶解至澄清透明。
    动物溶解方案计算器
    请输入动物实验的基本信息:

    给药剂量

    mg/kg

    动物的平均体重

    g

    每只动物的给药体积

    μL

    动物数量

    由于实验过程有损耗,建议您多配一只动物的量
    请输入您的动物体内配方组成:
    %
    DMSO +
    +
    %
    Tween-80 +
    %
    Saline
    如果您的动物是免疫缺陷鼠或者体弱鼠,建议 DMSO 中的在最后工作液体系中的占比尽量不超过 2%。
    方案所需 助溶剂 包括:DMSO ,均可在 MCE 网站选购。 Tween 80,均可在 MCE 网站选购。
    计算结果
    工作液所需浓度 : mg/mL
    储备液配制方法 : mg 药物溶于 μL  DMSO(母液浓度为 mg/mL)。

    *In solvent : -80°C, 6 months; -20°C, 1 month (protect from light)

    您所需的储备液浓度超过该产品的实测溶解度,以下方案仅供参考,如有需要,请与 MCE 中国技术支持联系。
    动物实验体内工作液的配制方法 : 取 μL DMSO 储备液,加入 μL  μL ,混合均匀至澄清,再加 μL Tween 80,混合均匀至澄清,再加 μL 生理盐水
    连续给药周期超过半月以上,请谨慎选择该方案。
    请确保第一步储备液溶解至澄清状态,从左到右依次添加助溶剂。您可采用超声加热 (超声清洗仪,建议频次 20-40 kHz),涡旋吹打等方式辅助溶解。
    纯度 & 产品资料

    纯度: 99.97%

    参考文献

    完整储备液配制表

    * 请根据产品在不同溶剂中的溶解度选择合适的溶剂配制储备液;一旦配成溶液,请分装保存,避免反复冻融造成的产品失效
    储备液的保存方式和期限:-80°C, 6 months; -20°C, 1 month (protect from light)。-80°C储存时,请在6个月内使用,-20°C储存时,请在1个月内使用。

    可选溶剂 浓度 溶剂体积 质量 1 mg 5 mg 10 mg 25 mg
    DMSO / Ethanol 1 mM 2.6025 mL 13.0127 mL 26.0254 mL 65.0635 mL
    5 mM 0.5205 mL 2.6025 mL 5.2051 mL 13.0127 mL
    10 mM 0.2603 mL 1.3013 mL 2.6025 mL 6.5064 mL
    15 mM 0.1735 mL 0.8675 mL 1.7350 mL 4.3376 mL
    20 mM 0.1301 mL 0.6506 mL 1.3013 mL 3.2532 mL
    25 mM 0.1041 mL 0.5205 mL 1.0410 mL 2.6025 mL
    30 mM 0.0868 mL 0.4338 mL 0.8675 mL 2.1688 mL
    40 mM 0.0651 mL 0.3253 mL 0.6506 mL 1.6266 mL
    50 mM 0.0521 mL 0.2603 mL 0.5205 mL 1.3013 mL
    60 mM 0.0434 mL 0.2169 mL 0.4338 mL 1.0844 mL
    80 mM 0.0325 mL 0.1627 mL 0.3253 mL 0.8133 mL
    100 mM 0.0260 mL 0.1301 mL 0.2603 mL 0.6506 mL
    Help & FAQs
    • Do most proteins show cross-species activity?

      Species cross-reactivity must be investigated individually for each product. Many human cytokines will produce a nice response in mouse cell lines, and many mouse proteins will show activity on human cells. Other proteins may have a lower specific activity when used in the opposite species.

    您最近查看的产品:

    Your information is safe with us. * Required Fields.

       产品名称:

     

    * 需求量:

    * 客户姓名:

     

    * Email:

    * 电话:

     

    * 公司或机构名称:

       留言给我们:

    Bulk Inquiry

    Inquiry Information

    产品名称:
    Bortezomib
    目录号:
    HY-10227
    需求量:
    tion() {$root.selectProvice('浙江省')}">浙江省
  • 江苏省
  • 吉林省
  • 福建省
  • 河北省
  • A

    B

    C

    F

    G

    H

    J

    L

    N

    Q

    S

    T

    X

    Y

    Z

    A B C F G H J L N Q S T X Y Z