1. MAPK/ERK Pathway Apoptosis
  2. MEK Apoptosis
  3. CI-1040

CI-1040  (Synonyms: PD 184352)

目录号: HY-50295 纯度: 99.91%
COA 产品使用指南 技术支持

CI-1040 (PD 184352) 是有口服活性,高度特异的 MEK 小分子抑制剂,对 MEK1IC50 值为 17 nM 。

MCE 的所有产品仅用作科学研究或药证申报,我们不为任何个人用途提供产品和服务

CI-1040

CI-1040 Chemical Structure

CAS No. : 212631-79-3

1.  客户无需承担相应的运输费用。

2.  同一机构(单位)同一产品试用装仅限申领一次,同一机构(单位)一年内

     可免费申领三个不同产品的试用装。

3.  试用装只面向终端客户

规格 价格 是否有货 数量
10 mM * 1 mL in DMSO ¥605
In-stock
1 mg ¥250
In-stock
5 mg ¥550
In-stock
10 mg ¥900
In-stock
25 mg ¥1800
In-stock
50 mg ¥2800
In-stock
100 mg ¥4700
In-stock
200 mg ¥5900
In-stock
500 mg   询价  
1 g   询价  

* Please select Quantity before adding items.

Customer Review

Other Forms of CI-1040:

    CI-1040 purchased from MCE. Usage Cited in: Biochem Pharmacol. 2023 May:211:115542.  [Abstract]

    CI-1040 (PD 184352; 10, 20, 40 nM; 48 h) significantly inhibits the expression of iNOS and COX2 in a dose-dependent manner in ATDC5 cells.

    CI-1040 purchased from MCE. Usage Cited in: Oncogenesis. 2019 Nov 4;8(11):65.  [Abstract]

    Western blot analysis of p-ERK and ERK protein levels in cell lysates of H1975 treated with AMPC, CI-1040 for 24 h. The levels of the total ERK was used as an input control.

    CI-1040 purchased from MCE. Usage Cited in: Neurotox Res. 2017 Nov;32(4):535-543.  [Abstract]

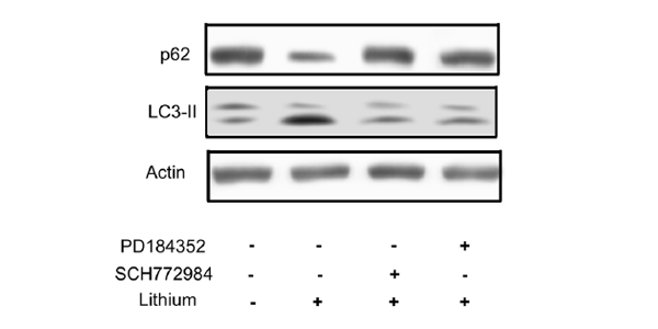
    Lithium promotes autophagy flux by activating MEK/ERK pathway in cells. Original Western blot showing LC3-II and p62 abundance following treatment with lithium in the presence of PD184352 and SCH772984 in neurons. Arithmetic means±SEM (n=5) showing LC3-II abundance following treatment with lithium in the presence of PD184352 and SCH772984 in neurons.

    查看 MEK 亚型特异性产品:

    • 生物活性

    • 实验参考方法

    • 纯度 & 产品资料

    • 参考文献

    生物活性

    CI-1040 (PD 184352) is an orally active, highly specific, small-molecule inhibitor of MEK with an IC50 of 17 nM for MEK1.

    IC50 & Target[1]

    MEK1

    17 nM (IC50)

    细胞效力
    (Cellular Effect)
    Cell Line Type Value Description References
    786-0 EC50
    100 nM
    Compound: CI-1040
    Inhibition of CK2 in human 786-0 cells assessed as decrease in Akt1 phosphorylation at Ser129 after 24 hrs by Western blot analysis
    Inhibition of CK2 in human 786-0 cells assessed as decrease in Akt1 phosphorylation at Ser129 after 24 hrs by Western blot analysis
    [PMID: 30689946]
    Caco-2 IC50
    > 1000 nM
    Compound: 1
    Inhibitory concentration against CaCo cell proliferation, was determined using Cellular proliferation assays
    Inhibitory concentration against CaCo cell proliferation, was determined using Cellular proliferation assays
    [PMID: 12941327]
    Colon 26 IC50
    53 nM
    Compound: PD-184352, CI-1040
    Inhibition of MEK in mouse Colon 26 cells by Western blot
    Inhibition of MEK in mouse Colon 26 cells by Western blot
    [PMID: 18951019]
    LoVo IC50
    131 nM
    Compound: 1
    Inhibitory concentration against LoVo cell proliferation, was determined using Cellular proliferation assays
    Inhibitory concentration against LoVo cell proliferation, was determined using Cellular proliferation assays
    [PMID: 12941327]
    体外研究
    (In Vitro)

    CI-1040 直接抑制 MEK1,IC50 为 17 nM。它也被证明对一组相关激酶几乎没有活性,IC50 值高出 2.5 个数量级以上。用 CI-1040 处理全细胞完全抑制有丝分裂原刺激的 ERK 磷酸化。发现浓度为 1 μM 的 CI-1040 在 MDA-MB-231 乳腺癌细胞中分别抑制 99% 和 92% 的 ERK1ERK2 磷酸化[1]
    CI-1040 以剂量和时间依赖性方式诱导 U-937 细胞凋亡并抑制增殖。CI-1040 可显著增加 PUMA mRNA 和蛋白质水平[2]

    MCE has not independently confirmed the accuracy of these methods. They are for reference only.

    体内研究
    (In Vivo)

    MEK 抑制剂 CI-1040 的全身给药将腺瘤形成减少到三分之一,并显著恢复肺结构。CL-1040 处理小鼠肺细胞增殖率降低,对肺细胞分化无明显影响[3]

    MCE has not independently confirmed the accuracy of these methods. They are for reference only.

    Clinical Trial
    分子量

    478.66

    Formula

    C17H14ClF2IN2O2

    CAS 号
    性状

    固体

    颜色

    White to off-white

    运输条件

    Room temperature in continental US; may vary elsewhere.

    储存方式
    Powder -20°C 3 years
    4°C 2 years
    In solvent -80°C 1 year
    -20°C 6 months
    溶解性数据
    细胞实验: 

    DMSO 中的溶解度 : ≥ 100 mg/mL (208.92 mM; 吸湿的 DMSO 对产品的溶解度有显著影响,请使用新开封的 DMSO)

    * "≥" means soluble, but saturation unknown.

    配制储备液
    浓度 溶剂体积 质量 1 mg 5 mg 10 mg
    1 mM 2.0892 mL 10.4458 mL 20.8917 mL
    5 mM 0.4178 mL 2.0892 mL 4.1783 mL
    查看完整储备液配制表

    * 请根据产品在不同溶剂中的溶解度选择合适的溶剂配制储备液;一旦配成溶液,请分装保存,避免反复冻融造成的产品失效
    储备液的保存方式和期限:-80°C, 1 year; -20°C, 6 months。-80°C储存时,请在1年内使用, -20°C储存时,请在6个月内使用。

    • 摩尔计算器

    • 稀释计算器

    Mass (g) = Concentration (mol/L) × Volume (L) × Molecular Weight (g/mol)

    质量
    =
    浓度
    ×
    体积
    ×
    分子量 *

    Concentration (start) × Volume (start) = Concentration (final) × Volume (final)

    This equation is commonly abbreviated as: C1V1 = C2V2

    浓度 (start)

    C1

    ×
    体积 (start)

    V1

    =
    浓度 (final)

    C2

    ×
    体积 (final)

    V2

    动物实验:

    请根据您的 实验动物和给药方式 选择适当的溶解方案。

    以下溶解方案都请先按照 In Vitro 方式配制澄清的储备液,再依次添加助溶剂:
    ——为保证实验结果的可靠性,澄清的储备液可以根据储存条件,适当保存;体内实验的工作液,建议您现用现配,当天使用
    以下溶剂前显示的百分比是指该溶剂在您配制终溶液中的体积占比;如在配制过程中出现沉淀、析出现象,可以通过加热和/或超声的方式助溶

    • 方案 一

      请依序添加每种溶剂: 10% DMSO    40% PEG300    5% Tween-80    45% Saline

      Solubility: ≥ 2.5 mg/mL (5.22 mM); 澄清溶液

      此方案可获得 ≥ 2.5 mg/mL(饱和度未知)的澄清溶液。

      1 mL 工作液为例,取 100 μL 25.0 mg/mL 的澄清 DMSO 储备液加到 400 μL PEG300 中,混合均匀;再向上述体系中加入 50 μL Tween-80,混合均匀;然后再继续加入 450 μL 生理盐水 定容至 1 mL

      生理盐水的配制:将 0.9 g 氯化钠,溶解于 ddH₂O 并定容至 100 mL,可以得到澄清透明的生理盐水溶液。
    • 方案 二

      请依序添加每种溶剂: 10% DMSO    90% Corn Oil

      Solubility: ≥ 2.08 mg/mL (4.35 mM); 澄清溶液

      此方案可获得 ≥ 2.08 mg/mL(饱和度未知)的澄清溶液,此方案实验周期在半个月以上的动物实验酌情使用。

      1 mL 工作液为例,取 100 μL 20.8 mg/mL 的澄清 DMSO 储备液加到 900 μL玉米油中,混合均匀。

    动物溶解方案计算器
    请输入动物实验的基本信息:

    给药剂量

    mg/kg

    动物的平均体重

    g

    每只动物的给药体积

    μL

    动物数量

    由于实验过程有损耗,建议您多配一只动物的量
    请输入您的动物体内配方组成:
    %
    DMSO +
    +
    %
    Tween-80 +
    %
    Saline
    如果您的动物是免疫缺陷鼠或者体弱鼠,建议 DMSO 中的在最后工作液体系中的占比尽量不超过 2%。
    方案所需 助溶剂 包括:DMSO ,均可在 MCE 网站选购。 Tween 80,均可在 MCE 网站选购。
    计算结果
    工作液所需浓度 : mg/mL
    储备液配制方法 : mg 药物溶于 μL  DMSO(母液浓度为 mg/mL)。
    您所需的储备液浓度超过该产品的实测溶解度,以下方案仅供参考,如有需要,请与 MCE 中国技术支持联系。
    动物实验体内工作液的配制方法 : 取 μL DMSO 储备液,加入 μL  μL ,混合均匀至澄清,再加 μL Tween 80,混合均匀至澄清,再加 μL 生理盐水
    连续给药周期超过半月以上,请谨慎选择该方案。
    请确保第一步储备液溶解至澄清状态,从左到右依次添加助溶剂。您可采用超声加热 (超声清洗仪,建议频次 20-40 kHz),涡旋吹打等方式辅助溶解。
    纯度 & 产品资料

    纯度: 99.91%

    参考文献
    Cell Assay
    [2]

    The MEK inhibitor CI-1040 is dissolved in DMSO as 10 mM stock solutions and used in cell culture at final concentration 50 mg/mL. U-937 cells are pretreated for 24 hrs with 5 and 20 uM CI- 1040, then transfected with wt-p53 siRNA or PUMA siRNA for 48 hrs. Then 20 mL of MTT solution are added to each well and incubated further for 2 hours. Upon termination, the supernatant is aspirated and the MTT formazan formed by metabolically viable cells is dissolved in 100 mL of isopropanol. The plates are mixed for 30 minutes on a gyratory shaker, and absorbance is measured at 595 nm using a plate reader[2].

    MCE has not independently confirmed the accuracy of these methods. They are for reference only.

    Animal Administration
    [3]

    Mice: The lung cancer mouse model is generated by targeting constitutively active C-Raf kinase to the lung. BAY 43-9006 or CI-1040 is daily intraperitoneal injected at a dose of 100 mg/kg from 4 months of age over a period of 21 days. Lungs were isolated and analyzed at the end of the treatment period[3].

    MCE has not independently confirmed the accuracy of these methods. They are for reference only.

    参考文献

    完整储备液配制表

    * 请根据产品在不同溶剂中的溶解度选择合适的溶剂配制储备液;一旦配成溶液,请分装保存,避免反复冻融造成的产品失效
    储备液的保存方式和期限:-80°C, 1 year; -20°C, 6 months。-80°C储存时,请在1年内使用, -20°C储存时,请在6个月内使用。

    可选溶剂 浓度 溶剂体积 质量 1 mg 5 mg 10 mg 25 mg
    DMSO 1 mM 2.0892 mL 10.4458 mL 20.8917 mL 52.2291 mL
    5 mM 0.4178 mL 2.0892 mL 4.1783 mL 10.4458 mL
    10 mM 0.2089 mL 1.0446 mL 2.0892 mL 5.2229 mL
    15 mM 0.1393 mL 0.6964 mL 1.3928 mL 3.4819 mL
    20 mM 0.1045 mL 0.5223 mL 1.0446 mL 2.6115 mL
    25 mM 0.0836 mL 0.4178 mL 0.8357 mL 2.0892 mL
    30 mM 0.0696 mL 0.3482 mL 0.6964 mL 1.7410 mL
    40 mM 0.0522 mL 0.2611 mL 0.5223 mL 1.3057 mL
    50 mM 0.0418 mL 0.2089 mL 0.4178 mL 1.0446 mL
    60 mM 0.0348 mL 0.1741 mL 0.3482 mL 0.8705 mL
    80 mM 0.0261 mL 0.1306 mL 0.2611 mL 0.6529 mL
    100 mM 0.0209 mL 0.1045 mL 0.2089 mL 0.5223 mL
    Help & FAQs
    • Do most proteins show cross-species activity?

      Species cross-reactivity must be investigated individually for each product. Many human cytokines will produce a nice response in mouse cell lines, and many mouse proteins will show activity on human cells. Other proteins may have a lower specific activity when used in the opposite species.

    您最近查看的产品:

    Your information is safe with us. * Required Fields.

       产品名称:

     

    * 需求量:

    * 客户姓名:

     

    * Email:

    * 电话:

     

    * 公司或机构名称:

       留言给我们:

    Bulk Inquiry

    Inquiry Information

    产品名称:
    CI-1040
    目录号:
    HY-50295
    需求量: