1. Neuronal Signaling
  2. α-synuclein
  3. Corynoxine B

Corynoxine B  (Synonyms: 柯诺辛碱 B)

目录号: HY-N0901A 纯度: 99.76%
COA 产品使用指南 技术支持

Corynoxine B 是一种生物碱类型的自噬诱导剂和 α-synuclein 聚集抑制剂,可改善 Mn 诱导的细胞自噬失调和增强帕金森病小鼠中 α-突触核蛋白 (α-syn) 的清除。

MCE 的所有产品仅用作科学研究或药证申报,我们不为任何个人用途提供产品和服务

Corynoxine B

Corynoxine B Chemical Structure

CAS No. : 17391-18-3

1.  客户无需承担相应的运输费用。

2.  同一机构(单位)同一产品试用装仅限申领一次,同一机构(单位)一年内

     可免费申领三个不同产品的试用装。

3.  试用装只面向终端客户

规格 价格 是否有货 数量
10 mM * 1 mL in DMSO ¥3080
In-stock
5 mg ¥2800
In-stock
10 mg ¥4600
In-stock
25 mg 现货 询价
50 mg   询价  
100 mg   询价  

* Please select Quantity before adding items.

Customer Review

Other Forms of Corynoxine B:

    Corynoxine B purchased from MCE. Usage Cited in: Food Chem Toxicol. 2019 Feb;124:336-348.  [Abstract]

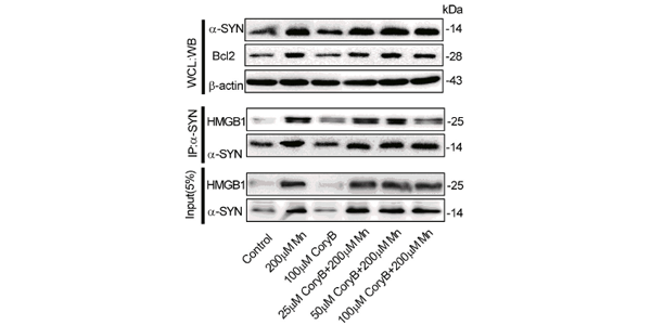
    Expression levels of α-SYN and Bcl2 in the whole-cell lysates are determined by western blotting in the control, 200 μM Mn treatment, and Cory B pretreatment groups.

    Corynoxine B purchased from MCE. Usage Cited in: Food Chem Toxicol. 2019 Feb;124:336-348.  [Abstract]

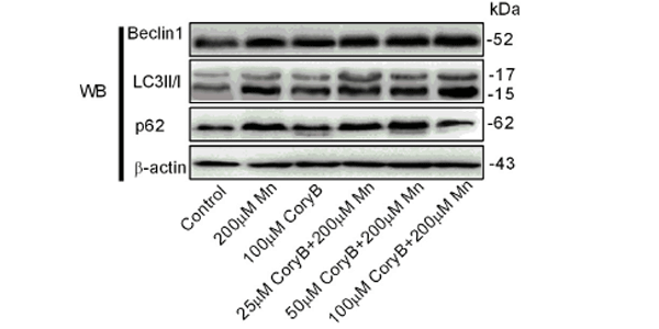
    The expression levels of Beclin1, LC3II/I, and p62 are determined by western blotting in the control, 200 μM Mn treatment, and Cory B pretreatment groups.

    Corynoxine B purchased from MCE. Usage Cited in: Food Chem Toxicol. 2019 Feb;124:336-348.  [Abstract]

    The colocalization of HMGB1 (red) and Beclin1 (green), and Bcl2 (red) and Beclin1 (green) in the control, 200 μM Mn treatment, and 100 μM Cory B pretreatment groups.
    • 生物活性

    • 纯度 & 产品资料

    • 参考文献

    生物活性

    Corynoxine B is an alkaloid-based autophagy inducer and α-synuclein aggregation inhibitor that ameliorates Mn-induced dysregulation of autophagy and enhances α-synuclein (α-syn) clearance in Parkinson's disease mice[1][2][3][4].

    IC50 & Target

    α-synuclein Aggregation

     

    细胞效力
    (Cellular Effect)
    Cell Line Type Value Description References
    HL-60 IC50
    > 40 μM
    Compound: 5
    Cytotoxicity against human HL60 cells after 48 hrs by MTT assay
    Cytotoxicity against human HL60 cells after 48 hrs by MTT assay
    [PMID: 21070010]
    SW480 IC50
    > 40 μM
    Compound: 5
    Cytotoxicity against human SW480 cells after 48 hrs by MTT assay
    Cytotoxicity against human SW480 cells after 48 hrs by MTT assay
    [PMID: 21070010]
    体外研究
    (In Vitro)

    Corynoxine B (25-100 μM, 2 h) 可改善 Mn 诱导的 SH-SY5Y 人神经母细胞瘤细胞自噬失调和神经毒性[1]
    Corynoxine B 可以在 PC12 细胞中增强 BECN1 蛋白的表达并恢复 SNCA/α-突触核蛋白 (α-syn) 过表达引起的自噬抑制[2]

    MCE has not independently confirmed the accuracy of these methods. They are for reference only.

    Cell Viability Assay[1].

    Cell Line: SH-SY5Y cell
    Concentration: 25-100 μM
    Incubation Time: 2 h
    Result: Improved cell vitality

    Western Blot Analysis[2].

    Cell Line: Inducible PC12 cell lines (iPC12) overexpressing SNCA (WT and A53T)
    Concentration:
    Incubation Time: 24 h
    Result: Increased LC3-II and BECN1 protein levels
    体内研究
    (In Vivo)

    Corynoxine B (5-20 mg/kg, 腹腔注射) 通过靶向 HMGB1/2 来增强帕金森病小鼠中 α-突触核蛋白 (α-syn) 清除的自噬[3]

    MCE has not independently confirmed the accuracy of these methods. They are for reference only.

    Animal Model: A53T α-syn transgenic mouse model[3].
    Dosage: 5-20 mg/kg
    Administration: Intraperitoneal injection (i.p.)
    Result: Promoted α-syn clearance
    分子量

    384.47

    Formula

    C22H28N2O4

    CAS 号
    性状

    固体

    颜色

    White to off-white

    中文名称

    柯诺辛碱 B

    结构分类
    初始来源
    运输条件

    Room temperature in continental US; may vary elsewhere.

    储存方式
    Powder -20°C 3 years
    4°C 2 years
    In solvent -80°C 2 years
    -20°C 1 year
    溶解性数据
    细胞实验: 

    DMSO 中的溶解度 : 83.33 mg/mL (216.74 mM; 超声助溶; 吸湿的 DMSO 对产品的溶解度有显著影响,请使用新开封的 DMSO)

    配制储备液
    浓度 溶剂体积 质量 1 mg 5 mg 10 mg
    1 mM 2.6010 mL 13.0049 mL 26.0098 mL
    5 mM 0.5202 mL 2.6010 mL 5.2020 mL
    查看完整储备液配制表

    * 请根据产品在不同溶剂中的溶解度选择合适的溶剂配制储备液;一旦配成溶液,请分装保存,避免反复冻融造成的产品失效
    储备液的保存方式和期限:-80°C, 2 years; -20°C, 1 year。-80°C储存时,请在2年内使用, -20°C储存时,请在1年内使用。

    • 摩尔计算器

    • 稀释计算器

    Mass (g) = Concentration (mol/L) × Volume (L) × Molecular Weight (g/mol)

    质量
    =
    浓度
    ×
    体积
    ×
    分子量 *

    Concentration (start) × Volume (start) = Concentration (final) × Volume (final)

    This equation is commonly abbreviated as: C1V1 = C2V2

    浓度 (start)

    C1

    ×
    体积 (start)

    V1

    =
    浓度 (final)

    C2

    ×
    体积 (final)

    V2

    动物实验:

    请根据您的 实验动物和给药方式 选择适当的溶解方案。

    以下溶解方案都请先按照 In Vitro 方式配制澄清的储备液,再依次添加助溶剂:
    ——为保证实验结果的可靠性,澄清的储备液可以根据储存条件,适当保存;体内实验的工作液,建议您现用现配,当天使用
    以下溶剂前显示的百分比是指该溶剂在您配制终溶液中的体积占比;如在配制过程中出现沉淀、析出现象,可以通过加热和/或超声的方式助溶

    • 方案 一

      请依序添加每种溶剂: 10% DMSO    40% PEG300    5% Tween-80    45% Saline

      Solubility: ≥ 2.08 mg/mL (5.41 mM); 澄清溶液

      此方案可获得 ≥ 2.08 mg/mL(饱和度未知)的澄清溶液。

      1 mL 工作液为例,取 100 μL 20.8 mg/mL 的澄清 DMSO 储备液加到 400 μL PEG300 中,混合均匀;再向上述体系中加入 50 μL Tween-80,混合均匀;然后再继续加入 450 μL 生理盐水 定容至 1 mL

      生理盐水的配制:将 0.9 g 氯化钠,溶解于 ddH₂O 并定容至 100 mL,可以得到澄清透明的生理盐水溶液。
    • 方案 二

      请依序添加每种溶剂: 10% DMSO    90% Corn Oil

      Solubility: ≥ 2.08 mg/mL (5.41 mM); 澄清溶液

      此方案可获得 ≥ 2.08 mg/mL(饱和度未知)的澄清溶液,此方案实验周期在半个月以上的动物实验酌情使用。

      1 mL 工作液为例,取 100 μL 20.8 mg/mL 的澄清 DMSO 储备液加到 900 μL玉米油中,混合均匀。

    动物溶解方案计算器
    请输入动物实验的基本信息:

    给药剂量

    mg/kg

    动物的平均体重

    g

    每只动物的给药体积

    μL

    动物数量

    由于实验过程有损耗,建议您多配一只动物的量
    请输入您的动物体内配方组成:
    %
    DMSO +
    +
    %
    Tween-80 +
    %
    Saline
    如果您的动物是免疫缺陷鼠或者体弱鼠,建议 DMSO 中的在最后工作液体系中的占比尽量不超过 2%。
    方案所需 助溶剂 包括:DMSO ,均可在 MCE 网站选购。 Tween 80,均可在 MCE 网站选购。
    计算结果
    工作液所需浓度 : mg/mL
    储备液配制方法 : mg 药物溶于 μL  DMSO(母液浓度为 mg/mL)。
    您所需的储备液浓度超过该产品的实测溶解度,以下方案仅供参考,如有需要,请与 MCE 中国技术支持联系。
    动物实验体内工作液的配制方法 : 取 μL DMSO 储备液,加入 μL  μL ,混合均匀至澄清,再加 μL Tween 80,混合均匀至澄清,再加 μL 生理盐水
    连续给药周期超过半月以上,请谨慎选择该方案。
    请确保第一步储备液溶解至澄清状态,从左到右依次添加助溶剂。您可采用超声加热 (超声清洗仪,建议频次 20-40 kHz),涡旋吹打等方式辅助溶解。
    纯度 & 产品资料

    纯度: 99.76%

    参考文献

    完整储备液配制表

    * 请根据产品在不同溶剂中的溶解度选择合适的溶剂配制储备液;一旦配成溶液,请分装保存,避免反复冻融造成的产品失效
    储备液的保存方式和期限:-80°C, 2 years; -20°C, 1 year。-80°C储存时,请在2年内使用, -20°C储存时,请在1年内使用。

    可选溶剂 浓度 溶剂体积 质量 1 mg 5 mg 10 mg 25 mg
    DMSO 1 mM 2.6010 mL 13.0049 mL 26.0098 mL 65.0246 mL
    5 mM 0.5202 mL 2.6010 mL 5.2020 mL 13.0049 mL
    10 mM 0.2601 mL 1.3005 mL 2.6010 mL 6.5025 mL
    15 mM 0.1734 mL 0.8670 mL 1.7340 mL 4.3350 mL
    20 mM 0.1300 mL 0.6502 mL 1.3005 mL 3.2512 mL
    25 mM 0.1040 mL 0.5202 mL 1.0404 mL 2.6010 mL
    30 mM 0.0867 mL 0.4335 mL 0.8670 mL 2.1675 mL
    40 mM 0.0650 mL 0.3251 mL 0.6502 mL 1.6256 mL
    50 mM 0.0520 mL 0.2601 mL 0.5202 mL 1.3005 mL
    60 mM 0.0433 mL 0.2167 mL 0.4335 mL 1.0837 mL
    80 mM 0.0325 mL 0.1626 mL 0.3251 mL 0.8128 mL
    100 mM 0.0260 mL 0.1300 mL 0.2601 mL 0.6502 mL
    Help & FAQs
    • Do most proteins show cross-species activity?

      Species cross-reactivity must be investigated individually for each product. Many human cytokines will produce a nice response in mouse cell lines, and many mouse proteins will show activity on human cells. Other proteins may have a lower specific activity when used in the opposite species.

    您最近查看的产品:

    Your information is safe with us. * Required Fields.

       产品名称:

     

    * 需求量:

    * 客户姓名:

     

    * Email:

    * 电话:

     

    * 公司或机构名称:

       留言给我们:

    Bulk Inquiry

    Inquiry Information

    产品名称:
    Corynoxine B
    目录号:
    HY-N0901A
    需求量: