1. Cell Cycle/DNA Damage
  2. DNA/RNA Synthesis
  3. Didox

Didox  (Synonyms: NSC-324360)

目录号: HY-19387 纯度: 98.03%
COA 产品使用指南 技术支持

Didox (NSC-324360) 是一种合成的核糖核苷酸还原酶 (ribonucleotide reductase, RR) 抑制剂。

MCE 的所有产品仅用作科学研究或药证申报,我们不为任何个人用途提供产品和服务

Didox

Didox Chemical Structure

CAS No. : 69839-83-4

1.  客户无需承担相应的运输费用。

2.  同一机构(单位)同一产品试用装仅限申领一次,同一机构(单位)一年内

     可免费申领三个不同产品的试用装。

3.  试用装只面向终端客户

规格 价格 是否有货 数量
Free Sample (0.1 - 0.2 mg)   Apply now  
10 mM * 1 mL in DMSO ¥660
In-stock
5 mg ¥600
In-stock
10 mg ¥800
In-stock
25 mg ¥1700
In-stock
50 mg ¥2600
In-stock
100 mg ¥4000
In-stock
200 mg   询价  
500 mg   询价  

* Please select Quantity before adding items.

Customer Review

Other Forms of Didox:

    Didox purchased from MCE. Usage Cited in: J Ethnopharmacol. 2018 Dec 5:227:166-175.  [Abstract]

    The hepa 1c1c7 cells are treated with indicated doses of extracts along with LPS (1 μg/mL) for 24 h, and then the accumulation of nitrite from the supernatants is evaluated by Griess reagent. Didox (DI) is used as a positive control, and possessed an inhibitory rate of about 70% at 100 μM.

    Didox purchased from MCE. Usage Cited in: Oxid Med Cell Longev. 2018 Mar 20:2018:7616852.  [Abstract]

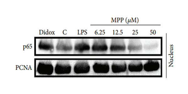
    MPP inhibits the NF-κB-dependent luciferase activity. After being cotransfected with NF-κB firefly luciferase and TK-Renilla luciferase, cells are pretreated with MPP (25 μM) or Didox (100 μM) for 1 h and cotreated with LPS (1 μg/mL) for 16 h.
    • 生物活性

    • 实验参考方法

    • 纯度 & 产品资料

    • 参考文献

    生物活性

    Didox (NSC-324360) is a synthetic ribonucleotide reductase (RR) inhibitor.

    IC50 & Target

    Ribonucleotide reductase[1]

    细胞效力
    (Cellular Effect)
    Cell Line Type Value Description References
    RAW264.7 EC50
    82.4 μM
    Compound: Didox
    Antiinflammatory activity in mouse RAW264.7 cells assessed as inhibition of LPS-induced nitric oxide production measured after 24 hrs by Griess assay
    Antiinflammatory activity in mouse RAW264.7 cells assessed as inhibition of LPS-induced nitric oxide production measured after 24 hrs by Griess assay
    [PMID: 29517238]
    体外研究
    (In Vitro)

    Didox (NSC-324360) 在治疗 24 小时后可抑制 LPS 诱导的 iNOS、IL-6、IL-1、TNF-α、NF-κβ (p65) 和 p38-α 的 mRNA 水平。使用 Didox 治疗还会抑制一氧化氮 (NO)、IL-6 和 IL-10 的分泌。使用线粒体脱氢酶活性作为细胞毒性的衡量标准,在 24 小时内检查了 Didox 在一系列浓度下对 RAW264.7 中细胞呼吸的影响。细胞暴露于 200 μM 及以下的 Didox(含或不含 LPS)不会表现出明显的细胞毒性[1]。 Didox (NSC-324360) 对所有人类和鼠急性髓细胞白血病 (AML) 细胞系均有效,经测试其 IC50 值在低微摩尔范围内(平均 IC50 37 μM [范围 25.89-52.70 μM])

    MCE has not independently confirmed the accuracy of these methods. They are for reference only.

    体内研究
    (In Vivo)

    一旦通过生物发光成像建立植入,动物在 5 天内通过腹腔注射;注射每天接受 425 mg/kg 的 Didox 给药。与载体处理的对照相比,Didox (NSC-324360) 处理显著降低了白血病负担 (p=0.0026 和 p=0.0342)。更重要的是,Didox (NSC-324360) 提供了显著的生存益处 (p<0.0001 和 p=0.0094)[2]

    MCE has not independently confirmed the accuracy of these methods. They are for reference only.

    分子量

    169.13

    Formula

    C7H7NO4

    CAS 号
    性状

    固体

    颜色

    Light yellow to khaki

    运输条件

    Room temperature in continental US; may vary elsewhere.

    储存方式
    Powder -20°C 3 years
    4°C 2 years
    In solvent -80°C 6 months
    -20°C 1 month
    溶解性数据
    细胞实验: 

    DMSO 中的溶解度 : 100 mg/mL (591.26 mM; 超声助溶; 吸湿的 DMSO 对产品的溶解度有显著影响,请使用新开封的 DMSO)

    配制储备液
    浓度 溶剂体积 质量 1 mg 5 mg 10 mg
    1 mM 5.9126 mL 29.5631 mL 59.1261 mL
    5 mM 1.1825 mL 5.9126 mL 11.8252 mL
    查看完整储备液配制表

    * 请根据产品在不同溶剂中的溶解度选择合适的溶剂配制储备液;一旦配成溶液,请分装保存,避免反复冻融造成的产品失效
    储备液的保存方式和期限:-80°C, 6 months; -20°C, 1 month。-80°C储存时,请在6个月内使用,-20°C储存时,请在1个月内使用。

    • 摩尔计算器

    • 稀释计算器

    Mass (g) = Concentration (mol/L) × Volume (L) × Molecular Weight (g/mol)

    质量
    =
    浓度
    ×
    体积
    ×
    分子量 *

    Concentration (start) × Volume (start) = Concentration (final) × Volume (final)

    This equation is commonly abbreviated as: C1V1 = C2V2

    浓度 (start)

    C1

    ×
    体积 (start)

    V1

    =
    浓度 (final)

    C2

    ×
    体积 (final)

    V2

    动物实验:

    请根据您的 实验动物和给药方式 选择适当的溶解方案。

    以下溶解方案都请先按照 In Vitro 方式配制澄清的储备液,再依次添加助溶剂:
    ——为保证实验结果的可靠性,澄清的储备液可以根据储存条件,适当保存;体内实验的工作液,建议您现用现配,当天使用
    以下溶剂前显示的百分比是指该溶剂在您配制终溶液中的体积占比;如在配制过程中出现沉淀、析出现象,可以通过加热和/或超声的方式助溶

    • 方案 一

      请依序添加每种溶剂: 10% DMSO    40% PEG300    5% Tween-80    45% Saline

      Solubility: ≥ 2.75 mg/mL (16.26 mM); 澄清溶液

      此方案可获得 ≥ 2.75 mg/mL(饱和度未知)的澄清溶液。

      1 mL 工作液为例,取 100 μL 27.5 mg/mL 的澄清 DMSO 储备液加到 400 μL PEG300 中,混合均匀;再向上述体系中加入 50 μL Tween-80,混合均匀;然后再继续加入 450 μL 生理盐水 定容至 1 mL

      生理盐水的配制:将 0.9 g 氯化钠,溶解于 ddH₂O 并定容至 100 mL,可以得到澄清透明的生理盐水溶液。
    • 方案 二

      请依序添加每种溶剂: 10% DMSO    90% (20% SBE-β-CD in Saline)

      Solubility: ≥ 2.75 mg/mL (16.26 mM); 澄清溶液

      此方案可获得 ≥ 2.75 mg/mL(饱和度未知)的澄清溶液。

      1 mL 工作液为例,取 100 μL 27.5 mg/mL 的澄清 DMSO 储备液加到 900 μL 20% 的 SBE-β-CD 生理盐水水溶液 中,混合均匀。

      2 g SBE-β-CD(磺丁基醚 β-环糊精)粉末定容于 10 mL 的生理盐水中,完全溶解至澄清透明。
    动物溶解方案计算器
    请输入动物实验的基本信息:

    给药剂量

    mg/kg

    动物的平均体重

    g

    每只动物的给药体积

    μL

    动物数量

    由于实验过程有损耗,建议您多配一只动物的量
    请输入您的动物体内配方组成:
    %
    DMSO +
    +
    %
    Tween-80 +
    %
    Saline
    如果您的动物是免疫缺陷鼠或者体弱鼠,建议 DMSO 中的在最后工作液体系中的占比尽量不超过 2%。
    方案所需 助溶剂 包括:DMSO ,均可在 MCE 网站选购。 Tween 80,均可在 MCE 网站选购。
    计算结果
    工作液所需浓度 : mg/mL
    储备液配制方法 : mg 药物溶于 μL  DMSO(母液浓度为 mg/mL)。
    您所需的储备液浓度超过该产品的实测溶解度,以下方案仅供参考,如有需要,请与 MCE 中国技术支持联系。
    动物实验体内工作液的配制方法 : 取 μL DMSO 储备液,加入 μL  μL ,混合均匀至澄清,再加 μL Tween 80,混合均匀至澄清,再加 μL 生理盐水
    连续给药周期超过半月以上,请谨慎选择该方案。
    请确保第一步储备液溶解至澄清状态,从左到右依次添加助溶剂。您可采用超声加热 (超声清洗仪,建议频次 20-40 kHz),涡旋吹打等方式辅助溶解。
    纯度 & 产品资料
    参考文献
    Cell Assay
    [1]

    RAW264.7 macrophages are treated with Didox alone, with 0.1 μg/mL LPS, or the two in combination. Cellular respiration, as an indication of cytotoxicity, is measured by the MTT assay, which quantifies mitochondrial dehydrogenase activity. Macrophages are plated into 96 well Costar plates at 105 cells per well in 100 μL of DMEM media. After 4 h of incubation at 37°C for adherence, compounds and DMSO carrier control (0.01% final) are added in triplicate over serial dilutions beginning with 200 μM per well in a total volume of 200 μL, and the plates incubated for 24 h. Four h before termination of the assay, each well receives 20 μL of a 5 mg/mL MTT solution in un-supplemented DMEM. After centrifugation, the supernatant for each well is discarded and cells containing reduced MTT are solubilized with 100 μL of acidified isopropanol (4 mM HCl, 0.1% NP-40 in isopropanol). Following a brief period of shaking, the optical density (O.D.) for each well is recorded at 550 nm. Each experiment is repeated three times and the data averaged from each triplicate, then expressed as percentage of the control O.D. values for each experiment[1].

    MCE has not independently confirmed the accuracy of these methods. They are for reference only.

    Animal Administration
    [2]

    Mice[2]
    Luciferase-tagged leukemia cells are transplanted into 8- week old, sublethally irradiated (4.5 Gy) C57Bl/6 mice by tail vein injection of 1.0×106 cells per mouse. Mice are injected with 150 mg/kg D-Luciferin, anesthetised with Isoflurane, and imaged using the IVIS 100 imaging system. Mice begin treatment with Didox upon detection of clear signal. The animals are treated with daily administrations of Didox (NSC-324360) at 425 mg/kg Didox by intraperitoneal injection (IP) for 5 days. Control animals receive 5% dextrose water by IP injection. Repeat imaging is performed on the day following the final treatment[2].

    MCE has not independently confirmed the accuracy of these methods. They are for reference only.

    参考文献

    完整储备液配制表

    * 请根据产品在不同溶剂中的溶解度选择合适的溶剂配制储备液;一旦配成溶液,请分装保存,避免反复冻融造成的产品失效
    储备液的保存方式和期限:-80°C, 6 months; -20°C, 1 month。-80°C储存时,请在6个月内使用,-20°C储存时,请在1个月内使用。

    可选溶剂 浓度 溶剂体积 质量 1 mg 5 mg 10 mg 25 mg
    DMSO 1 mM 5.9126 mL 29.5631 mL 59.1261 mL 147.8153 mL
    5 mM 1.1825 mL 5.9126 mL 11.8252 mL 29.5631 mL
    10 mM 0.5913 mL 2.9563 mL 5.9126 mL 14.7815 mL
    15 mM 0.3942 mL 1.9709 mL 3.9417 mL 9.8544 mL
    20 mM 0.2956 mL 1.4782 mL 2.9563 mL 7.3908 mL
    25 mM 0.2365 mL 1.1825 mL 2.3650 mL 5.9126 mL
    30 mM 0.1971 mL 0.9854 mL 1.9709 mL 4.9272 mL
    40 mM 0.1478 mL 0.7391 mL 1.4782 mL 3.6954 mL
    50 mM 0.1183 mL 0.5913 mL 1.1825 mL 2.9563 mL
    60 mM 0.0985 mL 0.4927 mL 0.9854 mL 2.4636 mL
    80 mM 0.0739 mL 0.3695 mL 0.7391 mL 1.8477 mL
    100 mM 0.0591 mL 0.2956 mL 0.5913 mL 1.4782 mL
    Help & FAQs
    • Do most proteins show cross-species activity?

      Species cross-reactivity must be investigated individually for each product. Many human cytokines will produce a nice response in mouse cell lines, and many mouse proteins will show activity on human cells. Other proteins may have a lower specific activity when used in the opposite species.

    您最近查看的产品:

    Your information is safe with us. * Required Fields.

       产品名称:

     

    * 需求量:

    * 客户姓名:

     

    * Email:

    * 电话:

     

    * 公司或机构名称:

       留言给我们:

    Bulk Inquiry

    Inquiry Information

    产品名称:
    Didox
    目录号:
    HY-19387
    需求量: