1. Vitamin D Related/Nuclear Receptor Autophagy
  2. Androgen Receptor Autophagy
  3. Enzalutamide

Enzalutamide  (Synonyms: 恩杂鲁胺; MDV3100)

目录号: HY-70002 纯度: 99.97%
COA 产品使用指南 技术支持

Enzalutamide (MDV3100) 是一种雄激素受体 (androgen receptor (AR)) 拮抗剂,在 LNCaP 前列腺细胞中抑制 AR 的 IC50 值为 36 nM。Enzalutamide 是一种自噬 (autophagy) 激活剂。

MCE 的所有产品仅用作科学研究或药证申报,我们不为任何个人用途提供产品和服务

我们将采用定制合成服务的方式为您快速提供所需产品和技术服务

CAS No. : 915087-33-1

1.  客户无需承担相应的运输费用。

2.  同一机构(单位)同一产品试用装仅限申领一次,同一机构(单位)一年内

     可免费申领三个不同产品的试用装。

3.  试用装只面向终端客户

规格 价格 是否有货 数量
10 mM * 1 mL in DMSO ¥990
In-stock
5 mg ¥900
In-stock
10 mg ¥1392
In-stock
50 mg ¥3550
In-stock
100 mg ¥5200
In-stock
200 mg 现货 询价
500 mg   询价  
1 g   询价  

* Please select Quantity before adding items.

Customer Review

MCE 顾客使用本产品发表的 187 篇科研文献

WB
IF
Cell Viability Assay

    Enzalutamide purchased from MCE. Usage Cited in: Cell. 2023 Jun 22;186(13):2748-2764.e22.  [Abstract]

    Western blot showing expression of endogenous and ectopic MBOAT2 in LnAR cells harboring either vector control or MBOAT2-mCherry. Cells were treated with 5 μM ENZ (Enzalutamide) as indicated for 48 h.

    Enzalutamide purchased from MCE. Usage Cited in: Cell. 2023 Jun 22;186(13):2748-2764.e22.  [Abstract]

    Viability analysis of LnAR cells harboring vector or MBOAT2 overexpression. Cells were pretreated with DMSO (ctrl) or 5 μM ENZ (Enzalutamide) for 48 h, followed by 1 μM RSL3 for 24 h.

    Enzalutamide purchased from MCE. Usage Cited in: Eur J Med Chem. 2018 Sep 5:157:1164-1173.  [Abstract]

    Dose-response curves of active degraders and Enzalutamide on AR transcriptional activity as measured in LNCaP-eGFP cells following 0.1 nM R1881 for 72 hours in RPMI+CSS media (3 replicates per point). (B) PSA inhibition curves against transcriptional activity of AR as measured from the media of LNCaP-eGFP cells with active degraders and enzalutamide under the same conditions as A.

    Enzalutamide purchased from MCE. Usage Cited in: Int J Cancer. 2018 Aug 1;143(3):645-656.  [Abstract]

    Evaluation of protein expression change of Notch receptors response to the treatment of 10 μM Enzalutamide as an androgen receptor (AR) antagonist.

    Enzalutamide purchased from MCE. Usage Cited in: Sci Rep. 2018 Oct 10;8(1):15063.  [Abstract]

    The increased protein levels of both LEDGF/p75 and CLU are observed in cells treated with either 1 nM or 10 nM DHT, which is attenuated by exposure to 1 μM Enz.

    Enzalutamide purchased from MCE. Usage Cited in: J Endocrinol. 2019 Jan;240(1):51-63.  [Abstract]

    At the protein level, CORT-induced FKBP5 content in both WAT and liver is attenuated with AR antagonism.

    Enzalutamide purchased from MCE. Usage Cited in: Sci Rep. 2018 Nov 23;8(1):17307.   [Abstract]

    Western analysis of protein expression in LNCaP and 16D CRPC cells treated with 10 μM ENZ for indicated days.

    Enzalutamide purchased from MCE. Usage Cited in: Sci Rep. 2018 Nov 23;8(1):17307.   [Abstract]

    Protein expression analysis of p-STAT3S727, STAT3, PSA, AR and Vinculin in the treatment of ENZ and GPA500.

    Enzalutamide purchased from MCE. Usage Cited in: J Biol Chem. 2018 Sep 14;293(37):14328-14341.  [Abstract]

    C4-2R cells are treated with MK 733, Enzalutamide or combination of the two drugs at the indicated concentrations for 48 hours, followed by Immunoblotting (IB) against cleaved PARP.

    Enzalutamide purchased from MCE. Usage Cited in: Front Physiol. 2018 Apr 16:9:312.  [Abstract]

    Protein lysates of vehicle-, 1 μM BCT-, and 1 μM EZT-treated MDA-MB-453 cells are probed by immunoblotting with anti-KCa1.1 (upper panel) and anti-ACTB (lower panel) antibodies on the same filter.

    Enzalutamide purchased from MCE. Usage Cited in: Cancer Discov. 2017 Jan;7(1):54-71.  [Abstract]

    BRN2 expression inversely correlates with PSA in human PCa and is induced by ENZ. Protein and relative mRNA expression of BRN2, SYP, NSE, CGA, and VINC in siScr and 796 siBRN2 16DCRPC cells treated -/+ 10 μM ENZ for 2, 4 or 7 days.

    Enzalutamide purchased from MCE. Usage Cited in: Mol Cancer Ther. 2017 Oct;16(10):2281-2291.  [Abstract]

    Top-Cells (RPMI+CSS) are co-transfected with ARR3tk-Luc and Renilla-Luc plasmids (48 hrs). With the exception of 22Rv1, 0.1 nM R1881 is used to stimulate the AR, followed by compound treatment (24 hrs). 100% refers to normalized luminescence without compound (DMSO vehicle). Curves are fitted to a sigmoid dose-response with variable slope equation (GraphPad).

    Enzalutamide purchased from MCE. Usage Cited in: Int J Oncol. 2017 Jan;50(1):75-84.  [Abstract]

    Effects of culture in CSS and treatment with Enzalutamide on cell cycle of T24GR cells. T24 and T24GR cells (5x105) are seeded in a 6-well plate and cultured for 24 h. The culture medium is changed to that containing 50 μM Enzalutamide or vehicle (DMSO). Seventy-two hours later, cell lysates are harvested and subjected to western blot analysis for cyclin B1, D1 and β-actin.

    Enzalutamide purchased from MCE. Usage Cited in: Prostate. 2017 Feb;77(3):309-320.  [Abstract]

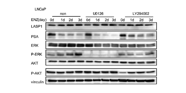
    LNCaP cell are treated with 20 mM LY294002 or 10 mM U0126 for 1 hr before 10 mM of ENZ. Whole-cell extracts are subjected to SDS–PAGE, followed by western blot analysis for the indicated proteins.

    Enzalutamide purchased from MCE. Usage Cited in: Oncotarget. 2017 Dec 7;8(70):115054-115067.  [Abstract]

    The levels of YAP1 protein are measured in LNCaP cells treated for 24 h with the AR antagonist MDV3100 (Enzalutamide, 100 nM) and ICI 176334 (10 mM).

    Enzalutamide purchased from MCE. Usage Cited in: Horm Cancer. 2017 Aug;8(4):243-256.  [Abstract]

    LNCaP cells are grown in complete media for 24 h in the presence of vehicle (control) or Enzalutamide, 10 μM, and protein expression normalized to β-tubulin.

    Enzalutamide purchased from MCE. Usage Cited in: Department of Medicine, Faculty of Obstetrics and Gynaecology. University of British Columbia. 2017 Apr.

    VCaP (mock) and VCaP (UGT2B17) cells are cultured in the RPMI1640 medium plus 5% CSS. Cells are treated with vehicle, 10 nM of R1881 or 10 μM of Enzalutamide (ENZ) for 0 or 28 days. Protein levels of UGT2B17, pSrc, tSrc, pAKT, total AKT, pSTAT3, total STAT3, pSTAT5, total STAT5 and β-actin are determined by immunoblotting.

    Enzalutamide purchased from MCE. Usage Cited in: Faculty of Medicine. University of British Columbia. 2017 Dec.

    p-TNIK (S764), T-TNIK, and PSA protein expression are assessed in (A) LNCaP and 16DCRPC cells that are treated with 10 μM Enzalutamide (ENZ) in media containing 10% FBS for 2, 4, and 7 days by western blot. Vinculin is used as loading control.

    Enzalutamide purchased from MCE. Usage Cited in: Mol Cancer Ther. 2016 Sep;15(9):2107-18.  [Abstract]

    Combination of Enzalutamide and 17-AAG lead to decreased AR protein level and transcriptional activity. (A&B) LNCaP (A) and C4-2 (B) cells are treated as indicated for 24 hr, followed by IB against AR, PSA and CHIP. (C&D) 22RV1 (C) and MR49F (D) cells are treated as indicated for 24 hr, followed by IB against AR and HSP90. (E) C4-2 cells are treated as indicated for 24 hr, fractionated into cytoplasm and nuclear, followed by IB against AR and Plk1.

    Enzalutamide purchased from MCE. Usage Cited in: Mol Cancer Res. 2016 Jun;14(6):574-85.  [Abstract]

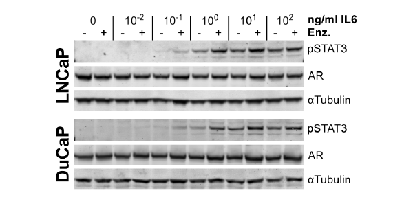
    LNCaP and DuCaP cells are 1 treated for 72 hours with 1 or 10 μM Enzalutamide in the presence of increasing IL6 concentrations. The effect on JAK/STAT3 signaling is measured by determining STAT3 Tyr705-phosphorylation via Western blot and calculation of dose response curves.

    Enzalutamide purchased from MCE. Usage Cited in: Oncotarget. 2016 Sep 13;7(37):59781-59794.  [Abstract]

    Short term treatment (14 days) of LAPC4 vehicle cells with 8μM Enzalutamide clearly demonstrates that AR overexpression is not a short term effect of drug treatment but develops as a long term adaptation during acquisition of resistance. It has been suggested that presence of a truncated AR variant (AR-V7) is associated with resistance to Enzalutamide.

    Enzalutamide purchased from MCE. Usage Cited in: Oncotarget. 2016 Jun 28;7(26):40690-40703.  [Abstract]

    DHT alone, Enzalutamide alone, or the combination in androgen-depleted conditions also increase expression of canonical AR targets: KLK3, TMPRSS2, and NKX3.1 and increase protein levels of PSA encoded by the KLK3 gene.

    Enzalutamide purchased from MCE. Usage Cited in: Oncotarget. 2015 Aug 21;6(24):20474-84.  [Abstract]

    LNCaP cells are cultured in RPMI1640 medium containing 5% CSS and treated with vehicle, 1 μM of ICRF187 or 1 μM of ICRF193 in addition to vehicle, 10 nM of R1881 or 10 μM of ENZ treatment for 2 hours. Three independent ChIP experiments are performed using the AR antibody. AR protein levels under 2 and 24 hour treatment are detected by Western blotting.

    Enzalutamide purchased from MCE. Usage Cited in: Patent. US20140088178A1.

    Effect of AR1 (MDV-3100) administration on AKT and ERK phosphorylation and protein levels in LNCaP cells. (A), 10 μM AR1. (B), after 48 hours of AR1 treatment at indicated concentrations. (C), Dose dependent change of expression level of AKT or ERK after treatment with AR1. (D), Dose dependent change of expression level of AKT or ERK after treatment with AR1.

    Enzalutamide purchased from MCE. Usage Cited in: Cancer Res. 2013 Aug 15;73(16):5206-17.  [Abstract]

    MDV3100-induced CLU is mediated via p90Rsk-YB-1 signaling pathway. MDV3100 activates AKT and MAPK pathways. LNCaP cells are treated with 10 μM MDV3100 for indicated times and Western blotted using CLU, p-Rsk/R/Rsk, p-S6K/S6K, and pYB-1/YB-1. Vinculin is used as a loading control.

    Enzalutamide purchased from MCE. Usage Cited in: Cancer Res. 2013 Aug 15;73(16):5206-17.  [Abstract]

    CLU is induced by MDV3100 in time- and dose-dependent manner. LNCaP cells are treated with MDV3100 at indicated time (left) or concentration (right) and Western blot analysis is conducted with CLU, AR, and PSA antibodies.

    Enzalutamide purchased from MCE. Usage Cited in: Mol Cancer Ther. 2013 May;12(5):567-76.  [Abstract]

    LNCaP cells are treated with Compound 30 or MDV3100 for 24 hours; AR and PSA are analyzed by Western blot analysis; Vinculin is used as a loading control.

    Enzalutamide purchased from MCE. Usage Cited in: Mol Cancer Ther. 2013 May;12(5):567-76.  [Abstract]

    LNCaP cells are maintained in androgen-deprived conditions for 24 hours and treated with 10 μM Compound 30 or MDV3100 for 2 hours followed by addition of 1 nM of R1881. After 15 minutes incubation, cells are fixed and AR localization is assessed by immunofluorescence imaging.
    • 生物活性

    • 实验参考方法

    • 纯度 & 产品资料

    • 参考文献

    生物活性

    Enzalutamide (MDV3100) is an androgen receptor (AR) antagonist with an IC50 of 36 nM in LNCaP prostate cells. Enzalutamide is an autophagy activator[1][2].

    IC50 & Target

    IC50: 36 nM (androgen-receptor, in LNCaP cells)[1]

    细胞效力
    (Cellular Effect)
    Cell Line Type Value Description References
    CWR22R IC50
    > 10 μM
    Compound: 4
    Cytotoxicity against AR-positive human 22Rv1 cells assessed as inhibition of cell growth incubated for 7 days in regular culture medium by WST-8 assay
    Cytotoxicity against AR-positive human 22Rv1 cells assessed as inhibition of cell growth incubated for 7 days in regular culture medium by WST-8 assay
    [PMID: 30629437]
    CWR22R IC50
    > 30 μM
    Compound: Enza
    Antiproliferative activity against human 22Rv1 expressing AR assessed as reduction in cell viability incubated for 6 days by CCK-8 assay
    Antiproliferative activity against human 22Rv1 expressing AR assessed as reduction in cell viability incubated for 6 days by CCK-8 assay
    [PMID: 31437779]
    CWR22R IC50
    > 30 μM
    Compound: Enza
    Antiproliferative activity against human 22Rv1 cells assessed as reduction in cell viability incubated for 6 days by CCK8 assay
    Antiproliferative activity against human 22Rv1 cells assessed as reduction in cell viability incubated for 6 days by CCK8 assay
    [PMID: 30925341]
    CWR22R GI50
    > 40 μM
    Compound: Enzalutamide
    Antiproliferative activity against AR-positive human 22Rv1 cells harboring ARE14 construct assessed as growth inhibition after 72 hrs by resazurin dye based fluorescence assay
    Antiproliferative activity against AR-positive human 22Rv1 cells harboring ARE14 construct assessed as growth inhibition after 72 hrs by resazurin dye based fluorescence assay
    [PMID: 31271960]
    CWR22R IC50
    24.77 μM
    Compound: 2a
    Antiproliferative activity against human 22Rv1 cells after 96 hrs by propidium iodide staining-based fluorescence assay
    Antiproliferative activity against human 22Rv1 cells after 96 hrs by propidium iodide staining-based fluorescence assay
    [PMID: 30108852]
    CWR22R GI50
    3.34 μM
    Compound: MDV3100
    Growth inhibition of human CWR22Rv1 cells by MTT assay
    Growth inhibition of human CWR22Rv1 cells by MTT assay
    [PMID: 25634130]
    CWR22R IC50
    31.76 μM
    Compound: 4
    Antiproliferative activity against human 22Rv1 cells assessed as reduction in cell viability after 96 hrs by propidium iodide staining based fluorescence assay
    Antiproliferative activity against human 22Rv1 cells assessed as reduction in cell viability after 96 hrs by propidium iodide staining based fluorescence assay
    [PMID: 27301368]
    CWR22R IC50
    31.76 μM
    Compound: 5; MDV3100; Xtandi; Enzalutamide
    Antiproliferative activity against human 22Rv1 cells after 96 hrs by propidium iodide staining based fluorescence 2D monolayer assay
    Antiproliferative activity against human 22Rv1 cells after 96 hrs by propidium iodide staining based fluorescence 2D monolayer assay
    [PMID: 27131065]
    CWR22R IC50
    31.76 μM
    Compound: Enzalutamide
    Antiproliferative activity against human 22Rv1 cells after 96 hrs by Oncotest monolayer assay
    Antiproliferative activity against human 22Rv1 cells after 96 hrs by Oncotest monolayer assay
    [PMID: 26965862]
    CWR22R IC50
    31.8 μM
    Compound: 2; MDV3100
    Antiproliferative activity against human 22Rv1 cells assessed as reduction in cell growth incubated for 96 hrs by propidium iodide based 2D monolayer assay
    Antiproliferative activity against human 22Rv1 cells assessed as reduction in cell growth incubated for 96 hrs by propidium iodide based 2D monolayer assay
    [PMID: 31288149]
    CWR22R IC50
    36.66 μM
    Compound: Enzalutamide
    Antiproliferative activity against human 22Rv1 cells measured after 96 hrs by celltiter-glo assay
    Antiproliferative activity against human 22Rv1 cells measured after 96 hrs by celltiter-glo assay
    [PMID: 30964293]
    CWR22R IC50
    36.66 μM
    Compound: Enzalutamide
    Antiproliferative activity against human 22Rv1 cells after 72 hrs by Cell-Titer Glo assay
    Antiproliferative activity against human 22Rv1 cells after 72 hrs by Cell-Titer Glo assay
    [PMID: 29448139]
    CWR22R IC50
    36.66 μM
    Compound: Enzalutamide
    Antiproliferative activity against human 22Rv1 cells assessed as cell viability incubated for 96 hrs by Cell-Titer Glo assay
    Antiproliferative activity against human 22Rv1 cells assessed as cell viability incubated for 96 hrs by Cell-Titer Glo assay
    [PMID: 34121397]
    CWR22R IC50
    36.66 μM
    Compound: Enz
    Antiproliferative activity against AR-positive human 22Rv1 cells assessed as reduction in cell viability incubated for 96 hrs by cell-titer glo assay
    Antiproliferative activity against AR-positive human 22Rv1 cells assessed as reduction in cell viability incubated for 96 hrs by cell-titer glo assay
    [PMID: 29566488]
    CWR22R IC50
    36.66 μM
    Compound: Enzalutamide
    Antiproliferative activity against human 22Rv1 cells treated at 12 hrs post cell seeding measured at 72 to 144 hrs post cell seeding by Cell-Titer Glo assay
    Antiproliferative activity against human 22Rv1 cells treated at 12 hrs post cell seeding measured at 72 to 144 hrs post cell seeding by Cell-Titer Glo assay
    [PMID: 29758518]
    CWR22R IC50
    42.3 μM
    Compound: ENZ
    Antiproliferative activity against AR-positive human 22RV1 cells assessed as reduction in cell viability incubated for 3 days by MTT assay
    Antiproliferative activity against AR-positive human 22RV1 cells assessed as reduction in cell viability incubated for 3 days by MTT assay
    [PMID: 33756125]
    CWR22R IC50
    46.27 μM
    Compound: ENZa
    Antiproliferative activity against human 22Rv1 cells assessed as cell growth inhibition incubated for 72 hrs by MTT assay
    Antiproliferative activity against human 22Rv1 cells assessed as cell growth inhibition incubated for 72 hrs by MTT assay
    [PMID: 36031018]
    CWR22R IC50
    9.7 μM
    Compound: 3, MDV3100
    Inhibition of cell survival in human CWR22Rv1 cells after 144 hrs by TUNEL assay
    Inhibition of cell survival in human CWR22Rv1 cells after 144 hrs by TUNEL assay
    [PMID: 25121586]
    DU-145 GI50
    > 10 μM
    Compound: enzalutamide
    Antiproliferative activity against human DU-145 cells assessed as cell growth inhibition incubated for 48 hrs by MTT assay
    Antiproliferative activity against human DU-145 cells assessed as cell growth inhibition incubated for 48 hrs by MTT assay
    [PMID: 34908406]
    DU-145 IC50
    32.27 μM
    Compound: 4
    Antiproliferative activity against human DU145 cells assessed as reduction in cell viability after 96 hrs by propidium iodide staining based fluorescence assay
    Antiproliferative activity against human DU145 cells assessed as reduction in cell viability after 96 hrs by propidium iodide staining based fluorescence assay
    [PMID: 27301368]
    DU-145 IC50
    32.27 μM
    Compound: 5; MDV3100; Xtandi; Enzalutamide
    Antiproliferative activity against human DU145 cells after 96 hrs by propidium iodide staining based fluorescence 2D monolayer assay
    Antiproliferative activity against human DU145 cells after 96 hrs by propidium iodide staining based fluorescence 2D monolayer assay
    [PMID: 27131065]
    DU-145 IC50
    32.3 μM
    Compound: 2; MDV3100
    Antiproliferative activity against human DU145 cells assessed as reduction in cell growth incubated for 96 hrs by propidium iodide based 2D monolayer assay
    Antiproliferative activity against human DU145 cells assessed as reduction in cell growth incubated for 96 hrs by propidium iodide based 2D monolayer assay
    [PMID: 31288149]
    DU-145 IC50
    44.55 μM
    Compound: 2a
    Antiproliferative activity against human DU145 cells after 96 hrs by propidium iodide staining-based fluorescence assay
    Antiproliferative activity against human DU145 cells after 96 hrs by propidium iodide staining-based fluorescence assay
    [PMID: 30108852]
    DU-145 IC50
    44.7 μM
    Compound: Enzalutamide
    Antiproliferative activity against human DU145 cells measured after 72 hrs by celltiter-glo assay
    Antiproliferative activity against human DU145 cells measured after 72 hrs by celltiter-glo assay
    [PMID: 30964293]
    DU-145 IC50
    45.3 μM
    Compound: ENZ
    Antiproliferative activity against AR-negative human DU145 cells assessed as reduction in cell viability incubated for 3 days by MTT assay
    Antiproliferative activity against AR-negative human DU145 cells assessed as reduction in cell viability incubated for 3 days by MTT assay
    [PMID: 33756125]
    DU-145 IC50
    46.1 μM
    Compound: Enzalutamide
    Antiproliferative activity against human DU145 cells after 3 days by MTT assay
    Antiproliferative activity against human DU145 cells after 3 days by MTT assay
    [PMID: 29117897]
    DU-145 IC50
    46.1 μM
    Compound: Enzalutamide
    Antiproliferative activity against AR negative human DU145 cells after 3 days by MTT assay
    Antiproliferative activity against AR negative human DU145 cells after 3 days by MTT assay
    [PMID: 27810589]
    DU-145 IC50
    49.3 μM
    Compound: MDV3100
    Antiproliferative activity against human DU-145 cells assessed as reduction in cel viability after 72 hrs by MTT assay
    Antiproliferative activity against human DU-145 cells assessed as reduction in cel viability after 72 hrs by MTT assay
    [PMID: 32169785]
    GES1 IC50
    96.89 μM
    Compound: Enz
    Cytotoxicity against human GES1 cells assessed as inhibition of cell proliferation by MTT assay
    Cytotoxicity against human GES1 cells assessed as inhibition of cell proliferation by MTT assay
    [PMID: 36154033]
    HEK293 IC50
    0.216 μM
    Compound: 5
    Antagonist activity at human androgen receptor expressed in HEK293 cells assessed as inhibition of R1881-induced receptor transactivation after 24 hrs by luciferase reporter gene assay
    Antagonist activity at human androgen receptor expressed in HEK293 cells assessed as inhibition of R1881-induced receptor transactivation after 24 hrs by luciferase reporter gene assay
    [PMID: 30525603]
    L02 IC50
    17.1 μM
    Compound: Enza
    Cytotoxicity against human L02 assessed as reduction in cell viability incubated for 6 days by CCK-8 assay
    Cytotoxicity against human L02 assessed as reduction in cell viability incubated for 6 days by CCK-8 assay
    [PMID: 31437779]
    L02 IC50
    17.1 μM
    Compound: Enza
    Antiproliferative activity against human L02 cells assessed as reduction in cell viability incubated for 6 days by CCK8 assay
    Antiproliferative activity against human L02 cells assessed as reduction in cell viability incubated for 6 days by CCK8 assay
    [PMID: 30925341]
    LNCaP IC50
    > 100 μM
    Compound: Enzalutamide
    Inhibition of BF3 site of androgen receptor in enzalutamide-resistant human LNCAP cells assessed as reduction in PSA level after 3 days
    Inhibition of BF3 site of androgen receptor in enzalutamide-resistant human LNCAP cells assessed as reduction in PSA level after 3 days
    [PMID: 23301637]
    LNCaP IC50
    0.1 μM
    Compound: ENZ
    Inhibition of prostate specific antigen expression in human LNCaP cells expressing ARR2PB-eGFP by immunoassay
    Inhibition of prostate specific antigen expression in human LNCaP cells expressing ARR2PB-eGFP by immunoassay
    [PMID: 35077161]
    LNCaP IC50
    0.19 μM
    Compound: Enza
    Antiproliferative activity against human LNCAP expressing AR assessed as reduction in cell viability incubated for 6 days by CCK-8 assay
    Antiproliferative activity against human LNCAP expressing AR assessed as reduction in cell viability incubated for 6 days by CCK-8 assay
    [PMID: 31437779]
    LNCaP IC50
    0.48 μM
    Compound: Enz
    Inhibition of PSA secretion in human LNCaP ARR2PB-eGFP cells measured after 3 days by immuno assay
    Inhibition of PSA secretion in human LNCaP ARR2PB-eGFP cells measured after 3 days by immuno assay
    [PMID: 36154033]
    LNCaP IC50
    1.31 μM
    Compound: Enzal
    Antiproliferative activity against human LNCAP cells assessed as reduction in cell viability after 96 hrs by MTT assay
    Antiproliferative activity against human LNCAP cells assessed as reduction in cell viability after 96 hrs by MTT assay
    [PMID: 30743097]
    LNCaP IC50
    1.9 μM
    Compound: Enzalutamide
    Antiproliferative activity against hormone sensitive human LNCaP cells assessed as reduction in cell proliferation measured after 6 days by CellTiter-Glo assay
    Antiproliferative activity against hormone sensitive human LNCaP cells assessed as reduction in cell proliferation measured after 6 days by CellTiter-Glo assay
    [PMID: 33388655]
    LNCaP IC50
    11.47 μM
    Compound: 4
    Antiproliferative activity against human LNCAP cells assessed as reduction in cell viability after 96 hrs by propidium iodide staining based fluorescence assay
    Antiproliferative activity against human LNCAP cells assessed as reduction in cell viability after 96 hrs by propidium iodide staining based fluorescence assay
    [PMID: 27301368]
    LNCaP IC50
    11.47 μM
    Compound: 5; MDV3100; Xtandi; Enzalutamide
    Antiproliferative activity against human LNCAP cells after 96 hrs by propidium iodide staining based fluorescence 2D monolayer assay
    Antiproliferative activity against human LNCAP cells after 96 hrs by propidium iodide staining based fluorescence 2D monolayer assay
    [PMID: 27131065]
    LNCaP IC50
    11.5 μM
    Compound: 2; MDV3100
    Antiproliferative activity against human LNCAP cells assessed as reduction in cell growth incubated for 96 hrs by propidium iodide based 2D monolayer assay
    Antiproliferative activity against human LNCAP cells assessed as reduction in cell growth incubated for 96 hrs by propidium iodide based 2D monolayer assay
    [PMID: 31288149]
    LNCaP IC50
    12.5 μM
    Compound: Enzalutamide
    Antiproliferative activity against human LNCAP cells after 3 days by MTT assay
    Antiproliferative activity against human LNCAP cells after 3 days by MTT assay
    [PMID: 29117897]
    LNCaP IC50
    127.1 nM
    Compound: 4
    Antiproliferative activity against human LNCAP cells after 3 days
    Antiproliferative activity against human LNCAP cells after 3 days
    [PMID: 26046313]
    LNCaP IC50
    133 nM
    Compound: Enzalutamide
    Growth inhibition of human LNCaP cells carrying AR T878A mutant assessed as cell viability by WST-8 assay
    Growth inhibition of human LNCaP cells carrying AR T878A mutant assessed as cell viability by WST-8 assay
    [PMID: 34473519]
    LNCaP IC50
    133 nM
    Compound: 2
    Growth inhibition of human LNCaP cells assessed as cell viability measured after 4 days in presence of R1881 by WST-8 assay
    Growth inhibition of human LNCaP cells assessed as cell viability measured after 4 days in presence of R1881 by WST-8 assay
    [PMID: 34431670]
    LNCaP IC50
    150.8 nM
    Compound: Enzalutamide
    Antiproliferative activity against AR-positive human LNCAP cells incubated for 7 days in presence of AR agonist, R1881 by WST-8 assay
    Antiproliferative activity against AR-positive human LNCAP cells incubated for 7 days in presence of AR agonist, R1881 by WST-8 assay
    [PMID: 31804827]
    LNCaP IC50
    16.5 μM
    Compound: MDV3100
    Antiproliferative activity against human LNCaP cells assessed as reduction in cel viability after 72 hrs by MTT assay
    Antiproliferative activity against human LNCaP cells assessed as reduction in cel viability after 72 hrs by MTT assay
    [PMID: 32169785]
    LNCaP IC50
    17.6 μM
    Compound: ENZ
    Antiproliferative activity against AR-positive human LNCaP cells assessed as reduction in cell viability incubated for 3 days by MTT assay
    Antiproliferative activity against AR-positive human LNCaP cells assessed as reduction in cell viability incubated for 3 days by MTT assay
    [PMID: 33756125]
    LNCaP EC50
    180 nM
    Compound: 4
    Inhibition of DHT-induced androgen receptor transactivation in human LNCaP cells after 24 hrs by luciferase reporter gene assay relative to control
    Inhibition of DHT-induced androgen receptor transactivation in human LNCaP cells after 24 hrs by luciferase reporter gene assay relative to control
    [PMID: 27437082]
    LNCaP GI50
    2.88 μM
    Compound: MDV3100
    Growth inhibition of human LNCAP cells by MTT assay
    Growth inhibition of human LNCAP cells by MTT assay
    [PMID: 25634130]
    LNCaP IC50
    20.9 μM
    Compound: 2a
    Antiproliferative activity against human LNCAP cells after 96 hrs by propidium iodide staining-based fluorescence assay
    Antiproliferative activity against human LNCAP cells after 96 hrs by propidium iodide staining-based fluorescence assay
    [PMID: 30108852]
    LNCaP IC50
    25 nM
    Compound: 4
    Cytotoxicity against AR-positive human LNCaP cells assessed as inhibition of cell growth incubated for 7 days in presence of AR agonist, R1881 in charcoal stripped medium by WST-8 assay
    Cytotoxicity against AR-positive human LNCaP cells assessed as inhibition of cell growth incubated for 7 days in presence of AR agonist, R1881 in charcoal stripped medium by WST-8 assay
    [PMID: 30629437]
    LNCaP IC50
    26.32 μM
    Compound: Enz
    Cytotoxicity against human LNCAP cells assessed as inhibition of cell proliferation by MTT assay
    Cytotoxicity against human LNCAP cells assessed as inhibition of cell proliferation by MTT assay
    [PMID: 36154033]
    LNCaP IC50
    33.84 μM
    Compound: Enzalutamide
    Antiproliferative activity against human LNCAP cells after 72 hrs by Cell-Titer Glo assay
    Antiproliferative activity against human LNCAP cells after 72 hrs by Cell-Titer Glo assay
    [PMID: 29448139]
    LNCaP IC50
    33.84 μM
    Compound: Enz
    Antiproliferative activity against AR-positive human LNCAP cells assessed as reduction in cell viability incubated for 96 hrs by cell-titer glo assay
    Antiproliferative activity against AR-positive human LNCAP cells assessed as reduction in cell viability incubated for 96 hrs by cell-titer glo assay
    [PMID: 29566488]
    LNCaP IC50
    4.85 μM
    Compound: 4
    Antiproliferative activity against human LNCAP cells after 7 days by MTT assay
    Antiproliferative activity against human LNCAP cells after 7 days by MTT assay
    [PMID: 27437082]
    LNCaP IC50
    42.37 μM
    Compound: Enzalutamide
    Antiproliferative activity against human LNCAP cells measured after 96 hrs by celltiter-glo assay
    Antiproliferative activity against human LNCAP cells measured after 96 hrs by celltiter-glo assay
    [PMID: 30964293]
    LNCaP IC50
    42.37 μM
    Compound: Enzalutamide
    Antiproliferative activity against human LNCaP cells assessed as cell viability incubated for 96 hrs by Cell-Titer Glo assay
    Antiproliferative activity against human LNCaP cells assessed as cell viability incubated for 96 hrs by Cell-Titer Glo assay
    [PMID: 34121397]
    LNCaP IC50
    42.37 μM
    Compound: Enzalutamide
    Antiproliferative activity against human LNCAP cells treated at 12 hrs post cell seeding measured at 72 to 144 hrs post cell seeding by Cell-Titer Glo assay
    Antiproliferative activity against human LNCAP cells treated at 12 hrs post cell seeding measured at 72 to 144 hrs post cell seeding by Cell-Titer Glo assay
    [PMID: 29758518]
    LNCaP IC50
    437 nM
    Compound: 1
    Antiproliferative activity against human LNCAP cells assessed as reduction in cell viability measured after 6 days by CellTiter-Glo assay
    Antiproliferative activity against human LNCAP cells assessed as reduction in cell viability measured after 6 days by CellTiter-Glo assay
    [PMID: 36070471]
    LNCaP GI50
    5.12 μM
    Compound: 6, MDV3100
    Cytotoxicity against human LNCAP cells after 7 days by MTT assay
    Cytotoxicity against human LNCAP cells after 7 days by MTT assay
    [PMID: 23713567]
    LNCaP IC50
    5336 nM
    Compound: Enza
    Competitive displacement of [3H]R1881 from human AR-LBD expressed in LNCaP cells incubated for 24 hrs by scintillation counting method based radioligand competitive binding assay
    Competitive displacement of [3H]R1881 from human AR-LBD expressed in LNCaP cells incubated for 24 hrs by scintillation counting method based radioligand competitive binding assay
    [PMID: 30925341]
    LNCaP IC50
    7.9 μM
    Compound: ENZa
    Antiproliferative activity against human LNCAP cells assessed as reduction in cell growth incubated for 72 hrs by MTT assay
    Antiproliferative activity against human LNCAP cells assessed as reduction in cell growth incubated for 72 hrs by MTT assay
    [PMID: 30711833]
    LNCaP EC50
    915 nM
    Compound: 6, MDV3100
    Displacement of [3H]R1881 from AR in human LNCaP cells after 2 hrs by scintillation counting analysis
    Displacement of [3H]R1881 from AR in human LNCaP cells after 2 hrs by scintillation counting analysis
    [PMID: 23713567]
    LNCaP C4-2 GI50
    > 40 μM
    Compound: Enzalutamide
    Antiproliferative activity against AR-positive human C4-2 cells assessed as growth inhibition after 72 hrs by resazurin dye based fluorescence assay
    Antiproliferative activity against AR-positive human C4-2 cells assessed as growth inhibition after 72 hrs by resazurin dye based fluorescence assay
    [PMID: 31271960]
    LNCaP C4-2B IC50
    17.96 μM
    Compound: Enz
    Antiproliferative activity against AR-positive human C4-2B cells assessed as reduction in cell viability incubated for 96 hrs by cell-titer glo assay
    Antiproliferative activity against AR-positive human C4-2B cells assessed as reduction in cell viability incubated for 96 hrs by cell-titer glo assay
    [PMID: 29566488]
    LNCaP C4-2B IC50
    20.77 μM
    Compound: Enzalutamide
    Antiproliferative activity against human C4-2B cells treated at 12 hrs post cell seeding measured at 72 to 144 hrs post cell seeding by Cell-Titer Glo assay
    Antiproliferative activity against human C4-2B cells treated at 12 hrs post cell seeding measured at 72 to 144 hrs post cell seeding by Cell-Titer Glo assay
    [PMID: 29758518]
    LNCaP C4-2B IC50
    22.17 μM
    Compound: 1
    Antitumor activity against enzalutamide-resisitant human C4-2B cells administered for 3 months
    Antitumor activity against enzalutamide-resisitant human C4-2B cells administered for 3 months
    [PMID: 36070471]
    LNCaP C4-2B IC50
    23.56 μM
    Compound: Enzalutamide
    Antiproliferative activity against human C4-2B cells measured after 96 hrs by celltiter-glo assay
    Antiproliferative activity against human C4-2B cells measured after 96 hrs by celltiter-glo assay
    [PMID: 30964293]
    LNCaP C4-2B IC50
    23.56 μM
    Compound: Enzalutamide
    Antiproliferative activity against human LNCaP C4-2B cells assessed as cell viability incubated for 96 hrs by Cell-Titer Glo assay
    Antiproliferative activity against human LNCaP C4-2B cells assessed as cell viability incubated for 96 hrs by Cell-Titer Glo assay
    [PMID: 34121397]
    PC-3 GI50
    > 10 μM
    Compound: enzalutamide
    Antiproliferative activity against human PC-3 cells assessed as cell growth inhibition incubated for 48 hrs by MTT assay
    Antiproliferative activity against human PC-3 cells assessed as cell growth inhibition incubated for 48 hrs by MTT assay
    [PMID: 34908406]
    PC-3 IC50
    > 30 μM
    Compound: Enza
    Cytotoxicity against human PC3 assessed as reduction in cell viability incubated for 6 days by CCK-8 assay
    Cytotoxicity against human PC3 assessed as reduction in cell viability incubated for 6 days by CCK-8 assay
    [PMID: 31437779]
    PC-3 IC50
    > 30 μM
    Compound: Enza
    Antiproliferative activity against human PC3 cells assessed as reduction in cell viability incubated for 6 days by CCK8 assay
    Antiproliferative activity against human PC3 cells assessed as reduction in cell viability incubated for 6 days by CCK8 assay
    [PMID: 30925341]
    PC-3 GI50
    > 40 μM
    Compound: Enzalutamide
    Antiproliferative activity against AR-negative human PC3 cells assessed as growth inhibition after 72 hrs by resazurin dye based fluorescence assay
    Antiproliferative activity against AR-negative human PC3 cells assessed as growth inhibition after 72 hrs by resazurin dye based fluorescence assay
    [PMID: 31271960]
    PC-3 IC50
    15.07 μM
    Compound: Enzal
    Antiproliferative activity against human PC3 cells assessed as reduction in cell viability after 96 hrs by MTT assay
    Antiproliferative activity against human PC3 cells assessed as reduction in cell viability after 96 hrs by MTT assay
    [PMID: 30743097]
    PC-3 IC50
    24.63 μM
    Compound: Enzalutamide
    Antiproliferative activity against human PC-3 cells assessed as inhibition of cell growth incubated for 72 hrs by MTT assay
    Antiproliferative activity against human PC-3 cells assessed as inhibition of cell growth incubated for 72 hrs by MTT assay
    [PMID: 35259487]
    PC-3 IC50
    53.38 μM
    Compound: Enzalutamide
    Antiproliferative activity against human PC3 cells measured after 72 hrs by celltiter-glo assay
    Antiproliferative activity against human PC3 cells measured after 72 hrs by celltiter-glo assay
    [PMID: 30964293]
    PC-3 GI50
    9.15 μM
    Compound: MDV3100
    Growth inhibition of human PC3 cells by MTT assay
    Growth inhibition of human PC3 cells by MTT assay
    [PMID: 25634130]
    VCaP IC50
    > 30 μM
    Compound: Enzalutamide
    Antiproliferative activity against human VCaP cells treated at 12 hrs post cell seeding measured at 72 to 144 hrs post cell seeding by Cell-Titer Glo assay
    Antiproliferative activity against human VCaP cells treated at 12 hrs post cell seeding measured at 72 to 144 hrs post cell seeding by Cell-Titer Glo assay
    [PMID: 29758518]
    VCaP GI50
    > 40 μM
    Compound: Enzalutamide
    Antiproliferative activity against AR-positive human VCaP cells assessed as growth inhibition after 72 hrs by resazurin dye based fluorescence assay
    Antiproliferative activity against AR-positive human VCaP cells assessed as growth inhibition after 72 hrs by resazurin dye based fluorescence assay
    [PMID: 31271960]
    VCaP GI50
    0.61 μM
    Compound: 3, MDV3100
    Growth inhibition of human VCaP cells after 144 hrs by SRB assay
    Growth inhibition of human VCaP cells after 144 hrs by SRB assay
    [PMID: 25121586]
    VCaP IC50
    149 nM
    Compound: 1; MDV-3100
    Antiproliferative activity against human VCaP cells expressing wild-type androgen receptor assessed as reduction in cell viability incubated for 5 days in presence of R1881 by CellTiter-glo assay
    Antiproliferative activity against human VCaP cells expressing wild-type androgen receptor assessed as reduction in cell viability incubated for 5 days in presence of R1881 by CellTiter-glo assay
    [PMID: 33470111]
    VCaP IC50
    149 nM
    Compound: 1; MDV-3100
    Antiproliferative activity against human VCaP cells expressing wild type AR assessed as reduction in R1881-stimulated cell proliferation measured after 5 days by Celltiter-Glo luminescence assay
    Antiproliferative activity against human VCaP cells expressing wild type AR assessed as reduction in R1881-stimulated cell proliferation measured after 5 days by Celltiter-Glo luminescence assay
    [PMID: 34422225]
    VCaP IC50
    24.47 μM
    Compound: 2a
    Antiproliferative activity against human VCaP cells after 96 hrs by propidium iodide staining-based fluorescence assay
    Antiproliferative activity against human VCaP cells after 96 hrs by propidium iodide staining-based fluorescence assay
    [PMID: 30108852]
    VCaP IC50
    3.66 μM
    Compound: Enzal
    Antiproliferative activity against human VCaP cells assessed as reduction in cell viability after 96 hrs by MTS assay
    Antiproliferative activity against human VCaP cells assessed as reduction in cell viability after 96 hrs by MTS assay
    [PMID: 30743097]
    VCaP IC50
    364 nM
    Compound: Enzalutamide
    Antiproliferative activity against AR- positive human VCaP cells incubated for 7 days in presence of AR agonist, R1881 by WST-8 assay
    Antiproliferative activity against AR- positive human VCaP cells incubated for 7 days in presence of AR agonist, R1881 by WST-8 assay
    [PMID: 31804827]
    VCaP IC50
    393 nM
    Compound: Enzalutamide
    Growth inhibition of human VCaP cells assessed as cell viability by WST-8 assay
    Growth inhibition of human VCaP cells assessed as cell viability by WST-8 assay
    [PMID: 34473519]
    VCaP IC50
    394 nM
    Compound: 2
    Growth inhibition of human VCaP cells assessed as cell viability measured after 4 days in presence of R1881 by WST-8 assay
    Growth inhibition of human VCaP cells assessed as cell viability measured after 4 days in presence of R1881 by WST-8 assay
    [PMID: 34431670]
    VCaP IC50
    53 μM
    Compound: 2; MDV3100
    Antiproliferative activity against human VCaP cells assessed as reduction in cell growth incubated for 96 hrs by propidium iodide based 2D monolayer assay
    Antiproliferative activity against human VCaP cells assessed as reduction in cell growth incubated for 96 hrs by propidium iodide based 2D monolayer assay
    [PMID: 31288149]
    VCaP IC50
    53.04 μM
    Compound: 4
    Antiproliferative activity against human VCaP cells assessed as reduction in cell viability after 96 hrs by propidium iodide staining based fluorescence assay
    Antiproliferative activity against human VCaP cells assessed as reduction in cell viability after 96 hrs by propidium iodide staining based fluorescence assay
    [PMID: 27301368]
    VCaP IC50
    53.04 μM
    Compound: 5; MDV3100; Xtandi; Enzalutamide
    Antiproliferative activity against human VCaP cells after 96 hrs by propidium iodide staining based fluorescence 2D monolayer assay
    Antiproliferative activity against human VCaP cells after 96 hrs by propidium iodide staining based fluorescence 2D monolayer assay
    [PMID: 27131065]
    VCaP IC50
    87.4 nM
    Compound: 4
    Cytotoxicity against AR-positive human VCaP cells assessed as inhibition of cell growth incubated for 7 days in presence of AR agonist, R1881 in charcoal stripped medium by WST-8 assay
    Cytotoxicity against AR-positive human VCaP cells assessed as inhibition of cell growth incubated for 7 days in presence of AR agonist, R1881 in charcoal stripped medium by WST-8 assay
    [PMID: 30629437]
    体外研究
    (In Vitro)

    在抗去势 LNCaP/AR 细胞中与 16β-[18F]fluoro-5α-DHT (18-FDHT) 的竞争试验中,Enzalutamide (MDV3100) 对 AR 的亲和力高于 ICI 176334 (AR-过度表达)。而 Enzalutamide 对 LNCaP/AR 前列腺细胞没有显示出激动作用。Enzalutamide 与亲本 LNCaP 细胞中的合成雄激素 R1881 结合,拮抗前列腺特异性抗原 (PSA) 和跨膜丝氨酸蛋白酶 2 (TMPRSS2) 的诱导。Enzalutamide 抑制突变 AR 蛋白 (W741C,Trp741 突变为 Cys) 的转录活性[1]
    Enzalutamide 还可以防止配体-受体复合物的核转位和共激活因子募集[2]

    MCE has not independently confirmed the accuracy of these methods. They are for reference only.

    体内研究
    (In Vivo)

    Enzalutamide (MDV3100) 以 10 mg/kg 的剂量诱导携带 LNCaP/AR 异种移植物的阉割雄性小鼠的肿瘤显著消退[1]
    Enzalutamide 在静脉和口服剂量为 0.5-5 mg/kg 时表现出与剂量无关的药代动力学[4]

    MCE has not independently confirmed the accuracy of these methods. They are for reference only.

    Clinical Trial
    分子量

    464.44

    Formula

    C21H16F4N4O2S

    CAS 号
    性状

    固体

    颜色

    White to off-white

    中文名称

    恩杂鲁胺;恩扎鲁胺

    运输条件

    Room temperature in continental US; may vary elsewhere.

    储存方式
    Powder -20°C 3 years
    4°C 2 years
    In solvent -80°C 2 years
    -20°C 1 year
    溶解性数据
    细胞实验: 

    DMSO 中的溶解度 : ≥ 50 mg/mL (107.66 mM; 吸湿的 DMSO 对产品的溶解度有显著影响,请使用新开封的 DMSO)

    * "≥" means soluble, but saturation unknown.

    配制储备液
    浓度 溶剂体积 质量 1 mg 5 mg 10 mg
    1 mM 2.1531 mL 10.7657 mL 21.5313 mL
    5 mM 0.4306 mL 2.1531 mL 4.3063 mL
    查看完整储备液配制表

    * 请根据产品在不同溶剂中的溶解度选择合适的溶剂配制储备液;一旦配成溶液,请分装保存,避免反复冻融造成的产品失效
    储备液的保存方式和期限:-80°C, 2 years; -20°C, 1 year。-80°C储存时,请在2年内使用, -20°C储存时,请在1年内使用。

    • 摩尔计算器

    • 稀释计算器

    Mass (g) = Concentration (mol/L) × Volume (L) × Molecular Weight (g/mol)

    质量
    =
    浓度
    ×
    体积
    ×
    分子量 *

    Concentration (start) × Volume (start) = Concentration (final) × Volume (final)

    This equation is commonly abbreviated as: C1V1 = C2V2

    浓度 (start)

    C1

    ×
    体积 (start)

    V1

    =
    浓度 (final)

    C2

    ×
    体积 (final)

    V2

    动物实验:

    请根据您的 实验动物和给药方式 选择适当的溶解方案。

    以下溶解方案都请先按照 In Vitro 方式配制澄清的储备液,再依次添加助溶剂:
    ——为保证实验结果的可靠性,澄清的储备液可以根据储存条件,适当保存;体内实验的工作液,建议您现用现配,当天使用
    以下溶剂前显示的百分比是指该溶剂在您配制终溶液中的体积占比;如在配制过程中出现沉淀、析出现象,可以通过加热和/或超声的方式助溶

    • 方案 一

      请依序添加每种溶剂: 10% DMSO    40% PEG300    5% Tween-80    45% Saline

      Solubility: ≥ 2.5 mg/mL (5.38 mM); 澄清溶液

      此方案可获得 ≥ 2.5 mg/mL(饱和度未知)的澄清溶液。

      1 mL 工作液为例,取 100 μL 25.0 mg/mL 的澄清 DMSO 储备液加到 400 μL PEG300 中,混合均匀;再向上述体系中加入 50 μL Tween-80,混合均匀;然后再继续加入 450 μL 生理盐水 定容至 1 mL

      生理盐水的配制:将 0.9 g 氯化钠,溶解于 ddH₂O 并定容至 100 mL,可以得到澄清透明的生理盐水溶液。
    • 方案 二

      请依序添加每种溶剂: 10% DMSO    90% Corn Oil

      Solubility: ≥ 2.5 mg/mL (5.38 mM); 澄清溶液

      此方案可获得 ≥ 2.5 mg/mL(饱和度未知)的澄清溶液,此方案实验周期在半个月以上的动物实验酌情使用。

      1 mL 工作液为例,取 100 μL 25.0 mg/mL 的澄清 DMSO 储备液加到 900 μL玉米油中,混合均匀。

    以下溶解方案,请直接配制工作液。建议现用现配,在短期内尽快用完。 以下溶剂前显示的百分比是指该溶剂在您配制终溶液中的体积占比; 如在配制过程中出现沉淀、析出现象,可以通过加热和/或超声的方式助溶。

    • 方案 一

      请依序添加每种溶剂: 1% Tween-80 in PBS

      Solubility: 10 mg/mL (21.53 mM); 悬浊液; 超声助溶 (<60°C)

    动物溶解方案计算器
    请输入动物实验的基本信息:

    给药剂量

    mg/kg

    动物的平均体重

    g

    每只动物的给药体积

    μL

    动物数量

    由于实验过程有损耗,建议您多配一只动物的量
    请输入您的动物体内配方组成:
    %
    DMSO +
    +
    %
    Tween-80 +
    %
    Saline
    如果您的动物是免疫缺陷鼠或者体弱鼠,建议 DMSO 中的在最后工作液体系中的占比尽量不超过 2%。
    方案所需 助溶剂 包括:DMSO ,均可在 MCE 网站选购。 Tween 80,均可在 MCE 网站选购。
    计算结果
    工作液所需浓度 : mg/mL
    储备液配制方法 : mg 药物溶于 μL  DMSO(母液浓度为 mg/mL)。
    您所需的储备液浓度超过该产品的实测溶解度,以下方案仅供参考,如有需要,请与 MCE 中国技术支持联系。
    动物实验体内工作液的配制方法 : 取 μL DMSO 储备液,加入 μL  μL ,混合均匀至澄清,再加 μL Tween 80,混合均匀至澄清,再加 μL 生理盐水
    连续给药周期超过半月以上,请谨慎选择该方案。
    请确保第一步储备液溶解至澄清状态,从左到右依次添加助溶剂。您可采用超声加热 (超声清洗仪,建议频次 20-40 kHz),涡旋吹打等方式辅助溶解。
    纯度 & 产品资料

    纯度: 99.97%

    参考文献
    Cell Assay
    [1]

    LNCaP cells (107 cells/condition) are grown in RPMI media supplemented with 5% charcoalstripped serum for 22 days, then treated with DMSO or 1 nM R1881, combined with an antiandrogen (DMSO, 1 μM ICI 176334, 10 μM ICI 176334, 1 μM RD162, 10 μM RD162, 1 μM MDV3100, or 10 μM MDV3100) for 8 hours. An aliquot of cells are harvested for qRT-PCR of PSA and TMPRSS2 mRNA. The remaining cells are cross-linked using 1% paraformaldehyde for 10 minutes, then glycine is added and samples centrifuged (4°C, 4000 rpm, 5 minutes) to stop further crosslinking. Chromatin immunoprecipitation is performed using a chromatin immunoprecipitation assay kit. Immunoprecipitated DNA is amplified by real-time PCR. Primers are PSA enhancer forward-ATGTTCACATTAGTACACCTTGCC and reverse-TCTCAGATCCAGGCTTGCTTACTGTC and TMPRSS2 enhancer forward-TGGTCCTGGATGATAAAAAAAGTTT and reverse-GACATACGCCCCACAACAGA[1].

    MCE has not independently confirmed the accuracy of these methods. They are for reference only.

    Animal Administration
    [3][4]

    Mice[3]
    Following a 5-day acclimation period, 5- to 9-week-old male CB17SCID mice are castrated and allowed to recover for an additional 5 days before inoculation with tumor cells. LNCaP cells co-expressing exogenous AR and the AR-dependent reporter construct ARR2-Pb-Luc (LNCaP-AR-Lux cells) are used to generate a xenograft model of human prostate cancer. Before implantation, LNCaP-AR-Lux cells are prepared by the addition of trypsin-EDTA, washed with complete medium, collected and resuspended at 20×106 cells/mL. Cell suspensions are diluted with Matrigel to 2×106 cells/0.2 mL and delivered subcutaneously in the suprascapular region. Tumor growth is monitored to the volume of 100 mm3 when treatment begins (80 days). The observed rate of tumor take with LNCaP-AR-Lux cells is between 70% and 80%. Body weight and tumor volumes (width2×length/2) are measured two to three times per week with a digital caliper, and the average tumor volumes are determined. Test drugs are diluted in Tween 80:PEG 400, and stored at 4°C until administration by oral gavage. Each group of mice (n=7) is treated daily for 28 consecutive days with 1, 10, or 50 mg/kg Enzalutamide, vehicle control, or 50 mg/kg ICI 176334. At the end of the treatment period or when tumor volume exceeded 1,000 mm3, animals are euthanized and blood and tissue samples are collected for analysis.
    Rats[4]
    Male SD rats (n=3) are administered Enzalutamide through the tail vein (intravenous) and by oral gavage at 1 mg/kg and are kept in metabolic cages after dosing. Urine and feces samples are collected over the following time intervals after dosing: 0-2, 2-4, 4-6, 6-10, 10-24, 24-48, and 48-72 h. The metabolic cages are rinsed with distilled water, and residues are added to the urine samples at 72 h. To extract the Enzalutamide present in the feces, samples are shaken vigorously for 12 h with 50 % methanol.

    MCE has not independently confirmed the accuracy of these methods. They are for reference only.

    参考文献

    完整储备液配制表

    * 请根据产品在不同溶剂中的溶解度选择合适的溶剂配制储备液;一旦配成溶液,请分装保存,避免反复冻融造成的产品失效
    储备液的保存方式和期限:-80°C, 2 years; -20°C, 1 year。-80°C储存时,请在2年内使用, -20°C储存时,请在1年内使用。

    可选溶剂 浓度 溶剂体积 质量 1 mg 5 mg 10 mg 25 mg
    DMSO 1 mM 2.1531 mL 10.7657 mL 21.5313 mL 53.8283 mL
    5 mM 0.4306 mL 2.1531 mL 4.3063 mL 10.7657 mL
    10 mM 0.2153 mL 1.0766 mL 2.1531 mL 5.3828 mL
    15 mM 0.1435 mL 0.7177 mL 1.4354 mL 3.5886 mL
    20 mM 0.1077 mL 0.5383 mL 1.0766 mL 2.6914 mL
    25 mM 0.0861 mL 0.4306 mL 0.8613 mL 2.1531 mL
    30 mM 0.0718 mL 0.3589 mL 0.7177 mL 1.7943 mL
    40 mM 0.0538 mL 0.2691 mL 0.5383 mL 1.3457 mL
    50 mM 0.0431 mL 0.2153 mL 0.4306 mL 1.0766 mL
    60 mM 0.0359 mL 0.1794 mL 0.3589 mL 0.8971 mL
    80 mM 0.0269 mL 0.1346 mL 0.2691 mL 0.6729 mL
    100 mM 0.0215 mL 0.1077 mL 0.2153 mL 0.5383 mL
    Help & FAQs
    • Do most proteins show cross-species activity?

      Species cross-reactivity must be investigated individually for each product. Many human cytokines will produce a nice response in mouse cell lines, and many mouse proteins will show activity on human cells. Other proteins may have a lower specific activity when used in the opposite species.

    您最近查看的产品:

    Your information is safe with us. * Required Fields.

       产品名称:

     

    * 需求量:

    * 客户姓名:

     

    * Email:

    * 电话:

     

    * 公司或机构名称:

       留言给我们:

    Bulk Inquiry

    Inquiry Information

    产品名称:
    Enzalutamide
    目录号:
    HY-70002
    需求量: