1. Cytoskeleton
  2. Integrin
  3. GRGDSP TFA

GRGDSP (TFA) 是一种整联蛋白 (integrin) 抑制剂。

MCE 的所有产品仅用作科学研究或药证申报,我们不为任何个人用途提供产品和服务

Custom Peptide Synthesis

GRGDSP TFA

GRGDSP TFA Chemical Structure

1.  客户无需承担相应的运输费用。

2.  同一机构(单位)同一产品试用装仅限申领一次,同一机构(单位)一年内

     可免费申领三个不同产品的试用装。

3.  试用装只面向终端客户

规格 价格 是否有货 数量
1 mg ¥400
In-stock
5 mg ¥1040
In-stock
10 mg ¥1584
In-stock
25 mg ¥2880
In-stock
50 mg ¥4000
In-stock
100 mg ¥5600
In-stock
200 mg   询价  
500 mg   询价  

* Please select Quantity before adding items.

Customer Review

Other Forms of GRGDSP TFA:

    GRGDSP TFA purchased from MCE. Usage Cited in: Theranostics. 2022 Oct 17;12(17):7307-7318.

    GRGDSP (1 mg/kg; inject at the injured area; single daily for 15 days) apparently reduces the densities of Mpz+, Ki67+and Sox10+ schwann cells in the injured area in the Dhhcre/+;Ninj2fl/fl mice.

    GRGDSP TFA purchased from MCE. Usage Cited in: Theranostics. 2022 Oct 17;12(17):7307-7318.

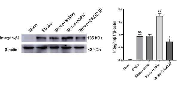
    GRGDSP decreases the expression of ITGB1 in the peri-infarct area.

    GRGDSP TFA purchased from MCE. Usage Cited in: Theranostics. 2022 Oct 17;12(17):7307-7318.

    Immunofluorescence staining images of NeuN and ITGB1 in the peri-infarct area. GRGDSP significantly downregulates rOPN-induced ITGB1.
    • 生物活性

    • 纯度 & 产品资料

    • 参考文献

    生物活性

    GRGDSP (TFA) is an integrin inhibitor.

    IC50 & Target

    Integrin[1].

    体外研究
    (In Vitro)

    研究表明,经动脉灌注 GRGDSP (Gly-Arg-Gly-Asp-Ser-Pro 整合素抑制剂,包含 RGD 肽)。GRGDSP (Gly-Arg-Gly-Asp-Ser-Pro) 作为一种人工合成的线性RGD肽,可以抑制肿瘤细胞对血管内皮细胞的粘附,限制其转移[1]。GRGDSP (Gly-Arg-Gly-Asp-Ser-Pro) 是一种可溶性整合素阻断 RGD 基肽。GRGDSP 与其他 RGD 肽一起广泛用于整合素研究。GRGDSP 可用于修饰血管移植物等心血管植入物的表面,促进内皮化[2]

    MCE has not independently confirmed the accuracy of these methods. They are for reference only.

    分子量

    701.61

    Formula

    C24H38F3N9O12

    性状

    固体

    颜色

    White to off-white

    Sequence

    Gly-Arg-Gly-Asp-Ser-Pro

    Sequence Shortening

    GRGDSP

    运输条件

    Room temperature in continental US; may vary elsewhere.

    储存方式

    Sealed storage, away from moisture

    Powder -80°C 2 years
    -20°C 1 year

    *In solvent : -80°C, 6 months; -20°C, 1 month (sealed storage, away from moisture)

    溶解性数据
    细胞实验: 

    H2O 中的溶解度 : 125 mg/mL (178.16 mM; 超声助溶)

    配制储备液
    浓度 溶剂体积 质量 1 mg 5 mg 10 mg
    1 mM 1.4253 mL 7.1265 mL 14.2529 mL
    5 mM 0.2851 mL 1.4253 mL 2.8506 mL
    查看完整储备液配制表

    * 请根据产品在不同溶剂中的溶解度选择合适的溶剂配制储备液;一旦配成溶液,请分装保存,避免反复冻融造成的产品失效
    储备液的保存方式和期限:-80°C, 6 months; -20°C, 1 month (sealed storage, away from moisture)。-80°C储存时,请在6个月内使用,-20°C储存时,请在1个月内使用。

    * 备注:如您选择水作为储备液,请稀释至工作液后,再用 0.22 μm 的滤膜过滤除菌后使用。

    • 摩尔计算器

    • 稀释计算器

    Mass (g) = Concentration (mol/L) × Volume (L) × Molecular Weight (g/mol)

    质量
    =
    浓度
    ×
    体积
    ×
    分子量 *

    Concentration (start) × Volume (start) = Concentration (final) × Volume (final)

    This equation is commonly abbreviated as: C1V1 = C2V2

    浓度 (start)

    C1

    ×
    体积 (start)

    V1

    =
    浓度 (final)

    C2

    ×
    体积 (final)

    V2

    动物实验:

    以下溶解方案,请直接配制工作液。建议现用现配,在短期内尽快用完。 以下溶剂前显示的百分比是指该溶剂在您配制终溶液中的体积占比; 如在配制过程中出现沉淀、析出现象,可以通过加热和/或超声的方式助溶。

    • 方案 一

      请依序添加每种溶剂: PBS

      Solubility: 50 mg/mL (71.26 mM); 澄清溶液; 超声助溶

    动物溶解方案计算器
    请输入动物实验的基本信息:

    给药剂量

    mg/kg

    动物的平均体重

    g

    每只动物的给药体积

    μL

    动物数量

    由于实验过程有损耗,建议您多配一只动物的量
    计算结果
    工作液所需浓度 : mg/mL
    该产品水溶性佳,请具体参考实测 水 / PBS / Saline 中的溶解度数据。
    您所需的储备液浓度超过该产品的实测溶解度,如有需要,请与 MCE 中国技术支持联系。
    纯度 & 产品资料
    参考文献

    完整储备液配制表

    * 请根据产品在不同溶剂中的溶解度选择合适的溶剂配制储备液;一旦配成溶液,请分装保存,避免反复冻融造成的产品失效
    储备液的保存方式和期限:-80°C, 6 months; -20°C, 1 month (sealed storage, away from moisture)。-80°C储存时,请在6个月内使用,-20°C储存时,请在1个月内使用。

    可选溶剂 浓度 溶剂体积 质量 1 mg 5 mg 10 mg 25 mg
    H2O 1 mM 1.4253 mL 7.1265 mL 14.2529 mL 35.6323 mL
    5 mM 0.2851 mL 1.4253 mL 2.8506 mL 7.1265 mL
    10 mM 0.1425 mL 0.7126 mL 1.4253 mL 3.5632 mL
    15 mM 0.0950 mL 0.4751 mL 0.9502 mL 2.3755 mL
    20 mM 0.0713 mL 0.3563 mL 0.7126 mL 1.7816 mL
    25 mM 0.0570 mL 0.2851 mL 0.5701 mL 1.4253 mL
    30 mM 0.0475 mL 0.2375 mL 0.4751 mL 1.1877 mL
    40 mM 0.0356 mL 0.1782 mL 0.3563 mL 0.8908 mL
    50 mM 0.0285 mL 0.1425 mL 0.2851 mL 0.7126 mL
    60 mM 0.0238 mL 0.1188 mL 0.2375 mL 0.5939 mL
    80 mM 0.0178 mL 0.0891 mL 0.1782 mL 0.4454 mL
    100 mM 0.0143 mL 0.0713 mL 0.1425 mL 0.3563 mL

    * 备注:如您选择水作为储备液,请稀释至工作液后,再用 0.22 μm 的滤膜过滤除菌后使用。

    Help & FAQs
    • Do most proteins show cross-species activity?

      Species cross-reactivity must be investigated individually for each product. Many human cytokines will produce a nice response in mouse cell lines, and many mouse proteins will show activity on human cells. Other proteins may have a lower specific activity when used in the opposite species.

    您最近查看的产品:

    Your information is safe with us. * Required Fields.

       产品名称:

     

    * 需求量:

    * 客户姓名:

     

    * Email:

    * 电话:

     

    * 公司或机构名称:

       留言给我们:

    Bulk Inquiry

    Inquiry Information

    产品名称:
    GRGDSP TFA
    目录号:
    HY-P0290A
    需求量:
    item" data-bind="css: {active: $root.provinceSelect() == '北京市'}">北京市

    C

    F

    G

    H

    J

    L

    N

    Q

    S

    T

    X

    Y

    Z

    A B C F G H J L N Q S T X Y Z