1. MAPK/ERK Pathway Apoptosis
  2. Raf Apoptosis
  3. GW 5074

GW 5074 是一种有效的,选择性的 c-Raf 抑制剂,IC50 值为 9 nM;对 JNK1/2/3,MEK1,MKK6/7,CDK1/2,c-Src,p38 MAP,VEGFR2 或 c-Fms 等没有作用。

MCE 的所有产品仅用作科学研究或药证申报,我们不为任何个人用途提供产品和服务

GW 5074

GW 5074 Chemical Structure

CAS No. : 220904-83-6

1.  客户无需承担相应的运输费用。

2.  同一机构(单位)同一产品试用装仅限申领一次,同一机构(单位)一年内

     可免费申领三个不同产品的试用装。

3.  试用装只面向终端客户

规格 价格 是否有货 数量
10 mM * 1 mL in DMSO ¥1241
In-stock
1 mg ¥492
In-stock
5 mg ¥1083
In-stock
10 mg ¥1650
In-stock
25 mg ¥3100
In-stock
50 mg ¥4430
In-stock
100 mg ¥5708
In-stock
200 mg 现货 询价
500 mg   询价  
1 g   询价  

* Please select Quantity before adding items.

Customer Review

Other Forms of GW 5074:

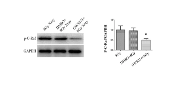
    GW 5074 purchased from MCE. Usage Cited in: Sci Rep. 2020 Jul 7;10(1):11158.  [Abstract]

    The inhibitory efficiency of GW5074 is evaluated by Western blots with the p–C-Raf expression level in MLE-12 cells. 100 nM GW5074 dramatically reduces the phosphorylation form of C-Raf.

    查看 Raf 亚型特异性产品:

    • 生物活性

    • 实验参考方法

    • 纯度 & 产品资料

    • 参考文献

    生物活性

    GW 5074 is a potent and selective c-Raf inhibitor with IC50 of 9 nM, and has no effect on the activities of JNK1/2/3, MEK1, MKK6/7, CDK1/2, c-Src, p38 MAP, VEGFR2 or c-Fms[1][2].

    IC50 & Target[1]

    C-Raf

    9 nM (IC50)

    体外研究
    (In Vitro)

    GW5074 是一种有效的特异性 c-Raf 抑制剂,IC50 为 9 nM,在体外对 MKK6、MKK7、p38 MAP 激酶和 cdks 没有影响。然而,用 GW5074 处理神经元培养物允许在 c-RafB-Raf 上积累激活修饰。GW5074 对 LK 诱导的小脑颗粒神经元细胞凋亡的抑制不依赖于 MEK-ERK。GW5074 延迟 Akt 活性的下调,但通过 Akt 独立机制抑制细胞凋亡。GW5074 影响 Ras、核因子-kappa B 和 c-jun。GW5074 抑制颗粒细胞和其他神经元类型中神经毒素引起的细胞死亡[1]

    MCE has not independently confirmed the accuracy of these methods. They are for reference only.

    体内研究
    (In Vivo)

    GW5074 (5 mg/kg) 完全预防 3-NP 在小鼠中引起的广泛双侧纹状体损伤[1]
    GW5074 抑制小鼠侧流烟雾诱导的气道高反应性[2]

    MCE has not independently confirmed the accuracy of these methods. They are for reference only.

    分子量

    520.94

    Formula

    C15H8Br2INO2

    CAS 号
    性状

    固体

    颜色

    Light yellow to yellow

    运输条件

    Room temperature in continental US; may vary elsewhere.

    储存方式
    Powder -20°C 3 years
    4°C 2 years
    In solvent -80°C 6 months
    -20°C 1 month
    溶解性数据
    细胞实验: 

    DMSO 中的溶解度 : 100 mg/mL (191.96 mM; 超声助溶 (<60°C); 吸湿的 DMSO 对产品的溶解度有显著影响,请使用新开封的 DMSO)

    配制储备液
    浓度 溶剂体积 质量 1 mg 5 mg 10 mg
    1 mM 1.9196 mL 9.5980 mL 19.1961 mL
    5 mM 0.3839 mL 1.9196 mL 3.8392 mL
    查看完整储备液配制表

    * 请根据产品在不同溶剂中的溶解度选择合适的溶剂配制储备液;一旦配成溶液,请分装保存,避免反复冻融造成的产品失效
    储备液的保存方式和期限:-80°C, 6 months; -20°C, 1 month。-80°C储存时,请在6个月内使用,-20°C储存时,请在1个月内使用。

    • 摩尔计算器

    • 稀释计算器

    Mass (g) = Concentration (mol/L) × Volume (L) × Molecular Weight (g/mol)

    质量
    =
    浓度
    ×
    体积
    ×
    分子量 *

    Concentration (start) × Volume (start) = Concentration (final) × Volume (final)

    This equation is commonly abbreviated as: C1V1 = C2V2

    浓度 (start)

    C1

    ×
    体积 (start)

    V1

    =
    浓度 (final)

    C2

    ×
    体积 (final)

    V2

    动物实验:

    请根据您的 实验动物和给药方式 选择适当的溶解方案。

    以下溶解方案都请先按照 In Vitro 方式配制澄清的储备液,再依次添加助溶剂:
    ——为保证实验结果的可靠性,澄清的储备液可以根据储存条件,适当保存;体内实验的工作液,建议您现用现配,当天使用
    以下溶剂前显示的百分比是指该溶剂在您配制终溶液中的体积占比;如在配制过程中出现沉淀、析出现象,可以通过加热和/或超声的方式助溶

    • 方案 一

      请依序添加每种溶剂: 10% DMSO    40% PEG300    5% Tween-80    45% Saline

      Solubility: ≥ 2.5 mg/mL (4.80 mM); 悬浊液

      此方案可获得 ≥ 2.5 mg/mL(饱和度未知)的均匀悬浊液,悬浊液可用于口服和腹腔注射。

      1 mL 工作液为例,取 100 μL 25.0 mg/mL 的澄清 DMSO 储备液加到 400 μL PEG300 中,混合均匀;再向上述体系中加入 50 μL Tween-80,混合均匀;然后再继续加入 450 μL 生理盐水 定容至 1 mL

      生理盐水的配制:将 0.9 g 氯化钠,溶解于 ddH₂O 并定容至 100 mL,可以得到澄清透明的生理盐水溶液。
    动物溶解方案计算器
    请输入动物实验的基本信息:

    给药剂量

    mg/kg

    动物的平均体重

    g

    每只动物的给药体积

    μL

    动物数量

    由于实验过程有损耗,建议您多配一只动物的量
    请输入您的动物体内配方组成:
    %
    DMSO +
    +
    %
    Tween-80 +
    %
    Saline
    如果您的动物是免疫缺陷鼠或者体弱鼠,建议 DMSO 中的在最后工作液体系中的占比尽量不超过 2%。
    方案所需 助溶剂 包括:DMSO ,均可在 MCE 网站选购。 Tween 80,均可在 MCE 网站选购。
    计算结果
    工作液所需浓度 : mg/mL
    储备液配制方法 : mg 药物溶于 μL  DMSO(母液浓度为 mg/mL)。
    您所需的储备液浓度超过该产品的实测溶解度,以下方案仅供参考,如有需要,请与 MCE 中国技术支持联系。
    动物实验体内工作液的配制方法 : 取 μL DMSO 储备液,加入 μL  μL ,混合均匀至澄清,再加 μL Tween 80,混合均匀至澄清,再加 μL 生理盐水
    连续给药周期超过半月以上,请谨慎选择该方案。
    请确保第一步储备液溶解至澄清状态,从左到右依次添加助溶剂。您可采用超声加热 (超声清洗仪,建议频次 20-40 kHz),涡旋吹打等方式辅助溶解。
    纯度 & 产品资料

    纯度: 99.54%

    参考文献
    Kinase Assay
    [1]

    Briefly, for each assay 5-10 mU of purified kinase is used. For GSK3β, cdk1, cdk2, cdk3, cdk5, the kinase is incubated with 1 μM GW5074 in a buffer containing 8 mM MOPS, pH 7.2, 0.2 mM EDTA, 10 mM magnesium acetate and [c-33P-ATP] for 40 min at room temperature. Kinase activity is quantified by measuring 33P incorporation by spotting an aliquot on P30 filters, washing in 50 mM phosphoric acid and scintillation counting. The buffer composition for c-Raf, JNK1, JNK2, JNK3, MEK1, MKK6, MKK7 is 50 mM Tris pH 7.5, 0.1 mM EGTA, 10 mM magnesium acetate and [c-33P-ATP]. The peptide substrates used are as follows: For c-Raf, 0.66 mg/mL MBP; for cdks, 0.1 mg/mL histone H1; for JNKs, 3 μM ATF2; for MEK1, 1 μM MAPK2; for MKK6, 1 μM of SAPK2a and for MKK7, 2 μM JNK1α.

    MCE has not independently confirmed the accuracy of these methods. They are for reference only.

    Cell Assay
    [1]

    Befiy, the tetrazolium salt MTT is added to the cultures at a final concentration of 1 mg/mL, and incubation of the culture is continued in the CO2 incubator for a Hirther 30 min at 37°C. The assay is stopped by adding lysis buffer [20% sodium dodecyi sulfate (SDS) in 50% N,N-dimethyl formamide, pH 4.7], The absorbance is measured spectrophotometrically at 570 nm after an ovemight incubation at room temperature. The absorbance of a well without cells is used as background and subtracted. Data are presented as mean±standard deviation. Statistical analysis is perfomied using ANOVA and Student-Neuman-Keuls' test. Besides MTT assays, viability is also quantitied using the tluorescein-diacetate method and by DAPI staining (which reveals apoptotic nuclei as condensed or fragmented). The results using these assays are similar to those obtained with the MTT assay.

    MCE has not independently confirmed the accuracy of these methods. They are for reference only.

    Animal Administration
    [1]

    The Tru-Scan® activity monitoring system is used to assess locomotor activity on mice on the day following the 5 days of injection with saline, 3-NP or a combination of 3-NP and GW5074 (7 animals in each group). The animal is placed in a Perspex arena (25.9×25.9 cm) witb infrared beams spaced at 0.6-inch intervals in the X-Y plane. The arena is also equipped with a second infrared beam system at the Z plane positioned 2.54 cm above the X-Y plane. In this system the movement of the animal is accurately assessed by interruptions in 17×17-grid system created by the infrared beams in both the X-Y and Z planes. The animal is allowed to remain in the arena for 15 min, with data collection performed during this period using the Tru Scan Line interface box and Tm Scan 99 software, operating through a Pentium PC. The following behavioral parameters are selected: (i) Total movements episodes: each movement in the flor plane is a series of coordinate changes with no rest for at least I sample interval; (ii) total movement distance: the sum of all vectored A-Y coordinate changes in the floor plane; (iii) mean velocity: the mean velocity of all X-Y coordinate change defined movements; and (iv) vertical plane entries: the total number of times any part of the animal entered the vertical plane (Z plane).

    MCE has not independently confirmed the accuracy of these methods. They are for reference only.

    参考文献

    完整储备液配制表

    * 请根据产品在不同溶剂中的溶解度选择合适的溶剂配制储备液;一旦配成溶液,请分装保存,避免反复冻融造成的产品失效
    储备液的保存方式和期限:-80°C, 6 months; -20°C, 1 month。-80°C储存时,请在6个月内使用,-20°C储存时,请在1个月内使用。

    可选溶剂 浓度 溶剂体积 质量 1 mg 5 mg 10 mg 25 mg
    DMSO 1 mM 1.9196 mL 9.5980 mL 19.1961 mL 47.9902 mL
    5 mM 0.3839 mL 1.9196 mL 3.8392 mL 9.5980 mL
    10 mM 0.1920 mL 0.9598 mL 1.9196 mL 4.7990 mL
    15 mM 0.1280 mL 0.6399 mL 1.2797 mL 3.1993 mL
    20 mM 0.0960 mL 0.4799 mL 0.9598 mL 2.3995 mL
    25 mM 0.0768 mL 0.3839 mL 0.7678 mL 1.9196 mL
    30 mM 0.0640 mL 0.3199 mL 0.6399 mL 1.5997 mL
    40 mM 0.0480 mL 0.2400 mL 0.4799 mL 1.1998 mL
    50 mM 0.0384 mL 0.1920 mL 0.3839 mL 0.9598 mL
    60 mM 0.0320 mL 0.1600 mL 0.3199 mL 0.7998 mL
    80 mM 0.0240 mL 0.1200 mL 0.2400 mL 0.5999 mL
    100 mM 0.0192 mL 0.0960 mL 0.1920 mL 0.4799 mL
    Help & FAQs
    • Do most proteins show cross-species activity?

      Species cross-reactivity must be investigated individually for each product. Many human cytokines will produce a nice response in mouse cell lines, and many mouse proteins will show activity on human cells. Other proteins may have a lower specific activity when used in the opposite species.

    您最近查看的产品:

    Your information is safe with us. * Required Fields.

       产品名称:

     

    * 需求量:

    * 客户姓名:

     

    * Email:

    * 电话:

     

    * 公司或机构名称:

       留言给我们:

    Bulk Inquiry

    Inquiry Information

    产品名称:
    GW 5074
    目录号:
    HY-10542
    需求量: