1. JAK/STAT Signaling Protein Tyrosine Kinase/RTK Autophagy Apoptosis
  2. EGFR Autophagy Apoptosis
  3. Gefitinib

Gefitinib  (Synonyms: 吉非替尼; ZD1839)

目录号: HY-50895 纯度: 99.99%
COA 产品使用指南 技术支持

Gefitinib (ZD1839) 是一种有效,选择性和口服活性的 EGFR 酪氨酸激酶抑制剂,IC50 为 33 nM。Gefitinib 选择性抑制 EGF 刺激的肿瘤细胞生长 (IC50 为 54 nM),并阻断 EGF 刺激的肿瘤细胞中 EGFR 自磷酸化。Gefitinib 还可诱导细胞自噬 (autophagy) 和凋亡 (apoptosis),可用于癌症相关的研究,如肺癌和乳腺癌。

MCE 的所有产品仅用作科学研究或药证申报,我们不为任何个人用途提供产品和服务

CAS No. : 184475-35-2

1.  客户无需承担相应的运输费用。

2.  同一机构(单位)同一产品试用装仅限申领一次,同一机构(单位)一年内

     可免费申领三个不同产品的试用装。

3.  试用装只面向终端客户

规格 价格 是否有货 数量
10 mM * 1 mL in DMSO ¥605
In-stock
100 mg ¥550
In-stock
500 mg ¥950
In-stock
1 g ¥1400
In-stock
5 g ¥2800
In-stock
10 g   询价  
50 g   询价  

* Please select Quantity before adding items.

Customer Review

Other Forms of Gefitinib:

MCE 顾客使用本产品发表的 172 篇科研文献

WB
Cell Viability Assay
IF

    Gefitinib purchased from MCE. Usage Cited in: Kaohsiung J Med Sci. 2023 Jul;39(7):699-709.  [Abstract]

    Gefitinib (0-20 μM; 24 h) significantly inhibits the viability of A549 cells.

    Gefitinib purchased from MCE. Usage Cited in: Cell Res. 2020 Oct;30(10):833-853.  [Abstract]

    Immunofluorescence showing phospho-EGFR (Y1173) expression in GSCs in 3D tetracultures following treatment with 1μM of erlotinib or gefitinib for 24 hours. Scale bar, 25μm.

    Gefitinib purchased from MCE. Usage Cited in: Cell Res. 2020 Oct;30(10):833-853.  [Abstract]

    Western blot showing EGFR phosphorylation (Y1173 and Y1068) as a biomarker of EGFR activation following treatment with erlotinib or gefitinib (0.2-1 μM) for 24 hours in sphere culture at the indicated concentrations.

    Gefitinib purchased from MCE. Usage Cited in: Cancer Cell. 2018 Jun 11;33(6):1061-1077.e6.  [Abstract]

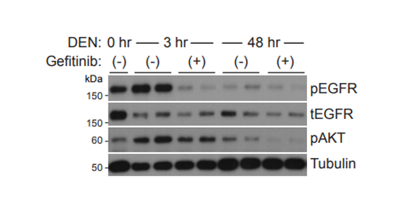
    WT mice are either treated with vehicle or Gefitinib (100 mg/kg/day) starting one day prior to DEN injection (100 mg/kg). Livers are collected at 3 and 48 hr after DEN injection and subjected to IB analyses with the indicated antibodies.

    Gefitinib purchased from MCE. Usage Cited in: Theranostics. 2018 Jul 30;8(15):4262-4278.  [Abstract]

    BV2 cells are pretreated with 0.1% DMSO (Ctrl), JuA (25 µM) or JuA (25 µM) with the indicated antagonist of RTKs (Dovitinib at 1 µM, Gefitinib at 2.5 µM, SU 11248 at 2.5 µM and LDC1267 at 1 µM) for 30 min, followed by administration of Aβ42 (5 μM) for 12 h.

    Gefitinib purchased from MCE. Usage Cited in: Cell Death Dis. 2018 Feb 15;9(3):269.  [Abstract]

    WB is used to detect the effect of EGF treatment for 4 h on the expression of YAP with the inhibitors of EGFR or its downsream members, including Gefitinib, LY294002, Wortmannin, GSK2334470, BX-795, MK-2206, GSK1120212, and U0126 in the Si RhoA transfected HepG2 and SMMC7721 cells for 48 h in HepG2 and SMMC7721 cells.

    Gefitinib purchased from MCE. Usage Cited in: Oncogene. 2018 Aug;37(31):4300-4312.  [Abstract]

    Western blot analysis of E-cadherin and vimentin in HCC827 xenograft tumors treated with Gefitinib daily for 6-8 weeks until tumors regrown (resistant) or saline for 1 week (sensitive) (left panel).

    Gefitinib purchased from MCE. Usage Cited in: Oncol Rep. 2018 Oct;40(4):2242-2250.  [Abstract]

    Effects of Gefitinib(G) and SC 58635 (Cel) on ABCB1 (MDR1), FOXM1 and Bcl 2 protein levels in PC3/DR and DU145/DR cell lines. The effects of Gefitinib, SC 58635 and their combination on ABCB1 (MDR1), FOXM1 and Bcl 2 expression in the PC3/DR and DU145/DR cell lines are determined by a western blot assay.

    Gefitinib purchased from MCE. Usage Cited in: Breast Cancer Res. 2017 Aug 4;19(1):90.  [Abstract]

    The effect of Gefitinib-FTY720 treatment on CD44 expression in TNBC cell lines. HCC1806, Hs578T, and MDA-MB-468 TNBC cell lines at ~40% confluence in 12-well plates are exposed for 24 h to Gefitinib (Gef: 0.1 to 10 μM), with or without the addition of 1.5 μM FTY720.

    Gefitinib purchased from MCE. Usage Cited in: Mol Med Rep. 2017 Sep;16(3):3475-3481.  [Abstract]

    Cyclin B1 and Cdk1 protein expression levels are significantly downregulated in NCI-H1975 cells treated with the combination of DHA (5 µM) and Gefitinib (10 µM).

    Gefitinib purchased from MCE. Usage Cited in: Exp Cell Res. 2017 Dec 15;361(2):246-256.  [Abstract]

    Western blot analysis for p21, p-p21, Cyclin D1. Bcl-2, Caspase 3, Cleaved Caspase 3, Caspase 9, Cleaved Caspase 9 and Bax in HCC827-GR and PC-9-GR cells treated with control, Efatutazone alone, Gefitinib alone, or Efatutazone combined with gefitinib for 48 h.

    Gefitinib purchased from MCE. Usage Cited in: Chem Pharm Bull (Tokyo). 2017 Aug 1;65(8):768-775.  [Abstract]

    Changes in Bcl-2 protein expression in MCF-7 cells after treatment with 2CdA, BMS-354825 or Gefitinib alone or in combination for 12 h. Expression of Bcl-2 protein is analyzed by western blotting analysis.
    • 生物活性

    • 纯度 & 产品资料

    • 参考文献

    生物活性

    Gefitinib (ZD1839) is a potent, selective and orally active EGFR tyrosine kinase inhibitor with an IC50 of 33 nM. Gefitinib selectively inhibits EGF-stimulated tumor cell growth (IC50 of 54 nM) and that blocks EGF-stimulated EGFR autophosphorylation in tumor cells. Gefitinib also induces autophagy and cell apoptosis, which can be used for cancer related research, such as Lung cancer and breast cancer [1][2][5].

    IC50 & Target[1]

    EGFR

     

    细胞效力
    (Cellular Effect)
    Cell Line Type Value Description References
    16HBE14o- IC50
    1.601 μM
    Compound: Gefitinib
    Antiproliferative activity against human 16HBE cells expressing wild type EGFR after 72 hrs by MTT assay
    Antiproliferative activity against human 16HBE cells expressing wild type EGFR after 72 hrs by MTT assay
    [PMID: 23792318]
    16HBE14o- IC50
    12.71 μM
    Compound: Iressa
    Antiproliferative activity against human 16HBE cells after 72 hrs by MTT assay
    Antiproliferative activity against human 16HBE cells after 72 hrs by MTT assay
    [PMID: 24607591]
    16HBE14o- IC50
    12.71 μM
    Compound: gefitinib
    Cytotoxicity against human 16HBE14o- cells harboring wild type EGFR assessed as growth inhibition after 72 hrs by MTT assay
    Cytotoxicity against human 16HBE14o- cells harboring wild type EGFR assessed as growth inhibition after 72 hrs by MTT assay
    [PMID: 23668441]
    A-375 IC50
    20.55 μM
    Compound: Gefitinib
    Antiproliferative activity against human A375 cells after 48 hrs by MTT assay
    Antiproliferative activity against human A375 cells after 48 hrs by MTT assay
    [PMID: 20304537]
    A-431 IC50
    0.023 μM
    Compound: 29
    In vitro inhibitory activity against Epidermal growth factor receptor (EGFR-TK) from A431 vulval squamous carcinoma cells using TKI assay
    In vitro inhibitory activity against Epidermal growth factor receptor (EGFR-TK) from A431 vulval squamous carcinoma cells using TKI assay
    [PMID: 11459659]
    A-431 GI50
    0.514 μM
    Compound: Ire
    Growth inhibition of human A431 cells after 72 hrs by MTT assay
    Growth inhibition of human A431 cells after 72 hrs by MTT assay
    [PMID: 19969465]
    A-431 IC50
    0.55 μM
    Compound: Gefitinib
    Antiproliferative activity against human A431 cells overexpressing EGFR assessed as cell growth inhibition measured after 72 hrs by MTT assay
    Antiproliferative activity against human A431 cells overexpressing EGFR assessed as cell growth inhibition measured after 72 hrs by MTT assay
    [PMID: 32139324]
    A-431 IC50
    0.55 μM
    Compound: Iressa
    Cytotoxicity against human A431 cells overexpressing EGFR assessed as growth inhibition after 72 hrs by MTT assay
    Cytotoxicity against human A431 cells overexpressing EGFR assessed as growth inhibition after 72 hrs by MTT assay
    [PMID: 27524310]
    A-431 IC50
    0.55 μM
    Compound: Gefitinib, Iressa
    Cytotoxicity against human A431 cells expressing EGFR after 72 hrs by MTT assay
    Cytotoxicity against human A431 cells expressing EGFR after 72 hrs by MTT assay
    [PMID: 24411123]
    A-431 IC50
    1.08 μM
    Compound: Gifitinib
    Inhibition of EGFR derived from human A431 cell membrane assessed as inhibition of poly-Glu-Tyr phosphorylation after 30 mins by ELISA assay
    Inhibition of EGFR derived from human A431 cell membrane assessed as inhibition of poly-Glu-Tyr phosphorylation after 30 mins by ELISA assay
    [PMID: 22698782]
    A-431 IC50
    1.1 μM
    Compound: Gefitinib
    Inhibition of EGFR in shed membrane vesicles of human A431 cells using poly-Glu-Tyr as substrate after 30 mins by ELISA
    Inhibition of EGFR in shed membrane vesicles of human A431 cells using poly-Glu-Tyr as substrate after 30 mins by ELISA
    [PMID: 24094432]
    A-431 IC50
    1.282 μM
    Compound: Gefitinib
    Antiproliferative activity against human A431 cells harboring wild-type EGFR after 72 hrs by MTT assay
    Antiproliferative activity against human A431 cells harboring wild-type EGFR after 72 hrs by MTT assay
    [PMID: 30471829]
    A-431 IC50
    1.33 μM
    Compound: Gefitinib
    Antiproliferative activity against human A431 cells harboring wild type EGFR assessed as reduction in cell viability after 72 hrs by MTT assay
    Antiproliferative activity against human A431 cells harboring wild type EGFR assessed as reduction in cell viability after 72 hrs by MTT assay
    [PMID: 26829280]
    A-431 IC50
    1.41 μM
    Compound: Gifitinib
    Antiproliferative activity against human A431 cells after 48 hrs by MTT assay
    Antiproliferative activity against human A431 cells after 48 hrs by MTT assay
    [PMID: 22698782]
    A-431 EC50
    1.71 μM
    Compound: Gefitinib
    Antiproliferative activity against human A431 cells expressing wild type EGFR incubated for 96 hrs measured on day 5 by CellTiterGlo assay
    Antiproliferative activity against human A431 cells expressing wild type EGFR incubated for 96 hrs measured on day 5 by CellTiterGlo assay
    [PMID: 28853575]
    A-431 IC50
    1.89 μM
    Compound: Gefitinib
    Cytotoxicity against human A431 cells after 48 hrs by MTT assay
    Cytotoxicity against human A431 cells after 48 hrs by MTT assay
    10.1007/s00044-013-0734-x
    A-431 IC50
    1.98 μM
    Compound: Gefitinib
    Antiproliferative activity against human A431 cells after 72 hrs by MTT assay
    Antiproliferative activity against human A431 cells after 72 hrs by MTT assay
    [PMID: 24094432]
    A-431 IC50
    12.05 μM
    Compound: 1
    Cytotoxicity against EGFR overexpressing human A431 cells after 24 hrs by MTT assay
    Cytotoxicity against EGFR overexpressing human A431 cells after 24 hrs by MTT assay
    [PMID: 18771819]
    A-431 IC50
    12.58 μM
    Compound: Gefitinib
    Antiproliferative activity against EGFR over-expressing human A431 cells after 48 hrs by MTT assay
    Antiproliferative activity against EGFR over-expressing human A431 cells after 48 hrs by MTT assay
    [PMID: 28236592]
    A-431 IC50
    16.02 μM
    Compound: Gefitinib
    Antiproliferative activity against human A-431 cells assessed as reduction in cell viability measured after 72 hrs by MTT assay
    Antiproliferative activity against human A-431 cells assessed as reduction in cell viability measured after 72 hrs by MTT assay
    [PMID: 34147910]
    A-431 IC50
    2.15 μM
    Compound: Gfb
    Antiproliferative activity against human A431 cells overexpressing EGFR after 72 hrs by MTS assay
    Antiproliferative activity against human A431 cells overexpressing EGFR after 72 hrs by MTS assay
    [PMID: 22339342]
    A-431 EC50
    2.2 μM
    Compound: Gefitinib
    Antiproliferative activity against human A431 cells harboring wild type EGFR assessed as growth inhibition after 96 hrs by CellTiter-Glo assay
    Antiproliferative activity against human A431 cells harboring wild type EGFR assessed as growth inhibition after 96 hrs by CellTiter-Glo assay
    [PMID: 28603991]
    A-431 IC50
    2.47 μM
    Compound: Gefitinib
    Antiproliferative activity against human A431 cells after 72 hrs by MTT assay
    Antiproliferative activity against human A431 cells after 72 hrs by MTT assay
    [PMID: 30508379]
    A-431 IC50
    2.6 μM
    Compound: 1
    Antiproliferative activity against human A-431 cells harboring wild type EGFR assessed as inhibition of cell growth by MTT assay
    Antiproliferative activity against human A-431 cells harboring wild type EGFR assessed as inhibition of cell growth by MTT assay
    [PMID: 31869655]
    A-431 IC50
    2.98 μM
    Compound: Gefitinib
    Antiproliferative activity against human A-431 cells assessed as cell growth inhibition incubated for 48 hrs by MTT assay
    Antiproliferative activity against human A-431 cells assessed as cell growth inhibition incubated for 48 hrs by MTT assay
    [PMID: 32739648]
    A-431 IC50
    24.55 μM
    Compound: Gefitinib
    Antiproliferative activity against human A-431 cells assessed as reduction in cell viability measured after 48 hrs by MTT assay
    Antiproliferative activity against human A-431 cells assessed as reduction in cell viability measured after 48 hrs by MTT assay
    [PMID: 34147910]
    A-431 IC50
    3.3 μM
    Compound: 1; Iressa
    Antiproliferative activity against human A431 cells incubated for 72 hrs by MTT assay
    Antiproliferative activity against human A431 cells incubated for 72 hrs by MTT assay
    [PMID: 28395219]
    A-431 IC50
    3.308 μM
    Compound: 1
    Antiproliferative activity against wild type human A431 cells after 48 hrs by MTT assay
    Antiproliferative activity against wild type human A431 cells after 48 hrs by MTT assay
    [PMID: 27634676]
    A-431 IC50
    3.308 μM
    Compound: Gefitinib
    Antiproliferative activity against human A-431 cells assessed as cell growth inhibition incubated for 72 hrs by MTT assay
    Antiproliferative activity against human A-431 cells assessed as cell growth inhibition incubated for 72 hrs by MTT assay
    [PMID: 32739648]
    A-431 IC50
    3.74 μM
    Compound: Gefitinib
    Antiproliferative activity against human A431 cells after 72 hrs by MTT assay
    Antiproliferative activity against human A431 cells after 72 hrs by MTT assay
    [PMID: 26706113]
    A-431 IC50
    31.2 μM
    Compound: IRESSA; ZD1839
    Cytotoxicity against human A431 cells measured after 24 hrs by WST-1 assay
    Cytotoxicity against human A431 cells measured after 24 hrs by WST-1 assay
    [PMID: 33260051]
    A-431 IC50
    32.17 μM
    Compound: Gefitinib
    Antiproliferative activity against human A-431 cells assessed as reduction in cell viability measured after 24 hrs by MTT assay
    Antiproliferative activity against human A-431 cells assessed as reduction in cell viability measured after 24 hrs by MTT assay
    [PMID: 34147910]
    A-431 IC50
    33 nM
    Compound: 1
    Inhibition of EGFR in human A431 cell membranes preincubated for 30 mins prior to addition of peptide substrate and [gamma32]-ATP measured after 10 mins by scintillation counting method
    Inhibition of EGFR in human A431 cell membranes preincubated for 30 mins prior to addition of peptide substrate and [gamma32]-ATP measured after 10 mins by scintillation counting method
    [PMID: 27769671]
    A-431 IC50
    4 μM
    Compound: Gefitinib
    Antiproliferative activity against human A431 cells after 48 hrs by Celltiter-Glo assay
    Antiproliferative activity against human A431 cells after 48 hrs by Celltiter-Glo assay
    [PMID: 25409491]
    A-431 IC50
    4 μM
    Compound: Gefitinib
    Inhibition of wild type EGFR in human A431 cells assessed as growth inhibition after 48 hrs by MTT assay
    Inhibition of wild type EGFR in human A431 cells assessed as growth inhibition after 48 hrs by MTT assay
    [PMID: 24900594]
    A-431 IC50
    4 μM
    Compound: Gefitinib
    Cytotoxicity against human A431 cells incubated for 72 hrs by MTT assay
    Cytotoxicity against human A431 cells incubated for 72 hrs by MTT assay
    [PMID: 23116168]
    A-431 IC50
    4.45 μM
    Compound: ZD1839
    Antiproliferative activity against human A431 cells incubated for 72 hrs by MTT assay
    Antiproliferative activity against human A431 cells incubated for 72 hrs by MTT assay
    [PMID: 31202990]
    A-431 IC50
    4.45 μM
    Compound: Gefitinib
    Antiproliferative activity against human A431 cells harboring wild type EGFR after 72 hrs by MTT assay
    Antiproliferative activity against human A431 cells harboring wild type EGFR after 72 hrs by MTT assay
    [PMID: 29421573]
    A-431 IC50
    4.45 μM
    Compound: Gefitinib
    Antiproliferative activity against human A431 cells harboring wild type EGFR after 72 hrs by MTT assay
    Antiproliferative activity against human A431 cells harboring wild type EGFR after 72 hrs by MTT assay
    [PMID: 28711703]
    A-431 IC50
    4.485 μM
    Compound: Iressa
    Antiproliferative activity against human A431 cells overexpressing WT EGFR after 72 hrs by MTT assay
    Antiproliferative activity against human A431 cells overexpressing WT EGFR after 72 hrs by MTT assay
    [PMID: 24607591]
    A-431 IC50
    4.485 μM
    Compound: gefitinib
    Cytotoxicity against human A431 cells overexpressing wild type EGFR assessed as growth inhibition after 72 hrs by MTT assay
    Cytotoxicity against human A431 cells overexpressing wild type EGFR assessed as growth inhibition after 72 hrs by MTT assay
    [PMID: 23668441]
    A-431 IC50
    4.58 μM
    Compound: Gefitinib
    Antiproliferative activity against human A431 cells overexpressing wild-type EGFR after 72 hrs by MTT assay
    Antiproliferative activity against human A431 cells overexpressing wild-type EGFR after 72 hrs by MTT assay
    [PMID: 27387355]
    A-431 IC50
    6.12 μM
    Compound: Gefitinib
    Antiproliferative activity against human A431 cells harboring wild type EGFR assessed as decrease in cell viability after 72 hrs by MTT assay
    Antiproliferative activity against human A431 cells harboring wild type EGFR assessed as decrease in cell viability after 72 hrs by MTT assay
    [PMID: 28385595]
    A-431 IC50
    768 nM
    Compound: Gefitinib
    Antiproliferative activity against human A431 cells assessed as reduction in cell viability incubated for 72 hrs by cell-titer glo luminescent cell viability assay
    Antiproliferative activity against human A431 cells assessed as reduction in cell viability incubated for 72 hrs by cell-titer glo luminescent cell viability assay
    [PMID: 29523467]
    A-431 IC50
    8.37 μM
    Compound: Gefitinib
    Antiproliferative activity against human A-431 cells assessed as reduction in cell viability incubated for 72 hrs by MTT assay
    Antiproliferative activity against human A-431 cells assessed as reduction in cell viability incubated for 72 hrs by MTT assay
    [PMID: 33640672]
    A-431 IC50
    8.982 μM
    Compound: Gefitinib
    Antiproliferative activity against human A431 cells expressing wild type EGFR after 72 hrs by MTT assay
    Antiproliferative activity against human A431 cells expressing wild type EGFR after 72 hrs by MTT assay
    [PMID: 23792318]
    A498 GI50
    0.4 μM
    Compound: Gefitinib
    Growth inhibition of human A498 cells incubated for 48 hrs by sulforhodamine B assay
    Growth inhibition of human A498 cells incubated for 48 hrs by sulforhodamine B assay
    [PMID: 27241691]
    A498 IC50
    8.6 μM
    Compound: 1, Iressa
    Antiproliferative activity against human A498 cells expressing EGFR and SRC by MTT assay
    Antiproliferative activity against human A498 cells expressing EGFR and SRC by MTT assay
    [PMID: 22818848]
    A549 IC50
    > 10 μM
    Compound: Gefitinib
    Cytotoxicity against human A549 cells after 48 hrs by CellTiter-Glo assay
    Cytotoxicity against human A549 cells after 48 hrs by CellTiter-Glo assay
    [PMID: 24900594]
    A549 IC50
    > 10 μM
    Compound: 1
    Antiproliferative activity against human A549 cells incubated for 72 hrs by MTT assay
    Antiproliferative activity against human A549 cells incubated for 72 hrs by MTT assay
    [PMID: 31787359]
    A549 IC50
    > 10 μM
    Compound: Gefitinib
    Cytotoxicity against human A549 cells assessed as cell growth inhibition after 72 hrs by MTT assay
    Cytotoxicity against human A549 cells assessed as cell growth inhibition after 72 hrs by MTT assay
    [PMID: 27387355]
    A549 IC50
    > 10000 nM
    Compound: Gefitinib
    Antiproliferative activity against human A549 cells harboring wild-type EGFR after 72 hrs by EZ-Cytox assay
    Antiproliferative activity against human A549 cells harboring wild-type EGFR after 72 hrs by EZ-Cytox assay
    [PMID: 30554954]
    A549 IC50
    > 50 μM
    Compound: Gefitinib
    Growth inhibition of human A549 cells expressing EGFR incubated for 72 hrs by CCK8 assay
    Growth inhibition of human A549 cells expressing EGFR incubated for 72 hrs by CCK8 assay
    [PMID: 35880853]
    A549 IC50
    0.007 μM
    Compound: Gefitinib
    Antiproliferative activity against human A549 cells harboring wild type EGFR assessed as reduction in cell viability measured after 72 hrs by MTT assay
    Antiproliferative activity against human A549 cells harboring wild type EGFR assessed as reduction in cell viability measured after 72 hrs by MTT assay
    [PMID: 32402937]
    A549 IC50
    0.13 μM
    Compound: Gefitinib
    Antiproliferative activity against human A549 cells assessed as cell growth by MTT assay
    Antiproliferative activity against human A549 cells assessed as cell growth by MTT assay
    [PMID: 26003342]
    A549 IC50
    10.07 μM
    Compound: Gefitinib
    Antiproliferative activity against human A549 cells after 72 hrs by MTT assay
    Antiproliferative activity against human A549 cells after 72 hrs by MTT assay
    [PMID: 30471829]
    A549 IC50
    10.07 μM
    Compound: 1; Iressa
    Antiproliferative activity against human A549 cells incubated for 72 hrs by MTT assay
    Antiproliferative activity against human A549 cells incubated for 72 hrs by MTT assay
    [PMID: 28395219]
    A549 IC50
    10.08 μM
    Compound: Gefitinib, Iressa
    Antiproliferative activity against human A549 cells overexpressing EGFR gene after 48 hrs by MTT assay
    Antiproliferative activity against human A549 cells overexpressing EGFR gene after 48 hrs by MTT assay
    [PMID: 22119130]
    A549 IC50
    10.21 μM
    Compound: Gfb
    Antiproliferative activity against human A549 cells expressing wild type EGFR coexpressing k-Ras mutant after 72 hrs by MTS assay
    Antiproliferative activity against human A549 cells expressing wild type EGFR coexpressing k-Ras mutant after 72 hrs by MTS assay
    [PMID: 22339342]
    A549 IC50
    10.45 μM
    Compound: Gefitinib
    Cytotoxicity against human A549 cells assessed as reduction in cell viability after 72 hrs by MTT assay
    Cytotoxicity against human A549 cells assessed as reduction in cell viability after 72 hrs by MTT assay
    [PMID: 29496411]
    A549 IC50
    11.02 μM
    Compound: Gefitinib
    Antiproliferative activity against human A549 cells after 48 hrs by CCK-8 assay
    Antiproliferative activity against human A549 cells after 48 hrs by CCK-8 assay
    [PMID: 26343825]
    A549 IC50
    11.08 μM
    Compound: Gefitinib
    Antiproliferative activity against human A549 cells after 72 hrs by MTT assay
    Antiproliferative activity against human A549 cells after 72 hrs by MTT assay
    [PMID: 30508379]
    A549 IC50
    11.67 μM
    Compound: 3
    Antiproliferative activity against human A549 cells assessed as inhibition of cell proliferation under hypoxia conditions after 72 hrs by SRB assay
    Antiproliferative activity against human A549 cells assessed as inhibition of cell proliferation under hypoxia conditions after 72 hrs by SRB assay
    [PMID: 25468044]
    A549 IC50
    11.8 μM
    Compound: Gifitinib
    Antiproliferative activity against human A549 cells after 48 hrs by MTT assay
    Antiproliferative activity against human A549 cells after 48 hrs by MTT assay
    [PMID: 22698782]
    A549 IC50
    12.08 μM
    Compound: Gefitinib
    Antiproliferative activity against human A549 cells after 72 hrs by MTT assay
    Antiproliferative activity against human A549 cells after 72 hrs by MTT assay
    [PMID: 28711702]
    A549 IC50
    12.17 μM
    Compound: 3
    Antiproliferative activity against human A549 cells assessed as inhibition of cell proliferation under normoxia conditions after 72 hrs by SRB assay
    Antiproliferative activity against human A549 cells assessed as inhibition of cell proliferation under normoxia conditions after 72 hrs by SRB assay
    [PMID: 25468044]
    A549 IC50
    12.92 μM
    Compound: Gefitinib
    Antiproliferative activity against human A549 cells after 72 hrs by MTT assay
    Antiproliferative activity against human A549 cells after 72 hrs by MTT assay
    [PMID: 24094432]
    A549 IC50
    1260 nM
    Compound: Gefitinib
    Antiproliferative activity against human A549 cells after 72 hrs by MTT assay
    Antiproliferative activity against human A549 cells after 72 hrs by MTT assay
    [PMID: 29576272]
    A549 IC50
    13.26 μM
    Compound: Gefitinib
    Antiproliferative activity against human A549 cells highly expressing EGFR after 48 hrs by MTT assay
    Antiproliferative activity against human A549 cells highly expressing EGFR after 48 hrs by MTT assay
    [PMID: 35247755]
    A549 IC50
    13.32 μM
    Compound: Gefitinib
    Antiproliferative activity against human A549 cells assessed as reduction in cell viability after 48 hrs by cck8 assay
    Antiproliferative activity against human A549 cells assessed as reduction in cell viability after 48 hrs by cck8 assay
    [PMID: 27234887]
    A549 IC50
    13.59 μM
    Compound: ZD-1839, IRESSA
    Cytotoxicity against human A549 cells after 96 hrs by MTT assay
    Cytotoxicity against human A549 cells after 96 hrs by MTT assay
    [PMID: 18313807]
    A549 IC50
    14.803 μM
    Compound: Gefitinib
    Antiproliferative activity against human A549 cells incubated for 72 hrs by MTT assay
    Antiproliferative activity against human A549 cells incubated for 72 hrs by MTT assay
    [PMID: 31488358]
    A549 IC50
    15.58 μM
    Compound: Iressa
    Antiproliferative activity against k-RAS dependent human A549 cells overexpressing WT EGFR after 72 hrs by MTT assay
    Antiproliferative activity against k-RAS dependent human A549 cells overexpressing WT EGFR after 72 hrs by MTT assay
    [PMID: 24607591]
    A549 IC50
    15.58 μM
    Compound: gefitinib
    Cytotoxicity against human A549 cells harboring wild type EGFR and k-RAS mutation assessed as growth inhibition after 72 hrs by MTT assay
    Cytotoxicity against human A549 cells harboring wild type EGFR and k-RAS mutation assessed as growth inhibition after 72 hrs by MTT assay
    [PMID: 23668441]
    A549 IC50
    15.59 μM
    Compound: Gefitinib
    Antiproliferative activity against human A549 cells assessed as reduction in cell viability incubated for 72 hrs by MTT assay
    Antiproliferative activity against human A549 cells assessed as reduction in cell viability incubated for 72 hrs by MTT assay
    [PMID: 33640672]
    A549 IC50
    15.79 μM
    Compound: Gefitinib
    Growth inhibition of human A549 cells incubated for 5 days by SRB assay
    Growth inhibition of human A549 cells incubated for 5 days by SRB assay
    [PMID: 32145644]
    A549 IC50
    17.9 μM
    Compound: Iressa(TM)
    Antiproliferative activity against human A549 after 18 hrs by MTT assay
    Antiproliferative activity against human A549 after 18 hrs by MTT assay
    [PMID: 30826188]
    A549 EC50
    18.7 μM
    Compound: Gefitinib
    Antiproliferative activity against human A549 cells harboring KRAS-G12S mutant incubated for 96 hrs measured on day 5 by CellTiterGlo assay
    Antiproliferative activity against human A549 cells harboring KRAS-G12S mutant incubated for 96 hrs measured on day 5 by CellTiterGlo assay
    [PMID: 28853575]
    A549 IC50
    2.11 μM
    Compound: Gefitinib
    Antiproliferative activity against human A549 cells assessed as reduction in cell growth incubated for 24 hrs by MTT assay
    Antiproliferative activity against human A549 cells assessed as reduction in cell growth incubated for 24 hrs by MTT assay
    [PMID: 31431361]
    A549 IC50
    2.17 μM
    Compound: Gefitinib
    Antiproliferative activity against human A549 cells assessed as cell growth inhibition incubated for 72 hrs by MTT assay
    Antiproliferative activity against human A549 cells assessed as cell growth inhibition incubated for 72 hrs by MTT assay
    [PMID: 32739648]
    A549 IC50
    2.64 μM
    Compound: Gefitinib
    Antiproliferative activity against human A549 cells by CCK8 assay
    Antiproliferative activity against human A549 cells by CCK8 assay
    [PMID: 34922028]
    A549 IC50
    2.65 μM
    Compound: Gefitinib
    Antiproliferative activity against human A549 cells assessed as cell growth inhibition incubated for 48 hrs by MTT assay
    Antiproliferative activity against human A549 cells assessed as cell growth inhibition incubated for 48 hrs by MTT assay
    [PMID: 32739648]
    A549 IC50
    2.69 μM
    Compound: Gefitinib
    Antiproliferative activity against human A549 cells expressing wild type EGFR assessed as inhibition in cell viability after 72 hrs by CCK8 assay
    Antiproliferative activity against human A549 cells expressing wild type EGFR assessed as inhibition in cell viability after 72 hrs by CCK8 assay
    [PMID: 34794818]
    A549 IC50
    2.86 μM
    Compound: Gefitinib
    Antiproliferative activity against human A549 cells incubated for 48 hrs by MTT assay
    Antiproliferative activity against human A549 cells incubated for 48 hrs by MTT assay
    [PMID: 26346367]
    A549 GI50
    2.86 μM
    Compound: Gefitinib
    Antiproliferative activity against human A549 cells after 48 hrs in presence of 10% FBS by MTT method
    Antiproliferative activity against human A549 cells after 48 hrs in presence of 10% FBS by MTT method
    [PMID: 27515719]
    A549 IC50
    2.96 μM
    Compound: Gefitinib
    Antiproliferative activity against human A549 cells after 48 hrs by MTT assay
    Antiproliferative activity against human A549 cells after 48 hrs by MTT assay
    [PMID: 30503938]
    A549 IC50
    20 μM
    Compound: Gefitinib
    Antiproliferative activity against wild type human A549 cells assessed as reduction in cell viability incubated for 72 hrs by MTT assay
    Antiproliferative activity against wild type human A549 cells assessed as reduction in cell viability incubated for 72 hrs by MTT assay
    [PMID: 31446247]
    A549 IC50
    20.3 μM
    Compound: 1
    Cytotoxicity against human A549 cells after 72 hrs by CCK-8 assay
    Cytotoxicity against human A549 cells after 72 hrs by CCK-8 assay
    [PMID: 23973168]
    A549 IC50
    21.17 μM
    Compound: ZD1839
    Antiproliferative activity against human A549 cells incubated for 72 hrs by MTT assay
    Antiproliferative activity against human A549 cells incubated for 72 hrs by MTT assay
    [PMID: 31202990]
    A549 IC50
    21.17 μM
    Compound: Gefitinib
    Antiproliferative activity against human A549 cells harboring wild type EGFR/K-ras mutant after 72 hrs by MTT assay
    Antiproliferative activity against human A549 cells harboring wild type EGFR/K-ras mutant after 72 hrs by MTT assay
    [PMID: 29421573]
    A549 IC50
    21.17 μM
    Compound: Gefitinib
    Antiproliferative activity against human A549 cells harboring wild type EGFR/K-Ras mutant after 72 hrs by MTT assay
    Antiproliferative activity against human A549 cells harboring wild type EGFR/K-Ras mutant after 72 hrs by MTT assay
    [PMID: 28711703]
    A549 IC50
    21.9 μM
    Compound: Gefitinib
    Cytotoxicity against human A549 cells after 72 hrs by MTT assay
    Cytotoxicity against human A549 cells after 72 hrs by MTT assay
    [PMID: 28927795]
    A549 IC50
    22.5 μM
    Compound: Gefitinib
    Antiproliferative activity against human A549 cells after 48 hrs by MTT assay
    Antiproliferative activity against human A549 cells after 48 hrs by MTT assay
    [PMID: 28462838]
    A549 IC50
    24.25 μM
    Compound: Gefitinib
    Antiproliferative activity against human A549 cells after 72 hrs by MTT assay
    Antiproliferative activity against human A549 cells after 72 hrs by MTT assay
    [PMID: 27132165]
    A549 IC50
    29.43 μM
    Compound: 1
    Antiproliferative activity against human A549 cells harboring K-ras mutation after 48 hrs by MTT assay
    Antiproliferative activity against human A549 cells harboring K-ras mutation after 48 hrs by MTT assay
    [PMID: 27634676]
    A549 IC50
    3.53 μM
    Compound: Gefitinib
    Cytotoxicity against human A549 cells incubated for 2 to 4 hrs by MTT assay
    Cytotoxicity against human A549 cells incubated for 2 to 4 hrs by MTT assay
    [PMID: 33771586]
    A549 IC50
    36.21 μM
    Compound: Gefitinib
    Antiproliferative activity against human A549 cells harboring EGFR K-ras mutant assessed as decrease in cell viability after 72 hrs by MTT assay
    Antiproliferative activity against human A549 cells harboring EGFR K-ras mutant assessed as decrease in cell viability after 72 hrs by MTT assay
    [PMID: 28385595]
    A549 IC50
    37.93 μM
    Compound: Gefitinib
    Cytotoxicity against human A549 cells after 4 to 5 days by MTT assay
    Cytotoxicity against human A549 cells after 4 to 5 days by MTT assay
    [PMID: 20466555]
    A549 IC50
    39.7 μM
    Compound: Gefitinib
    Antiproliferative activity against human A549 cells harboring K-ras mutation assessed as reduction in cell viability after 72 hrs by MTT assay
    Antiproliferative activity against human A549 cells harboring K-ras mutation assessed as reduction in cell viability after 72 hrs by MTT assay
    [PMID: 26829280]
    A549 IC50
    39.9 nM
    Compound: 1, Iressa
    Inhibition of wild type EGFR autophosphorylation in human A549 cells incubated for 1 hr followed by compound washout measured at 1 hr by Western blot analysis
    Inhibition of wild type EGFR autophosphorylation in human A549 cells incubated for 1 hr followed by compound washout measured at 1 hr by Western blot analysis
    [PMID: 23988354]
    A549 IC50
    4.626 μM
    Compound: Gefitinib
    Antiproliferative activity against wild type EGFR/k-Ras dependent human A549 cells after 72 hrs by MTT assay
    Antiproliferative activity against wild type EGFR/k-Ras dependent human A549 cells after 72 hrs by MTT assay
    [PMID: 23792318]
    A549 IC50
    498 nM
    Compound: 1, Iressa
    Inhibition of wild type EGFR autophosphorylation in human A549 cells incubated for 1 hr followed by compound washout measured after 8 hrs by Western blot analysis
    Inhibition of wild type EGFR autophosphorylation in human A549 cells incubated for 1 hr followed by compound washout measured after 8 hrs by Western blot analysis
    [PMID: 23988354]
    A549 IC50
    5 μM
    Compound: Gefitinib
    Antiproliferative activity against human A549 cells harboring wild type EGFR after 48 hrs by MTT assay
    Antiproliferative activity against human A549 cells harboring wild type EGFR after 48 hrs by MTT assay
    [PMID: 28236592]
    A549 IC50
    5.74 μM
    Compound: 1
    Cytotoxicity against human A549 cells after 72 hrs by MTT assay
    Cytotoxicity against human A549 cells after 72 hrs by MTT assay
    [PMID: 30655941]
    A549 IC50
    5.76 μM
    Compound: Gefitinib
    Antiproliferative activity against human A549 cells after 72 hrs by MTT assay
    Antiproliferative activity against human A549 cells after 72 hrs by MTT assay
    [PMID: 26706113]
    A549 IC50
    60 nM
    Compound: 1
    Inhibition of wild type EGFR autophosphorylation in human A549 cells by Western blot analysis
    Inhibition of wild type EGFR autophosphorylation in human A549 cells by Western blot analysis
    [PMID: 30472599]
    A549 IC50
    7 μM
    Compound: gefitinib
    Antiproliferative activity against human A549 cells after 72 hrs by trypan blue exclusion method
    Antiproliferative activity against human A549 cells after 72 hrs by trypan blue exclusion method
    [PMID: 19268405]
    A549 GI50
    7.94 μM
    Compound: Gefitinib
    Growth inhibition of human A549 cells incubated for 48 hrs by SRB assay
    Growth inhibition of human A549 cells incubated for 48 hrs by SRB assay
    [PMID: 31023512]
    A549 GI50
    7.94 μM
    Compound: Gefitinib
    Growth inhibition of human A549/ATCC cells incubated for 48 hrs by sulforhodamine B assay
    Growth inhibition of human A549/ATCC cells incubated for 48 hrs by sulforhodamine B assay
    [PMID: 27241691]
    A549 IC50
    8.27 μM
    Compound: Gefitinib
    Cytotoxicity against human A549 cells after 72 hrs by SRB assay
    Cytotoxicity against human A549 cells after 72 hrs by SRB assay
    [PMID: 29407971]
    A549 IC50
    8.28 μM
    Compound: Gefitinib
    Antiproliferative activity against human A549 cells by MTT assay
    Antiproliferative activity against human A549 cells by MTT assay
    [PMID: 26560049]
    A549 IC50
    8.4 μM
    Compound: gefitinib
    Cytotoxicity against human A549 cells assessed as inhibition of cell viability after 72 hrs by CellTiter-Glo assay
    Cytotoxicity against human A549 cells assessed as inhibition of cell viability after 72 hrs by CellTiter-Glo assay
    [PMID: 26192023]
    A549 IC50
    8.51 μM
    Compound: Gefitinib
    Cytotoxicity against human A549 cells after 48 hrs by MTT assay
    Cytotoxicity against human A549 cells after 48 hrs by MTT assay
    10.1007/s00044-013-0734-x
    A549 IC50
    9.28 μM
    Compound: Gefitinib
    Antiproliferative activity against human A549 cells assessed as viable cells after 48 hrs by CCK8 assay
    Antiproliferative activity against human A549 cells assessed as viable cells after 48 hrs by CCK8 assay
    [PMID: 26879314]
    A549 GI50
    9.3 μM
    Compound: Gefitinib
    Growth inhibition of human A549 cells after 48 hrs by MTT assay
    Growth inhibition of human A549 cells after 48 hrs by MTT assay
    [PMID: 28291344]
    A549 IC50
    9.86 μM
    Compound: Gefitinib
    Antiproliferative activity against human A549 cells harboring wild type EGFR/k-Ras mutation after 72 hrs by MTT assay
    Antiproliferative activity against human A549 cells harboring wild type EGFR/k-Ras mutation after 72 hrs by MTT assay
    [PMID: 26451770]
    A549 IC50
    9.86 μM
    Compound: Gefitinib
    Antiproliferative activity against human A549 cells harboring wild type EGFR after 48 hrs by SRB assay
    Antiproliferative activity against human A549 cells harboring wild type EGFR after 48 hrs by SRB assay
    [PMID: 28366268]
    ASPC1 IC50
    6.73 μM
    Compound: Gefitinib
    Antiproliferative activity against human Aspc-1 cells after 72 hrs by MTT assay
    Antiproliferative activity against human Aspc-1 cells after 72 hrs by MTT assay
    [PMID: 30471829]
    B16-F10 ED50
    0.91 μg/mL
    Compound: Gefitinib
    Cytotoxicity against Homo sapiens (human) B16F10 cells after 72 hr by MTT assay
    Cytotoxicity against Homo sapiens (human) B16F10 cells after 72 hr by MTT assay
    10.1007/s00044-012-0309-2
    B16-F10 IC50
    2.2 μM
    Compound: Gefitinib
    Antiproliferative activity against mouse B16F10 cells after 24 hrs by MTT assay
    Antiproliferative activity against mouse B16F10 cells after 24 hrs by MTT assay
    [PMID: 25866240]
    BaF3 IC50
    10.6 nM
    Compound: Gefitinib
    Antiproliferative activity against mouse BaF3 cells expressing Del19 assessed as cell viability measured after 72 hrs hrs by CellTiter Glo assay
    Antiproliferative activity against mouse BaF3 cells expressing Del19 assessed as cell viability measured after 72 hrs hrs by CellTiter Glo assay
    [PMID: 36384036]
    BaF3 IC50
    12.5 nM
    Compound: Gefitinib
    Antiproliferative activity against mouse BaF3 cells expressing De119/C797S assessed as cell viability measured after 72 hrs hrs by CellTiter Glo assay
    Antiproliferative activity against mouse BaF3 cells expressing De119/C797S assessed as cell viability measured after 72 hrs hrs by CellTiter Glo assay
    [PMID: 36384036]
    BaF3 IC50
    1757 nM
    Compound: Gefitinib
    Antiproliferative activity against mouse BaF3 cells expressing Ex20 insertion GV mutant assessed as cell viability measured after 72 hrs hrs by CellTiter Glo assay
    Antiproliferative activity against mouse BaF3 cells expressing Ex20 insertion GV mutant assessed as cell viability measured after 72 hrs hrs by CellTiter Glo assay
    [PMID: 36384036]
    BaF3 IC50
    21.8 nM
    Compound: Gefitinib
    Antiproliferative activity against mouse BaF3 cells expressing L858R assessed as cell viability measured after 72 hrs hrs by CellTiter Glo assay
    Antiproliferative activity against mouse BaF3 cells expressing L858R assessed as cell viability measured after 72 hrs hrs by CellTiter Glo assay
    [PMID: 36384036]
    BaF3 IC50
    2779.2 nM
    Compound: Gefitinib
    Antiproliferative activity against mouse BaF3 cells expressing Ex20 insertion NPG mutant assessed as cell viability measured after 72 hrs hrs by CellTiter Glo assay
    Antiproliferative activity against mouse BaF3 cells expressing Ex20 insertion NPG mutant assessed as cell viability measured after 72 hrs hrs by CellTiter Glo assay
    [PMID: 36384036]
    BaF3 IC50
    53.6 nM
    Compound: Gefitinib
    Antiproliferative activity against mouse BaF3 cells expressing EGFR WT assessed as cell viability measured after 72 hrs hrs by CellTiter Glo assay
    Antiproliferative activity against mouse BaF3 cells expressing EGFR WT assessed as cell viability measured after 72 hrs hrs by CellTiter Glo assay
    [PMID: 36384036]
    BaF3 IC50
    54.2 nM
    Compound: Gefitinib
    Antiproliferative activity against mouse BaF3 cells expressing L858R/C797S assessed as cell viability measured after 72 hrs hrs by CellTiter Glo assay
    Antiproliferative activity against mouse BaF3 cells expressing L858R/C797S assessed as cell viability measured after 72 hrs hrs by CellTiter Glo assay
    [PMID: 36384036]
    BaF3 IC50
    6981.5 nM
    Compound: Gefitinib
    Antiproliferative activity against mouse BaF3 cells expressing Ex20 insertion SVD mutant assessed as cell viability measured after 72 hrs hrs by CellTiter Glo assay
    Antiproliferative activity against mouse BaF3 cells expressing Ex20 insertion SVD mutant assessed as cell viability measured after 72 hrs hrs by CellTiter Glo assay
    [PMID: 36384036]
    BEAS-2B IC50
    13.94 μM
    Compound: Iressa
    Antiproliferative activity against human BEAS2B cells after 72 hrs by MTT assay
    Antiproliferative activity against human BEAS2B cells after 72 hrs by MTT assay
    [PMID: 24607591]
    BEAS-2B IC50
    13.94 μM
    Compound: gefitinib
    Cytotoxicity against human BEAS2B cells harboring wild type EGFR assessed as growth inhibition after 72 hrs by MTT assay
    Cytotoxicity against human BEAS2B cells harboring wild type EGFR assessed as growth inhibition after 72 hrs by MTT assay
    [PMID: 23668441]
    Bel-7402 IC50
    11.21 μM
    Compound: Gef
    Antiproliferative activity against human Bel-7402 cells assessed as reduction in cell viability incubated for 72 hrs by MTT assay
    Antiproliferative activity against human Bel-7402 cells assessed as reduction in cell viability incubated for 72 hrs by MTT assay
    [PMID: 32827851]
    BT-474 IC50
    0.36 μM
    Compound: Iressa
    Cytotoxicity against human BT474 cells overexpressing HER2 assessed as growth inhibition after 72 hrs by MTT assay
    Cytotoxicity against human BT474 cells overexpressing HER2 assessed as growth inhibition after 72 hrs by MTT assay
    [PMID: 27524310]
    BT-474 IC50
    0.36 μM
    Compound: Gefitinib, Iressa
    Cytotoxicity against human BT474 cells expressing HER2 after 72 hrs by MTT assay
    Cytotoxicity against human BT474 cells expressing HER2 after 72 hrs by MTT assay
    [PMID: 24411123]
    BT-474 IC50
    0.365 μM
    Compound: Gefitinib
    Antiproliferative activity against human BT474 cells overexpressing HER2 assessed as cell growth inhibition measured after 72 hrs by MTT assay
    Antiproliferative activity against human BT474 cells overexpressing HER2 assessed as cell growth inhibition measured after 72 hrs by MTT assay
    [PMID: 32139324]
    BT-474 IC50
    0.53 μM
    Compound: Gefitinib
    Antiproliferative activity against human BT474 cells after 72 hrs by MTT assay
    Antiproliferative activity against human BT474 cells after 72 hrs by MTT assay
    [PMID: 27132165]
    BT-474 IC50
    1.24 μM
    Compound: Gefitinib
    Cytotoxicity against human BT474 cells expressing Her2 assessed as reduction in cell viability after 72 hrs by cell titer-glo luminescence assay
    Cytotoxicity against human BT474 cells expressing Her2 assessed as reduction in cell viability after 72 hrs by cell titer-glo luminescence assay
    [PMID: 27288180]
    BT-474 EC50
    300 nM
    Compound: Iressa
    Antiproliferative activity against human BT474 cells overexpressing ERBb2 after 3 days by methylene blue staining
    Antiproliferative activity against human BT474 cells overexpressing ERBb2 after 3 days by methylene blue staining
    [PMID: 19028424]
    BT-549 IC50
    6.56 μM
    Compound: Gefitinib
    Cytotoxicity against human BT549 cells after 72 hrs by SRB assay
    Cytotoxicity against human BT549 cells after 72 hrs by SRB assay
    [PMID: 29407971]
    Calu-3 IC50
    0.985 μM
    Compound: Gefitinib
    Antiproliferative activity against human Calu3 cells overexpressing HER2 assessed as cell growth inhibition measured after 72 hrs by MTT assay
    Antiproliferative activity against human Calu3 cells overexpressing HER2 assessed as cell growth inhibition measured after 72 hrs by MTT assay
    [PMID: 32139324]
    Calu-3 IC50
    0.99 μM
    Compound: Gefitinib, Iressa
    Cytotoxicity against human Calu3 cells expressing HER2 after 72 hrs by MTT assay
    Cytotoxicity against human Calu3 cells expressing HER2 after 72 hrs by MTT assay
    [PMID: 24411123]
    Calu-3 IC50
    1.6 μM
    Compound: Gefitinib
    Cytotoxicity against human Calu3 cells incubated for 72 hrs by MTT assay
    Cytotoxicity against human Calu3 cells incubated for 72 hrs by MTT assay
    [PMID: 23116168]
    Calu-3 IC50
    4.52 μM
    Compound: Gefitinib
    Antiproliferative activity against human Calu-3 cells by CCK8 assay
    Antiproliferative activity against human Calu-3 cells by CCK8 assay
    [PMID: 34922028]
    CCRF-CEM GI50
    5.01 μM
    Compound: Gefitinib
    Growth inhibition of human CCRF-CEM cells incubated for 48 hrs by SRB assay
    Growth inhibition of human CCRF-CEM cells incubated for 48 hrs by SRB assay
    [PMID: 31023512]
    CCRF-CEM GI50
    5.01 μM
    Compound: Gefitinib
    Growth inhibition of human CCRF-CEM cells incubated for 48 hrs by sulforhodamine B assay
    Growth inhibition of human CCRF-CEM cells incubated for 48 hrs by sulforhodamine B assay
    [PMID: 27241691]
    CHO-K1 GI50
    43.7 μM
    Compound: Gefitinib
    Growth inhibition of CHOK1 cells after 48 hrs by MTT assay
    Growth inhibition of CHOK1 cells after 48 hrs by MTT assay
    [PMID: 28291344]
    CL97 IC50
    10 μM
    Compound: Gefitinib
    Antiproliferative activity against human CL97 cells harbouring EGFR G719A/T790M mutant assessed as reduction in cell viability incubated for 72 hrs by MTT assay
    Antiproliferative activity against human CL97 cells harbouring EGFR G719A/T790M mutant assessed as reduction in cell viability incubated for 72 hrs by MTT assay
    [PMID: 31446247]
    CNE IC50
    23.5 μM
    Compound: Gefitinib
    Antiproliferative activity against human CNE cells assessed as cell growth inhibition incubated for 48 hrs by MTT assay
    Antiproliferative activity against human CNE cells assessed as cell growth inhibition incubated for 48 hrs by MTT assay
    [PMID: 32739648]
    CWR22R IC50
    14 μM
    Compound: Gefitinib
    Growth inhibition of human 22Rv1 cells after 5 days by SRB assay
    Growth inhibition of human 22Rv1 cells after 5 days by SRB assay
    [PMID: 32484346]
    DU-145 IC50
    > 100 μM
    Compound: Gefitinib
    Antiproliferative activity against human DU145 cells incubated for 72 hrs by MTT assay
    Antiproliferative activity against human DU145 cells incubated for 72 hrs by MTT assay
    [PMID: 31488358]
    DU-145 IC50
    > 100 μM
    Compound: 2
    Cytotoxicity against human DU145 cells after 72 hrs by MTT assay
    Cytotoxicity against human DU145 cells after 72 hrs by MTT assay
    [PMID: 23871909]
    DU-145 IC50
    42.17 μM
    Compound: Gefitinib
    Cytotoxicity against human DU145 cells after 4 to 5 days by MTT assay
    Cytotoxicity against human DU145 cells after 4 to 5 days by MTT assay
    [PMID: 20466555]
    DU-145 IC50
    7.3 μM
    Compound: Gefitinib
    Growth inhibition of human DU145 cells after 5 days by SRB assay
    Growth inhibition of human DU145 cells after 5 days by SRB assay
    [PMID: 32484346]
    DU-145 IC50
    8.63 μM
    Compound: Gefitinib
    Antiproliferative activity against human DU145 cells after 72 hrs by MTT assay
    Antiproliferative activity against human DU145 cells after 72 hrs by MTT assay
    [PMID: 28711702]
    ECa-109 cell line IC50
    26.47 μM
    Compound: Gefitinib
    Cytotoxicity against human ECa-109 cells assessed as reduction in cell viability incubated for 48 hrs by MTT assay
    Cytotoxicity against human ECa-109 cells assessed as reduction in cell viability incubated for 48 hrs by MTT assay
    [PMID: 32866757]
    FaDu IC50
    0.05 μM
    Compound: Gefitinib
    Cytotoxicity against human FADU cells incubated for 72 hrs by MTT assay
    Cytotoxicity against human FADU cells incubated for 72 hrs by MTT assay
    [PMID: 23116168]
    HCC827 EC50
    < 0.014 μM
    Compound: Gefitinib
    Antiproliferative activity against human HCC827 cells harboring EGFR-delE746_A750 mutant incubated for 96 hrs measured on day 5 by CellTiterGlo assay
    Antiproliferative activity against human HCC827 cells harboring EGFR-delE746_A750 mutant incubated for 96 hrs measured on day 5 by CellTiterGlo assay
    [PMID: 28853575]
    HCC827 IC50
    0.0015 μM
    Compound: Gefitinib
    Cytotoxicity against human HCC827 cells incubated for 72 hrs by MTT assay
    Cytotoxicity against human HCC827 cells incubated for 72 hrs by MTT assay
    [PMID: 23116168]
    HCC827 IC50
    0.00169 μM
    Compound: Gefitinib
    Antiproliferative activity against human HCC827 cells expressing EGFR del119 mutant assessed as inhibition in cell viability after 72 hrs by CCK8 assay
    Antiproliferative activity against human HCC827 cells expressing EGFR del119 mutant assessed as inhibition in cell viability after 72 hrs by CCK8 assay
    [PMID: 34794818]
    HCC827 IC50
    0.002 μM
    Compound: Gefitinib
    Antiproliferative activity against human HCC827 cells harboring EGFR E746_A750 deletion mutant after 48 hrs by MTT assay
    Antiproliferative activity against human HCC827 cells harboring EGFR E746_A750 deletion mutant after 48 hrs by MTT assay
    [PMID: 28236592]
    HCC827 IC50
    0.006 μM
    Compound: Gefitinib
    Antiproliferative activity against human HCC827 cells assessed as cell growth inhibition incubated for 72 hrs by MTT assay
    Antiproliferative activity against human HCC827 cells assessed as cell growth inhibition incubated for 72 hrs by MTT assay
    [PMID: 32739648]
    HCC827 IC50
    0.006 μM
    Compound: 1; Iressa
    Antiproliferative activity against human HCC827 cells incubated for 72 hrs by MTT assay
    Antiproliferative activity against human HCC827 cells incubated for 72 hrs by MTT assay
    [PMID: 28395219]
    HCC827 IC50
    0.006 μM
    Compound: Iressa
    Antiproliferative activity against gefitinib-sensitive human HCC827 cells bearing EGFR del E746_A750 mutant after 72 hrs by MTT assay
    Antiproliferative activity against gefitinib-sensitive human HCC827 cells bearing EGFR del E746_A750 mutant after 72 hrs by MTT assay
    [PMID: 24607591]
    HCC827 IC50
    0.006 μM
    Compound: Gefitinib
    Antiproliferative activity against human HCC827 cells expressing EGFR E746_A750 deletion mutant after 72 hrs by MTT assay
    Antiproliferative activity against human HCC827 cells expressing EGFR E746_A750 deletion mutant after 72 hrs by MTT assay
    [PMID: 23792318]
    HCC827 IC50
    0.006 μM
    Compound: gefitinib
    Cytotoxicity against gefitinib-sensitive human HCC827 cells harboring EGFR E746_A740 deletion mutant assessed as growth inhibition after 72 hrs by MTT assay
    Cytotoxicity against gefitinib-sensitive human HCC827 cells harboring EGFR E746_A740 deletion mutant assessed as growth inhibition after 72 hrs by MTT assay
    [PMID: 23668441]
    HCC827 IC50
    0.008 μM
    Compound: Gfb
    Antiproliferative activity against human HCC827 cells harboring EGFR del E746-A750 mutant after 72 hrs by MTS assay
    Antiproliferative activity against human HCC827 cells harboring EGFR del E746-A750 mutant after 72 hrs by MTS assay
    [PMID: 22339342]
    HCC827 IC50
    0.0099 μM
    Compound: Gefitinib
    Antiproliferative activity against human HCC827 cells harboring EGFR del E746 to A750 mutant assessed as decrease in cell viability after 72 hrs by MTT assay
    Antiproliferative activity against human HCC827 cells harboring EGFR del E746 to A750 mutant assessed as decrease in cell viability after 72 hrs by MTT assay
    [PMID: 28385595]
    HCC827 IC50
    0.01 μM
    Compound: 1
    Antiproliferative activity against human HCC827 cells incubated for 72 hrs by MTT assay
    Antiproliferative activity against human HCC827 cells incubated for 72 hrs by MTT assay
    [PMID: 31787359]
    HCC827 IC50
    0.012 μM
    Compound: 1
    Cytotoxicity against human HCC827 cells after 72 hrs by CCK-8 assay
    Cytotoxicity against human HCC827 cells after 72 hrs by CCK-8 assay
    [PMID: 23973168]
    HCC827 IC50
    0.013 μM
    Compound: 1, ZD-1839
    Antiproliferative activity against human HCC827 cells by MTS assay
    Antiproliferative activity against human HCC827 cells by MTS assay
    [PMID: 20961149]
    HCC827 IC50
    0.013 μM
    Compound: Gefitinib
    Antiproliferative activity against human HCC827 cells harboring EGFR E746 to A750 deletion mutant assessed as reduction in cell viability after 72 hrs by MTT assay
    Antiproliferative activity against human HCC827 cells harboring EGFR E746 to A750 deletion mutant assessed as reduction in cell viability after 72 hrs by MTT assay
    [PMID: 26829280]
    HCC827 IC50
    0.041 μM
    Compound: Gefitinib
    Cytotoxicity against human HCC827 cells expressing EGFR kinase E746 to A750 deletion mutant after 72 hrs by MTS assay
    Cytotoxicity against human HCC827 cells expressing EGFR kinase E746 to A750 deletion mutant after 72 hrs by MTS assay
    10.1039/C2MD20078C
    HCC827 IC50
    0.16 x 10-2 μM
    Compound: ZD1839
    Antiproliferative activity against human HCC827 cells incubated for 72 hrs by MTT assay
    Antiproliferative activity against human HCC827 cells incubated for 72 hrs by MTT assay
    [PMID: 31202990]
    HCC827 IC50
    1.6 nM
    Compound: Gefitinib
    Antiproliferative activity against human HCC827 cells harboring EGFR E746-A750 del mutant after 72 hrs by MTT assay
    Antiproliferative activity against human HCC827 cells harboring EGFR E746-A750 del mutant after 72 hrs by MTT assay
    [PMID: 29421573]
    HCC827 IC50
    12 nM
    Compound: gefitinib
    Antiproliferative activity against human HCC827 cells after 96 hrs by MTS assay
    Antiproliferative activity against human HCC827 cells after 96 hrs by MTS assay
    [PMID: 20550212]
    HCC827 CC50
    26 nM
    Compound: Gefitinib
    Cytotoxicity in human HCC827 cells assessed as reduction in cell viability incubated for 96 hrs by MTS method
    Cytotoxicity in human HCC827 cells assessed as reduction in cell viability incubated for 96 hrs by MTS method
    [PMID: 31560541]
    HCC827 IC50
    33 nM
    Compound: Gefitinib
    Antiproliferative activity against human HCC827 cells after 48 hrs by MTT assay
    Antiproliferative activity against human HCC827 cells after 48 hrs by MTT assay
    [PMID: 25937236]
    HCC827 IC50
    33.3 nM
    Compound: Gefitinib
    Antiproliferative activity against human HCC827 cells after 72 hrs by MTT assay
    Antiproliferative activity against human HCC827 cells after 72 hrs by MTT assay
    [PMID: 29576272]
    HCC827 IC50
    5.81 nM
    Compound: Gefitinib
    Antiproliferative activity against gefitinib-sensitive human HCC827 cells harboring EGFR E746 to A750 deletion after 72 hrs by MTS assay
    Antiproliferative activity against gefitinib-sensitive human HCC827 cells harboring EGFR E746 to A750 deletion after 72 hrs by MTS assay
    [PMID: 24053674]
    HCT-116 IC50
    > 10 μM
    Compound: Gefitinib
    Cytotoxicity against human HCT116 cells incubated for 72 hrs by MTT assay
    Cytotoxicity against human HCT116 cells incubated for 72 hrs by MTT assay
    [PMID: 23116168]
    HCT-116 IC50
    19.82 μM
    Compound: Gefitinib
    Antiproliferative activity against human HCT116 cells assessed as inhibition of cell viability after 48 hrs by MTS assay
    Antiproliferative activity against human HCT116 cells assessed as inhibition of cell viability after 48 hrs by MTS assay
    [PMID: 31494469]
    HCT-116 IC50
    21.55 μM
    Compound: Iressa(TM)
    Antiproliferative activity against human HCT116 after 18 hrs by MTT assay
    Antiproliferative activity against human HCT116 after 18 hrs by MTT assay
    [PMID: 30826188]
    HCT-116 IC50
    5.98 μM
    Compound: Gefitinib
    Cytotoxicity against human HCT116 cells after 72 hrs by SRB assay
    Cytotoxicity against human HCT116 cells after 72 hrs by SRB assay
    [PMID: 29407971]
    HCT-116 IC50
    66.9 μM
    Compound: GF
    Induction of apoptosis in human HCT116 cells expressing KRAS mutant assessed as depolarization of mitochondrial membrane after 24 hrs by flow cytometry
    Induction of apoptosis in human HCT116 cells expressing KRAS mutant assessed as depolarization of mitochondrial membrane after 24 hrs by flow cytometry
    [PMID: 23063521]
    HCT-116 GI50
    7.94 μM
    Compound: Gefitinib
    Growth inhibition of human HCT-116 cells incubated for 48 hrs by sulforhodamine B assay
    Growth inhibition of human HCT-116 cells incubated for 48 hrs by sulforhodamine B assay
    [PMID: 27241691]
    HCT-15 GI50
    5.01 μM
    Compound: Gefitinib
    Growth inhibition of human HCT-15 cells incubated for 48 hrs by sulforhodamine B assay
    Growth inhibition of human HCT-15 cells incubated for 48 hrs by sulforhodamine B assay
    [PMID: 27241691]
    HEK293 IC50
    420 nM
    Compound: Gefitinib
    Inhibition of tracer 5 binding to human N-terminal nano luciferase-fused GAK expressed in HEK293 cells measured after 2 hrs by nanoBRET assay
    Inhibition of tracer 5 binding to human N-terminal nano luciferase-fused GAK expressed in HEK293 cells measured after 2 hrs by nanoBRET assay
    [PMID: 30973735]
    HEK-293T CC50
    52.03 μM
    Compound: Gefitinib
    Cytotoxicity against human 293T cells after 24 hrs by MTT assay
    Cytotoxicity against human 293T cells after 24 hrs by MTT assay
    [PMID: 25866240]
    HeLa IC50
    1.48 μM
    Compound: Gefitinib
    Antiproliferative activity against human HeLa cells after 48 hrs by MTT assay
    Antiproliferative activity against human HeLa cells after 48 hrs by MTT assay
    [PMID: 30342958]
    HeLa IC50
    1.52 μM
    Compound: Gefitinib
    Antiproliferative activity against human HeLa cells incubated for 48 hrs by MTT assay
    Antiproliferative activity against human HeLa cells incubated for 48 hrs by MTT assay
    [PMID: 26346367]
    HeLa GI50
    1.52 μM
    Compound: Gefitinib
    Antiproliferative activity against human HeLa cells after 48 hrs in presence of 10% FBS by MTT method
    Antiproliferative activity against human HeLa cells after 48 hrs in presence of 10% FBS by MTT method
    [PMID: 27515719]
    HeLa IC50
    108.3 μM
    Compound: GF
    Induction of apoptosis in human HeLa cells expressing wild type KRAS and BRAF assessed as depolarization of mitochondrial membrane after 24 hrs by flow cytometry
    Induction of apoptosis in human HeLa cells expressing wild type KRAS and BRAF assessed as depolarization of mitochondrial membrane after 24 hrs by flow cytometry
    [PMID: 23063521]
    HeLa IC50
    15.4 μM
    Compound: Gefitinib
    Antiproliferative activity against human HeLa cells after 48 hrs by CCK-8 assay
    Antiproliferative activity against human HeLa cells after 48 hrs by CCK-8 assay
    [PMID: 26343825]
    HeLa IC50
    18.3 μM
    Compound: Gefitinib
    Antiproliferative activity against human HeLa cells after 48 hrs by MTT assay
    Antiproliferative activity against human HeLa cells after 48 hrs by MTT assay
    [PMID: 28462838]
    HeLa IC50
    2.26 μM
    Compound: Gefitinib
    Antiproliferative activity against human HeLa cells after 24 hrs by MTT assay
    Antiproliferative activity against human HeLa cells after 24 hrs by MTT assay
    [PMID: 25866240]
    HeLa IC50
    2.67 μM
    Compound: Gefitinib
    Antiproliferative activity against human HeLa cells assessed as growth inhibition after 24 to 48 hrs by CCK8 assay
    Antiproliferative activity against human HeLa cells assessed as growth inhibition after 24 to 48 hrs by CCK8 assay
    [PMID: 24731281]
    HeLa IC50
    23.92 μM
    Compound: Gefitinib
    Cytotoxicity against human HeLa cells assessed as reduction in cell viability incubated for 48 hrs by MTT assay
    Cytotoxicity against human HeLa cells assessed as reduction in cell viability incubated for 48 hrs by MTT assay
    [PMID: 32866757]
    HeLa IC50
    39.32 μM
    Compound: Gefitinib
    Antiproliferative activity against human HeLa cells by CCK8 assay
    Antiproliferative activity against human HeLa cells by CCK8 assay
    [PMID: 34922028]
    HeLa IC50
    4.3 μM
    Compound: Gefitinib
    Anticancer activity against human HeLa cells assessed as cell growth inhibition incubated for 24 hrs by MTT assay
    Anticancer activity against human HeLa cells assessed as cell growth inhibition incubated for 24 hrs by MTT assay
    [PMID: 29656203]
    HeLa IC50
    45.59 μM
    Compound: Gefitinib
    Antiproliferative activity against human HeLa cells after 48 hrs by MTT assay
    Antiproliferative activity against human HeLa cells after 48 hrs by MTT assay
    [PMID: 20304537]
    HeLa IC50
    9.68 μM
    Compound: Gefitinib
    Inhibition of Ebolavirus glycoprotein/matrix protein VP40 entry in human HeLa cells after 4.5 hrs beta-lactamase reporter assay
    Inhibition of Ebolavirus glycoprotein/matrix protein VP40 entry in human HeLa cells after 4.5 hrs beta-lactamase reporter assay
    [PMID: 29624387]
    HepG2 IC50
    > 10 μM
    Compound: Gefitinib
    Cytotoxicity against human HepG2 cells assessed as inhibition of cell growth incubated for 48 hrs by MTT assay
    Cytotoxicity against human HepG2 cells assessed as inhibition of cell growth incubated for 48 hrs by MTT assay
    [PMID: 26159483]
    HepG2 IC50
    > 10 μM
    Compound: Gefitinib
    Cytotoxicity against human HepG2 cells incubated for 72 hrs by MTT assay
    Cytotoxicity against human HepG2 cells incubated for 72 hrs by MTT assay
    [PMID: 23116168]
    HepG2 IC50
    > 50 μM
    Compound: Gefitinib
    Cytotoxicity against human HepG2 cells assessed as cell growth inhibition after 72 hrs by MTT assay
    Cytotoxicity against human HepG2 cells assessed as cell growth inhibition after 72 hrs by MTT assay
    [PMID: 27387355]
    HepG2 IC50
    0.12 μM
    Compound: Gefitinib
    Antiproliferative activity against human HepG2 cells assessed as cell growth by MTT assay
    Antiproliferative activity against human HepG2 cells assessed as cell growth by MTT assay
    [PMID: 26003342]
    HepG2 IC50
    15.9 μM
    Compound: Gefitinib
    Antiproliferative activity against human HepG2 cells after 48 hrs by MTT assay
    Antiproliferative activity against human HepG2 cells after 48 hrs by MTT assay
    [PMID: 28462838]
    HepG2 IC50
    18.22 μM
    Compound: Gefitinib
    Antiproliferative activity against human HepG2 cells by MTT assay
    Antiproliferative activity against human HepG2 cells by MTT assay
    [PMID: 26560049]
    HepG2 IC50
    18.36 μM
    Compound: Iressa(TM)
    Antiproliferative activity against human HepG2 cells by MTT assay
    Antiproliferative activity against human HepG2 cells by MTT assay
    [PMID: 30826188]
    HepG2 IC50
    24.19 μM
    Compound: Gefitinib
    Cytotoxicity against human HepG2 cells assessed as reduction in cell viability incubated for 48 hrs by MTT assay
    Cytotoxicity against human HepG2 cells assessed as reduction in cell viability incubated for 48 hrs by MTT assay
    [PMID: 32866757]
    HepG2 IC50
    29.79 μM
    Compound: Gefitinib
    Antiproliferative activity against human HepG2 cells incubated for 72 hrs by MTT assay
    Antiproliferative activity against human HepG2 cells incubated for 72 hrs by MTT assay
    [PMID: 31488358]
    HepG2 IC50
    29.79 μM
    Compound: Gefitinib
    Antiproliferative activity against human HepG2 cells after 72 hrs by MTT assay
    Antiproliferative activity against human HepG2 cells after 72 hrs by MTT assay
    [PMID: 28711702]
    HepG2 IC50
    29.79 μM
    Compound: 2
    Cytotoxicity against human HepG2 cells after 72 hrs by MTT assay
    Cytotoxicity against human HepG2 cells after 72 hrs by MTT assay
    [PMID: 23871909]
    HepG2 IC50
    33.9 μM
    Compound: Gefitinib
    Antiproliferative activity against human HepG2 cells assessed as cell growth inhibition incubated for 48 hrs by MTT assay
    Antiproliferative activity against human HepG2 cells assessed as cell growth inhibition incubated for 48 hrs by MTT assay
    [PMID: 32739648]
    HepG2 IC50
    6.42 μM
    Compound: Gefitinib
    Antiproliferative activity against human HepG2 cells assessed as growth inhibition after 24 to 48 hrs by CCK8 assay
    Antiproliferative activity against human HepG2 cells assessed as growth inhibition after 24 to 48 hrs by CCK8 assay
    [PMID: 24731281]
    HepG2 IC50
    6.42 μM
    Compound: Iressa
    Cytotoxicity against human HepG2 cells after 72 hrs by MTT assay
    Cytotoxicity against human HepG2 cells after 72 hrs by MTT assay
    [PMID: 22727449]
    HepG2 IC50
    6.6 μM
    Compound: Gefitinib
    Cytotoxicity against human HepG2 cells assessed as reduction in cell viability by MTT assay
    Cytotoxicity against human HepG2 cells assessed as reduction in cell viability by MTT assay
    [PMID: 31013087]
    HepG2 IC50
    7.52 μM
    Compound: Gefitinib
    Antiproliferative activity against human HepG2 cells over expressing EGFR after 48 hrs by MTT assay
    Antiproliferative activity against human HepG2 cells over expressing EGFR after 48 hrs by MTT assay
    [PMID: 27118497]
    HGC-27 IC50
    12.44 μM
    Compound: Gefitinib
    Cytotoxicity against human HGC27 cells assessed as reduction in cell viability after 72 hrs by MTT assay
    Cytotoxicity against human HGC27 cells assessed as reduction in cell viability after 72 hrs by MTT assay
    [PMID: 30939352]
    HL-60 IC50
    54.5 μM
    Compound: Gifitinib
    Antiproliferative activity against human HL60 cells after 48 hrs by MTT assay
    Antiproliferative activity against human HL60 cells after 48 hrs by MTT assay
    [PMID: 22698782]
    HN5 EC50
    10 nM
    Compound: Iressa
    Antiproliferative activity against human HN5 cells overexpressing EGFR after 3 days by methylene blue staining
    Antiproliferative activity against human HN5 cells overexpressing EGFR after 3 days by methylene blue staining
    [PMID: 19028424]
    HOP-62 GI50
    10 μM
    Compound: Gefitinib
    Growth inhibition of human HOP-62 cells incubated for 48 hrs by sulforhodamine B assay
    Growth inhibition of human HOP-62 cells incubated for 48 hrs by sulforhodamine B assay
    [PMID: 27241691]
    HOP-92 GI50
    7.94 μM
    Compound: Gefitinib
    Growth inhibition of human HOP-92 cells incubated for 48 hrs by sulforhodamine B assay
    Growth inhibition of human HOP-92 cells incubated for 48 hrs by sulforhodamine B assay
    [PMID: 27241691]
    Hs-578T GI50
    10 μM
    Compound: Gefitinib
    Growth inhibition of human Hs-578T cells incubated for 48 hrs by sulforhodamine B assay
    Growth inhibition of human Hs-578T cells incubated for 48 hrs by sulforhodamine B assay
    [PMID: 27241691]
    HT-29 IC50
    110.3 μM
    Compound: GF
    Induction of apoptosis in human HT-29 cells expressing BRAF mutant assessed as depolarization of mitochondrial membrane after 24 hrs by flow cytometry
    Induction of apoptosis in human HT-29 cells expressing BRAF mutant assessed as depolarization of mitochondrial membrane after 24 hrs by flow cytometry
    [PMID: 23063521]
    HT-29 IC50
    16.93 μM
    Compound: Gefitinib
    Antiproliferative activity against human HT-29 cells after 48 hrs by MTT assay
    Antiproliferative activity against human HT-29 cells after 48 hrs by MTT assay
    [PMID: 20304537]
    HT-29 IC50
    3.36 μM
    Compound: Iressa
    Cytotoxicity against human HT-29 cells after 72 hrs by MTT assay
    Cytotoxicity against human HT-29 cells after 72 hrs by MTT assay
    [PMID: 22727449]
    HT-29 IC50
    3.63 μM
    Compound: 3
    Antiproliferative activity against human HT-29 cells assessed as inhibition of cell proliferation under normoxia conditions after 72 hrs by SRB assay
    Antiproliferative activity against human HT-29 cells assessed as inhibition of cell proliferation under normoxia conditions after 72 hrs by SRB assay
    [PMID: 25468044]
    HT-29 IC50
    3.63 μM
    Compound: Gefitinib
    Cytotoxicity against human HT-29 cells after 72 hrs under normoxia conditions by SRB assay
    Cytotoxicity against human HT-29 cells after 72 hrs under normoxia conditions by SRB assay
    [PMID: 25462282]
    HT-29 GI50
    3.98 μM
    Compound: Gefitinib
    Growth inhibition of human HT-29 cells incubated for 48 hrs by sulforhodamine B assay
    Growth inhibition of human HT-29 cells incubated for 48 hrs by sulforhodamine B assay
    [PMID: 27241691]
    HT-29 IC50
    5.21 μM
    Compound: 3
    Antiproliferative activity against human HT-29 cells assessed as inhibition of cell proliferation under hypoxia conditions after 72 hrs by SRB assay
    Antiproliferative activity against human HT-29 cells assessed as inhibition of cell proliferation under hypoxia conditions after 72 hrs by SRB assay
    [PMID: 25468044]
    HT-29 IC50
    5.21 μM
    Compound: Gefitinib
    Cytotoxicity against human HT-29 cells after 72 hrs under hypoxia conditions by SRB assay
    Cytotoxicity against human HT-29 cells after 72 hrs under hypoxia conditions by SRB assay
    [PMID: 25462282]
    HT-29 IC50
    8.19 μM
    Compound: Gefitinib
    Cytotoxicity against human HT-29 cells assessed as inhibition of cell proliferation after 72 hrs by MTT assay
    Cytotoxicity against human HT-29 cells assessed as inhibition of cell proliferation after 72 hrs by MTT assay
    [PMID: 26451770]
    HT-29 IC50
    8.19 μM
    Compound: Gefitinib
    Antiproliferative activity against non-special gene type human HT-29 cells after 48 hrs by SRB assay
    Antiproliferative activity against non-special gene type human HT-29 cells after 48 hrs by SRB assay
    [PMID: 28366268]
    HT-29 IC50
    9.8 μM
    Compound: Iressa
    Antiproliferative activity against human HT-29 cells after 48 hrs by MTT assay
    Antiproliferative activity against human HT-29 cells after 48 hrs by MTT assay
    [PMID: 20056425]
    Huh-7 IC50
    > 10 μM
    Compound: Gefitinib
    Cytotoxicity against human HuH7 cells assessed as inhibition of cell growth incubated for 48 hrs by MTT assay
    Cytotoxicity against human HuH7 cells assessed as inhibition of cell growth incubated for 48 hrs by MTT assay
    [PMID: 26159483]
    HuTu80 ED50
    0.77 μg/mL
    Compound: Gefitinib
    Cytotoxicity against Homo sapiens (human) HuTu 80 cells after 72 hr by MTT assay
    Cytotoxicity against Homo sapiens (human) HuTu 80 cells after 72 hr by MTT assay
    10.1007/s00044-012-0309-2
    HUVEC GI50
    13 μM
    Compound: Gefitinib
    Growth inhibition of HUVEC after 48 hrs by MTT assay
    Growth inhibition of HUVEC after 48 hrs by MTT assay
    [PMID: 28291344]
    IGROV-1 GI50
    0.2 μM
    Compound: Gefitinib
    Growth inhibition of human IGROV-1 cells incubated for 48 hrs by sulforhodamine B assay
    Growth inhibition of human IGROV-1 cells incubated for 48 hrs by sulforhodamine B assay
    [PMID: 27241691]
    K562 IC50
    > 10 μM
    Compound: Gefitinib
    Cytotoxicity against human K562 cells after 48 hrs by CellTiter-Glo assay
    Cytotoxicity against human K562 cells after 48 hrs by CellTiter-Glo assay
    [PMID: 24900594]
    K562 IC50
    14.27 μM
    Compound: Gefitinib
    Cytotoxicity against human K562 cells after 48 hrs by MTT assay
    Cytotoxicity against human K562 cells after 48 hrs by MTT assay
    [PMID: 35247755]
    K562 GI50
    2.51 μM
    Compound: Gefitinib
    Growth inhibition of human K562 cells incubated for 48 hrs by sulforhodamine B assay
    Growth inhibition of human K562 cells incubated for 48 hrs by sulforhodamine B assay
    [PMID: 27241691]
    K562 IC50
    9.36 μM
    Compound: ZD-1839, IRESSA
    Cytotoxicity against human K562 cells after 96 hrs by MTT assay
    Cytotoxicity against human K562 cells after 96 hrs by MTT assay
    [PMID: 18313807]
    K562/A02 IC50
    32.35 μM
    Compound: Gefitinib
    Cytotoxicity against human K562/A02 cells after 48 hrs by MTT assay
    Cytotoxicity against human K562/A02 cells after 48 hrs by MTT assay
    [PMID: 35247755]
    KB IC50
    0.025 μM
    Compound: Gefitinib
    Inhibition of EGFR in human KB cells assessed as reduction in EGF-stimulated EGFR phosphorylation preincubated for 1 hr followed by EGF stimulation and measured after 6 mins by ELISA
    Inhibition of EGFR in human KB cells assessed as reduction in EGF-stimulated EGFR phosphorylation preincubated for 1 hr followed by EGF stimulation and measured after 6 mins by ELISA
    [PMID: 32139324]
    KB IC50
    0.025 μM
    Compound: Gefitinib, Iressa
    Inhibition of EGF-stimulated autophosphorylation of EGFR in human KB cells incubated for 1 hr prior to EGF challenge measured after 6 mins by ELISA
    Inhibition of EGF-stimulated autophosphorylation of EGFR in human KB cells incubated for 1 hr prior to EGF challenge measured after 6 mins by ELISA
    [PMID: 24411123]
    KB ED50
    0.33 μg/mL
    Compound: Gefitinib
    Cytotoxicity against Homo sapiens (human) KB cells after 72 hr by MTT assay
    Cytotoxicity against Homo sapiens (human) KB cells after 72 hr by MTT assay
    10.1007/s00044-012-0309-2
    KB IC50
    2.8 μM
    Compound: 1, Iressa
    Antiproliferative activity against human KB cells expressing EGFR and SRC by MTT assay
    Antiproliferative activity against human KB cells expressing EGFR and SRC by MTT assay
    [PMID: 22818848]
    KB IC50
    54 nM
    Compound: 1
    Antiproliferative activity against EGF-stimulated human KB cells assessed as cell growth inhibition incubated for 72 hrs by MTT assay
    Antiproliferative activity against EGF-stimulated human KB cells assessed as cell growth inhibition incubated for 72 hrs by MTT assay
    [PMID: 33540357]
    KM12 GI50
    7.94 μM
    Compound: Gefitinib
    Growth inhibition of human KM12 cells incubated for 48 hrs by sulforhodamine B assay
    Growth inhibition of human KM12 cells incubated for 48 hrs by sulforhodamine B assay
    [PMID: 27241691]
    L02 IC50
    > 10 μM
    Compound: Gfb
    Antiproliferative activity against human HL7702 cells expressing wilt type EGFR after 72 hrs by MTS assay
    Antiproliferative activity against human HL7702 cells expressing wilt type EGFR after 72 hrs by MTS assay
    [PMID: 22339342]
    L02 IC50
    10.08 μM
    Compound: 4
    Cytotoxicity against human L02 cells assessed as inhibition of cell growth measured by CCK8 assay
    Cytotoxicity against human L02 cells assessed as inhibition of cell growth measured by CCK8 assay
    [PMID: 34216747]
    L02 IC50
    13.26 μM
    Compound: Gefitinib
    Cytotoxicity against human HL7702 cells assessed as reduction in cell viability incubated for 48 hrs by MTT assay
    Cytotoxicity against human HL7702 cells assessed as reduction in cell viability incubated for 48 hrs by MTT assay
    [PMID: 32866757]
    L02 IC50
    19.8 μM
    Compound: Gefitinib
    Cytotoxicity against human LO2 cells assessed as reduction in cell viability by MTT assay
    Cytotoxicity against human LO2 cells assessed as reduction in cell viability by MTT assay
    [PMID: 31013087]
    L02 IC50
    33.17 μM
    Compound: Gefitinib
    Cytotoxicity against human L02 cells assessed as reduction in cell viability incubated for 72 hrs by MTT assay
    Cytotoxicity against human L02 cells assessed as reduction in cell viability incubated for 72 hrs by MTT assay
    [PMID: 33640672]
    L02 IC50
    45.31 μM
    Compound: Gefitinib
    Cytotoxicity against human L02 cells by CCK8 assay
    Cytotoxicity against human L02 cells by CCK8 assay
    [PMID: 34922028]
    L02 IC50
    55.08 μM
    Compound: Gefitinib
    Cytotoxicity against human HL7702 cells expressing wild type EGFR after 72 hrs by MTS assay
    Cytotoxicity against human HL7702 cells expressing wild type EGFR after 72 hrs by MTS assay
    10.1039/C2MD20078C
    L02 IC50
    7.14 μM
    Compound: Gefitinib
    Cytotoxicity against human L0-2 cells assessed as reduction in cell viability measured after 72 hrs by MTT assay
    Cytotoxicity against human L0-2 cells assessed as reduction in cell viability measured after 72 hrs by MTT assay
    [PMID: 32402937]
    L132 ED50
    > 1 μg/mL
    Compound: Gefitinib
    Cytotoxicity against Homo sapiens (human) L-132 cells after 72 hr by MTT assay
    Cytotoxicity against Homo sapiens (human) L-132 cells after 72 hr by MTT assay
    10.1007/s00044-012-0309-2
    L929 IC50
    1.98 μM
    Compound: Gefitinib
    Cytotoxicity against mouse L929 cells assessed as cell growth inhibition after 72 hrs by MTT assay
    Cytotoxicity against mouse L929 cells assessed as cell growth inhibition after 72 hrs by MTT assay
    [PMID: 30508379]
    LoVo IC50
    0.062 μM
    Compound: 1
    Inhibition of wild type EGFR phosphorylation in human LoVo cells after 2 hrs by fluorescence assay
    Inhibition of wild type EGFR phosphorylation in human LoVo cells after 2 hrs by fluorescence assay
    [PMID: 23930994]
    LOX IMVI GI50
    7.94 μM
    Compound: Gefitinib
    Growth inhibition of human LOX IMVI cells incubated for 48 hrs by sulforhodamine B assay
    Growth inhibition of human LOX IMVI cells incubated for 48 hrs by sulforhodamine B assay
    [PMID: 27241691]
    Macrophage CC50
    280.6 μM
    Compound: Gefitinib
    Antiproliferative activity against human macrophages assessed as alteration in cell morphology after 24 hrs by CCK8 assay
    Antiproliferative activity against human macrophages assessed as alteration in cell morphology after 24 hrs by CCK8 assay
    [PMID: 24731281]
    MCF-10A IC50
    30 μM
    Compound: Gefitinib
    Cytotoxicity against human MCF10A cells after 72 hrs by MTT assay
    Cytotoxicity against human MCF10A cells after 72 hrs by MTT assay
    [PMID: 25198997]
    MCF7 IC50
    > 100 μM
    Compound: Gefitinib
    Antiproliferative activity against human MCF7 cells incubated for 72 hrs by MTT assay
    Antiproliferative activity against human MCF7 cells incubated for 72 hrs by MTT assay
    [PMID: 31488358]
    MCF7 GI50
    > 30 μM
    Compound: Gefitinib
    Growth inhibition of human MCF7 cells after 48 hrs by MTT assay
    Growth inhibition of human MCF7 cells after 48 hrs by MTT assay
    [PMID: 30447889]
    MCF7 EC50
    > 50 μM
    Compound: Gefitinib
    Antiproliferative activity against human ER-negative MCF7 cells after 24 hrs by MTT assay
    Antiproliferative activity against human ER-negative MCF7 cells after 24 hrs by MTT assay
    [PMID: 25198997]
    MCF7 ED50
    0.89 μg/mL
    Compound: Gefitinib
    Cytotoxicity against Homo sapiens (human) MCF7 cells after 72 hr by MTT assay
    Cytotoxicity against Homo sapiens (human) MCF7 cells after 72 hr by MTT assay
    10.1007/s00044-012-0309-2
    MCF7 IC50
    1 μM
    Compound: 1
    Cytotoxicity against human MCF7 cells after 24 hrs by MTT assay
    Cytotoxicity against human MCF7 cells after 24 hrs by MTT assay
    [PMID: 18771819]
    MCF7 IC50
    1.1 μM
    Compound: Gefitinib
    Inhibition of BCRP expressed in MCF7 MX cells by Hoechst 33342 staining
    Inhibition of BCRP expressed in MCF7 MX cells by Hoechst 33342 staining
    [PMID: 19932960]
    MCF7 GI50
    10 μM
    Compound: Gefitinib
    Growth inhibition of human MCF7 cells incubated for 48 hrs by sulforhodamine B assay
    Growth inhibition of human MCF7 cells incubated for 48 hrs by sulforhodamine B assay
    [PMID: 27241691]
    MCF7 IC50
    10.29 μM
    Compound: Gefitinib
    Antiproliferative activity against human MCF7 cells after 24 hrs by MTT assay
    Antiproliferative activity against human MCF7 cells after 24 hrs by MTT assay
    [PMID: 25866240]
    MCF7 IC50
    12.05 μM
    Compound: Gefitinib, Iressa
    Antiproliferative activity against human MCF7 cells overexpressing EGFR gene after 48 hrs by MTT assay
    Antiproliferative activity against human MCF7 cells overexpressing EGFR gene after 48 hrs by MTT assay
    [PMID: 22119130]
    MCF7 IC50
    12.05 μM
    Compound: Gefitinib
    Antiproliferative activity against human MCF7 cells after 72 hrs by MTT assay
    Antiproliferative activity against human MCF7 cells after 72 hrs by MTT assay
    [PMID: 28711702]
    MCF7 IC50
    13.1 μM
    Compound: Gefitinib
    Antiproliferative activity against human MCF7 cells overexpressing EGFR assessed as reduction in cell viability after 72 hrs by MTT assay
    Antiproliferative activity against human MCF7 cells overexpressing EGFR assessed as reduction in cell viability after 72 hrs by MTT assay
    [PMID: 26829280]
    MCF7 IC50
    13.24 μM
    Compound: Gefitinib
    Antiproliferative activity against human MCF7 cells by CCK8 assay
    Antiproliferative activity against human MCF7 cells by CCK8 assay
    [PMID: 34922028]
    MCF7 IC50
    17.83 μM
    Compound: Gefitinib
    Antiproliferative activity against human MCF7 cells after 48 hrs by CCK-8 assay
    Antiproliferative activity against human MCF7 cells after 48 hrs by CCK-8 assay
    [PMID: 26343825]
    MCF7 IC50
    2.97 μM
    Compound: Gefitinib
    Antiproliferative activity against human MCF7 cells assessed as reduction in cell growth incubated for 24 hrs by MTT assay
    Antiproliferative activity against human MCF7 cells assessed as reduction in cell growth incubated for 24 hrs by MTT assay
    [PMID: 31431361]
    MCF7 IC50
    20.68 μM
    Compound: Iressa(TM)
    Antiproliferative activity against human MCF7 after 18 hrs by MTT assay
    Antiproliferative activity against human MCF7 after 18 hrs by MTT assay
    [PMID: 30826188]
    MCF7 GI50
    20.8 μM
    Compound: Gefitinib
    Cytotoxicity against human MCF7 cells assessed as reduction in cell viability after 48 hrs by MTT assay
    Cytotoxicity against human MCF7 cells assessed as reduction in cell viability after 48 hrs by MTT assay
    [PMID: 27993518]
    MCF7 IC50
    23.52 μM
    Compound: Iressa(TM)
    Antiproliferative activity against human MCF7 by MTT assay
    Antiproliferative activity against human MCF7 by MTT assay
    [PMID: 30826188]
    MCF7 IC50
    25.37 μM
    Compound: Gefitinib
    Antiproliferative activity against human MCF7 cells after 72 hrs by MTT assay
    Antiproliferative activity against human MCF7 cells after 72 hrs by MTT assay
    [PMID: 27132165]
    MCF7 IC50
    26.7 μM
    Compound: Gefitinib
    Cytotoxicity against human MCF7 cells after 72 hrs by SRB assay
    Cytotoxicity against human MCF7 cells after 72 hrs by SRB assay
    [PMID: 29407971]
    MCF7 IC50
    3.3 μM
    Compound: Gefitinib
    Cytotoxicity against human MCF7 cells assessed as inhibition of cell growth incubated for 48 hrs by MTT assay
    Cytotoxicity against human MCF7 cells assessed as inhibition of cell growth incubated for 48 hrs by MTT assay
    [PMID: 26159483]
    MCF7 IC50
    3.57 μM
    Compound: Gefitinib
    Cytotoxicity against human MCF7 cells incubated for 2 to 4 hrs by MTT assay
    Cytotoxicity against human MCF7 cells incubated for 2 to 4 hrs by MTT assay
    [PMID: 33771586]
    MCF7 EC50
    35 μM
    Compound: Gefitinib
    Antiproliferative activity against human ER-negative MCF7 cells after 72 hrs by MTT assay
    Antiproliferative activity against human ER-negative MCF7 cells after 72 hrs by MTT assay
    [PMID: 25198997]
    MCF7 IC50
    6.26 μM
    Compound: Gefitinib
    Antiproliferative activity against human MCF7 cells after 48 hrs by MTT assay
    Antiproliferative activity against human MCF7 cells after 48 hrs by MTT assay
    [PMID: 30503938]
    MCF7 IC50
    6.71 μM
    Compound: Gefitinib
    Antiproliferative activity against human MCF7 cells incubated for 48 hrs by MTT assay
    Antiproliferative activity against human MCF7 cells incubated for 48 hrs by MTT assay
    [PMID: 26346367]
    MCF7 GI50
    6.71 μM
    Compound: Gefitinib
    Antiproliferative activity against human MCF7 cells after 48 hrs in presence of 10% FBS by MTT method
    Antiproliferative activity against human MCF7 cells after 48 hrs in presence of 10% FBS by MTT method
    [PMID: 27515719]
    MCF7 IC50
    6.77 μM
    Compound: Gefitinib
    Antiproliferative activity against human MCF7 cells after 48 hrs by MTT assay
    Antiproliferative activity against human MCF7 cells after 48 hrs by MTT assay
    [PMID: 30342958]
    MCF7 IC50
    69.16 μM
    Compound: Gefitinib
    Antiproliferative activity against human MCF7 cells after 48 hrs by MTT assay
    Antiproliferative activity against human MCF7 cells after 48 hrs by MTT assay
    [PMID: 20304537]
    MCF7 IC50
    7.34 μM
    Compound: Gefitinib
    Cytotoxicity against human MCF7 cells assessed as reduction in cell viability after 72 hrs by MTT assay
    Cytotoxicity against human MCF7 cells assessed as reduction in cell viability after 72 hrs by MTT assay
    [PMID: 30939352]
    MDA-MB-231 IC50
    > 10 μM
    Compound: Gefitinib
    Cytotoxicity against human MDA-MB-231 cells incubated for 72 hrs by MTT assay
    Cytotoxicity against human MDA-MB-231 cells incubated for 72 hrs by MTT assay
    [PMID: 23116168]
    MDA-MB-231 EC50
    > 50 μM
    Compound: Gefitinib
    Antiproliferative activity against human ER-positive MDA-MB-231 cells after 24 hrs by MTT assay
    Antiproliferative activity against human ER-positive MDA-MB-231 cells after 24 hrs by MTT assay
    [PMID: 25198997]
    MDA-MB-231 GI50
    12.6 μM
    Compound: Gefitinib
    Growth inhibition of human MDA-MB-231/ATCC cells incubated for 48 hrs by sulforhodamine B assay
    Growth inhibition of human MDA-MB-231/ATCC cells incubated for 48 hrs by sulforhodamine B assay
    [PMID: 27241691]
    MDA-MB-231 GI50
    14.2 μM
    Compound: Gefitinib
    Growth inhibition of human MDA-MB-231 cells after 48 hrs by MTT assay
    Growth inhibition of human MDA-MB-231 cells after 48 hrs by MTT assay
    [PMID: 28291344]
    MDA-MB-231 IC50
    14.52 μM
    Compound: Gefitinib
    Antiproliferative activity against human MDA-MB-231 cells by CCK8 assay
    Antiproliferative activity against human MDA-MB-231 cells by CCK8 assay
    [PMID: 34922028]
    MDA-MB-231 EC50
    25 μM
    Compound: Gefitinib
    Antiproliferative activity against human ER-positive MDA-MB-231 cells after 72 hrs by MTT assay
    Antiproliferative activity against human ER-positive MDA-MB-231 cells after 72 hrs by MTT assay
    [PMID: 25198997]
    MDA-MB-231 IC50
    28.3 μM
    Compound: Gefitinib
    Anticancer activity against human MDA-MB-231 cells assessed as cell growth inhibition incubated for 24 hrs by MTT assay
    Anticancer activity against human MDA-MB-231 cells assessed as cell growth inhibition incubated for 24 hrs by MTT assay
    [PMID: 29656203]
    MDA-MB-231 IC50
    36.61 μM
    Compound: ZD-1839, IRESSA
    Cytotoxicity against human MDA-MB-231 cells after 96 hrs by MTT assay
    Cytotoxicity against human MDA-MB-231 cells after 96 hrs by MTT assay
    [PMID: 18313807]
    MDA-MB-231 IC50
    37.82 μM
    Compound: Gefitinib
    Antiproliferative activity against human MDA-MB-231 cells after 72 hrs by MTT assay
    Antiproliferative activity against human MDA-MB-231 cells after 72 hrs by MTT assay
    [PMID: 27132165]
    MDA-MB-231 IC50
    4.1 μM
    Compound: Gefitinib
    Cytotoxicity against human MDA-MB-231 cells assessed as inhibition of cell growth incubated for 48 hrs by MTT assay
    Cytotoxicity against human MDA-MB-231 cells assessed as inhibition of cell growth incubated for 48 hrs by MTT assay
    [PMID: 26159483]
    MDA-MB-231 IC50
    6.85 μM
    Compound: Gefitinib
    Antiproliferative activity against human MDA-MB-231 cells assessed as cell growth inhibition incubated for 48 hrs by MTT assay
    Antiproliferative activity against human MDA-MB-231 cells assessed as cell growth inhibition incubated for 48 hrs by MTT assay
    [PMID: 32739648]
    MDA-MB-231 IC50
    7.12 μM
    Compound: Gefitinib
    Antiproliferative activity against human MDA-MB-231 cells assessed as inhibition of cell growth incubated for 72 hrs by MTT assay
    Antiproliferative activity against human MDA-MB-231 cells assessed as inhibition of cell growth incubated for 72 hrs by MTT assay
    [PMID: 34192644]
    MDA-MB-231 IC50
    8.72 μM
    Compound: Gefitinib
    Cytotoxicity against human MDA-MB-231 cells assessed as reduction in cell viability after 72 hrs by MTT assay
    Cytotoxicity against human MDA-MB-231 cells assessed as reduction in cell viability after 72 hrs by MTT assay
    [PMID: 30939352]
    MDA-MB-468 GI50
    0.01 μM
    Compound: Gefitinib
    Growth inhibition of human MDA-MB-468 cells incubated for 48 hrs by sulforhodamine B assay
    Growth inhibition of human MDA-MB-468 cells incubated for 48 hrs by sulforhodamine B assay
    [PMID: 27241691]
    MDA-MB-468 GI50
    25.5 μM
    Compound: Gefitinib
    Growth inhibition of EGFR over-expressing human MDA-MB-468 cells after 48 hrs by MTT assay
    Growth inhibition of EGFR over-expressing human MDA-MB-468 cells after 48 hrs by MTT assay
    [PMID: 30447889]
    MDA-MB-468 IC50
    3.9 μM
    Compound: Gefitinib
    Cytotoxicity against human MDA-MB-468 cells assessed as inhibition of cell growth incubated for 48 hrs by MTT assay
    Cytotoxicity against human MDA-MB-468 cells assessed as inhibition of cell growth incubated for 48 hrs by MTT assay
    [PMID: 26159483]
    MDA-MB-468 GI50
    9.7 μM
    Compound: Gefitinib
    Cytotoxicity against gefitinib-resistant human MDA-MB-468 cells assessed as reduction in cell viability after 48 hrs by MTT assay
    Cytotoxicity against gefitinib-resistant human MDA-MB-468 cells assessed as reduction in cell viability after 48 hrs by MTT assay
    [PMID: 27993518]
    MDCK IC50
    1.26 μM
    Compound: Gefitinib
    Inhibition of BCRP expressed in MDCK cells by pheophorbide A assay
    Inhibition of BCRP expressed in MDCK cells by pheophorbide A assay
    [PMID: 19932960]
    MDCK GI50
    1.45 μM
    Compound: Gefitinib, Iressa
    Cytotoxicity against MDCK cells after 72 hrs by MTT assay
    Cytotoxicity against MDCK cells after 72 hrs by MTT assay
    [PMID: 24184213]
    MDCK-II GI50
    1.36 μM
    Compound: Gefitinib
    Growth inhibition of MDCK2 cells harboring GFP-fused human ABCG2 after 72 hrs by MTT assay
    Growth inhibition of MDCK2 cells harboring GFP-fused human ABCG2 after 72 hrs by MTT assay
    [PMID: 30390439]
    MDCK-II GI50
    2.1 μM
    Compound: Gefitinib
    Growth inhibition of MDCK2 cells after 72 hrs by MTT assay
    Growth inhibition of MDCK2 cells after 72 hrs by MTT assay
    [PMID: 30390439]
    MDCK-II IC50
    3.19 μM
    Compound: Gefitinib, Iressa
    Inhibition of human BCRP expressed in MDCK2 cells assessed as Hoechst 33342 accumulation treated 30 mins before Hoechst 33342 addition measured up to 120 mins by fluorescence assay
    Inhibition of human BCRP expressed in MDCK2 cells assessed as Hoechst 33342 accumulation treated 30 mins before Hoechst 33342 addition measured up to 120 mins by fluorescence assay
    [PMID: 24184213]
    MGC-803 IC50
    26.19 μM
    Compound: Gef
    Antiproliferative activity against human MGC-803 cells assessed as reduction in cell viability incubated for 72 hrs by MTT assay
    Antiproliferative activity against human MGC-803 cells assessed as reduction in cell viability incubated for 72 hrs by MTT assay
    [PMID: 32827851]
    MGC-803 IC50
    26.19 μM
    Compound: Gefitinib
    Antiproliferative activity against human MGC803 cells by MTT assay
    Antiproliferative activity against human MGC803 cells by MTT assay
    [PMID: 26560049]
    MGC-803 IC50
    8.19 μM
    Compound: Gefitinib
    Antiproliferative activity against human MGC-803 cells assessed as inhibition of cell growth incubated for 72 hrs by MTT assay
    Antiproliferative activity against human MGC-803 cells assessed as inhibition of cell growth incubated for 72 hrs by MTT assay
    [PMID: 34192644]
    MGC-803 IC50
    8.82 μM
    Compound: Gefitinib
    Cytotoxicity against human MGC803 cells assessed as reduction in cell viability after 72 hrs by MTT assay
    Cytotoxicity against human MGC803 cells assessed as reduction in cell viability after 72 hrs by MTT assay
    [PMID: 30939352]
    MIA PaCa-2 ED50
    0.51 μg/mL
    Compound: Gefitinib
    Cytotoxicity against Homo sapiens (human) MIAPaCa2 cells after 72 hr by MTT assay
    Cytotoxicity against Homo sapiens (human) MIAPaCa2 cells after 72 hr by MTT assay
    10.1007/s00044-012-0309-2
    MIA PaCa-2 IC50
    45.8 μM
    Compound: Gefitinib
    Cytotoxicity against human MIAPaCa2 cells after 4 to 5 days by MTT assay
    Cytotoxicity against human MIAPaCa2 cells after 4 to 5 days by MTT assay
    [PMID: 20466555]
    MKN-45 IC50
    12.29 μM
    Compound: Gefitinib
    Cytotoxicity against human MKN45 cells assessed as reduction in cell viability after 72 hrs by MTT assay
    Cytotoxicity against human MKN45 cells assessed as reduction in cell viability after 72 hrs by MTT assay
    [PMID: 29496411]
    MOLT-4 ED50
    > 1 μg/mL
    Compound: Gefitinib
    Cytotoxicity against Homo sapiens (human) MOLT4 cells after 72 hr by MTT assay
    Cytotoxicity against Homo sapiens (human) MOLT4 cells after 72 hr by MTT assay
    10.1007/s00044-012-0309-2
    MOLT-4 IC50
    15.02 μM
    Compound: ZD-1839, IRESSA
    Cytotoxicity against human MOLT4 cells after 96 hrs by MTT assay
    Cytotoxicity against human MOLT4 cells after 96 hrs by MTT assay
    [PMID: 18313807]
    MOLT-4 GI50
    3.98 μM
    Compound: Gefitinib
    Growth inhibition of human MOLT4 cells incubated for 48 hrs by SRB assay
    Growth inhibition of human MOLT4 cells incubated for 48 hrs by SRB assay
    [PMID: 31023512]
    NCI-H1299 IC50
    3.02 μM
    Compound: Gefitinib
    Antiproliferative activity against human NCI-H1299 cells assessed as cell growth inhibition incubated for 48 hrs by MTT assay
    Antiproliferative activity against human NCI-H1299 cells assessed as cell growth inhibition incubated for 48 hrs by MTT assay
    [PMID: 32739648]
    NCI-H1299 IC50
    4.05 μM
    Compound: Gefitinib
    Antiproliferative activity against human NCI-H1299 cells expressing wild type EGFR assessed as inhibition in cell viability after 72 hrs by CCK8 assay
    Antiproliferative activity against human NCI-H1299 cells expressing wild type EGFR assessed as inhibition in cell viability after 72 hrs by CCK8 assay
    [PMID: 34794818]
    NCI-H1299 IC50
    40 μM
    Compound: Gefitinib
    Cytotoxicity against human NCI-H1299 cells assessed as cell growth inhibition incubated for 48 hrs by SRB assay
    Cytotoxicity against human NCI-H1299 cells assessed as cell growth inhibition incubated for 48 hrs by SRB assay
    [PMID: 35696863]
    NCI-H1299 IC50
    6.56 μM
    Compound: Cpd G
    Antiproliferative activity against human NCI-H1299 cells assessed as inhibition of cell growth incubated for 72 hrs by CCK8 assay
    Antiproliferative activity against human NCI-H1299 cells assessed as inhibition of cell growth incubated for 72 hrs by CCK8 assay
    [PMID: 34038131]
    NCI-H1650 IC50
    2.64 μM
    Compound: Gefitinib
    Antiproliferative activity against human H1650 cells by CCK8 assay
    Antiproliferative activity against human H1650 cells by CCK8 assay
    [PMID: 34922028]
    NCI-H1975 IC50
    > 10 μM
    Compound: Gefitinib
    Antiproliferative activity against human NCI-H1975 cells incubated for 72 hrs by MTS assay
    Antiproliferative activity against human NCI-H1975 cells incubated for 72 hrs by MTS assay
    [PMID: 31718182]
    NCI-H1975 IC50
    > 10 μM
    Compound: Gefitinib
    Antiproliferative activity against human NCI-H1975 cells harbouring EGFR L858R/T790M/C797S mutant incubated for 72 hrs by MTS assay
    Antiproliferative activity against human NCI-H1975 cells harbouring EGFR L858R/T790M/C797S mutant incubated for 72 hrs by MTS assay
    [PMID: 31718182]
    NCI-H1975 IC50
    > 10 μM
    Compound: Gefitinib
    Antiproliferative activity against human NCI-H1975 cells harboring EGFR L858R/T790M mutant assessed as cell growth inhibition measured after 72 hrs by MTT assay
    Antiproliferative activity against human NCI-H1975 cells harboring EGFR L858R/T790M mutant assessed as cell growth inhibition measured after 72 hrs by MTT assay
    [PMID: 32139324]
    NCI-H1975 IC50
    > 10 μM
    Compound: Iressa
    Cytotoxicity against human NCI-H1975 cells harboring EGFR L858R/T790M double mutant assessed as growth inhibition after 72 hrs by MTT assay
    Cytotoxicity against human NCI-H1975 cells harboring EGFR L858R/T790M double mutant assessed as growth inhibition after 72 hrs by MTT assay
    [PMID: 27524310]
    NCI-H1975 IC50
    > 10 μM
    Compound: Gefitinib, Iressa
    Cytotoxicity against human NCI-H1975 cells expressing EGFR L858R/T790M mutant after 72 hrs by MTT assay
    Cytotoxicity against human NCI-H1975 cells expressing EGFR L858R/T790M mutant after 72 hrs by MTT assay
    [PMID: 24411123]
    NCI-H1975 IC50
    > 10000 nM
    Compound: Gefitinib
    Antiproliferative activity against human NCI-H1975 cells after 72 hrs by MTT assay
    Antiproliferative activity against human NCI-H1975 cells after 72 hrs by MTT assay
    [PMID: 29576272]
    NCI-H1975 IC50
    > 10000 nM
    Compound: Gefitinib
    Antiproliferative activity against human NCI-H1975 cells harboring EGFR T790M/L858R double mutant after 72 hrs by EZ-Cytox assay
    Antiproliferative activity against human NCI-H1975 cells harboring EGFR T790M/L858R double mutant after 72 hrs by EZ-Cytox assay
    [PMID: 30554954]
    NCI-H1975 IC50
    1.23 μM
    Compound: Gefitinib
    Antiproliferative activity against human NCI-H1975 cells over expressing EGFR after 48 hrs by MTT assay
    Antiproliferative activity against human NCI-H1975 cells over expressing EGFR after 48 hrs by MTT assay
    [PMID: 27118497]
    NCI-H1975 IC50
    1.71 μM
    Compound: Gefitinib
    Antiproliferative activity against human NCI-H1975 cells expressing EGFR T790M/L858R mutant assessed as inhibition in cell viability after 72 hrs by CCK-8 assay
    Antiproliferative activity against human NCI-H1975 cells expressing EGFR T790M/L858R mutant assessed as inhibition in cell viability after 72 hrs by CCK-8 assay
    [PMID: 34794818]
    NCI-H1975 IC50
    10 μM
    Compound: Gefitinib
    Antiproliferative activity against human NCI-H1975 cells after 48 hrs by Celltiter-Glo assay
    Antiproliferative activity against human NCI-H1975 cells after 48 hrs by Celltiter-Glo assay
    [PMID: 25409491]
    NCI-H1975 IC50
    10 μM
    Compound: Gefitinib
    Antiproliferative activity against human NCI-H1975 cells harbouring EGFR L858R/T790M double mutant assessed as reduction in cell viability incubated for 72 hrs by MTT assay
    Antiproliferative activity against human NCI-H1975 cells harbouring EGFR L858R/T790M double mutant assessed as reduction in cell viability incubated for 72 hrs by MTT assay
    [PMID: 31446247]
    NCI-H1975 IC50
    10 μM
    Compound: Gefitinib
    Cytotoxicity against human NCI-H1975 cells incubated for 72 hrs by MTT assay
    Cytotoxicity against human NCI-H1975 cells incubated for 72 hrs by MTT assay
    [PMID: 23116168]
    NCI-H1975 IC50
    10.48 μM
    Compound: Gefitinib
    Inhibition of EGFR L858R/T790M mutant in human NCI-H1975 cells assessed as growth inhibition after 48 hrs by MTT assay
    Inhibition of EGFR L858R/T790M mutant in human NCI-H1975 cells assessed as growth inhibition after 48 hrs by MTT assay
    [PMID: 24900594]
    NCI-H1975 EC50
    10.7 μM
    Compound: Gefitinib
    Antiproliferative activity against human NCI-H1975 cells harboring EGFR-L858R/T790M double mutant incubated for 96 hrs measured on day 5 by CellTiterGlo assay
    Antiproliferative activity against human NCI-H1975 cells harboring EGFR-L858R/T790M double mutant incubated for 96 hrs measured on day 5 by CellTiterGlo assay
    [PMID: 28853575]
    NCI-H1975 IC50
    10.78 μM
    Compound: Gefitinib
    Antiproliferative activity against human NCI-H1975 cells assessed as reduction in cell viability incubated for 72 hrs by MTT assay
    Antiproliferative activity against human NCI-H1975 cells assessed as reduction in cell viability incubated for 72 hrs by MTT assay
    [PMID: 33640672]
    NCI-H1975 IC50
    10.89 μM
    Compound: 1
    Antiproliferative activity against human NCI-H1975 cells harboring L858R/T790M double mutant after 48 hrs by MTT assay
    Antiproliferative activity against human NCI-H1975 cells harboring L858R/T790M double mutant after 48 hrs by MTT assay
    [PMID: 27634676]
    NCI-H1975 IC50
    10.89 μM
    Compound: Gefitinib
    Antiproliferative activity against human NCI-H1975 cells assessed as cell growth inhibition incubated for 72 hrs by MTT assay
    Antiproliferative activity against human NCI-H1975 cells assessed as cell growth inhibition incubated for 72 hrs by MTT assay
    [PMID: 32739648]
    NCI-H1975 IC50
    10.89 μM
    Compound: Gefitinib
    Antiproliferative activity against human NCI-H1975 cells harboring EGFR T790M/L858R double mutant after 72 hrs by MTT assay
    Antiproliferative activity against human NCI-H1975 cells harboring EGFR T790M/L858R double mutant after 72 hrs by MTT assay
    [PMID: 30471829]
    NCI-H1975 EC50
    11 μM
    Compound: Gefitinib
    Antiproliferative activity against human NCI-H1975 cells harboring EGFR L858R/T790M double mutant assessed as growth inhibition after 96 hrs by CellTiter-Glo assay
    Antiproliferative activity against human NCI-H1975 cells harboring EGFR L858R/T790M double mutant assessed as growth inhibition after 96 hrs by CellTiter-Glo assay
    [PMID: 28603991]
    NCI-H1975 IC50
    11.39 μM
    Compound: Gefitinib
    Cytotoxicity against gefitinib-resistant human NCI-H1975 cells expressing EGFR L858R/T790M double mutant assessed as growth inhibition incubated for 1 hr prior to EGF challenge measured after 72 hrs by luciferase reporter gene assay
    Cytotoxicity against gefitinib-resistant human NCI-H1975 cells expressing EGFR L858R/T790M double mutant assessed as growth inhibition incubated for 1 hr prior to EGF challenge measured after 72 hrs by luciferase reporter gene assay
    10.1039/C3MD00118K
    NCI-H1975 IC50
    12.7 μM
    Compound: ZD1839
    Antiproliferative activity against human NCI-H1975 cells incubated for 72 hrs by MTT assay
    Antiproliferative activity against human NCI-H1975 cells incubated for 72 hrs by MTT assay
    [PMID: 31202990]
    NCI-H1975 IC50
    12.7 μM
    Compound: Gefitinib
    Antiproliferative activity against human NCI-H1975 cells harboring EGFR L858R/T790M double mutant after 72 hrs by MTT assay
    Antiproliferative activity against human NCI-H1975 cells harboring EGFR L858R/T790M double mutant after 72 hrs by MTT assay
    [PMID: 29421573]
    NCI-H1975 IC50
    12.7 μM
    Compound: Gefitinib
    Antiproliferative activity against human NCI-H1975 cells harboring EGFR L858R/T790M mutant after 72 hrs by MTT assay
    Antiproliferative activity against human NCI-H1975 cells harboring EGFR L858R/T790M mutant after 72 hrs by MTT assay
    [PMID: 28711703]
    NCI-H1975 IC50
    13.13 μM
    Compound: Gefitinib
    Antiproliferative activity against human NCI-H1975 cells harboring EGFR T790M/L858R double mutant assessed as decrease in cell viability after 72 hrs by MTT assay
    Antiproliferative activity against human NCI-H1975 cells harboring EGFR T790M/L858R double mutant assessed as decrease in cell viability after 72 hrs by MTT assay
    [PMID: 28385595]
    NCI-H1975 IC50
    13.98 μM
    Compound: Gefitinib
    Inhibition of EGFR L858R/T790M mutant in human NCI-H1975 cells assessed as inhibition of EGF-mediated autophosphorylation incubated for 30 mins prior to EGF challenge by cytoblot assay
    Inhibition of EGFR L858R/T790M mutant in human NCI-H1975 cells assessed as inhibition of EGF-mediated autophosphorylation incubated for 30 mins prior to EGF challenge by cytoblot assay
    10.1039/C3MD00118K
    NCI-H1975 IC50
    13613 nM
    Compound: Gefitinib
    Antiproliferative activity against gefitinib-resistant human NCI-H1975 cells expressing T790M/L858R mutation after 72 hrs by MTS assay
    Antiproliferative activity against gefitinib-resistant human NCI-H1975 cells expressing T790M/L858R mutation after 72 hrs by MTS assay
    [PMID: 24053674]
    NCI-H1975 IC50
    14.38 μM
    Compound: Gefitinib
    Antiproliferative activity against human NCI-H1975 cells expressing L858R/T790M mutant EGFR after 72 hrs by MTT assay
    Antiproliferative activity against human NCI-H1975 cells expressing L858R/T790M mutant EGFR after 72 hrs by MTT assay
    [PMID: 27387355]
    NCI-H1975 IC50
    14707 nM
    Compound: Gefitinib
    Antiproliferative activity against human gefitinib-resistant NCI-H1975 cells after 48 hrs by MTT assay
    Antiproliferative activity against human gefitinib-resistant NCI-H1975 cells after 48 hrs by MTT assay
    [PMID: 25937236]
    NCI-H1975 IC50
    15.35 μM
    Compound: Gefitinib
    Antiproliferative activity against human NCI-H1975 cells harboring EGFR L858R/T790M double mutant after 48 hrs by MTT assay
    Antiproliferative activity against human NCI-H1975 cells harboring EGFR L858R/T790M double mutant after 48 hrs by MTT assay
    [PMID: 28236592]
    NCI-H1975 IC50
    17.79 μM
    Compound: Gefitinib
    Antiproliferative activity against human H1975 cells harboring EGFR L858R/T790M double mutant assessed as reduction in cell viability measured after 72 hrs by MTT assay
    Antiproliferative activity against human H1975 cells harboring EGFR L858R/T790M double mutant assessed as reduction in cell viability measured after 72 hrs by MTT assay
    [PMID: 32402937]
    NCI-H1975 IC50
    18.19 μM
    Compound: Gefitinib
    Cytotoxicity against human NCI-H1975 cells expressing EGFR kinase L858R/T790M double mutant after 72 hrs by MTS assay
    Cytotoxicity against human NCI-H1975 cells expressing EGFR kinase L858R/T790M double mutant after 72 hrs by MTS assay
    10.1039/C2MD20078C
    NCI-H1975 CC50
    18755 nM
    Compound: Gefitinib
    Cytotoxicity in human NCI-H1975 cells assessed as reduction in cell viability incubated for 96 hrs by MTS method
    Cytotoxicity in human NCI-H1975 cells assessed as reduction in cell viability incubated for 96 hrs by MTS method
    [PMID: 31560541]
    NCI-H1975 IC50
    26.9 μM
    Compound: Gefitinib
    Antiproliferative activity against human NCI-H1975 cells harboring EGFR L858R/T790M double mutant assessed as reduction in cell viability after 72 hrs by MTT assay
    Antiproliferative activity against human NCI-H1975 cells harboring EGFR L858R/T790M double mutant assessed as reduction in cell viability after 72 hrs by MTT assay
    [PMID: 26829280]
    NCI-H1975 IC50
    3.3 μM
    Compound: 1
    Inhibition of EGFR L858R/T970M double mutant phosphorylation in human NCI-H1975 cells after 2 hrs by fluorescence assay
    Inhibition of EGFR L858R/T970M double mutant phosphorylation in human NCI-H1975 cells after 2 hrs by fluorescence assay
    [PMID: 23930994]
    NCI-H1975 IC50
    4.691 μM
    Compound: 1; Iressa
    Antiproliferative activity against human NCI-H1975 cells incubated for 72 hrs by MTT assay
    Antiproliferative activity against human NCI-H1975 cells incubated for 72 hrs by MTT assay
    [PMID: 28395219]
    NCI-H1975 IC50
    4.81 μM
    Compound: Gefitinib
    Growth inhibition of human NCI-H1975 cells incubated for 5 days by SRB assay
    Growth inhibition of human NCI-H1975 cells incubated for 5 days by SRB assay
    [PMID: 32145644]
    NCI-H1975 IC50
    44.6 μM
    Compound: 1
    Antiproliferative activity against human NCI-H1975 cells expressing EGFR L858R/T790M mutant assessed as inhibition of cell growth by MTT assay
    Antiproliferative activity against human NCI-H1975 cells expressing EGFR L858R/T790M mutant assessed as inhibition of cell growth by MTT assay
    [PMID: 31869655]
    NCI-H1975 IC50
    6.5 μM
    Compound: Gefitinib
    Antiproliferative activity against human NCI-H1975 cells measured after 72 hrs by MTT assay
    Antiproliferative activity against human NCI-H1975 cells measured after 72 hrs by MTT assay
    [PMID: 31757525]
    NCI-H1975 IC50
    6.917 μM
    Compound: Iressa
    Antiproliferative activity against human NCI-H1975 cells harboring EGFR L858R/T790M mutant after 72 hrs by MTT assay
    Antiproliferative activity against human NCI-H1975 cells harboring EGFR L858R/T790M mutant after 72 hrs by MTT assay
    [PMID: 24607591]
    NCI-H1975 IC50
    6.917 μM
    Compound: gefitinib
    Cytotoxicity against gefitinib-resistant human NCI-H1975 cells harboring EGFR L858R/T90M double mutant assessed as growth inhibition after 72 hrs by MTT assay
    Cytotoxicity against gefitinib-resistant human NCI-H1975 cells harboring EGFR L858R/T90M double mutant assessed as growth inhibition after 72 hrs by MTT assay
    [PMID: 23668441]
    NCI-H1975 IC50
    7184 nM
    Compound: Gefitinib
    Antiproliferative activity against human NCI-H1975 cells assessed as reduction in cell viability incubated for 72 hrs by cell-titer glo luminescent cell viability assay
    Antiproliferative activity against human NCI-H1975 cells assessed as reduction in cell viability incubated for 72 hrs by cell-titer glo luminescent cell viability assay
    [PMID: 29523467]
    NCI-H1975 IC50
    78.7 μM
    Compound: Gefitinib
    Antiproliferative activity against gefitinib-resistant human NCI-H1975 cells measured after 72 hrs by MTT assay
    Antiproliferative activity against gefitinib-resistant human NCI-H1975 cells measured after 72 hrs by MTT assay
    [PMID: 31757525]
    NCI-H1975 IC50
    8.26 μM
    Compound: 1
    Antiproliferative activity against human NCI-H1975 cells after 72 hrs by MTT assay
    Antiproliferative activity against human NCI-H1975 cells after 72 hrs by MTT assay
    [PMID: 20151670]
    NCI-H1975 IC50
    8.58 μM
    Compound: Gefitinib
    Cytotoxicity against human NCI-H1975 cells assessed as reduction in cell viability after 72 hrs by MTT assay
    Cytotoxicity against human NCI-H1975 cells assessed as reduction in cell viability after 72 hrs by MTT assay
    [PMID: 29496411]
    NCI-H1975 IC50
    8.589 μM
    Compound: Gefitinib
    Antiproliferative activity against human NCI-H1975 cells expressing EGFR L858R/T790M mutant after 72 hrs by MTT assay
    Antiproliferative activity against human NCI-H1975 cells expressing EGFR L858R/T790M mutant after 72 hrs by MTT assay
    [PMID: 23792318]
    NCI-H1975 IC50
    8.71 μM
    Compound: Gefitinib
    Antiproliferative activity against gefitinib-resistant human NCI-H1975 cells harboring EGFR T790M/L858R double mutant after 72 hrs by MTT assay
    Antiproliferative activity against gefitinib-resistant human NCI-H1975 cells harboring EGFR T790M/L858R double mutant after 72 hrs by MTT assay
    [PMID: 26451770]
    NCI-H1975 IC50
    8.71 μM
    Compound: Gefitinib
    Antiproliferative activity against human NCI-H1975 cells harboring EGFR L858R/T790M double mutant after 48 hrs by SRB assay
    Antiproliferative activity against human NCI-H1975 cells harboring EGFR L858R/T790M double mutant after 48 hrs by SRB assay
    [PMID: 28366268]
    NCI-H1975 IC50
    9.02 μM
    Compound: Gfb
    Antiproliferative activity against human NCI-H1975 cells harboring EGFR L858R/T790M mutant after 72 hrs by MTS assay
    Antiproliferative activity against human NCI-H1975 cells harboring EGFR L858R/T790M mutant after 72 hrs by MTS assay
    [PMID: 22339342]
    NCI-H1975 IC50
    9.1 μM
    Compound: 1
    Growth inhibition of human NCI-H1975 cells after 72 hrs by MTT assay
    Growth inhibition of human NCI-H1975 cells after 72 hrs by MTT assay
    [PMID: 30472599]
    NCI-H1975 IC50
    9.2 μM
    Compound: Gefitinib
    Antiproliferative activity against human NCI-H1975 cells assessed as inhibition of cell growth incubated for 72 hrs by MTT assay
    Antiproliferative activity against human NCI-H1975 cells assessed as inhibition of cell growth incubated for 72 hrs by MTT assay
    [PMID: 34192644]
    NCI-H1993 IC50
    0.1 μM
    Compound: Gef
    Antiproliferative activity against human NCI-H1993 cells after 3 days by SRB assay
    Antiproliferative activity against human NCI-H1993 cells after 3 days by SRB assay
    [PMID: 21916433]
    NCI-H1993 IC50
    20 μM
    Compound: Gef
    Antiproliferative activity against gefitinib resistant human NCI-H1993 cells after 3 days by SRB assay
    Antiproliferative activity against gefitinib resistant human NCI-H1993 cells after 3 days by SRB assay
    [PMID: 21916433]
    NCI-H226 GI50
    15.9 μM
    Compound: Gefitinib
    Growth inhibition of human NCI-H226 cells incubated for 48 hrs by sulforhodamine B assay
    Growth inhibition of human NCI-H226 cells incubated for 48 hrs by sulforhodamine B assay
    [PMID: 27241691]
    NCI-H23 IC50
    1.02 μM
    Compound: Gefitinib
    Cytotoxicity against human NCI-H23 cells assessed as reduction in cell viability after 46 hrs by MTT assay
    Cytotoxicity against human NCI-H23 cells assessed as reduction in cell viability after 46 hrs by MTT assay
    [PMID: 29138027]
    NCI-H23 GI50
    15.9 μM
    Compound: Gefitinib
    Growth inhibition of human NCI-H23 cells incubated for 48 hrs by sulforhodamine B assay
    Growth inhibition of human NCI-H23 cells incubated for 48 hrs by sulforhodamine B assay
    [PMID: 27241691]
    NCI-H292 IC50
    0.02 μM
    Compound: Gef
    Antiproliferative activity against human NCI-H292 cells after 3 days by SRB assay
    Antiproliferative activity against human NCI-H292 cells after 3 days by SRB assay
    [PMID: 21916433]
    NCI-H292 IC50
    0.12 μM
    Compound: Gefitinib
    Cytotoxicity against human NCI-H292 cells incubated for 72 hrs by MTT assay
    Cytotoxicity against human NCI-H292 cells incubated for 72 hrs by MTT assay
    [PMID: 23116168]
    NCI-H292 IC50
    0.19 μM
    Compound: Gefitinib
    Cytotoxicity against human NCI-H292 cells after 72 hrs by SRB assay
    Cytotoxicity against human NCI-H292 cells after 72 hrs by SRB assay
    [PMID: 25215856]
    NCI-H292 IC50
    0.41 μM
    Compound: Gef
    Antiproliferative activity against gefitinib resistant human NCI-H292 cells after 3 days by SRB assay
    Antiproliferative activity against gefitinib resistant human NCI-H292 cells after 3 days by SRB assay
    [PMID: 21916433]
    NCI-H322M GI50
    0.08 μM
    Compound: Gefitinib
    Growth inhibition of human NCI-H322M cells incubated for 48 hrs by SRB assay
    Growth inhibition of human NCI-H322M cells incubated for 48 hrs by SRB assay
    [PMID: 31023512]
    NCI-H322M GI50
    0.08 μM
    Compound: Gefitinib
    Growth inhibition of human NCI-H322M cells incubated for 48 hrs by sulforhodamine B assay
    Growth inhibition of human NCI-H322M cells incubated for 48 hrs by sulforhodamine B assay
    [PMID: 27241691]
    NCI-H3255 IC50
    0.863 μM
    Compound: Gefitinib
    Growth inhibition of human NCI-H3255 cells harbouring EGFR L858R mutant incubated for 72 hrs by CCK8 assay
    Growth inhibition of human NCI-H3255 cells harbouring EGFR L858R mutant incubated for 72 hrs by CCK8 assay
    [PMID: 35880853]
    NCI-H358 IC50
    14.66 μM
    Compound: Gefitinib
    Antiproliferative activity against human NCI-H358 cells assessed as viable cells after 48 hrs by CCK8 assay
    Antiproliferative activity against human NCI-H358 cells assessed as viable cells after 48 hrs by CCK8 assay
    [PMID: 26879314]
    NCI-H358 IC50
    5.68 μM
    Compound: Gefitinib
    Antiproliferative activity against human NCI-H358 cells assessed as reduction in cell viability after 48 hrs by cck8 assay
    Antiproliferative activity against human NCI-H358 cells assessed as reduction in cell viability after 48 hrs by cck8 assay
    [PMID: 27234887]
    NCI-H460 IC50
    21 μM
    Compound: Gefitinib
    Cytotoxicity against human H460 cells after 72 hrs by SRB assay
    Cytotoxicity against human H460 cells after 72 hrs by SRB assay
    [PMID: 25215856]
    NCI-H460 IC50
    3.02 μM
    Compound: Gefitinib
    Antiproliferative activity against human H460 cells by CCK8 assay
    Antiproliferative activity against human H460 cells by CCK8 assay
    [PMID: 34922028]
    NCI-H460 IC50
    5.59 μM
    Compound: Iressa
    Cytotoxicity against human H460 cells after 72 hrs by MTT assay
    Cytotoxicity against human H460 cells after 72 hrs by MTT assay
    [PMID: 22727449]
    NCI-H460 GI50
    6.31 μM
    Compound: Gefitinib
    Growth inhibition of human NCI-H460 cells incubated for 48 hrs by SRB assay
    Growth inhibition of human NCI-H460 cells incubated for 48 hrs by SRB assay
    [PMID: 31023512]
    NCI-H460 GI50
    6.31 μM
    Compound: Gefitinib
    Growth inhibition of human NCI-H460 cells incubated for 48 hrs by sulforhodamine B assay
    Growth inhibition of human NCI-H460 cells incubated for 48 hrs by sulforhodamine B assay
    [PMID: 27241691]
    NCI-H522 GI50
    6.31 μM
    Compound: Gefitinib
    Growth inhibition of human NCI-H522 cells incubated for 48 hrs by sulforhodamine B assay
    Growth inhibition of human NCI-H522 cells incubated for 48 hrs by sulforhodamine B assay
    [PMID: 27241691]
    NCI-H661 IC50
    31.06 μM
    Compound: Gefitinib
    Cytotoxicity against human NCI-H661 cells after 4 to 5 days by MTT assay
    Cytotoxicity against human NCI-H661 cells after 4 to 5 days by MTT assay
    [PMID: 20466555]
    NCI-N87 IC50
    1 μM
    Compound: Gefitinib
    Antiproliferative activity against human NCI-N87 cells overexpressing HER2 assessed as cell growth inhibition measured after 72 hrs by MTT assay
    Antiproliferative activity against human NCI-N87 cells overexpressing HER2 assessed as cell growth inhibition measured after 72 hrs by MTT assay
    [PMID: 32139324]
    NCI-N87 IC50
    1 μM
    Compound: Iressa
    Cytotoxicity against human NCI-N87 cells overexpressing HER2 assessed as growth inhibition after 72 hrs by MTT assay
    Cytotoxicity against human NCI-N87 cells overexpressing HER2 assessed as growth inhibition after 72 hrs by MTT assay
    [PMID: 27524310]
    NCI-N87 IC50
    1 μM
    Compound: Gefitinib, Iressa
    Cytotoxicity against human NCI-N87 cells expressing HER2 after 72 hrs by MTT assay
    Cytotoxicity against human NCI-N87 cells expressing HER2 after 72 hrs by MTT assay
    [PMID: 24411123]
    Non-small cell lung cancer cells GI50
    7.81 μM
    Compound: Gefitinib
    Growth inhibition of human Non-small cell lung cancer cell line incubated for 48 hrs by sulforhodamine B assay
    Growth inhibition of human Non-small cell lung cancer cell line incubated for 48 hrs by sulforhodamine B assay
    [PMID: 27241691]
    OVCAR-3 GI50
    5.01 μM
    Compound: Gefitinib
    Growth inhibition of human OVCAR-3 cells incubated for 48 hrs by sulforhodamine B assay
    Growth inhibition of human OVCAR-3 cells incubated for 48 hrs by sulforhodamine B assay
    [PMID: 27241691]
    OVCAR-4 GI50
    7.94 μM
    Compound: Gefitinib
    Growth inhibition of human OVCAR-4 cells incubated for 48 hrs by sulforhodamine B assay
    Growth inhibition of human OVCAR-4 cells incubated for 48 hrs by sulforhodamine B assay
    [PMID: 27241691]
    OVCAR-8 GI50
    10 μM
    Compound: Gefitinib
    Growth inhibition of human OVCAR-8 cells incubated for 48 hrs by sulforhodamine B assay
    Growth inhibition of human OVCAR-8 cells incubated for 48 hrs by sulforhodamine B assay
    [PMID: 27241691]
    PANC-1 IC50
    40.42 μM
    Compound: Gefitinib
    Cytotoxicity against human PANC1 cells after 4 to 5 days by MTT assay
    Cytotoxicity against human PANC1 cells after 4 to 5 days by MTT assay
    [PMID: 20466555]
    PANC-1 IC50
    69.32 μM
    Compound: Gefitinib
    Antiproliferative activity against human PANC1 cells after 48 hrs by MTT assay
    Antiproliferative activity against human PANC1 cells after 48 hrs by MTT assay
    [PMID: 20304537]
    Panel breast cells GI50
    7.81 μM
    Compound: Gefitinib
    Growth inhibition of human Panel breast (Carcinoma cell lines) incubated for 48 hrs by sulforhodamine B assay
    Growth inhibition of human Panel breast (Carcinoma cell lines) incubated for 48 hrs by sulforhodamine B assay
    [PMID: 27241691]
    Panel CNS (Carcinoma cell lines) GI50
    8.14 μM
    Compound: Gefitinib
    Growth inhibition of human Panel CNS (Carcinoma cell lines) incubated for 48 hrs by sulforhodamine B assay
    Growth inhibition of human Panel CNS (Carcinoma cell lines) incubated for 48 hrs by sulforhodamine B assay
    [PMID: 27241691]
    Panel colon cells GI50
    7.02 μM
    Compound: Gefitinib
    Growth inhibition of human Panel colon (Carcinoma cell lines) incubated for 48 hrs by sulforhodamine B assay
    Growth inhibition of human Panel colon (Carcinoma cell lines) incubated for 48 hrs by sulforhodamine B assay
    [PMID: 27241691]
    Panel leukemia cells GI50
    3.54 μM
    Compound: Gefitinib
    Growth inhibition of human Panel leukemia (Carcinoma cell lines) incubated for 48 hrs by sulforhodamine B assay
    Growth inhibition of human Panel leukemia (Carcinoma cell lines) incubated for 48 hrs by sulforhodamine B assay
    [PMID: 27241691]
    Panel melanoma cells GI50
    5.28 μM
    Compound: Gefitinib
    Growth inhibition of human Panel melanoma (Carcinoma cell lines) incubated for 48 hrs by sulforhodamine B assay
    Growth inhibition of human Panel melanoma (Carcinoma cell lines) incubated for 48 hrs by sulforhodamine B assay
    [PMID: 27241691]
    Panel NCI-60 cells GI50
    3.24 μM
    Compound: Gefitinib
    Anticancer activity against human Panel NCI-60 (60 carcinoma cell lines) cells assessed as cell growth inhibition incubated for 48 hrs by sulforhodamine B assay
    Anticancer activity against human Panel NCI-60 (60 carcinoma cell lines) cells assessed as cell growth inhibition incubated for 48 hrs by sulforhodamine B assay
    [PMID: 31881454]
    Panel NCI-60 cells GI50
    3.24 μM
    Compound: Gefitinib
    Growth inhibition of human Panel NCI-60 (60 carcinoma cell lines) incubated for 48 hrs by sulforhodamine B assay
    Growth inhibition of human Panel NCI-60 (60 carcinoma cell lines) incubated for 48 hrs by sulforhodamine B assay
    [PMID: 27241691]
    Panel ovarian cells GI50
    6.63 μM
    Compound: Gefitinib
    Growth inhibition of human Panel ovarian (Carcinoma cell lines) incubated for 48 hrs by sulforhodamine B assay
    Growth inhibition of human Panel ovarian (Carcinoma cell lines) incubated for 48 hrs by sulforhodamine B assay
    [PMID: 27241691]
    Panel prostate cells GI50
    1.65 μM
    Compound: Gefitinib
    Growth inhibition of human Panel prostate (Carcinoma cell lines) incubated for 48 hrs by sulforhodamine B assay
    Growth inhibition of human Panel prostate (Carcinoma cell lines) incubated for 48 hrs by sulforhodamine B assay
    [PMID: 27241691]
    Panel renal cells GI50
    2.67 μM
    Compound: Gefitinib
    Growth inhibition of human Panel renal (Carcinoma cell lines) incubated for 48 hrs by sulforhodamine B assay
    Growth inhibition of human Panel renal (Carcinoma cell lines) incubated for 48 hrs by sulforhodamine B assay
    [PMID: 27241691]
    PC-3 GI50
    0.8 μM
    Compound: Gefitinib
    Growth inhibition of human PC-3 cells incubated for 48 hrs by sulforhodamine B assay
    Growth inhibition of human PC-3 cells incubated for 48 hrs by sulforhodamine B assay
    [PMID: 27241691]
    PC-3 IC50
    15.1 μM
    Compound: ZD-1839, IRESSA
    Cytotoxicity against human PC3 cells after 96 hrs by MTT assay
    Cytotoxicity against human PC3 cells after 96 hrs by MTT assay
    [PMID: 18313807]
    PC-3 IC50
    2.8 μM
    Compound: Gefitinib
    Cytotoxicity against human PC3 cells after 48 hrs by MTT assay
    Cytotoxicity against human PC3 cells after 48 hrs by MTT assay
    10.1007/s00044-013-0734-x
    PC-3 IC50
    22.86 μM
    Compound: Gefitinib
    Cytotoxicity against human PC3 cells after 4 to 5 days by MTT assay
    Cytotoxicity against human PC3 cells after 4 to 5 days by MTT assay
    [PMID: 20466555]
    PC-3 IC50
    5.3 μM
    Compound: Gefitinib
    Growth inhibition of human PC3 cells after 5 days by SRB assay
    Growth inhibition of human PC3 cells after 5 days by SRB assay
    [PMID: 32484346]
    PC-3 IC50
    7.4 μM
    Compound: ZD1839, Iressa
    Antiproliferative activity against human PC3 cells at 10 uM after 72 hrs by MTS assay
    Antiproliferative activity against human PC3 cells at 10 uM after 72 hrs by MTS assay
    [PMID: 21353546]
    PC-3 IC50
    7.4 μM
    Compound: Iressa, Gefitinib, ZD1839
    Antiproliferative activity against human PC3 cells at 10 uM by MTS assay
    Antiproliferative activity against human PC3 cells at 10 uM by MTS assay
    10.1039/C0MD00183J
    PC-3 IC50
    7.99 μM
    Compound: Gefitinib
    Cytotoxicity against human PC3 cells assessed as reduction in cell viability after 72 hrs by MTT assay
    Cytotoxicity against human PC3 cells assessed as reduction in cell viability after 72 hrs by MTT assay
    [PMID: 30939352]
    PC-3 IC50
    8.92 μM
    Compound: Gefitinib
    Antiproliferative activity against human PC-3 cells assessed as inhibition of cell growth incubated for 72 hrs by MTT assay
    Antiproliferative activity against human PC-3 cells assessed as inhibition of cell growth incubated for 72 hrs by MTT assay
    [PMID: 34192644]
    PC-9 IC50
    0.0087 μM
    Compound: 1
    Inhibition of EGFR exon 19 deletion activating mutant phosphorylation in human PC9 cells after 2 hrs by fluorescence assay
    Inhibition of EGFR exon 19 deletion activating mutant phosphorylation in human PC9 cells after 2 hrs by fluorescence assay
    [PMID: 23930994]
    PC-9 IC50
    0.014 μM
    Compound: Gefitinib
    Cytotoxicity against human PC9 cells incubated for 72 hrs by MTT assay
    Cytotoxicity against human PC9 cells incubated for 72 hrs by MTT assay
    [PMID: 23116168]
    PC-9 IC50
    0.017 μM
    Compound: Gefitinib
    Growth inhibition of human PC-9 cells incubated for 5 days by SRB assay
    Growth inhibition of human PC-9 cells incubated for 5 days by SRB assay
    [PMID: 32145644]
    PC-9 IC50
    0.063 μM
    Compound: Gefitinib
    Antiproliferative activity against gefitinib-sensitive human PC9 cells assessed as cell viability after 72 hrs by cell titer-glo luminescence assay
    Antiproliferative activity against gefitinib-sensitive human PC9 cells assessed as cell viability after 72 hrs by cell titer-glo luminescence assay
    [PMID: 27288180]
    PC-9 IC50
    0.1 μM
    Compound: Gefitinib
    Antiproliferative activity against human PC9 cells harbouring EGFR delE746-A750 mutant assessed as reduction in cell viability incubated for 72 hrs by MTT assay
    Antiproliferative activity against human PC9 cells harbouring EGFR delE746-A750 mutant assessed as reduction in cell viability incubated for 72 hrs by MTT assay
    [PMID: 31446247]
    PC-9 IC50
    0.1 μM
    Compound: Gefitinib
    Antiproliferative activity against human PC-9 cells assessed as cell growth inhibition incubated for 72 hrs by SRB assay
    Antiproliferative activity against human PC-9 cells assessed as cell growth inhibition incubated for 72 hrs by SRB assay
    [PMID: 32739648]
    PC-9 IC50
    31.32 μM
    Compound: Gefitinib
    Antiproliferative activity against human PC9 cells harboring EGFRdel19 mutant assessed as reduction in cell viability measured after 72 hrs by MTT assay
    Antiproliferative activity against human PC9 cells harboring EGFRdel19 mutant assessed as reduction in cell viability measured after 72 hrs by MTT assay
    [PMID: 32402937]
    PC-9 IC50
    6.1 nM
    Compound: Gefitinib
    Antiproliferative activity against human PC9 cells harboring EGFR exon-19 del mutant after 72 hrs by EZ-Cytox assay
    Antiproliferative activity against human PC9 cells harboring EGFR exon-19 del mutant after 72 hrs by EZ-Cytox assay
    [PMID: 30554954]
    PLC-PRF-5 IC50
    4 μM
    Compound: Gefitinib
    Cytotoxicity against human PLC/PRF/5 cells assessed as reduction in cell viability by MTT assay
    Cytotoxicity against human PLC/PRF/5 cells assessed as reduction in cell viability by MTT assay
    [PMID: 31013087]
    RXF 393 GI50
    5.01 μM
    Compound: Gefitinib
    Growth inhibition of human RXF 393 cells incubated for 48 hrs by sulforhodamine B assay
    Growth inhibition of human RXF 393 cells incubated for 48 hrs by sulforhodamine B assay
    [PMID: 27241691]
    Sf21 IC50
    12 nM
    Compound: Gefitinib
    Inhibition of human N-terminal GST-tagged EGFR kinase domain (696 to end residues) expressed in baculovirus infected sf21 cells using poly(Glu, Tyr) 4:1 as substrate
    Inhibition of human N-terminal GST-tagged EGFR kinase domain (696 to end residues) expressed in baculovirus infected sf21 cells using poly(Glu, Tyr) 4:1 as substrate
    [PMID: 30554954]
    Sf21 IC50
    151 nM
    Compound: Gefitinib
    Inhibition of human C-terminal His6-tagged ERBB2 (676 to end residues) expressed in baculovirus infected sf21 cells using poly(Glu, Tyr) 4:1 as substrate
    Inhibition of human C-terminal His6-tagged ERBB2 (676 to end residues) expressed in baculovirus infected sf21 cells using poly(Glu, Tyr) 4:1 as substrate
    [PMID: 30554954]
    Sf21 IC50
    460 nM
    Compound: Gefitinib
    Inhibition of human N-terminal GST-tagged EGFR T790M/L858R double mutant (696 to end residues) expressed in baculovirus infected sf21 cells using poly(Glu, Tyr) 4:1 as substrate
    Inhibition of human N-terminal GST-tagged EGFR T790M/L858R double mutant (696 to end residues) expressed in baculovirus infected sf21 cells using poly(Glu, Tyr) 4:1 as substrate
    [PMID: 30554954]
    SF-295 GI50
    2 μM
    Compound: Gefitinib
    Growth inhibition of human SF-295 cells incubated for 48 hrs by sulforhodamine B assay
    Growth inhibition of human SF-295 cells incubated for 48 hrs by sulforhodamine B assay
    [PMID: 27241691]
    Sf9 IC50
    < 0.001 μM
    Compound: gefitinib
    Inhibition of wild type EGFR (unknown origin) expressed in Sf9 cells pre-incubated for 30 mins before substrate and ATP addition by homogeneous time-resolved FRET assay
    Inhibition of wild type EGFR (unknown origin) expressed in Sf9 cells pre-incubated for 30 mins before substrate and ATP addition by homogeneous time-resolved FRET assay
    [PMID: 26275028]
    Sf9 IC50
    < 0.001 μM
    Compound: gefitinib
    Inhibition of EGFR L858R mutant (unknown origin) expressed in Sf9 cells pre-incubated for 60 mins before substrate and ATP addition by homogeneous time-resolved FRET assay
    Inhibition of EGFR L858R mutant (unknown origin) expressed in Sf9 cells pre-incubated for 60 mins before substrate and ATP addition by homogeneous time-resolved FRET assay
    [PMID: 26275028]
    Sf9 IC50
    > 1 μM
    Compound: 1
    Irreversible inhibition of human recombinant GST-tagged JAK3 expressed in baculovirus infected Sf9 insect cells assessed as reduction in polyglutamic acid-tyrosine phosphorylation after 30 mins by ELISA
    Irreversible inhibition of human recombinant GST-tagged JAK3 expressed in baculovirus infected Sf9 insect cells assessed as reduction in polyglutamic acid-tyrosine phosphorylation after 30 mins by ELISA
    [PMID: 27491023]
    Sf9 IC50
    0.003 μM
    Compound: 1
    Irreversible inhibition of GST-tagged ERBB1 (unknown origin) (Met-668 to Ala-1211 residues) expressed in baculovirus infected Sf9 insect cells assessed as reduction in Glu/Tyr copolymer phosphorylation after 6 mins by ELISA
    Irreversible inhibition of GST-tagged ERBB1 (unknown origin) (Met-668 to Ala-1211 residues) expressed in baculovirus infected Sf9 insect cells assessed as reduction in Glu/Tyr copolymer phosphorylation after 6 mins by ELISA
    [PMID: 27491023]
    Sf9 IC50
    0.02 μM
    Compound: Gefitinib, Iressa
    Inhibition of recombinant His6-tagged EGFR expressed in baculovirus infected insect Sf9 cells using ATP as substrate and cofactor MgCl2 after 2 hrs by DELFIA/Time-resolved fluorometric analysis
    Inhibition of recombinant His6-tagged EGFR expressed in baculovirus infected insect Sf9 cells using ATP as substrate and cofactor MgCl2 after 2 hrs by DELFIA/Time-resolved fluorometric analysis
    [PMID: 22119130]
    Sf9 IC50
    0.033 μM
    Compound: Iressa
    Inhibition of EGFR expressed in Sf9 cells assessed as inhibition of receptor autophosphorylation by DELFIA time resolved fluorimetry
    Inhibition of EGFR expressed in Sf9 cells assessed as inhibition of receptor autophosphorylation by DELFIA time resolved fluorimetry
    [PMID: 20056425]
    Sf9 IC50
    0.1 μM
    Compound: gefitinib
    Inhibition of EGFR L858R/T790M mutant (unknown origin) expressed in Sf9 cells pre-incubated for 60 mins before substrate and ATP addition by homogeneous time-resolved FRET assay
    Inhibition of EGFR L858R/T790M mutant (unknown origin) expressed in Sf9 cells pre-incubated for 60 mins before substrate and ATP addition by homogeneous time-resolved FRET assay
    [PMID: 26275028]
    Sf9 IC50
    0.343 μM
    Compound: 1
    Irreversible inhibition of GST-tagged ERBB2 (unknown origin) (Ile-675 to Val-1256 residues) expressed in baculovirus infected Sf9 insect cells assessed as reduction in Glu/Tyr copolymer phosphorylation after 6 mins by ELISA
    Irreversible inhibition of GST-tagged ERBB2 (unknown origin) (Ile-675 to Val-1256 residues) expressed in baculovirus infected Sf9 insect cells assessed as reduction in Glu/Tyr copolymer phosphorylation after 6 mins by ELISA
    [PMID: 27491023]
    Sf9 IC50
    0.39 μM
    Compound: Gefitinib
    Inhibition of C-terminal His-tagged/ N-terminal GST-tagged recombinant human EGFR (668 to 1210 residues) expressed in a Baculovirus infected Sf9 cell expression system using poly-EY as substrate incubated for 30 mins by ADP-Glo kinase assay
    Inhibition of C-terminal His-tagged/ N-terminal GST-tagged recombinant human EGFR (668 to 1210 residues) expressed in a Baculovirus infected Sf9 cell expression system using poly-EY as substrate incubated for 30 mins by ADP-Glo kinase assay
    [PMID: 31718182]
    Sf9 IC50
    0.476 μM
    Compound: 1
    Irreversible inhibition of GST-tagged ERBB4 (unknown origin) (Gly-259 to Gly-690 residues) expressed in baculovirus infected Sf9 insect cells assessed as reduction in Glu/Tyr copolymer phosphorylation after 6 mins by ELISA
    Irreversible inhibition of GST-tagged ERBB4 (unknown origin) (Gly-259 to Gly-690 residues) expressed in baculovirus infected Sf9 insect cells assessed as reduction in Glu/Tyr copolymer phosphorylation after 6 mins by ELISA
    [PMID: 27491023]
    Sf9 IC50
    15 nM
    Compound: Gefitinib
    Inhibition of human GST-tagged EGFR L834R mutant expressed in Sf9 cells by luminescence assay
    Inhibition of human GST-tagged EGFR L834R mutant expressed in Sf9 cells by luminescence assay
    [PMID: 23611691]
    Sf9 IC50
    15.5 nM
    Compound: Gefitinib
    Inhibition of wild-type human N-terminal GST-tagged EGFR (695 to end residues) expressed in baculovirus infected Sf9 insect cells using Poly (4:1 Glu, Tyr) as substrate after 60 mins in presence of ATP by ADP-Glo assay
    Inhibition of wild-type human N-terminal GST-tagged EGFR (695 to end residues) expressed in baculovirus infected Sf9 insect cells using Poly (4:1 Glu, Tyr) as substrate after 60 mins in presence of ATP by ADP-Glo assay
    [PMID: 30471829]
    Sf9 IC50
    3.17 μM
    Compound: Gefitinib
    Inhibition of C-terminal His-tagged/ N-terminal GST-tagged recombinant human EGFR L858R/T790M/C797S mutant (668 to 1210 residues) expressed in a Baculovirus infected Sf9 cell expression system using poly-EY as substrate incubated for 30 mins by ADP-Glo ki
    Inhibition of C-terminal His-tagged/ N-terminal GST-tagged recombinant human EGFR L858R/T790M/C797S mutant (668 to 1210 residues) expressed in a Baculovirus infected Sf9 cell expression system using poly-EY as substrate incubated for 30 mins by ADP-Glo ki
    [PMID: 31718182]
    Sf9 IC50
    33 nM
    Compound: Gefitinib
    Inhibition of human wild type GST-tagged EGFR kinase domain expressed in Sf9 cells by luminescence assay
    Inhibition of human wild type GST-tagged EGFR kinase domain expressed in Sf9 cells by luminescence assay
    [PMID: 23611691]
    Sf9 IC50
    4.99 μM
    Compound: Gefitinib
    Inhibition of C-terminal His-tagged/ N-terminal GST-tagged recombinant human EGFR L858R/T790M double mutant (668 to 1210 residues) expressed in a Baculovirus infected Sf9 cell expression system using poly-EY as substrate incubated for 30 mins by ADP-Glo k
    Inhibition of C-terminal His-tagged/ N-terminal GST-tagged recombinant human EGFR L858R/T790M double mutant (668 to 1210 residues) expressed in a Baculovirus infected Sf9 cell expression system using poly-EY as substrate incubated for 30 mins by ADP-Glo k
    [PMID: 31718182]
    Sf9 IC50
    823.3 nM
    Compound: Gefitinib
    Inhibition of human N-terminal GST-tagged EGFR T790M/L858R double mutant (695 to end residues) expressed in baculovirus infected Sf9 insect cells using Poly (4:1 Glu, Tyr) as substrate after 60 mins in presence of ATP by ADP-Glo assay
    Inhibition of human N-terminal GST-tagged EGFR T790M/L858R double mutant (695 to end residues) expressed in baculovirus infected Sf9 insect cells using Poly (4:1 Glu, Tyr) as substrate after 60 mins in presence of ATP by ADP-Glo assay
    [PMID: 30471829]
    SGC-7901 IC50
    10.26 μM
    Compound: Iressa
    Cytotoxicity against human SGC7901 cells after 72 hrs by MTT assay
    Cytotoxicity against human SGC7901 cells after 72 hrs by MTT assay
    [PMID: 22727449]
    SGC-7901 IC50
    29.01 μM
    Compound: Gefitinib
    Cytotoxicity against human SGC-7901 cells assessed as reduction in cell viability incubated for 48 hrs by MTT assay
    Cytotoxicity against human SGC-7901 cells assessed as reduction in cell viability incubated for 48 hrs by MTT assay
    [PMID: 32866757]
    SH-SY5Y IC50
    18.21 μM
    Compound: Gefitinib
    Antiproliferative activity against human SH-SY5Y cells after 72 hrs by MTT assay
    Antiproliferative activity against human SH-SY5Y cells after 72 hrs by MTT assay
    [PMID: 28711702]
    SH-SY5Y IC50
    18.21 μM
    Compound: 2
    Cytotoxicity against human SH-SY5Y cells after 72 hrs by MTT assay
    Cytotoxicity against human SH-SY5Y cells after 72 hrs by MTT assay
    [PMID: 23871909]
    SH-SY5Y IC50
    18.216 μM
    Compound: Gefitinib
    Antiproliferative activity against human SH-SY5Y cells incubated for 72 hrs by MTT assay
    Antiproliferative activity against human SH-SY5Y cells incubated for 72 hrs by MTT assay
    [PMID: 31488358]
    SK-BR-3 IC50
    2518 nM
    Compound: Gefitinib
    Antiproliferative activity against HER2-dependant human SKBR3 cells after 72 hrs by EZ-Cytox assay
    Antiproliferative activity against HER2-dependant human SKBR3 cells after 72 hrs by EZ-Cytox assay
    [PMID: 30554954]
    SK-BR-3 IC50
    4.92 μM
    Compound: Gefitinib
    Antiproliferative activity against human SK-BR-3 cells after 72 hrs by MTT assay
    Antiproliferative activity against human SK-BR-3 cells after 72 hrs by MTT assay
    [PMID: 27132165]
    SK-BR-3 IC50
    5.36 μM
    Compound: Gefitinib
    Cytotoxicity against human SKBR3 cells expressing wild type EGFR assessed as growth inhibition incubated for 1 hr prior to EGF challenge measured after 72 hrs by luciferase reporter gene assay
    Cytotoxicity against human SKBR3 cells expressing wild type EGFR assessed as growth inhibition incubated for 1 hr prior to EGF challenge measured after 72 hrs by luciferase reporter gene assay
    10.1039/C3MD00118K
    SK-HEP1 IC50
    10.1 μM
    Compound: Gefitinib
    Cytotoxicity against human SKHEP1 cells after 72 hrs by SRB assay
    Cytotoxicity against human SKHEP1 cells after 72 hrs by SRB assay
    [PMID: 29407971]
    SK-MEL-28 IC50
    > 20 μM
    Compound: 3
    Antiproliferative activity against human SK-MEL-28 cells harboring BRAF V600E mutant after 68 hrs by MTS assay
    Antiproliferative activity against human SK-MEL-28 cells harboring BRAF V600E mutant after 68 hrs by MTS assay
    [PMID: 24588073]
    SK-MEL-28 GI50
    0.32 μM
    Compound: Gefitinib
    Growth inhibition of human SK-MEL-28 cells incubated for 48 hrs by sulforhodamine B assay
    Growth inhibition of human SK-MEL-28 cells incubated for 48 hrs by sulforhodamine B assay
    [PMID: 27241691]
    SK-OV-3 IC50
    24.5 μM
    Compound: Gefitinib
    Antiproliferative activity against human SK-OV-3 cells assessed as cell growth inhibition incubated for 48 hrs by MTT assay
    Antiproliferative activity against human SK-OV-3 cells assessed as cell growth inhibition incubated for 48 hrs by MTT assay
    [PMID: 32739648]
    SMMC-7721 IC50
    33.12 μM
    Compound: Gefitinib
    Antiproliferative activity against human SMMC7721 cells after 48 hrs by MTT assay
    Antiproliferative activity against human SMMC7721 cells after 48 hrs by MTT assay
    [PMID: 20304537]
    SMMC-7721 IC50
    4.16 μM
    Compound: Gefitinib
    Antiproliferative activity against human SMMC7721 cells over expressing EGFR after 48 hrs by MTT assay
    Antiproliferative activity against human SMMC7721 cells over expressing EGFR after 48 hrs by MTT assay
    [PMID: 27118497]
    SMMC-7721 IC50
    9.2 μM
    Compound: Gefitinib
    Cytotoxicity against human SMMC7721 cells assessed as reduction in cell viability by MTT assay
    Cytotoxicity against human SMMC7721 cells assessed as reduction in cell viability by MTT assay
    [PMID: 31013087]
    SNB-75 GI50
    6.31 μM
    Compound: Gefitinib
    Growth inhibition of human SNB-75 cells incubated for 48 hrs by sulforhodamine B assay
    Growth inhibition of human SNB-75 cells incubated for 48 hrs by sulforhodamine B assay
    [PMID: 27241691]
    SNU-638 IC50
    7.56 μM
    Compound: Gefitinib
    Cytotoxicity against human SNU638 cells after 72 hrs by SRB assay
    Cytotoxicity against human SNU638 cells after 72 hrs by SRB assay
    [PMID: 29407971]
    SR GI50
    3.16 μM
    Compound: Gefitinib
    Growth inhibition of human SR cells incubated for 48 hrs by sulforhodamine B assay
    Growth inhibition of human SR cells incubated for 48 hrs by sulforhodamine B assay
    [PMID: 27241691]
    SW480 IC50
    12.5 μM
    Compound: ZD1839
    Antiproliferative activity against human SW480 cells incubated for 72 hrs by MTT assay
    Antiproliferative activity against human SW480 cells incubated for 72 hrs by MTT assay
    [PMID: 31202990]
    SW480 IC50
    12.5 μM
    Compound: Gefitinib
    Antiproliferative activity against human SW480 cells harboring wild type EGFR after 72 hrs by MTT assay
    Antiproliferative activity against human SW480 cells harboring wild type EGFR after 72 hrs by MTT assay
    [PMID: 29421573]
    SW480 IC50
    12.5 μM
    Compound: Gefitinib
    Antiproliferative activity against human SW480 cells harboring wild type EGFR after 72 hrs by MTT assay
    Antiproliferative activity against human SW480 cells harboring wild type EGFR after 72 hrs by MTT assay
    [PMID: 28711703]
    SW-620 IC50
    > 10 μM
    Compound: 1
    Cytotoxicity against human SW620 cells after 72 hrs by MTT assay
    Cytotoxicity against human SW620 cells after 72 hrs by MTT assay
    [PMID: 20151670]
    SW-620 IC50
    28.2 μM
    Compound: Gefitinib
    Cytotoxicity against human SW620 cells after 48 hrs by CellTiter-Glo assay
    Cytotoxicity against human SW620 cells after 48 hrs by CellTiter-Glo assay
    [PMID: 24900594]
    T-24 IC50
    14.6 μM
    Compound: Gef
    Antiproliferative activity against human T-24 cells assessed as reduction in cell viability measured upto 72 hrs by MTT assay
    Antiproliferative activity against human T-24 cells assessed as reduction in cell viability measured upto 72 hrs by MTT assay
    [PMID: 32827851]
    TK-10 GI50
    0.1 μM
    Compound: Gefitinib
    Growth inhibition of human TK-10 cells incubated for 48 hrs by sulforhodamine B assay
    Growth inhibition of human TK-10 cells incubated for 48 hrs by sulforhodamine B assay
    [PMID: 27241691]
    U-251 GI50
    10 μM
    Compound: Gefitinib
    Growth inhibition of human U-251 cells incubated for 48 hrs by sulforhodamine B assay
    Growth inhibition of human U-251 cells incubated for 48 hrs by sulforhodamine B assay
    [PMID: 27241691]
    U-87MG ATCC IC50
    22.4 μM
    Compound: 1
    Antiproliferative activity against human U-87MG cells harboring wild type EGFR assessed as inhibition of cell growth by MTT assay
    Antiproliferative activity against human U-87MG cells harboring wild type EGFR assessed as inhibition of cell growth by MTT assay
    [PMID: 31869655]
    U-87MG ATCC IC50
    8.2 μM
    Compound: Gefitinib
    Antiproliferative activity against human U87 cells after 48 hrs by MTT assay
    Antiproliferative activity against human U87 cells after 48 hrs by MTT assay
    [PMID: 28462838]
    UACC-257 GI50
    6.31 μM
    Compound: Gefitinib
    Growth inhibition of human UACC-257 cells incubated for 48 hrs by sulforhodamine B assay
    Growth inhibition of human UACC-257 cells incubated for 48 hrs by sulforhodamine B assay
    [PMID: 27241691]
    UACC-62 GI50
    5.01 μM
    Compound: Gefitinib
    Growth inhibition of human UACC-62 cells incubated for 48 hrs by sulforhodamine B assay
    Growth inhibition of human UACC-62 cells incubated for 48 hrs by sulforhodamine B assay
    [PMID: 27241691]
    UO-31 GI50
    1.26 μM
    Compound: Gefitinib
    Growth inhibition of human UO-31 cells incubated for 48 hrs by sulforhodamine B assay
    Growth inhibition of human UO-31 cells incubated for 48 hrs by sulforhodamine B assay
    [PMID: 27241691]
    Vero IC50
    > 10 μM
    Compound: 1
    Cytotoxicity against African green monkey Vero cells assessed as reduction in cell viability after 72 hrs by MTT assay
    Cytotoxicity against African green monkey Vero cells assessed as reduction in cell viability after 72 hrs by MTT assay
    [PMID: 30655941]
    Vero IC50
    > 100 μM
    Compound: Gefitinib
    Cytotoxicity against African green monkey Vero cells after 72 hrs by MTT assay
    Cytotoxicity against African green monkey Vero cells after 72 hrs by MTT assay
    [PMID: 28927795]
    WM 266-4 IC50
    17.42 μM
    Compound: Gefitinib
    Antiproliferative activity against human WM266.4 cells assessed as inhibition of cell viability after 48 hrs by MTS assay
    Antiproliferative activity against human WM266.4 cells assessed as inhibition of cell viability after 48 hrs by MTS assay
    [PMID: 31494469]
    体外研究
    (In Vitro)

    吉非替尼 (0.01-0.1? μM, 72 小时) 可导致受体的磷酸酪氨酸负荷增加、向 ERK 的信号传导增加以及刺激增殖和锚定非依赖性生长[2]
    吉非替尼 (1-2 μM, 72 小时) 显著降低 EGFRvIII 磷酸酪氨酸负荷、EGFRvIII 介导的增殖和锚定非依赖性生长[2]
    吉非替尼 (0.62 μM, 24-72 小时) 通过 STAT6 依赖性信号通路抑制 IL-13 诱导的 RAW 264.7 细胞 M2 样极化[3]
    吉非替尼 (0.62 μM, 72 小时) 抑制 M2 样巨噬细胞促进的侵袭和迁移[3]
    吉非替尼 (0-10 μM, 72 小时) 可诱导 NSCLC 细胞系 (H3255 和 HCC827 细胞) 细胞凋亡 (诱导 BIM 蛋白)[4]
    吉非替尼 (100 nM, 24 小时) 可抑制巨胞饮作用并增加 HCC827 和 A549 细胞对细胞外囊泡 (EV) 的细胞摄取[6]
    吉非替尼(1.5-60 μM,48 小时)增强了 H358R 和 A549R 细胞(顺铂耐药的 wtEGFR NSCLC 细胞系)的增殖抑制[7]

    MCE has not independently confirmed the accuracy of these methods. They are for reference only.

    Western Blot Analysis[2]

    Cell Line: NR6wtEGFR, NR6W and NR6M
    Concentration: 1, 10, 100 μM
    Incubation Time: 5 h
    Result: Inhibited EGFR tyrosine phosphorylations.

    Cell Migration Assay [3]

    Cell Line: LLCs cell
    Concentration: 0.62 μM
    Incubation Time: 72 h
    Result: Abrogated M2-like macrophage promoted invasion and migration of LLCs.
    体内研究
    (In Vivo)

    Gefitinib(口服,75 mg/kg/d,21天)抑制 LLC小鼠转移模型中巨噬细胞的 M2 样极化[3]
    Gefitinib(口服,第一周 75 mg/kg,每周连续 5 天,每天服用)可消除小叶增生和癌中的 HER2 和 HER3 磷酸化以及通过 MAPK 和 Akt 的信号传导,增加脾细胞和淋巴结中的 MAPK 活性和细胞因子产生[5]。Gefitinib(口服管饲,150 mg/kg,每日)增强顺铂在 H358R 异种移植中的抗肿瘤作用[7]

    MCE has not independently confirmed the accuracy of these methods. They are for reference only.

    Animal Model: LLC mice metastasis model[3]
    Dosage: 75 mg/kg/d, for 21 days.
    Administration: Oral administration
    Result: Reduced the number of lung metastasis nodules, down-regulated the expression of M2 marker genes and the percentages CD206+ and CD68+ macrophages in tumor tissues.
    Animal Model: BALB-NeuT transgenic mouse model[5]
    Dosage: 75 mg/kg for the initial week, and increased by 15 mg/kg every other week, daily for 5 consecutive days per week, followed by 2 days without treatment and repeated for 8–9 weeks.
    Administration: Oral administration
    Result: Reduced tumor multiplicity from 9.6 to 0.58 (83%), and reduced the number and size of lobules and lobular nodules in treated mice.
    Clinical Trial
    分子量

    446.90

    Formula

    C22H24ClFN4O3

    CAS 号
    性状

    固体

    颜色

    White to off-white

    中文名称

    吉非替尼;吉菲替尼

    运输条件

    Room temperature in continental US; may vary elsewhere.

    储存方式
    Powder -20°C 3 years
    4°C 2 years
    In solvent -80°C 2 years
    -20°C 1 year
    溶解性数据
    细胞实验: 

    DMSO 中的溶解度 : 50 mg/mL (111.88 mM; 超声助溶; 吸湿的 DMSO 对产品的溶解度有显著影响,请使用新开封的 DMSO)

    配制储备液
    浓度 溶剂体积 质量 1 mg 5 mg 10 mg
    1 mM 2.2376 mL 11.1882 mL 22.3764 mL
    5 mM 0.4475 mL 2.2376 mL 4.4753 mL
    查看完整储备液配制表

    * 请根据产品在不同溶剂中的溶解度选择合适的溶剂配制储备液;一旦配成溶液,请分装保存,避免反复冻融造成的产品失效
    储备液的保存方式和期限:-80°C, 2 years; -20°C, 1 year。-80°C储存时,请在2年内使用, -20°C储存时,请在1年内使用。

    • 摩尔计算器

    • 稀释计算器

    Mass (g) = Concentration (mol/L) × Volume (L) × Molecular Weight (g/mol)

    质量
    =
    浓度
    ×
    体积
    ×
    分子量 *

    Concentration (start) × Volume (start) = Concentration (final) × Volume (final)

    This equation is commonly abbreviated as: C1V1 = C2V2

    浓度 (start)

    C1

    ×
    体积 (start)

    V1

    =
    浓度 (final)

    C2

    ×
    体积 (final)

    V2

    动物实验:

    请根据您的 实验动物和给药方式 选择适当的溶解方案。

    以下溶解方案都请先按照 In Vitro 方式配制澄清的储备液,再依次添加助溶剂:
    ——为保证实验结果的可靠性,澄清的储备液可以根据储存条件,适当保存;体内实验的工作液,建议您现用现配,当天使用
    以下溶剂前显示的百分比是指该溶剂在您配制终溶液中的体积占比;如在配制过程中出现沉淀、析出现象,可以通过加热和/或超声的方式助溶

    • 方案 一

      请依序添加每种溶剂: 10% DMSO    90% Corn Oil

      Solubility: ≥ 5 mg/mL (11.19 mM); 澄清溶液

      此方案可获得 ≥ 5 mg/mL(饱和度未知)的澄清溶液,此方案实验周期在半个月以上的动物实验酌情使用。

      1 mL 工作液为例,取 100 μL 50.0 mg/mL 的澄清 DMSO 储备液加到 900 μL玉米油中,混合均匀。

    • 方案 二

      请依序添加每种溶剂: 10% DMSO    40% PEG300    5% Tween-80    45% Saline

      Solubility: ≥ 2.08 mg/mL (4.65 mM); 澄清溶液

      此方案可获得 ≥ 2.08 mg/mL(饱和度未知)的澄清溶液。

      1 mL 工作液为例,取 100 μL 20.8 mg/mL 的澄清 DMSO 储备液加到 400 μL PEG300 中,混合均匀;再向上述体系中加入 50 μL Tween-80,混合均匀;然后再继续加入 450 μL 生理盐水 定容至 1 mL

      生理盐水的配制:将 0.9 g 氯化钠,溶解于 ddH₂O 并定容至 100 mL,可以得到澄清透明的生理盐水溶液。

    以下溶解方案,请直接配制工作液。建议现用现配,在短期内尽快用完。 以下溶剂前显示的百分比是指该溶剂在您配制终溶液中的体积占比; 如在配制过程中出现沉淀、析出现象,可以通过加热和/或超声的方式助溶。

    • 方案 一

      请依序添加每种溶剂: Corn Oil

      Solubility: 5 mg/mL (11.19 mM); 悬浊液; 超声助溶

    • 方案 二

      请依序添加每种溶剂: 15% Cremophor EL    85% Saline

      Solubility: 3.33 mg/mL (7.45 mM); 悬浊液; 超声助溶

    动物溶解方案计算器
    请输入动物实验的基本信息:

    给药剂量

    mg/kg

    动物的平均体重

    g

    每只动物的给药体积

    μL

    动物数量

    由于实验过程有损耗,建议您多配一只动物的量
    请输入您的动物体内配方组成:
    %
    DMSO +
    +
    %
    Tween-80 +
    %
    Saline
    如果您的动物是免疫缺陷鼠或者体弱鼠,建议 DMSO 中的在最后工作液体系中的占比尽量不超过 2%。
    方案所需 助溶剂 包括:DMSO ,均可在 MCE 网站选购。 Tween 80,均可在 MCE 网站选购。
    计算结果
    工作液所需浓度 : mg/mL
    储备液配制方法 : mg 药物溶于 μL  DMSO(母液浓度为 mg/mL)。
    您所需的储备液浓度超过该产品的实测溶解度,以下方案仅供参考,如有需要,请与 MCE 中国技术支持联系。
    动物实验体内工作液的配制方法 : 取 μL DMSO 储备液,加入 μL  μL ,混合均匀至澄清,再加 μL Tween 80,混合均匀至澄清,再加 μL 生理盐水
    连续给药周期超过半月以上,请谨慎选择该方案。
    请确保第一步储备液溶解至澄清状态,从左到右依次添加助溶剂。您可采用超声加热 (超声清洗仪,建议频次 20-40 kHz),涡旋吹打等方式辅助溶解。
    纯度 & 产品资料

    纯度: 99.99%

    参考文献

    完整储备液配制表

    * 请根据产品在不同溶剂中的溶解度选择合适的溶剂配制储备液;一旦配成溶液,请分装保存,避免反复冻融造成的产品失效
    储备液的保存方式和期限:-80°C, 2 years; -20°C, 1 year。-80°C储存时,请在2年内使用, -20°C储存时,请在1年内使用。

    可选溶剂 浓度 溶剂体积 质量 1 mg 5 mg 10 mg 25 mg
    DMSO 1 mM 2.2376 mL 11.1882 mL 22.3764 mL 55.9409 mL
    5 mM 0.4475 mL 2.2376 mL 4.4753 mL 11.1882 mL
    10 mM 0.2238 mL 1.1188 mL 2.2376 mL 5.5941 mL
    15 mM 0.1492 mL 0.7459 mL 1.4918 mL 3.7294 mL
    20 mM 0.1119 mL 0.5594 mL 1.1188 mL 2.7970 mL
    25 mM 0.0895 mL 0.4475 mL 0.8951 mL 2.2376 mL
    30 mM 0.0746 mL 0.3729 mL 0.7459 mL 1.8647 mL
    40 mM 0.0559 mL 0.2797 mL 0.5594 mL 1.3985 mL
    50 mM 0.0448 mL 0.2238 mL 0.4475 mL 1.1188 mL
    60 mM 0.0373 mL 0.1865 mL 0.3729 mL 0.9323 mL
    80 mM 0.0280 mL 0.1399 mL 0.2797 mL 0.6993 mL
    100 mM 0.0224 mL 0.1119 mL 0.2238 mL 0.5594 mL
    Help & FAQs
    • Do most proteins show cross-species activity?

      Species cross-reactivity must be investigated individually for each product. Many human cytokines will produce a nice response in mouse cell lines, and many mouse proteins will show activity on human cells. Other proteins may have a lower specific activity when used in the opposite species.

    您最近查看的产品:

    Your information is safe with us. * Required Fields.

       产品名称:

     

    * 需求量:

    * 客户姓名:

     

    * Email:

    * 电话:

     

    * 公司或机构名称:

       留言给我们:

    Bulk Inquiry

    Inquiry Information

    产品名称:
    Gefitinib
    目录号:
    HY-50895
    需求量:
    hg.y866.cn/biomolecule/mce_privacyPolicy.shtml">《隐私声明》。