1. Cell Cycle/DNA Damage Epigenetics Autophagy Anti-infection
  2. Aurora Kinase Autophagy Influenza Virus Parasite
  3. Hesperadin

Hesperadin 是 Aurora AB 的 ATP 竞争性吲哚酮抑制剂。Hesperadin 以 250 nM 的 IC50 抑制 Aurora B。Hesperadin 通过阻断核分裂和胞质分裂而抑制布鲁氏锥虫的生长。Hesperadin 也是一种广谱流感抗病毒剂。

MCE 的所有产品仅用作科学研究或药证申报,我们不为任何个人用途提供产品和服务

Hesperadin

Hesperadin Chemical Structure

CAS No. : 422513-13-1

1.  客户无需承担相应的运输费用。

2.  同一机构(单位)同一产品试用装仅限申领一次,同一机构(单位)一年内

     可免费申领三个不同产品的试用装。

3.  试用装只面向终端客户

规格 价格 是否有货 数量
10 mM * 1 mL in DMSO ¥909
In-stock
1 mg ¥363
In-stock
5 mg ¥800
In-stock
10 mg ¥1320
In-stock
25 mg ¥2640
In-stock
50 mg ¥4200
In-stock
100 mg 现货 询价
200 mg   询价  
500 mg   询价  

* Please select Quantity before adding items.

Customer Review

Other Forms of Hesperadin:

    Hesperadin purchased from MCE. Usage Cited in: Behav Neurol. 2020 Feb 3;2020:2476861.  [Abstract]

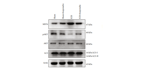
    Administration of hesperadin influences endogenous expression of MST4, pAKT, AKT, and LC3 12 h following ICH. Representative western blot bands for MST4, pAKT, AKT, and LC3 expression in sham and ICH mice 12 h following ICH.
    • 生物活性

    • 纯度 & 产品资料

    • 参考文献

    生物活性

    Hesperadin is an ATP competitive indolinone inhibitor of Aurora A and B. Hesperadin inhibits Aurora B with an IC50 of 250 nM. Hesperadin inhibits the growth of Trypanosoma brucei by blocking nuclear division and cytokinesis. Hesperadin also is a broad-spectrum influenza antiviral[1][2][3].

    IC50 & Target[1]

    Trypanosoma

     

    Aurora B

    250 nM (IC50)

    体外研究
    (In Vitro)

    Hesperadin(10-100 nM)以剂量依赖的方式抑制由 Aurora 激酶-1(TbAUK1)介导的锥体虫组蛋白 H3(TbH3) 磷酸化,IC50 为 40 nM[1]
    Hesperadin(0.01-10 μM;24 或 48小时)抑制血流型(BF)和前周期型(PF)培养物的生长[1]
    Hesperadin(100-200 nM;24-72小时)改变细胞形态并抑制细胞周期进程,类似于 TbAUK1 的 RNAi 敲降效果[1]

    MCE has not independently confirmed the accuracy of these methods. They are for reference only.

    Cell Viability Assay[1]

    Cell Line: M110 cells
    Concentration: 0.01, 0.1, 1, 10 μM
    Incubation Time: 24 hours or 48 hours
    Result: Inhibiting growth of BF cultures with IC50 of 50 nM, while the inhibition of PF growth required approximately 11-fold more Hesperadin, with IC50 of 550 nM.

    Cell Cycle Analysis[1]

    Cell Line: M110 cells
    Concentration: 100, 200 nM
    Incubation Time: 24, 48, 72 hours
    Result: Had a strong effect on cell growth and mitotic progression at 100-200 nM.
    体内研究
    (In Vivo)

    Hesperadin(20 mg/kg/d;静脉注射)通过与 temozolomide(TMZ)的协同作用延长了异种移植小鼠的生存期[2]

    MCE has not independently confirmed the accuracy of these methods. They are for reference only.

    Animal Model: 6-week-old female nude mice injected GBM cells[2]
    Dosage: 20 mg/kg/d
    Administration: I.v. injection
    Result: Increased the survival of xenograft mice models.
    分子量

    516.65

    Formula

    C29H32N4O3S

    CAS 号
    性状

    固体

    颜色

    Light yellow to yellow

    运输条件

    Room temperature in continental US; may vary elsewhere.

    储存方式
    Powder -20°C 3 years
    4°C 2 years
    In solvent -80°C 2 years
    -20°C 1 year
    溶解性数据
    细胞实验: 

    DMSO 中的溶解度 : ≥ 100 mg/mL (193.55 mM; 吸湿的 DMSO 对产品的溶解度有显著影响,请使用新开封的 DMSO)

    * "≥" means soluble, but saturation unknown.

    配制储备液
    浓度 溶剂体积 质量 1 mg 5 mg 10 mg
    1 mM 1.9355 mL 9.6777 mL 19.3555 mL
    5 mM 0.3871 mL 1.9355 mL 3.8711 mL
    查看完整储备液配制表

    * 请根据产品在不同溶剂中的溶解度选择合适的溶剂配制储备液;一旦配成溶液,请分装保存,避免反复冻融造成的产品失效
    储备液的保存方式和期限:-80°C, 2 years; -20°C, 1 year。-80°C储存时,请在2年内使用, -20°C储存时,请在1年内使用。

    • 摩尔计算器

    • 稀释计算器

    Mass (g) = Concentration (mol/L) × Volume (L) × Molecular Weight (g/mol)

    质量
    =
    浓度
    ×
    体积
    ×
    分子量 *

    Concentration (start) × Volume (start) = Concentration (final) × Volume (final)

    This equation is commonly abbreviated as: C1V1 = C2V2

    浓度 (start)

    C1

    ×
    体积 (start)

    V1

    =
    浓度 (final)

    C2

    ×
    体积 (final)

    V2

    动物实验:

    请根据您的 实验动物和给药方式 选择适当的溶解方案。

    以下溶解方案都请先按照 In Vitro 方式配制澄清的储备液,再依次添加助溶剂:
    ——为保证实验结果的可靠性,澄清的储备液可以根据储存条件,适当保存;体内实验的工作液,建议您现用现配,当天使用
    以下溶剂前显示的百分比是指该溶剂在您配制终溶液中的体积占比;如在配制过程中出现沉淀、析出现象,可以通过加热和/或超声的方式助溶

    • 方案 一

      请依序添加每种溶剂: 10% DMSO    40% PEG300    5% Tween-80    45% Saline

      Solubility: ≥ 2.5 mg/mL (4.84 mM); 澄清溶液

      此方案可获得 ≥ 2.5 mg/mL(饱和度未知)的澄清溶液。

      1 mL 工作液为例,取 100 μL 25.0 mg/mL 的澄清 DMSO 储备液加到 400 μL PEG300 中,混合均匀;再向上述体系中加入 50 μL Tween-80,混合均匀;然后再继续加入 450 μL 生理盐水 定容至 1 mL

      生理盐水的配制:将 0.9 g 氯化钠,溶解于 ddH₂O 并定容至 100 mL,可以得到澄清透明的生理盐水溶液。
    • 方案 二

      请依序添加每种溶剂: 10% DMSO    90% Corn Oil

      Solubility: ≥ 2.5 mg/mL (4.84 mM); 澄清溶液

      此方案可获得 ≥ 2.5 mg/mL(饱和度未知)的澄清溶液,此方案实验周期在半个月以上的动物实验酌情使用。

      1 mL 工作液为例,取 100 μL 25.0 mg/mL 的澄清 DMSO 储备液加到 900 μL玉米油中,混合均匀。

    动物溶解方案计算器
    请输入动物实验的基本信息:

    给药剂量

    mg/kg

    动物的平均体重

    g

    每只动物的给药体积

    μL

    动物数量

    由于实验过程有损耗,建议您多配一只动物的量
    请输入您的动物体内配方组成:
    %
    DMSO +
    +
    %
    Tween-80 +
    %
    Saline
    如果您的动物是免疫缺陷鼠或者体弱鼠,建议 DMSO 中的在最后工作液体系中的占比尽量不超过 2%。
    方案所需 助溶剂 包括:DMSO ,均可在 MCE 网站选购。 Tween 80,均可在 MCE 网站选购。
    计算结果
    工作液所需浓度 : mg/mL
    储备液配制方法 : mg 药物溶于 μL  DMSO(母液浓度为 mg/mL)。
    您所需的储备液浓度超过该产品的实测溶解度,以下方案仅供参考,如有需要,请与 MCE 中国技术支持联系。
    动物实验体内工作液的配制方法 : 取 μL DMSO 储备液,加入 μL  μL ,混合均匀至澄清,再加 μL Tween 80,混合均匀至澄清,再加 μL 生理盐水
    连续给药周期超过半月以上,请谨慎选择该方案。
    请确保第一步储备液溶解至澄清状态,从左到右依次添加助溶剂。您可采用超声加热 (超声清洗仪,建议频次 20-40 kHz),涡旋吹打等方式辅助溶解。
    纯度 & 产品资料
    参考文献

    完整储备液配制表

    * 请根据产品在不同溶剂中的溶解度选择合适的溶剂配制储备液;一旦配成溶液,请分装保存,避免反复冻融造成的产品失效
    储备液的保存方式和期限:-80°C, 2 years; -20°C, 1 year。-80°C储存时,请在2年内使用, -20°C储存时,请在1年内使用。

    可选溶剂 浓度 溶剂体积 质量 1 mg 5 mg 10 mg 25 mg
    DMSO 1 mM 1.9355 mL 9.6777 mL 19.3555 mL 48.3887 mL
    5 mM 0.3871 mL 1.9355 mL 3.8711 mL 9.6777 mL
    10 mM 0.1936 mL 0.9678 mL 1.9355 mL 4.8389 mL
    15 mM 0.1290 mL 0.6452 mL 1.2904 mL 3.2259 mL
    20 mM 0.0968 mL 0.4839 mL 0.9678 mL 2.4194 mL
    25 mM 0.0774 mL 0.3871 mL 0.7742 mL 1.9355 mL
    30 mM 0.0645 mL 0.3226 mL 0.6452 mL 1.6130 mL
    40 mM 0.0484 mL 0.2419 mL 0.4839 mL 1.2097 mL
    50 mM 0.0387 mL 0.1936 mL 0.3871 mL 0.9678 mL
    60 mM 0.0323 mL 0.1613 mL 0.3226 mL 0.8065 mL
    80 mM 0.0242 mL 0.1210 mL 0.2419 mL 0.6049 mL
    100 mM 0.0194 mL 0.0968 mL 0.1936 mL 0.4839 mL
    Help & FAQs
    • Do most proteins show cross-species activity?

      Species cross-reactivity must be investigated individually for each product. Many human cytokines will produce a nice response in mouse cell lines, and many mouse proteins will show activity on human cells. Other proteins may have a lower specific activity when used in the opposite species.

    您最近查看的产品:

    Your information is safe with us. * Required Fields.

       产品名称:

     

    * 需求量:

    * 客户姓名:

     

    * Email:

    * 电话:

     

    * 公司或机构名称:

       留言给我们:

    Bulk Inquiry

    Inquiry Information

    产品名称:
    Hesperadin
    目录号:
    HY-12054
    需求量: