1. Metabolic Enzyme/Protease Autophagy
  2. FXR Autophagy
  3. Obeticholic acid

Obeticholic acid  (Synonyms: 奥贝胆酸; INT-747; 6-ECDCA; 6-Ethylchenodeoxycholic acid)

目录号: HY-12222 纯度: 98.0%
COA 产品使用指南 技术支持

Obeticholic acid (INT-747) 是一种有效的,选择性的和口服活性的 FXR 激动剂,EC50 为 99 nM,并具有抗胆碱和抗炎作用。Obeticholic acid 还可诱导细胞自噬 (autophagy)。

MCE 的所有产品仅用作科学研究或药证申报,我们不为任何个人用途提供产品和服务

Obeticholic acid

Obeticholic acid Chemical Structure

CAS No. : 459789-99-2

1.  客户无需承担相应的运输费用。

2.  同一机构(单位)同一产品试用装仅限申领一次,同一机构(单位)一年内

     可免费申领三个不同产品的试用装。

3.  试用装只面向终端客户

规格 价格 是否有货 数量
10 mM * 1 mL in DMSO ¥600
In-stock
5 mg ¥550
In-stock
10 mg ¥1000
In-stock
25 mg ¥1800
In-stock
50 mg ¥2800
In-stock
100 mg ¥4700
In-stock
200 mg 现货 询价
500 mg   询价  
1 g   询价  

* Please select Quantity before adding items.

Customer Review

Other Forms of Obeticholic acid:

MCE 顾客使用本产品发表的 80 篇科研文献

WB

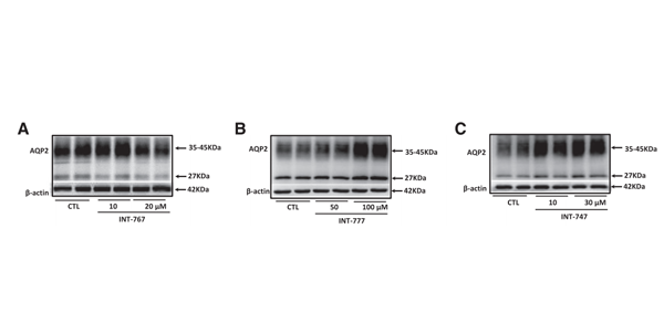
    Obeticholic acid purchased from MCE. Usage Cited in: J Am Soc Nephrol. 2018 Nov;29(11):2658-2670.  [Abstract]

    Western blots show that INT-767, INT-777, and INT747 upregulate AQP2 protein expression.
    • 生物活性

    • 实验参考方法

    • 纯度 & 产品资料

    • 参考文献

    生物活性

    Obeticholic acid (INT-747) is a potent, selective and orally active FXR agonist with an EC50 of 99 nM. Obeticholic acid has anticholeretic and anti-inflammation effect. Obeticholic acid also induces autophagy[1][2][3].

    IC50 & Target

    EC50: 99 nM (FXR)

    细胞效力
    (Cellular Effect)
    Cell Line Type Value Description References
    CHO EC50
    0.755 μM
    Compound: 1, 6ECDCA
    Agonist activity at human TGR5 expressed in CHO cells after 5 hrs by CRE-driven luciferase reporter gene assay
    Agonist activity at human TGR5 expressed in CHO cells after 5 hrs by CRE-driven luciferase reporter gene assay
    [PMID: 17685603]
    COS-1 EC50
    0.099 μM
    Compound: 5, 6-ECDCA, INT-747
    Agonist activity at FXR expressed in COS1 cells by cell-based bioluminescence assay
    Agonist activity at FXR expressed in COS1 cells by cell-based bioluminescence assay
    [PMID: 20014870]
    COS-1 EC50
    0.361 μM
    Compound: 1, 6ECDCA
    Agonist activity at human FXR expressed in COS1 cells after 5 hrs by CRE-driven luciferase reporter gene assay
    Agonist activity at human FXR expressed in COS1 cells after 5 hrs by CRE-driven luciferase reporter gene assay
    [PMID: 17685603]
    HEK-293T EC50
    42 nM
    Compound: OCA; INT-747
    Agonist activity at human FXR expressed in HEK293T cells assessed as BSEP promoter driven cellular transcriptional activity after 24 hrs by luciferase reporter gene assay
    Agonist activity at human FXR expressed in HEK293T cells assessed as BSEP promoter driven cellular transcriptional activity after 24 hrs by luciferase reporter gene assay
    [PMID: 29148806]
    HeLa EC50
    0.16 μM
    Compound: 2,6-ECDCA
    Agonist activity at human full length FXR expressed in HeLa cells cotransfected with pSG5-human RXR after 24 hrs by Dual-Glo luciferase reporter gene assay
    Agonist activity at human full length FXR expressed in HeLa cells cotransfected with pSG5-human RXR after 24 hrs by Dual-Glo luciferase reporter gene assay
    [PMID: 25934227]
    HeLa EC50
    0.16 μM
    Compound: 2, 6-ECDCA, Obeticholic acid, INT-747
    Agonist activity at human FXR expressed in human HeLa cells assessed as receptor activation by BSEP promoter-driven firefly luciferase reporter gene assay
    Agonist activity at human FXR expressed in human HeLa cells assessed as receptor activation by BSEP promoter-driven firefly luciferase reporter gene assay
    [PMID: 25255039]
    HepG2 EC50
    0.5 μM
    Compound: 2; 6-ECDCA, INT747, OCA
    Transactivation of human FXR (unknown origin) expressed in HepG2 cells co-expressing pSG5RXR/pGL4.70 after 24 hrs post transfection by luciferase reporter gene assay
    Transactivation of human FXR (unknown origin) expressed in HepG2 cells co-expressing pSG5RXR/pGL4.70 after 24 hrs post transfection by luciferase reporter gene assay
    [PMID: 30996771]
    NCI-H716 EC50
    20 μM
    Compound: 2, 6-ECDCA, INT-747
    Agonist activity at human TGR5 receptor expressed in NCI-H716 cells assessed as intracellular cAMP level by TR-FRET assay
    Agonist activity at human TGR5 receptor expressed in NCI-H716 cells assessed as intracellular cAMP level by TR-FRET assay
    [PMID: 21459580]
    体外研究
    (In Vitro)

    Obeticholic acid (INT-747) 可增加大鼠肝细胞中 FXR 调节基因的表达[1]
    Obeticholic acid 可降低肝脏 JNK-1 和 JNK-2 的表达[2]
    Obeticholic acid (256 μg/mL) 可抑制所有测试菌株中的细菌生长。在暴露于 IFN-γ 的 Caco-2 细胞肠上皮中添加 Obeticholic acid 后,肠道通透性不受影响[3]

    MCE has not independently confirmed the accuracy of these methods. They are for reference only.

    体内研究
    (In Vivo)

    Obeticholic acid (INT-747) (10 mg/kg/天) 缓解了 E217α 引起的胆汁淤积。Obeticholic acid 通过增加 β-MCA 和 TCDCA 和 TDCA 的相对含量,可部分预防由 E217α 导致的总胆汁酸输出受损[1]
    Obeticholic acid (10 mg/kg) 和 HS 会增加动物的肺充血情况。Obeticholic acid 不能改善 HS 喂养动物的肾脏病变[2]
    Obeticholic acid (5 mg/kg) 能显著提高 BDL 大鼠的存活率。Obeticholic acid 大鼠中显著选择性增加回肠闭孔蛋白claudin-1的表达,并显著上调回肠ZO-1的表达[3]

    MCE has not independently confirmed the accuracy of these methods. They are for reference only.

    Clinical Trial
    分子量

    420.63

    Formula

    C26H44O4

    CAS 号
    性状

    固体

    颜色

    White to off-white

    中文名称

    奥贝胆酸;6-乙基鹅去氧胆酸

    运输条件

    Room temperature in continental US; may vary elsewhere.

    储存方式
    Powder -20°C 3 years
    4°C 2 years
    In solvent -80°C 6 months
    -20°C 1 month
    溶解性数据
    细胞实验: 

    DMSO 中的溶解度 : ≥ 100 mg/mL (237.74 mM; 吸湿的 DMSO 对产品的溶解度有显著影响,请使用新开封的 DMSO)

    Ethanol 中的溶解度 : ≥ 50 mg/mL (118.87 mM)

    * "≥" means soluble, but saturation unknown.

    配制储备液
    浓度 溶剂体积 质量 1 mg 5 mg 10 mg
    1 mM 2.3774 mL 11.8869 mL 23.7739 mL
    5 mM 0.4755 mL 2.3774 mL 4.7548 mL
    查看完整储备液配制表

    * 请根据产品在不同溶剂中的溶解度选择合适的溶剂配制储备液;一旦配成溶液,请分装保存,避免反复冻融造成的产品失效
    储备液的保存方式和期限:-80°C, 6 months; -20°C, 1 month。-80°C储存时,请在6个月内使用,-20°C储存时,请在1个月内使用。

    • 摩尔计算器

    • 稀释计算器

    Mass (g) = Concentration (mol/L) × Volume (L) × Molecular Weight (g/mol)

    质量
    =
    浓度
    ×
    体积
    ×
    分子量 *

    Concentration (start) × Volume (start) = Concentration (final) × Volume (final)

    This equation is commonly abbreviated as: C1V1 = C2V2

    浓度 (start)

    C1

    ×
    体积 (start)

    V1

    =
    浓度 (final)

    C2

    ×
    体积 (final)

    V2

    动物实验:

    请根据您的 实验动物和给药方式 选择适当的溶解方案。

    以下溶解方案都请先按照 In Vitro 方式配制澄清的储备液,再依次添加助溶剂:
    ——为保证实验结果的可靠性,澄清的储备液可以根据储存条件,适当保存;体内实验的工作液,建议您现用现配,当天使用
    以下溶剂前显示的百分比是指该溶剂在您配制终溶液中的体积占比;如在配制过程中出现沉淀、析出现象,可以通过加热和/或超声的方式助溶

    • 方案 一

      请依序添加每种溶剂: 10% DMSO    90% (20% SBE-β-CD in Saline)

      Solubility: ≥ 5 mg/mL (11.89 mM); 澄清溶液

      此方案可获得 ≥ 5 mg/mL(饱和度未知)的澄清溶液。

      1 mL 工作液为例,取 100 μL 50.0 mg/mL 的澄清 DMSO 储备液加到 900 μL 20% 的 SBE-β-CD 生理盐水水溶液 中,混合均匀。

      2 g SBE-β-CD(磺丁基醚 β-环糊精)粉末定容于 10 mL 的生理盐水中,完全溶解至澄清透明。
    • 方案 二

      请依序添加每种溶剂: 10% DMSO    90% Corn Oil

      Solubility: ≥ 5 mg/mL (11.89 mM); 澄清溶液

      此方案可获得 ≥ 5 mg/mL(饱和度未知)的澄清溶液,此方案实验周期在半个月以上的动物实验酌情使用。

      1 mL 工作液为例,取 100 μL 50.0 mg/mL 的澄清 DMSO 储备液加到 900 μL玉米油中,混合均匀。

    以下溶解方案,请直接配制工作液。建议现用现配,在短期内尽快用完。 以下溶剂前显示的百分比是指该溶剂在您配制终溶液中的体积占比; 如在配制过程中出现沉淀、析出现象,可以通过加热和/或超声的方式助溶。

    • 方案 一

      请依序添加每种溶剂: 1% Methylcellulose/saline water

      Solubility: 5 mg/mL (11.89 mM); Suspension solution; 超声助溶

    动物溶解方案计算器
    请输入动物实验的基本信息:

    给药剂量

    mg/kg

    动物的平均体重

    g

    每只动物的给药体积

    μL

    动物数量

    由于实验过程有损耗,建议您多配一只动物的量
    请输入您的动物体内配方组成:
    %
    DMSO +
    +
    %
    Tween-80 +
    %
    Saline
    如果您的动物是免疫缺陷鼠或者体弱鼠,建议 DMSO 中的在最后工作液体系中的占比尽量不超过 2%。
    方案所需 助溶剂 包括:DMSO ,均可在 MCE 网站选购。 Tween 80,均可在 MCE 网站选购。
    计算结果
    工作液所需浓度 : mg/mL
    储备液配制方法 : mg 药物溶于 μL  DMSO(母液浓度为 mg/mL)。
    您所需的储备液浓度超过该产品的实测溶解度,以下方案仅供参考,如有需要,请与 MCE 中国技术支持联系。
    动物实验体内工作液的配制方法 : 取 μL DMSO 储备液,加入 μL  μL ,混合均匀至澄清,再加 μL Tween 80,混合均匀至澄清,再加 μL 生理盐水
    连续给药周期超过半月以上,请谨慎选择该方案。
    请确保第一步储备液溶解至澄清状态,从左到右依次添加助溶剂。您可采用超声加热 (超声清洗仪,建议频次 20-40 kHz),涡旋吹打等方式辅助溶解。
    纯度 & 产品资料

    纯度: 98.0%

    参考文献
    Animal Administration
    [2]

    Initially, all animals (at 6-weeks age) are placed on a standard rodent diet for a week. Baseline blood and urine samples are collected and basal blood pressure (BP) is measured prior to grouping the animals. Subsequently, the animals are randomized into low (LS; n=9) or high salt (HS) diet groups. Hypertension is induced in the HS group by daily high-salt diet feeding and the group is subdivided to receive one of two doses of INT-747: low dose (10 mg/kg/day; n=15) or high dose (30 mg/kg/day; n=15) in 1% methylcellulose; or vehicle (1% methylcellulose in distilled water; n=15) orally everyday for 6 weeks. In parallel, the LS group also receive 1% methylcellulose. BP is measured weekly for the duration of the study as described below.

    MCE has not independently confirmed the accuracy of these methods. They are for reference only.

    参考文献

    Obeticholic acid 相关分类

    完整储备液配制表

    * 请根据产品在不同溶剂中的溶解度选择合适的溶剂配制储备液;一旦配成溶液,请分装保存,避免反复冻融造成的产品失效
    储备液的保存方式和期限:-80°C, 6 months; -20°C, 1 month。-80°C储存时,请在6个月内使用,-20°C储存时,请在1个月内使用。

    可选溶剂 浓度 溶剂体积 质量 1 mg 5 mg 10 mg 25 mg
    Ethanol / DMSO 1 mM 2.3774 mL 11.8869 mL 23.7739 mL 59.4347 mL
    5 mM 0.4755 mL 2.3774 mL 4.7548 mL 11.8869 mL
    10 mM 0.2377 mL 1.1887 mL 2.3774 mL 5.9435 mL
    15 mM 0.1585 mL 0.7925 mL 1.5849 mL 3.9623 mL
    20 mM 0.1189 mL 0.5943 mL 1.1887 mL 2.9717 mL
    25 mM 0.0951 mL 0.4755 mL 0.9510 mL 2.3774 mL
    30 mM 0.0792 mL 0.3962 mL 0.7925 mL 1.9812 mL
    40 mM 0.0594 mL 0.2972 mL 0.5943 mL 1.4859 mL
    50 mM 0.0475 mL 0.2377 mL 0.4755 mL 1.1887 mL
    60 mM 0.0396 mL 0.1981 mL 0.3962 mL 0.9906 mL
    80 mM 0.0297 mL 0.1486 mL 0.2972 mL 0.7429 mL
    100 mM 0.0238 mL 0.1189 mL 0.2377 mL 0.5943 mL
    Help & FAQs
    • Do most proteins show cross-species activity?

      Species cross-reactivity must be investigated individually for each product. Many human cytokines will produce a nice response in mouse cell lines, and many mouse proteins will show activity on human cells. Other proteins may have a lower specific activity when used in the opposite species.

    您最近查看的产品:

    Your information is safe with us. * Required Fields.

       产品名称:

     

    * 需求量:

    * 客户姓名:

     

    * Email:

    * 电话:

     

    * 公司或机构名称:

       留言给我们:

    Bulk Inquiry

    Inquiry Information

    产品名称:
    Obeticholic acid
    目录号:
    HY-12222
    需求量: