1. Cell Cycle/DNA Damage Autophagy
  2. Topoisomerase Autophagy
  3. Irinotecan

Irinotecan  (Synonyms: 伊立替康; (+)-Irinotecan; CPT-11; VAL-413(free base))

目录号: HY-16562 纯度: 99.97%
COA 产品使用指南 技术支持

Irinotecan ((+)-Irinotecan) 是一种拓扑异构酶 I (topoisomerase I) 抑制剂,可用于结肠癌和直肠癌的研究。

MCE 的所有产品仅用作科学研究或药证申报,我们不为任何个人用途提供产品和服务

Irinotecan

Irinotecan Chemical Structure

CAS No. : 97682-44-5

1.  客户无需承担相应的运输费用。

2.  同一机构(单位)同一产品试用装仅限申领一次,同一机构(单位)一年内

     可免费申领三个不同产品的试用装。

3.  试用装只面向终端客户

规格 价格 是否有货 数量
10 mM * 1 mL in DMSO ¥715
In-stock
50 mg ¥650
In-stock
100 mg ¥990
In-stock
200 mg ¥1550
In-stock
500 mg ¥3150
In-stock
1 g   询价  
5 g   询价  

* Please select Quantity before adding items.

Customer Review

MCE 顾客使用本产品发表的 58 篇科研文献

WB
IF

    Irinotecan purchased from MCE. Usage Cited in: J Pharm Pharmacol. 2023 Apr 7;75(4):523-532.  [Abstract]

    Irinotecan (CPT11; 20 μM; 48 h) or Etoposide (VP16; 20 μM; 48 h) induces MDA-MB-231 cells cycle arrest significantly.

    Irinotecan purchased from MCE. Usage Cited in: Apoptosis. 2016 Feb;21(2):130-42.  [Abstract]

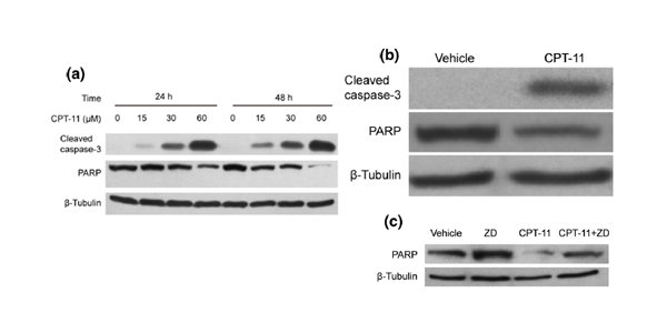
    (a) CPT-11 induces cell cycle arrest and apoptosis in RAW 264.7macrophages. a.Western blot analysis of cleaved caspase-3 and PARP levels. (b) CPT-11 induced cell cycle arrest and apoptosis in mouse peritoneal macrophages. Western blot analysis of cleaved caspase-3 and PARP levels in peritoneal macrophages isolated from vehicleand CPT-11-administered mice. (c) Caspase-3 inhibitor z-DEVD-fmk (ZD) attenuates CPT-11-induced loss of GATA6+ peritoneal macrophages in mice. Western blot analy

    查看 Topoisomerase 亚型特异性产品:

    • 生物活性

    • 实验参考方法

    • 纯度 & 产品资料

    • 参考文献

    生物活性

    Irinotecan ((+)-Irinotecan) is a topoisomerase I inhibitor, preventing religation of the DNA strand by binding to topoisomerase I-DNA complex[1].

    IC50 & Target[1]

    Topoisomerase I

     

    细胞效力
    (Cellular Effect)
    Cell Line Type Value Description References
    786-0 IC50
    2.25 μM
    Compound: Irinotecan
    Cytotoxicity against human 786-0 cells assessed as reduction in cell viability incubated for 72 hrs by PrestoBlue reagent based assay
    Cytotoxicity against human 786-0 cells assessed as reduction in cell viability incubated for 72 hrs by PrestoBlue reagent based assay
    [PMID: 34459195]
    A2780 IC50
    3.8 μM
    Compound: Irinotecan
    Antiproliferative activity against human A2780 cells after 72 hrs by SRB assay
    Antiproliferative activity against human A2780 cells after 72 hrs by SRB assay
    [PMID: 29150335]
    A-375 IC50
    4 nM
    Compound: 6
    Cytotoxicity against human A375 cells after 72 hrs by alamar blue assay
    Cytotoxicity against human A375 cells after 72 hrs by alamar blue assay
    [PMID: 21341674]
    A-431 IC50
    4.1 μM
    Compound: Irinotecan
    Antiproliferative activity against human A431 cells after 72 hrs by SRB assay
    Antiproliferative activity against human A431 cells after 72 hrs by SRB assay
    [PMID: 29150335]
    A549 GI50
    > 10 μM
    Compound: Irinotecan
    Growth inhibition of human A549 cells after 72 hrs by XTT assay
    Growth inhibition of human A549 cells after 72 hrs by XTT assay
    [PMID: 22079254]
    A549 GI50
    > 10 μM
    Compound: Irinotecan
    Antiproliferative activity against human A549 cells after 72 hrs by XTT assay
    Antiproliferative activity against human A549 cells after 72 hrs by XTT assay
    [PMID: 19796956]
    A549 IC50
    0.8 μM
    Compound: Irinotecan
    Cytotoxicity against human A549 cells assessed as reduction in cell viability after 24 hrs by MTS assay
    Cytotoxicity against human A549 cells assessed as reduction in cell viability after 24 hrs by MTS assay
    [PMID: 26841168]
    A549 IC50
    1557 nM
    Compound: Irinotecan
    Antiproliferative activity against human A549 cells assessed as reduction in cell viability after 72 hrs by SRB assay
    Antiproliferative activity against human A549 cells assessed as reduction in cell viability after 72 hrs by SRB assay
    [PMID: 32352777]
    A549 IC50
    16.53 μM
    Compound: Ir
    Cytotoxicity against human A549 cells assessed as reduction in cell growth by MTT assay
    Cytotoxicity against human A549 cells assessed as reduction in cell growth by MTT assay
    [PMID: 31972391]
    A549 IC50
    1880.93 nM
    Compound: Irinotecan
    Antiproliferative activity against human A549 cells after 72 hrs by SRB assay
    Antiproliferative activity against human A549 cells after 72 hrs by SRB assay
    [PMID: 30115492]
    A549 IC50
    19.71 μM
    Compound: Irinotecan
    Cytotoxicity against human A549 cells assessed as reduction in cell viability incubated for 72 hrs by PrestoBlue reagent based assay
    Cytotoxicity against human A549 cells assessed as reduction in cell viability incubated for 72 hrs by PrestoBlue reagent based assay
    [PMID: 34459195]
    A549 IC50
    2 μM
    Compound: IR
    Cytotoxicity against human A549 cells assessed as cell growth inhibition measured after 48 hrs by MTT assay
    Cytotoxicity against human A549 cells assessed as cell growth inhibition measured after 48 hrs by MTT assay
    [PMID: 35964428]
    A549 IC50
    20 μM
    Compound: IRT
    Antiproliferative activity against human A549 cells after 72 hrs by MTT assay
    Antiproliferative activity against human A549 cells after 72 hrs by MTT assay
    [PMID: 28351590]
    A549 IC50
    20.1 μM
    Compound: IRT
    Cytotoxicity against human A549 cells after 72 hrs by MTT assay
    Cytotoxicity against human A549 cells after 72 hrs by MTT assay
    [PMID: 26226379]
    A549 IC50
    26.69 μM
    Compound: 1c
    Cytotoxicity against human A549 cells assessed as inhibition of cell growth measured after 72 hrs
    Cytotoxicity against human A549 cells assessed as inhibition of cell growth measured after 72 hrs
    [PMID: 34048881]
    A549 IC50
    32 nM
    Compound: Irinotecan
    Antiproliferative activity against human A549 cells after 72 hrs by MTT assay
    Antiproliferative activity against human A549 cells after 72 hrs by MTT assay
    [PMID: 30660827]
    A549 IC50
    4.61 μM
    Compound: 3, Camptosar
    Cytotoxicity against human A549 cells after 72 hrs by MTT assay
    Cytotoxicity against human A549 cells after 72 hrs by MTT assay
    [PMID: 20371183]
    A549 GI50
    5 μM
    Compound: IRT
    Cytotoxicity against human A549 cells incubated for 72 hrs by MTT assay
    Cytotoxicity against human A549 cells incubated for 72 hrs by MTT assay
    [PMID: 22867019]
    A549 IC50
    5237.6 nM
    Compound: Irinotecan
    Cytotoxicity against human A549 cells assessed as growth inhibition measured after 72 hrs by MTT assay
    Cytotoxicity against human A549 cells assessed as growth inhibition measured after 72 hrs by MTT assay
    [PMID: 31881457]
    A549 IC50
    6.4 μM
    Compound: IRT
    Cytotoxicity against human A549 cells after 3 days by MTT assay
    Cytotoxicity against human A549 cells after 3 days by MTT assay
    [PMID: 20942490]
    A549 IC50
    6.528 μM
    Compound: irinotecan
    Antitumor activity against human A549 cells after 4 hrs by MTT assay
    Antitumor activity against human A549 cells after 4 hrs by MTT assay
    [PMID: 18207748]
    A549 IC50
    8.31 μM
    Compound: 2; CPT-11
    Cytotoxicity against human A549 cells after 72 hrs by SRB assay
    Cytotoxicity against human A549 cells after 72 hrs by SRB assay
    [PMID: 28789891]
    A549 IC50
    8300 nM
    Compound: 2
    Cytotoxicity against human A549 cells after 72 hrs by SRB assay
    Cytotoxicity against human A549 cells after 72 hrs by SRB assay
    [PMID: 28927790]
    A549 IC50
    8300 nM
    Compound: 2
    Cytotoxicity against human A549 cells after 72 hrs by sulforhodamine B assay
    Cytotoxicity against human A549 cells after 72 hrs by sulforhodamine B assay
    [PMID: 28285912]
    A549 IC50
    9.48 μM
    Compound: 3
    Cytotoxicity against human A549 cells by SRB assay
    Cytotoxicity against human A549 cells by SRB assay
    [PMID: 23102893]
    A549 IC50
    9.48 μM
    Compound: 3
    Cytotoxicity against human A549 cells after 72 hrs by sulforhodamine B colorimetric assay
    Cytotoxicity against human A549 cells after 72 hrs by sulforhodamine B colorimetric assay
    [PMID: 26994847]
    A549 IC50
    9.5 μM
    Compound: 3
    Cytotoxicity against human A549 cells after 72 hrs by SRB assay
    Cytotoxicity against human A549 cells after 72 hrs by SRB assay
    [PMID: 25003995]
    A549 IC50
    9140 nM
    Compound: 5
    Cytotoxicity against human A549 cells incubated for 48 hrs by by SpectraMax M5 microplate reader analysis
    Cytotoxicity against human A549 cells incubated for 48 hrs by by SpectraMax M5 microplate reader analysis
    [PMID: 34175539]
    Bone marrow cell IC50
    1 nM
    Compound: 6
    Cytotoxicity against mouse bone marrow cell by CFU-GM assay
    Cytotoxicity against mouse bone marrow cell by CFU-GM assay
    [PMID: 21341674]
    Bone marrow cell IC50
    110 nM
    Compound: 6
    Cytotoxicity against human bone marrow cell by CFU-GM assay
    Cytotoxicity against human bone marrow cell by CFU-GM assay
    [PMID: 21341674]
    CAPAN-1 IC50
    1.5 μM
    Compound: Irinotecan
    Antiproliferative activity against human Capan1 cells after 72 hrs by SRB assay
    Antiproliferative activity against human Capan1 cells after 72 hrs by SRB assay
    [PMID: 29150335]
    CAPAN-1 IC50
    1121 nM
    Compound: Irinotecan
    Antiproliferative activity against human Capan1 cells assessed as reduction in cell viability after 72 hrs by SRB assay
    Antiproliferative activity against human Capan1 cells assessed as reduction in cell viability after 72 hrs by SRB assay
    [PMID: 32352777]
    CCD-18Co IC50
    18.5 μM
    Compound: Irinotecan
    Antiproliferative activity against human CCD-18Co cells assessed as reduction in cell viability measured after 72 hrs by SRB assay
    Antiproliferative activity against human CCD-18Co cells assessed as reduction in cell viability measured after 72 hrs by SRB assay
    [PMID: 35544614]
    CCD-841CoN IC50
    13.2 μM
    Compound: Irinotecan
    Antiproliferative activity against human CCD-841CoN cells assessed as reduction in cell viability measured after 72 hrs by SRB assay
    Antiproliferative activity against human CCD-841CoN cells assessed as reduction in cell viability measured after 72 hrs by SRB assay
    [PMID: 35544614]
    CCD-841CoN IC50
    90.25 μM
    Compound: 1c
    Cytotoxicity against human CCD-841CoN cells assessed as inhibition of cell growth measured after 72 hrs
    Cytotoxicity against human CCD-841CoN cells assessed as inhibition of cell growth measured after 72 hrs
    [PMID: 34048881]
    DG-75 IC50
    > 10 μM
    Compound: Irinotecan
    Antiproliferative activity against human DG75 cells after 72 hrs by MTT assay
    Antiproliferative activity against human DG75 cells after 72 hrs by MTT assay
    [PMID: 29150335]
    DLD-1 IC50
    25.1 μM
    Compound: Irinotecan
    Cytotoxicity against human DLD1 cells assessed as growth inhibition after 72 hrs by Alamar Blue assay
    Cytotoxicity against human DLD1 cells assessed as growth inhibition after 72 hrs by Alamar Blue assay
    [PMID: 24583355]
    DU-145 IC50
    2.8 μM
    Compound: Irinotecan
    Antiproliferative activity against human DU145 cells after 72 hrs by SRB assay
    Antiproliferative activity against human DU145 cells after 72 hrs by SRB assay
    [PMID: 29150335]
    DU-145 IC50
    200 nM
    Compound: 6
    Cytotoxicity against human DU145 cells after 72 hrs by alamar blue assay
    Cytotoxicity against human DU145 cells after 72 hrs by alamar blue assay
    [PMID: 21341674]
    DU-145 IC50
    9.3 μM
    Compound: 3
    Cytotoxicity against human DU145 cells after 72 hrs by SRB assay
    Cytotoxicity against human DU145 cells after 72 hrs by SRB assay
    [PMID: 25003995]
    DU-145 IC50
    9.3 μM
    Compound: 3
    Cytotoxicity against human DU145 cells by SRB assay
    Cytotoxicity against human DU145 cells by SRB assay
    [PMID: 23102893]
    H69AR IC50
    250 nM
    Compound: 6
    Cytotoxicity against human H69AR cells overexpressing MDR1 after 72 hrs by alamar blue assay
    Cytotoxicity against human H69AR cells overexpressing MDR1 after 72 hrs by alamar blue assay
    [PMID: 21341674]
    HCT-116 IC50
    > 100 μM
    Compound: 2
    Antitumor activity against human HCT-116 cells assessed as inhibition of cell growth measured after 48 hrs by MTT assay
    Antitumor activity against human HCT-116 cells assessed as inhibition of cell growth measured after 48 hrs by MTT assay
    [PMID: 32668379]
    HCT-116 IC50
    0.6 μM
    Compound: Irinotecan
    Antiproliferative activity against human HCT-116 cells harboring beta-catenin mutant assessed as reduction in cell viability measured after 72 hrs by SRB assay
    Antiproliferative activity against human HCT-116 cells harboring beta-catenin mutant assessed as reduction in cell viability measured after 72 hrs by SRB assay
    [PMID: 35544614]
    HCT-116 IC50
    12.03 μM
    Compound: Irinotecan
    Cytotoxicity against human HCT-116 cells assessed as reduction in cell viability incubated for 72 hrs by PrestoBlue reagent based assay
    Cytotoxicity against human HCT-116 cells assessed as reduction in cell viability incubated for 72 hrs by PrestoBlue reagent based assay
    [PMID: 34459195]
    HCT-116 IC50
    14.22 μM
    Compound: CPT-11
    Anticancer activity against human HCT-116 cells assessed as inhibition of cell growth by MTT assay
    Anticancer activity against human HCT-116 cells assessed as inhibition of cell growth by MTT assay
    [PMID: 36639036]
    HCT-116 IC50
    1633.47 nM
    Compound: Irinotecan
    Antiproliferative activity against human HCT116 cells after 72 hrs by SRB assay
    Antiproliferative activity against human HCT116 cells after 72 hrs by SRB assay
    [PMID: 30115492]
    HCT-116 IC50
    18.6 μM
    Compound: IRT
    Cytotoxicity against human HCT116 cells after 72 hrs by MTT assay
    Cytotoxicity against human HCT116 cells after 72 hrs by MTT assay
    [PMID: 26226379]
    HCT-116 IC50
    2 μM
    Compound: Irinotecan
    Antiproliferative activity against human HCT116 cells after 24 to 72 hrs by SRB assay
    Antiproliferative activity against human HCT116 cells after 24 to 72 hrs by SRB assay
    [PMID: 26595875]
    HCT-116 IC50
    4.4 nM
    Compound: CPT-11
    Anticancer activity against human HCT-116 cells assessed as inhibition of cell proliferation measured after 72 hrs by MTT assay
    Anticancer activity against human HCT-116 cells assessed as inhibition of cell proliferation measured after 72 hrs by MTT assay
    [PMID: 33221063]
    HCT-116 IC50
    498 nM
    Compound: Irinotecan
    Antiproliferative activity against human HCT116 cells assessed as reduction in cell viability after 72 hrs by SRB assay
    Antiproliferative activity against human HCT116 cells assessed as reduction in cell viability after 72 hrs by SRB assay
    [PMID: 32352777]
    HCT-116 IC50
    6.3 μM
    Compound: IRT
    Antiproliferative activity against human HCT116 cells after 72 hrs by MTT assay
    Antiproliferative activity against human HCT116 cells after 72 hrs by MTT assay
    [PMID: 28351590]
    HCT-116 GI50
    7.1 μM
    Compound: IRT
    Cytotoxicity against human HCT116 cells incubated for 72 hrs by MTT assay
    Cytotoxicity against human HCT116 cells incubated for 72 hrs by MTT assay
    [PMID: 22867019]
    HCT-116 IC50
    9.7 μM
    Compound: Irinotecan
    Cytotoxicity against human HCT-116 cells assessed as reduction in cell viability measured after 72 hrs by SRB assay
    Cytotoxicity against human HCT-116 cells assessed as reduction in cell viability measured after 72 hrs by SRB assay
    [PMID: 32736230]
    HCT-15 IC50
    2.7 μM
    Compound: Irinotecan
    Antiproliferative activity against human HCT-15 cells harboring wild type beta-catenin assessed as reduction in cell viability measured after 72 hrs by SRB assay
    Antiproliferative activity against human HCT-15 cells harboring wild type beta-catenin assessed as reduction in cell viability measured after 72 hrs by SRB assay
    [PMID: 35544614]
    HCT-15 IC50
    8.5 μM
    Compound: Irinotecan
    Antiproliferative activity against human HCT15 cells after 24 to 72 hrs by SRB assay
    Antiproliferative activity against human HCT15 cells after 24 to 72 hrs by SRB assay
    [PMID: 26595875]
    HEK293 IC50
    > 100 μM
    Compound: 2
    Cytotoxicity against human HEK293 cells assessed as reduction in cell viability measured after 48 hrs by MTT assay
    Cytotoxicity against human HEK293 cells assessed as reduction in cell viability measured after 48 hrs by MTT assay
    [PMID: 32668379]
    HEK293 IC50
    2.1 μM
    Compound: irinotecan
    Inhibition of human MATE1-mediated [14]-metformin uptake expressed in HEK293 cells after 1.5 mins by scintillation counting analysis
    Inhibition of human MATE1-mediated [14]-metformin uptake expressed in HEK293 cells after 1.5 mins by scintillation counting analysis
    [PMID: 23241029]
    HEK293 IC50
    2.7 μM
    Compound: irinotecan
    Inhibition of human OCT2-mediated ASP+ uptake expressed in HEK293 cells after 3 mins by fluorescence assay
    Inhibition of human OCT2-mediated ASP+ uptake expressed in HEK293 cells after 3 mins by fluorescence assay
    [PMID: 23241029]
    HEK293 IC50
    20.8 μM
    Compound: irinotecan
    Inhibition of human OCT1-mediated ASP+ uptake expressed in HEK293 cells after 3 mins by fluorescence assay
    Inhibition of human OCT1-mediated ASP+ uptake expressed in HEK293 cells after 3 mins by fluorescence assay
    [PMID: 23241029]
    HEK293 IC50
    7.9 μM
    Compound: irinotecan
    Inhibition of human MATE2K-mediated ASP+ uptake expressed in HEK293 cells up to 500 uM after 1.5 mins by fluorescence assay
    Inhibition of human MATE2K-mediated ASP+ uptake expressed in HEK293 cells up to 500 uM after 1.5 mins by fluorescence assay
    [PMID: 23241029]
    HEK293 IC50
    7.9 μM
    Compound: irinotecan
    Inhibition of human MATE1-mediated ASP+ uptake expressed in HEK293 cells after 1.5 mins by fluorescence assay
    Inhibition of human MATE1-mediated ASP+ uptake expressed in HEK293 cells after 1.5 mins by fluorescence assay
    [PMID: 23241029]
    HEK293 IC50
    74.6 μM
    Compound: irinotecan
    Inhibition of human OCT3-mediated ASP+ uptake expressed in HEK293 cells after 3 mins by fluorescence assay
    Inhibition of human OCT3-mediated ASP+ uptake expressed in HEK293 cells after 3 mins by fluorescence assay
    [PMID: 23241029]
    HEK293 IC50
    78.6 μM
    Compound: irinotecan
    Inhibition of human MATE2K-mediated ASP+ uptake expressed in HEK293 cells after 1.5 mins by fluorescence assay
    Inhibition of human MATE2K-mediated ASP+ uptake expressed in HEK293 cells after 1.5 mins by fluorescence assay
    [PMID: 23241029]
    HEK-293T IC50
    19.83 μM
    Compound: CPT-11
    Cytotoxicity against HEK293T cells assessed as inhibition of cell growth by MTT assay
    Cytotoxicity against HEK293T cells assessed as inhibition of cell growth by MTT assay
    [PMID: 36639036]
    HeLa GI50
    > 1 μM
    Compound: irinotecan
    Growth inhibition of HeLa cells after 4 days
    Growth inhibition of HeLa cells after 4 days
    [PMID: 17418582]
    HeLa IC50
    32 nM
    Compound: Irinotecan
    Antiproliferative activity against human HeLa cells after 72 hrs by MTT assay
    Antiproliferative activity against human HeLa cells after 72 hrs by MTT assay
    [PMID: 30660827]
    HeLa IC50
    5.8 μM
    Compound: Irinotecan
    Antiproliferative activity against human HeLa cells after 72 hrs by SRB assay
    Antiproliferative activity against human HeLa cells after 72 hrs by SRB assay
    [PMID: 29150335]
    Hep 3B2 GI50
    4.73 μM
    Compound: Irinotecan
    Growth inhibition of human Hep3B cells after 72 hrs by XTT assay
    Growth inhibition of human Hep3B cells after 72 hrs by XTT assay
    [PMID: 22079254]
    Hep 3B2 GI50
    4.73 μM
    Compound: Irinotecan
    Antiproliferative activity against human Hep3B cells after 72 hrs by XTT assay
    Antiproliferative activity against human Hep3B cells after 72 hrs by XTT assay
    [PMID: 19796956]
    HepG2 IC50
    > 100 μM
    Compound: 2
    Antitumor activity against human HepG2 cells assessed as inhibition of cell growth measured after 48 hrs by MTT assay
    Antitumor activity against human HepG2 cells assessed as inhibition of cell growth measured after 48 hrs by MTT assay
    [PMID: 32668379]
    HepG2 IC50
    0.9 μM
    Compound: Irinotecan
    Cytotoxicity against human HepG2 cells assessed as reduction in cell viability after 24 hrs by MTS assay
    Cytotoxicity against human HepG2 cells assessed as reduction in cell viability after 24 hrs by MTS assay
    [PMID: 26841168]
    HepG2 IC50
    34.07 μM
    Compound: IR
    Cytotoxicity against human HepG2 cells assessed as cell growth inhibition measured after 48 hrs by MTT assay
    Cytotoxicity against human HepG2 cells assessed as cell growth inhibition measured after 48 hrs by MTT assay
    [PMID: 35964428]
    HepG2 IC50
    4 μM
    Compound: Irinotecan
    Antiproliferative activity against human HepG2 cells after 72 hrs by SRB assay
    Antiproliferative activity against human HepG2 cells after 72 hrs by SRB assay
    [PMID: 29150335]
    HepG2 GI50
    5.94 μM
    Compound: Irinotecan
    Growth inhibition of human HepG2 cells after 72 hrs by XTT assay
    Growth inhibition of human HepG2 cells after 72 hrs by XTT assay
    [PMID: 22079254]
    HepG2 GI50
    5.94 μM
    Compound: Irinotecan
    Antiproliferative activity against human HepG2 cells after 72 hrs by XTT assay
    Antiproliferative activity against human HepG2 cells after 72 hrs by XTT assay
    [PMID: 19796956]
    HL-60 IC50
    32 nM
    Compound: Irinotecan
    Antiproliferative activity against human HL60 cells after 72 hrs by MTT assay
    Antiproliferative activity against human HL60 cells after 72 hrs by MTT assay
    [PMID: 30660827]
    HL-60 IC50
    4.24 μM
    Compound: 1c
    Cytotoxicity against human HL-60 cells assessed as inhibition of cell growth measured after 72 hrs
    Cytotoxicity against human HL-60 cells assessed as inhibition of cell growth measured after 72 hrs
    [PMID: 34048881]
    HT-29 IC50
    1.9 μM
    Compound: Irinotecan
    Antiproliferative activity against human HT-29 cells assessed as cellular DNA content after 72 hrs by CyQUANT NF fluorescence assay
    Antiproliferative activity against human HT-29 cells assessed as cellular DNA content after 72 hrs by CyQUANT NF fluorescence assay
    [PMID: 26731300]
    HT-29 IC50
    220 nM
    Compound: 6
    Cytotoxicity against human HT-29 cells after 72 hrs by alamar blue assay
    Cytotoxicity against human HT-29 cells after 72 hrs by alamar blue assay
    [PMID: 21341674]
    HT-29 IC50
    3.55 μM
    Compound: Irinotecan
    Antiproliferative activity against human HT-29 cells assessed as reduction in cell viability incubated for 24 hrs in hypoxia condition by MTT assay
    Antiproliferative activity against human HT-29 cells assessed as reduction in cell viability incubated for 24 hrs in hypoxia condition by MTT assay
    [PMID: 31675512]
    HT-29 IC50
    3.96 μM
    Compound: Irinotecan
    Antiproliferative activity against human HT-29 cells assessed as reduction in cell viability incubated for 24 hrs by MTT assay
    Antiproliferative activity against human HT-29 cells assessed as reduction in cell viability incubated for 24 hrs by MTT assay
    [PMID: 31675512]
    HT-29 IC50
    4.8 μM
    Compound: Irinotecan
    Antiproliferative activity against human HT-29 cells after 72 hrs by SRB assay
    Antiproliferative activity against human HT-29 cells after 72 hrs by SRB assay
    [PMID: 29150335]
    HT-29 IC50
    6.85 μM
    Compound: 1c
    Cytotoxicity against human HT-29 cells assessed as inhibition of cell growth measured after 72 hrs
    Cytotoxicity against human HT-29 cells assessed as inhibition of cell growth measured after 72 hrs
    [PMID: 34048881]
    HT-29 IC50
    82.75 μM
    Compound: Irinotecan
    Cytotoxicity against human HT-29 cells assessed as growth inhibition after 72 hrs by Alamar Blue assay
    Cytotoxicity against human HT-29 cells assessed as growth inhibition after 72 hrs by Alamar Blue assay
    [PMID: 24583355]
    HT-29 IC50
    9.5 μM
    Compound: Irinotecan
    Cytotoxicity against human HT-29 cells assessed as reduction in cell viability measured after 72 hrs by SRB assay
    Cytotoxicity against human HT-29 cells assessed as reduction in cell viability measured after 72 hrs by SRB assay
    [PMID: 32736230]
    IGROV-1 IC50
    30 nM
    Compound: 6
    Cytotoxicity against human IGROV1 cells after 72 hrs by alamar blue assay
    Cytotoxicity against human IGROV1 cells after 72 hrs by alamar blue assay
    [PMID: 21341674]
    JeKo-1 IC50
    > 10 μM
    Compound: Irinotecan
    Antiproliferative activity against human JeKo1 cells after 72 hrs by MTT assay
    Antiproliferative activity against human JeKo1 cells after 72 hrs by MTT assay
    [PMID: 29150335]
    K562 GI50
    1.9 μM
    Compound: Irinotecan
    Antiproliferative activity against human K562 cells after 72 hrs
    Antiproliferative activity against human K562 cells after 72 hrs
    [PMID: 25420175]
    KB IC50
    6314.3 nM
    Compound: Irinotecan
    Cytotoxicity against human KB cells assessed as growth inhibition measured after 72 hrs by MTT assay
    Cytotoxicity against human KB cells assessed as growth inhibition measured after 72 hrs by MTT assay
    [PMID: 31881457]
    KB IC50
    7.99 μM
    Compound: 2; CPT-11
    Cytotoxicity against human KB cells after 72 hrs by SRB assay
    Cytotoxicity against human KB cells after 72 hrs by SRB assay
    [PMID: 28789891]
    KB IC50
    7990 nM
    Compound: 2
    Cytotoxicity against human KB cells after 72 hrs by SRB assay
    Cytotoxicity against human KB cells after 72 hrs by SRB assay
    [PMID: 28927790]
    KB IC50
    7990 nM
    Compound: 2
    Cytotoxicity against human KB cells after 72 hrs by sulforhodamine B assay
    Cytotoxicity against human KB cells after 72 hrs by sulforhodamine B assay
    [PMID: 28285912]
    KB IC50
    9.8 μM
    Compound: 3
    Cytotoxicity against human KB cells after 72 hrs by SRB assay
    Cytotoxicity against human KB cells after 72 hrs by SRB assay
    [PMID: 25003995]
    KB IC50
    9.828 μM
    Compound: 3
    Cytotoxicity against human KB cells after 72 hrs by sulforhodamine B colorimetric assay
    Cytotoxicity against human KB cells after 72 hrs by sulforhodamine B colorimetric assay
    [PMID: 26994847]
    KB IC50
    9.83 μM
    Compound: 3
    Cytotoxicity against human KB cells by SRB assay
    Cytotoxicity against human KB cells by SRB assay
    [PMID: 23102893]
    KB 3-1 IC50
    0.68 μM
    Compound: Irinotecan
    Cytotoxicity against human KB3-1 cells by MTT method
    Cytotoxicity against human KB3-1 cells by MTT method
    [PMID: 18771930]
    KB-V1 IC50
    40 μM
    Compound: Irinotecan
    Cytotoxicity against human KBV1 cells by MTT method
    Cytotoxicity against human KBV1 cells by MTT method
    [PMID: 18771930]
    KM-H2 IC50
    > 10 μM
    Compound: Irinotecan
    Antiproliferative activity against human KM-H2 cells after 72 hrs by MTT assay
    Antiproliferative activity against human KM-H2 cells after 72 hrs by MTT assay
    [PMID: 29150335]
    L02 IC50
    1305 nM
    Compound: Irinotecan
    Cytotoxicity agains human HL7702 cells assessed as reduction in cell viability after 72 hrs by SRB assay
    Cytotoxicity agains human HL7702 cells assessed as reduction in cell viability after 72 hrs by SRB assay
    [PMID: 32352777]
    L02 IC50
    22.22 μM
    Compound: CPT-11
    Cytotoxicity against human L02 cells assessed as inhibition of cell growth by MTT assay
    Cytotoxicity against human L02 cells assessed as inhibition of cell growth by MTT assay
    [PMID: 36639036]
    L-428 IC50
    > 10 μM
    Compound: Irinotecan
    Antiproliferative activity against human L428 cells after 72 hrs by MTT assay
    Antiproliferative activity against human L428 cells after 72 hrs by MTT assay
    [PMID: 29150335]
    LNCaP IC50
    9 nM
    Compound: 6
    Cytotoxicity against human LNCAP cells after 72 hrs by alamar blue assay
    Cytotoxicity against human LNCAP cells after 72 hrs by alamar blue assay
    [PMID: 21341674]
    LoVo IC50
    4.99 μM
    Compound: 3, Camptosar
    Cytotoxicity against human LoVo cells after 72 hrs by MTT assay
    Cytotoxicity against human LoVo cells after 72 hrs by MTT assay
    [PMID: 20371183]
    LoVo IC50
    8.8 μM
    Compound: IRT
    Cytotoxicity against human LoVo cells after 3 days by MTT assay
    Cytotoxicity against human LoVo cells after 3 days by MTT assay
    [PMID: 20942490]
    LoVo IC50
    9.015 μM
    Compound: irinotecan
    Antitumor activity against human LOVO cells after 4 hrs by MTT assay
    Antitumor activity against human LOVO cells after 4 hrs by MTT assay
    [PMID: 18207748]
    LS174T IC50
    0.7 μM
    Compound: Irinotecan
    Antiproliferative activity against human LS174T cells harboring beta-catenin mutant assessed as reduction in cell viability measured after 72 hrs by SRB assay
    Antiproliferative activity against human LS174T cells harboring beta-catenin mutant assessed as reduction in cell viability measured after 72 hrs by SRB assay
    [PMID: 35544614]
    LS174T IC50
    1.16 μM
    Compound: irinotecan
    Cytotoxicity against human LS174T cells after 96 hrs by MTT assay
    Cytotoxicity against human LS174T cells after 96 hrs by MTT assay
    [PMID: 18513976]
    Malme-3M IC50
    200 nM
    Compound: 6
    Cytotoxicity against human MALME-3M cells after 72 hrs by alamar blue assay
    Cytotoxicity against human MALME-3M cells after 72 hrs by alamar blue assay
    [PMID: 21341674]
    MCF7 GI50
    > 1 μM
    Compound: irinotecan
    Growth inhibition of adriamycin-resistant MCF7 cells after 4 days
    Growth inhibition of adriamycin-resistant MCF7 cells after 4 days
    [PMID: 17418582]
    MCF7 GI50
    > 1 μM
    Compound: irinotecan
    Growth inhibition of MCF7 cells after 4 days
    Growth inhibition of MCF7 cells after 4 days
    [PMID: 17418582]
    MCF7 GI50
    > 10 μM
    Compound: Irinotecan
    Growth inhibition of human MCF7 cells after 72 hrs by XTT assay
    Growth inhibition of human MCF7 cells after 72 hrs by XTT assay
    [PMID: 22079254]
    MCF7 IC50
    0.16 μM
    Compound: Irinotecan
    Synergistic cytotoxicity against human MCF7 cells measured after 6 days in presence of 50 nM AZD0156 by SRB assay
    Synergistic cytotoxicity against human MCF7 cells measured after 6 days in presence of 50 nM AZD0156 by SRB assay
    [PMID: 35231830]
    MCF7 IC50
    0.21 μM
    Compound: Irinotecan
    Cytotoxicity against human MCF7 cells assessed as combination index measured after 6 days in presence of 5 uM 2(((24(2,4-dichlorobenzyl)oxy)naphthalen-1-yl)methyl)amino)ethan-1-ol by SRB assay
    Cytotoxicity against human MCF7 cells assessed as combination index measured after 6 days in presence of 5 uM 2(((24(2,4-dichlorobenzyl)oxy)naphthalen-1-yl)methyl)amino)ethan-1-ol by SRB assay
    [PMID: 35231830]
    MCF7 IC50
    0.5 μM
    Compound: Irinotecan
    Cytotoxicity against human MCF7 cells assessed as reduction in cell viability after 24 hrs by MTS assay
    Cytotoxicity against human MCF7 cells assessed as reduction in cell viability after 24 hrs by MTS assay
    [PMID: 26841168]
    MCF7 IC50
    0.8 μM
    Compound: Irinotecan
    Cytotoxicity against human MCF7 cells incubated for 24 hrs by MTT assay
    Cytotoxicity against human MCF7 cells incubated for 24 hrs by MTT assay
    [PMID: 31891260]
    MCF7 IC50
    0.8 μM
    Compound: CPT11
    Cytotoxicity against human MCF7 cells by MTT assay
    Cytotoxicity against human MCF7 cells by MTT assay
    [PMID: 33915258]
    MCF7 IC50
    0.9 μM
    Compound: Irinotecan
    Antiproliferative activity against human MCF7 cells assessed as cellular DNA content after 96 hrs by CyQUANT NF fluorescence assay
    Antiproliferative activity against human MCF7 cells assessed as cellular DNA content after 96 hrs by CyQUANT NF fluorescence assay
    [PMID: 26731300]
    MCF7 IC50
    1.68 μM
    Compound: Irinotecan
    Cytotoxicity against human MCF7 cells measured after 6 days in presence of 5 uM 2(((24(2,4-dichlorobenzyl)oxy)naphthalen-1-yl)methyl)amino)ethan-1-ol by SRB assay
    Cytotoxicity against human MCF7 cells measured after 6 days in presence of 5 uM 2(((24(2,4-dichlorobenzyl)oxy)naphthalen-1-yl)methyl)amino)ethan-1-ol by SRB assay
    [PMID: 35231830]
    MCF7 IC50
    1.88 μM
    Compound: Irinotecan
    Antagonistic cytotoxicity against human MCF7 cells in presence of 10 uM 3-Chloro-4-methoxy-N-((4-(oxazolo[4,5-b]pyridin-2-yl)phenyl)carbamothioyl)benzamide measured after 6 days by SRB assay
    Antagonistic cytotoxicity against human MCF7 cells in presence of 10 uM 3-Chloro-4-methoxy-N-((4-(oxazolo[4,5-b]pyridin-2-yl)phenyl)carbamothioyl)benzamide measured after 6 days by SRB assay
    [PMID: 35231830]
    MCF7 IC50
    1.98 μM
    Compound: Irinotecan
    Synergistic cytotoxicity against human MCF7 cells measured after 6 days in presence of 5 uM KU60019 by SRB assay
    Synergistic cytotoxicity against human MCF7 cells measured after 6 days in presence of 5 uM KU60019 by SRB assay
    [PMID: 35231830]
    MCF7 IC50
    11.32 μM
    Compound: 2; CPT-11
    Cytotoxicity against human MCF7 cells after 72 hrs by SRB assay
    Cytotoxicity against human MCF7 cells after 72 hrs by SRB assay
    [PMID: 28789891]
    MCF7 IC50
    11300 nM
    Compound: 2
    Cytotoxicity against human MCF7 cells after 72 hrs by SRB assay
    Cytotoxicity against human MCF7 cells after 72 hrs by SRB assay
    [PMID: 28927790]
    MCF7 IC50
    11300 nM
    Compound: 2
    Cytotoxicity against human MCF7 cells after 72 hrs by sulforhodamine B assay
    Cytotoxicity against human MCF7 cells after 72 hrs by sulforhodamine B assay
    [PMID: 28285912]
    MCF7 IC50
    12.25 μM
    Compound: Ir
    Cytotoxicity against human MCF-7 cells assessed as reduction in cell growth by MTT assay
    Cytotoxicity against human MCF-7 cells assessed as reduction in cell growth by MTT assay
    [PMID: 31972391]
    MCF7 IC50
    14.1 μM
    Compound: 1c
    Cytotoxicity against human MCF7 cells assessed as inhibition of cell growth measured after 72 hrs
    Cytotoxicity against human MCF7 cells assessed as inhibition of cell growth measured after 72 hrs
    [PMID: 34048881]
    MCF7 IC50
    17.403 μM
    Compound: irinotecan
    Antitumor activity against human MCF7 cells after 4 hrs by MTT assay
    Antitumor activity against human MCF7 cells after 4 hrs by MTT assay
    [PMID: 18207748]
    MCF7 IC50
    2.42 μM
    Compound: Irinotecan
    Antagonistic cytotoxicity against human MCF7 cells in presence of 30 uM 3-Chloro-4-methoxy-N-((4-(oxazolo[4,5-b]pyridin-2-yl)phenyl)carbamothioyl)benzamide measured after 6 days by SRB assay
    Antagonistic cytotoxicity against human MCF7 cells in presence of 30 uM 3-Chloro-4-methoxy-N-((4-(oxazolo[4,5-b]pyridin-2-yl)phenyl)carbamothioyl)benzamide measured after 6 days by SRB assay
    [PMID: 35231830]
    MCF7 IC50
    26.33 μM
    Compound: Irinotecan
    Synergistic cytotoxicity against human MCF7 cells in presence of 10 uM 3-Chloro-4-methoxy-N-((4-(oxazolo[4,5-b]pyridin-2-yl)phenyl)carbamothioyl)benzamide measured after 2 days by SRB assay
    Synergistic cytotoxicity against human MCF7 cells in presence of 10 uM 3-Chloro-4-methoxy-N-((4-(oxazolo[4,5-b]pyridin-2-yl)phenyl)carbamothioyl)benzamide measured after 2 days by SRB assay
    [PMID: 35231830]
    MCF7 IC50
    38.1 μM
    Compound: Irinotecan
    Antagonistic cytotoxicity against human MCF7 cells measured after 2 days in presence of 5 uM KU55933 by SRB assay
    Antagonistic cytotoxicity against human MCF7 cells measured after 2 days in presence of 5 uM KU55933 by SRB assay
    [PMID: 35231830]
    MCF7 IC50
    38.1 μM
    Compound: Irinotecan
    Antagonistic cytotoxicity against human MCF7 cells measured after 2 days in presence of 5 uM KU60019 by SRB assay
    Antagonistic cytotoxicity against human MCF7 cells measured after 2 days in presence of 5 uM KU60019 by SRB assay
    [PMID: 35231830]
    MCF7 IC50
    39.2 μM
    Compound: Irinotecan
    Antagonistic cytotoxicity against human MCF7 cells measured after 2 days in presence of 50 nM AZD0156 by SRB assay
    Antagonistic cytotoxicity against human MCF7 cells measured after 2 days in presence of 50 nM AZD0156 by SRB assay
    [PMID: 35231830]
    MCF7 IC50
    42.4 μM
    Compound: Irinotecan
    Antagonistic cytotoxicity against human MCF7 cells measured after 2 days in presence of 5 uM 2(((24(2,4-dichlorobenzyl)oxy)naphthalen-1-yl)methyl)amino)ethan-1-ol by SRB assay
    Antagonistic cytotoxicity against human MCF7 cells measured after 2 days in presence of 5 uM 2(((24(2,4-dichlorobenzyl)oxy)naphthalen-1-yl)methyl)amino)ethan-1-ol by SRB assay
    [PMID: 35231830]
    MDA-MB-231 IC50
    14282 nM
    Compound: Irinotecan
    Cytotoxicity against human MDA-MB-231 cells assessed as growth inhibition measured after 72 hrs by MTT assay
    Cytotoxicity against human MDA-MB-231 cells assessed as growth inhibition measured after 72 hrs by MTT assay
    [PMID: 31881457]
    MDA-MB-231 IC50
    15.56 μM
    Compound: 2; CPT-11
    Cytotoxicity against human MDA-MB-231 cells after 72 hrs by SRB assay
    Cytotoxicity against human MDA-MB-231 cells after 72 hrs by SRB assay
    [PMID: 28789891]
    MDA-MB-231 IC50
    15600 nM
    Compound: 2
    Cytotoxicity against human MDA-MB-231 cells after 72 hrs by SRB assay
    Cytotoxicity against human MDA-MB-231 cells after 72 hrs by SRB assay
    [PMID: 28927790]
    MDA-MB-231 IC50
    15600 nM
    Compound: 2
    Cytotoxicity against human MDA-MB-231 cells after 72 hrs by sulforhodamine B assay
    Cytotoxicity against human MDA-MB-231 cells after 72 hrs by sulforhodamine B assay
    [PMID: 28285912]
    MDA-MB-231 GI50
    9.17 μM
    Compound: Irinotecan
    Growth inhibition of human MDA-MB-231 cells after 72 hrs by XTT assay
    Growth inhibition of human MDA-MB-231 cells after 72 hrs by XTT assay
    [PMID: 22079254]
    MDA-MB-435 IC50
    1.14 μM
    Compound: 3, Camptosar
    Cytotoxicity against human MDA-MB-435 cells after 72 hrs by MTT assay
    Cytotoxicity against human MDA-MB-435 cells after 72 hrs by MTT assay
    [PMID: 20371183]
    MDA-MB-435 GI50
    12.2 μM
    Compound: IRT
    Cytotoxicity against human MDA-MB-435 cells incubated for 72 hrs by MTT assay
    Cytotoxicity against human MDA-MB-435 cells incubated for 72 hrs by MTT assay
    [PMID: 22867019]
    MDA-MB-435 IC50
    17 μM
    Compound: IRT
    Cytotoxicity against human MDA-MB-435 cells after 3 days by MTT assay
    Cytotoxicity against human MDA-MB-435 cells after 3 days by MTT assay
    [PMID: 20942490]
    MDA-MB-435 IC50
    6.3 μM
    Compound: IRT
    Cytotoxicity against human MDA-MB-435 cells after 72 hrs by MTT assay
    Cytotoxicity against human MDA-MB-435 cells after 72 hrs by MTT assay
    [PMID: 26226379]
    MDCK-II IC50
    4.3 μM
    Compound: irinotecan
    Inhibition of human MATE1-mediated [14]-metformin uptake expressed in polarized MDCK2 cells after 5 mins by liquid scintillation counting analysis
    Inhibition of human MATE1-mediated [14]-metformin uptake expressed in polarized MDCK2 cells after 5 mins by liquid scintillation counting analysis
    [PMID: 23241029]
    MES-SA IC50
    10 nM
    Compound: 6
    Cytotoxicity against human MESSA cells after 72 hrs by alamar blue assay
    Cytotoxicity against human MESSA cells after 72 hrs by alamar blue assay
    [PMID: 21341674]
    MES-SA/Dx5 IC50
    22 nM
    Compound: 6
    Cytotoxicity against human MES-SA/Dx5 cells overexpressing MDR1 after 72 hrs by alamar blue assay
    Cytotoxicity against human MES-SA/Dx5 cells overexpressing MDR1 after 72 hrs by alamar blue assay
    [PMID: 21341674]
    MG-63 IC50
    18.09 μM
    Compound: Ir
    Cytotoxicity against human MG-63 cells assessed as reduction in cell growth by MTT assay
    Cytotoxicity against human MG-63 cells assessed as reduction in cell growth by MTT assay
    [PMID: 31972391]
    MIA PaCa-2 IC50
    1329 nM
    Compound: Irinotecan
    Antiproliferative activity against human MIAPaCa2 cells assessed as reduction in cell viability after 72 hrs by SRB assay
    Antiproliferative activity against human MIAPaCa2 cells assessed as reduction in cell viability after 72 hrs by SRB assay
    [PMID: 32352777]
    Mononuclear cell line IC50
    25.4 μM
    Compound: Irinotecan
    Cytotoxicity against patient-derived human mononuclear cells assessed as cell growth inhibition incubated for 72 hrs by FMCA assay
    Cytotoxicity against patient-derived human mononuclear cells assessed as cell growth inhibition incubated for 72 hrs by FMCA assay
    [PMID: 36018000]
    MRC5 GI50
    77.53 μM
    Compound: Irinotecan
    Cytotoxicity against human MRC5 cells after 72 hrs by XTT assay
    Cytotoxicity against human MRC5 cells after 72 hrs by XTT assay
    [PMID: 19796956]
    NB-4 IC50
    1 μM
    Compound: Irinotecan
    Antiproliferative activity against human NB4 cells after 72 hrs by MTT assay
    Antiproliferative activity against human NB4 cells after 72 hrs by MTT assay
    [PMID: 29150335]
    NCI-H1299 GI50
    > 10 μM
    Compound: Irinotecan
    Growth inhibition of human H1299 cells after 72 hrs by XTT assay
    Growth inhibition of human H1299 cells after 72 hrs by XTT assay
    [PMID: 22079254]
    NCI-H1299 GI50
    > 10 μM
    Compound: Irinotecan
    Antiproliferative activity against human H1299 cells after 72 hrs by XTT assay
    Antiproliferative activity against human H1299 cells after 72 hrs by XTT assay
    [PMID: 19796956]
    NCI-H1299 IC50
    0.22 μM
    Compound: Irinotecan
    Synergistic cytotoxicity against human NCI-H1299 cells measured in presence of 50 nM AZD0156 after 6 days by SRB assay
    Synergistic cytotoxicity against human NCI-H1299 cells measured in presence of 50 nM AZD0156 after 6 days by SRB assay
    [PMID: 35231830]
    NCI-H1299 IC50
    0.27 μM
    Compound: Irinotecan
    Synergistic cytotoxicity against human NCI-H1299 cells measured in presence of 5 uM KU60019 after 6 days by SRB assay
    Synergistic cytotoxicity against human NCI-H1299 cells measured in presence of 5 uM KU60019 after 6 days by SRB assay
    [PMID: 35231830]
    NCI-H1299 IC50
    1.67 μM
    Compound: Irinotecan
    Additive cytotoxicity against human NCI-H1299 cells measured in presence of 5 uM KU55933 after 6 days by SRB assay
    Additive cytotoxicity against human NCI-H1299 cells measured in presence of 5 uM KU55933 after 6 days by SRB assay
    [PMID: 35231830]
    NCI-H1299 IC50
    1.83 μM
    Compound: Irinotecan
    Cytotoxicity against human NCI-H1299 cells measured in presence of 5 uM 2(((2-(2,4-dichlorobenzyl)oxy)naphthalen-1-yl)methyl)amino)ethan-1-ol after 6 days by SRB assay
    Cytotoxicity against human NCI-H1299 cells measured in presence of 5 uM 2(((2-(2,4-dichlorobenzyl)oxy)naphthalen-1-yl)methyl)amino)ethan-1-ol after 6 days by SRB assay
    [PMID: 35231830]
    NCI-H1299 IC50
    11.12 μM
    Compound: Irinotecan
    Cytotoxicity against human NCI-H1299 cells measured in presence of 5 uM 2(((2-(2,4-dichlorobenzyl)oxy)naphthalen-1-yl)methyl)amino)ethan-1-ol after 2 days by SRB assay
    Cytotoxicity against human NCI-H1299 cells measured in presence of 5 uM 2(((2-(2,4-dichlorobenzyl)oxy)naphthalen-1-yl)methyl)amino)ethan-1-ol after 2 days by SRB assay
    [PMID: 35231830]
    NCI-H1299 IC50
    13.13 μM
    Compound: Irinotecan
    Additive cytotoxicity against human NCI-H1299 cells measured in presence of 5 uM KU55933 after 2 days by SRB assay
    Additive cytotoxicity against human NCI-H1299 cells measured in presence of 5 uM KU55933 after 2 days by SRB assay
    [PMID: 35231830]
    NCI-H1299 IC50
    15.22 μM
    Compound: Irinotecan
    Antagonistic cytotoxicity against human NCI-H1299 cells measured in presence of 50 nM AZD0156 after 2 days by SRB assay
    Antagonistic cytotoxicity against human NCI-H1299 cells measured in presence of 50 nM AZD0156 after 2 days by SRB assay
    [PMID: 35231830]
    NCI-H1299 IC50
    9.83 μM
    Compound: Irinotecan
    Additive cytotoxicity against human NCI-H1299 cells measured in presence of 5 uM KU60019 after 2 days by SRB assay
    Additive cytotoxicity against human NCI-H1299 cells measured in presence of 5 uM KU60019 after 2 days by SRB assay
    [PMID: 35231830]
    NCI-H1417 IC50
    9.79 μM
    Compound: Irinotecan
    Cytotoxicity against human NCI-H1417 cells assessed as reduction in cell viability incubated for 72 hrs by PrestoBlue reagent based assay
    Cytotoxicity against human NCI-H1417 cells assessed as reduction in cell viability incubated for 72 hrs by PrestoBlue reagent based assay
    [PMID: 34459195]
    NCI-H146 IC50
    11.51 μM
    Compound: Irinotecan
    Cytotoxicity against human NCI-H146 cells assessed as reduction in cell viability incubated for 72 hrs by PrestoBlue reagent based assay
    Cytotoxicity against human NCI-H146 cells assessed as reduction in cell viability incubated for 72 hrs by PrestoBlue reagent based assay
    [PMID: 34459195]
    NCI-H1650 IC50
    39.67 μM
    Compound: Irinotecan
    Cytotoxicity against human NCI-H1650 cells assessed as reduction in cell viability incubated for 72 hrs by PrestoBlue reagent based assay
    Cytotoxicity against human NCI-H1650 cells assessed as reduction in cell viability incubated for 72 hrs by PrestoBlue reagent based assay
    [PMID: 34459195]
    NCI-H1975 IC50
    21.49 μM
    Compound: Irinotecan
    Cytotoxicity against human NCI-H1975 cells assessed as reduction in cell viability incubated for 72 hrs by PrestoBlue reagent based assay
    Cytotoxicity against human NCI-H1975 cells assessed as reduction in cell viability incubated for 72 hrs by PrestoBlue reagent based assay
    [PMID: 34459195]
    NCI-H211 IC50
    2.81 μM
    Compound: Irinotecan
    Cytotoxicity against human NCI-H211 cells assessed as reduction in cell viability incubated for 72 hrs by PrestoBlue reagent based assay
    Cytotoxicity against human NCI-H211 cells assessed as reduction in cell viability incubated for 72 hrs by PrestoBlue reagent based assay
    [PMID: 34459195]
    NCI-H2170 IC50
    18.81 μM
    Compound: Irinotecan
    Cytotoxicity against human NCI-H2170 cells assessed as reduction in cell viability incubated for 72 hrs by PrestoBlue reagent based assay
    Cytotoxicity against human NCI-H2170 cells assessed as reduction in cell viability incubated for 72 hrs by PrestoBlue reagent based assay
    [PMID: 34459195]
    NCI-H226 IC50
    4.25 μM
    Compound: Irinotecan
    Cytotoxicity against human NCI-H226 cells assessed as reduction in cell viability incubated for 72 hrs by PrestoBlue reagent based assay
    Cytotoxicity against human NCI-H226 cells assessed as reduction in cell viability incubated for 72 hrs by PrestoBlue reagent based assay
    [PMID: 34459195]
    NCI-H446 IC50
    0.01 nM
    Compound: 3
    Antiproliferative activity against human NCI-H446 cells assessed as inhibition of cell growth incubated for 72 hrs by SRB assay
    Antiproliferative activity against human NCI-H446 cells assessed as inhibition of cell growth incubated for 72 hrs by SRB assay
    [PMID: 35932565]
    NCI-H446 IC50
    0.13 nM
    Compound: 3
    Antiproliferative activity against etoposide/cisplatin combination-resistant human NCI-H446 cells assessed as inhibition of cell growth incubated for 72 hrs by SRB assay
    Antiproliferative activity against etoposide/cisplatin combination-resistant human NCI-H446 cells assessed as inhibition of cell growth incubated for 72 hrs by SRB assay
    [PMID: 35932565]
    NCI-H446 IC50
    0.15 nM
    Compound: 3
    Antiproliferative activity against Irinotecan-resistant human NCI-H446 cells assessed as inhibition of cell growth incubated for 72 hrs by SRB assay
    Antiproliferative activity against Irinotecan-resistant human NCI-H446 cells assessed as inhibition of cell growth incubated for 72 hrs by SRB assay
    [PMID: 35932565]
    NCI-H460 IC50
    15 nM
    Compound: 6
    Cytotoxicity against human H460 cells after 72 hrs by alamar blue assay
    Cytotoxicity against human H460 cells after 72 hrs by alamar blue assay
    [PMID: 21341674]
    NCI-H460 IC50
    2.4 μM
    Compound: Irinotecan
    Antiproliferative activity against human NCI-H460 cells after 72 hrs by SRB assay
    Antiproliferative activity against human NCI-H460 cells after 72 hrs by SRB assay
    [PMID: 29150335]
    NCI-H460 IC50
    27 nM
    Compound: 6
    Cytotoxicity against human H460 cells after 72 hrs by alamar blue assay in presence of 40 mg/ml HSA
    Cytotoxicity against human H460 cells after 72 hrs by alamar blue assay in presence of 40 mg/ml HSA
    [PMID: 21341674]
    NCI-H460 IC50
    5.15 μM
    Compound: Irinotecan
    Cytotoxicity against human NCI-H460 cells assessed as reduction in cell viability incubated for 72 hrs by PrestoBlue reagent based assay
    Cytotoxicity against human NCI-H460 cells assessed as reduction in cell viability incubated for 72 hrs by PrestoBlue reagent based assay
    [PMID: 34459195]
    NCI-H520 IC50
    36.16 μM
    Compound: Irinotecan
    Cytotoxicity against human NCI-H520 cells assessed as reduction in cell viability incubated for 72 hrs by PrestoBlue reagent based assay
    Cytotoxicity against human NCI-H520 cells assessed as reduction in cell viability incubated for 72 hrs by PrestoBlue reagent based assay
    [PMID: 34459195]
    NCI-H526 IC50
    0.49 μM
    Compound: Irinotecan
    Cytotoxicity against human NCI-H526 cells assessed as reduction in cell viability incubated for 72 hrs by PrestoBlue reagent based assay
    Cytotoxicity against human NCI-H526 cells assessed as reduction in cell viability incubated for 72 hrs by PrestoBlue reagent based assay
    [PMID: 34459195]
    NCI-H69 IC50
    22 nM
    Compound: 6
    Cytotoxicity against human H69 cells after 72 hrs by alamar blue assay
    Cytotoxicity against human H69 cells after 72 hrs by alamar blue assay
    [PMID: 21341674]
    NCI-H82 IC50
    2.26 μM
    Compound: Irinotecan
    Cytotoxicity against human NCI-H82 cells assessed as reduction in cell viability incubated for 72 hrs by PrestoBlue reagent based assay
    Cytotoxicity against human NCI-H82 cells assessed as reduction in cell viability incubated for 72 hrs by PrestoBlue reagent based assay
    [PMID: 34459195]
    OCI-Ly3 IC50
    > 10 μM
    Compound: Irinotecan
    Antiproliferative activity against human OCI-LY3 cells after 72 hrs by MTT assay
    Antiproliferative activity against human OCI-LY3 cells after 72 hrs by MTT assay
    [PMID: 29150335]
    Ovarian cancer cell line IC50
    75.3 μM
    Compound: Irinotecan
    Anticancer activity against patient-derived human Ovarian tumor cells assessed as tumor growth inhibition incubated for 72 hrs by FMCA assay
    Anticancer activity against patient-derived human Ovarian tumor cells assessed as tumor growth inhibition incubated for 72 hrs by FMCA assay
    [PMID: 36018000]
    PC-3 IC50
    0.8 μM
    Compound: Irinotecan
    Antiproliferative activity against human PC3 cells assessed as cellular DNA content after 72 hrs by CyQUANT NF fluorescence assay
    Antiproliferative activity against human PC3 cells assessed as cellular DNA content after 72 hrs by CyQUANT NF fluorescence assay
    [PMID: 26731300]
    PC-3 IC50
    4 nM
    Compound: 6
    Cytotoxicity against human PC3 cells after 72 hrs by alamar blue assay
    Cytotoxicity against human PC3 cells after 72 hrs by alamar blue assay
    [PMID: 21341674]
    RKO IC50
    0.7 μM
    Compound: Irinotecan
    Antiproliferative activity against human RKO cells harboring wild type beta-catenin assessed as reduction in cell viability measured after 72 hrs by SRB assay
    Antiproliferative activity against human RKO cells harboring wild type beta-catenin assessed as reduction in cell viability measured after 72 hrs by SRB assay
    [PMID: 35544614]
    RKO IC50
    6.2 μM
    Compound: Irinotecan
    Antiproliferative activity against human RKO cells after 24 to 72 hrs by SRB assay
    Antiproliferative activity against human RKO cells after 24 to 72 hrs by SRB assay
    [PMID: 26595875]
    RPMI 8402 IC50
    0.57 μM
    Compound: CPT-11(irinotecan)
    Cytotoxic activity against human lymphoblast tumor cell line RPMI8402 after 4 days of treatment
    Cytotoxic activity against human lymphoblast tumor cell line RPMI8402 after 4 days of treatment
    [PMID: 12747798]
    SK-MEL-2 IC50
    100 nM
    Compound: 6
    Cytotoxicity against human SK-MEL-2 cells after 72 hrs by alamar blue assay
    Cytotoxicity against human SK-MEL-2 cells after 72 hrs by alamar blue assay
    [PMID: 21341674]
    SK-OV-3 IC50
    13.63 μM
    Compound: Ir
    Cytotoxicity against human SK-OV-3 cells assessed as reduction in cell growth by MTT assay
    Cytotoxicity against human SK-OV-3 cells assessed as reduction in cell growth by MTT assay
    [PMID: 31972391]
    SW1990 IC50
    > 100 μM
    Compound: 2
    Antitumor activity against human SW1990 cells assessed as inhibition of cell growth measured after 48 hrs by MTT assay
    Antitumor activity against human SW1990 cells assessed as inhibition of cell growth measured after 48 hrs by MTT assay
    [PMID: 32668379]
    SW480 IC50
    < 0.12 μM
    Compound: Irinotecan
    Synergistic cytotoxicity against human SW480 cells measured after 9 days in presence of 5 uM KU60019 by SRB assay
    Synergistic cytotoxicity against human SW480 cells measured after 9 days in presence of 5 uM KU60019 by SRB assay
    [PMID: 35231830]
    SW480 IC50
    < 0.12 μM
    Compound: Irinotecan
    Synergistic cytotoxicity against human SW480 cells measured after 9 days in presence of 50 nM AZD0156 by SRB assay
    Synergistic cytotoxicity against human SW480 cells measured after 9 days in presence of 50 nM AZD0156 by SRB assay
    [PMID: 35231830]
    SW480 IC50
    0.07 μM
    Compound: Irinotecan
    Cytotoxicity against human SW480 cells measured after 9 days in presence of 5 uM 2(((24(2,4-dichlorobenzyl)oxy)naphthalen-1-yl)methyl)amino)ethan-1-ol by SRB assay
    Cytotoxicity against human SW480 cells measured after 9 days in presence of 5 uM 2(((24(2,4-dichlorobenzyl)oxy)naphthalen-1-yl)methyl)amino)ethan-1-ol by SRB assay
    [PMID: 35231830]
    SW480 IC50
    0.6 μM
    Compound: Irinotecan
    Additive cytotoxicity against human SW480 cells measured after 9 days in presence of 5 uM KU55933 by SRB assay
    Additive cytotoxicity against human SW480 cells measured after 9 days in presence of 5 uM KU55933 by SRB assay
    [PMID: 35231830]
    SW480 IC50
    1.4 μM
    Compound: Irinotecan
    Cytotoxicity against human SW480 cells assessed as reduction in cell viability after 24 hrs by MTS assay
    Cytotoxicity against human SW480 cells assessed as reduction in cell viability after 24 hrs by MTS assay
    [PMID: 26841168]
    SW480 IC50
    1.4 μM
    Compound: Irinotecan
    Cytotoxicity against human SW480 cells incubated for 24 hrs by MTT assay
    Cytotoxicity against human SW480 cells incubated for 24 hrs by MTT assay
    [PMID: 31891260]
    SW480 IC50
    1.4 μM
    Compound: CPT11
    Cytotoxicity against human SW480 cells by MTT assay
    Cytotoxicity against human SW480 cells by MTT assay
    [PMID: 33915258]
    SW480 IC50
    11.17 μM
    Compound: CPT-11
    Anticancer activity against human SW480 cells assessed as inhibition of cell growth by MTT assay
    Anticancer activity against human SW480 cells assessed as inhibition of cell growth by MTT assay
    [PMID: 36639036]
    SW480 IC50
    12.3 μM
    Compound: Irinotecan
    Antiproliferative activity against human SW480 cells after 24 to 72 hrs by SRB assay
    Antiproliferative activity against human SW480 cells after 24 to 72 hrs by SRB assay
    [PMID: 26595875]
    SW480 IC50
    12.4 μM
    Compound: Irinotecan
    Antagonistic cytotoxicity against human SW480 cells measured after 3 days in presence of 5 uM 2(((24(2,4-dichlorobenzyl)oxy)naphthalen-1-yl)methyl)amino)ethan-1-ol by SRB assay
    Antagonistic cytotoxicity against human SW480 cells measured after 3 days in presence of 5 uM 2(((24(2,4-dichlorobenzyl)oxy)naphthalen-1-yl)methyl)amino)ethan-1-ol by SRB assay
    [PMID: 35231830]
    SW480 IC50
    12.4 μM
    Compound: Irinotecan
    Antagonistic cytotoxicity against human SW480 cells measured after 3 days in presence of 50 nM AZD0156 by SRB assay
    Antagonistic cytotoxicity against human SW480 cells measured after 3 days in presence of 50 nM AZD0156 by SRB assay
    [PMID: 35231830]
    SW480 IC50
    15.4 μM
    Compound: Irinotecan
    Antagonistic cytotoxicity against human SW480 cells measured after 3 days in presence of 5 uM KU60019 by SRB assay
    Antagonistic cytotoxicity against human SW480 cells measured after 3 days in presence of 5 uM KU60019 by SRB assay
    [PMID: 35231830]
    SW480 IC50
    3.8 μM
    Compound: Irinotecan
    Antiproliferative activity against human SW480 cells harboring wild type beta-catenin assessed as reduction in cell viability measured after 72 hrs by SRB assay
    Antiproliferative activity against human SW480 cells harboring wild type beta-catenin assessed as reduction in cell viability measured after 72 hrs by SRB assay
    [PMID: 35544614]
    SW480 IC50
    7.2 μM
    Compound: Irinotecan
    Antagonistic cytotoxicity against human SW480 cells measured after 3 days in presence of 5 uM KU55933 by SRB assay
    Antagonistic cytotoxicity against human SW480 cells measured after 3 days in presence of 5 uM KU55933 by SRB assay
    [PMID: 35231830]
    SW-620 IC50
    5.1 nM
    Compound: CPT-11
    Anticancer activity against human SW-620 cells assessed as inhibition of cell proliferation measured after 72 hrs by MTT assay
    Anticancer activity against human SW-620 cells assessed as inhibition of cell proliferation measured after 72 hrs by MTT assay
    [PMID: 33221063]
    T84 IC50
    1.2 μM
    Compound: Irinotecan
    Antiproliferative activity against human T84 cells assessed as cellular DNA content after 96 hrs by CyQUANT NF fluorescence assay
    Antiproliferative activity against human T84 cells assessed as cellular DNA content after 96 hrs by CyQUANT NF fluorescence assay
    [PMID: 26731300]
    T84 IC50
    6.9 nM
    Compound: CPT-11
    Anticancer activity against human T84 cells assessed as inhibition of cell proliferation measured after 72 hrs by MTT assay
    Anticancer activity against human T84 cells assessed as inhibition of cell proliferation measured after 72 hrs by MTT assay
    [PMID: 33221063]
    U2932 IC50
    4.4 μM
    Compound: Irinotecan
    Antiproliferative activity against human U2932 cells after 72 hrs by MTT assay
    Antiproliferative activity against human U2932 cells after 72 hrs by MTT assay
    [PMID: 29150335]
    U2OS IC50
    14.21 μM
    Compound: Ir
    Cytotoxicity against human U2OS cells assessed as reduction in cell growth by MTT assay
    Cytotoxicity against human U2OS cells assessed as reduction in cell growth by MTT assay
    [PMID: 31972391]
    U-87MG ATCC IC50
    > 250 μM
    Compound: Irinotecan
    Cytotoxicity against human U87 cells assessed as growth inhibition after 72 hrs by SRB assay
    Cytotoxicity against human U87 cells assessed as growth inhibition after 72 hrs by SRB assay
    10.1039/C4MD00264D
    WiDr IC50
    13.9 μM
    Compound: Irinotecan
    Anticancer activity against human WiDr cells assessed as inhibition of cell proliferation measured after 72 hrs by MTT assay
    Anticancer activity against human WiDr cells assessed as inhibition of cell proliferation measured after 72 hrs by MTT assay
    [PMID: 34425478]
    ZR-75-30 IC50
    18 μM
    Compound: IRT
    Antiproliferative activity against human ZR-7530 cells after 72 hrs by MTT assay
    Antiproliferative activity against human ZR-7530 cells after 72 hrs by MTT assay
    [PMID: 28351590]
    体外研究
    (In Vitro)

    Irinotecan 是一种拓扑异构酶 I 抑制剂。Irinotecan 抑制 LoVo 和 HT-29 细胞的生长,IC50 分别为 15.8 和 5.17 μM,并在 LoVo 和 HT-29 细胞中诱导相似量的可裂解复合物[2]
    Irinotecan 抑制人脐静脉内皮细胞 (HUVEC) 的增殖,IC50 为 1.3 μM[3]

    MCE has not independently confirmed the accuracy of these methods. They are for reference only.

    体内研究
    (In Vivo)

    Irinotecan(CPT-11,5 mg/kg)连续5天每天瘤内注射,连续2周,可显著抑制大鼠肿瘤生长,通过渗透微泵持续腹膜内输注给小鼠也能看到这种效果。然而,Irinotecan(10 mg/kg)腹腔注射对肿瘤生长没有影响[1]
    Irinotecan (CPT-11, 100-300 mg/kg, ip) 在第 21 天明显抑制了无胸腺雌性小鼠中 HT-29 异种移植瘤的肿瘤生长。Irinotecan (125 mg/kg) 加 TSP-1 (10 mg/kg/天) 或 Irinotecan (150 mg/kg) 加 TSP-1 (20 mg/kg/天) 两组疗效几乎相同,分别抑制肿瘤生长 84% 和 89%,且均比单独使用 Irinotecan (250 和 300 mg/kg 剂量) 更有效[3]

    MCE has not independently confirmed the accuracy of these methods. They are for reference only.

    Clinical Trial
    分子量

    586.68

    Formula

    C33H38N4O6

    CAS 号
    性状

    固体

    颜色

    White to yellow

    中文名称

    伊立替康;依立替康

    运输条件

    Room temperature in continental US; may vary elsewhere.

    储存方式

    4°C, protect from light

    *In solvent : -80°C, 6 months; -20°C, 1 month (protect from light)

    溶解性数据
    细胞实验: 

    DMSO 中的溶解度 : 25 mg/mL (42.61 mM; 超声助溶; 吸湿的 DMSO 对产品的溶解度有显著影响,请使用新开封的 DMSO)

    配制储备液
    浓度 溶剂体积 质量 1 mg 5 mg 10 mg
    1 mM 1.7045 mL 8.5225 mL 17.0451 mL
    5 mM 0.3409 mL 1.7045 mL 3.4090 mL
    查看完整储备液配制表

    * 请根据产品在不同溶剂中的溶解度选择合适的溶剂配制储备液;一旦配成溶液,请分装保存,避免反复冻融造成的产品失效
    储备液的保存方式和期限:-80°C, 6 months; -20°C, 1 month (protect from light)。-80°C储存时,请在6个月内使用,-20°C储存时,请在1个月内使用。

    • 摩尔计算器

    • 稀释计算器

    Mass (g) = Concentration (mol/L) × Volume (L) × Molecular Weight (g/mol)

    质量
    =
    浓度
    ×
    体积
    ×
    分子量 *

    Concentration (start) × Volume (start) = Concentration (final) × Volume (final)

    This equation is commonly abbreviated as: C1V1 = C2V2

    浓度 (start)

    C1

    ×
    体积 (start)

    V1

    =
    浓度 (final)

    C2

    ×
    体积 (final)

    V2

    动物实验:

    请根据您的 实验动物和给药方式 选择适当的溶解方案。

    以下溶解方案都请先按照 In Vitro 方式配制澄清的储备液,再依次添加助溶剂:
    ——为保证实验结果的可靠性,澄清的储备液可以根据储存条件,适当保存;体内实验的工作液,建议您现用现配,当天使用
    以下溶剂前显示的百分比是指该溶剂在您配制终溶液中的体积占比;如在配制过程中出现沉淀、析出现象,可以通过加热和/或超声的方式助溶

    • 方案 一

      请依序添加每种溶剂: 10% DMSO    40% PEG300    5% Tween-80    45% Saline

      Solubility: ≥ 2.08 mg/mL (3.55 mM); 澄清溶液

      此方案可获得 ≥ 2.08 mg/mL(饱和度未知)的澄清溶液。

      1 mL 工作液为例,取 100 μL 20.8 mg/mL 的澄清 DMSO 储备液加到 400 μL PEG300 中,混合均匀;再向上述体系中加入 50 μL Tween-80,混合均匀;然后再继续加入 450 μL 生理盐水 定容至 1 mL

      生理盐水的配制:将 0.9 g 氯化钠,溶解于 ddH₂O 并定容至 100 mL,可以得到澄清透明的生理盐水溶液。
    • 方案 二

      请依序添加每种溶剂: 10% DMSO    90% (20% SBE-β-CD in Saline)

      Solubility: ≥ 2.08 mg/mL (3.55 mM); 澄清溶液

      此方案可获得 ≥ 2.08 mg/mL(饱和度未知)的澄清溶液。

      1 mL 工作液为例,取 100 μL 20.8 mg/mL 的澄清 DMSO 储备液加到 900 μL 20% 的 SBE-β-CD 生理盐水水溶液 中,混合均匀。

      2 g SBE-β-CD(磺丁基醚 β-环糊精)粉末定容于 10 mL 的生理盐水中,完全溶解至澄清透明。

    以下溶解方案,请直接配制工作液。建议现用现配,在短期内尽快用完。 以下溶剂前显示的百分比是指该溶剂在您配制终溶液中的体积占比; 如在配制过程中出现沉淀、析出现象,可以通过加热和/或超声的方式助溶。

    • 方案 一

      请依序添加每种溶剂: 0.5% CMC-Na/1% Tween-80 in Saline water

      Solubility: 10 mg/mL (17.05 mM); 悬浊液; 超声助溶

    动物溶解方案计算器
    请输入动物实验的基本信息:

    给药剂量

    mg/kg

    动物的平均体重

    g

    每只动物的给药体积

    μL

    动物数量

    由于实验过程有损耗,建议您多配一只动物的量
    请输入您的动物体内配方组成:
    %
    DMSO +
    +
    %
    Tween-80 +
    %
    Saline
    如果您的动物是免疫缺陷鼠或者体弱鼠,建议 DMSO 中的在最后工作液体系中的占比尽量不超过 2%。
    方案所需 助溶剂 包括:DMSO ,均可在 MCE 网站选购。 Tween 80,均可在 MCE 网站选购。
    计算结果
    工作液所需浓度 : mg/mL
    储备液配制方法 : mg 药物溶于 μL  DMSO(母液浓度为 mg/mL)。

    *In solvent : -80°C, 6 months; -20°C, 1 month (protect from light)

    您所需的储备液浓度超过该产品的实测溶解度,以下方案仅供参考,如有需要,请与 MCE 中国技术支持联系。
    动物实验体内工作液的配制方法 : 取 μL DMSO 储备液,加入 μL  μL ,混合均匀至澄清,再加 μL Tween 80,混合均匀至澄清,再加 μL 生理盐水
    连续给药周期超过半月以上,请谨慎选择该方案。
    请确保第一步储备液溶解至澄清状态,从左到右依次添加助溶剂。您可采用超声加热 (超声清洗仪,建议频次 20-40 kHz),涡旋吹打等方式辅助溶解。
    纯度 & 产品资料

    纯度: 99.97%

    参考文献
    Cell Assay
    [2]

    Exponentially growing cells are seeded in 20 cm2 dishes with an optimal cell number for each cell line (20,000 for LoVo cells, 100,000 for HT-29 cells). They are treated 2 days later with increasing concentrations of irinotecan or SN-38 for one cell doubling time (24 h for LoVo cells, 40 h for HT-29 cells). After washing with 0.15 M NaCl, the cells are further grown for two doubling times in normal medium, detached from the support with trypsin-EDTA and counted in a hemocytometer. The IC50 values are then estimated as the drug concentrations responsible for 50% growth inhibition as compared with cells incubated without drug[2].

    MCE has not independently confirmed the accuracy of these methods. They are for reference only.

    Animal Administration
    [1]

    Irinotecan has been administered by intratumoral injection at 0.1 cc volume of the appropriate solution, for a doses of 5 mg/kg daily for 5 days, on two consecutive weeks, followed by a 7-days rest period, referred to as one cycle of therapy. Rats receive three cycles over a period of 8 weeks. Control animals receive 0.1 cc of sterile 0.9% sodium chloride solution by intratumoral injection in the same rule of administration as that of animals of group II[1].

    MCE has not independently confirmed the accuracy of these methods. They are for reference only.

    参考文献

    完整储备液配制表

    * 请根据产品在不同溶剂中的溶解度选择合适的溶剂配制储备液;一旦配成溶液,请分装保存,避免反复冻融造成的产品失效
    储备液的保存方式和期限:-80°C, 6 months; -20°C, 1 month (protect from light)。-80°C储存时,请在6个月内使用,-20°C储存时,请在1个月内使用。

    可选溶剂 浓度 溶剂体积 质量 1 mg 5 mg 10 mg 25 mg
    DMSO 1 mM 1.7045 mL 8.5225 mL 17.0451 mL 42.6127 mL
    5 mM 0.3409 mL 1.7045 mL 3.4090 mL 8.5225 mL
    10 mM 0.1705 mL 0.8523 mL 1.7045 mL 4.2613 mL
    15 mM 0.1136 mL 0.5682 mL 1.1363 mL 2.8408 mL
    20 mM 0.0852 mL 0.4261 mL 0.8523 mL 2.1306 mL
    25 mM 0.0682 mL 0.3409 mL 0.6818 mL 1.7045 mL
    30 mM 0.0568 mL 0.2841 mL 0.5682 mL 1.4204 mL
    40 mM 0.0426 mL 0.2131 mL 0.4261 mL 1.0653 mL
    Help & FAQs
    • Do most proteins show cross-species activity?

      Species cross-reactivity must be investigated individually for each product. Many human cytokines will produce a nice response in mouse cell lines, and many mouse proteins will show activity on human cells. Other proteins may have a lower specific activity when used in the opposite species.

    您最近查看的产品:

    Your information is safe with us. * Required Fields.

       产品名称:

     

    * 需求量:

    * 客户姓名:

     

    * Email:

    * 电话:

     

    * 公司或机构名称:

       留言给我们:

    Bulk Inquiry

    Inquiry Information

    产品名称:
    Irinotecan
    目录号:
    HY-16562
    需求量: