1. Neuronal Signaling
  2. Beta-secretase
  3. LY2811376

LY2811376 是一种可口服的,非肽段的 β-secretase (BACE1) 抑制剂,IC50 值为 239 nM-249 nM,能够降低 Aβ 蛋白的分泌,EC50 值为 300 nM。

MCE 的所有产品仅用作科学研究或药证申报,我们不为任何个人用途提供产品和服务

我们将采用定制合成服务的方式为您快速提供所需产品和技术服务

LY2811376

LY2811376 Chemical Structure

CAS No. : 1194044-20-6

1.  客户无需承担相应的运输费用。

2.  同一机构(单位)同一产品试用装仅限申领一次,同一机构(单位)一年内

     可免费申领三个不同产品的试用装。

3.  试用装只面向终端客户

规格 价格 是否有货 数量
10 mM * 1 mL in DMSO ¥882
In-stock
1 mg ¥569
In-stock
5 mg ¥1252
In-stock
10 mg ¥2000
In-stock
25 mg ¥3600
In-stock
50 mg ¥5600
In-stock
100 mg 现货 询价
200 mg   询价  
500 mg   询价  

* Please select Quantity before adding items.

Customer Review

    LY2811376 purchased from MCE. Usage Cited in: FEBS J. 2017 Apr;284(7):1096-1109.  [Abstract]

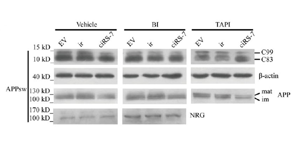
    SH-SY5Y cells are transfected with APPsw plasmid together with ciRS-7 plasmid or control plasmids for 48 h, then the transfected cells are treated with 100 μM BI LY2811376, or 20 μM TAPI or DMSO as vehicle control for an additional 12 h. Cell lysates are analyzed by 12% Tris/Tricine gel with C20 antibody to detect APP C-terminal fragments C99 and C83, 10% Tris/Tricine gel to detect full-length APP and NRG.

    查看 Beta-secretase 亚型特异性产品:

    • 生物活性

    • 实验参考方法

    • 纯度 & 产品资料

    • 参考文献

    生物活性

    LY2811376 is the first orally available non-peptidic β-secretase (BACE1) inhibitor with IC50 of 239 nM-249 nM, that acts to decrease Aβ secretion with EC50 of 300 nM, and demonstrates to have 10-fold selectivity towards BACE1 over BACE2, and more than 50-fold inhibition over other aspartic proteases including cathepsin D, pepsin, or renin.

    IC50 & Target

    BACE1

     

    细胞效力
    (Cellular Effect)
    Cell Line Type Value Description References
    H4 IC50
    0.27 μM
    Compound: 1; LY2811376
    Inhibition of BACE1 in human H4 cells expressing APP751 Swedish mutant assessed as inhibition of amyloid beta 40 or amyloid beta 42 production incubated for 19 hrs by microplate reader analysis
    Inhibition of BACE1 in human H4 cells expressing APP751 Swedish mutant assessed as inhibition of amyloid beta 40 or amyloid beta 42 production incubated for 19 hrs by microplate reader analysis
    [PMID: 26985314]
    HEK293 IC50
    0.239 μM
    Compound: 1; LY2811376
    Inhibition of human BACE1 (1 to 460 residues) expressed in HEK293 cells using mcaFRET peptide as substrate after 20 hrs by FRET assay
    Inhibition of human BACE1 (1 to 460 residues) expressed in HEK293 cells using mcaFRET peptide as substrate after 20 hrs by FRET assay
    [PMID: 31786008]
    HEK293 IC50
    0.24 μM
    Compound: 1; LY2811376
    Inhibition of IgG1 Fc-fused human recombinant BACE1 (1 to 460 residues) expressed in HEK293 cells using methylcoumarin peptide harboring Swedish mutant as substrate incubated for 20 hrs by FRET assay
    Inhibition of IgG1 Fc-fused human recombinant BACE1 (1 to 460 residues) expressed in HEK293 cells using methylcoumarin peptide harboring Swedish mutant as substrate incubated for 20 hrs by FRET assay
    [PMID: 26985314]
    HEK293 IC50
    0.3 μM
    Compound: 14
    Inhibition of BACE-1 in HEK293 cells expressing human APP751 cDNA harboring N670L671 mutation pretreated for 2 hrs followed by measuring after 2 hrs by sandwich ELISA
    Inhibition of BACE-1 in HEK293 cells expressing human APP751 cDNA harboring N670L671 mutation pretreated for 2 hrs followed by measuring after 2 hrs by sandwich ELISA
    [PMID: 28749667]
    HEK293 EC50
    300 nM
    Compound: 38, LY-2811376
    Inhibition of BACE1 in HEK293 cells expressing APPswedish mutant assessed as inhibition of amyloid beta production by ELISA
    Inhibition of BACE1 in HEK293 cells expressing APPswedish mutant assessed as inhibition of amyloid beta production by ELISA
    [PMID: 24704031]
    体外研究
    (In Vitro)

    在 APP 过表达的人胚胎肾细胞系中,LY2811376 处理会导致 Aβ 分泌浓度依赖性降低,半数最大有效浓度 (EC50) 约为 300 nM。LY2811376 处理 PDAPP 转基因小鼠的原代神经元培养物会导致 Aβ 分泌浓度依赖性降低,EC50 约为 100 nM[1]
    LY2811376 具有良好的 ADME 特性 (BACE1 IC50=240 nM,细胞效力 IC50=300 nM) 和选择性 (BACE2 和组织蛋白酶 D 选择性:约 10- 和 65-分别折叠)[3]
    LY2811376 以剂量依赖的方式降低皮质和血浆中的 Aβ40 水平,而不会改变健康和体重[4]

    MCE has not independently confirmed the accuracy of these methods. They are for reference only.

    体内研究
    (In Vivo)

    LY2811376 (10、30 和 100 mg/kg,口服) 可导致剂量依赖性地显著减少 Aβ、sAPPβ 和 C99(BACE1 水解 APP 的近端裂解产物)。在 PDAPP 小鼠中,LY2811376 使 BACE1 抑制的所有 APP 相关 PD 标志物产生剂量依赖性降低。CSF 取样研究中发现低剂量 (30 mg) 和高 (90 mg) 剂量 LY2811376 是基于 SAD 研究中观察到的 PK 和血浆 Aβ1-40 PD[1]
    LY2811376 (30 mg/kg,口服) 可导致小鼠皮层中可溶性 Aβ 减少 60%[2]
    LY2811376 (100 mg/kg,po) 降低小鼠的脊柱密度和形成。LY2811376 (100 mg/kg,每 12 小时一次,持续 16 天) 导致 sEPSC 和 mEPSC 频率降低,而 LY2811376 对 sEPSC 振幅的影响未达到显著性[4]

    MCE has not independently confirmed the accuracy of these methods. They are for reference only.

    Clinical Trial
    分子量

    320.36

    Formula

    C15H14F2N4S

    CAS 号
    性状

    固体

    颜色

    Off-white to yellow

    运输条件

    Room temperature in continental US; may vary elsewhere.

    储存方式
    Powder -20°C 3 years
    4°C 2 years
    In solvent -80°C 2 years
    -20°C 1 year
    溶解性数据
    细胞实验: 

    DMSO 中的溶解度 : ≥ 31 mg/mL (96.77 mM; 吸湿的 DMSO 对产品的溶解度有显著影响,请使用新开封的 DMSO)

    * "≥" means soluble, but saturation unknown.

    配制储备液
    浓度 溶剂体积 质量 1 mg 5 mg 10 mg
    1 mM 3.1215 mL 15.6074 mL 31.2149 mL
    5 mM 0.6243 mL 3.1215 mL 6.2430 mL
    查看完整储备液配制表

    * 请根据产品在不同溶剂中的溶解度选择合适的溶剂配制储备液;一旦配成溶液,请分装保存,避免反复冻融造成的产品失效
    储备液的保存方式和期限:-80°C, 2 years; -20°C, 1 year。-80°C储存时,请在2年内使用, -20°C储存时,请在1年内使用。

    • 摩尔计算器

    • 稀释计算器

    Mass (g) = Concentration (mol/L) × Volume (L) × Molecular Weight (g/mol)

    质量
    =
    浓度
    ×
    体积
    ×
    分子量 *

    Concentration (start) × Volume (start) = Concentration (final) × Volume (final)

    This equation is commonly abbreviated as: C1V1 = C2V2

    浓度 (start)

    C1

    ×
    体积 (start)

    V1

    =
    浓度 (final)

    C2

    ×
    体积 (final)

    V2

    动物实验:

    请根据您的 实验动物和给药方式 选择适当的溶解方案。

    以下溶解方案都请先按照 In Vitro 方式配制澄清的储备液,再依次添加助溶剂:
    ——为保证实验结果的可靠性,澄清的储备液可以根据储存条件,适当保存;体内实验的工作液,建议您现用现配,当天使用
    以下溶剂前显示的百分比是指该溶剂在您配制终溶液中的体积占比;如在配制过程中出现沉淀、析出现象,可以通过加热和/或超声的方式助溶

    • 方案 一

      请依序添加每种溶剂: 10% DMSO    40% PEG300    5% Tween-80    45% Saline

      Solubility: ≥ 2.5 mg/mL (7.80 mM); 澄清溶液

      此方案可获得 ≥ 2.5 mg/mL(饱和度未知)的澄清溶液。

      1 mL 工作液为例,取 100 μL 25.0 mg/mL 的澄清 DMSO 储备液加到 400 μL PEG300 中,混合均匀;再向上述体系中加入 50 μL Tween-80,混合均匀;然后再继续加入 450 μL 生理盐水 定容至 1 mL

      生理盐水的配制:将 0.9 g 氯化钠,溶解于 ddH₂O 并定容至 100 mL,可以得到澄清透明的生理盐水溶液。
    • 方案 二

      请依序添加每种溶剂: 10% DMSO    90% (20% SBE-β-CD in Saline)

      Solubility: ≥ 2.5 mg/mL (7.80 mM); 澄清溶液

      此方案可获得 ≥ 2.5 mg/mL(饱和度未知)的澄清溶液。

      1 mL 工作液为例,取 100 μL 25.0 mg/mL 的澄清 DMSO 储备液加到 900 μL 20% 的 SBE-β-CD 生理盐水水溶液 中,混合均匀。

      2 g SBE-β-CD(磺丁基醚 β-环糊精)粉末定容于 10 mL 的生理盐水中,完全溶解至澄清透明。
    动物溶解方案计算器
    请输入动物实验的基本信息:

    给药剂量

    mg/kg

    动物的平均体重

    g

    每只动物的给药体积

    μL

    动物数量

    由于实验过程有损耗,建议您多配一只动物的量
    请输入您的动物体内配方组成:
    %
    DMSO +
    +
    %
    Tween-80 +
    %
    Saline
    如果您的动物是免疫缺陷鼠或者体弱鼠,建议 DMSO 中的在最后工作液体系中的占比尽量不超过 2%。
    方案所需 助溶剂 包括:DMSO ,均可在 MCE 网站选购。 Tween 80,均可在 MCE 网站选购。
    计算结果
    工作液所需浓度 : mg/mL
    储备液配制方法 : mg 药物溶于 μL  DMSO(母液浓度为 mg/mL)。
    您所需的储备液浓度超过该产品的实测溶解度,以下方案仅供参考,如有需要,请与 MCE 中国技术支持联系。
    动物实验体内工作液的配制方法 : 取 μL DMSO 储备液,加入 μL  μL ,混合均匀至澄清,再加 μL Tween 80,混合均匀至澄清,再加 μL 生理盐水
    连续给药周期超过半月以上,请谨慎选择该方案。
    请确保第一步储备液溶解至澄清状态,从左到右依次添加助溶剂。您可采用超声加热 (超声清洗仪,建议频次 20-40 kHz),涡旋吹打等方式辅助溶解。
    纯度 & 产品资料

    纯度: 99.64%

    参考文献
    Animal Administration
    [1]

    Sprague Dawley [Crl:CD(SD)] rats (10 per sex per group), appr 7 weeks of age, are given 0 (vehicle only), 10, 30, or 100 mg/kg LY2811376 by daily oral gavage. Vehicle consists of 1% (w/v) hydroxyethylcellulose, 0.25% (v/v) polysorbate 80, and 0.05% (v/v) Dow Corning Antifoam 1510-US in reverse osmosis water. At necropsy after 3 months of treatment, tissues are immersion fixed in 10% neutral-buffered formalin (brain) or modified Davidson's solution (eyes) and then processed by routine methods to paraffin block and hematoxylin-eosin (H&E)-stained histologic slides. From selected animals given 100 mg/kg on a subsequent investigative study, eyes are fixed in modified Karnovsky's solution, processed routinely into epoxy resin, and then ultrathin sections stained with uranyl acetate and Sato's lead citrate are examined in a transmission electron microscope. In a separate study, BACE1 knock-out mice (B6.129-Bace1tm1Pcw/J) are given 0 or 100 mg/kg LY2811376 by daily oral gavage for 9 weeks, and then necropsied tissues are collected and examined by light microscopy as described above for the rat toxicology study.

    MCE has not independently confirmed the accuracy of these methods. They are for reference only.

    参考文献

    完整储备液配制表

    * 请根据产品在不同溶剂中的溶解度选择合适的溶剂配制储备液;一旦配成溶液,请分装保存,避免反复冻融造成的产品失效
    储备液的保存方式和期限:-80°C, 2 years; -20°C, 1 year。-80°C储存时,请在2年内使用, -20°C储存时,请在1年内使用。

    可选溶剂 浓度 溶剂体积 质量 1 mg 5 mg 10 mg 25 mg
    DMSO 1 mM 3.1215 mL 15.6074 mL 31.2149 mL 78.0372 mL
    5 mM 0.6243 mL 3.1215 mL 6.2430 mL 15.6074 mL
    10 mM 0.3121 mL 1.5607 mL 3.1215 mL 7.8037 mL
    15 mM 0.2081 mL 1.0405 mL 2.0810 mL 5.2025 mL
    20 mM 0.1561 mL 0.7804 mL 1.5607 mL 3.9019 mL
    25 mM 0.1249 mL 0.6243 mL 1.2486 mL 3.1215 mL
    30 mM 0.1040 mL 0.5202 mL 1.0405 mL 2.6012 mL
    40 mM 0.0780 mL 0.3902 mL 0.7804 mL 1.9509 mL
    50 mM 0.0624 mL 0.3121 mL 0.6243 mL 1.5607 mL
    60 mM 0.0520 mL 0.2601 mL 0.5202 mL 1.3006 mL
    80 mM 0.0390 mL 0.1951 mL 0.3902 mL 0.9755 mL
    Help & FAQs
    • Do most proteins show cross-species activity?

      Species cross-reactivity must be investigated individually for each product. Many human cytokines will produce a nice response in mouse cell lines, and many mouse proteins will show activity on human cells. Other proteins may have a lower specific activity when used in the opposite species.

    您最近查看的产品:

    Your information is safe with us. * Required Fields.

       产品名称:

     

    * 需求量:

    * 客户姓名:

     

    * Email:

    * 电话:

     

    * 公司或机构名称:

       留言给我们:

    Bulk Inquiry

    Inquiry Information

    产品名称:
    LY2811376
    目录号:
    HY-10472
    需求量: