1. PROTAC Apoptosis
  2. Ligands for E3 Ligase Molecular Glues Apoptosis
  3. Lenalidomide

Lenalidomide  (Synonyms: 来那度胺; CC-5013)

目录号: HY-A0003 纯度: 99.95%
COA 产品使用指南 技术支持

Lenalidomide (CC-5013) 是 Thalidomide 的衍生物,也是一种具有口服活性免疫调节剂,以分子胶的方式作用。Lenalidomide (CC-5013) 是一种泛素 E3 连接酶 cereblon (CRBN) 的配体,可通过 CRBN-CRL4 泛素连接酶对两种淋巴转录因子 IKZF1IKZF3 进行选择性泛素化和降解。Lenalidomide (CC-5013) 特别地抑制成熟 B 细胞淋巴瘤 (包括多发性骨髓瘤) 的生长,并诱导 T 细胞释放白细胞介素-2 (IL-2)。

MCE 的所有产品仅用作科学研究或药证申报,我们不为任何个人用途提供产品和服务

Lenalidomide

Lenalidomide Chemical Structure

CAS No. : 191732-72-6

1.  客户无需承担相应的运输费用。

2.  同一机构(单位)同一产品试用装仅限申领一次,同一机构(单位)一年内

     可免费申领三个不同产品的试用装。

3.  试用装只面向终端客户

规格 价格 是否有货 数量
100 mg ¥1350
In-stock
500 mg ¥1980
In-stock
1 g ¥2950
In-stock
5 g ¥5850
In-stock
10 g   询价  
50 g   询价  

* Please select Quantity before adding items.

Customer Review

MCE 顾客使用本产品发表的 50 篇科研文献

WB

    Lenalidomide purchased from MCE. Usage Cited in: Cell. 2018 Sep 20;175(1):171-185.e25.  [Abstract]

    WB analysis of MV4-11 cells treated for 6.5 hr with Lenalidomide, BTX161, A51, or A86 at the indicated concentrations or DMSO.

    Lenalidomide purchased from MCE. Usage Cited in: Elife. 2018 Aug 1;7:e38430.  [Abstract]

    H9 hESC are treated with increasing concentrations of Thalidomide, Lenalidomide, Pomalidomide, or DMSO as a control. Following 24 h of incubation, SALL4 and GAPDH protein levels are assessed by western blot analysis.

    Lenalidomide purchased from MCE. Usage Cited in: Oncol Rep. 2018 Jun;39(6):2873-2880.  [Abstract]

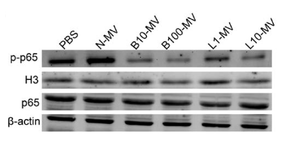
    Representative western blot membranes showing the expression levels of NF-κB p-p65 and H3 in nuclear protein and of NF-κB p65 and β-actin in total protein. β-actin and H3 are used as internal controls.

    Lenalidomide purchased from MCE. Usage Cited in: Nat Commun. 2017 May 22;8:15398.  [Abstract]

    HEK293T cells are treated with 50 μg/mL Cycloheximide and increasing concentrations of Lenalidomide, Thalidomide or with DMSO, and cells are incubated for 6 h. ZFP91 and GAPDH levels are detected using anti-ZFP91 or anti-GAPDH immunoblotting.
    • 生物活性

    • 实验参考方法

    • 纯度 & 产品资料

    • 参考文献

    生物活性

    Lenalidomide (CC-5013), a derivative of Thalidomide, acts as molecular glue. Lenalidomide is an orally active immunomodulator. Lenalidomide (CC-5013) is a ligand of ubiquitin E3 ligase cereblon (CRBN), and it causes selective ubiquitination and degradation of two lymphoid transcription factors, IKZF1 and IKZF3, by the CRBN-CRL4 ubiquitin ligase. Lenalidomide (CC-5013) specifically inhibits growth of mature B-cell lymphomas, including multiple myeloma, and induces IL-2 release from T cells[1][2].

    IC50 & Target[5]

    Cereblon

     

    细胞效力
    (Cellular Effect)
    Cell Line Type Value Description References
    EC9706 IC50
    340.3 μg/mL
    Compound: Lenalidomide
    Antiproliferative activity against human EC9706 cells after 48 hrs by CCK-8 assay
    Antiproliferative activity against human EC9706 cells after 48 hrs by CCK-8 assay
    [PMID: 28757066]
    HCC827 IC50
    > 10 μM
    Compound: Lenalidomide
    Antiproliferative activity against human HCC827 cells harboring EGFRDel19 mutant assessed as reduction in cell viability incubated for 72 hrs by MTT assay
    Antiproliferative activity against human HCC827 cells harboring EGFRDel19 mutant assessed as reduction in cell viability incubated for 72 hrs by MTT assay
    [PMID: 31951960]
    HEK293 IC50
    5.19 μM
    Compound: Lenalidomide
    Inhibition of BRD4 bromodomain 2 (unknown origin) in HEK293 cells cotransfected with eGFP by flow cytometry based mCherry reporter gene analysis
    Inhibition of BRD4 bromodomain 2 (unknown origin) in HEK293 cells cotransfected with eGFP by flow cytometry based mCherry reporter gene analysis
    [PMID: 32550984]
    JeKo-1 IC50
    > 20000 nM
    Compound: Lenalidomide
    Antiproliferative activity against human Jeko-1 cells assessed as cell viability measured after 7 days by CCK-8 assay
    Antiproliferative activity against human Jeko-1 cells assessed as cell viability measured after 7 days by CCK-8 assay
    [PMID: 35635954]
    JeKo-1 IC50
    > 20000 nM
    Compound: Lenalidomide
    Antiproliferative activity against human Jeko-1 cells expressing CRBN-knockout assessed as cell viability measured after 7 days by CCK-8 assay
    Antiproliferative activity against human Jeko-1 cells expressing CRBN-knockout assessed as cell viability measured after 7 days by CCK-8 assay
    [PMID: 35635954]
    JeKo-1 IC50
    > 20000 nM
    Compound: 1
    Antiproliferative activity against human JeKo1 cells measured after 72 hrs by CellTiter96 Aqueous non-radioactive cell proliferation assay
    Antiproliferative activity against human JeKo1 cells measured after 72 hrs by CellTiter96 Aqueous non-radioactive cell proliferation assay
    [PMID: 31125896]
    K562 IC50
    > 10 μM
    Compound: Lenalidomide
    Antiproliferative activity against human K562 cells assessed as inhibition of cell growth incubated for 2 days by CCK8 assay
    Antiproliferative activity against human K562 cells assessed as inhibition of cell growth incubated for 2 days by CCK8 assay
    [PMID: 36306539]
    K562 IC50
    > 10 μM
    Compound: Lenalidomide
    Antiproliferative activity against human K562 cells assessed as cell growth inhibition measured after 48 hrs by CCK8 assay
    Antiproliferative activity against human K562 cells assessed as cell growth inhibition measured after 48 hrs by CCK8 assay
    [PMID: 34217059]
    Kasumi 1 IC50
    > 20000 nM
    Compound: 1
    Antiproliferative activity against human Kasumi-1 cells measured after 168 hrs by CellTiter96 Aqueous non-radioactive cell proliferation assay
    Antiproliferative activity against human Kasumi-1 cells measured after 168 hrs by CellTiter96 Aqueous non-radioactive cell proliferation assay
    [PMID: 31125896]
    MCF-10A IC50
    > 20 μM
    Compound: Lenalidomide
    Cytotoxicity against human MCF10A cells after 72 hrs by MTS assay
    Cytotoxicity against human MCF10A cells after 72 hrs by MTS assay
    [PMID: 29795767]
    MM1.S IC50
    > 20000 nM
    Compound: Lenalidomide
    Antiproliferative activity against human MM1.S cells assessed as cell viability measured after 3 days by CCK-8 assay
    Antiproliferative activity against human MM1.S cells assessed as cell viability measured after 3 days by CCK-8 assay
    [PMID: 35635954]
    MM1.S IC50
    0.081 μM
    Compound: Lenalidoamide
    Antiproliferative activity against human MM1.S cells assessed as reduction in cell growth measured after 7 days culturing by CellTiter 96 Aqueous non-radioactive cell proliferation assay
    Antiproliferative activity against human MM1.S cells assessed as reduction in cell growth measured after 7 days culturing by CellTiter 96 Aqueous non-radioactive cell proliferation assay
    [PMID: 33328101]
    MM1.S IC50
    50 nM
    Compound: 1
    Antiproliferative activity against human MM1S cells measured after 168 hrs by CellTiter96 Aqueous non-radioactive cell proliferation assay
    Antiproliferative activity against human MM1S cells measured after 168 hrs by CellTiter96 Aqueous non-radioactive cell proliferation assay
    [PMID: 31125896]
    MM1.S IC50
    70.17 nM
    Compound: Lenalidomide
    Antiproliferative activity against human MM1.S cells assessed as cell viability measured after 7 days by CCK-8 assay
    Antiproliferative activity against human MM1.S cells assessed as cell viability measured after 7 days by CCK-8 assay
    [PMID: 35635954]
    MV4-11 IC50
    > 20000 nM
    Compound: Lenalidomide
    Antiproliferative activity against human MV411 cells after 72 hrs by MTS assay
    Antiproliferative activity against human MV411 cells after 72 hrs by MTS assay
    [PMID: 29795767]
    MV4-11 IC50
    > 20000 nM
    Compound: 1
    Antiproliferative activity against human MV411 cells measured after 168 hrs by CellTiter96 Aqueous non-radioactive cell proliferation assay
    Antiproliferative activity against human MV411 cells measured after 168 hrs by CellTiter96 Aqueous non-radioactive cell proliferation assay
    [PMID: 31125896]
    NAMALVA IC50
    0.36 μM
    Compound: 1
    Antiproliferative activity against human NAMALWA cells assessed as inhibition of [3H]thymidine incorporation after 72 hrs by scintillation counting
    Antiproliferative activity against human NAMALWA cells assessed as inhibition of [3H]thymidine incorporation after 72 hrs by scintillation counting
    [PMID: 23168019]
    PBMC IC50
    > 20000 nM
    Compound: 1
    Cytotoxicity against human PBMC cells by CellTiter96 Aqueous non-radioactive cell proliferation assay
    Cytotoxicity against human PBMC cells by CellTiter96 Aqueous non-radioactive cell proliferation assay
    [PMID: 31125896]
    PBMC IC50
    0.1 μM
    Compound: 1
    Inhibition of TNF-alpha production in LPS-stimulated human PBMC preincubated for 1 hr before LPS challenge measured after 28 to 20 hrs by ELISA
    Inhibition of TNF-alpha production in LPS-stimulated human PBMC preincubated for 1 hr before LPS challenge measured after 28 to 20 hrs by ELISA
    [PMID: 23168019]
    PBMC IC50
    100 nM
    Compound: 1
    Antiinflammatory activity in human PBMC cells assessed as reduction in LPS-induced TNF-alpha production preincubated for 1 hr followed by LPS addition and measured after 18 to 20 hrs by ELISA
    Antiinflammatory activity in human PBMC cells assessed as reduction in LPS-induced TNF-alpha production preincubated for 1 hr followed by LPS addition and measured after 18 to 20 hrs by ELISA
    [PMID: 31125896]
    Raji IC50
    > 20000 nM
    Compound: 1
    Antiproliferative activity against human Raji cells measured after 168 hrs by CellTiter96 Aqueous non-radioactive cell proliferation assay
    Antiproliferative activity against human Raji cells measured after 168 hrs by CellTiter96 Aqueous non-radioactive cell proliferation assay
    [PMID: 31125896]
    RPMI-8226 IC50
    > 20000 nM
    Compound: 1
    Antiproliferative activity against human RPMI8226 cells measured after 72 hrs by CellTiter96 Aqueous non-radioactive cell proliferation assay
    Antiproliferative activity against human RPMI8226 cells measured after 72 hrs by CellTiter96 Aqueous non-radioactive cell proliferation assay
    [PMID: 31125896]
    T-cell EC50
    0.15 μM
    Compound: 1
    Inhibition of IL-2 production in human T cells measured after 2 to 3 days by ELISA
    Inhibition of IL-2 production in human T cells measured after 2 to 3 days by ELISA
    [PMID: 23168019]
    THP-1 IC50
    > 20000 nM
    Compound: 1
    Antiproliferative activity against human THP1 cells measured after 168 hrs by CellTiter96 Aqueous non-radioactive cell proliferation assay
    Antiproliferative activity against human THP1 cells measured after 168 hrs by CellTiter96 Aqueous non-radioactive cell proliferation assay
    [PMID: 31125896]
    U-266 IC50
    > 20000 nM
    Compound: 1
    Antiproliferative activity against human U266 cells measured after 72 hrs by CellTiter96 Aqueous non-radioactive cell proliferation assay
    Antiproliferative activity against human U266 cells measured after 72 hrs by CellTiter96 Aqueous non-radioactive cell proliferation assay
    [PMID: 31125896]
    WI-38 IC50
    > 20 μM
    Compound: Lenalidomide
    Cytotoxicity against human WI38 cells after 72 hrs by MTS assay
    Cytotoxicity against human WI38 cells after 72 hrs by MTS assay
    [PMID: 29795767]
    Z-138 IC50
    > 20000 nM
    Compound: 1
    Antiproliferative activity against human Z138 cells measured after 72 hrs by CellTiter96 Aqueous non-radioactive cell proliferation assay
    Antiproliferative activity against human Z138 cells measured after 72 hrs by CellTiter96 Aqueous non-radioactive cell proliferation assay
    [PMID: 31125896]
    体外研究
    (In Vitro)

    Lenalidomide is potent in stimulating T cell proliferation and IFN-γ and IL-2 production. Lenalidomide has been shown to inhibit production of pro inflammatory cytokines TNF-α, IL-1, IL-6, IL-12 and elevate the production of anti-inflammatory cytokine IL-10 from human PBMCs. Lenalidomide downregulates the production of IL-6 directly and also by inhibiting multiple myeloma (MM) cells and bone marrow stromal cells (BMSC) interaction, which augments the apoptosis of myeloma cells[2]. Dose-dependent interaction with the CRBN-DDB1 complex is observed with Thalidomide, Lenalidomide and Pomalidomide, with IC50 values of ~30 μM, ~3 μM and ~3 μM, respectively, These reduced CRBN expression cells (U266-CRBN60 and U266-CRBN75) are less responsive than the parental cells to antiproliferative effects Lenalidomide across a dose-response range of 0.01 to 10 μM[3]. Lenalidomide, a thalidomide analog, functions as a molecular glue between the human E3 ubiquitin ligase cereblon and CKIα is shown to induce the ubiquitination and degradation of this kinase, thus presumably killing leukemic cells by p53 activation[5].

    MCE has not independently confirmed the accuracy of these methods. They are for reference only.

    体内研究
    (In Vivo)

    The toxicity of Lenalidomide doses up to 15, 22.5, and 45 mg/kg via IV, IP, and PO routes of administration. Limited by solubility in our PBS dosing vehicle, these maximum achievable Lenalidomide doses are well tolerated with the exception of one mouse death (of four total dosed) at the 15 mg/kg IV dose. Notably, no other toxicities are observed in the study at IV doses of 15 mg/kg (n=3) or 10 mg/kg (n=45) or at any other dose level through IV, IP, and PO routes[4].

    MCE has not independently confirmed the accuracy of these methods. They are for reference only.

    Clinical Trial
    分子量

    259.26

    Formula

    C13H13N3O3

    CAS 号
    性状

    固体

    颜色

    Off-white to light yellow

    中文名称

    来那度胺;雷那度胺

    运输条件

    Room temperature in continental US; may vary elsewhere.

    储存方式
    Powder -20°C 3 years
    4°C 2 years
    In solvent -80°C 1 year
    -20°C 6 months
    溶解性数据
    细胞实验: 

    DMSO 中的溶解度 : 100 mg/mL (385.71 mM; 超声助溶; 吸湿的 DMSO 对产品的溶解度有显著影响,请使用新开封的 DMSO)

    配制储备液
    浓度 溶剂体积 质量 1 mg 5 mg 10 mg
    1 mM 3.8571 mL 19.2857 mL 38.5713 mL
    5 mM 0.7714 mL 3.8571 mL 7.7143 mL
    查看完整储备液配制表

    * 请根据产品在不同溶剂中的溶解度选择合适的溶剂配制储备液;一旦配成溶液,请分装保存,避免反复冻融造成的产品失效
    储备液的保存方式和期限:-80°C, 1 year; -20°C, 6 months。-80°C储存时,请在1年内使用, -20°C储存时,请在6个月内使用。

    • 摩尔计算器

    • 稀释计算器

    Mass (g) = Concentration (mol/L) × Volume (L) × Molecular Weight (g/mol)

    质量
    =
    浓度
    ×
    体积
    ×
    分子量 *

    Concentration (start) × Volume (start) = Concentration (final) × Volume (final)

    This equation is commonly abbreviated as: C1V1 = C2V2

    浓度 (start)

    C1

    ×
    体积 (start)

    V1

    =
    浓度 (final)

    C2

    ×
    体积 (final)

    V2

    动物实验:

    请根据您的 实验动物和给药方式 选择适当的溶解方案。

    以下溶解方案都请先按照 In Vitro 方式配制澄清的储备液,再依次添加助溶剂:
    ——为保证实验结果的可靠性,澄清的储备液可以根据储存条件,适当保存;体内实验的工作液,建议您现用现配,当天使用
    以下溶剂前显示的百分比是指该溶剂在您配制终溶液中的体积占比;如在配制过程中出现沉淀、析出现象,可以通过加热和/或超声的方式助溶

    • 方案 一

      请依序添加每种溶剂: 10% DMSO    40% PEG300    5% Tween-80    45% Saline

      Solubility: ≥ 2.5 mg/mL (9.64 mM); 澄清溶液

      此方案可获得 ≥ 2.5 mg/mL(饱和度未知)的澄清溶液。

      1 mL 工作液为例,取 100 μL 25.0 mg/mL 的澄清 DMSO 储备液加到 400 μL PEG300 中,混合均匀;再向上述体系中加入 50 μL Tween-80,混合均匀;然后再继续加入 450 μL 生理盐水 定容至 1 mL

      生理盐水的配制:将 0.9 g 氯化钠,溶解于 ddH₂O 并定容至 100 mL,可以得到澄清透明的生理盐水溶液。
    • 方案 二

      请依序添加每种溶剂: 10% DMSO    90% (20% SBE-β-CD in Saline)

      Solubility: ≥ 2.5 mg/mL (9.64 mM); 澄清溶液

      此方案可获得 ≥ 2.5 mg/mL(饱和度未知)的澄清溶液。

      1 mL 工作液为例,取 100 μL 25.0 mg/mL 的澄清 DMSO 储备液加到 900 μL 20% 的 SBE-β-CD 生理盐水水溶液 中,混合均匀。

      2 g SBE-β-CD(磺丁基醚 β-环糊精)粉末定容于 10 mL 的生理盐水中,完全溶解至澄清透明。
    动物溶解方案计算器
    请输入动物实验的基本信息:

    给药剂量

    mg/kg

    动物的平均体重

    g

    每只动物的给药体积

    μL

    动物数量

    由于实验过程有损耗,建议您多配一只动物的量
    请输入您的动物体内配方组成:
    %
    DMSO +
    +
    %
    Tween-80 +
    %
    Saline
    如果您的动物是免疫缺陷鼠或者体弱鼠,建议 DMSO 中的在最后工作液体系中的占比尽量不超过 2%。
    方案所需 助溶剂 包括:DMSO ,均可在 MCE 网站选购。 Tween 80,均可在 MCE 网站选购。
    计算结果
    工作液所需浓度 : mg/mL
    储备液配制方法 : mg 药物溶于 μL  DMSO(母液浓度为 mg/mL)。
    您所需的储备液浓度超过该产品的实测溶解度,以下方案仅供参考,如有需要,请与 MCE 中国技术支持联系。
    动物实验体内工作液的配制方法 : 取 μL DMSO 储备液,加入 μL  μL ,混合均匀至澄清,再加 μL Tween 80,混合均匀至澄清,再加 μL 生理盐水
    连续给药周期超过半月以上,请谨慎选择该方案。
    请确保第一步储备液溶解至澄清状态,从左到右依次添加助溶剂。您可采用超声加热 (超声清洗仪,建议频次 20-40 kHz),涡旋吹打等方式辅助溶解。
    纯度 & 产品资料

    纯度: 99.95%

    参考文献
    Cell Assay
    [3]

    Cell lines NCI-H929 and U266, and DF15 cells are grown in RPMI-I640 medium containing 10% (V/V) heat-inactivated fetal bovine serum supplemented with 2 mM glutamine. To produce Lenalidomide resistant cell lines, NCI-H929 cells are treated continuously (fresh Lenalidomide is added every 3-4 days) with control (final 0.1% DMSO) or low-dose Lenalidomide (1 μM) for 2 months until the proliferation of cells is no longer inhibited by Lenalidomide (1 μM), as determined by cell viability (Vi-cell XR cell viability analyzer), cell proliferation by flow cytometry and cell cycle analysis (propidium iodide staining). After acquisition of resistance to 1 μM, the resistant H929 cell lines are treated with Lenalidomide (10 μM) for a further 4 months. After this period of time, the cell cultures achieved fully establish resistance up to high-dose Lenalidomide (30 μM). Prior to the experiments described here, H929 Lenalidomide-resistant cells are taken out of culture with compounds for 5-7 days before use[3].

    MCE has not independently confirmed the accuracy of these methods. They are for reference only.

    Animal Administration
    [4]

    Mice[4]
    Imprinting control region (ICR) mice 8-10 weeks of age are used. Lenalidomide is incompletely soluble at 3.5 mg/mL and above in PBS containing 1% HCl, as visible particulates remained after thorough mixing. Therefore 3 mg/mL is selected as the maximum dosing solution concentration (with no visible particulates). Single, individual mice are initially dosed with 3, 10, or 15 mg/kg IV; 4.5, 15, or 22.5 mg/kg IP; and 9, 30, or 45 mg/kg PO. Additional mice (n=4) are then evaluated at the maximum dose achievable by volume and solubility of Lenalidomide in the dosing solution. All mice are monitored closely for 1 h and re-evaluated for toxicities 3, 6, and 24 h postdose[4].

    MCE has not independently confirmed the accuracy of these methods. They are for reference only.

    参考文献

    完整储备液配制表

    * 请根据产品在不同溶剂中的溶解度选择合适的溶剂配制储备液;一旦配成溶液,请分装保存,避免反复冻融造成的产品失效
    储备液的保存方式和期限:-80°C, 1 year; -20°C, 6 months。-80°C储存时,请在1年内使用, -20°C储存时,请在6个月内使用。

    可选溶剂 浓度 溶剂体积 质量 1 mg 5 mg 10 mg 25 mg
    DMSO 1 mM 3.8571 mL 19.2857 mL 38.5713 mL 96.4283 mL
    5 mM 0.7714 mL 3.8571 mL 7.7143 mL 19.2857 mL
    10 mM 0.3857 mL 1.9286 mL 3.8571 mL 9.6428 mL
    15 mM 0.2571 mL 1.2857 mL 2.5714 mL 6.4286 mL
    20 mM 0.1929 mL 0.9643 mL 1.9286 mL 4.8214 mL
    25 mM 0.1543 mL 0.7714 mL 1.5429 mL 3.8571 mL
    30 mM 0.1286 mL 0.6429 mL 1.2857 mL 3.2143 mL
    40 mM 0.0964 mL 0.4821 mL 0.9643 mL 2.4107 mL
    50 mM 0.0771 mL 0.3857 mL 0.7714 mL 1.9286 mL
    60 mM 0.0643 mL 0.3214 mL 0.6429 mL 1.6071 mL
    80 mM 0.0482 mL 0.2411 mL 0.4821 mL 1.2054 mL
    100 mM 0.0386 mL 0.1929 mL 0.3857 mL 0.9643 mL
    Help & FAQs
    • Do most proteins show cross-species activity?

      Species cross-reactivity must be investigated individually for each product. Many human cytokines will produce a nice response in mouse cell lines, and many mouse proteins will show activity on human cells. Other proteins may have a lower specific activity when used in the opposite species.

    您最近查看的产品:

    Your information is safe with us. * Required Fields.

       产品名称:

     

    * 需求量:

    * 客户姓名:

     

    * Email:

    * 电话:

     

    * 公司或机构名称:

       留言给我们:

    Bulk Inquiry

    Inquiry Information

    产品名称:
    Lenalidomide
    目录号:
    HY-A0003
    需求量: