1. PI3K/Akt/mTOR
  2. MELK
  3. MELK-8a hydrochloride

MELK-8a hydrochloride  (Synonyms: NVS-MELK8a hydrochloride)

目录号: HY-100368A 纯度: 99.31%
COA 产品使用指南 技术支持

MELK-8a hydrochloride是一种新颖的母体胚胎亮氨酸拉链激酶(MELK)抑制剂,其IC50值为2 nM。

MCE 的所有产品仅用作科学研究或药证申报,我们不为任何个人用途提供产品和服务

MELK-8a hydrochloride

MELK-8a hydrochloride Chemical Structure

CAS No. : 2096992-20-8

1.  客户无需承担相应的运输费用。

2.  同一机构(单位)同一产品试用装仅限申领一次,同一机构(单位)一年内

     可免费申领三个不同产品的试用装。

3.  试用装只面向终端客户

规格 价格 是否有货 数量
Free Sample (0.1 - 0.2 mg)   Apply now  
10 mM * 1 mL in DMSO ¥1723
In-stock
1 mg ¥830
In-stock
5 mg ¥1670
In-stock
10 mg ¥2425
In-stock
25 mg ¥3875
In-stock
50 mg ¥5305
In-stock
100 mg 现货 询价
500 mg 现货 询价
1 g   询价  
5 g   询价  

* Please select Quantity before adding items.

Customer Review

Other Forms of MELK-8a hydrochloride:

    MELK-8a hydrochloride purchased from MCE. Usage Cited in: J Biol Chem. 2020 Feb 21;295(8):2359-2374.  [Abstract]

    Delayed mitotic entry caused by 8a is associated with delayed activation of Aurora A, Aurora B, and CDK1. HeLaS3 cells are synchronized at G1/S with double thymidine block and released into DMSO or 3 μM 8a. Cells are collected starting at 6h post-release, with subsequent collections completed every 0.5 or 1h, over a 12h timecourse. Cells are lysed and immunoblotted with the indicated antibodies. The split in the image indicates that the samples from DMSO and 3 μM 8a conditions are blotted sepa.

    MELK-8a hydrochloride purchased from MCE. Usage Cited in: J Biol Chem. 2020 Feb 21;295(8):2359-2374.  [Abstract]

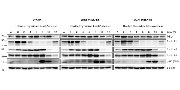
    MELK inhibition with 3 μM 8a causes delayed mitotic entry. HeLaS3 cells are synchronized at G1/S with double thymidine block and released into DMSO, 1 μM, or 3 μM 8a. Cells are collected every 2h over a 12h timecourse. Cells are lysed and immunoblotted with the indicated antibodies. The splits in the image indicate that the samples from DMSO, 1 μM, and 3 μM 8a conditions are immunoblotted separately due to space constraints. Asynchronous HeLaS3 lysate is loaded in the lanes labeled “A” in order

    MELK-8a hydrochloride purchased from MCE. Usage Cited in: J Biol Chem. 2020 Feb 21;295(8):2359-2374.  [Abstract]

    HeLaS3 cells treated with 8a complete mitosis and begin the subsequent cell cycle following delayed mitotic entry. HeLaS3 cells are synchronized at G1/S with double thymidine block and released into DMSO or 3 μM 8a. Cells are collected starting at 6h post-release, with subsequent collections completed every 2h over a 20h timecourse. Cells are lysed and immunoblotted with the indicated antibodies. The split in the image indicates that the samples from DMSO and 3 μM 8a conditions are blotted sepa

    MELK-8a hydrochloride purchased from MCE. Usage Cited in: J Biol Chem. 2020 Feb 21;295(8):2359-2374.  [Abstract]

    Asynchronous MDA-MB-468 cells are treated with DMSO or 0.5, 1, or 3 μM 8a for 1, 6, or 24h. Cells are harvested and immunoblotted with the indicated antibodies.

    MELK-8a hydrochloride purchased from MCE. Usage Cited in: Cell Rep. 2017 Dec 5;21(10):2829-2841.  [Abstract]

    A375 cells are treated with MELK-8a for 48 h and analyzed for indicated proteins by immunoblot analysis. ACTINB is used for as a loading control.
    • 生物活性

    • 实验参考方法

    • 纯度 & 产品资料

    • 参考文献

    生物活性

    MELK-8a hydrochloride is a novel maternal embryonic leucine zipper kinase (MELK) inhibitor with an IC50 of 2 nM.

    IC50 & Target

    IC50: 2 nM (MELK)[1]

    体外研究
    (In Vitro)

    MELK-8a remains very potent (IC50=140 nM) when the ATP concentration in the biochemical assay is shifted from 20 μM to 2 mM. Its potency is well tracked between full-length MELK versus catalytic domain construct (5 nM versus 2 nM). It only inhibits seven off-target kinases in addition to MELK with >85% inhibition of binding at 1 μM demonstrating great selectivity. The compound is at least 90-fold more selective in targeting MELK in all cases. MELK-8a is fairly soluble (0.22 g/L at pH 6.8) and shows a good permeability in the Caco-2 assay. MELK-8a inhibits the growth of MDA-MB-468 cells and MCF-7 cells with an IC50 of approximately 0.06 and 1.2 μM, respectively[1].

    MCE has not independently confirmed the accuracy of these methods. They are for reference only.

    体内研究
    (In Vivo)

    Subcutaneous administration of MELK-8a at 30 mg/kg in C57BL/6 mice results in good plasma exposure. The compound adsorption into the systemic circulation is rapid (Tmax=0.4 h) and peak plasma concentration reaches 6.6 μM. An ascending dose PK study in female athymic nude mice shows that the rate of compound release is maximal at 120 mg/kg and all clearance mechanisms can be saturated at 240 mg/kg. However, when administered orally at 10 mg/kg in C57BL/6 male mice, it shows very poor PK (3.6% oral bioavailability) consistent with very high in vivo clearance[1].

    MCE has not independently confirmed the accuracy of these methods. They are for reference only.

    分子量

    469.02

    Formula

    C25H33ClN6O

    CAS 号
    性状

    固体

    颜色

    Light yellow to yellow

    运输条件

    Room temperature in continental US; may vary elsewhere.

    储存方式

    4°C, sealed storage, away from moisture

    *In solvent : -80°C, 6 months; -20°C, 1 month (sealed storage, away from moisture)

    溶解性数据
    细胞实验: 

    H2O 中的溶解度 : ≥ 100 mg/mL (213.21 mM)

    DMSO 中的溶解度 : 8.6 mg/mL (18.34 mM; 超声加热助溶; 吸湿的 DMSO 对产品的溶解度有显著影响,请使用新开封的 DMSO)

    * "≥" means soluble, but saturation unknown.

    配制储备液
    浓度 溶剂体积 质量 1 mg 5 mg 10 mg
    1 mM 2.1321 mL 10.6605 mL 21.3211 mL
    5 mM 0.4264 mL 2.1321 mL 4.2642 mL
    查看完整储备液配制表

    * 请根据产品在不同溶剂中的溶解度选择合适的溶剂配制储备液;一旦配成溶液,请分装保存,避免反复冻融造成的产品失效
    储备液的保存方式和期限:-80°C, 6 months; -20°C, 1 month (sealed storage, away from moisture)。-80°C储存时,请在6个月内使用,-20°C储存时,请在1个月内使用。

    * 备注:如您选择水作为储备液,请稀释至工作液后,再用 0.22 μm 的滤膜过滤除菌后使用。

    • 摩尔计算器

    • 稀释计算器

    Mass (g) = Concentration (mol/L) × Volume (L) × Molecular Weight (g/mol)

    质量
    =
    浓度
    ×
    体积
    ×
    分子量 *

    Concentration (start) × Volume (start) = Concentration (final) × Volume (final)

    This equation is commonly abbreviated as: C1V1 = C2V2

    浓度 (start)

    C1

    ×
    体积 (start)

    V1

    =
    浓度 (final)

    C2

    ×
    体积 (final)

    V2

    动物实验:

    以下溶解方案,请直接配制工作液。建议现用现配,在短期内尽快用完。 以下溶剂前显示的百分比是指该溶剂在您配制终溶液中的体积占比; 如在配制过程中出现沉淀、析出现象,可以通过加热和/或超声的方式助溶。

    • 方案 一

      请依序添加每种溶剂: PBS

      Solubility: 50 mg/mL (106.61 mM); 澄清溶液; 超声助溶

    动物溶解方案计算器
    请输入动物实验的基本信息:

    给药剂量

    mg/kg

    动物的平均体重

    g

    每只动物的给药体积

    μL

    动物数量

    由于实验过程有损耗,建议您多配一只动物的量
    计算结果
    工作液所需浓度 : mg/mL
    该产品水溶性佳,请具体参考实测 水 / PBS / Saline 中的溶解度数据。
    您所需的储备液浓度超过该产品的实测溶解度,如有需要,请与 MCE 中国技术支持联系。
    纯度 & 产品资料

    纯度: 99.31%

    参考文献
    Cell Assay
    [1]

    MDA-MB-468 and MCF7 cells are seeded in growth medium into 96-well plates at 1000 and 4000 cells/well, respectively. Sixteen hours after plating, MELK-8a are added and incubated for 7 days. For each well, ATPLite reagent is added and incubated. Luminescence is measured on an multilabel plate reader[1].

    MCE has not independently confirmed the accuracy of these methods. They are for reference only.

    Animal Administration
    [1]

    Mice: For pharmacokinetic studies, the intravenous and oral dose is prepared in a solution containing 5% ethanol, 100% PG, 5% CremophorEL, and 80% PBS. The subcutaneous dose is formulated in 10% PG and 25% (20%, v/v) Solutol. Plasma samples are collected at specified time points and stored frozen (−20 °C) until MELK-8a analysis. An LC−MS/MS method is used to quantitate MELK-8a drug levels in plasma[1].

    MCE has not independently confirmed the accuracy of these methods. They are for reference only.

    参考文献

    完整储备液配制表

    * 请根据产品在不同溶剂中的溶解度选择合适的溶剂配制储备液;一旦配成溶液,请分装保存,避免反复冻融造成的产品失效
    储备液的保存方式和期限:-80°C, 6 months; -20°C, 1 month (sealed storage, away from moisture)。-80°C储存时,请在6个月内使用,-20°C储存时,请在1个月内使用。

    可选溶剂 浓度 溶剂体积 质量 1 mg 5 mg 10 mg 25 mg
    DMSO / H2O 1 mM 2.1321 mL 10.6605 mL 21.3211 mL 53.3026 mL
    5 mM 0.4264 mL 2.1321 mL 4.2642 mL 10.6605 mL
    10 mM 0.2132 mL 1.0661 mL 2.1321 mL 5.3303 mL
    15 mM 0.1421 mL 0.7107 mL 1.4214 mL 3.5535 mL
    H2O 20 mM 0.1066 mL 0.5330 mL 1.0661 mL 2.6651 mL
    25 mM 0.0853 mL 0.4264 mL 0.8528 mL 2.1321 mL
    30 mM 0.0711 mL 0.3554 mL 0.7107 mL 1.7768 mL
    40 mM 0.0533 mL 0.2665 mL 0.5330 mL 1.3326 mL
    50 mM 0.0426 mL 0.2132 mL 0.4264 mL 1.0661 mL
    60 mM 0.0355 mL 0.1777 mL 0.3554 mL 0.8884 mL
    80 mM 0.0267 mL 0.1333 mL 0.2665 mL 0.6663 mL
    100 mM 0.0213 mL 0.1066 mL 0.2132 mL 0.5330 mL

    * 备注:如您选择水作为储备液,请稀释至工作液后,再用 0.22 μm 的滤膜过滤除菌后使用。

    Help & FAQs
    • Do most proteins show cross-species activity?

      Species cross-reactivity must be investigated individually for each product. Many human cytokines will produce a nice response in mouse cell lines, and many mouse proteins will show activity on human cells. Other proteins may have a lower specific activity when used in the opposite species.

    您最近查看的产品:

    Your information is safe with us. * Required Fields.

       产品名称:

     

    * 需求量:

    * 客户姓名:

     

    * Email:

    * 电话:

     

    * 公司或机构名称:

       留言给我们:

    Bulk Inquiry

    Inquiry Information

    产品名称:
    MELK-8a hydrochloride
    目录号:
    HY-100368A
    需求量:
    ="region-item" data-bind="css: {active: $root.provinceSelect() == '浙江省'}">浙江省
  • 江苏省
  • 吉林省
  • 福建省
  • 河北省
  • A

    B

    C

    F

    G

    H

    J

    L

    N

    Q

    S

    T

    X

    Y

    Z

    A B C F G H J L N Q S T X Y Z