1. MAPK/ERK Pathway
  2. MAP4K MAP3K
  3. NG25

NG25 是一种 TAK1MAP4K2 的双抑制剂,IC50 值分别为 149 nM 和 21.7 nM。

MCE 的所有产品仅用作科学研究或药证申报,我们不为任何个人用途提供产品和服务

我们将采用定制合成服务的方式为您快速提供所需产品和技术服务

NG25

NG25 Chemical Structure

CAS No. : 1315355-93-1

1.  客户无需承担相应的运输费用。

2.  同一机构(单位)同一产品试用装仅限申领一次,同一机构(单位)一年内

     可免费申领三个不同产品的试用装。

3.  试用装只面向终端客户

规格 价格 是否有货 数量
10 mM * 1 mL in DMSO ¥591
In-stock
5 mg ¥500
In-stock
10 mg ¥880
In-stock
25 mg ¥1850
In-stock
50 mg ¥3240
In-stock
100 mg ¥5650
In-stock
200 mg   询价  
500 mg   询价  

* Please select Quantity before adding items.

Customer Review

Other Forms of NG25:

MCE 顾客使用本产品发表的 24 篇科研文献

WB

    NG25 purchased from MCE. Usage Cited in: Sci Signal. 2018 Jul 10;11(538). pii: eaan5850.  [Abstract]

    A549 cells are treated for 30 min with either 5z-7-oxozeanol or NG-25 to inhibit TAK1 and immunoblotted with the indicated antibodies.

    NG25 purchased from MCE. Usage Cited in: Mol Med Rep. 2018 Jan;17(1):1710-1716.  [Abstract]

    Expression level of p TAK1 and downstream targets following NG25 treatment. Western blot detection of p TAK1 and TAK1 expression levels in the sham group, and samples from HI, DMSO treated and NG25 treated rat brain cortexes.

    NG25 purchased from MCE. Usage Cited in: Nat Cell Biol. 2017 Oct;19(10):1248-1259.  [Abstract]

    Immortalized RIPK1 +/+ fetal liver mouse macrophages were infected with YopP-negative Ye-ΔyopP in presence of inhibitors for TAK1 (NP, NG25), IKKβ, IKK, p38, MK2, JNK, or MEK1/ERK. The phosphorylation of RIPK1 is analyzed by immunoblotting in cell lysates prepared after 75 min of infection.

    NG25 purchased from MCE. Usage Cited in: Oncogene. 2017 Oct 5;36(40):5620-5630.  [Abstract]

    C3-TAg cells are starved and stimulated for 0, 15 and 30 min with ephrin-A1-Fc (EphA2 ligand; 1 μg/mL) in the presence or absence of ALW-II-41-27 or NG-25 control. EphA2 is immunoprecipitated and products probed for tyrosine phosphorylation and EphA2. ALW-II-41-27 significantly reduces basal and ephrin-A1-Fc induced tyrosine phosphorylation.

    NG25 purchased from MCE. Usage Cited in: Oncotarget. 2017 Nov 1;8(61):104330-104346.  [Abstract]

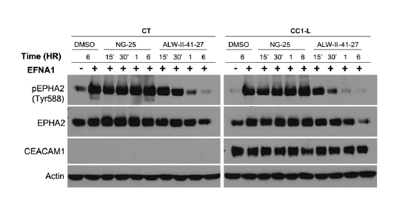
    MC38-CT or -CC1-L cells are treated with 1 μM of DMSO, or the non-specific NG-25 or specific ALW-II-41-27 EPHA2 receptor inhibitor for indicated periods of time, followed by stimulation with EFNA1-Fc (2 μg/mL) in the last 15 min of treatments. Protein lysates are prepared and subjected to immunoblotting using antibodies to determine the effect of kinase inhibitors on EPHA2 activation.

    NG25 purchased from MCE. Usage Cited in: Sci Rep. 2016 Sep 7;6:32737.  [Abstract]

    TAK1 inhibition inhibits Dox-induced p38 activation and IκBα degradation. Breast cancer cell lines T-47D, MCF7, HCC1954, MDA-MB-231, and BT-549 are treated with Dox (20 μM) alone or combined with NG25 (2 μM) for 0, 2 h, 4 h or 6 h. The protein extracts are subjected to SDS-PAGE and immunoblotted with the antibodies against p-p38, p38, and IκBα. β-actin are detected as loading controls for whole cell extracts.

    NG25 purchased from MCE. Usage Cited in: Biochem Biophys Res Commun. 2014 Oct 10;453(1):106-11.  [Abstract]

    786-O/A489 RCC cells are treated with LYTAK1 (100 nM), 5Z-7-oxozeanol (5Z, 0.25 lM) or NG-25 (NG-25, 2.5 lM) for 24 h, Western blots are applied to tested list proteins.
    • 生物活性

    • 实验参考方法

    • 纯度 & 产品资料

    • 参考文献

    生物活性

    NG25 is a potent dual TAK1 and MAP4K2 inhibitor, with IC50s of 149 nM and 21.7 nM, respectively.

    IC50 & Target[1]

    MAP4K2

    21.7 nM (IC50)

    TAK1

    149 nM (IC50)

    LYN

    12.9 nM (IC50)

    GSK

    56.4 nM (IC50)

    ABL,ARG

    75.2 nM (IC50)

    FER

    82.3 nM (IC50)

    SRC

    113 nM (IC50)

    Eph B2

    672 nM (IC50)

    ZAK

    698 nM (IC50)

    Eph A2

    773 nM (IC50)

    Eph B4

    999 nM (IC50)

    ZC1/HGK

    3250 nM (IC50)

    RAF1

    7590 nM (IC50)

    体外研究
    (In Vitro)

    NG25 是一种有效的 TAK1 和 MAP4K2 双重抑制剂,IC50 分别为 149 nM 和 21.7 nM。
    NG25 有效抑制多种激酶,如 LYN、CSK、FER、p38α、ABL、ARG 和 SRC,IC50 分别为 12.9、56.4、82.3、102、75.2 和 113 nM[1]
    NG25 是 CpG B 或 CpG A 刺激的 IFNα 分泌和 CL097 刺激的 IFNβ 分泌的非常有效的抑制剂,400 nM 完全抑制[2]
    NG25 处理以剂量依赖性方式降低所有测试的乳腺癌细胞系的细胞活力。
    NG25 (2 μM) 增强 Dox 对乳腺癌细胞的细胞毒性作用[3]

    MCE has not independently confirmed the accuracy of these methods. They are for reference only.

    分子量

    537.58

    Formula

    C29H30F3N5O2

    CAS 号
    性状

    固体

    颜色

    White to off-white

    运输条件

    Room temperature in continental US; may vary elsewhere.

    储存方式
    Powder -20°C 3 years
    4°C 2 years
    In solvent -80°C 2 years
    -20°C 1 year
    溶解性数据
    细胞实验: 

    DMSO 中的溶解度 : 16.67 mg/mL (31.01 mM; 超声助溶 (<60°C); 吸湿的 DMSO 对产品的溶解度有显著影响,请使用新开封的 DMSO)

    配制储备液
    浓度 溶剂体积 质量 1 mg 5 mg 10 mg
    1 mM 1.8602 mL 9.3009 mL 18.6019 mL
    5 mM 0.3720 mL 1.8602 mL 3.7204 mL
    查看完整储备液配制表

    * 请根据产品在不同溶剂中的溶解度选择合适的溶剂配制储备液;一旦配成溶液,请分装保存,避免反复冻融造成的产品失效
    储备液的保存方式和期限:-80°C, 2 years; -20°C, 1 year。-80°C储存时,请在2年内使用, -20°C储存时,请在1年内使用。

    • 摩尔计算器

    • 稀释计算器

    Mass (g) = Concentration (mol/L) × Volume (L) × Molecular Weight (g/mol)

    质量
    =
    浓度
    ×
    体积
    ×
    分子量 *

    Concentration (start) × Volume (start) = Concentration (final) × Volume (final)

    This equation is commonly abbreviated as: C1V1 = C2V2

    浓度 (start)

    C1

    ×
    体积 (start)

    V1

    =
    浓度 (final)

    C2

    ×
    体积 (final)

    V2

    动物实验:

    请根据您的 实验动物和给药方式 选择适当的溶解方案。

    以下溶解方案都请先按照 In Vitro 方式配制澄清的储备液,再依次添加助溶剂:
    ——为保证实验结果的可靠性,澄清的储备液可以根据储存条件,适当保存;体内实验的工作液,建议您现用现配,当天使用
    以下溶剂前显示的百分比是指该溶剂在您配制终溶液中的体积占比;如在配制过程中出现沉淀、析出现象,可以通过加热和/或超声的方式助溶

    • 方案 一

      请依序添加每种溶剂: 10% DMSO    40% PEG300    5% Tween-80    45% Saline

      Solubility: ≥ 2.5 mg/mL (4.65 mM); 澄清溶液

      此方案可获得 ≥ 2.5 mg/mL(饱和度未知)的澄清溶液。

      1 mL 工作液为例,取 100 μL 25.0 mg/mL 的澄清 DMSO 储备液加到 400 μL PEG300 中,混合均匀;再向上述体系中加入 50 μL Tween-80,混合均匀;然后再继续加入 450 μL 生理盐水 定容至 1 mL

      生理盐水的配制:将 0.9 g 氯化钠,溶解于 ddH₂O 并定容至 100 mL,可以得到澄清透明的生理盐水溶液。
    • 方案 二

      请依序添加每种溶剂: 10% DMSO    90% (20% SBE-β-CD in Saline)

      Solubility: 2.5 mg/mL (4.65 mM); 悬浊液; 超声助溶

      此方案可获得 2.5 mg/mL的均匀悬浊液,悬浊液可用于口服和腹腔注射。

      1 mL 工作液为例,取 100 μL 25.0 mg/mL 的澄清 DMSO 储备液加到 900 μL 20% 的 SBE-β-CD 生理盐水水溶液 中,混合均匀。

      2 g SBE-β-CD(磺丁基醚 β-环糊精)粉末定容于 10 mL 的生理盐水中,完全溶解至澄清透明。
    动物溶解方案计算器
    请输入动物实验的基本信息:

    给药剂量

    mg/kg

    动物的平均体重

    g

    每只动物的给药体积

    μL

    动物数量

    由于实验过程有损耗,建议您多配一只动物的量
    请输入您的动物体内配方组成:
    %
    DMSO +
    +
    %
    Tween-80 +
    %
    Saline
    如果您的动物是免疫缺陷鼠或者体弱鼠,建议 DMSO 中的在最后工作液体系中的占比尽量不超过 2%。
    方案所需 助溶剂 包括:DMSO ,均可在 MCE 网站选购。 Tween 80,均可在 MCE 网站选购。
    计算结果
    工作液所需浓度 : mg/mL
    储备液配制方法 : mg 药物溶于 μL  DMSO(母液浓度为 mg/mL)。
    您所需的储备液浓度超过该产品的实测溶解度,以下方案仅供参考,如有需要,请与 MCE 中国技术支持联系。
    动物实验体内工作液的配制方法 : 取 μL DMSO 储备液,加入 μL  μL ,混合均匀至澄清,再加 μL Tween 80,混合均匀至澄清,再加 μL 生理盐水
    连续给药周期超过半月以上,请谨慎选择该方案。
    请确保第一步储备液溶解至澄清状态,从左到右依次添加助溶剂。您可采用超声加热 (超声清洗仪,建议频次 20-40 kHz),涡旋吹打等方式辅助溶解。
    纯度 & 产品资料

    纯度: 98.30%

    参考文献
    Kinase Assay
    [2]

    IRF7 is expressed in Escherichia coli as a glutathione S-transferase (GST) fusion protein with a PreScission proteinase cleavage site between the GST and the IRF7. The GST-IRF7 is captured on glutathione-Sepharose and IRF7 released from GST and glutathione-Sepharose by digestion with PreScission proteinase. His6-tagged IKKβ and TBK1 are expressed in their active phosphorylated forms in insect Sf21 cells and purified by affinity chromatography on nickel nitrilotriacetate-agarose. Active GST-IKKα is purchased from Millipore and assayed.

    MCE has not independently confirmed the accuracy of these methods. They are for reference only.

    Cell Assay
    [2]

    3.5×105 Gen2.2 cells or Flt3-DCs are incubated for 1 h in 96-well plates without or with the indicated concentrations of inhibitor, then stimulated with 1 μM CpG (type A or B) or 1 μg/mL of CL097 or R848. After 5 or 12 h the cell culture supernatants are collected, clarified by centrifugation, and frozen at −80°C until cytokine levels are analyzed. For cell viability assays, unstimulated cells are incubated for 12 h in the absence or presence of inhibitors. Cells are then fixed and the percentage of live cells analyzed by flow cytometry.

    MCE has not independently confirmed the accuracy of these methods. They are for reference only.

    参考文献

    完整储备液配制表

    * 请根据产品在不同溶剂中的溶解度选择合适的溶剂配制储备液;一旦配成溶液,请分装保存,避免反复冻融造成的产品失效
    储备液的保存方式和期限:-80°C, 2 years; -20°C, 1 year。-80°C储存时,请在2年内使用, -20°C储存时,请在1年内使用。

    可选溶剂 浓度 溶剂体积 质量 1 mg 5 mg 10 mg 25 mg
    DMSO 1 mM 1.8602 mL 9.3009 mL 18.6019 mL 46.5047 mL
    5 mM 0.3720 mL 1.8602 mL 3.7204 mL 9.3009 mL
    10 mM 0.1860 mL 0.9301 mL 1.8602 mL 4.6505 mL
    15 mM 0.1240 mL 0.6201 mL 1.2401 mL 3.1003 mL
    20 mM 0.0930 mL 0.4650 mL 0.9301 mL 2.3252 mL
    25 mM 0.0744 mL 0.3720 mL 0.7441 mL 1.8602 mL
    30 mM 0.0620 mL 0.3100 mL 0.6201 mL 1.5502 mL
    Help & FAQs
    • Do most proteins show cross-species activity?

      Species cross-reactivity must be investigated individually for each product. Many human cytokines will produce a nice response in mouse cell lines, and many mouse proteins will show activity on human cells. Other proteins may have a lower specific activity when used in the opposite species.

    您最近查看的产品:

    Your information is safe with us. * Required Fields.

       产品名称:

     

    * 需求量:

    * 客户姓名:

     

    * Email:

    * 电话:

     

    * 公司或机构名称:

       留言给我们:

    Bulk Inquiry

    Inquiry Information

    产品名称:
    NG25
    目录号:
    HY-15434
    需求量: