1. Cell Cycle/DNA Damage Vitamin D Related/Nuclear Receptor Metabolic Enzyme/Protease NF-κB Immunology/Inflammation Anti-infection
  2. Dengue Virus PPAR Reactive Oxygen Species (ROS) Influenza Virus Endogenous Metabolite
  3. Naringenin

Naringenin  (Synonyms: 柚皮素)

目录号: HY-N0100 纯度: 99.28%
COA 产品使用指南 技术支持

Naringenin 是柑橘中主要的黄烷酮; 显示出强烈的抗炎和抗氧化活性。Naringenin 具有抗登革热病毒 (DENV) 活性。

MCE 的所有产品仅用作科学研究或药证申报,我们不为任何个人用途提供产品和服务

Naringenin

Naringenin Chemical Structure

CAS No. : 480-41-1

1.  客户无需承担相应的运输费用。

2.  同一机构(单位)同一产品试用装仅限申领一次,同一机构(单位)一年内

     可免费申领三个不同产品的试用装。

3.  试用装只面向终端客户

规格 价格 是否有货 数量
5 mg ¥500
In-stock
10 mg ¥600
In-stock
50 mg ¥960
In-stock
100 mg ¥1152
In-stock
200 mg   询价  
500 mg   询价  

* Please select Quantity before adding items.

Customer Review

Other Forms of Naringenin:

    Naringenin purchased from MCE. Usage Cited in: J Funct Foods. 2020 Jun.

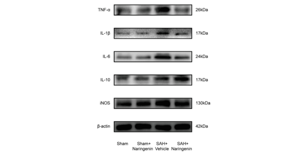
    Naringenin prevents the neuroinflammation. Representative Western blot bands of TNF-α, IL-1β, IL-6, IL-10, and iNOS.

    Naringenin purchased from MCE. Usage Cited in: J Funct Foods. 2020 Jun.

    Naringenin decreases the number of Iba-1-positive microglia and fully-activated microglia. Schematic diagram of the selected region of brain section for immunochemistry and Representative Iba-1 staining.

    查看 PPAR 亚型特异性产品:

    • 生物活性

    • 实验参考方法

    • 纯度 & 产品资料

    • 参考文献

    生物活性

    Naringenin is the predominant flavanone in Citrus reticulata Blanco; displays strong anti-inflammatory and antioxidant activities. Naringenin has anti-dengue virus (DENV) activity.

    细胞效力
    (Cellular Effect)
    Cell Line Type Value Description References
    A549 IC50
    > 100 μM
    Compound: 4
    Cytotoxicity against human A549 cells after 72 hrs by MTT assay
    Cytotoxicity against human A549 cells after 72 hrs by MTT assay
    [PMID: 18440233]
    B16-BL6 IC50
    > 100 μM
    Compound: 4
    Cytotoxicity against mouse B16-BL6 cells after 72 hrs by MTT assay
    Cytotoxicity against mouse B16-BL6 cells after 72 hrs by MTT assay
    [PMID: 18440233]
    BJ EC50
    > 10 μM
    Compound: 2
    Cytotoxicity against human BJ cells assessed as viable cells after 72 hrs by calcein AM assay
    Cytotoxicity against human BJ cells assessed as viable cells after 72 hrs by calcein AM assay
    [PMID: 20192247]
    C8166 CC50
    141.6 μg/mL
    Compound: 6
    Cytotoxicity against human C8166 cells assessed as inhibition of cell proliferation after 72 hrs by MTT assay
    Cytotoxicity against human C8166 cells assessed as inhibition of cell proliferation after 72 hrs by MTT assay
    [PMID: 24794743]
    C8166 EC50
    9.47 μg/mL
    Compound: 6
    Antiviral activity against HIV-1 3B infected in human C8166 cells assessed as inhibition of virus-induced cytopathogenicity by measuring syncytial cell number after 3 days by inverted microscopic analysis
    Antiviral activity against HIV-1 3B infected in human C8166 cells assessed as inhibition of virus-induced cytopathogenicity by measuring syncytial cell number after 3 days by inverted microscopic analysis
    [PMID: 24794743]
    CCRF-CEM EC50
    > 10 μM
    Compound: 2
    Cytotoxicity against human CEM cells assessed as viable cells after 72 hrs by calcein AM assay
    Cytotoxicity against human CEM cells assessed as viable cells after 72 hrs by calcein AM assay
    [PMID: 20192247]
    H9 IC50
    294 μM
    Compound: 19
    Cytotoxicity against human H9 cells after 3 days
    Cytotoxicity against human H9 cells after 3 days
    [PMID: 8158164]
    H9 EC50
    92 μM
    Compound: 19
    Antiviral activity against HIV1 3B infected in human H9 cells assessed as inhibition of viral replication after 3 days by p24 antigen capture assay
    Antiviral activity against HIV1 3B infected in human H9 cells assessed as inhibition of viral replication after 3 days by p24 antigen capture assay
    [PMID: 8158164]
    HeLa EC50
    > 10 μM
    Compound: 2
    Cytotoxicity against human HeLa cells assessed as viable cells after 72 hrs by calcein AM assay
    Cytotoxicity against human HeLa cells assessed as viable cells after 72 hrs by calcein AM assay
    [PMID: 20192247]
    HeLa IC50
    > 100 μM
    Compound: 4
    Cytotoxicity against human HeLa cells after 72 hrs by MTT assay
    Cytotoxicity against human HeLa cells after 72 hrs by MTT assay
    [PMID: 18440233]
    HL-60 IC50
    413.7 μM
    Compound: Naringenin
    Cytotoxicity against human HL60 cells after 46 hrs by MTT assay
    Cytotoxicity against human HL60 cells after 46 hrs by MTT assay
    [PMID: 23756061]
    HT-1080 IC50
    > 100 μM
    Compound: 4
    Cytotoxicity against human HT1080 cells after 72 hrs by MTT assay
    Cytotoxicity against human HT1080 cells after 72 hrs by MTT assay
    [PMID: 18440233]
    Jurkat IC50
    41.6 μM
    Compound: Naringenin
    Inhibition of chymotrypsin-like activity of human 26S proteasome in human Jurkat cells assessed as decrease in AMC hydrolysis using Z-Gly-Gly-Leu-AMC as substrate after 24 hrs by fluorescence based method
    Inhibition of chymotrypsin-like activity of human 26S proteasome in human Jurkat cells assessed as decrease in AMC hydrolysis using Z-Gly-Gly-Leu-AMC as substrate after 24 hrs by fluorescence based method
    [PMID: 30776692]
    Jurkat IC50
    48.8 μM
    Compound: Naringenin
    Inhibition of chymotrypsin-like activity of purified human 20S proteasome expressed in human Jurkat cells assessed as decrease in AMC hydrolysis using Suc-Leu-Leu-Val-Tyr-AMC as substrate incubated for 2 hrs by fluorescence based method
    Inhibition of chymotrypsin-like activity of purified human 20S proteasome expressed in human Jurkat cells assessed as decrease in AMC hydrolysis using Suc-Leu-Leu-Val-Tyr-AMC as substrate incubated for 2 hrs by fluorescence based method
    [PMID: 30776692]
    L5178Y IC50
    ≥ 11.3 μM
    Compound: 1
    Cytotoxicity against parental mouse L5178Y cells assessed as inhibition of cell growth incubated for 24 hrs by MTT assay
    Cytotoxicity against parental mouse L5178Y cells assessed as inhibition of cell growth incubated for 24 hrs by MTT assay
    [PMID: 33038666]
    L5178Y IC50
    ≥ 11.3 μM
    Compound: 1
    Cytotoxicity against multi-drug resistant mouse L5178Y cells transfected with ABCB1 gene assessed as inhibition of cell growth incubated for 24 hrs by MTT assay
    Cytotoxicity against multi-drug resistant mouse L5178Y cells transfected with ABCB1 gene assessed as inhibition of cell growth incubated for 24 hrs by MTT assay
    [PMID: 33038666]
    Lewis lung carcinoma cell line IC50
    > 100 μM
    Compound: 4
    Cytotoxicity against mouse LLC cells after 72 hrs by MTT assay
    Cytotoxicity against mouse LLC cells after 72 hrs by MTT assay
    [PMID: 18440233]
    MCF7 EC50
    > 10 μM
    Compound: 2
    Cytotoxicity against human MCF7 cells assessed as viable cells after 72 hrs by calcein AM assay
    Cytotoxicity against human MCF7 cells assessed as viable cells after 72 hrs by calcein AM assay
    [PMID: 20192247]
    MCF7 IC50
    0.3 μM
    Compound: Naringenin
    Antiproliferative activity against human MCF7 cells assessed as inhibition of cell growth incubated for 6 days by SRB assay
    Antiproliferative activity against human MCF7 cells assessed as inhibition of cell growth incubated for 6 days by SRB assay
    [PMID: 33257172]
    MCF7 IC50
    5.1 μM
    Compound: Naringenin
    Inhibition of aromatase in human MCF7 cells using [1beta-3H]androstenedione as substrate measured after 1 hr by liquid scintillation counting method
    Inhibition of aromatase in human MCF7 cells using [1beta-3H]androstenedione as substrate measured after 1 hr by liquid scintillation counting method
    [PMID: 27155469]
    NALM-6 IC50
    426.3 μM
    Compound: Naringenin
    Cytotoxicity against human NALM6 cells after 46 hrs by MTT assay
    Cytotoxicity against human NALM6 cells after 46 hrs by MTT assay
    [PMID: 23756061]
    RAW264.7 IC50
    60 μM
    Compound: 11
    Inhibition of LPS/INF-gamma-stimulated nitric oxide production in mouse RAW264.7 cells measured after 16 hrs
    Inhibition of LPS/INF-gamma-stimulated nitric oxide production in mouse RAW264.7 cells measured after 16 hrs
    [PMID: 27955927]
    RPMI-8226 EC50
    > 10 μM
    Compound: 2
    Cytotoxicity against human RPMI8226 cells assessed as viable cells after 72 hrs by calcein AM assay
    Cytotoxicity against human RPMI8226 cells assessed as viable cells after 72 hrs by calcein AM assay
    [PMID: 20192247]
    THP-1 IC50
    > 10 μM
    Compound: 25
    Cytotoxicity against human THP1 cells assessed as cell viability after 24 hrs by WST assay
    Cytotoxicity against human THP1 cells assessed as cell viability after 24 hrs by WST assay
    [PMID: 25735399]
    THP-1 EC50
    > 10 μM
    Compound: 2
    Cytotoxicity against human THP1 cells after 72 hrs by erythosin B staining method
    Cytotoxicity against human THP1 cells after 72 hrs by erythosin B staining method
    [PMID: 20192247]
    U-266 EC50
    > 10 μM
    Compound: 2
    Cytotoxicity against human U266 cells assessed as viable cells after 72 hrs by calcein AM assay
    Cytotoxicity against human U266 cells assessed as viable cells after 72 hrs by calcein AM assay
    [PMID: 20192247]
    WM-115 IC50
    524.8 μM
    Compound: Naringenin
    Cytotoxicity against human WM115 cells after 46 hrs by MTT assay
    Cytotoxicity against human WM115 cells after 46 hrs by MTT assay
    [PMID: 23756061]
    体外研究
    (In Vitro)

    Naringenin 已被证明能够抑制 HepG2 细胞的增殖,部分原因是细胞在细胞周期的 G0/G1 和 G2/M 期聚集。Naringenin 已被证明能够诱导细胞凋亡,表现为细胞核损伤和凋亡细胞比例增加。Naringenin 可触发线粒体介导的凋亡途径,表现为 Bax/Bcl-2 比例升高,随后释放细胞色素 C,以及 caspase-3 的持续激活[1]
    Naringenin 暴露会显著降低 A431 细胞的细胞活力,同时伴随核凝聚和 DNA 碎片化增加,且呈剂量依赖性。细胞周期研究表明,Naringenin 诱导细胞周期停滞在 G0/G1 期,caspase-3 分析显示 caspase-3 活性呈剂量依赖性增加,从而导致细胞凋亡[2]

    MCE has not independently confirmed the accuracy of these methods. They are for reference only.

    体内研究
    (In Vivo)

    Naringenin 补充剂可显著降低血浆和肝脏中的总甘油三酯和胆固醇含量。此外,Naringenin 补充剂可降低宫旁脂肪组织的肥胖和甘油三酯含量。饲喂 Naringenin 的动物肝脏中 PPARα 蛋白表达显著增加。已知受 PPARα 调控的 CPT-1 和 UCP2 的表达在 Naringenin 治疗后显著增强[3]
    Naringenin 通过 PPARγ 辅激活因子 1α/PPARα 介导的转录程序增加肝脏脂肪酸氧化。它通过降低空腹高胰岛素血症来阻止固醇调节元件结合蛋白 1c 介导的肝脏和肌肉中的脂肪生成。Naringenin 可降低肝脏胆固醇和胆固醇酯的合成[4]
    Naringenin 以剂量依赖性方式抑制 TNF-α 诱导的平滑肌细胞平滑肌细胞增殖和迁移。机制研究表明,Naringenin 可抑制 ERK/MAPK 和 Akt 磷酸化,同时不影响 p38 MAPKJNK 的活性。Naringenin 还能阻断 TNF-α 诱导的 ROS 生成增加[5]

    MCE has not independently confirmed the accuracy of these methods. They are for reference only.

    Clinical Trial
    分子量

    272.25

    Formula

    C15H12O5

    CAS 号
    性状

    固体

    颜色

    White to light yellow

    中文名称

    柚皮素; 柑桔素

    结构分类
    初始来源
    运输条件

    Room temperature in continental US; may vary elsewhere.

    储存方式
    Powder -20°C 3 years
    4°C 2 years
    In solvent -80°C 6 months
    -20°C 1 month
    溶解性数据
    细胞实验: 

    DMSO 中的溶解度 : ≥ 100 mg/mL (367.31 mM; 吸湿的 DMSO 对产品的溶解度有显著影响,请使用新开封的 DMSO)

    * "≥" means soluble, but saturation unknown.

    配制储备液
    浓度 溶剂体积 质量 1 mg 5 mg 10 mg
    1 mM 3.6731 mL 18.3655 mL 36.7309 mL
    5 mM 0.7346 mL 3.6731 mL 7.3462 mL
    查看完整储备液配制表

    * 请根据产品在不同溶剂中的溶解度选择合适的溶剂配制储备液;一旦配成溶液,请分装保存,避免反复冻融造成的产品失效
    储备液的保存方式和期限:-80°C, 6 months; -20°C, 1 month。-80°C储存时,请在6个月内使用,-20°C储存时,请在1个月内使用。

    • 摩尔计算器

    • 稀释计算器

    Mass (g) = Concentration (mol/L) × Volume (L) × Molecular Weight (g/mol)

    质量
    =
    浓度
    ×
    体积
    ×
    分子量 *

    Concentration (start) × Volume (start) = Concentration (final) × Volume (final)

    This equation is commonly abbreviated as: C1V1 = C2V2

    浓度 (start)

    C1

    ×
    体积 (start)

    V1

    =
    浓度 (final)

    C2

    ×
    体积 (final)

    V2

    动物实验:

    请根据您的 实验动物和给药方式 选择适当的溶解方案。

    以下溶解方案都请先按照 In Vitro 方式配制澄清的储备液,再依次添加助溶剂:
    ——为保证实验结果的可靠性,澄清的储备液可以根据储存条件,适当保存;体内实验的工作液,建议您现用现配,当天使用
    以下溶剂前显示的百分比是指该溶剂在您配制终溶液中的体积占比;如在配制过程中出现沉淀、析出现象,可以通过加热和/或超声的方式助溶

    • 方案 一

      请依序添加每种溶剂: 10% DMSO    40% PEG300    5% Tween-80    45% Saline

      Solubility: ≥ 2.5 mg/mL (9.18 mM); 澄清溶液

      此方案可获得 ≥ 2.5 mg/mL(饱和度未知)的澄清溶液。

      1 mL 工作液为例,取 100 μL 25.0 mg/mL 的澄清 DMSO 储备液加到 400 μL PEG300 中,混合均匀;再向上述体系中加入 50 μL Tween-80,混合均匀;然后再继续加入 450 μL 生理盐水 定容至 1 mL

      生理盐水的配制:将 0.9 g 氯化钠,溶解于 ddH₂O 并定容至 100 mL,可以得到澄清透明的生理盐水溶液。
    • 方案 二

      请依序添加每种溶剂: 10% DMSO    90% (20% SBE-β-CD in Saline)

      Solubility: ≥ 2.5 mg/mL (9.18 mM); 澄清溶液

      此方案可获得 ≥ 2.5 mg/mL(饱和度未知)的澄清溶液。

      1 mL 工作液为例,取 100 μL 25.0 mg/mL 的澄清 DMSO 储备液加到 900 μL 20% 的 SBE-β-CD 生理盐水水溶液 中,混合均匀。

      2 g SBE-β-CD(磺丁基醚 β-环糊精)粉末定容于 10 mL 的生理盐水中,完全溶解至澄清透明。
    动物溶解方案计算器
    请输入动物实验的基本信息:

    给药剂量

    mg/kg

    动物的平均体重

    g

    每只动物的给药体积

    μL

    动物数量

    由于实验过程有损耗,建议您多配一只动物的量
    请输入您的动物体内配方组成:
    %
    DMSO +
    +
    %
    Tween-80 +
    %
    Saline
    如果您的动物是免疫缺陷鼠或者体弱鼠,建议 DMSO 中的在最后工作液体系中的占比尽量不超过 2%。
    方案所需 助溶剂 包括:DMSO ,均可在 MCE 网站选购。 Tween 80,均可在 MCE 网站选购。
    计算结果
    工作液所需浓度 : mg/mL
    储备液配制方法 : mg 药物溶于 μL  DMSO(母液浓度为 mg/mL)。
    您所需的储备液浓度超过该产品的实测溶解度,以下方案仅供参考,如有需要,请与 MCE 中国技术支持联系。
    动物实验体内工作液的配制方法 : 取 μL DMSO 储备液,加入 μL  μL ,混合均匀至澄清,再加 μL Tween 80,混合均匀至澄清,再加 μL 生理盐水
    连续给药周期超过半月以上,请谨慎选择该方案。
    请确保第一步储备液溶解至澄清状态,从左到右依次添加助溶剂。您可采用超声加热 (超声清洗仪,建议频次 20-40 kHz),涡旋吹打等方式辅助溶解。
    纯度 & 产品资料

    纯度: 99.28%

    参考文献
    Cell Assay
    [1]

    Naringenin is dissolved in DMSO and diluted in cell culture medium. The cells are rinsed with PBS and grown in a medium containing various concentrations of naringenin (50, 100, 150, 200, 250, 300 μM). The solvent DMSO treated cells are served as control. After 24 hrs of treatment, the medium is removed and replaced by another medium containing MTT. Cell viability is measured using the MTT assay[1].

    MCE has not independently confirmed the accuracy of these methods. They are for reference only.

    Animal Administration
    [3][4]

    Rats: Semi-purified, powdered diets are prepared for concentrations of naringenin: 0, 0.003, 0.006, and 0.012% of diet. After 7 days of acclimatization, rats are assigned to one of four groups, with six animals per group, and fed semi-purified experimental diets for 6 weeks. The experimental diets contain 16% fat, 45.5% sucrose, and different naringenin concentration (0, 0.003, 0.006, or 0.012%) (Table 1). Rats have ad libitum access to food and water during the study period. Food intake and body weight are measured throughout the experiment[3].

    Mouse: Eight- to 12-week-old mice are fed ad libitum a rodent standard diet or a high-fat diet containing 42% of calories from fat plus cholesterol (0.05% wt/wt). Naringenin is added to the Western diet at 1 or 3% (wt/wt). Ldlr−/− mice are fed for 4 weeks and C57BL/6J mice for 30 weeks. Food intake is measured daily, and body weight is measured biweekly. Mice are fasted for 6 h before intervention[4].

    MCE has not independently confirmed the accuracy of these methods. They are for reference only.

    参考文献

    完整储备液配制表

    * 请根据产品在不同溶剂中的溶解度选择合适的溶剂配制储备液;一旦配成溶液,请分装保存,避免反复冻融造成的产品失效
    储备液的保存方式和期限:-80°C, 6 months; -20°C, 1 month。-80°C储存时,请在6个月内使用,-20°C储存时,请在1个月内使用。

    可选溶剂 浓度 溶剂体积 质量 1 mg 5 mg 10 mg 25 mg
    DMSO 1 mM 3.6731 mL 18.3655 mL 36.7309 mL 91.8274 mL
    5 mM 0.7346 mL 3.6731 mL 7.3462 mL 18.3655 mL
    10 mM 0.3673 mL 1.8365 mL 3.6731 mL 9.1827 mL
    15 mM 0.2449 mL 1.2244 mL 2.4487 mL 6.1218 mL
    20 mM 0.1837 mL 0.9183 mL 1.8365 mL 4.5914 mL
    25 mM 0.1469 mL 0.7346 mL 1.4692 mL 3.6731 mL
    30 mM 0.1224 mL 0.6122 mL 1.2244 mL 3.0609 mL
    40 mM 0.0918 mL 0.4591 mL 0.9183 mL 2.2957 mL
    50 mM 0.0735 mL 0.3673 mL 0.7346 mL 1.8365 mL
    60 mM 0.0612 mL 0.3061 mL 0.6122 mL 1.5305 mL
    80 mM 0.0459 mL 0.2296 mL 0.4591 mL 1.1478 mL
    100 mM 0.0367 mL 0.1837 mL 0.3673 mL 0.9183 mL
    Help & FAQs
    • Do most proteins show cross-species activity?

      Species cross-reactivity must be investigated individually for each product. Many human cytokines will produce a nice response in mouse cell lines, and many mouse proteins will show activity on human cells. Other proteins may have a lower specific activity when used in the opposite species.

    您最近查看的产品:

    Your information is safe with us. * Required Fields.

       产品名称:

     

    * 需求量:

    * 客户姓名:

     

    * Email:

    * 电话:

     

    * 公司或机构名称:

       留言给我们:

    Bulk Inquiry

    Inquiry Information

    产品名称:
    Naringenin
    目录号:
    HY-N0100
    需求量: