1. Membrane Transporter/Ion Channel Immunology/Inflammation Anti-infection Apoptosis Stem Cell/Wnt
  2. Potassium Channel NOD-like Receptor (NLR) Bacterial Antibiotic Pyroptosis Wnt β-catenin
  3. Nigericin sodium salt

Nigericin sodium salt  (Synonyms: 尼日利亚菌素钠盐)

目录号: HY-100381 纯度: 99.37%
COA 产品使用指南 技术支持

Nigericin sodium salt 是一种抗生素 (antibiotic),源自 Streptomyces hygroscopicus,充当 K+/H+ 离子载体 (K+/H+ ionophore),促进 K+/H+ 跨线粒体膜交换。Nigericin sodium salt 是 NLRP3 的激活剂。Nigericin sodium salt 通过降低细胞内 pH (pHi) 和 Wnt/β-catenin 通路信号而显示出良好的抗癌活性。Nigericin sodium salt 在 TNBC 中通过 caspase 1/GSDMD 途径诱导细胞焦亡 (pyroptosis)。

MCE 的所有产品仅用作科学研究或药证申报,我们不为任何个人用途提供产品和服务

CAS No. : 28643-80-3

1.  客户无需承担相应的运输费用。

2.  同一机构(单位)同一产品试用装仅限申领一次,同一机构(单位)一年内

     可免费申领三个不同产品的试用装。

3.  试用装只面向终端客户

规格 价格 是否有货 数量
5 mg ¥900
In-stock
10 mg ¥1500
In-stock
25 mg ¥2180
In-stock
50 mg ¥2900
In-stock
100 mg ¥4060
In-stock
200 mg   询价  
500 mg   询价  

* Please select Quantity before adding items.

Customer Review

Other Forms of Nigericin sodium salt:

MCE 顾客使用本产品发表的 171 篇科研文献

WB

    Nigericin sodium salt purchased from MCE. Usage Cited in: Phytomedicine. 2024 May 28:131:155758.  [Abstract]

    Nigericin (10 μM; 30 min) inhibits caspase-1 cleavage and IL-1β secretion in BMDMs.

    Nigericin sodium salt purchased from MCE. Usage Cited in: Biomed Pharmacother. 2024 Jul 12:177:117121.  [Abstract]

    Nigericin (10 μM; 24 h) significantly upregulated the protein expression of NLRP3, Caspase-1, ASC, IL-1β, and IL-18 in hypoxia-treated H9c2 cells, reversing the inhibitory effects of Celastrol.

    Nigericin sodium salt purchased from MCE. Usage Cited in: Phytomedicine. 2023 May:113:154743.  [Abstract]

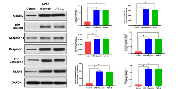
    Priming with LPS (1 μg/mL; 4 h) and activating with Nigericin (10 μM; 2 h) induces NLRP3 expression, caspase-1 cleavage, and GSDMD cleavage in BMDMs.

    Nigericin sodium salt purchased from MCE. Usage Cited in: Environ Toxicol. 2023 Jun;38(6):1405-1419.  [Abstract]

    Nigericin (1.38mM; 2 μg/2 μL; 10 min) signifcantly increases the expression of IL-1β, IL-18, and GSDMD N-terminal in rats

    Nigericin sodium salt purchased from MCE. Usage Cited in: Eur J Med Chem. 2023 Jan 5;245(Pt 2):114919.  [Abstract]

    Nigericin (10 μM; 0.5 h) combined with LPS (1 μg/mL; 4.5 h) markedly increases the expression of cleaved caspase-1 and IL-1β in the culture medium of THP-M cells.

    Nigericin sodium salt purchased from MCE. Usage Cited in: J Cell Mol Med. 2020 Jul;24(14):8078-8090.  [Abstract]

    LPS + Nigericin is used to induce pyroptosis as a positive control group.

    查看 NOD-like Receptor (NLR) 亚型特异性产品:

    查看 Antibiotic 亚型特异性产品:

    查看 Wnt 亚型特异性产品:

    • 生物活性

    • 纯度 & 产品资料

    • 参考文献

    生物活性

    Nigericin sodium salt is an antibiotic derived from Streptomyces hygroscopicus that act as a K+/H+ ionophore, promoting K+/H+ exchange across mitochondrial membranes. Nigericin sodium salt is a NLRP3 activator. Nigericin sodium salt shows promising anti-cancer activities through decreasing intracellular pH (pHi), and inactivation of Wnt/β-catenin signals. Nigericin sodium salt induces pyroptosis through caspase 1/GSDMD in TNBC[1][2][3][4][5][6][7].

    IC50 & Target

    NLRP3

     

    体外研究
    (In Vitro)

    Nigericin (0-4 μg/mL;24 小时) sodium salt 通过 caspase 1/GSDMD 通路在 TNBC 细胞中诱导细胞焦亡 (pyroptosis)[6]
    Nigericin (0-0.25 μg/mL;24 小时) sodium salt 是一种针对革兰氏阳性菌的抗生素[4]
    Nigericin (0-0.25 μg/mL;24 小时) sodium salt 抑制 H460 细胞中的 Wnt/β-catenin 通路,发挥抗癌作用[7].

    MCE has not independently confirmed the accuracy of these methods. They are for reference only.

    Cell Viability Assay[4]

    Cell Line: S. aureus, Staphylococcus epidermidis, Enterococcus faecalis, E. faecium, S. pneumoniae) , and Streptococcus agalactiae
    Concentration: 0 μg/mL, 0.05 μg/mL, 0.125 μg/mL, 0.25 μg/mL
    Incubation Time: 24 h
    Result: Exhibited potent activity against these clinical MDR strains, with MIC values ranging from 0.004-0.25 mg/mL.

    Western Blot Analysis[6]

    Cell Line: MDA-MB-231, and 4T1 cells
    Concentration: 0 μg/mL, 2 μg/mL, 4 μg/mL
    Incubation Time: 24 h
    Result: Showed increasing in the proteins level of caspase 1 and N-GSDMD.
    体内研究
    (In Vivo)

    Nigericin (1 mg/kg;腹膜注射;每 12 h 一次,持续 3 天) sodium salt 可减少小鼠 S. aureus USA300 菌的感染[4]
    Nigericin (0.025 mg/kg;皮下注射;每两天一次共四周) sodium salt 协同 anti-PD-1 显示出协同抗癌作用[6]

    MCE has not independently confirmed the accuracy of these methods. They are for reference only.

    Animal Model: Mice Infected with S. aureus USA300[4]
    Dosage: 1 mg/kg
    Administration: Intraperitoneal injection (i.p.)
    Result: Showed reduction in the bacterial burden to 1,000-10,000-fold in the major organs.
    Animal Model: BALB/c Mice injected orthotopically with 4T1 cells[6]
    Dosage: 0.025 mg/kg
    Administration: Subcutaneous injection (s.c.)
    Result: Showed combination with anti-PD-1 antibody almost completely suppressed tumor growth.
    分子量

    746.94

    Formula

    C40H67NaO11

    CAS 号
    性状

    固体

    颜色

    White to off-white

    中文名称

    尼日利亚菌素钠盐;尼日利亚菌素钠

    结构分类
    初始来源

    Streptomyces hygroscopicus

    运输条件

    Room temperature in continental US; may vary elsewhere.

    储存方式

    4°C, sealed storage, away from moisture

    *In solvent : -80°C, 6 months; -20°C, 1 month (sealed storage, away from moisture)

    溶解性数据
    细胞实验: 

    Ethanol 中的溶解度 : 25 mg/mL (33.47 mM; 超声助溶)

    配制储备液
    浓度 溶剂体积 质量 1 mg 5 mg 10 mg
    1 mM 1.3388 mL 6.6940 mL 13.3880 mL
    5 mM 0.2678 mL 1.3388 mL 2.6776 mL
    查看完整储备液配制表

    * 请根据产品在不同溶剂中的溶解度选择合适的溶剂配制储备液;一旦配成溶液,请分装保存,避免反复冻融造成的产品失效
    储备液的保存方式和期限:-80°C, 6 months; -20°C, 1 month (sealed storage, away from moisture)。-80°C储存时,请在6个月内使用,-20°C储存时,请在1个月内使用。

    • 摩尔计算器

    • 稀释计算器

    Mass (g) = Concentration (mol/L) × Volume (L) × Molecular Weight (g/mol)

    质量
    =
    浓度
    ×
    体积
    ×
    分子量 *

    Concentration (start) × Volume (start) = Concentration (final) × Volume (final)

    This equation is commonly abbreviated as: C1V1 = C2V2

    浓度 (start)

    C1

    ×
    体积 (start)

    V1

    =
    浓度 (final)

    C2

    ×
    体积 (final)

    V2

    动物实验:

    请根据您的 实验动物和给药方式 选择适当的溶解方案。

    以下溶解方案都请先按照 In Vitro 方式配制澄清的储备液,再依次添加助溶剂:
    ——为保证实验结果的可靠性,澄清的储备液可以根据储存条件,适当保存;体内实验的工作液,建议您现用现配,当天使用
    以下溶剂前显示的百分比是指该溶剂在您配制终溶液中的体积占比;如在配制过程中出现沉淀、析出现象,可以通过加热和/或超声的方式助溶

    • 方案 一

      请依序添加每种溶剂: 10% EtOH    40% PEG300    5% Tween-80    45% Saline

      Solubility: ≥ 2.5 mg/mL (3.35 mM); 澄清溶液

      此方案可获得 ≥ 2.5 mg/mL(饱和度未知)的澄清溶液。

      1 mL 工作液为例,取 100 μL 25.0 mg/mL 的澄清 EtOH 储备液加到 400 μL PEG300 中,混合均匀;再向上述体系中加入 50 μL Tween-80,混合均匀;然后再继续加入 450 μL 生理盐水 定容至 1 mL

      生理盐水的配制:将 0.9 g 氯化钠,溶解于 ddH₂O 并定容至 100 mL,可以得到澄清透明的生理盐水溶液。
    • 方案 二

      请依序添加每种溶剂: 10% EtOH    90% (20% SBE-β-CD in Saline)

      Solubility: 2.5 mg/mL (3.35 mM); 悬浊液; 超声助溶

      此方案可获得 2.5 mg/mL的均匀悬浊液,悬浊液可用于口服和腹腔注射。

      1 mL 工作液为例,取 100 μL 25.0 mg/mL 的澄清 EtOH 储备液加到 900 μL 20% 的 SBE-β-CD 生理盐水水溶液 中,混合均匀。

      2 g SBE-β-CD(磺丁基醚 β-环糊精)粉末定容于 10 mL 的生理盐水中,完全溶解至澄清透明。
    动物溶解方案计算器
    请输入动物实验的基本信息:

    给药剂量

    mg/kg

    动物的平均体重

    g

    每只动物的给药体积

    μL

    动物数量

    由于实验过程有损耗,建议您多配一只动物的量
    计算结果
    工作液所需浓度 : mg/mL
    纯度 & 产品资料

    纯度: 99.37%

    参考文献

    完整储备液配制表

    * 请根据产品在不同溶剂中的溶解度选择合适的溶剂配制储备液;一旦配成溶液,请分装保存,避免反复冻融造成的产品失效
    储备液的保存方式和期限:-80°C, 6 months; -20°C, 1 month (sealed storage, away from moisture)。-80°C储存时,请在6个月内使用,-20°C储存时,请在1个月内使用。

    可选溶剂 浓度 溶剂体积 质量 1 mg 5 mg 10 mg 25 mg
    Ethanol 1 mM 1.3388 mL 6.6940 mL 13.3880 mL 33.4699 mL
    5 mM 0.2678 mL 1.3388 mL 2.6776 mL 6.6940 mL
    10 mM 0.1339 mL 0.6694 mL 1.3388 mL 3.3470 mL
    15 mM 0.0893 mL 0.4463 mL 0.8925 mL 2.2313 mL
    20 mM 0.0669 mL 0.3347 mL 0.6694 mL 1.6735 mL
    25 mM 0.0536 mL 0.2678 mL 0.5355 mL 1.3388 mL
    30 mM 0.0446 mL 0.2231 mL 0.4463 mL 1.1157 mL
    Help & FAQs
    • Do most proteins show cross-species activity?

      Species cross-reactivity must be investigated individually for each product. Many human cytokines will produce a nice response in mouse cell lines, and many mouse proteins will show activity on human cells. Other proteins may have a lower specific activity when used in the opposite species.

    您最近查看的产品:

    Your information is safe with us. * Required Fields.

       产品名称:

     

    * 需求量:

    * 客户姓名:

     

    * Email:

    * 电话:

     

    * 公司或机构名称:

       留言给我们:

    Bulk Inquiry

    Inquiry Information

    产品名称:
    Nigericin sodium salt
    目录号:
    HY-100381
    需求量:
    ata-bind="css: {active: $root.provinceSelect() == '宁夏回族自治区'}">宁夏回族自治区

    Q

    S

    T

    X

    Y

    Z

    A B C F G H J L N Q S T X Y Z