1. Protein Tyrosine Kinase/RTK PROTAC
  2. Btk Ligands for Target Protein for PROTAC
  3. Ibrutinib

Ibrutinib  (Synonyms: 伊布替尼; PCI-32765)

目录号: HY-10997 纯度: 99.97%
COA 产品使用指南 技术支持

Ibrutinib (PCI-32765) 是一种不可逆的选择性 Btk 抑制剂,IC50 值为 0.5 nM。Ibrutinib 可作为 Btk 配体,用于合成一系列 PROTAC 分子,如 P13I。P13I 作用于人 Burkitt’s 淋巴瘤 RAMOS 细胞,浓度为 10 和 100?nM 时,分别降解 73% 和 89% Btk

MCE 的所有产品仅用作科学研究或药证申报,我们不为任何个人用途提供产品和服务

我们将采用定制合成服务的方式为您快速提供所需产品和技术服务

Ibrutinib

Ibrutinib Chemical Structure

CAS No. : 936563-96-1

1.  客户无需承担相应的运输费用。

2.  同一机构(单位)同一产品试用装仅限申领一次,同一机构(单位)一年内

     可免费申领三个不同产品的试用装。

3.  试用装只面向终端客户

规格 价格 是否有货 数量
10 mM * 1 mL in DMSO ¥660
In-stock
5 mg ¥600
In-stock
10 mg ¥950
In-stock
25 mg ¥1600
In-stock
50 mg ¥2400
In-stock
100 mg ¥3800
In-stock
200 mg ¥5200
In-stock
500 mg   询价  
1 g   询价  

* Please select Quantity before adding items.

Customer Review

Other Forms of Ibrutinib:

MCE 顾客使用本产品发表的 115 篇科研文献

WB
IHC

    Ibrutinib purchased from MCE. Usage Cited in: J Neuroimmune Pharmacol. 2019 Sep;14(3):448-461.  [Abstract]

    Representative confocal microscopy images of BV2 cells incubated with 1 μM of CC-292 or ibrutinib for 2 h followed by incubation with pHrodo zymosan particles for 1 h.

    Ibrutinib purchased from MCE. Usage Cited in: J Neuroimmune Pharmacol. 2019 Sep;14(3):448-461.  [Abstract]

    Representative confocal microscopy images of human monocyte-derived macrophages incubated with 1 μM of CC-292 or ibrutinib for 24 h followed by incubation with pHrodo zymosan particles for 1 h.

    Ibrutinib purchased from MCE. Usage Cited in: Signal Transduct Target Ther. 2017 Oct 27;2:17051.  [Abstract]

    BTK inhibitors suppress phosphorylation of STAT3 in JVM-3 cells and CLL patient cells. Cells are treated with varying concentrations of Ibrutinib for indicated time periods and western blotting is performed.

    Ibrutinib purchased from MCE. Usage Cited in: J Exp Clin Cancer Res. 2017 Sep 25;36(1):132.  [Abstract]

    The effects of Ibrutinib on the expression levels of cell cycle-related protein. U87 and U251 cells are treated with Ibrutinib for 12 h. The protein extracts are examined using Western blot analysis with the indicated antibodies.

    Ibrutinib purchased from MCE. Usage Cited in: Blood. 2016 Jun 23;127(25):3237-52.  [Abstract]

    Ibrutinib binds to the ATP-binding pocketof HCK and blocks ATP binding. Results from kinase active-site inhibition assaysutilizing an ATP-BTN probe that is used to pull downactive kinases in the presence of Ibrutinib, CC-292, or A419259 in lysates from BCWM.1 WM cells.

    Ibrutinib purchased from MCE. Usage Cited in: Oncotarget. 2016 Oct 25;7(43):69760-69769.  [Abstract]

    Ibrutinib and WZ4002 inhibitory effects on EGFRY1068 auto-phosphorylation in the H1975 cell line at different time points by removal of drug after 4 h pretreatment

    Ibrutinib purchased from MCE. Usage Cited in: Patent. US20160222465A1.

    Impact of Ibrutinib on p-AKT, ERK and BTK expression following SDF-1a stimulation of plenti-GFP vector, CXCR4WT and CXCR4S338X expressing BCWM.1 cells.

    Ibrutinib purchased from MCE. Usage Cited in: Br J Haematol. 2015 Jul;170(1):134-8.  [Abstract]

    Treatment of CXCR4WT and CXCR4S338X BCWM.1 and MWCL-1 cells with Ibrutinib or CAL-101 induced caspase-3 and PARP cleavage at 6 h. Caspase-3 and PAPR cleavage following Ibrutinib (IB), CAL-101 (ID), ABT-199 (ABT), in the presence of absence of CXCL12 (SDF) and AMD3100 (AMD).

    Ibrutinib purchased from MCE. Usage Cited in: Oncotarget. 2015 Oct 13;6(31):31313-22.  [Abstract]

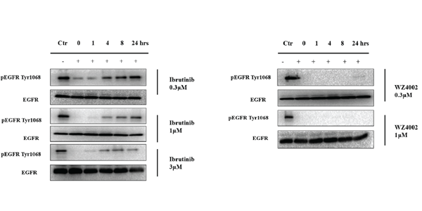
    Effect of Ibrutinib, WZ4002, AZD9291 and CO1686 on EGFR phosphorylation of tyrosines 1068 and 1173 in EGFR-dependent cancer cell lines.

    Ibrutinib purchased from MCE. Usage Cited in: Oncotarget. 2015 Oct 13;6(31):31313-22.  [Abstract]

    Effect of Ibrutinib on EGFR wt/mutant NSCLCs. Ibrutinib effects on wt EGFR and mutant EGFR- mediated signaling pathways. The results demonstrate that Ibrutinib potently inhibits both EGFR wt/mutant auto-phosphorylation at Y1068.

    Ibrutinib purchased from MCE. Usage Cited in: The Graduate School College of Medicine. The Pennsylvania State University. 2015 Jul.

    JVM-3 cells are treated with BTK inhibitor, Ibrutinib for 6 hours and Western blotting is performed to determine protein levels.

    Ibrutinib purchased from MCE. Usage Cited in: Mol Cell Proteomics. 2012 Jun;11(6):M112.017764.  [Abstract]

    Btk protein tyrosine kinase is involved in TSLP signaling. Western blotting analysis is performed to demonstrate the roles of Btk in TSLP-induced Stat3 and Stat5 phosphorylation. Exponentially growing Ba/F3-IT cells are pretreated with 0.1% DMSO or 1 μM PCI-32765 or 10 μM PCI-32765 for 1 h at 37 °C and then are stimulated with TSLP for the indicated times at 37 °C. The phosphorylation of Btk, Stat3, and Stat5a is probed with phosphospecific antibodies against p-Btk (Y551), p-Stat3 (Y705), and p-
    • 生物活性

    • 实验参考方法

    • 纯度 & 产品资料

    • 参考文献

    生物活性

    Ibrutinib (PCI-32765) is a selective, irreversible Btk inhibitor with an IC50 of 0.5 nM[1].

    IC50 & Target

    IC50: 0.5 nM (Btk)

    细胞效力
    (Cellular Effect)
    Cell Line Type Value Description References
    A2780 EC50
    20.1 μM
    Compound: ibrutinib
    Cytotoxicity against human A2780 cells assessed as cell growth inhibition after 3 days by presto blue dye based plate reader method
    Cytotoxicity against human A2780 cells assessed as cell growth inhibition after 3 days by presto blue dye based plate reader method
    [PMID: 27077228]
    A-431 GI50
    > 10 μM
    Compound: 1; PCI-32765
    Antiproliferative activity against human A431 cells after 72 hrs by CellTiter-Glo assay
    Antiproliferative activity against human A431 cells after 72 hrs by CellTiter-Glo assay
    [PMID: 28628824]
    A-431 EC50
    2.38 μM
    Compound: Ibrutinib
    Antiproliferative activity against human A431 cells expressing wild type EGFR incubated for 96 hrs measured on day 5 by CellTiterGlo assay
    Antiproliferative activity against human A431 cells expressing wild type EGFR incubated for 96 hrs measured on day 5 by CellTiterGlo assay
    [PMID: 28853575]
    A549 GI50
    > 10 μM
    Compound: 1; PCI-32765
    Antiproliferative activity against human A549 cells after 72 hrs by CellTiter-Glo assay
    Antiproliferative activity against human A549 cells after 72 hrs by CellTiter-Glo assay
    [PMID: 28628824]
    A549 IC50
    21.79 μM
    Compound: Ibrutinib
    Antiproliferative activity against human A549 cells harboring wild type EGFR after 72 hrs by MTT assay
    Antiproliferative activity against human A549 cells harboring wild type EGFR after 72 hrs by MTT assay
    [PMID: 28734581]
    B cell IC50
    8 nM
    Compound: 19
    Antiproliferative activity against anti-IgM-stimulated human KB cells assessed as cell growth inhibition pretreated for 30 mins followed by anti-IgM stimulation for 72 hrs by celltiter-glo reagent based assay
    Antiproliferative activity against anti-IgM-stimulated human KB cells assessed as cell growth inhibition pretreated for 30 mins followed by anti-IgM stimulation for 72 hrs by celltiter-glo reagent based assay
    [PMID: 33540357]
    BaF3 IC50
    > 1 μM
    Compound: 7
    Antiproliferative activity against mouse BA/F3 cells expressing TEL-JAK3 after 72 hrs by cell titer glo assay
    Antiproliferative activity against mouse BA/F3 cells expressing TEL-JAK3 after 72 hrs by cell titer glo assay
    [PMID: 26258521]
    BaF3 GI50
    > 10 μM
    Compound: 1; PCI-32765
    Cytotoxicity against mouse BAF3 cells assessed as cell proliferation after 72 hrs by CelltiterGlo assay
    Cytotoxicity against mouse BAF3 cells assessed as cell proliferation after 72 hrs by CelltiterGlo assay
    [PMID: 26630553]
    BaF3 GI50
    > 10 μM
    Compound: 9
    Antiproliferative activity against mouse BAF3 cells after 72 hrs by CellTiter-Glo assay
    Antiproliferative activity against mouse BAF3 cells after 72 hrs by CellTiter-Glo assay
    [PMID: 28956923]
    BaF3 GI50
    > 10 μM
    Compound: 1; PCI-32765
    Antiproliferative activity against mouse BA/F3 cells after 72 hrs by CellTiter-Glo assay
    Antiproliferative activity against mouse BA/F3 cells after 72 hrs by CellTiter-Glo assay
    [PMID: 28628824]
    BaF3 GI50
    > 10 μM
    Compound: 9; PCI-32765
    Growth inhibition of mouse BAF3 cells after 72 hrs by CellTiter-Glo assay
    Growth inhibition of mouse BAF3 cells after 72 hrs by CellTiter-Glo assay
    [PMID: 28282122]
    BaF3 GI50
    0.12 μM
    Compound: 1; PCI-32765
    Inhibition of FLT3 ITD mutant (unknown origin) expressed in BaF3 cells assessed as inhibition of cell proliferation after 72 hrs by CelltiterGlo assay
    Inhibition of FLT3 ITD mutant (unknown origin) expressed in BaF3 cells assessed as inhibition of cell proliferation after 72 hrs by CelltiterGlo assay
    [PMID: 26630553]
    BaF3 GI50
    0.12 μM
    Compound: 9
    Antiproliferative activity against mouse BAF3 cells harboring FLT3-ITD mutation after 72 hrs by CellTiter-Glo assay
    Antiproliferative activity against mouse BAF3 cells harboring FLT3-ITD mutation after 72 hrs by CellTiter-Glo assay
    [PMID: 28956923]
    BaF3 GI50
    2.5 μM
    Compound: 9
    Antiproliferative activity against mouse BAF3 cells harboring FLT3-ITD-F691L mutation after 72 hrs by CellTiter-Glo assay
    Antiproliferative activity against mouse BAF3 cells harboring FLT3-ITD-F691L mutation after 72 hrs by CellTiter-Glo assay
    [PMID: 28956923]
    CMK GI50
    > 10 μM
    Compound: 1; PCI-32765
    Antiproliferative activity against human CMK cells after 72 hrs by CellTiter-Glo assay
    Antiproliferative activity against human CMK cells after 72 hrs by CellTiter-Glo assay
    [PMID: 28628824]
    DOHH-2 IC50
    0.023 μM
    Compound: Ibrutinib
    Cytotoxicity against human DOHH-2 cells expressing BTK and PI3kdelta assessed as inhibition of cell growth incubated for 72 hrs by celltiter-glo assay
    Cytotoxicity against human DOHH-2 cells expressing BTK and PI3kdelta assessed as inhibition of cell growth incubated for 72 hrs by celltiter-glo assay
    [PMID: 35247756]
    DOHH-2 IC50
    0.0334 μM
    Compound: Ibrutinib
    Antiproliferative activity against human DOHH2 cells after 72 hrs by CellTiter-Glo luminescent cell viability assay
    Antiproliferative activity against human DOHH2 cells after 72 hrs by CellTiter-Glo luminescent cell viability assay
    [PMID: 30522954]
    DOHH-2 GI50
    0.41 μM
    Compound: Ibrutinib
    Cytotoxicity against human DOHH2 cells assessed as growth inhibition after 72 hrs by CellTiter-Glo luminescent cell viability assay
    Cytotoxicity against human DOHH2 cells assessed as growth inhibition after 72 hrs by CellTiter-Glo luminescent cell viability assay
    [PMID: 24915291]
    DOHH-2 IC50
    0.5062 μM
    Compound: Ibrutinib
    Antiproliferative activity against human DOHH-2 cells incubated for 72 hrs by CellTiter-Glo assay
    Antiproliferative activity against human DOHH-2 cells incubated for 72 hrs by CellTiter-Glo assay
    [PMID: 35939993]
    DU-145 GI50
    > 10 μM
    Compound: 1; PCI-32765
    Antiproliferative activity against human DU145 cells after 72 hrs by CellTiter-Glo assay
    Antiproliferative activity against human DU145 cells after 72 hrs by CellTiter-Glo assay
    [PMID: 28628824]
    DU-145 IC50
    2 μM
    Compound: Ibrutinib
    Antiproliferative activity against human DU-145 cells assessed as cell growth inhibition measured after 48 hrs by SRB assay
    Antiproliferative activity against human DU-145 cells assessed as cell growth inhibition measured after 48 hrs by SRB assay
    [PMID: 34237622]
    Granta-519 IC50
    9.7 μM
    Compound: IBN
    Antiproliferative activity against human GRANTA-519 cells assessed as reduction in viability after 72 hrs by CellTiter-Glo luminescent assay
    Antiproliferative activity against human GRANTA-519 cells assessed as reduction in viability after 72 hrs by CellTiter-Glo luminescent assay
    [PMID: 31229421]
    HCC 2998 IC50
    15.85 μM
    Compound: Ibrutinib
    Antiproliferative activity against human HCC 2998 cells assessed as cell growth inhibition measured after 48 hrs by SRB assay
    Antiproliferative activity against human HCC 2998 cells assessed as cell growth inhibition measured after 48 hrs by SRB assay
    [PMID: 34237622]
    HCC827 IC50
    0.039 μM
    Compound: Ibrutinib
    Antiproliferative activity against human HCC827 cells harboring EGFR Del19 mutant after 72 hrs by MTT assay
    Antiproliferative activity against human HCC827 cells harboring EGFR Del19 mutant after 72 hrs by MTT assay
    [PMID: 28734581]
    HCC827 EC50
    0.45 μM
    Compound: Ibrutinib
    Antiproliferative activity against human HCC827 cells harboring EGFR-delE746_A750 mutant incubated for 96 hrs measured on day 5 by CellTiterGlo assay
    Antiproliferative activity against human HCC827 cells harboring EGFR-delE746_A750 mutant incubated for 96 hrs measured on day 5 by CellTiterGlo assay
    [PMID: 28853575]
    HCT-116 GI50
    > 10 μM
    Compound: 1; PCI-32765
    Antiproliferative activity against human HCT116 cells after 72 hrs by CellTiter-Glo assay
    Antiproliferative activity against human HCT116 cells after 72 hrs by CellTiter-Glo assay
    [PMID: 28628824]
    HEK293 IC50
    19.3 μM
    Compound: Ibrutinib
    Cytotoxicity against human HEK293 cells assessed as reduction in cell viability incubated for 72 hrs by MTT assay
    Cytotoxicity against human HEK293 cells assessed as reduction in cell viability incubated for 72 hrs by MTT assay
    [PMID: 29324347]
    HEK293 IC50
    46.7 nM
    Compound: 1a
    Inhibition of TEC phosphorylation in HEK293 cells peincubated for 3 hrs followed by pervanadate stimulation and measured after 20 mins by MSD assay
    Inhibition of TEC phosphorylation in HEK293 cells peincubated for 3 hrs followed by pervanadate stimulation and measured after 20 mins by MSD assay
    [PMID: 31381333]
    HEK293 IC50
    7.9 μM
    Compound: ibrutinib
    Inhibition of the Organic Cation Transporter 3 (OCT3, SLC22A3) as assessed by a phenotypic impedance-based assay detecting changes in cell morphology by MPP+ uptake in HEK-293 JumpIN-SLC22A3 cells
    Inhibition of the Organic Cation Transporter 3 (OCT3, SLC22A3) as assessed by a phenotypic impedance-based assay detecting changes in cell morphology by MPP+ uptake in HEK-293 JumpIN-SLC22A3 cells
    [PMID: 35163125]
    HEK-293T IC50
    0.9 μM
    Compound: Ibrutinib
    Inhibition of PF-06658607 binding to recombinant C-terminal FLAG-tagged FAM213A (unknown origin) expressed in HEK293T cells after 1 hr by gel-based ABPP assay
    Inhibition of PF-06658607 binding to recombinant C-terminal FLAG-tagged FAM213A (unknown origin) expressed in HEK293T cells after 1 hr by gel-based ABPP assay
    [PMID: 28280261]
    HEL IC50
    > 20 μM
    Compound: Ibrutinib
    Antiproliferative activity against human HEL cells assessed as reduction in cell viability incubated for 72 hrs by CCK-8 assay
    Antiproliferative activity against human HEL cells assessed as reduction in cell viability incubated for 72 hrs by CCK-8 assay
    [PMID: 31843459]
    HEL GI50
    4 μM
    Compound: 1; PCI-32765
    Antiproliferative activity against human HEL cells after 72 hrs by CellTiter-Glo assay
    Antiproliferative activity against human HEL cells after 72 hrs by CellTiter-Glo assay
    [PMID: 28628824]
    HeLa GI50
    > 10 μM
    Compound: 1; PCI-32765
    Antiproliferative activity against human HeLa cells after 72 hrs by CellTiter-Glo assay
    Antiproliferative activity against human HeLa cells after 72 hrs by CellTiter-Glo assay
    [PMID: 28628824]
    HeLa IC50
    16.8 μM
    Compound: ibrutinib
    Cytotoxicity against human HeLa cells expressing GFP assessed as cell growth inhibition after 3 days by presto blue dye based plate reader method
    Cytotoxicity against human HeLa cells expressing GFP assessed as cell growth inhibition after 3 days by presto blue dye based plate reader method
    [PMID: 27077228]
    HL-60 GI50
    3.5 μM
    Compound: 1; PCI-32765
    Antiproliferative activity against human HL60 cells after 72 hrs by CellTiter-Glo assay
    Antiproliferative activity against human HL60 cells after 72 hrs by CellTiter-Glo assay
    [PMID: 28628824]
    HL-60 IC50
    3.57 μM
    Compound: Ibrutinib
    Antiproliferative activity against human HL60 cells after 48 hrs by MTT assay
    Antiproliferative activity against human HL60 cells after 48 hrs by MTT assay
    [PMID: 30881616]
    HL-60 IC50
    8 μM
    Compound: Ibrutinib
    Antiproliferative activity against human HL60 cells after 48 hrs by MTT assay
    Antiproliferative activity against human HL60 cells after 48 hrs by MTT assay
    [PMID: 30077608]
    HL-60(TB) IC50
    19.95 μM
    Compound: Ibrutinib
    Antiproliferative activity against human HL-60(TB) cells assessed as cell growth inhibition measured after 48 hrs by SRB assay
    Antiproliferative activity against human HL-60(TB) cells assessed as cell growth inhibition measured after 48 hrs by SRB assay
    [PMID: 34237622]
    HT GI50
    15.9 μM
    Compound: Ibrutinib
    Antiproliferative activity against human HT cells measured after 72 hrs by calcein AM dye-based fluorescence assay
    Antiproliferative activity against human HT cells measured after 72 hrs by calcein AM dye-based fluorescence assay
    [PMID: 30943029]
    JeKo-1 IC50
    1.1 μM
    Compound: 24
    Antiproliferative activity against human JeKo-1 cells assessed as reduction cell viability measured after 24 hrs by Cell Titer-Glo Luminescent Cell Viability Assay
    Antiproliferative activity against human JeKo-1 cells assessed as reduction cell viability measured after 24 hrs by Cell Titer-Glo Luminescent Cell Viability Assay
    [PMID: 36324498]
    JeKo-1 IC50
    1.5 μM
    Compound: IBN
    Antiproliferative activity against human JeKo1 cells assessed as inhibition of cell proliferation incubated for 72 hrs by Cell-titer-Glo luminescent cell viability assay
    Antiproliferative activity against human JeKo1 cells assessed as inhibition of cell proliferation incubated for 72 hrs by Cell-titer-Glo luminescent cell viability assay
    [PMID: 30857748]
    JeKo-1 IC50
    20 μM
    Compound: IBN
    Antiproliferative activity against human resistant Jeko cells assessed as reduction in viability after 72 hrs by CellTiter-Glo luminescent assay
    Antiproliferative activity against human resistant Jeko cells assessed as reduction in viability after 72 hrs by CellTiter-Glo luminescent assay
    [PMID: 31229421]
    JeKo-1 IC50
    207.47 nM
    Compound: Ibrutinib
    Antiproliferative activity against human JeKo-1 cells assessed as inhibition of cell growth incubated for 3 to 7 days by MTS assay
    Antiproliferative activity against human JeKo-1 cells assessed as inhibition of cell growth incubated for 3 to 7 days by MTS assay
    [PMID: 35671249]
    JeKo-1 IC50
    3 μM
    Compound: Ibrutinib
    Antiproliferative activity against human JeKo1 cells assessed as reduction in cell viability incubated for 72 hrs by CCK-8 assay
    Antiproliferative activity against human JeKo1 cells assessed as reduction in cell viability incubated for 72 hrs by CCK-8 assay
    [PMID: 31843459]
    JeKo-1 IC50
    330.2 nM
    Compound: Ibrutinib
    Antiproliferative activity against CRBN knockout human JeKo-1 cells assessed as inhibition of cell growth incubated for 3 to 7 days by MTS assay
    Antiproliferative activity against CRBN knockout human JeKo-1 cells assessed as inhibition of cell growth incubated for 3 to 7 days by MTS assay
    [PMID: 35671249]
    Jurkat IC50
    76.9 nM
    Compound: 1a
    Inhibition of ITK in human Jurkat cells assessed as reduction in PLCgamma1 phosphorylation at Y783 residues preincubated for 2 hrs followed by H2O2 addition and measured after 10 mins by Western blot analysis
    Inhibition of ITK in human Jurkat cells assessed as reduction in PLCgamma1 phosphorylation at Y783 residues preincubated for 2 hrs followed by H2O2 addition and measured after 10 mins by Western blot analysis
    [PMID: 31381333]
    JVM-2 GI50
    > 10 μM
    Compound: 1; PCI-32765
    Antiproliferative activity against human JVM2 cells after 72 hrs by CellTiter-Glo assay
    Antiproliferative activity against human JVM2 cells after 72 hrs by CellTiter-Glo assay
    [PMID: 28628824]
    K562 GI50
    > 10 μM
    Compound: 1; PCI-32765
    Antiproliferative activity against human K562 cells after 72 hrs by CellTiter-Glo assay
    Antiproliferative activity against human K562 cells after 72 hrs by CellTiter-Glo assay
    [PMID: 28628824]
    K562 IC50
    7.5 μM
    Compound: Ibrutinib
    Antiproliferative activity against human K562 cells after 48 hrs by MTT assay
    Antiproliferative activity against human K562 cells after 48 hrs by MTT assay
    [PMID: 30077608]
    L02 IC50
    17.4 μM
    Compound: Ibrutinib
    Cytotoxicity against human L02 cells assessed as reduction in cell viability incubated for 72 hrs by MTT assay
    Cytotoxicity against human L02 cells assessed as reduction in cell viability incubated for 72 hrs by MTT assay
    [PMID: 29324347]
    LNCaP C4-2 GI50
    > 10 μM
    Compound: 1; PCI-32765
    Antiproliferative activity against human C4-2 cells after 72 hrs by CellTiter-Glo assay
    Antiproliferative activity against human C4-2 cells after 72 hrs by CellTiter-Glo assay
    [PMID: 28628824]
    Maver1 IC50
    10.4 μM
    Compound: IBN
    Antiproliferative activity against human Maver1 cells assessed as inhibition of cell proliferation incubated for 72 hrs by Cell-titer-Glo luminescent cell viability assay
    Antiproliferative activity against human Maver1 cells assessed as inhibition of cell proliferation incubated for 72 hrs by Cell-titer-Glo luminescent cell viability assay
    [PMID: 30857748]
    Maver1 IC50
    14.4 μM
    Compound: IBN
    Antiproliferative activity against human Maver1 cells assessed as reduction in viability after 72 hrs by CellTiter-Glo luminescent assay
    Antiproliferative activity against human Maver1 cells assessed as reduction in viability after 72 hrs by CellTiter-Glo luminescent assay
    [PMID: 31229421]
    Maver1 IC50
    7.8 μM
    Compound: 24
    Antiproliferative activity against human MAVER-1 cells assessed as reduction cell viability measured after 24 hrs by Cell Titer-Glo Luminescent Cell Viability Assay
    Antiproliferative activity against human MAVER-1 cells assessed as reduction cell viability measured after 24 hrs by Cell Titer-Glo Luminescent Cell Viability Assay
    [PMID: 36324498]
    MDA-MB-468 IC50
    0.03 μM
    Compound: Ibrutinib
    Antiproliferative activity against human MDA-MB-468 cells assessed as cell growth inhibition measured after 48 hrs by SRB assay
    Antiproliferative activity against human MDA-MB-468 cells assessed as cell growth inhibition measured after 48 hrs by SRB assay
    [PMID: 34237622]
    MIA PaCa-2 IC50
    16.6 μM
    Compound: ibrutinib
    Cytotoxicity against human MIAPaCa2 cells assessed as cell growth inhibition after 3 days by presto blue dye based plate reader method
    Cytotoxicity against human MIAPaCa2 cells assessed as cell growth inhibition after 3 days by presto blue dye based plate reader method
    [PMID: 27077228]
    MM1.S IC50
    > 20000 nM
    Compound: Ibrutinib
    Antiproliferative activity against human MM1.S cells assessed as inhibition of cell growth incubated for 3 to 7 days by MTS assay
    Antiproliferative activity against human MM1.S cells assessed as inhibition of cell growth incubated for 3 to 7 days by MTS assay
    [PMID: 35671249]
    MOLM-13 GI50
    1.3 μM
    Compound: 1; PCI-32765
    Antiproliferative activity against human MOLM13 cells after 72 hrs by CellTiter-Glo assay
    Antiproliferative activity against human MOLM13 cells after 72 hrs by CellTiter-Glo assay
    [PMID: 28628824]
    MOLM-14 GI50
    1.8 μM
    Compound: 1; PCI-32765
    Antiproliferative activity against human MOLM14 cells after 72 hrs by CellTiter-Glo assay
    Antiproliferative activity against human MOLM14 cells after 72 hrs by CellTiter-Glo assay
    [PMID: 28628824]
    MOLT-4 IC50
    3.98 μM
    Compound: Ibrutinib
    Antiproliferative activity against human MOLT-4 cells assessed as cell growth inhibition measured after 48 hrs by SRB assay
    Antiproliferative activity against human MOLT-4 cells assessed as cell growth inhibition measured after 48 hrs by SRB assay
    [PMID: 34237622]
    MV4-11 GI50
    0.33 μM
    Compound: 1; PCI-32765
    Antiproliferative activity against human MV4-11 cells after 72 hrs by CelltiterGlo assay
    Antiproliferative activity against human MV4-11 cells after 72 hrs by CelltiterGlo assay
    [PMID: 26630553]
    MV4-11 GI50
    0.33 μM
    Compound: 9
    Antiproliferative activity against human MV4-11 cells after 72 hrs by CellTiter-Glo assay
    Antiproliferative activity against human MV4-11 cells after 72 hrs by CellTiter-Glo assay
    [PMID: 28956923]
    NALM-6 GI50
    > 10 μM
    Compound: 1; PCI-32765
    Antiproliferative activity against human NALM6 cells after 72 hrs by CellTiter-Glo assay
    Antiproliferative activity against human NALM6 cells after 72 hrs by CellTiter-Glo assay
    [PMID: 28628824]
    NAMALVA IC50
    10.45 μM
    Compound: Ibrutinib
    Antiproliferative activity against human NAMALWA cells after 72 hrs by CCK-8 assay
    Antiproliferative activity against human NAMALWA cells after 72 hrs by CCK-8 assay
    [PMID: 29146136]
    NAMALVA IC50
    19.6 μM
    Compound: Ibrutinib
    Antiproliferative activity against human NAMALWA cells after 72 hrs by CCK8 assay
    Antiproliferative activity against human NAMALWA cells after 72 hrs by CCK8 assay
    [PMID: 30006143]
    NAMALVA GI50
    6 μM
    Compound: 1; PCI-32765
    Antiproliferative activity against human NAMALWA cells after 72 hrs by CellTiter-Glo assay
    Antiproliferative activity against human NAMALWA cells after 72 hrs by CellTiter-Glo assay
    [PMID: 28628824]
    NB-4 GI50
    7.5 μM
    Compound: 1; PCI-32765
    Antiproliferative activity against human NB4 cells after 72 hrs by CellTiter-Glo assay
    Antiproliferative activity against human NB4 cells after 72 hrs by CellTiter-Glo assay
    [PMID: 28628824]
    NCI-H1975 EC50
    0.64 μM
    Compound: Ibrutinib
    Antiproliferative activity against human NCI-H1975 cells harboring EGFR-L858R/T790M double mutant incubated for 96 hrs measured on day 5 by CellTiterGlo assay
    Antiproliferative activity against human NCI-H1975 cells harboring EGFR-L858R/T790M double mutant incubated for 96 hrs measured on day 5 by CellTiterGlo assay
    [PMID: 28853575]
    NCI-H1975 GI50
    1.2 μM
    Compound: 1; PCI-32765
    Antiproliferative activity against human NCI-H1975 cells after 72 hrs by CellTiter-Glo assay
    Antiproliferative activity against human NCI-H1975 cells after 72 hrs by CellTiter-Glo assay
    [PMID: 28628824]
    NCI-H1975 IC50
    1.27 μM
    Compound: Ibrutinib
    Antiproliferative activity against human NCI-H1975 cells harboring EGFR L858R/T790M mutant after 72 hrs by MTT assay
    Antiproliferative activity against human NCI-H1975 cells harboring EGFR L858R/T790M mutant after 72 hrs by MTT assay
    [PMID: 28734581]
    NCI-H322M IC50
    0.1 μM
    Compound: Ibrutinib
    Antiproliferative activity against human NCI-H322M cells assessed as cell growth inhibition measured after 48 hrs by SRB assay
    Antiproliferative activity against human NCI-H322M cells assessed as cell growth inhibition measured after 48 hrs by SRB assay
    [PMID: 34237622]
    NCI-H358 GI50
    > 10 μM
    Compound: 1; PCI-32765
    Antiproliferative activity against human NCI-H358 cells after 72 hrs by CellTiter-Glo assay
    Antiproliferative activity against human NCI-H358 cells after 72 hrs by CellTiter-Glo assay
    [PMID: 28628824]
    NCI-H460 GI50
    > 10 μM
    Compound: 1; PCI-32765
    Antiproliferative activity against human NCI-H460 cells after 72 hrs by CellTiter-Glo assay
    Antiproliferative activity against human NCI-H460 cells after 72 hrs by CellTiter-Glo assay
    [PMID: 28628824]
    NCI-H522 IC50
    0.06 μM
    Compound: Ibrutinib
    Antiproliferative activity against human NCI-H522 cells assessed as cell growth inhibition measured after 48 hrs by SRB assay
    Antiproliferative activity against human NCI-H522 cells assessed as cell growth inhibition measured after 48 hrs by SRB assay
    [PMID: 34237622]
    NOMO-1 GI50
    > 10 μM
    Compound: 1; PCI-32765
    Antiproliferative activity against human NOMO1 cells after 72 hrs by CellTiter-Glo assay
    Antiproliferative activity against human NOMO1 cells after 72 hrs by CellTiter-Glo assay
    [PMID: 28628824]
    OCI-AML2 GI50
    > 10 μM
    Compound: 1; PCI-32765
    Antiproliferative activity against human OCI-AML2 cells after 72 hrs by CellTiter-Glo assay
    Antiproliferative activity against human OCI-AML2 cells after 72 hrs by CellTiter-Glo assay
    [PMID: 28628824]
    OCI-AML-3 GI50
    > 10 μM
    Compound: 1; PCI-32765
    Antiproliferative activity against human OCI-AML3 cells after 72 hrs by CellTiter-Glo assay
    Antiproliferative activity against human OCI-AML3 cells after 72 hrs by CellTiter-Glo assay
    [PMID: 28628824]
    OCI-Ly10 IC50
    0.3 nM
    Compound: 1a
    Antiproliferative activity against human OCI-LY10 cells after 6 days by Celltiter-glo luminescent cell viability assay
    Antiproliferative activity against human OCI-LY10 cells after 6 days by Celltiter-glo luminescent cell viability assay
    [PMID: 31381333]
    OCI-Ly10 IC50
    1 μM
    Compound: Ibrutinib
    Antiproliferative activity against human OCI-LY10 cells assessed as reduction in cell viability incubated for 72 hrs by CCK-8 assay
    Antiproliferative activity against human OCI-LY10 cells assessed as reduction in cell viability incubated for 72 hrs by CCK-8 assay
    [PMID: 31843459]
    OCI-Ly10 IC50
    1030 nM
    Compound: Ibrutinib
    Antiproliferative activity against human OCILY10 cells harboring BTK C481S mutant knockout gene assessed as reduction in cell viability after 96 hrs
    Antiproliferative activity against human OCILY10 cells harboring BTK C481S mutant knockout gene assessed as reduction in cell viability after 96 hrs
    [PMID: 34529443]
    OCI-Ly10 IC50
    2.29 nM
    Compound: Ibrutinib
    Antiproliferative activity against human OCILY10 cells assessed as inhibition of cell growth incubated for 3 to 7 days by MTS assay
    Antiproliferative activity against human OCILY10 cells assessed as inhibition of cell growth incubated for 3 to 7 days by MTS assay
    [PMID: 35671249]
    OCI-Ly3 IC50
    > 10 μM
    Compound: Ibrutinib
    Antiproliferative activity against human OCILY3 cells incubated for 72 hrs by CellTiter-Glo assay
    Antiproliferative activity against human OCILY3 cells incubated for 72 hrs by CellTiter-Glo assay
    [PMID: 35939993]
    OVCAR-4 IC50
    7.94 μM
    Compound: Ibrutinib
    Antiproliferative activity against human OVCAR-4 cells assessed as cell growth inhibition measured after 48 hrs by SRB assay
    Antiproliferative activity against human OVCAR-4 cells assessed as cell growth inhibition measured after 48 hrs by SRB assay
    [PMID: 34237622]
    Pfeiffer GI50
    0.002 μM
    Compound: Ibrutinib
    Cytotoxicity against human Pfeiffer cells assessed as growth inhibition after 72 hrs by CellTiter-Glo luminescent cell viability assay
    Cytotoxicity against human Pfeiffer cells assessed as growth inhibition after 72 hrs by CellTiter-Glo luminescent cell viability assay
    [PMID: 24915291]
    Pfeiffer IC50
    1.652 μM
    Compound: Ibrutinib
    Antiproliferative activity against human Pfeiffer cells incubated for 72 hrs by CellTiter-Glo assay
    Antiproliferative activity against human Pfeiffer cells incubated for 72 hrs by CellTiter-Glo assay
    [PMID: 35939993]
    Pfeiffer GI50
    8.4 μM
    Compound: 1; PCI-32765
    Antiproliferative activity against human Pfeiffer cells after 72 hrs by CellTiter-Glo assay
    Antiproliferative activity against human Pfeiffer cells after 72 hrs by CellTiter-Glo assay
    [PMID: 28628824]
    Raji IC50
    > 10 μM
    Compound: Ibrutinib
    Antiproliferative activity against human Raji cells incubated for 72 hrs by CellTiter-Glo assay
    Antiproliferative activity against human Raji cells incubated for 72 hrs by CellTiter-Glo assay
    [PMID: 35939993]
    Raji IC50
    > 20 μM
    Compound: Ibrutinib
    Antiproliferative activity against human Raji cells assessed as reduction in cell viability incubated for 72 hrs by CCK-8 assay
    Antiproliferative activity against human Raji cells assessed as reduction in cell viability incubated for 72 hrs by CCK-8 assay
    [PMID: 31843459]
    Raji IC50
    1.49 μM
    Compound: Ibrutinib
    Antiproliferative activity against human Raji cells after 48 hrs by CCK8 assay
    Antiproliferative activity against human Raji cells after 48 hrs by CCK8 assay
    [PMID: 30522954]
    Raji IC50
    1.49 μM
    Compound: 1
    Antiproliferative activity against human Raji cells after 48 hrs by CCK8-based assay
    Antiproliferative activity against human Raji cells after 48 hrs by CCK8-based assay
    [PMID: 29567295]
    Raji IC50
    12.56 μM
    Compound: Ibrutinib
    Antiproliferative activity against human Raji cells assessed as reduction in cell viability incubated for 24 hrs by CCK-8 assay
    Antiproliferative activity against human Raji cells assessed as reduction in cell viability incubated for 24 hrs by CCK-8 assay
    [PMID: 32402933]
    Raji IC50
    14.2 μM
    Compound: Ibrutinib
    Antiproliferative activity against human Raji cells after 48 hrs by MTT assay
    Antiproliferative activity against human Raji cells after 48 hrs by MTT assay
    [PMID: 30077608]
    Raji IC50
    14.5 μM
    Compound: Ibrutinib
    Antiproliferative activity against human Raji cells after 48 hrs by CCK8 assay
    Antiproliferative activity against human Raji cells after 48 hrs by CCK8 assay
    [PMID: 30605829]
    Raji IC50
    14.5 μM
    Compound: Ibrutinib
    Antiproliferative activity against human Raji cells after 48 hrs by MTT assay
    Antiproliferative activity against human Raji cells after 48 hrs by MTT assay
    [PMID: 30881616]
    Raji IC50
    15.2 μM
    Compound: Ibrutinib
    Antiproliferative activity against human Raji cells after 48 hrs by CCK-8 assay
    Antiproliferative activity against human Raji cells after 48 hrs by CCK-8 assay
    [PMID: 27994736]
    Raji IC50
    15.99 μM
    Compound: Ibrutinib
    Antiproliferative activity against human Raji cells measured after 72 hrs by CCK-8 assay
    Antiproliferative activity against human Raji cells measured after 72 hrs by CCK-8 assay
    [PMID: 31234030]
    Raji IC50
    17.7 μM
    Compound: 1
    Antiproliferative activity against human Raji cells assessed as reduction in cell growth incubated for 48 hrs by MTS assay
    Antiproliferative activity against human Raji cells assessed as reduction in cell growth incubated for 48 hrs by MTS assay
    [PMID: 31395509]
    Raji IC50
    19.3 μM
    Compound: 1
    Antiproliferative activity against human Raji cells over expressing BTK after 48 hrs by CCK-8 assay
    Antiproliferative activity against human Raji cells over expressing BTK after 48 hrs by CCK-8 assay
    [PMID: 28432946]
    Raji IC50
    19.3 μM
    Compound: 1
    Antiproliferative activity against human Raji cells after 48 hrs by CCK-8 assay
    Antiproliferative activity against human Raji cells after 48 hrs by CCK-8 assay
    [PMID: 27912175]
    Raji IC50
    19.5 μM
    Compound: Ibrutinib
    Antiproliferative activity against human Raji cells measured after 48 hrs by CCK-8 assay
    Antiproliferative activity against human Raji cells measured after 48 hrs by CCK-8 assay
    [PMID: 27956037]
    Raji IC50
    19.5 μM
    Compound: Ibrutinib
    Antiproliferative activity against human Raji cells after 72 hrs by CCK8 assay
    Antiproliferative activity against human Raji cells after 72 hrs by CCK8 assay
    [PMID: 30006143]
    Raji IC50
    20.88 μM
    Compound: Ibrutinib
    Antiproliferative activity against human Raji cells after 72 hrs by CCK-8 assay
    Antiproliferative activity against human Raji cells after 72 hrs by CCK-8 assay
    [PMID: 29146136]
    Ramos IC50
    > 7.5 nM
    Compound: Ibrutinib
    Inhibition of Btk phosphorylation at Tyr551 in human Ramos cells after 1 hr by Western blot analysis
    Inhibition of Btk phosphorylation at Tyr551 in human Ramos cells after 1 hr by Western blot analysis
    [PMID: 24915291]
    Ramos IC50
    0.5 nM
    Compound: Ibrutinib
    Inhibition of PF-06658607 binding to BTK in human Ramos cells after 1 hr by gel-based ABPP assay
    Inhibition of PF-06658607 binding to BTK in human Ramos cells after 1 hr by gel-based ABPP assay
    [PMID: 28280261]
    Ramos IC50
    0.92 μM
    Compound: 1; PCI-32765
    Antiproliferative activity against human Ramos cells after 72 hrs by MTT assay
    Antiproliferative activity against human Ramos cells after 72 hrs by MTT assay
    [PMID: 29715023]
    Ramos IC50
    1.35 μM
    Compound: Ibrutinib
    Antiproliferative activity against human Ramos cells assessed as reduction in cell viability incubated for 24 hrs by CCK-8 assay
    Antiproliferative activity against human Ramos cells assessed as reduction in cell viability incubated for 24 hrs by CCK-8 assay
    [PMID: 32402933]
    Ramos IC50
    1.88 μM
    Compound: 1
    Antiproliferative activity against human Ramos cells assessed as reduction in cell growth incubated for 48 hrs by MTS assay
    Antiproliferative activity against human Ramos cells assessed as reduction in cell growth incubated for 48 hrs by MTS assay
    [PMID: 31395509]
    Ramos IC50
    12.6 μM
    Compound: 1
    Antiproliferative activity against human Ramos cells after 48 hrs by CCK-8 assay
    Antiproliferative activity against human Ramos cells after 48 hrs by CCK-8 assay
    [PMID: 27912175]
    Ramos IC50
    14 nM
    Compound: Ibrutinib
    Inhibition of Btk in human Ramos cells assessed as inhibition of PLC-gamma2 phosphorylation at Tyr1217 after 1 hr by Western blot analysis
    Inhibition of Btk in human Ramos cells assessed as inhibition of PLC-gamma2 phosphorylation at Tyr1217 after 1 hr by Western blot analysis
    [PMID: 24915291]
    Ramos IC50
    14 nM
    Compound: 1a
    Inhibition of BTK in human Ramos B cells assessed as reduction in BCR-stimulated calcium flux after 1 hr in dark condition measured for 180 sec
    Inhibition of BTK in human Ramos B cells assessed as reduction in BCR-stimulated calcium flux after 1 hr in dark condition measured for 180 sec
    [PMID: 30893553]
    Ramos IC50
    14.69 μM
    Compound: Ibrutinib
    Antiproliferative activity against human Ramos cells measured after 72 hrs by CCK-8 assay
    Antiproliferative activity against human Ramos cells measured after 72 hrs by CCK-8 assay
    [PMID: 31234030]
    Ramos IC50
    2.088 μM
    Compound: Ibrutinib
    Antiproliferative activity against human Ramos cells incubated for 72 hrs by CellTiter-Glo assay
    Antiproliferative activity against human Ramos cells incubated for 72 hrs by CellTiter-Glo assay
    [PMID: 35939993]
    Ramos IC50
    2.31 μM
    Compound: Ibrutinib
    Antiproliferative activity against human Ramos cells after 48 hrs by MTT assay
    Antiproliferative activity against human Ramos cells after 48 hrs by MTT assay
    [PMID: 30881616]
    Ramos IC50
    2.4 μM
    Compound: Ibrutinib
    Antiproliferative activity against human Ramos cells assessed as reduction in cell viability incubated for 72 hrs by CCK-8 assay
    Antiproliferative activity against human Ramos cells assessed as reduction in cell viability incubated for 72 hrs by CCK-8 assay
    [PMID: 31843459]
    Ramos IC50
    28.7 μM
    Compound: Ibrutinib
    Cytotoxicity against human Ramos cells assessed as decrease in cell viability after 24 hrs by CellTiter-Glo assay
    Cytotoxicity against human Ramos cells assessed as decrease in cell viability after 24 hrs by CellTiter-Glo assay
    [PMID: 28274675]
    Ramos IC50
    3.5 nM
    Compound: 1a
    Inhibition of BTK in human Ramos cells assessed as reduction in BTK phosphorylation at Tyr223 residue preincubated for 1 hr followed by pervanadate or Na3VO4 stimulation for 20 mins by HTRF assay
    Inhibition of BTK in human Ramos cells assessed as reduction in BTK phosphorylation at Tyr223 residue preincubated for 1 hr followed by pervanadate or Na3VO4 stimulation for 20 mins by HTRF assay
    [PMID: 31381333]
    Ramos GI50
    3.9 μM
    Compound: 1; PCI-32765
    Antiproliferative activity against human Ramos cells after 72 hrs by CellTiter-Glo assay
    Antiproliferative activity against human Ramos cells after 72 hrs by CellTiter-Glo assay
    [PMID: 28628824]
    Ramos IC50
    5.14 μM
    Compound: Ibrutinib
    Antiproliferative activity against human Ramos cells measured after 48 hrs by CCK-8 assay
    Antiproliferative activity against human Ramos cells measured after 48 hrs by CCK-8 assay
    [PMID: 27956037]
    Ramos IC50
    5.14 μM
    Compound: Ibrutinib
    Antiproliferative activity against human Ramos cells after 72 hrs by CCK8 assay
    Antiproliferative activity against human Ramos cells after 72 hrs by CCK8 assay
    [PMID: 30006143]
    Ramos IC50
    5.8 μM
    Compound: Ibrutinib
    Antiproliferative activity against human Ramos cells after 48 hrs by CCK8 assay
    Antiproliferative activity against human Ramos cells after 48 hrs by CCK8 assay
    [PMID: 30605829]
    Ramos IC50
    5.88 μM
    Compound: 1
    Antiproliferative activity against human Ramos cells over expressing BTK after 48 hrs by CCK-8 assay
    Antiproliferative activity against human Ramos cells over expressing BTK after 48 hrs by CCK-8 assay
    [PMID: 28432946]
    Ramos IC50
    6.18 μM
    Compound: Ibrutinib
    Antiproliferative activity against human Ramos cells after 72 hrs by MTT assay
    Antiproliferative activity against human Ramos cells after 72 hrs by MTT assay
    [PMID: 30108960]
    Ramos IC50
    6.62 μM
    Compound: Ibrutinib
    Antiproliferative activity against human Ramos cells after 72 hrs by CCK-8 assay
    Antiproliferative activity against human Ramos cells after 72 hrs by CCK-8 assay
    [PMID: 29146136]
    Ramos IC50
    6.66 μM
    Compound: PCI-32765
    Antiproliferative activity against human Ramos cells assessed as reduction in cell viability incubated for 72 hrs by CCK-8 assay
    Antiproliferative activity against human Ramos cells assessed as reduction in cell viability incubated for 72 hrs by CCK-8 assay
    [PMID: 31221612]
    Ramos IC50
    8.11 μM
    Compound: Ibrutinib
    Antiproliferative activity against human Ramos cells after 48 hrs by CCK-8 assay
    Antiproliferative activity against human Ramos cells after 48 hrs by CCK-8 assay
    [PMID: 27994736]
    Ramos IC50
    8.26 μM
    Compound: Ibrutinib
    Antiproliferative activity against human Ramos cells after 48 hrs by CCK8 assay
    Antiproliferative activity against human Ramos cells after 48 hrs by CCK8 assay
    [PMID: 30522954]
    Ramos IC50
    8.26 μM
    Compound: 1
    Antiproliferative activity against human Ramos cells after 48 hrs by CCK8-based assay
    Antiproliferative activity against human Ramos cells after 48 hrs by CCK8-based assay
    [PMID: 29567295]
    Rec1 GI50
    > 10 μM
    Compound: 1; PCI-32765
    Antiproliferative activity against human Rec1 cells after 72 hrs by CellTiter-Glo assay
    Antiproliferative activity against human Rec1 cells after 72 hrs by CellTiter-Glo assay
    [PMID: 28628824]
    Rec1 IC50
    0.0008 μM
    Compound: Ibrutinib
    Antiproliferative activity against human REC1 cells incubated for 72 hrs by CellTiter-Glo assay
    Antiproliferative activity against human REC1 cells incubated for 72 hrs by CellTiter-Glo assay
    [PMID: 35939993]
    Rec1 IC50
    1.1 μM
    Compound: IBN
    Antiproliferative activity against human Rec1 cells assessed as inhibition of cell proliferation incubated for 72 hrs by Cell-titer-Glo luminescent cell viability assay
    Antiproliferative activity against human Rec1 cells assessed as inhibition of cell proliferation incubated for 72 hrs by Cell-titer-Glo luminescent cell viability assay
    [PMID: 30857748]
    Sf9 IC50
    > 25 μM
    Compound: Ibrutinib
    Inhibition of His-tagged CDK2/Cyclin-E1 (unknown origin) expressed in baculovirus infected Sf9 insect cells using histone H1 as substrate measured in presence of [gamma-33P]ATP
    Inhibition of His-tagged CDK2/Cyclin-E1 (unknown origin) expressed in baculovirus infected Sf9 insect cells using histone H1 as substrate measured in presence of [gamma-33P]ATP
    [PMID: 30943029]
    Sf9 IC50
    0.0018 μM
    Compound: Ibrutinib
    Inhibition of human recombinant full length N-terminal His tagged BTK expressed in baculovirus infected Sf9 cells using poly (Glu,Tyr) 4:1 as substrate measured after 60 mins in presence of ATP by ADP-Glo kinase assay
    Inhibition of human recombinant full length N-terminal His tagged BTK expressed in baculovirus infected Sf9 cells using poly (Glu,Tyr) 4:1 as substrate measured after 60 mins in presence of ATP by ADP-Glo kinase assay
    [PMID: 31234030]
    Sf9 IC50
    0.017 μM
    Compound: Ibrutinib
    Inhibition of human recombinant full length N-terminal His tagged BTK C481S mutant expressed in baculovirus infected Sf9 cells using poly (Glu,Tyr) 4:1 as substrate measured after 60 mins in presence of ATP by ADP-Glo kinase assay
    Inhibition of human recombinant full length N-terminal His tagged BTK C481S mutant expressed in baculovirus infected Sf9 cells using poly (Glu,Tyr) 4:1 as substrate measured after 60 mins in presence of ATP by ADP-Glo kinase assay
    [PMID: 31234030]
    Sf9 IC50
    0.3 nM
    Compound: Ibrutinib
    Inhibition of recombinant human N-terminal His-tagged BTK expressed in baculovirus infected sf9 cells using poly(4:1 Glu,Tyr) as substrate by ADP-Glo kinase assay
    Inhibition of recombinant human N-terminal His-tagged BTK expressed in baculovirus infected sf9 cells using poly(4:1 Glu,Tyr) as substrate by ADP-Glo kinase assay
    [PMID: 27994736]
    Sf9 IC50
    0.34 nM
    Compound: Ibrutinib
    Inhibition of human recombinant full-length N-terminal His-tagged BTK expressed in baculovirus infected Sf9 insect cells measured after 60 mins by ADP-Glo kinase assay
    Inhibition of human recombinant full-length N-terminal His-tagged BTK expressed in baculovirus infected Sf9 insect cells measured after 60 mins by ADP-Glo kinase assay
    [PMID: 27956037]
    Sf9 IC50
    0.5 nM
    Compound: PCI-32765
    Inhibition of human full-length BTK expressed in Sf9 cells using FAM-Srctide peptide as substrate after 60 mins by TR-FRET Assay
    Inhibition of human full-length BTK expressed in Sf9 cells using FAM-Srctide peptide as substrate after 60 mins by TR-FRET Assay
    [PMID: 21958547]
    Sf9 IC50
    16.1 nM
    Compound: Ibrutinib
    Inhibition of recombinant human N-terminal GST-tagged JAK3 (781 to end residues) expressed in baculovirus infected Sf9 cells using poly (Glu,Tyr) 4:1 as substrate incubated for 60 mins in presence of ATP by ADP-Glo kinase assay
    Inhibition of recombinant human N-terminal GST-tagged JAK3 (781 to end residues) expressed in baculovirus infected Sf9 cells using poly (Glu,Tyr) 4:1 as substrate incubated for 60 mins in presence of ATP by ADP-Glo kinase assay
    [PMID: 31866272]
    Sf9 IC50
    200 nM
    Compound: PCI-32765
    Inhibition of LYN-A expressed in Sf9 cells after 60 mins by TR-FRET Assay
    Inhibition of LYN-A expressed in Sf9 cells after 60 mins by TR-FRET Assay
    [PMID: 21958547]
    Sf9 IC50
    3.4 nM
    Compound: 1
    Inhibition of full-length human C-terminal His6-tagged BTK C481S mutant expressed in Sf9 insect cells using FAM-Srctide peptide as substrate preincubated for 1 hr followed by substrate addition and measured after 1 hr by TR-FRET Lanthascreen assay
    Inhibition of full-length human C-terminal His6-tagged BTK C481S mutant expressed in Sf9 insect cells using FAM-Srctide peptide as substrate preincubated for 1 hr followed by substrate addition and measured after 1 hr by TR-FRET Lanthascreen assay
    [PMID: 30655951]
    Sf9 IC50
    3.89 nM
    Compound: 1
    Inhibition of human recombinant full length BTK expressed in baculovirus in Sf9 insect cells using Poly (4:1 Glu, Tyr) as substrate incubated for 1 hr by ADP-Glo assay
    Inhibition of human recombinant full length BTK expressed in baculovirus in Sf9 insect cells using Poly (4:1 Glu, Tyr) as substrate incubated for 1 hr by ADP-Glo assay
    [PMID: 31395509]
    SKM-1 GI50
    3.9 μM
    Compound: 1; PCI-32765
    Antiproliferative activity against human SKM1 cells after 72 hrs by CellTiter-Glo assay
    Antiproliferative activity against human SKM1 cells after 72 hrs by CellTiter-Glo assay
    [PMID: 28628824]
    SK-MEL-5 IC50
    6.31 μM
    Compound: Ibrutinib
    Antiproliferative activity against human SK-MEL-5 cells assessed as cell growth inhibition measured after 48 hrs by SRB assay
    Antiproliferative activity against human SK-MEL-5 cells assessed as cell growth inhibition measured after 48 hrs by SRB assay
    [PMID: 34237622]
    SNB-75 IC50
    3.16 μM
    Compound: Ibrutinib
    Antiproliferative activity against human SNB-75 cells assessed as cell growth inhibition measured after 48 hrs by SRB assay
    Antiproliferative activity against human SNB-75 cells assessed as cell growth inhibition measured after 48 hrs by SRB assay
    [PMID: 34237622]
    SUD4 IC50
    0.804 μM
    Compound: Ibrutinib
    Antiproliferative activity against human SU-DHL-4 cells incubated for 72 hrs by CellTiter-Glo assay
    Antiproliferative activity against human SU-DHL-4 cells incubated for 72 hrs by CellTiter-Glo assay
    [PMID: 35939993]
    SU-DHL-2 GI50
    2.2 μM
    Compound: 1; PCI-32765
    Antiproliferative activity against human SUDHL2 cells after 72 hrs by CellTiter-Glo assay
    Antiproliferative activity against human SUDHL2 cells after 72 hrs by CellTiter-Glo assay
    [PMID: 28628824]
    SU-DHL-6 GI50
    0.58 μM
    Compound: Ibrutinib
    Cytotoxicity against human SU-DHL6 cells assessed as growth inhibition after 72 hrs by CellTiter-Glo luminescent cell viability assay
    Cytotoxicity against human SU-DHL6 cells assessed as growth inhibition after 72 hrs by CellTiter-Glo luminescent cell viability assay
    [PMID: 24915291]
    SU-DHL-6 IC50
    0.8742 μM
    Compound: Ibrutinib
    Antiproliferative activity against human SU-DHL6 cells after 72 hrs by CellTiter-Glo luminescent cell viability assay
    Antiproliferative activity against human SU-DHL6 cells after 72 hrs by CellTiter-Glo luminescent cell viability assay
    [PMID: 30522954]
    SU-DHL-6 IC50
    1.498 μM
    Compound: Ibrutinib
    Antiproliferative activity against human SU-DHL-6 cells incubated for 72 hrs by CellTiter-Glo assay
    Antiproliferative activity against human SU-DHL-6 cells incubated for 72 hrs by CellTiter-Glo assay
    [PMID: 35939993]
    SW480 IC50
    25.6 μM
    Compound: ibrutinib
    Cytotoxicity against human SW480 cells assessed as cell growth inhibition after 3 days by presto blue dye based plate reader method
    Cytotoxicity against human SW480 cells assessed as cell growth inhibition after 3 days by presto blue dye based plate reader method
    [PMID: 27077228]
    THP-1 IC50
    20.1 μM
    Compound: Ibrutinib
    Cytotoxicity against human THP-1 cells assessed as reduction in cell viability incubated for 72 hrs by MTT assay
    Cytotoxicity against human THP-1 cells assessed as reduction in cell viability incubated for 72 hrs by MTT assay
    [PMID: 29324347]
    TMD8 IC50
    0.01 nM
    Compound: Ibrutinib
    Antiproliferative activity against human TMD8 cells assessed as reduction in cell viability incubated for 72 hrs by CCK-8 assay
    Antiproliferative activity against human TMD8 cells assessed as reduction in cell viability incubated for 72 hrs by CCK-8 assay
    [PMID: 33740548]
    TMD8 IC50
    0.01 μM
    Compound: PCI-32765
    Antiproliferative activity against human TMD8 cells assessed as reduction in cell viability incubated for 72 hrs by CCK-8 assay
    Antiproliferative activity against human TMD8 cells assessed as reduction in cell viability incubated for 72 hrs by CCK-8 assay
    [PMID: 31221612]
    TMD8 IC50
    0.01 μM
    Compound: 1; PCI-32765
    Antiproliferative activity against human TMD8 cells after 72 hrs by MTT assay
    Antiproliferative activity against human TMD8 cells after 72 hrs by MTT assay
    [PMID: 29715023]
    TMD8 IC50
    2.7 nM
    Compound: Ibrutinib
    Antiproliferative activity against human TMD8 cells incubated for 72 hrs by CellTiter-Glo assay
    Antiproliferative activity against human TMD8 cells incubated for 72 hrs by CellTiter-Glo assay
    [PMID: 35939993]
    TMD8 IC50
    6.4 nM
    Compound: Ibrutinib
    Antiproliferative activity against human TMD8 cells assessed as inhibition of cell growth incubated for 3 to 7 days by MTS assay
    Antiproliferative activity against human TMD8 cells assessed as inhibition of cell growth incubated for 3 to 7 days by MTS assay
    [PMID: 35671249]
    U-251 IC50
    6.31 μM
    Compound: Ibrutinib
    Antiproliferative activity against human U-251 cells assessed as cell growth inhibition measured after 48 hrs by SRB assay
    Antiproliferative activity against human U-251 cells assessed as cell growth inhibition measured after 48 hrs by SRB assay
    [PMID: 34237622]
    U2932 GI50
    4 μM
    Compound: 1; PCI-32765
    Antiproliferative activity against human U2932 cells after 72 hrs by CellTiter-Glo assay
    Antiproliferative activity against human U2932 cells after 72 hrs by CellTiter-Glo assay
    [PMID: 28628824]
    U-937 IC50
    4.4 μM
    Compound: 1; PCI-32765
    Antiproliferative activity against human U-937 cells assessed as reduction in cell viability incubated for 48 hrs by CCK8 assay
    Antiproliferative activity against human U-937 cells assessed as reduction in cell viability incubated for 48 hrs by CCK8 assay
    [PMID: 35099969]
    U-937 GI50
    8.5 μM
    Compound: 1; PCI-32765
    Antiproliferative activity against human U937 cells after 72 hrs by CellTiter-Glo assay
    Antiproliferative activity against human U937 cells after 72 hrs by CellTiter-Glo assay
    [PMID: 28628824]
    UO-31 IC50
    1.26 μM
    Compound: Ibrutinib
    Antiproliferative activity against human UO-31 cells assessed as cell growth inhibition measured after 48 hrs by SRB assay
    Antiproliferative activity against human UO-31 cells assessed as cell growth inhibition measured after 48 hrs by SRB assay
    [PMID: 34237622]
    WSU-NHL GI50
    1.09 μM
    Compound: Ibrutinib
    Cytotoxicity against human WSU-NHL cells assessed as growth inhibition after 72 hrs by CellTiter-Glo luminescent cell viability assay
    Cytotoxicity against human WSU-NHL cells assessed as growth inhibition after 72 hrs by CellTiter-Glo luminescent cell viability assay
    [PMID: 24915291]
    Z-138 GI50
    > 10 μM
    Compound: 1; PCI-32765
    Antiproliferative activity against human Z138 cells after 72 hrs by CellTiter-Glo assay
    Antiproliferative activity against human Z138 cells after 72 hrs by CellTiter-Glo assay
    [PMID: 28628824]
    Z-138 IC50
    11.3 μM
    Compound: IBN
    Antiproliferative activity against human Z138 cells assessed as inhibition of cell proliferation incubated for 72 hrs by Cell-titer-Glo luminescent cell viability assay
    Antiproliferative activity against human Z138 cells assessed as inhibition of cell proliferation incubated for 72 hrs by Cell-titer-Glo luminescent cell viability assay
    [PMID: 30857748]
    Z-138 IC50
    14.4 μM
    Compound: IBN
    Antiproliferative activity against human Z138 cells assessed as reduction in viability after 72 hrs by CellTiter-Glo luminescent assay
    Antiproliferative activity against human Z138 cells assessed as reduction in viability after 72 hrs by CellTiter-Glo luminescent assay
    [PMID: 31229421]
    Z-138 IC50
    9.7 nM
    Compound: 24
    Antiproliferative activity against human Z138 cells assessed as reduction cell viability measured after 24 hrs by Cell Titer-Glo Luminescent Cell Viability Assay
    Antiproliferative activity against human Z138 cells assessed as reduction cell viability measured after 24 hrs by Cell Titer-Glo Luminescent Cell Viability Assay
    [PMID: 36324498]
    体外研究
    (In Vitro)

    Ibrutinib (PCI-32765) selectively inhibits B-cell signaling and activation. It inhibits autophosphorylation of Btk (IC50=11 nM), phosphorylation of Btk's physiological substrate PLCγ (IC50=29 nM), and phosphorylation of a further downstream kinase, ERK (IC50=13 nM)[1].
    Ibrutinib (PCI-32765) inhibits BCR-activated primary B cell proliferation (IC50=8 nM). Following FcγR stimulation, Ibrutinib (PCI-32765) inhibits TNFα, IL-1β and IL-6 production in primary monocytes (IC50=2.6, 0.5, 3.9 nM, respectively)[3].
    Ibrutinib binds C481 (Cysteine481) of BTK with an ideal IC50 of 0.5?nM. Ibrutinib cannot form a covalent bond with the hydroxyl group of serine, C481S mutation increases the IC50 against BTK-C481S phosphorylation from 2.2?nM to 1?μM[4].

    MCE has not independently confirmed the accuracy of these methods. They are for reference only.

    体内研究
    (In Vivo)

    Ibrutinib (PCI-32765) (3.125-50 mg/kg, p.o.) reduces the level of circulating autoantibodies and completely suppresses disease in mice with collagen-induced arthritis. Ibrutinib (PCI-32765) inhibits autoantibody production and the development of kidney disease in the MRL-Fas(lpr) lupus model. Ibrutinib (PCI-32765) (3.125-50 mg/kg, p.o.) reduces renal disease and autoantibody production in MRL-Fas(lpr) mice[1]. Ibrutinib (PCI-32765) (0.1 μM) inhibits activation-induced proliferation of CLL cells, induces selective cytotoxicity in B cells compared with T cells, but alters activation induced T-cell cytokine production[2]. Ibrutinib (PCI-32765) dose-dependently and potently reverses arthritic inflammation in a therapeutic CIA model with an ED50 of 2.6 mg/kg/day. Ibrutinib (PCI-32765) also prevents clinical arthritis in CAIA models[3].

    MCE has not independently confirmed the accuracy of these methods. They are for reference only.

    Clinical Trial
    分子量

    440.50

    Formula

    C25H24N6O2

    CAS 号
    性状

    固体

    颜色

    White to off-white

    中文名称

    依鲁替尼;伊布鲁替尼;伊布替尼

    运输条件

    Room temperature in continental US; may vary elsewhere.

    储存方式

    4°C, protect from light

    *In solvent : -80°C, 6 months; -20°C, 1 month (protect from light)

    溶解性数据
    细胞实验: 

    DMSO 中的溶解度 : 100 mg/mL (227.01 mM; 超声助溶; 吸湿的 DMSO 对产品的溶解度有显著影响,请使用新开封的 DMSO)

    配制储备液
    浓度 溶剂体积 质量 1 mg 5 mg 10 mg
    1 mM 2.2701 mL 11.3507 mL 22.7015 mL
    5 mM 0.4540 mL 2.2701 mL 4.5403 mL
    查看完整储备液配制表

    * 请根据产品在不同溶剂中的溶解度选择合适的溶剂配制储备液;一旦配成溶液,请分装保存,避免反复冻融造成的产品失效
    储备液的保存方式和期限:-80°C, 6 months; -20°C, 1 month (protect from light)。-80°C储存时,请在6个月内使用,-20°C储存时,请在1个月内使用。

    • 摩尔计算器

    • 稀释计算器

    Mass (g) = Concentration (mol/L) × Volume (L) × Molecular Weight (g/mol)

    质量
    =
    浓度
    ×
    体积
    ×
    分子量 *

    Concentration (start) × Volume (start) = Concentration (final) × Volume (final)

    This equation is commonly abbreviated as: C1V1 = C2V2

    浓度 (start)

    C1

    ×
    体积 (start)

    V1

    =
    浓度 (final)

    C2

    ×
    体积 (final)

    V2

    动物实验:

    请根据您的 实验动物和给药方式 选择适当的溶解方案。

    以下溶解方案都请先按照 In Vitro 方式配制澄清的储备液,再依次添加助溶剂:
    ——为保证实验结果的可靠性,澄清的储备液可以根据储存条件,适当保存;体内实验的工作液,建议您现用现配,当天使用
    以下溶剂前显示的百分比是指该溶剂在您配制终溶液中的体积占比;如在配制过程中出现沉淀、析出现象,可以通过加热和/或超声的方式助溶

    • 方案 一

      请依序添加每种溶剂: 5% DMSO    95% (20% SBE-β-CD in Saline)

      Solubility: ≥ 2.75 mg/mL (6.24 mM); 澄清溶液

    • 方案 二

      请依序添加每种溶剂: 10% DMSO    40% PEG300    5% Tween-80    45% Saline

      Solubility: ≥ 2.5 mg/mL (5.68 mM); 澄清溶液

      此方案可获得 ≥ 2.5 mg/mL(饱和度未知)的澄清溶液。

      1 mL 工作液为例,取 100 μL 25.0 mg/mL 的澄清 DMSO 储备液加到 400 μL PEG300 中,混合均匀;再向上述体系中加入 50 μL Tween-80,混合均匀;然后再继续加入 450 μL 生理盐水 定容至 1 mL

      生理盐水的配制:将 0.9 g 氯化钠,溶解于 ddH₂O 并定容至 100 mL,可以得到澄清透明的生理盐水溶液。

    以下溶解方案,请直接配制工作液。建议现用现配,在短期内尽快用完。 以下溶剂前显示的百分比是指该溶剂在您配制终溶液中的体积占比; 如在配制过程中出现沉淀、析出现象,可以通过加热和/或超声的方式助溶。

    • 方案 一

      请依序添加每种溶剂: 0.5% Methyl cellulose/0.5% Tween-80 in Saline water

      Solubility: 3.33 mg/mL (7.56 mM); Suspension solution; 超声助溶

    动物溶解方案计算器
    请输入动物实验的基本信息:

    给药剂量

    mg/kg

    动物的平均体重

    g

    每只动物的给药体积

    μL

    动物数量

    由于实验过程有损耗,建议您多配一只动物的量
    请输入您的动物体内配方组成:
    %
    DMSO +
    +
    %
    Tween-80 +
    %
    Saline
    如果您的动物是免疫缺陷鼠或者体弱鼠,建议 DMSO 中的在最后工作液体系中的占比尽量不超过 2%。
    方案所需 助溶剂 包括:DMSO ,均可在 MCE 网站选购。 Tween 80,均可在 MCE 网站选购。
    计算结果
    工作液所需浓度 : mg/mL
    储备液配制方法 : mg 药物溶于 μL  DMSO(母液浓度为 mg/mL)。

    *In solvent : -80°C, 6 months; -20°C, 1 month (protect from light)

    您所需的储备液浓度超过该产品的实测溶解度,以下方案仅供参考,如有需要,请与 MCE 中国技术支持联系。
    动物实验体内工作液的配制方法 : 取 μL DMSO 储备液,加入 μL  μL ,混合均匀至澄清,再加 μL Tween 80,混合均匀至澄清,再加 μL 生理盐水
    连续给药周期超过半月以上,请谨慎选择该方案。
    请确保第一步储备液溶解至澄清状态,从左到右依次添加助溶剂。您可采用超声加热 (超声清洗仪,建议频次 20-40 kHz),涡旋吹打等方式辅助溶解。
    纯度 & 产品资料

    纯度: 99.97%

    参考文献
    Cell Assay
    [3]

    Primary human B cells are isolated from peripheral blood mononuclear cell using human Miltenyl human B cell Isolation Kit II. In 0.2 mL RPMI plus 10% FBS, 100,000 B cells are treated with Ibrutinib (PCI-32765) (0.3 nM-10 μM) in triplicate wells or vehicle control in 0.1% DMSO final concentration for 30 minutes at 37°C, 5% CO2, then cells are stimulated with 10 μg/mL anti-IgM F(ab')2, 5 μg/mL anti-CD3/CD28 as a negative control or 0.5 μg/mL PMA (Phorbal 12-myristate 13-acetate) as a positive control. B cells are stimulated for 72 hours at 37°C, 5% CO2. Proliferation is measured with Cell Titer Glo reagent and measured on a luminometer.

    MCE has not independently confirmed the accuracy of these methods. They are for reference only.

    Animal Administration
    [3]

    Male DBA1/1OlaHsd mice are injected on days 0 and 21 with Freunds' Complete Adjuvant containing bovine type II collagen. On days 21 to 35, mice are randomized into treatment groups when the average clinical score of each animal is 1.5 (in a scale of 5). Ibrutinib (PCI-32765) treatment (1.56-12.5 mg/kg, p.o.) is initiated following enrollment and continues for 18 days. Clinical scores are given to each mouse daily for each paw. Clinical score assessment is made using the following criteria: 0=normal; 1=one hind paw or fore paw joint affected or minimal diffuse erythema and swelling; 2=two hind or fore paw joints affected or mild diffuse erythema and swelling; 3=three hind or fore paw joints affected or moderate diffuse erythema and swelling; 4=marked diffuse erythema and swelling or four digit joints affected; 5=severe diffuse erythema and severe swelling of entire paw, unable to flex digits.

    MCE has not independently confirmed the accuracy of these methods. They are for reference only.

    参考文献

    完整储备液配制表

    * 请根据产品在不同溶剂中的溶解度选择合适的溶剂配制储备液;一旦配成溶液,请分装保存,避免反复冻融造成的产品失效
    储备液的保存方式和期限:-80°C, 6 months; -20°C, 1 month (protect from light)。-80°C储存时,请在6个月内使用,-20°C储存时,请在1个月内使用。

    可选溶剂 浓度 溶剂体积 质量 1 mg 5 mg 10 mg 25 mg
    DMSO 1 mM 2.2701 mL 11.3507 mL 22.7015 mL 56.7537 mL
    5 mM 0.4540 mL 2.2701 mL 4.5403 mL 11.3507 mL
    10 mM 0.2270 mL 1.1351 mL 2.2701 mL 5.6754 mL
    15 mM 0.1513 mL 0.7567 mL 1.5134 mL 3.7836 mL
    20 mM 0.1135 mL 0.5675 mL 1.1351 mL 2.8377 mL
    25 mM 0.0908 mL 0.4540 mL 0.9081 mL 2.2701 mL
    30 mM 0.0757 mL 0.3784 mL 0.7567 mL 1.8918 mL
    40 mM 0.0568 mL 0.2838 mL 0.5675 mL 1.4188 mL
    50 mM 0.0454 mL 0.2270 mL 0.4540 mL 1.1351 mL
    60 mM 0.0378 mL 0.1892 mL 0.3784 mL 0.9459 mL
    80 mM 0.0284 mL 0.1419 mL 0.2838 mL 0.7094 mL
    100 mM 0.0227 mL 0.1135 mL 0.2270 mL 0.5675 mL
    Help & FAQs
    • Do most proteins show cross-species activity?

      Species cross-reactivity must be investigated individually for each product. Many human cytokines will produce a nice response in mouse cell lines, and many mouse proteins will show activity on human cells. Other proteins may have a lower specific activity when used in the opposite species.

    您最近查看的产品:

    Your information is safe with us. * Required Fields.

       产品名称:

     

    * 需求量:

    * 客户姓名:

     

    * Email:

    * 电话:

     

    * 公司或机构名称:

       留言给我们:

    Bulk Inquiry

    Inquiry Information

    产品名称:
    Ibrutinib
    目录号:
    HY-10997
    需求量: