1. Neuronal Signaling Stem Cell/Wnt Apoptosis
  2. γ-secretase Apoptosis
  3. Nirogacestat

Nirogacestat  (Synonyms: PF-3084014)

目录号: HY-15185 纯度: 99.83%
COA 产品使用指南 技术支持

Nirogacestat (PF-3084014) 是一种有效的,具有口服活性的,可逆的非竞争性的选择性的 γ-secretase 抑制剂,IC50 为 6.2 nM。Nirogacestat 抑制 Notch 信号通路,同时最小化胃肠道毒性。可用于研究 Notch 受体依赖性肿瘤。

MCE 的所有产品仅用作科学研究或药证申报,我们不为任何个人用途提供产品和服务

我们将采用定制合成服务的方式为您快速提供所需产品和技术服务

Nirogacestat

Nirogacestat Chemical Structure

CAS No. : 1290543-63-3

1.  客户无需承担相应的运输费用。

2.  同一机构(单位)同一产品试用装仅限申领一次,同一机构(单位)一年内

     可免费申领三个不同产品的试用装。

3.  试用装只面向终端客户

规格 价格 是否有货 数量
10 mM * 1 mL in DMSO ¥1089
In-stock
1 mg ¥450
In-stock
5 mg ¥990
In-stock
10 mg ¥1650
In-stock
25 mg ¥3000
In-stock
50 mg ¥4600
In-stock
100 mg 现货 询价
200 mg   询价  
500 mg   询价  

* Please select Quantity before adding items.

Customer Review

Other Forms of Nirogacestat:

    Nirogacestat purchased from MCE. Usage Cited in: Int J Oncol. 2018 Jul;53(1):99-112.  [Abstract]

    The expression of E-cadherin, N-cadherin and Snail in Enza-R cells is examined by western blot analysis. The cells are transfected with Ad-GFP or Ad-HepaCAM for 72 h and treated with 5 μM PF-3084014 for 48 h. GAPDH served as a loading control.

    Nirogacestat purchased from MCE. Usage Cited in: EMBO Mol Med. 2017 Jul;9(7):950-966.  [Abstract]

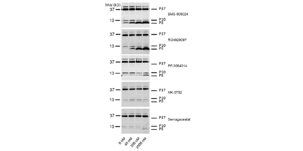
    Turnover of endogenous CD74 P8 is inhibited by RO4929079 and BMS-906024. Cell lysate Western blot of A20 cells treated with GSIs is developed with In-1 antibody. MK-0752 and Semagacestat tests used the same control lane (0 nM).
    • 生物活性

    • 实验参考方法

    • 纯度 & 产品资料

    • 参考文献

    生物活性

    Nirogacestat (PF-3084014) is a reversible, orally bioavailable, noncompetitive, and selective γ-secretase inhibitor with an IC50 of 6.2 nM. Inhibition of Notch signaling by Nirogacestat while minimizing gastrointestinal toxicity presents a promising approach for research of Notch receptor-dependent cancers[1].

    IC50 & Target

    IC50: 6.2 nM (γ-secretase)[1]

    细胞效力
    (Cellular Effect)
    Cell Line Type Value Description References
    H4 IC50
    1.2 nM
    Compound: 14f, PF-3084014
    Inhibition of gamma-secretase in human H4 cells expressing APP Swedish mutant assessed as inhibition of amyloid beta (1 to 40) production by whole cell assay
    Inhibition of gamma-secretase in human H4 cells expressing APP Swedish mutant assessed as inhibition of amyloid beta (1 to 40) production by whole cell assay
    [PMID: 21269827]
    HeLa IC50
    6.2 nM
    Compound: 11; PF-03084014
    Inhibition of gamma secretase isolated from human HeLa cell derived P2 membrane assessed as reduction in amyloid beta (1 to 40 residues) using recombinant human APP-C100 as substrate by DELFIA-based immunoassay
    Inhibition of gamma secretase isolated from human HeLa cell derived P2 membrane assessed as reduction in amyloid beta (1 to 40 residues) using recombinant human APP-C100 as substrate by DELFIA-based immunoassay
    [PMID: 27045975]
    体外研究
    (In Vitro)

    Nirogacestat (PF-03084014) 在无细胞实验中针对 γ-分泌酶酶的 Aβ 生成抑制的 IC50 值为 6.2 nM (使用从 HeLa 细胞提取的去洗涤剂溶解的膜) 。在细胞实验中,针对 Notch 受体切割的抑制实验 (使用具有 Notch1 杂合二聚化和 PEST 结构域突变的 HPB-ALL 细胞) ,细胞的 IC50 值为 13.3 nM。Nirogacestat (PF-03084014) 在 HPB-ALL 和 TALL-1 细胞中显著增加 caspase-3 活性,并在 7 天治疗后诱导裂解的 PARP 和裂解的 caspase-3[1]

    MCE has not independently confirmed the accuracy of these methods. They are for reference only.

    体内研究
    (In Vivo)

    Nirogacestat (PF-03084014) 在该模型中表现出强大的抗肿瘤活性,每天两次给药 14 天。肿瘤生长抑制是剂量依赖性的,在高剂量水平(150 mg/kg)下可获得最大肿瘤生长抑制率 ~92%。在肿瘤生长抑制研究中,小鼠每天重复两次给药超过一周,Nirogacestat (PF-03084014) 在低于 100 mg/kg 的剂量水平下耐受性良好,因为没有观察到明显的体重减轻、发病率或死亡率。然而,当剂量增加到 150 mg/kg 时,小鼠在化合物给药后约 10 天出现腹泻并出现体重减轻(10-15%)。如果给予给药假期,接受治疗的动物的体重通常会恢复正常,这表明 Nirogacestat (PF-03084014) 的毒性是可逆的[1]

    MCE has not independently confirmed the accuracy of these methods. They are for reference only.

    Clinical Trial
    分子量

    489.64

    Formula

    C27H41F2N5O

    CAS 号
    性状

    固体

    颜色

    White to yellow

    运输条件

    Room temperature in continental US; may vary elsewhere.

    储存方式
    Powder -20°C 3 years
    4°C 2 years
    In solvent -80°C 1 year
    -20°C 6 months
    溶解性数据
    细胞实验: 

    DMSO 中的溶解度 : 28.57 mg/mL (58.35 mM; 超声助溶; 吸湿的 DMSO 对产品的溶解度有显著影响,请使用新开封的 DMSO)

    H2O 中的溶解度 : < 0.1 mg/mL (insoluble)

    配制储备液
    浓度 溶剂体积 质量 1 mg 5 mg 10 mg
    1 mM 2.0423 mL 10.2116 mL 20.4232 mL
    5 mM 0.4085 mL 2.0423 mL 4.0846 mL
    查看完整储备液配制表

    * 请根据产品在不同溶剂中的溶解度选择合适的溶剂配制储备液;一旦配成溶液,请分装保存,避免反复冻融造成的产品失效
    储备液的保存方式和期限:-80°C, 1 year; -20°C, 6 months。-80°C储存时,请在1年内使用, -20°C储存时,请在6个月内使用。

    • 摩尔计算器

    • 稀释计算器

    Mass (g) = Concentration (mol/L) × Volume (L) × Molecular Weight (g/mol)

    质量
    =
    浓度
    ×
    体积
    ×
    分子量 *

    Concentration (start) × Volume (start) = Concentration (final) × Volume (final)

    This equation is commonly abbreviated as: C1V1 = C2V2

    浓度 (start)

    C1

    ×
    体积 (start)

    V1

    =
    浓度 (final)

    C2

    ×
    体积 (final)

    V2

    动物实验:

    请根据您的 实验动物和给药方式 选择适当的溶解方案。

    以下溶解方案都请先按照 In Vitro 方式配制澄清的储备液,再依次添加助溶剂:
    ——为保证实验结果的可靠性,澄清的储备液可以根据储存条件,适当保存;体内实验的工作液,建议您现用现配,当天使用
    以下溶剂前显示的百分比是指该溶剂在您配制终溶液中的体积占比;如在配制过程中出现沉淀、析出现象,可以通过加热和/或超声的方式助溶

    • 方案 一

      请依序添加每种溶剂: 10% DMSO    40% PEG300    5% Tween-80    45% Saline

      Solubility: 2.5 mg/mL (5.11 mM); 悬浊液; 超声加热助溶

      此方案可获得 2.5 mg/mL的均匀悬浊液,悬浊液可用于口服和腹腔注射。

      1 mL 工作液为例,取 100 μL 25.0 mg/mL 的澄清 DMSO 储备液加到 400 μL PEG300 中,混合均匀;再向上述体系中加入 50 μL Tween-80,混合均匀;然后再继续加入 450 μL 生理盐水 定容至 1 mL

      生理盐水的配制:将 0.9 g 氯化钠,溶解于 ddH₂O 并定容至 100 mL,可以得到澄清透明的生理盐水溶液。
    • 方案 二

      请依序添加每种溶剂: 10% DMSO    90% (20% SBE-β-CD in Saline)

      Solubility: 2.5 mg/mL (5.11 mM); 悬浊液; 超声助溶

      此方案可获得 2.5 mg/mL的均匀悬浊液,悬浊液可用于口服和腹腔注射。

      1 mL 工作液为例,取 100 μL 25.0 mg/mL 的澄清 DMSO 储备液加到 900 μL 20% 的 SBE-β-CD 生理盐水水溶液 中,混合均匀。

      2 g SBE-β-CD(磺丁基醚 β-环糊精)粉末定容于 10 mL 的生理盐水中,完全溶解至澄清透明。
    动物溶解方案计算器
    请输入动物实验的基本信息:

    给药剂量

    mg/kg

    动物的平均体重

    g

    每只动物的给药体积

    μL

    动物数量

    由于实验过程有损耗,建议您多配一只动物的量
    请输入您的动物体内配方组成:
    %
    DMSO +
    +
    %
    Tween-80 +
    %
    Saline
    如果您的动物是免疫缺陷鼠或者体弱鼠,建议 DMSO 中的在最后工作液体系中的占比尽量不超过 2%。
    方案所需 助溶剂 包括:DMSO ,均可在 MCE 网站选购。 Tween 80,均可在 MCE 网站选购。
    计算结果
    工作液所需浓度 : mg/mL
    储备液配制方法 : mg 药物溶于 μL  DMSO(母液浓度为 mg/mL)。
    您所需的储备液浓度超过该产品的实测溶解度,以下方案仅供参考,如有需要,请与 MCE 中国技术支持联系。
    动物实验体内工作液的配制方法 : 取 μL DMSO 储备液,加入 μL  μL ,混合均匀至澄清,再加 μL Tween 80,混合均匀至澄清,再加 μL 生理盐水
    连续给药周期超过半月以上,请谨慎选择该方案。
    请确保第一步储备液溶解至澄清状态,从左到右依次添加助溶剂。您可采用超声加热 (超声清洗仪,建议频次 20-40 kHz),涡旋吹打等方式辅助溶解。
    纯度 & 产品资料

    纯度: 99.83%

    参考文献
    Cell Assay
    [1]

    Cells are seeded in 96-well plates at 2,000 (Sup-T1, Jurkat, and DND-41) or 10,000 (HPB-ALL or TALL-1) cells/well in growth media supplemented with 10% fetal bovine serum. Serial dilutions of Nirogacestat (PF-03084014) are done in DMSO, appropriate controls or designated concentrations of Nirogacestat (PF-03084014) are added to each well, and cells are incubated at 37°C for 7 days (final DMSO content 0.1%). Resazurin at a final concentration of 0.1 mg/mL is added to the cells and plates are incubated for 2 to 4 hours. Fluorescent signals are read as emission at 590 nm after excitation at 560 nm. IC50 values are calculated by using the sigmoidal dose-response (variable slope) in GraphPad Prism[1].

    MCE has not independently confirmed the accuracy of these methods. They are for reference only.

    Animal Administration
    [1][2]

    Mice[1]
    Athymic female mice (nu/nu, 6-8 weeks) are used. For antitumor efficacy, animals bearing tumors of 150 to 300 mm3 in size are randomly divided into groups that received either vehicle (0.5% methylcellulose) or Nirogacestat (PF-03084014) (150 mg/kg, diluted in vehicle), and dosed by oral gavage. Animal body weight and tumor measurements are obtained every 2 to 3 days. Tumor volume (mm3) is measured with Vernier calipers and calculated. Percent (%) inhibition values are measured on the final day of study for drug-treated compared with vehicle-treated mice and are calculated. For all tumor growth inhibition experiments, 8 to 10 mice per dose group are used. Student's t test is used to determine the P value.

    MCE has not independently confirmed the accuracy of these methods. They are for reference only.

    参考文献

    完整储备液配制表

    * 请根据产品在不同溶剂中的溶解度选择合适的溶剂配制储备液;一旦配成溶液,请分装保存,避免反复冻融造成的产品失效
    储备液的保存方式和期限:-80°C, 1 year; -20°C, 6 months。-80°C储存时,请在1年内使用, -20°C储存时,请在6个月内使用。

    可选溶剂 浓度 溶剂体积 质量 1 mg 5 mg 10 mg 25 mg
    DMSO 1 mM 2.0423 mL 10.2116 mL 20.4232 mL 51.0579 mL
    5 mM 0.4085 mL 2.0423 mL 4.0846 mL 10.2116 mL
    10 mM 0.2042 mL 1.0212 mL 2.0423 mL 5.1058 mL
    15 mM 0.1362 mL 0.6808 mL 1.3615 mL 3.4039 mL
    20 mM 0.1021 mL 0.5106 mL 1.0212 mL 2.5529 mL
    25 mM 0.0817 mL 0.4085 mL 0.8169 mL 2.0423 mL
    30 mM 0.0681 mL 0.3404 mL 0.6808 mL 1.7019 mL
    40 mM 0.0511 mL 0.2553 mL 0.5106 mL 1.2764 mL
    50 mM 0.0408 mL 0.2042 mL 0.4085 mL 1.0212 mL
    Help & FAQs
    • Do most proteins show cross-species activity?

      Species cross-reactivity must be investigated individually for each product. Many human cytokines will produce a nice response in mouse cell lines, and many mouse proteins will show activity on human cells. Other proteins may have a lower specific activity when used in the opposite species.

    您最近查看的产品:

    Your information is safe with us. * Required Fields.

       产品名称:

     

    * 需求量:

    * 客户姓名:

     

    * Email:

    * 电话:

     

    * 公司或机构名称:

       留言给我们:

    Bulk Inquiry

    Inquiry Information

    产品名称:
    Nirogacestat
    目录号:
    HY-15185
    需求量: