1. Autophagy GPCR/G Protein Neuronal Signaling
  2. G Protein-coupled Receptor Kinase (GRK) Autophagy Serotonin Transporter
  3. Paroxetine hydrochloride hemihydrate

Paroxetine hydrochloride hemihydrate  (Synonyms: 盐酸帕罗西汀半水合物; BRL29060 hydrochloride hemihydrate; BRL29060A hemihydrate)

目录号: HY-B0492A 纯度: 99.96%
COA 产品使用指南 技术支持

Paroxetine hydrochloride hemihydrate 是一种抗抑郁药,为高效的五羟色胺再摄取抑制剂,能抑制 GRK2 活性,IC50 值为 14 μM。

MCE 的所有产品仅用作科学研究或药证申报,我们不为任何个人用途提供产品和服务

Paroxetine hydrochloride hemihydrate

Paroxetine hydrochloride hemihydrate Chemical Structure

CAS No. : 110429-35-1

1.  客户无需承担相应的运输费用。

2.  同一机构(单位)同一产品试用装仅限申领一次,同一机构(单位)一年内

     可免费申领三个不同产品的试用装。

3.  试用装只面向终端客户

规格 价格 是否有货 数量
Free Sample (0.1 - 0.2 mg)   Apply now  
10 mM * 1 mL in DMSO ¥660
In-stock
100 mg ¥600
In-stock
500 mg ¥1200
In-stock
1 g   询价  
5 g   询价  

* Please select Quantity before adding items.

Other Forms of Paroxetine hydrochloride hemihydrate:

    Paroxetine hydrochloride hemihydrate purchased from MCE. Usage Cited in: Brain Res. 2019 Oct 1:1720:146296.  [Abstract]

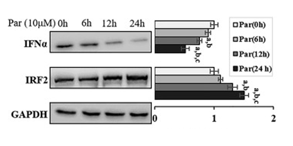
    Protein levels of IFNα and IRF2(B) are detected in HA1800 Cells at 6 h, 12 h and 24 h after paroxetine (10μM) treatment by RT-qPCR and western blot respectively.
    • 生物活性

    • 实验参考方法

    • 纯度 & 产品资料

    • 参考文献

    生物活性

    Paroxetine hydrochloride hemihydrate is a potent selective serotonin-reuptake inhibitor, commonly prescribed as an antidepressant and has GRK2 inhibitory ability with IC50 of 14 μM.

    IC50 & Target

    GRK2

     

    细胞效力
    (Cellular Effect)
    Cell Line Type Value Description References
    BTI-TN-5B1-4 IC50
    1.38 μM
    Compound: Paroxetine
    Inhibition of full length C-terminal hexahistidine tagged GRK2 (unknown origin) S670A mutant expressed in High Five cells using Bac to Bac insect cell expression system using tubulin as substrate by SDS-PAGE method
    Inhibition of full length C-terminal hexahistidine tagged GRK2 (unknown origin) S670A mutant expressed in High Five cells using Bac to Bac insect cell expression system using tubulin as substrate by SDS-PAGE method
    [PMID: 27050625]
    CHO IC50
    0.56 nM
    Compound: Paroxetine
    Inhibition of human SERT expressed in CHO cell membranes assessed as reduction in [3H]serotonin uptake preincubated for 10 mins followed by [3H]serotonin addition measured after 20 mins by liquid scintillation counting method
    Inhibition of human SERT expressed in CHO cell membranes assessed as reduction in [3H]serotonin uptake preincubated for 10 mins followed by [3H]serotonin addition measured after 20 mins by liquid scintillation counting method
    [PMID: 27865645]
    CHO IC50
    3.9 μM
    Compound: paroxetine
    Inhibition of Cav1.2 current measured using QPatch automatic path clamp system in CHO cells expressing Cav1.2, beta-2 and alpha-2/delta-1 subunits
    Inhibition of Cav1.2 current measured using QPatch automatic path clamp system in CHO cells expressing Cav1.2, beta-2 and alpha-2/delta-1 subunits
    [PMID: 23812503]
    HEK293 IC50
    0.2 nM
    Compound: paroxetine
    Displacement of [125I]RTI-55 from human recombinant SERT expressed in HEK293 cells after 1 hr by scintillation counting analysis
    Displacement of [125I]RTI-55 from human recombinant SERT expressed in HEK293 cells after 1 hr by scintillation counting analysis
    [PMID: 23477943]
    U-373MG ATCC IC50
    900 nM
    Compound: paroxetine
    Displacement of [125I]substance P from human recombinant NK1 receptor expressed in human U373 cells after 1 hr by scintillation counting analysis
    Displacement of [125I]substance P from human recombinant NK1 receptor expressed in human U373 cells after 1 hr by scintillation counting analysis
    [PMID: 23477943]
    体外研究
    (In Vitro)

    Paroxetine (1 μM and 10 μM) distinctly restrains T cell migration induced by CX3CL1 through inhibiting GRK2. Paroxetine inhibits GRK2 induced activation of ERK[1]. Paroxetine (10 μM) reduces pro-inflammatory cytokines in LPS-stimulated BV2 cells. Paroxetine (0-5 μM) leads to a dose-dependent inhibition on LPS-induced production of TNF-α and IL-1β in BV2 cells. Paroxetine also inhibits lipopolysaccharide (LPS)-induced nitric oxide (NO) production and inducible nitric oxide synthase (iNOS) expression in BV2 cells. Paroxetine (5 μM) blocks LPS-induced JNK activation and attenuates baseline ERK1/2 activity in BV2 cells. Paroxetine relieves microglia-mediated neurotoxicity, and suppresses LPS-stimulated pro-inflammatory cytokines and NO in primary microglial cells[4].

    MCE has not independently confirmed the accuracy of these methods. They are for reference only.

    体内研究
    (In Vivo)

    Paroxetine treatment obviously attenuates the symptoms of CIA rats. Paroxetine treatment clearly prevents the histological damage of joints and alleviates T cells infiltration into synovial tissue. Paroxetine reveals a strong effect on inhibiting CX3CL1 production in synovial tissues[1]. Paroxetine (20 mg/kg/day) reduces the myocyte cross-sectional area in rat and ROS formation in the remote myocardium. Paroxetine reduces the susceptibility to ventricular tachycardia. Paroxetine treatment following MI decreases LV remodeling and susceptibility to arrhythmias, probably by reducing ROS formation[2]. In CCI paroxetine-treated group, paroxetine (10 mg/kg, i.p.) produces hyperalgesia at days 7 and 10 (P<0.01), but a decrease in pain behavior is seen at day 14. Moreover, paroxetine (10 mg/kg) significantly attenuates tactile hypersensitivity when compared to CCI vehicle-treated group[5].

    MCE has not independently confirmed the accuracy of these methods. They are for reference only.

    Clinical Trial
    分子量

    374.84

    Formula

    C19H22ClFNO3.5

    CAS 号
    性状

    固体

    颜色

    White to off-white

    中文名称

    盐酸帕罗西汀半水合物; 盐酸帕罗克赛半水合物

    运输条件

    Room temperature in continental US; may vary elsewhere.

    储存方式

    4°C, sealed storage, away from moisture

    *In solvent : -80°C, 6 months; -20°C, 1 month (sealed storage, away from moisture)

    溶解性数据
    细胞实验: 

    DMSO 中的溶解度 : 100 mg/mL (266.78 mM; 超声助溶; 吸湿的 DMSO 对产品的溶解度有显著影响,请使用新开封的 DMSO)

    配制储备液
    浓度 溶剂体积 质量 1 mg 5 mg 10 mg
    1 mM 2.6678 mL 13.3390 mL 26.6780 mL
    5 mM 0.5336 mL 2.6678 mL 5.3356 mL
    查看完整储备液配制表

    * 请根据产品在不同溶剂中的溶解度选择合适的溶剂配制储备液;一旦配成溶液,请分装保存,避免反复冻融造成的产品失效
    储备液的保存方式和期限:-80°C, 6 months; -20°C, 1 month (sealed storage, away from moisture)。-80°C储存时,请在6个月内使用,-20°C储存时,请在1个月内使用。

    • 摩尔计算器

    • 稀释计算器

    Mass (g) = Concentration (mol/L) × Volume (L) × Molecular Weight (g/mol)

    质量
    =
    浓度
    ×
    体积
    ×
    分子量 *

    Concentration (start) × Volume (start) = Concentration (final) × Volume (final)

    This equation is commonly abbreviated as: C1V1 = C2V2

    浓度 (start)

    C1

    ×
    体积 (start)

    V1

    =
    浓度 (final)

    C2

    ×
    体积 (final)

    V2

    动物实验:

    请根据您的 实验动物和给药方式 选择适当的溶解方案。

    以下溶解方案都请先按照 In Vitro 方式配制澄清的储备液,再依次添加助溶剂:
    ——为保证实验结果的可靠性,澄清的储备液可以根据储存条件,适当保存;体内实验的工作液,建议您现用现配,当天使用
    以下溶剂前显示的百分比是指该溶剂在您配制终溶液中的体积占比;如在配制过程中出现沉淀、析出现象,可以通过加热和/或超声的方式助溶

    • 方案 一

      请依序添加每种溶剂: 10% DMSO    40% PEG300    5% Tween-80    45% Saline

      Solubility: ≥ 5 mg/mL (13.34 mM); 澄清溶液

      此方案可获得 ≥ 5 mg/mL(饱和度未知)的澄清溶液。

      1 mL 工作液为例,取 100 μL 50.0 mg/mL 的澄清 DMSO 储备液加到 400 μL PEG300 中,混合均匀;再向上述体系中加入 50 μL Tween-80,混合均匀;然后再继续加入 450 μL 生理盐水 定容至 1 mL

      生理盐水的配制:将 0.9 g 氯化钠,溶解于 ddH₂O 并定容至 100 mL,可以得到澄清透明的生理盐水溶液。
    • 方案 二

      请依序添加每种溶剂: 10% DMSO    90% (20% SBE-β-CD in Saline)

      Solubility: ≥ 5 mg/mL (13.34 mM); 澄清溶液

      此方案可获得 ≥ 5 mg/mL(饱和度未知)的澄清溶液。

      1 mL 工作液为例,取 100 μL 50.0 mg/mL 的澄清 DMSO 储备液加到 900 μL 20% 的 SBE-β-CD 生理盐水水溶液 中,混合均匀。

      2 g SBE-β-CD(磺丁基醚 β-环糊精)粉末定容于 10 mL 的生理盐水中,完全溶解至澄清透明。
    动物溶解方案计算器
    请输入动物实验的基本信息:

    给药剂量

    mg/kg

    动物的平均体重

    g

    每只动物的给药体积

    μL

    动物数量

    由于实验过程有损耗,建议您多配一只动物的量
    请输入您的动物体内配方组成:
    %
    DMSO +
    +
    %
    Tween-80 +
    %
    Saline
    如果您的动物是免疫缺陷鼠或者体弱鼠,建议 DMSO 中的在最后工作液体系中的占比尽量不超过 2%。
    方案所需 助溶剂 包括:DMSO ,均可在 MCE 网站选购。 Tween 80,均可在 MCE 网站选购。
    计算结果
    工作液所需浓度 : mg/mL
    储备液配制方法 : mg 药物溶于 μL  DMSO(母液浓度为 mg/mL)。

    *In solvent : -80°C, 6 months; -20°C, 1 month (sealed storage, away from moisture)

    您所需的储备液浓度超过该产品的实测溶解度,以下方案仅供参考,如有需要,请与 MCE 中国技术支持联系。
    动物实验体内工作液的配制方法 : 取 μL DMSO 储备液,加入 μL  μL ,混合均匀至澄清,再加 μL Tween 80,混合均匀至澄清,再加 μL 生理盐水
    连续给药周期超过半月以上,请谨慎选择该方案。
    请确保第一步储备液溶解至澄清状态,从左到右依次添加助溶剂。您可采用超声加热 (超声清洗仪,建议频次 20-40 kHz),涡旋吹打等方式辅助溶解。
    纯度 & 产品资料

    纯度: 99.96%

    参考文献
    Cell Assay
    [4]

    Cell viability is determined by the tetrazolium salt 3-[4,5-dimethylthiazol-2-yl]-2,5-diphenyltetrazolium bromide (MTT) assay. BV2 and primary microglial cells are initially seeded into 96-well plates at a density of 1×104 cells/well and 5×104 cells/well, respectively. Following treatment, MTT (5 mg/mL in PBS) is added to each well and incubated at 37°C for four hours. The resulting formazan crystals are dissolved in dimethylsulfoxide (DMSO). The optical density is measured at 570 nm, and results are expressed as a percentage of surviving cells compared with the control.

    MCE has not independently confirmed the accuracy of these methods. They are for reference only.

    Animal Administration
    [5]

    Animals are divided into two main groups: 1) pre-emptive and 2) post-injury group. Each main group is divided into three different subgroups: I) CCI vehicle-treated group, II) sham group, and III) CCI paroxetine-treated group. Vehicle is injected i.p. to CCI and sham-operated animals. In the pre-emptive study, paroxetine (10 mg/kg) is injected 1 h before surgery and continued daily until day 14 post surgery. In the post-injury group, paroxetine (10 mg/kg) is administered at day 7 post injury and continued daily until day 14. All behavioral tests are recorded on day 0 (control day) before surgery and on days 1, 3, 5, 7, 10, and 14 post-nerve injury.

    MCE has not independently confirmed the accuracy of these methods. They are for reference only.

    参考文献

    完整储备液配制表

    * 请根据产品在不同溶剂中的溶解度选择合适的溶剂配制储备液;一旦配成溶液,请分装保存,避免反复冻融造成的产品失效
    储备液的保存方式和期限:-80°C, 6 months; -20°C, 1 month (sealed storage, away from moisture)。-80°C储存时,请在6个月内使用,-20°C储存时,请在1个月内使用。

    可选溶剂 浓度 溶剂体积 质量 1 mg 5 mg 10 mg 25 mg
    DMSO 1 mM 2.6678 mL 13.3390 mL 26.6780 mL 66.6951 mL
    5 mM 0.5336 mL 2.6678 mL 5.3356 mL 13.3390 mL
    10 mM 0.2668 mL 1.3339 mL 2.6678 mL 6.6695 mL
    15 mM 0.1779 mL 0.8893 mL 1.7785 mL 4.4463 mL
    20 mM 0.1334 mL 0.6670 mL 1.3339 mL 3.3348 mL
    25 mM 0.1067 mL 0.5336 mL 1.0671 mL 2.6678 mL
    30 mM 0.0889 mL 0.4446 mL 0.8893 mL 2.2232 mL
    40 mM 0.0667 mL 0.3335 mL 0.6670 mL 1.6674 mL
    50 mM 0.0534 mL 0.2668 mL 0.5336 mL 1.3339 mL
    60 mM 0.0445 mL 0.2223 mL 0.4446 mL 1.1116 mL
    80 mM 0.0333 mL 0.1667 mL 0.3335 mL 0.8337 mL
    100 mM 0.0267 mL 0.1334 mL 0.2668 mL 0.6670 mL
    Help & FAQs
    • Do most proteins show cross-species activity?

      Species cross-reactivity must be investigated individually for each product. Many human cytokines will produce a nice response in mouse cell lines, and many mouse proteins will show activity on human cells. Other proteins may have a lower specific activity when used in the opposite species.

    您最近查看的产品:

    Your information is safe with us. * Required Fields.

       产品名称:

     

    * 需求量:

    * 客户姓名:

     

    * Email:

    * 电话:

     

    * 公司或机构名称:

       留言给我们:

    Bulk Inquiry

    Inquiry Information

    产品名称:
    Paroxetine hydrochloride hemihydrate
    目录号:
    HY-B0492A
    需求量: