1. Protein Tyrosine Kinase/RTK PROTAC Apoptosis
  2. FLT3 Ligands for Target Protein for PROTAC Apoptosis
  3. Quizartinib

Quizartinib  (Synonyms: 奎扎替尼; AC220; AC708)

目录号: HY-13001 纯度: 99.08%
COA 产品使用指南 技术支持

Quizartinib (AC220) 是一种具有口服活性的、高选择性的,有效的第二代 Ⅱ 型 FLT3 (type II FLT3) 酪氨酸激酶抑制剂,Kd 值为 1.6 nM。Quizartinib 抑制 Wt FLT3 和 突变型 FLT3-ITD 自磷酸化,IC50 分别为 4.1 nM 和 1.1 nM。Quizartinib 可以通过优化的 linker 与 VHL 配体连接,从而形成 PROTAC Flt3 降解剂。Quizartinib 诱导细胞凋亡 (apoptosis)。

MCE 的所有产品仅用作科学研究或药证申报,我们不为任何个人用途提供产品和服务

我们将采用定制合成服务的方式为您快速提供所需产品和技术服务

Quizartinib

Quizartinib Chemical Structure

CAS No. : 950769-58-1

1.  客户无需承担相应的运输费用。

2.  同一机构(单位)同一产品试用装仅限申领一次,同一机构(单位)一年内

     可免费申领三个不同产品的试用装。

3.  试用装只面向终端客户

规格 价格 是否有货 数量
1 mg ¥380
In-stock
5 mg ¥909
In-stock
10 mg ¥1350
In-stock
25 mg ¥2450
In-stock
50 mg ¥3920
In-stock
100 mg ¥5200
In-stock
200 mg 现货 询价
500 mg 现货 询价
1 g   询价  
5 g   询价  

* Please select Quantity before adding items.

Customer Review

Other Forms of Quizartinib:

MCE 顾客使用本产品发表的 40 篇科研文献

WB

    Quizartinib purchased from MCE. Usage Cited in: J Med Chem. 2017 Oct 26;60(20):8407-8424.  [Abstract]

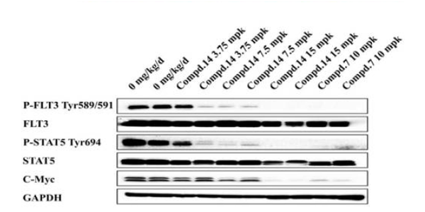
    Doseresponsive immunoblotting of the signaling pathway with the cells extracted from tumor tissues of the experimental animal after the 14 and 7 (AC220) treatments.

    Quizartinib purchased from MCE. Usage Cited in: Oncotarget. 2016 Jul 26;7(30):47018-47032.  [Abstract]

    A. The established 32D cells are treated with Quizartinib for 2h, followed by 10 ng/mL FL stimulation for 10 minutes. Wt-FLT3 and mutant FLT3 are immunoprecipitated by each tag as indicated and subjected to Western blot. Phosphorylation levels of FLT3, STAT5, AKT and MAPK are examined. B. 32D cells are treated with Quizartinib at the indicated concentrations in the presence or absence of 10 ng/mL FL for 2 hours. Phosphorylation levels of FLT3, STAT5, AKT and MAPK are detected by Western blot.

    Quizartinib purchased from MCE. Usage Cited in: Cancer Cell. 2014 Feb 10;25(2):226-42.  [Abstract]

    Western blot for indicated proteins on lysates from FLT3-ITD-positive primary murine cells expressing either wild-type (WT) or constitutive active (SYK-TEL) SYK and treated for eight hours with indicated doses of AC220.
    • 生物活性

    • 实验参考方法

    • 纯度 & 产品资料

    • 参考文献

    生物活性

    Quizartinib (AC220) is an orally active, highly selective and potent second-generation type II FLT3 tyrosine kinase inhibitor, with a Kd of 1.6 nM. Quizartinib inhibits wild-type FLT3 and FLT3-ITD autophosphorylation in MV4-11 cells with IC50s of 4.2 and 1.1 nM, respectively. Quizartinib can be linked to the VHL ligand via an optimized linker to form a PROTAC FLT3 degrader. Quizartinib induces apoptosis[1].

    IC50 & Target

    Kd: 1.6±0.7 nM (Flt3)[1]

    细胞效力
    (Cellular Effect)
    Cell Line Type Value Description References
    A-375 IC50
    > 10000 nM
    Compound: AC220
    Toxicity against human A375 cells after 72 hrs by cell titer-blue assay
    Toxicity against human A375 cells after 72 hrs by cell titer-blue assay
    [PMID: 19654408]
    BaF3 GI50
    < 0.0003 μM
    Compound: 7
    Antiproliferative activity against mouse BAF3 cells harboring FLT3-ITD mutation after 72 hrs by CellTiter-Glo assay
    Antiproliferative activity against mouse BAF3 cells harboring FLT3-ITD mutation after 72 hrs by CellTiter-Glo assay
    [PMID: 28956923]
    BaF3 GI50
    < 0.0003 μM
    Compound: 7
    Antiproliferative activity against mouse BAF3 cells expressing TEL-fused FLT3 kinase after 72 hrs by CellTiter-Glo assay
    Antiproliferative activity against mouse BAF3 cells expressing TEL-fused FLT3 kinase after 72 hrs by CellTiter-Glo assay
    [PMID: 28956923]
    BaF3 GI50
    < 0.0003 μM
    Compound: 7
    Antiproliferative activity against mouse BAF3 cells harboring FLT3-ITD-D835N mutation after 72 hrs by CellTiter-Glo assay
    Antiproliferative activity against mouse BAF3 cells harboring FLT3-ITD-D835N mutation after 72 hrs by CellTiter-Glo assay
    [PMID: 28956923]
    BaF3 GI50
    < 0.0003 μM
    Compound: 7
    Antiproliferative activity against mouse BAF3 cells harboring FLT3-ITD-D835G mutation after 72 hrs by CellTiter-Glo assay
    Antiproliferative activity against mouse BAF3 cells harboring FLT3-ITD-D835G mutation after 72 hrs by CellTiter-Glo assay
    [PMID: 28956923]
    BaF3 GI50
    < 0.0003 μM
    Compound: 7
    Antiproliferative activity against mouse BAF3 cells harboring FLT3-ITD-D835A mutation after 72 hrs by CellTiter-Glo assay
    Antiproliferative activity against mouse BAF3 cells harboring FLT3-ITD-D835A mutation after 72 hrs by CellTiter-Glo assay
    [PMID: 28956923]
    BaF3 GI50
    < 0.0003 μM
    Compound: 7
    Antiproliferative activity against mouse BAF3 cells harboring FLT3-D835H mutation after 72 hrs by CellTiter-Glo assay
    Antiproliferative activity against mouse BAF3 cells harboring FLT3-D835H mutation after 72 hrs by CellTiter-Glo assay
    [PMID: 28956923]
    BaF3 GI50
    < 0.0003 μM
    Compound: 7
    Antiproliferative activity against TEL-fused PDGFRalpha-transformed mouse BAF3 cells after 72 hrs by CellTiter-Glo assay
    Antiproliferative activity against TEL-fused PDGFRalpha-transformed mouse BAF3 cells after 72 hrs by CellTiter-Glo assay
    [PMID: 28956923]
    BaF3 GI50
    > 10 μM
    Compound: 7
    Antiproliferative activity against mouse BAF3 cells after 72 hrs by CellTiter-Glo assay
    Antiproliferative activity against mouse BAF3 cells after 72 hrs by CellTiter-Glo assay
    [PMID: 28956923]
    BaF3 IC50
    > 1000 nM
    Compound: AC220
    Antiproliferative activity against mouse BAF3 cells harboring FLT3-ITD-F691L mutant measured after 72 hrs by MTT assay
    Antiproliferative activity against mouse BAF3 cells harboring FLT3-ITD-F691L mutant measured after 72 hrs by MTT assay
    [PMID: 30939008]
    BaF3 IC50
    > 1000 nM
    Compound: AC220
    Antiproliferative activity against mouse BAF3 cells harboring FLT3-ITD-D835V mutant measured after 72 hrs by MTT assay
    Antiproliferative activity against mouse BAF3 cells harboring FLT3-ITD-D835V mutant measured after 72 hrs by MTT assay
    [PMID: 30939008]
    BaF3 IC50
    > 1000 nM
    Compound: 8
    Antiproliferative activity against mouse BaF3 cells assessed as reduction in cell viability measured after 72 hrs by CellTiterGlo luminescent assay
    Antiproliferative activity against mouse BaF3 cells assessed as reduction in cell viability measured after 72 hrs by CellTiterGlo luminescent assay
    [PMID: 34550682]
    BaF3 GI50
    > 10000 nM
    Compound: AC-220
    Antiproliferative activity against mouse Ba/F3 cells harbouring FLT3 ITD F691I mutant assessed as growth inhibition measured after 72 hrs by CellTiter-Glo assay
    Antiproliferative activity against mouse Ba/F3 cells harbouring FLT3 ITD F691I mutant assessed as growth inhibition measured after 72 hrs by CellTiter-Glo assay
    [PMID: 34324343]
    BaF3 GI50
    > 10000 nM
    Compound: AC-220
    Antiproliferative activity against mouse Ba/F3 cells assessed as growth inhibition measured after 72 hrs by CellTiter-Glo assay
    Antiproliferative activity against mouse Ba/F3 cells assessed as growth inhibition measured after 72 hrs by CellTiter-Glo assay
    [PMID: 34324343]
    BaF3 GI50
    0.002 μM
    Compound: 7
    Antiproliferative activity against mouse BAF3 cells harboring FLT3-D835Y mutation after 72 hrs by CellTiter-Glo assay
    Antiproliferative activity against mouse BAF3 cells harboring FLT3-D835Y mutation after 72 hrs by CellTiter-Glo assay
    [PMID: 28956923]
    BaF3 GI50
    0.0044 μM
    Compound: 7
    Antiproliferative activity against TEL-fused PDGFRbeta-transformed mouse BAF3 cells after 72 hrs by CellTiter-Glo assay
    Antiproliferative activity against TEL-fused PDGFRbeta-transformed mouse BAF3 cells after 72 hrs by CellTiter-Glo assay
    [PMID: 28956923]
    BaF3 GI50
    0.011 μM
    Compound: 7
    Antiproliferative activity against mouse BAF3 cells harboring FLT3-D835V mutation after 72 hrs by CellTiter-Glo assay
    Antiproliferative activity against mouse BAF3 cells harboring FLT3-D835V mutation after 72 hrs by CellTiter-Glo assay
    [PMID: 28956923]
    BaF3 GI50
    0.012 μM
    Compound: 7
    Antiproliferative activity against mouse BAF3 cells harboring FLT3-ITD-D835del mutation after 72 hrs by CellTiter-Glo assay
    Antiproliferative activity against mouse BAF3 cells harboring FLT3-ITD-D835del mutation after 72 hrs by CellTiter-Glo assay
    [PMID: 28956923]
    BaF3 GI50
    0.017 μM
    Compound: 7
    Antiproliferative activity against TEL-fused cKIT-transformed mouse BAF3 cells after 72 hrs by CellTiter-Glo assay
    Antiproliferative activity against TEL-fused cKIT-transformed mouse BAF3 cells after 72 hrs by CellTiter-Glo assay
    [PMID: 28956923]
    BaF3 GI50
    0.024 μM
    Compound: 7
    Antiproliferative activity against TEL-fused CSF1R-transformed mouse BAF3 cells after 72 hrs by CellTiter-Glo assay
    Antiproliferative activity against TEL-fused CSF1R-transformed mouse BAF3 cells after 72 hrs by CellTiter-Glo assay
    [PMID: 28956923]
    BaF3 GI50
    0.028 μM
    Compound: 7
    Antiproliferative activity against mouse BAF3 cells harboring FLT3-ITD-D835Y mutation after 72 hrs by CellTiter-Glo assay
    Antiproliferative activity against mouse BAF3 cells harboring FLT3-ITD-D835Y mutation after 72 hrs by CellTiter-Glo assay
    [PMID: 28956923]
    BaF3 GI50
    0.056 μM
    Compound: 7
    Antiproliferative activity against mouse BAF3 cells harboring FLT3-ITD-D835I mutation after 72 hrs by CellTiter-Glo assay
    Antiproliferative activity against mouse BAF3 cells harboring FLT3-ITD-D835I mutation after 72 hrs by CellTiter-Glo assay
    [PMID: 28956923]
    BaF3 GI50
    0.11 μM
    Compound: 7
    Antiproliferative activity against TEL-fused DDR2-transformed mouse BAF3 cells after 72 hrs by CellTiter-Glo assay
    Antiproliferative activity against TEL-fused DDR2-transformed mouse BAF3 cells after 72 hrs by CellTiter-Glo assay
    [PMID: 28956923]
    BaF3 GI50
    0.12 μM
    Compound: 7
    Antiproliferative activity against TEL-fused DDR1-transformed mouse BAF3 cells after 72 hrs by CellTiter-Glo assay
    Antiproliferative activity against TEL-fused DDR1-transformed mouse BAF3 cells after 72 hrs by CellTiter-Glo assay
    [PMID: 28956923]
    BaF3 GI50
    0.13 μM
    Compound: 7
    Antiproliferative activity against TEL-fused RET-transformed mouse BAF3 cells after 72 hrs by CellTiter-Glo assay
    Antiproliferative activity against TEL-fused RET-transformed mouse BAF3 cells after 72 hrs by CellTiter-Glo assay
    [PMID: 28956923]
    BaF3 GI50
    0.27 μM
    Compound: 7
    Antiproliferative activity against TEL-fused FLT4-transformed mouse BAF3 cells after 72 hrs by CellTiter-Glo assay
    Antiproliferative activity against TEL-fused FLT4-transformed mouse BAF3 cells after 72 hrs by CellTiter-Glo assay
    [PMID: 28956923]
    BaF3 GI50
    0.3 nM
    Compound: 3
    Inhibition of FLT3 ITD mutant expressed in human BaF3 cells assessed as reduction in cell growth incubated for 72 hrs by CCK8 assay
    Inhibition of FLT3 ITD mutant expressed in human BaF3 cells assessed as reduction in cell growth incubated for 72 hrs by CCK8 assay
    [PMID: 32832025]
    BaF3 GI50
    0.37 μM
    Compound: 7
    Antiproliferative activity against mouse BAF3 cells harboring FLT3-K663Q mutation after 72 hrs by CellTiter-Glo assay
    Antiproliferative activity against mouse BAF3 cells harboring FLT3-K663Q mutation after 72 hrs by CellTiter-Glo assay
    [PMID: 28956923]
    BaF3 GI50
    0.4 μM
    Compound: 7
    Antiproliferative activity against TEL-fused LCK-transformed mouse BAF3 cells after 72 hrs by CellTiter-Glo assay
    Antiproliferative activity against TEL-fused LCK-transformed mouse BAF3 cells after 72 hrs by CellTiter-Glo assay
    [PMID: 28956923]
    BaF3 GI50
    0.6 nM
    Compound: AC-220
    Antiproliferative activity against mouse Ba/F3 cells harbouring FLT3 ITD mutant assessed as growth inhibition measured after 72 hrs by CellTiter-Glo assay
    Antiproliferative activity against mouse Ba/F3 cells harbouring FLT3 ITD mutant assessed as growth inhibition measured after 72 hrs by CellTiter-Glo assay
    [PMID: 34324343]
    BaF3 GI50
    1.452 μM
    Compound: Quiz
    Growth inhibition of mouse BA/F3 cells after 72 hrs by calcein AM dye-based fluorescence assay
    Growth inhibition of mouse BA/F3 cells after 72 hrs by calcein AM dye-based fluorescence assay
    [PMID: 29672049]
    BaF3 GI50
    12.9 nM
    Compound: AC-220
    Antiproliferative activity against mouse Ba/F3 cells harbouring FLT3 ITD D835Y mutant assessed as growth inhibition measured after 72 hrs by CellTiter-Glo assay
    Antiproliferative activity against mouse Ba/F3 cells harbouring FLT3 ITD D835Y mutant assessed as growth inhibition measured after 72 hrs by CellTiter-Glo assay
    [PMID: 34324343]
    BaF3 IC50
    121 nM
    Compound: Quizartinib
    Antiproliferative activity against mouse BaF3 cells harboring FLT3-D835F mutant assessed as inhibition of cell growth incubated for 72 hrs by MTS assay
    Antiproliferative activity against mouse BaF3 cells harboring FLT3-D835F mutant assessed as inhibition of cell growth incubated for 72 hrs by MTS assay
    [PMID: 36638621]
    BaF3 IC50
    133.2 nM
    Compound: 8
    Antiproliferative activity against mouse BaF3 cells harboring FLT3-ITD-F691L mutant assessed as reduction in cell viability incubated for 72 hrs by CellTiterGlo luminescent assay
    Antiproliferative activity against mouse BaF3 cells harboring FLT3-ITD-F691L mutant assessed as reduction in cell viability incubated for 72 hrs by CellTiterGlo luminescent assay
    [PMID: 34550682]
    BaF3 IC50
    14.97 nM
    Compound: 8
    Antiproliferative activity against mouse BaF3 cells harboring FLT3-ITD-Y842H mutant assessed as reduction in cell viability measured after 72 hrs by CellTiterGlo luminescent assay
    Antiproliferative activity against mouse BaF3 cells harboring FLT3-ITD-Y842H mutant assessed as reduction in cell viability measured after 72 hrs by CellTiterGlo luminescent assay
    [PMID: 34550682]
    BaF3 GI50
    1659.5 nM
    Compound: 3
    Cytotoxicity against human BAF3 cells assessed as growth inhibition incubated for 72 hrs by CCK8 assay
    Cytotoxicity against human BAF3 cells assessed as growth inhibition incubated for 72 hrs by CCK8 assay
    [PMID: 32832025]
    BaF3 IC50
    2 nM
    Compound: Quizartinib
    Antiproliferative activity against mouse BaF3 cells harboring FLT3-ITD mutant assessed as inhibition of cell growth incubated for 72 hrs by MTS assay
    Antiproliferative activity against mouse BaF3 cells harboring FLT3-ITD mutant assessed as inhibition of cell growth incubated for 72 hrs by MTS assay
    [PMID: 36638621]
    BaF3 GI50
    2.2 nM
    Compound: AC-220
    Antiproliferative activity against mouse Ba/F3 cells harbouring FLT3 D835Y mutant assessed as growth inhibition measured after 72 hrs by CellTiter-Glo assay
    Antiproliferative activity against mouse Ba/F3 cells harbouring FLT3 D835Y mutant assessed as growth inhibition measured after 72 hrs by CellTiter-Glo assay
    [PMID: 34324343]
    BaF3 IC50
    27.09 nM
    Compound: 8
    Antiproliferative activity against mouse BaF3 cells harboring FLT3-TEL-D835V mutant assessed as reduction in cell viability measured after 72 hrs by CellTiterGlo luminescent assay
    Antiproliferative activity against mouse BaF3 cells harboring FLT3-TEL-D835V mutant assessed as reduction in cell viability measured after 72 hrs by CellTiterGlo luminescent assay
    [PMID: 34550682]
    BaF3 IC50
    3.52 nM
    Compound: 8
    Antiproliferative activity against mouse BaF3 cells harboring FLT3-ITD mutant assessed as reduction in cell viability measured after 72 hrs by CellTiterGlo luminescent assay
    Antiproliferative activity against mouse BaF3 cells harboring FLT3-ITD mutant assessed as reduction in cell viability measured after 72 hrs by CellTiterGlo luminescent assay
    [PMID: 34550682]
    BaF3 IC50
    37 nM
    Compound: Quizartinib
    Antiproliferative activity against mouse BaF3 cells harboring FLT3-ITD/D835Y mutant assessed as inhibition of cell growth incubated for 72 hrs by MTS assay
    Antiproliferative activity against mouse BaF3 cells harboring FLT3-ITD/D835Y mutant assessed as inhibition of cell growth incubated for 72 hrs by MTS assay
    [PMID: 36638621]
    BaF3 IC50
    381 nM
    Compound: Quizartinib
    Antiproliferative activity against mouse BaF3 cells harboring FLT3-F691L mutant assessed as inhibition of cell growth incubated for 72 hrs by MTS assay
    Antiproliferative activity against mouse BaF3 cells harboring FLT3-F691L mutant assessed as inhibition of cell growth incubated for 72 hrs by MTS assay
    [PMID: 36638621]
    BaF3 GI50
    4.8 μM
    Compound: Quizartinib
    Growth inhibition of mouse BA/F3 cells assessed as inhibition of cell growth incubated for 72 hrs by Cell-titer-Glo assay
    Growth inhibition of mouse BA/F3 cells assessed as inhibition of cell growth incubated for 72 hrs by Cell-titer-Glo assay
    [PMID: 31513411]
    BaF3 IC50
    4.94 nM
    Compound: AC220
    Antiproliferative activity against mouse BAF3 cells harboring FLT3-ITD mutant measured after 72 hrs by MTT assay
    Antiproliferative activity against mouse BAF3 cells harboring FLT3-ITD mutant measured after 72 hrs by MTT assay
    [PMID: 30939008]
    BaF3 IC50
    49.63 nM
    Compound: 8
    Antiproliferative activity against mouse BaF3 cells harboring FLT3-ITD-D835V mutant assessed as reduction in cell viability measured after 72 hrs by CellTiterGlo luminescent assay
    Antiproliferative activity against mouse BaF3 cells harboring FLT3-ITD-D835V mutant assessed as reduction in cell viability measured after 72 hrs by CellTiterGlo luminescent assay
    [PMID: 34550682]
    BaF3 IC50
    5.41 nM
    Compound: 8
    Antiproliferative activity against mouse BaF3 cells harboring FLT3-ITD-N676D mutant assessed as reduction in cell viability measured after 72 hrs by CellTiterGlo luminescent assay
    Antiproliferative activity against mouse BaF3 cells harboring FLT3-ITD-N676D mutant assessed as reduction in cell viability measured after 72 hrs by CellTiterGlo luminescent assay
    [PMID: 34550682]
    BaF3 GI50
    68.2 nM
    Compound: AC-220
    Antiproliferative activity against mouse Ba/F3 cells harbouring FLT3 ITD F691L mutant assessed as growth inhibition measured after 72 hrs by CellTiter-Glo assay
    Antiproliferative activity against mouse Ba/F3 cells harbouring FLT3 ITD F691L mutant assessed as growth inhibition measured after 72 hrs by CellTiter-Glo assay
    [PMID: 34324343]
    BaF3 IC50
    86 nM
    Compound: Quizartinib
    Antiproliferative activity against mouse BaF3 cells harboring FLT3-D835V mutant assessed as inhibition of cell growth incubated for 72 hrs by MTS assay
    Antiproliferative activity against mouse BaF3 cells harboring FLT3-D835V mutant assessed as inhibition of cell growth incubated for 72 hrs by MTS assay
    [PMID: 36638621]
    BJ GI50
    > 40 μM
    Compound: Quizartinib
    Cytotoxicity against human BJ cells assessed as growth inhibition after 72 hrs by resazurin dye-based fluorescence analysis
    Cytotoxicity against human BJ cells assessed as growth inhibition after 72 hrs by resazurin dye-based fluorescence analysis
    [PMID: 31514019]
    CCRF-CEM GI50
    > 40 μM
    Compound: Quizartinib
    Cytotoxicity against human CEM cells assessed as growth inhibition after 72 hrs by resazurin dye-based fluorescence analysis
    Cytotoxicity against human CEM cells assessed as growth inhibition after 72 hrs by resazurin dye-based fluorescence analysis
    [PMID: 31514019]
    CMK GI50
    0.12 μM
    Compound: 7
    Antiproliferative activity against human CMK cells expressing FLT3 kinase after 72 hrs by CellTiter-Glo assay
    Antiproliferative activity against human CMK cells expressing FLT3 kinase after 72 hrs by CellTiter-Glo assay
    [PMID: 28956923]
    EOL1 GI50
    < 0.0005 μM
    Compound: Quizartinib
    Cytotoxicity against FIP1L1-PDGFRA positive human EOL-1 cells assessed as growth inhibition after 72 hrs by resazurin dye-based fluorescence analysis
    Cytotoxicity against FIP1L1-PDGFRA positive human EOL-1 cells assessed as growth inhibition after 72 hrs by resazurin dye-based fluorescence analysis
    [PMID: 31514019]
    EOL1 IC50
    0.0001 nM
    Compound: 7; AC220
    Cytotoxicity against human EOL1 cells assessed as reduction in cell viability after 4 days by CellTiter-Blue assay
    Cytotoxicity against human EOL1 cells assessed as reduction in cell viability after 4 days by CellTiter-Blue assay
    [PMID: 32199135]
    HCC827 GI50
    > 40 μM
    Compound: Quizartinib
    Cytotoxicity against human HCC827 cells assessed as growth inhibition after 72 hrs by resazurin dye-based fluorescence analysis
    Cytotoxicity against human HCC827 cells assessed as growth inhibition after 72 hrs by resazurin dye-based fluorescence analysis
    [PMID: 31514019]
    HCC827 GI50
    > 5 μM
    Compound: Quiz
    Growth inhibition of human HCC827 cells after 72 hrs by calcein AM dye-based fluorescence assay
    Growth inhibition of human HCC827 cells after 72 hrs by calcein AM dye-based fluorescence assay
    [PMID: 29672049]
    HL-60 GI50
    > 10 μM
    Compound: AC220
    Growth inhibition of human HL60 cells harboring wild-type FLT3 by CCK8 assay
    Growth inhibition of human HL60 cells harboring wild-type FLT3 by CCK8 assay
    [PMID: 28043794]
    HL-60 IC50
    > 100 μM
    Compound: AC220
    Antiproliferative activity against human HL-60 cells assessed as cell growth inhibition measured upto 4 hrs by CellTiter-Blue cell viability assay
    Antiproliferative activity against human HL-60 cells assessed as cell growth inhibition measured upto 4 hrs by CellTiter-Blue cell viability assay
    [PMID: 35339838]
    HL-60 GI50
    > 3000 nM
    Compound: 3
    Cytotoxicity against human HL60 cells assessed as reduction in cell viability incubated for 72 hrs by CCK8 assay
    Cytotoxicity against human HL60 cells assessed as reduction in cell viability incubated for 72 hrs by CCK8 assay
    [PMID: 32832025]
    HL-60 GI50
    0.13 μM
    Compound: 7
    Antiproliferative activity against human HL60 cells expressing FLT3 kinase after 72 hrs by CellTiter-Glo assay
    Antiproliferative activity against human HL60 cells expressing FLT3 kinase after 72 hrs by CellTiter-Glo assay
    [PMID: 28956923]
    HL-60 GI50
    1.488 μM
    Compound: AC220
    Growth inhibition of human HL60 cells expressing wild type FLT-3 after 48 hrs by XTT assay
    Growth inhibition of human HL60 cells expressing wild type FLT-3 after 48 hrs by XTT assay
    [PMID: 27187860]
    HL-60 IC50
    30 nM
    Compound: 7; AC220
    Cytotoxicity against human HL-60 cells assessed as reduction in cell viability after 4 days by CellTiter-Blue assay
    Cytotoxicity against human HL-60 cells assessed as reduction in cell viability after 4 days by CellTiter-Blue assay
    [PMID: 32199135]
    HL-60 GI50
    8.014 μM
    Compound: AC220
    Growth inhibition of human HL60 cells after 48 hrs by XTT assay
    Growth inhibition of human HL60 cells after 48 hrs by XTT assay
    [PMID: 25108079]
    IM-9 IC50
    30 nM
    Compound: 7; AC220
    Cytotoxicity against human IM-9 cells assessed as reduction in cell viability after 4 days by CellTiter-Blue assay
    Cytotoxicity against human IM-9 cells assessed as reduction in cell viability after 4 days by CellTiter-Blue assay
    [PMID: 32199135]
    K562 GI50
    > 10 μM
    Compound: AC220
    Growth inhibition of FLT3 null human K562 cells by CCK8 assay
    Growth inhibition of FLT3 null human K562 cells by CCK8 assay
    [PMID: 28043794]
    K562 GI50
    > 10 μM
    Compound: AC220
    Growth inhibition of human K562 cells after 48 hrs by XTT assay
    Growth inhibition of human K562 cells after 48 hrs by XTT assay
    [PMID: 25108079]
    K562 IC50
    > 100 μM
    Compound: AC220
    Antiproliferative activity against human K562 cells assessed as cell growth inhibition measured upto 4 hrs by CellTiter-Blue cell viability assay
    Antiproliferative activity against human K562 cells assessed as cell growth inhibition measured upto 4 hrs by CellTiter-Blue cell viability assay
    [PMID: 35339838]
    K562 IC50
    > 10000 nM
    Compound: AC220
    Antiproliferative activity against FLT3-deficient human K562 cells after 72 hrs by MTT assay
    Antiproliferative activity against FLT3-deficient human K562 cells after 72 hrs by MTT assay
    [PMID: 27266526]
    K562 GI50
    > 20 μM
    Compound: 3, AC220
    Inhibition of wild type BCR/ABL in FLT3 deficient human K562 cells assessed as cell growth inhibition after 72 hrs by MTS assay
    Inhibition of wild type BCR/ABL in FLT3 deficient human K562 cells assessed as cell growth inhibition after 72 hrs by MTS assay
    [PMID: 26081023]
    K562 IC50
    > 20 μM
    Compound: Quizartinib
    Antiproliferative activity against human K562 cells assessed as cell death measured after 72 hrs by resazurin dye based assay
    Antiproliferative activity against human K562 cells assessed as cell death measured after 72 hrs by resazurin dye based assay
    [PMID: 34288692]
    K562 GI50
    > 20 μM
    Compound: Quiz
    Growth inhibition of human K562 cells after 72 hrs by calcein AM dye-based fluorescence assay
    Growth inhibition of human K562 cells after 72 hrs by calcein AM dye-based fluorescence assay
    [PMID: 29672049]
    K562 GI50
    > 40 μM
    Compound: Quizartinib
    Cytotoxicity against human K562 cells assessed as growth inhibition after 72 hrs by resazurin dye-based fluorescence analysis
    Cytotoxicity against human K562 cells assessed as growth inhibition after 72 hrs by resazurin dye-based fluorescence analysis
    [PMID: 31514019]
    K562 IC50
    10.33 μM
    Compound: AC220
    Antiproliferative activity against human K562 cells assessed as reduction in cell viability measured after 72 hrs by CellTiter-Glo luminescent cell viability assay
    Antiproliferative activity against human K562 cells assessed as reduction in cell viability measured after 72 hrs by CellTiter-Glo luminescent cell viability assay
    [PMID: 31614258]
    K562 GI50
    2.638 μM
    Compound: AC220
    Growth inhibition of human K562 cells after 48 hrs by XTT assay
    Growth inhibition of human K562 cells after 48 hrs by XTT assay
    [PMID: 27187860]
    Kasumi 1 GI50
    0.064 μM
    Compound: Quiz
    Growth inhibition of human Kasumi-1 cells after 72 hrs by calcein AM dye-based fluorescence assay
    Growth inhibition of human Kasumi-1 cells after 72 hrs by calcein AM dye-based fluorescence assay
    [PMID: 29672049]
    KCL-22 IC50
    > 100 μM
    Compound: AC220
    Antiproliferative activity against human KCL-22 cells assessed as cell growth inhibition measured upto 4 hrs by CellTiter-Blue cell viability assay
    Antiproliferative activity against human KCL-22 cells assessed as cell growth inhibition measured upto 4 hrs by CellTiter-Blue cell viability assay
    [PMID: 35339838]
    KG-1 IC50
    0.16 nM
    Compound: 7; AC220
    Cytotoxicity against human KG-1 cells assessed as reduction in cell viability after 4 days by CellTiter-Blue assay
    Cytotoxicity against human KG-1 cells assessed as reduction in cell viability after 4 days by CellTiter-Blue assay
    [PMID: 32199135]
    KG-1 GI50
    2212.1 nM
    Compound: 3
    Cytotoxicity against human KG1 cells assessed as reduction in cell viability incubated for 72 hrs by CCK8 assay
    Cytotoxicity against human KG1 cells assessed as reduction in cell viability incubated for 72 hrs by CCK8 assay
    [PMID: 32832025]
    KG-1 IC50
    33.53 μM
    Compound: AC220
    Antiproliferative activity against human KG-1 cells assessed as cell growth inhibition measured upto 4 hrs by CellTiter-Blue cell viability assay
    Antiproliferative activity against human KG-1 cells assessed as cell growth inhibition measured upto 4 hrs by CellTiter-Blue cell viability assay
    [PMID: 35339838]
    KG-1a IC50
    > 100 μM
    Compound: AC220
    Antiproliferative activity against human KG-1a cells assessed as cell growth inhibition measured upto 4 hrs by CellTiter-Blue cell viability assay
    Antiproliferative activity against human KG-1a cells assessed as cell growth inhibition measured upto 4 hrs by CellTiter-Blue cell viability assay
    [PMID: 35339838]
    KG-1a IC50
    30 nM
    Compound: 7; AC220
    Cytotoxicity against human KG-1a cells assessed as reduction in cell viability after 4 days by CellTiter-Blue assay
    Cytotoxicity against human KG-1a cells assessed as reduction in cell viability after 4 days by CellTiter-Blue assay
    [PMID: 32199135]
    KMOE-2 IC50
    30 nM
    Compound: 7; AC220
    Cytotoxicity against human KMOE-2 cells assessed as reduction in cell viability after 4 days by CellTiter-Blue assay
    Cytotoxicity against human KMOE-2 cells assessed as reduction in cell viability after 4 days by CellTiter-Blue assay
    [PMID: 32199135]
    L-363 IC50
    0.181 nM
    Compound: 7; AC220
    Cytotoxicity against human L-363 cells assessed as reduction in cell viability after 4 days by CellTiter-Blue assay
    Cytotoxicity against human L-363 cells assessed as reduction in cell viability after 4 days by CellTiter-Blue assay
    [PMID: 32199135]
    MCF7 GI50
    > 20 μM
    Compound: Quiz
    Growth inhibition of human MCF7 cells after 72 hrs by calcein AM dye-based fluorescence assay
    Growth inhibition of human MCF7 cells after 72 hrs by calcein AM dye-based fluorescence assay
    [PMID: 29672049]
    ML-2 IC50
    0.419 nM
    Compound: 7; AC220
    Cytotoxicity against human ML-2 cells assessed as reduction in cell viability after 4 days by CellTiter-Blue assay
    Cytotoxicity against human ML-2 cells assessed as reduction in cell viability after 4 days by CellTiter-Blue assay
    [PMID: 32199135]
    MOLM-13 GI50
    < 0.0003 μM
    Compound: 7
    Antiproliferative activity against human MOLM13 cells harboring FLT3-ITD mutation after 72 hrs by CellTiter-Glo assay
    Antiproliferative activity against human MOLM13 cells harboring FLT3-ITD mutation after 72 hrs by CellTiter-Glo assay
    [PMID: 28956923]
    MOLM-13 GI50
    0.002 μM
    Compound: Quiz
    Growth inhibition of human MOLM13 cells after 72 hrs by calcein AM dye-based fluorescence assay
    Growth inhibition of human MOLM13 cells after 72 hrs by calcein AM dye-based fluorescence assay
    [PMID: 29672049]
    MOLM-13 IC50
    0.003 μM
    Compound: AC220
    Antiproliferative activity against human MOLM-13 cells assessed as cell growth inhibition measured upto 4 hrs by CellTiter-Blue cell viability assay
    Antiproliferative activity against human MOLM-13 cells assessed as cell growth inhibition measured upto 4 hrs by CellTiter-Blue cell viability assay
    [PMID: 35339838]
    MOLM-13 GI50
    0.004 μM
    Compound: 3, AC220
    Inhibition of FLT3 ITD heterozygous mutant in human MOLM-13 cells assessed as cell growth inhibition after 72 hrs by MTS assay
    Inhibition of FLT3 ITD heterozygous mutant in human MOLM-13 cells assessed as cell growth inhibition after 72 hrs by MTS assay
    [PMID: 26081023]
    MOLM-13 IC50
    0.007 nM
    Compound: 7; AC220
    Cytotoxicity against human MOLM-13 cells assessed as reduction in cell viability after 4 days by CellTiter-Blue assay
    Cytotoxicity against human MOLM-13 cells assessed as reduction in cell viability after 4 days by CellTiter-Blue assay
    [PMID: 32199135]
    MOLM-13 IC50
    1.1 nM
    Compound: Quizartinib
    Anticancer activity against human MOLM-13 cells expressing heterogenous AML-FLT3-ITD assessed as cell viability after 72 hrs by ATP Cell Titer G1oTM assay
    Anticancer activity against human MOLM-13 cells expressing heterogenous AML-FLT3-ITD assessed as cell viability after 72 hrs by ATP Cell Titer G1oTM assay
    [PMID: 35033885]
    MOLM-13 GI50
    1.5 nM
    Compound: 3
    Cytotoxicity against human MOLM13 cells assessed as reduction in cell viability incubated for 72 hrs by CCK8 assay
    Cytotoxicity against human MOLM13 cells assessed as reduction in cell viability incubated for 72 hrs by CCK8 assay
    [PMID: 32832025]
    MOLM-13 IC50
    1.885 nM
    Compound: AC220
    Antiproliferative activity against human MOLM13 cells harboring FLT3-ITD mutant measured after 72 hrs by MTT assay
    Antiproliferative activity against human MOLM13 cells harboring FLT3-ITD mutant measured after 72 hrs by MTT assay
    [PMID: 30939008]
    MOLM-13 IC50
    2.4 nM
    Compound: Quizartinib
    Antiproliferative activity against human MOLM-13 cells assessed as reduction in cell viability incubated for 72 hrs by CCK8 assay
    Antiproliferative activity against human MOLM-13 cells assessed as reduction in cell viability incubated for 72 hrs by CCK8 assay
    [PMID: 34583130]
    MOLM-14 GI50
    < 0.0003 μM
    Compound: 7
    Antiproliferative activity against human MOLM14 cells harboring FLT3-ITD mutation after 72 hrs by CellTiter-Glo assay
    Antiproliferative activity against human MOLM14 cells harboring FLT3-ITD mutation after 72 hrs by CellTiter-Glo assay
    [PMID: 28956923]
    MOLM-14 GI50
    0.00015 μM
    Compound: Quizartinib
    Antiproliferative activity against human MOLM-14 cells harboring FLT3-ITD mutant assessed as cell growth inhibition by resazurin assay
    Antiproliferative activity against human MOLM-14 cells harboring FLT3-ITD mutant assessed as cell growth inhibition by resazurin assay
    [PMID: 34479037]
    MOLM-14 GI50
    0.012 μM
    Compound: Quizartinib
    Antiproliferative activity against human MOLM-14 cells harboring FLT3-ITD D835Y mutant assessed as cell growth inhibition by resazurin assay
    Antiproliferative activity against human MOLM-14 cells harboring FLT3-ITD D835Y mutant assessed as cell growth inhibition by resazurin assay
    [PMID: 34479037]
    MOLM-14 GI50
    0.027 μM
    Compound: Quizartinib
    Antiproliferative activity against human MOLM-14 cells harboring FLT3-ITD F691L mutant assessed as cell growth inhibition by resazurin assay
    Antiproliferative activity against human MOLM-14 cells harboring FLT3-ITD F691L mutant assessed as cell growth inhibition by resazurin assay
    [PMID: 34479037]
    MOLM-14 GI50
    0.23 nM
    Compound: 5
    Antiproliferative activity against human MOLM14 cells harboring ITD mutant assessed as cell growth inhibition by MTT assay
    Antiproliferative activity against human MOLM14 cells harboring ITD mutant assessed as cell growth inhibition by MTT assay
    [PMID: 32272419]
    MOLM-14 GI50
    1.35 nM
    Compound: 5
    Antiproliferative activity against wild type human MOLM14 cells assessed as cell growth inhibition by MTT assay
    Antiproliferative activity against wild type human MOLM14 cells assessed as cell growth inhibition by MTT assay
    [PMID: 32272419]
    MOLM-14 GI50
    13.58 nM
    Compound: 5
    Antiproliferative activity against human MOLM14 cells harboring ITD/F691L mutant assessed as cell growth inhibition by MTT assay
    Antiproliferative activity against human MOLM14 cells harboring ITD/F691L mutant assessed as cell growth inhibition by MTT assay
    [PMID: 32272419]
    MOLM-14 GI50
    6.72 nM
    Compound: 5
    Antiproliferative activity against human MOLM14 cells harboring ITD/D835Y mutant assessed as cell growth inhibition by MTT assay
    Antiproliferative activity against human MOLM14 cells harboring ITD/D835Y mutant assessed as cell growth inhibition by MTT assay
    [PMID: 32272419]
    MOLT-4 IC50
    50.281 μM
    Compound: AC220
    Antiproliferative activity against human MOLT-4 cells assessed as cell growth inhibition measured upto 4 hrs by CellTiter-Blue cell viability assay
    Antiproliferative activity against human MOLT-4 cells assessed as cell growth inhibition measured upto 4 hrs by CellTiter-Blue cell viability assay
    [PMID: 35339838]
    MONO-MAC-6 IC50
    0.004 nM
    Compound: 7; AC220
    Cytotoxicity against human MONO-MAC-6 cells assessed as reduction in cell viability after 4 days by CellTiter-Blue assay
    Cytotoxicity against human MONO-MAC-6 cells assessed as reduction in cell viability after 4 days by CellTiter-Blue assay
    [PMID: 32199135]
    MV4-11 GI50
    < 0.0003 μM
    Compound: 7
    Antiproliferative activity against human MV4-11 cells after 72 hrs by CellTiter-Glo assay
    Antiproliferative activity against human MV4-11 cells after 72 hrs by CellTiter-Glo assay
    [PMID: 28956923]
    MV4-11 IC50
    0 μM
    Compound: AC220
    Antiproliferative activity against human MV4-11 cells harboring FLT3 ITD mutant assessed as reduction in cell viability measured after 72 hrs by CellTiter-Glo luminescent cell viability assay
    Antiproliferative activity against human MV4-11 cells harboring FLT3 ITD mutant assessed as reduction in cell viability measured after 72 hrs by CellTiter-Glo luminescent cell viability assay
    [PMID: 31614258]
    MV4-11 IC50
    0.002 μM
    Compound: Quizartinib
    Antiproliferative activity against human MV4-11 cells assessed as cell death measured after 72 hrs by resazurin dye based assay
    Antiproliferative activity against human MV4-11 cells assessed as cell death measured after 72 hrs by resazurin dye based assay
    [PMID: 34288692]
    MV4-11 GI50
    0.003 μM
    Compound: 3, AC220
    Inhibition of FLT3 ITD homozygous mutant in human MV4-11 cells assessed as cell growth inhibition after 72 hrs by MTS assay
    Inhibition of FLT3 ITD homozygous mutant in human MV4-11 cells assessed as cell growth inhibition after 72 hrs by MTS assay
    [PMID: 26081023]
    MV4-11 GI50
    0.003 μM
    Compound: Quiz
    Growth inhibition of human MV4-11 cells after 72 hrs by calcein AM dye-based fluorescence assay
    Growth inhibition of human MV4-11 cells after 72 hrs by calcein AM dye-based fluorescence assay
    [PMID: 29672049]
    MV4-11 IC50
    0.003 μM
    Compound: AC220
    Antiproliferative activity against human MV4-11 cells assessed as cell growth inhibition measured upto 4 hrs by CellTiter-Blue cell viability assay
    Antiproliferative activity against human MV4-11 cells assessed as cell growth inhibition measured upto 4 hrs by CellTiter-Blue cell viability assay
    [PMID: 35339838]
    MV4-11 IC50
    0.005 nM
    Compound: 7; AC220
    Cytotoxicity against human MV4-11 cells assessed as reduction in cell viability after 4 days by CellTiter-Blue assay
    Cytotoxicity against human MV4-11 cells assessed as reduction in cell viability after 4 days by CellTiter-Blue assay
    [PMID: 32199135]
    MV4-11 IC50
    0.21 nM
    Compound: Quizartinib
    Antiproliferative activity against human MV4-11 cells assessed as inhibition of cell growth incubated for 72 hrs by MTS assay
    Antiproliferative activity against human MV4-11 cells assessed as inhibition of cell growth incubated for 72 hrs by MTS assay
    [PMID: 36638621]
    MV4-11 IC50
    0.452 nM
    Compound: AC220
    Antiproliferative activity against human MV4-11 cells harboring FLT3-ITD mutant measured after 72 hrs by MTT assay
    Antiproliferative activity against human MV4-11 cells harboring FLT3-ITD mutant measured after 72 hrs by MTT assay
    [PMID: 30939008]
    MV4-11 IC50
    0.5 nM
    Compound: Quizartinib
    Antiproliferative activity against human MV4-11 cells assessed as reduction in cell viability incubated for 72 hrs by CCK8 assay
    Antiproliferative activity against human MV4-11 cells assessed as reduction in cell viability incubated for 72 hrs by CCK8 assay
    [PMID: 34583130]
    MV4-11 IC50
    0.56 nM
    Compound: Quizartinib
    Antiproliferative activity against human MV4-11 cells assessed as reduction in cell viability after 48 hrs by Alamar Blue assay
    Antiproliferative activity against human MV4-11 cells assessed as reduction in cell viability after 48 hrs by Alamar Blue assay
    [PMID: 32659083]
    MV4-11 IC50
    0.56 nM
    Compound: 7, AC220
    Antiproliferative activity against human MV4-11 cells after 72 hrs by cell titer-blue cell viability assay
    Antiproliferative activity against human MV4-11 cells after 72 hrs by cell titer-blue cell viability assay
    [PMID: 19754199]
    MV4-11 IC50
    0.56 nM
    Compound: AC220
    Cytotoxicity against human MV4-11 cells after 72 hrs by cell titer-blue assay
    Cytotoxicity against human MV4-11 cells after 72 hrs by cell titer-blue assay
    [PMID: 19654408]
    MV4-11 IC50
    0.62 nM
    Compound: Quizartinib
    Anticancer activity against human MV4-11 cells expressing homozygous AML-FLT3-ITD assessed as cell viability after 72 hrs by ATP Cell Titer G1oTM assay
    Anticancer activity against human MV4-11 cells expressing homozygous AML-FLT3-ITD assessed as cell viability after 72 hrs by ATP Cell Titer G1oTM assay
    [PMID: 35033885]
    MV4-11 IC50
    0.68 nM
    Compound: AC220
    Cytotoxicity against human MV4-11 cells incubated for 72 hrs by MTT assay
    Cytotoxicity against human MV4-11 cells incubated for 72 hrs by MTT assay
    [PMID: 26142317]
    MV4-11 GI50
    1 nM
    Compound: 3
    Inhibition of FLT3 ITD mutant expressed in human MV4-11 cells assessed as reduction in cell growth incubated for 72 hrs by CCK8 assay
    Inhibition of FLT3 ITD mutant expressed in human MV4-11 cells assessed as reduction in cell growth incubated for 72 hrs by CCK8 assay
    [PMID: 32832025]
    MV4-11 GI50
    1.103 μM
    Compound: AC220
    Growth inhibition of human MV4-11 cells expressing FLT3-ITD after 48 hrs by XTT assay
    Growth inhibition of human MV4-11 cells expressing FLT3-ITD after 48 hrs by XTT assay
    [PMID: 27187860]
    MV4-11 GI50
    1.103 μM
    Compound: AC220
    Growth inhibition of human MV4-11 cells harboring FLT3-ITD mutant by XTT assay
    Growth inhibition of human MV4-11 cells harboring FLT3-ITD mutant by XTT assay
    [PMID: 28043794]
    MV4-11 IC50
    26 nM
    Compound: AC220
    Antiproliferative activity against human MV4-11 cells harboring FLT3-ITD mutant after 72 hrs by MTT assay
    Antiproliferative activity against human MV4-11 cells harboring FLT3-ITD mutant after 72 hrs by MTT assay
    [PMID: 27266526]
    MV4-11 GI50
    3.31 μM
    Compound: AC220
    Growth inhibition of human MV411 cells after 48 hrs by XTT assay
    Growth inhibition of human MV411 cells after 48 hrs by XTT assay
    [PMID: 25108079]
    NB-4 GI50
    > 3000 nM
    Compound: 3
    Cytotoxicity against human NB4 cells assessed as reduction in cell viability incubated for 72 hrs by CCK8 assay
    Cytotoxicity against human NB4 cells assessed as reduction in cell viability incubated for 72 hrs by CCK8 assay
    [PMID: 32832025]
    NB-4 IC50
    30 nM
    Compound: 7; AC220
    Cytotoxicity against human NB-4 cells assessed as reduction in cell viability after 4 days by CellTiter-Blue assay
    Cytotoxicity against human NB-4 cells assessed as reduction in cell viability after 4 days by CellTiter-Blue assay
    [PMID: 32199135]
    NB-4 GI50
    7.3 μM
    Compound: 7
    Antiproliferative activity against human NB4 cells expressing FLT3 kinase after 72 hrs by CellTiter-Glo assay
    Antiproliferative activity against human NB4 cells expressing FLT3 kinase after 72 hrs by CellTiter-Glo assay
    [PMID: 28956923]
    NOMO-1 IC50
    > 100 μM
    Compound: AC220
    Antiproliferative activity against human NOMO-1 cells assessed as cell growth inhibition measured upto 4 hrs by CellTiter-Blue cell viability assay
    Antiproliferative activity against human NOMO-1 cells assessed as cell growth inhibition measured upto 4 hrs by CellTiter-Blue cell viability assay
    [PMID: 35339838]
    NOMO-1 IC50
    0.038 nM
    Compound: 7; AC220
    Cytotoxicity against human NOMO-1 cells assessed as reduction in cell viability after 4 days by CellTiter-Blue assay
    Cytotoxicity against human NOMO-1 cells assessed as reduction in cell viability after 4 days by CellTiter-Blue assay
    [PMID: 32199135]
    OCI-AML2 GI50
    > 10 μM
    Compound: 7
    Antiproliferative activity against human OCI-AML2 cells expressing FLT3 kinase after 72 hrs by CellTiter-Glo assay
    Antiproliferative activity against human OCI-AML2 cells expressing FLT3 kinase after 72 hrs by CellTiter-Glo assay
    [PMID: 28956923]
    OCI-AML2 IC50
    0.45 μM
    Compound: AC220
    Antiproliferative activity against human OCI-AML2 cells assessed as cell growth inhibition measured upto 4 hrs by CellTiter-Blue cell viability assay
    Antiproliferative activity against human OCI-AML2 cells assessed as cell growth inhibition measured upto 4 hrs by CellTiter-Blue cell viability assay
    [PMID: 35339838]
    OCI-AML2 IC50
    30 nM
    Compound: 7; AC220
    Cytotoxicity against human OCI-AML2 cells assessed as reduction in cell viability after 4 days by CellTiter-Blue assay
    Cytotoxicity against human OCI-AML2 cells assessed as reduction in cell viability after 4 days by CellTiter-Blue assay
    [PMID: 32199135]
    OCI-AML-5 IC50
    30 nM
    Compound: 7; AC220
    Cytotoxicity against human OCI-AML5 cells assessed as reduction in cell viability after 4 days by CellTiter-Blue assay
    Cytotoxicity against human OCI-AML5 cells assessed as reduction in cell viability after 4 days by CellTiter-Blue assay
    [PMID: 32199135]
    OPM-2 IC50
    0.056 nM
    Compound: 7; AC220
    Cytotoxicity against human OPM-2 cells assessed as reduction in cell viability after 4 days by CellTiter-Blue assay
    Cytotoxicity against human OPM-2 cells assessed as reduction in cell viability after 4 days by CellTiter-Blue assay
    [PMID: 32199135]
    PBL GI50
    > 10 μM
    Compound: AC220
    Cytotoxicity in human PBL cells assessed as cell growth inhibition measured after 72 hrs by MTT assay
    Cytotoxicity in human PBL cells assessed as cell growth inhibition measured after 72 hrs by MTT assay
    [PMID: 35339838]
    PBL GI50
    8.6 μM
    Compound: AC220
    Cytotoxicity in phyto-hematoagglutinin induced human PBL cells assessed as cell growth inhibition measured after 72 hrs by MTT assay
    Cytotoxicity in phyto-hematoagglutinin induced human PBL cells assessed as cell growth inhibition measured after 72 hrs by MTT assay
    [PMID: 35339838]
    RPMI-8226 IC50
    0.184 nM
    Compound: 7; AC220
    Cytotoxicity against human RPMI-8226 cells assessed as reduction in cell viability after 4 days by CellTiter-Blue assay
    Cytotoxicity against human RPMI-8226 cells assessed as reduction in cell viability after 4 days by CellTiter-Blue assay
    [PMID: 32199135]
    RS4-11 IC50
    1.1 nM
    Compound: AC220
    Inhibition of FLT3 ITD mutant autophosphorylation in human RS4-11 cells after 2 hrs by electrochemiluminescence assay
    Inhibition of FLT3 ITD mutant autophosphorylation in human RS4-11 cells after 2 hrs by electrochemiluminescence assay
    [PMID: 19654408]
    RS4-11 IC50
    4.2 nM
    Compound: AC220
    Inhibition of FLT3 autophosphorylation in human RS4-11 cells after 2 hrs by electrochemiluminescence assay
    Inhibition of FLT3 autophosphorylation in human RS4-11 cells after 2 hrs by electrochemiluminescence assay
    [PMID: 19654408]
    Sf21 IC50
    26.08 nM
    Compound: AC220
    Inhibition of recombinant human FLT3 expressed in insect Sf21 cells preincubated for 15 mins followed by poly(Glu:Tyr) substrate addition for 30 mins in presence of [gamma-32P]ATP by TR-FRET assay
    Inhibition of recombinant human FLT3 expressed in insect Sf21 cells preincubated for 15 mins followed by poly(Glu:Tyr) substrate addition for 30 mins in presence of [gamma-32P]ATP by TR-FRET assay
    [PMID: 27187860]
    Sf9 IC50
    > 10 μM
    Compound: 3, AC220
    Inhibition of recombinant GST-tagged Aurora-A kinase domain (S123 to S401) (unknown origin) expressed in insect Sf9 cells using tetra(LRRASLG) peptide as substrate after 90 mins by Kinase-Glo assay
    Inhibition of recombinant GST-tagged Aurora-A kinase domain (S123 to S401) (unknown origin) expressed in insect Sf9 cells using tetra(LRRASLG) peptide as substrate after 90 mins by Kinase-Glo assay
    [PMID: 26081023]
    Sf9 IC50
    0.042 μM
    Compound: Quizartinib
    Inhibition of recombinant human 3C cleavage site/N-terminal GST-His6 fused PDGFR alpha C-terminal fragment (Q551 to L1089 residues) harboring V561D mutant expressed in baculovirus infected Sf9 insect cells using AGLT peptide as substrate in presence of [g
    Inhibition of recombinant human 3C cleavage site/N-terminal GST-His6 fused PDGFR alpha C-terminal fragment (Q551 to L1089 residues) harboring V561D mutant expressed in baculovirus infected Sf9 insect cells using AGLT peptide as substrate in presence of [g
    [PMID: 31514019]
    Sf9 IC50
    0.069 μM
    Compound: 3, AC220
    Inhibition of wild type GST-tagged FLT3 kinase domain (Y567 to S993) (unknown origin) expressed in baculovirus infected insect Sf9 cells using Her2 peptide as substrate after 4 hrs by Kinase-Glo assay
    Inhibition of wild type GST-tagged FLT3 kinase domain (Y567 to S993) (unknown origin) expressed in baculovirus infected insect Sf9 cells using Her2 peptide as substrate after 4 hrs by Kinase-Glo assay
    [PMID: 26081023]
    Sf9 IC50
    0.43 μM
    Compound: 3, AC220
    Inhibition of recombinant GST-tagged VEGFR2 kinase domain (V789 to V1356) (unknown origin) expressed in insect Sf9 cells using polyGlu4:Tyr peptide as substrate after 120 mins by Kinase-Glo assay
    Inhibition of recombinant GST-tagged VEGFR2 kinase domain (V789 to V1356) (unknown origin) expressed in insect Sf9 cells using polyGlu4:Tyr peptide as substrate after 120 mins by Kinase-Glo assay
    [PMID: 26081023]
    Sf9 IC50
    19.8 nM
    Compound: 3
    Inhibition of recombinant human N-terminal GST/His6-tagged FLT3 ITD mutant (571 to 993 residues) expressed in Sf9 cells using Tyr2 peptide as substrate incubated for 1.5 hrs by Z'-LYTE assay
    Inhibition of recombinant human N-terminal GST/His6-tagged FLT3 ITD mutant (571 to 993 residues) expressed in Sf9 cells using Tyr2 peptide as substrate incubated for 1.5 hrs by Z'-LYTE assay
    [PMID: 32832025]
    SKM-1 GI50
    1.3 μM
    Compound: 7
    Antiproliferative activity against human SKM1 cells expressing FLT3 kinase after 72 hrs by CellTiter-Glo assay
    Antiproliferative activity against human SKM1 cells expressing FLT3 kinase after 72 hrs by CellTiter-Glo assay
    [PMID: 28956923]
    SKM-1 IC50
    30 nM
    Compound: 7; AC220
    Cytotoxicity against human SKM-1 cells assessed as reduction in cell viability after 4 days by CellTiter-Blue assay
    Cytotoxicity against human SKM-1 cells assessed as reduction in cell viability after 4 days by CellTiter-Blue assay
    [PMID: 32199135]
    TF-1 IC50
    30 nM
    Compound: 7; AC220
    Cytotoxicity against human TF-1 cells assessed as reduction in cell viability after 4 days by CellTiter-Blue assay
    Cytotoxicity against human TF-1 cells assessed as reduction in cell viability after 4 days by CellTiter-Blue assay
    [PMID: 32199135]
    THP-1 IC50
    > 100 μM
    Compound: AC220
    Antiproliferative activity against human THP-1 cells assessed as cell growth inhibition measured upto 4 hrs by CellTiter-Blue cell viability assay
    Antiproliferative activity against human THP-1 cells assessed as cell growth inhibition measured upto 4 hrs by CellTiter-Blue cell viability assay
    [PMID: 35339838]
    THP-1 GI50
    > 20 μM
    Compound: Quiz
    Growth inhibition of human THP1 cells after 72 hrs by calcein AM dye-based fluorescence assay
    Growth inhibition of human THP1 cells after 72 hrs by calcein AM dye-based fluorescence assay
    [PMID: 29672049]
    THP-1 GI50
    2.125 μM
    Compound: AC220
    Growth inhibition of human THP1 cells expressing wild type FLT-3 after 48 hrs by XTT assay
    Growth inhibition of human THP1 cells expressing wild type FLT-3 after 48 hrs by XTT assay
    [PMID: 27187860]
    THP-1 GI50
    2.125 μM
    Compound: AC220
    Growth inhibition of human THP1 cells harboring wild-type FLT3 by XTT assay
    Growth inhibition of human THP1 cells harboring wild-type FLT3 by XTT assay
    [PMID: 28043794]
    THP-1 IC50
    30 nM
    Compound: 7; AC220
    Cytotoxicity against human THP-1 cells assessed as reduction in cell viability after 4 days by CellTiter-Blue assay
    Cytotoxicity against human THP-1 cells assessed as reduction in cell viability after 4 days by CellTiter-Blue assay
    [PMID: 32199135]
    THP-1 GI50
    5.574 μM
    Compound: AC220
    Growth inhibition of human THP1 cells after 48 hrs by XTT assay
    Growth inhibition of human THP1 cells after 48 hrs by XTT assay
    [PMID: 25108079]
    U-266 IC50
    19.65 nM
    Compound: 7; AC220
    Cytotoxicity against human U-266 cells assessed as reduction in cell viability after 4 days by CellTiter-Blue assay
    Cytotoxicity against human U-266 cells assessed as reduction in cell viability after 4 days by CellTiter-Blue assay
    [PMID: 32199135]
    U-937 GI50
    > 20 μM
    Compound: 3, AC220
    Cytotoxicity against FLT3-deficient human U937 cells assessed as cell growth inhibition after 72 hrs by MTS assay
    Cytotoxicity against FLT3-deficient human U937 cells assessed as cell growth inhibition after 72 hrs by MTS assay
    [PMID: 26081023]
    U-937 GI50
    > 20 μM
    Compound: Quiz
    Growth inhibition of human U937 cells after 72 hrs by calcein AM dye-based fluorescence assay
    Growth inhibition of human U937 cells after 72 hrs by calcein AM dye-based fluorescence assay
    [PMID: 29672049]
    U-937 GI50
    > 3000 nM
    Compound: 3
    Cytotoxicity against human U937 cells assessed as reduction in cell viability incubated for 72 hrs by CCK8 assay
    Cytotoxicity against human U937 cells assessed as reduction in cell viability incubated for 72 hrs by CCK8 assay
    [PMID: 32832025]
    U-937 GI50
    1.2 μM
    Compound: 7
    Antiproliferative activity against human U937 cells expressing FLT3 kinase after 72 hrs by CellTiter-Glo assay
    Antiproliferative activity against human U937 cells expressing FLT3 kinase after 72 hrs by CellTiter-Glo assay
    [PMID: 28956923]
    U-937 IC50
    8.55 μM
    Compound: AC220
    Antiproliferative activity against human U937 cells assessed as reduction in cell viability measured after 72 hrs by CellTiter-Glo luminescent cell viability assay
    Antiproliferative activity against human U937 cells assessed as reduction in cell viability measured after 72 hrs by CellTiter-Glo luminescent cell viability assay
    [PMID: 31614258]
    WI-38 IC50
    > 10000 nM
    Compound: AC220
    Antiproliferative activity against human WI38 cells after 72 hrs by SRB assay
    Antiproliferative activity against human WI38 cells after 72 hrs by SRB assay
    [PMID: 27266526]
    体外研究
    (In Vitro)

    Quizartinib (AC220) is a novel compound expressly optimized as a FLT3 inhibitor for the treatment of acute myeloid leukemia (AML). Quizartinib inhibits FLT3-WT and FLT3-ITD autophosphorylation with IC50 of 4.2±0.3 nM and 1.1±0.1 nM, respectively. Quizartinib inhibits MV4-11 and A375 cells with IC50 of 0.56±0.3 nM and >10 000 nM, respectively. Quizartinib inhibits FLT3 with low nanomolar potency in cellular assays and is highly selective when screened against the majority of the human protein kinome[1].

    MCE has not independently confirmed the accuracy of these methods. They are for reference only.

    体内研究
    (In Vivo)

    Quizartinib (AC220) inhibits FLT3 activity in vivo, significantly extends survival in a mouse model of FLT3-ITD AML at doses as low as 1 mg/kg when dosed orally once a day, eradicates tumors in a FLT3-dependent mouse xenograft model at 10 mg/kg, and potently inhibits FLT3 activity in primary patient cells. The oral bioavailability of Quizartinib, determined in rats by comparing oral and intravenous pharmacokinetics at 3 mg/kg, is approximately 40%. A single 10 mg/kg dose of Quizartinib is administered by oral gavage, and mice are killed at 2 time points after dosing, using groups of 4 animals each. Quantitation of total FLT3 and phospho-FLT3 in tumor samples revealed time-dependent inhibition of FLT3 autophosphorylation. FLT3 activity is inhibited by 90% at 2 hours, and 40% at 24 hours after administration. The extent of inhibition therefore correlated well with the expected free Quizartinib plasma levels, based on pharmacokinetic experiments[1].

    MCE has not independently confirmed the accuracy of these methods. They are for reference only.

    Clinical Trial
    分子量

    560.67

    Formula

    C29H32N6O4S

    CAS 号
    性状

    固体

    颜色

    White to light yellow

    中文名称

    奎扎替尼

    运输条件

    Room temperature in continental US; may vary elsewhere.

    储存方式
    Powder -20°C 3 years
    4°C 2 years
    In solvent -80°C 1 year
    -20°C 6 months
    溶解性数据
    细胞实验: 

    DMSO 中的溶解度 : ≥ 33 mg/mL (58.86 mM; 吸湿的 DMSO 对产品的溶解度有显著影响,请使用新开封的 DMSO)

    DMF 中的溶解度 : 10 mg/mL (17.84 mM; 超声助溶)

    * "≥" means soluble, but saturation unknown.

    配制储备液
    浓度 溶剂体积 质量 1 mg 5 mg 10 mg
    1 mM 1.7836 mL 8.9179 mL 17.8358 mL
    5 mM 0.3567 mL 1.7836 mL 3.5672 mL
    查看完整储备液配制表

    * 请根据产品在不同溶剂中的溶解度选择合适的溶剂配制储备液;一旦配成溶液,请分装保存,避免反复冻融造成的产品失效
    储备液的保存方式和期限:-80°C, 1 year; -20°C, 6 months。-80°C储存时,请在1年内使用, -20°C储存时,请在6个月内使用。

    • 摩尔计算器

    • 稀释计算器

    Mass (g) = Concentration (mol/L) × Volume (L) × Molecular Weight (g/mol)

    质量
    =
    浓度
    ×
    体积
    ×
    分子量 *

    Concentration (start) × Volume (start) = Concentration (final) × Volume (final)

    This equation is commonly abbreviated as: C1V1 = C2V2

    浓度 (start)

    C1

    ×
    体积 (start)

    V1

    =
    浓度 (final)

    C2

    ×
    体积 (final)

    V2

    动物实验:

    请根据您的 实验动物和给药方式 选择适当的溶解方案。

    以下溶解方案都请先按照 In Vitro 方式配制澄清的储备液,再依次添加助溶剂:
    ——为保证实验结果的可靠性,澄清的储备液可以根据储存条件,适当保存;体内实验的工作液,建议您现用现配,当天使用
    以下溶剂前显示的百分比是指该溶剂在您配制终溶液中的体积占比;如在配制过程中出现沉淀、析出现象,可以通过加热和/或超声的方式助溶

    • 方案 一

      请依序添加每种溶剂: 10% DMF    40% PEG300    5% Tween-80    45% Saline

      Solubility: ≥ 1 mg/mL (1.78 mM); 澄清溶液

    • 方案 二

      请依序添加每种溶剂: 10% DMF    90% (20% SBE-β-CD in Saline)

      Solubility: ≥ 1 mg/mL (1.78 mM); 澄清溶液

    动物溶解方案计算器
    请输入动物实验的基本信息:

    给药剂量

    mg/kg

    动物的平均体重

    g

    每只动物的给药体积

    μL

    动物数量

    由于实验过程有损耗,建议您多配一只动物的量
    请输入您的动物体内配方组成:
    %
    DMSO +
    +
    %
    Tween-80 +
    %
    Saline
    如果您的动物是免疫缺陷鼠或者体弱鼠,建议 DMSO 中的在最后工作液体系中的占比尽量不超过 2%。
    方案所需 助溶剂 包括:DMSO ,均可在 MCE 网站选购。 Tween 80,均可在 MCE 网站选购。
    计算结果
    工作液所需浓度 : mg/mL
    储备液配制方法 : mg 药物溶于 μL  DMSO(母液浓度为 mg/mL)。
    您所需的储备液浓度超过该产品的实测溶解度,以下方案仅供参考,如有需要,请与 MCE 中国技术支持联系。
    动物实验体内工作液的配制方法 : 取 μL DMSO 储备液,加入 μL  μL ,混合均匀至澄清,再加 μL Tween 80,混合均匀至澄清,再加 μL 生理盐水
    连续给药周期超过半月以上,请谨慎选择该方案。
    请确保第一步储备液溶解至澄清状态,从左到右依次添加助溶剂。您可采用超声加热 (超声清洗仪,建议频次 20-40 kHz),涡旋吹打等方式辅助溶解。
    纯度 & 产品资料

    纯度: 99.08%

    参考文献
    Kinase Assay
    [1]

    KinomeScan kinase binding assays are performed. For the FLT3 assay, a kinase construct that spanned the catalytic domain only (amino acids 592 to 969) is used. This construct does not include the juxtamembrane domain and is designed to measure the intrinsic binding affinity of the open FLT3 active site for inhibitors[1].

    MCE has not independently confirmed the accuracy of these methods. They are for reference only.

    Cell Assay
    [1]

    MV4-11 and RS4;11 cells are cultured in Iscove media with 10% fetal bovine serum (FBS) and RPMI complete with 10% FBS, respectively. For proliferation assays, cells are cultured overnight in low serum media (0.5% FBS), then seeded in a 96-well plate at 40 000 cells per well. Inhibitors (e.g., Quizartinib) are added to the cells and incubated at 37°C for 72 hours. Cell viability is measured using the Cell Titer-Blue Cell Viability Assay. To measure inhibition of FLT3 autophosphorylation, cells are cultured in low serum media (0.5% FBS) overnight and seeded at a density of 400 000 cells per well in a 96-well plate the following day. The cells are incubated with inhibitors (e.g., Quizartinib) for 2 hours at 37°C. To induce FLT3 autophosphorylation in RS4;11 cells, 100 ng/mL FLT3 ligand is added for 15 minutes after the 2-hour compound incubation. Cell lysates are prepared and incubated in 96-well plates precoated with a total FLT3 capture antibody. The coated plates are incubated with either a biotinylated antibody against FLT3 to detect total FLT3 or an antibody against phosphotyrosines to detect FLT3 autophosphorylation. In both cases, a SULFO-tagged streptavidin secondary antibody is used for electrochemiluminescence detection on the Meso Scale Discovery platform[1].

    MCE has not independently confirmed the accuracy of these methods. They are for reference only.

    Animal Administration
    [1]

    Mice[1]
    Female NU/NU or severe combined immunodeficient mice are used. Quizartinib (hydrochloride salt) is formulated in 22% hydroxypropyl-β-cyclodextrin, CEP-701 is formulated in 20% gelucire 44/14 in water (vol/vol), MLN-518 and SU 11248 are formulated in 10 mM sodium citrate (pH 3.5), PKC-412 is formulated in 3:1 gelucire 44/14-propylene glycol (vol/vol), and Bay 43-9006 is formulated in 80% PEG-400. Compound concentrations are chosen to deliver the desired dose in a volume of 10 mL/kg. Compounds are administered by oral gavage and plasma samples collected 0.25, 0.5, 1, 2, 4, 6, and 24 hours after dosing. To collect plasma samples, eye bleeds (150 μL) are taken semilongitudinally using 3 groups of 3 animals each, taking 2 to 3 time points per animal to obtain a total of 3 independent plasma concentration time courses. Plasma samples and controls (25 μL) are extracted with 4 volumes of acetonitrile containing an internal standard and analyzed by liquid chromatography tandem mass spectrometry.

    MCE has not independently confirmed the accuracy of these methods. They are for reference only.

    参考文献

    完整储备液配制表

    * 请根据产品在不同溶剂中的溶解度选择合适的溶剂配制储备液;一旦配成溶液,请分装保存,避免反复冻融造成的产品失效
    储备液的保存方式和期限:-80°C, 1 year; -20°C, 6 months。-80°C储存时,请在1年内使用, -20°C储存时,请在6个月内使用。

    可选溶剂 浓度 溶剂体积 质量 1 mg 5 mg 10 mg 25 mg
    DMF / DMSO 1 mM 1.7836 mL 8.9179 mL 17.8358 mL 44.5895 mL
    5 mM 0.3567 mL 1.7836 mL 3.5672 mL 8.9179 mL
    10 mM 0.1784 mL 0.8918 mL 1.7836 mL 4.4590 mL
    15 mM 0.1189 mL 0.5945 mL 1.1891 mL 2.9726 mL
    DMSO 20 mM 0.0892 mL 0.4459 mL 0.8918 mL 2.2295 mL
    25 mM 0.0713 mL 0.3567 mL 0.7134 mL 1.7836 mL
    30 mM 0.0595 mL 0.2973 mL 0.5945 mL 1.4863 mL
    40 mM 0.0446 mL 0.2229 mL 0.4459 mL 1.1147 mL
    50 mM 0.0357 mL 0.1784 mL 0.3567 mL 0.8918 mL
    Help & FAQs
    • Do most proteins show cross-species activity?

      Species cross-reactivity must be investigated individually for each product. Many human cytokines will produce a nice response in mouse cell lines, and many mouse proteins will show activity on human cells. Other proteins may have a lower specific activity when used in the opposite species.

    您最近查看的产品:

    Your information is safe with us. * Required Fields.

       产品名称:

     

    * 需求量:

    * 客户姓名:

     

    * Email:

    * 电话:

     

    * 公司或机构名称:

       留言给我们:

    Bulk Inquiry

    Inquiry Information

    产品名称:
    Quizartinib
    目录号:
    HY-13001
    需求量: