1. Apoptosis Metabolic Enzyme/Protease
  2. MDM-2/p53 E1/E2/E3 Enzyme
  3. RG7112

RG7112  (Synonyms: RO5045337)

目录号: HY-10959 纯度: 99.80%
COA 产品使用指南 技术支持

RG7112 是有效的、选择性的、第一个用于临床的、可口服的、可透过血脑屏障的、 MDM2-p53 抑制剂,IC50 值为 18 nM,结合到MDM2 的KD 值为 11 nM.

MCE 的所有产品仅用作科学研究或药证申报,我们不为任何个人用途提供产品和服务

我们将采用定制合成服务的方式为您快速提供所需产品和技术服务

RG7112

RG7112 Chemical Structure

CAS No. : 939981-39-2

1.  客户无需承担相应的运输费用。

2.  同一机构(单位)同一产品试用装仅限申领一次,同一机构(单位)一年内

     可免费申领三个不同产品的试用装。

3.  试用装只面向终端客户

规格 价格 是否有货 数量
10 mM * 1 mL in DMSO ¥1761
In-stock
1 mg ¥500
In-stock
5 mg ¥1100
In-stock
10 mg ¥1900
In-stock
25 mg ¥3800
In-stock
50 mg ¥5700
In-stock
100 mg 现货 询价
200 mg   询价  
500 mg   询价  

* Please select Quantity before adding items.

Customer Review

    RG7112 purchased from MCE. Usage Cited in: Clin Cancer Res. 2016 Mar 1;22(5):1185-96.  [Abstract]

    p53, p21 and MDM2 protein levels in MDM2-amplified GBM line treated with RG7112.

    RG7112 purchased from MCE. Usage Cited in: Oncotarget. 2016 Nov 15;7(46):75328-75338.  [Abstract]

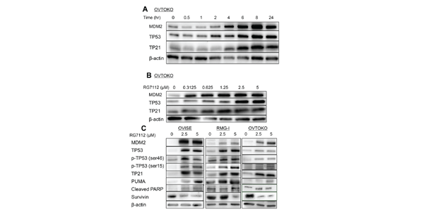
    Cell viability and activation of TP53 target proteins in clear cell carcinomas treated with RG7112. A and B. Time- (A) and dose-dependent (B) accumulation of MDM2, TP53, and TP21, as measured by western blotting. RG7112 is added at 2.5 μM in (A). C. Induction of TP53 phosphorylation and TP53 target proteins (TP21 and PUMA), as determined by western blotting. Cleaved PARP and survivin are also assessed to detect proapoptotic signaling.
    • 生物活性

    • 纯度 & 产品资料

    • 参考文献

    生物活性

    RG7112 is a potent, selective, first clinical, orally active and blood-brain barrier crossed MDM2-p53 inhibitor, with an IC50 of 18 nM and a KD of 11 nM for binding to MDM2[1].

    IC50 & Target

    Kd: 11 nM (MDM2)[1]

    细胞效力
    (Cellular Effect)
    Cell Line Type Value Description References
    HCT-116 IC50
    0.5 μM
    Compound: 2g, RG7112
    Cytotoxicity against human HCT116 cells expressing wild type p53 assessed as cell viability after 5 days by MTT assay
    Cytotoxicity against human HCT116 cells expressing wild type p53 assessed as cell viability after 5 days by MTT assay
    [PMID: 24900694]
    MDA-MB-435 IC50
    9.9 μM
    Compound: 2g, RG7112
    Cytotoxicity against human MDA-MB-435 cells expressing p53 mutant assessed as cell viability after 5 days by MTT assay
    Cytotoxicity against human MDA-MB-435 cells expressing p53 mutant assessed as cell viability after 5 days by MTT assay
    [PMID: 24900694]
    RKO IC50
    0.4 μM
    Compound: 2g, RG7112
    Cytotoxicity against human RKO cells expressing wild type p53 assessed as cell viability after 5 days by MTT assay
    Cytotoxicity against human RKO cells expressing wild type p53 assessed as cell viability after 5 days by MTT assay
    [PMID: 24900694]
    SJSA-1 IC50
    0.3 μM
    Compound: 2g, RG7112
    Cytotoxicity against human SJSA1 cells expressing wild type p53 assessed as cell viability after 5 days by MTT assay
    Cytotoxicity against human SJSA1 cells expressing wild type p53 assessed as cell viability after 5 days by MTT assay
    [PMID: 24900694]
    SJSA-1 IC50
    581 nM
    Compound: RG7112
    Antiproliferative activity against human SJSA1 cells assessed as inhibition of EdU incorporation after 1 hr by Click-iT EdU HCS assay in presence of 10% human serum
    Antiproliferative activity against human SJSA1 cells assessed as inhibition of EdU incorporation after 1 hr by Click-iT EdU HCS assay in presence of 10% human serum
    [PMID: 24456472]
    SJSA-1 IC50
    581 nM
    Compound: RG7112
    Cytotoxicity against human SJSA1 cells assessed as growth inhibition after 16 hrs by EdU incorporation assay in presence of 10% human serum
    Cytotoxicity against human SJSA1 cells assessed as growth inhibition after 16 hrs by EdU incorporation assay in presence of 10% human serum
    [PMID: 24601644]
    SW480 IC50
    16.6 μM
    Compound: 2g, RG7112
    Cytotoxicity against human SW480 cells expressing p53 mutant assessed as cell viability after 5 days by MTT assay
    Cytotoxicity against human SW480 cells expressing p53 mutant assessed as cell viability after 5 days by MTT assay
    [PMID: 24900694]
    体外研究
    (In Vitro)

    RG7112 (0-5 μM) 稳定野生型 p53 并在癌细胞中诱导 p53 信号传导。RG7112 有效激活癌细胞中的 p53 功能[1][2]

    MCE has not independently confirmed the accuracy of these methods. They are for reference only.

    Cell Proliferation Assay[2]

    Cell Line: SJSA1 osteosarcoma cells.
    Concentration: 0-5 μM.
    Incubation Time: 0-60 hours.
    Result: Dose-dependently inhibited the growth and killed SJSA1 osteosarcoma cells expressing high levels of MDM2 protein due to MDM2 gene amplification.

    Cell Cycle Analysis[2]

    Cell Line: HCT116 and SJSA1 cells.
    Concentration: 0-5 μM.
    Incubation Time: 48 hours.
    Result: Induced a dose-dependent cell cycle block in G1 and G2/M phase and depletion of the S phase compartment.
    体内研究
    (In Vivo)

    RG7112 (25 -200 mg/kg,单次口服) 在体内激活p53通路并诱导肿瘤细胞凋亡[2]
    RG7112 (100 mg/kg,每天灌胃一次,5 天/周,持续 3 周) 在 GBM 模型中降低肿瘤生长速度并提高存活率[3]

    MCE has not independently confirmed the accuracy of these methods. They are for reference only.

    Animal Model: Female Balb/c nude mice[2].
    Dosage: 25-200 mg/kg.
    Administration: Orally, single dose.
    Result: At the highest dose level of RG7112 (200 mg/kg) only 1.2% (± 0.89 SD) of cells incorporated BrdU at 24 h post-dosing, vs. 14% (± 1.83 SD) of vehicle treated tumors.
    Animal Model: GBM cells were implanted into the brain of Athymic Nude mice (7 weeks old females, 10 animals/group)[3].
    Dosage: 100 mg/kg.
    Administration: Oral gavage, once per day, 5 days/week for 3 weeks.
    Result: Reduced tumor growth rate and increases survival in heterotopic and orthotopic animal models bearing MDM2-amplified GBM.
    Clinical Trial
    分子量

    727.78

    Formula

    C38H48Cl2N4O4S

    CAS 号
    性状

    固体

    颜色

    White to off-white

    运输条件

    Room temperature in continental US; may vary elsewhere.

    储存方式
    Powder -20°C 3 years
    4°C 2 years
    In solvent -80°C 2 years
    -20°C 1 year
    溶解性数据
    细胞实验: 

    DMSO 中的溶解度 : 200 mg/mL (274.81 mM; 超声助溶; 吸湿的 DMSO 对产品的溶解度有显著影响,请使用新开封的 DMSO)

    配制储备液
    浓度 溶剂体积 质量 1 mg 5 mg 10 mg
    1 mM 1.3740 mL 6.8702 mL 13.7404 mL
    5 mM 0.2748 mL 1.3740 mL 2.7481 mL
    查看完整储备液配制表

    * 请根据产品在不同溶剂中的溶解度选择合适的溶剂配制储备液;一旦配成溶液,请分装保存,避免反复冻融造成的产品失效
    储备液的保存方式和期限:-80°C, 2 years; -20°C, 1 year。-80°C储存时,请在2年内使用, -20°C储存时,请在1年内使用。

    • 摩尔计算器

    • 稀释计算器

    Mass (g) = Concentration (mol/L) × Volume (L) × Molecular Weight (g/mol)

    质量
    =
    浓度
    ×
    体积
    ×
    分子量 *

    Concentration (start) × Volume (start) = Concentration (final) × Volume (final)

    This equation is commonly abbreviated as: C1V1 = C2V2

    浓度 (start)

    C1

    ×
    体积 (start)

    V1

    =
    浓度 (final)

    C2

    ×
    体积 (final)

    V2

    动物实验:

    请根据您的 实验动物和给药方式 选择适当的溶解方案。

    以下溶解方案都请先按照 In Vitro 方式配制澄清的储备液,再依次添加助溶剂:
    ——为保证实验结果的可靠性,澄清的储备液可以根据储存条件,适当保存;体内实验的工作液,建议您现用现配,当天使用
    以下溶剂前显示的百分比是指该溶剂在您配制终溶液中的体积占比;如在配制过程中出现沉淀、析出现象,可以通过加热和/或超声的方式助溶

    • 方案 一

      请依序添加每种溶剂: 10% DMSO    40% PEG300    5% Tween-80    45% Saline

      Solubility: ≥ 10 mg/mL (13.74 mM); 澄清溶液

      此方案可获得 ≥ 10 mg/mL(饱和度未知)的澄清溶液。

      1 mL 工作液为例,取 100 μL 100.0 mg/mL 的澄清 DMSO 储备液加到 400 μL PEG300 中,混合均匀;再向上述体系中加入 50 μL Tween-80,混合均匀;然后再继续加入 450 μL 生理盐水 定容至 1 mL

      生理盐水的配制:将 0.9 g 氯化钠,溶解于 ddH₂O 并定容至 100 mL,可以得到澄清透明的生理盐水溶液。
    • 方案 二

      请依序添加每种溶剂: 10% DMSO    90% Corn Oil

      Solubility: ≥ 10 mg/mL (13.74 mM); 澄清溶液

      此方案可获得 ≥ 10 mg/mL(饱和度未知)的澄清溶液,此方案实验周期在半个月以上的动物实验酌情使用。

      1 mL 工作液为例,取 100 μL 100.0 mg/mL 的澄清 DMSO 储备液加到 900 μL玉米油中,混合均匀。

    动物溶解方案计算器
    请输入动物实验的基本信息:

    给药剂量

    mg/kg

    动物的平均体重

    g

    每只动物的给药体积

    μL

    动物数量

    由于实验过程有损耗,建议您多配一只动物的量
    请输入您的动物体内配方组成:
    %
    DMSO +
    +
    %
    Tween-80 +
    %
    Saline
    如果您的动物是免疫缺陷鼠或者体弱鼠,建议 DMSO 中的在最后工作液体系中的占比尽量不超过 2%。
    方案所需 助溶剂 包括:DMSO ,均可在 MCE 网站选购。 Tween 80,均可在 MCE 网站选购。
    计算结果
    工作液所需浓度 : mg/mL
    储备液配制方法 : mg 药物溶于 μL  DMSO(母液浓度为 mg/mL)。
    您所需的储备液浓度超过该产品的实测溶解度,以下方案仅供参考,如有需要,请与 MCE 中国技术支持联系。
    动物实验体内工作液的配制方法 : 取 μL DMSO 储备液,加入 μL  μL ,混合均匀至澄清,再加 μL Tween 80,混合均匀至澄清,再加 μL 生理盐水
    连续给药周期超过半月以上,请谨慎选择该方案。
    请确保第一步储备液溶解至澄清状态,从左到右依次添加助溶剂。您可采用超声加热 (超声清洗仪,建议频次 20-40 kHz),涡旋吹打等方式辅助溶解。
    纯度 & 产品资料

    纯度: 99.91%

    参考文献

    完整储备液配制表

    * 请根据产品在不同溶剂中的溶解度选择合适的溶剂配制储备液;一旦配成溶液,请分装保存,避免反复冻融造成的产品失效
    储备液的保存方式和期限:-80°C, 2 years; -20°C, 1 year。-80°C储存时,请在2年内使用, -20°C储存时,请在1年内使用。

    可选溶剂 浓度 溶剂体积 质量 1 mg 5 mg 10 mg 25 mg
    DMSO 1 mM 1.3740 mL 6.8702 mL 13.7404 mL 34.3510 mL
    5 mM 0.2748 mL 1.3740 mL 2.7481 mL 6.8702 mL
    10 mM 0.1374 mL 0.6870 mL 1.3740 mL 3.4351 mL
    15 mM 0.0916 mL 0.4580 mL 0.9160 mL 2.2901 mL
    20 mM 0.0687 mL 0.3435 mL 0.6870 mL 1.7176 mL
    25 mM 0.0550 mL 0.2748 mL 0.5496 mL 1.3740 mL
    30 mM 0.0458 mL 0.2290 mL 0.4580 mL 1.1450 mL
    40 mM 0.0344 mL 0.1718 mL 0.3435 mL 0.8588 mL
    50 mM 0.0275 mL 0.1374 mL 0.2748 mL 0.6870 mL
    60 mM 0.0229 mL 0.1145 mL 0.2290 mL 0.5725 mL
    80 mM 0.0172 mL 0.0859 mL 0.1718 mL 0.4294 mL
    100 mM 0.0137 mL 0.0687 mL 0.1374 mL 0.3435 mL
    Help & FAQs
    • Do most proteins show cross-species activity?

      Species cross-reactivity must be investigated individually for each product. Many human cytokines will produce a nice response in mouse cell lines, and many mouse proteins will show activity on human cells. Other proteins may have a lower specific activity when used in the opposite species.

    您最近查看的产品:

    Your information is safe with us. * Required Fields.

       产品名称:

     

    * 需求量:

    * 客户姓名:

     

    * Email:

    * 电话:

     

    * 公司或机构名称:

       留言给我们:

    Bulk Inquiry

    Inquiry Information

    产品名称:
    RG7112
    目录号:
    HY-10959
    需求量: