1. PI3K/Akt/mTOR
  2. Akt PI3K
  3. Recilisib

Recilisib  (Synonyms: ON 01210)

目录号: HY-101625 纯度: 99.94%
COA 产品使用指南 技术支持

Recilisib (ON 01210) 是一种辐射防护剂,可以激活细胞中 AKTPI3K 的活性。

MCE 的所有产品仅用作科学研究或药证申报,我们不为任何个人用途提供产品和服务

Recilisib

Recilisib Chemical Structure

CAS No. : 334969-03-8

1.  客户无需承担相应的运输费用。

2.  同一机构(单位)同一产品试用装仅限申领一次,同一机构(单位)一年内

     可免费申领三个不同产品的试用装。

3.  试用装只面向终端客户

规格 价格 是否有货 数量
10 mM * 1 mL in DMSO ¥1320
In-stock
1 mg ¥500
In-stock
5 mg ¥1100
In-stock
10 mg ¥1500
In-stock
25 mg ¥2500
In-stock
50 mg ¥4200
In-stock
100 mg ¥5900
In-stock
200 mg   询价  
500 mg   询价  

* Please select Quantity before adding items.

Customer Review

Other Forms of Recilisib:

MCE 顾客使用本产品发表的 37 篇科研文献

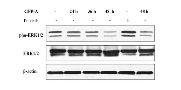
WB

    Recilisib purchased from MCE. Usage Cited in: Int J Biol Macromol. 2020 Mar 15;147:79-88.  [Abstract]

    Measurement of ERK1/2 and NF-κB p65. Effect of GFP-A and Recilisib (activator of Akt) (10 μmol/L) on the expression of phosphorylated ERK1/2 in HT-29 cells. Cells are treated with 180 μg/mL GFP-A in the presence or absence of Recilisib for different durations of time.

    Recilisib purchased from MCE. Usage Cited in: Environ Toxicol. 2020 Dec;35(12):1299-1307.  [Abstract]

    FaDu cells with AGK overexpression is treated with the PI3K inhibitor LY294002, and Cal27 cells with AGK knockdown is treated with PI3K activator Recilisib (50 μM). The inhibitory effect of LY294002 and promoting effects of Recilisib on PI3K/Akt signaling is confirmed by Western blot analysis.
    • 生物活性

    • 实验参考方法

    • 纯度 & 产品资料

    • 参考文献

    生物活性

    Recilisib (ON 01210) is a radioprotectant, which can activate AKT, PI3K activities in cells[1].

    IC50 & Target[1]

    PI3K

     

    体外研究
    (In Vitro)

    Recilisib (最高 50 μM) 在整个细胞周期中显示出细胞的正常分布,在 50 μM 时 S 期细胞数量略有减少。持续暴露于 Recilisib (100 μM) 不会导致细胞死亡。Recilisib 的处理不会抑制人类骨髓细胞的集落形成潜能。Recilisib 在三种不同剂量的辐射下对人类骨髓细胞提供了剂量依赖性的保护。Recilisib 激活了 HFL 细胞中 AKT 和 GSK3α/β 的磷酸化。Recilisib 在辐射暴露后增加了 HFL-1 细胞和小鼠骨髓细胞中的 PI3K 活性。Recilisib 与辐射联合使用会改变 MAPK 信号通路[1]

    MCE has not independently confirmed the accuracy of these methods. They are for reference only.

    体内研究
    (In Vivo)

    Recilisib (500 mg/kg) 显著提高了小鼠原始骨髓髓系祖细胞的恢复和分化速率。Recilisib 与辐射联合使用时减少了小鼠中的 CFU 数量。然而,Recilisib 处理小鼠后,小鼠始终保留形成分化集落的能力。接受 Recilisib 处理的小鼠中的祖细胞群体从未因辐射暴露而完全耗尽[1]

    MCE has not independently confirmed the accuracy of these methods. They are for reference only.

    分子量

    336.79

    Formula

    C16H13ClO4S

    CAS 号
    性状

    固体

    颜色

    White to off-white

    运输条件

    Room temperature in continental US; may vary elsewhere.

    储存方式
    Powder -20°C 3 years
    4°C 2 years
    In solvent -80°C 1 year
    -20°C 6 months
    溶解性数据
    细胞实验: 

    DMSO 中的溶解度 : 20 mg/mL (59.38 mM; 超声助溶 (<60°C); 吸湿的 DMSO 对产品的溶解度有显著影响,请使用新开封的 DMSO)

    配制储备液
    浓度 溶剂体积 质量 1 mg 5 mg 10 mg
    1 mM 2.9692 mL 14.8460 mL 29.6921 mL
    5 mM 0.5938 mL 2.9692 mL 5.9384 mL
    查看完整储备液配制表

    * 请根据产品在不同溶剂中的溶解度选择合适的溶剂配制储备液;一旦配成溶液,请分装保存,避免反复冻融造成的产品失效
    储备液的保存方式和期限:-80°C, 1 year; -20°C, 6 months。-80°C储存时,请在1年内使用, -20°C储存时,请在6个月内使用。

    • 摩尔计算器

    • 稀释计算器

    Mass (g) = Concentration (mol/L) × Volume (L) × Molecular Weight (g/mol)

    质量
    =
    浓度
    ×
    体积
    ×
    分子量 *

    Concentration (start) × Volume (start) = Concentration (final) × Volume (final)

    This equation is commonly abbreviated as: C1V1 = C2V2

    浓度 (start)

    C1

    ×
    体积 (start)

    V1

    =
    浓度 (final)

    C2

    ×
    体积 (final)

    V2

    动物实验:

    请根据您的 实验动物和给药方式 选择适当的溶解方案。

    以下溶解方案都请先按照 In Vitro 方式配制澄清的储备液,再依次添加助溶剂:
    ——为保证实验结果的可靠性,澄清的储备液可以根据储存条件,适当保存;体内实验的工作液,建议您现用现配,当天使用
    以下溶剂前显示的百分比是指该溶剂在您配制终溶液中的体积占比;如在配制过程中出现沉淀、析出现象,可以通过加热和/或超声的方式助溶

    • 方案 一

      请依序添加每种溶剂: 10% DMSO    90% Corn Oil

      Solubility: ≥ 2 mg/mL (5.94 mM); 澄清溶液

      此方案可获得 ≥ 2 mg/mL(饱和度未知)的澄清溶液,此方案实验周期在半个月以上的动物实验酌情使用。

      1 mL 工作液为例,取 100 μL 20.0 mg/mL 的澄清 DMSO 储备液加到 900 μL玉米油中,混合均匀。

    动物溶解方案计算器
    请输入动物实验的基本信息:

    给药剂量

    mg/kg

    动物的平均体重

    g

    每只动物的给药体积

    μL

    动物数量

    由于实验过程有损耗,建议您多配一只动物的量
    请输入您的动物体内配方组成:
    %
    DMSO +
    +
    %
    Tween-80 +
    %
    Saline
    如果您的动物是免疫缺陷鼠或者体弱鼠,建议 DMSO 中的在最后工作液体系中的占比尽量不超过 2%。
    方案所需 助溶剂 包括:DMSO ,均可在 MCE 网站选购。 Tween 80,均可在 MCE 网站选购。
    计算结果
    工作液所需浓度 : mg/mL
    储备液配制方法 : mg 药物溶于 μL  DMSO(母液浓度为 mg/mL)。
    您所需的储备液浓度超过该产品的实测溶解度,以下方案仅供参考,如有需要,请与 MCE 中国技术支持联系。
    动物实验体内工作液的配制方法 : 取 μL DMSO 储备液,加入 μL  μL ,混合均匀至澄清,再加 μL Tween 80,混合均匀至澄清,再加 μL 生理盐水
    连续给药周期超过半月以上,请谨慎选择该方案。
    请确保第一步储备液溶解至澄清状态,从左到右依次添加助溶剂。您可采用超声加热 (超声清洗仪,建议频次 20-40 kHz),涡旋吹打等方式辅助溶解。
    纯度 & 产品资料

    纯度: 99.94%

    参考文献
    Kinase Assay
    [1]

    PI3-kinase assays are performed using exponentially growing HFL-1 or freshly harvested murine bone marrow cells that are treated with increasing concentrations of Recilisib Sodium for 2 hours and then irradiated with 10 Gy IR. These cells are then returned to the incubator for 2 to 24 hours and lysed in HEPES pH 7.5 lysis buffer. PI-3K is immunoprecipitated using an anti-PI3 Kinas polyclonal antibody for 2 hours at 4°C. Protein A/G PLUS-Agarose is incubated with immunoprecipitates for 8-16 hours at 4°C and the resulting immunoprecipitates washed with twice HEPES pH 7.5 lysis buffer and once with the kinase buffer (20 mM Tris pH 7.5, 1mM EGTA, 10mM MgCl2, 2 mM DTT, 0.01% NP-40). L-α-Phosphatidylinositol (12.5 mM) and ATP (10 µM) are added to the kinase buffer (60 µL per sample) and incubated at 30°C for 30 minutes. The reaction is stopped by addition of 100 µL of 1N HCl and extracted by addition of 200 µL CHCl3/CH3OH (1:1). The extracted samples are vortexed, centrifuged and the lower organic phases containing phospholipids are dried at 27°C for 2 hours. The dried samples are resuspended in 10 µL of PI-4-P standard (0.5 mL CHCl3, 0.5 mL CH3OH, 2.5 µL HCl) and spotted on TLC plates (VWR). The spotted plate is subjected to thin layer chromatography in CHCl3/CH3OH/NH4OH (40:40:15). The TLC plate is dried and subjected to autoradiography.

    MCE has not independently confirmed the accuracy of these methods. They are for reference only.

    Cell Assay
    [1]

    For cytotoxicity assays, cells (1.0×105 cells/mL HPGM) are treated with various concentrations of Recilisib Sodium or vehicle without radiation treatment for 2 or 24 hours. The cells are washed and plated into methocult using gridded dishes. The total number of colony forming units (CFUs) is determined 14 days post-plating by microscopic observation using an Olympus IMT-2 microscope.

    MCE has not independently confirmed the accuracy of these methods. They are for reference only.

    参考文献

    完整储备液配制表

    * 请根据产品在不同溶剂中的溶解度选择合适的溶剂配制储备液;一旦配成溶液,请分装保存,避免反复冻融造成的产品失效
    储备液的保存方式和期限:-80°C, 1 year; -20°C, 6 months。-80°C储存时,请在1年内使用, -20°C储存时,请在6个月内使用。

    可选溶剂 浓度 溶剂体积 质量 1 mg 5 mg 10 mg 25 mg
    DMSO 1 mM 2.9692 mL 14.8460 mL 29.6921 mL 74.2302 mL
    5 mM 0.5938 mL 2.9692 mL 5.9384 mL 14.8460 mL
    10 mM 0.2969 mL 1.4846 mL 2.9692 mL 7.4230 mL
    15 mM 0.1979 mL 0.9897 mL 1.9795 mL 4.9487 mL
    20 mM 0.1485 mL 0.7423 mL 1.4846 mL 3.7115 mL
    25 mM 0.1188 mL 0.5938 mL 1.1877 mL 2.9692 mL
    30 mM 0.0990 mL 0.4949 mL 0.9897 mL 2.4743 mL
    40 mM 0.0742 mL 0.3712 mL 0.7423 mL 1.8558 mL
    50 mM 0.0594 mL 0.2969 mL 0.5938 mL 1.4846 mL
    Help & FAQs
    • Do most proteins show cross-species activity?

      Species cross-reactivity must be investigated individually for each product. Many human cytokines will produce a nice response in mouse cell lines, and many mouse proteins will show activity on human cells. Other proteins may have a lower specific activity when used in the opposite species.

    您最近查看的产品:

    Your information is safe with us. * Required Fields.

       产品名称:

     

    * 需求量:

    * 客户姓名:

     

    * Email:

    * 电话:

     

    * 公司或机构名称:

       留言给我们:

    Bulk Inquiry

    Inquiry Information

    产品名称:
    Recilisib
    目录号:
    HY-101625
    需求量: