1. Metabolic Enzyme/Protease Anti-infection
  2. Phosphodiesterase (PDE) RSV
  3. Roflumilast

Roflumilast  (Synonyms: 罗氟司特; APTA-2217; BYK 20869; B9302-107)

目录号: HY-15455 纯度: 99.98%
COA 产品使用指南 技术支持

Roflumilast (APTA-2217) 是一种选择性的 PDE4 抑制剂,作用于 PDE4A1PDE4A4PDE4B1PDE4B2IC50 分别为 0.7,0.9,0.7 和 0.2 nM。

MCE 的所有产品仅用作科学研究或药证申报,我们不为任何个人用途提供产品和服务

Roflumilast

Roflumilast Chemical Structure

CAS No. : 162401-32-3

1.  客户无需承担相应的运输费用。

2.  同一机构(单位)同一产品试用装仅限申领一次,同一机构(单位)一年内

     可免费申领三个不同产品的试用装。

3.  试用装只面向终端客户

规格 价格 是否有货 数量
10 mM * 1 mL in DMSO ¥605
In-stock
5 mg ¥498
In-stock
10 mg ¥649
In-stock
25 mg ¥1460
In-stock
50 mg ¥2481
In-stock
100 mg ¥3474
In-stock
200 mg ¥4650
In-stock
500 mg 现货 询价
1 g   询价  
5 g   询价  

* Please select Quantity before adding items.

Customer Review

Other Forms of Roflumilast:

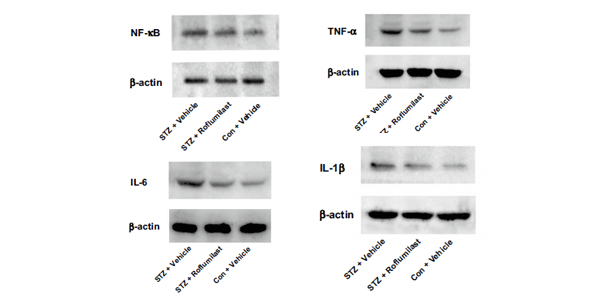
    Roflumilast purchased from MCE. Usage Cited in: Int Urol Nephrol. 2019 Feb;51(2):253-260.  [Abstract]

    Increased protein expression levels of inflammatory factors are deceased after oral Roflumilast treatment in diabetic rat DSM.

    Roflumilast purchased from MCE. Usage Cited in: Int Urol Nephrol. 2017 Oct;49(10):1723-1730.  [Abstract]

    Oral Roflumilast treatment attenuates increased expression of inflammatory factor protein in obese rat bladder. Comparison of protein expression levels of NF-κB, IL-6 in the DSM. The data are the ratio of target protein with reference. The protein levels of vehicle-treated HFDfed rats are significantly higher than those of the ND+vehicle group. The protein levels of Roflumilast-treated HFD-fed rats are significantly reduced compared to vehicle-treated HFD-fed rats. Data are shown as relative pro
    • 生物活性

    • 实验参考方法

    • 纯度 & 产品资料

    • 参考文献

    生物活性

    Roflumilast (APTA-2217) is a selective PDE4 inhibitor with IC50s of 0.7, 0.9, 0.7, and 0.2 nM for PDE4A1, PDE4A4, PDE4B1, and PDE4B2, respectively, without affecting PDE1, PDE2, PDE3 or PDE5 isoenzymes from various cells.

    IC50 & Target

    PDE4

     

    细胞效力
    (Cellular Effect)
    Cell Line Type Value Description References
    HEK293 IC50
    1 nM
    Compound: Roflumilast
    Inhibition of PDE4 expressed in HEK293 cells coexpressing cyclic nucleotide gated ion channel mutant assessed as inhibition of NECA-induced cAMP production treated 15 mins before NECA challenge measured after 45 mins by FLIPR assay
    Inhibition of PDE4 expressed in HEK293 cells coexpressing cyclic nucleotide gated ion channel mutant assessed as inhibition of NECA-induced cAMP production treated 15 mins before NECA challenge measured after 45 mins by FLIPR assay
    [PMID: 20378348]
    PBMC IC50
    0.02 nM
    Compound: Roflumilast
    Inhibition of TNFalpha production in LPS-stimulated human PBMC preincubated before LPS challenge measured after 4 hrs by enzyme immunoassay
    Inhibition of TNFalpha production in LPS-stimulated human PBMC preincubated before LPS challenge measured after 4 hrs by enzyme immunoassay
    [PMID: 19256507]
    PBMC EC50
    50 nM
    Compound: Roflumilast
    Anti-inflammatory activity against human PBMCs assessed as reduction in LPS-induced TNF-alpha release by ELISA analysis
    Anti-inflammatory activity against human PBMCs assessed as reduction in LPS-induced TNF-alpha release by ELISA analysis
    [PMID: 33569941]
    Sf9 IC50
    5.8 nM
    Compound: CHEMBL193240
    Inhibition of recombinant human PDE4D7 catalytic domain expressed in baculovirus infected sf9 cells using cAMP as substrate
    Inhibition of recombinant human PDE4D7 catalytic domain expressed in baculovirus infected sf9 cells using cAMP as substrate
    [PMID: 26908025]
    Splenocyte IC50
    1.2 nM
    Compound: Roflumilast
    Inhibition of LPS-induced TNFalpha production in Balb/c mouse splenocytes after 18 to 24 hrs by AlphaLISA assay
    Inhibition of LPS-induced TNFalpha production in Balb/c mouse splenocytes after 18 to 24 hrs by AlphaLISA assay
    [PMID: 24094436]
    Splenocyte IC50
    1.2 nM
    Compound: 1
    Antiinflammatory activity in Balb/c mouse splenocytes assessed as LPS-induced TNF-alpha production after 18 to 24 hrs by AlphaLISA
    Antiinflammatory activity in Balb/c mouse splenocytes assessed as LPS-induced TNF-alpha production after 18 to 24 hrs by AlphaLISA
    [PMID: 23602400]
    体外研究
    (In Vitro)

    Roflumilast 不影响除 PDE4 之外的 PDE 酶,并且是大多数测试的 PDE4 剪接变体的亚纳摩尔抑制剂。除了 PDE4C (4C1,IC50=3 nM;4C2,IC50=4.3 nM) 外,它没有表现出 PDE4 亚型选择性,它被抑制的效力略低[2]。Roflumilast 是一种有效的选择性 PDE4 抑制剂。Roflumilast 是一种单选择性 PDE4 抑制剂,因为它不影响其他 PDE 同工酶,包括浓度高达 10,000 倍的 PDE1、PDE2、PDE3 和 PDE5。Roflumilast 抑制人中性粒细胞功能。Roflumilast 抑制单核细胞来源的树突状细胞中的 TNFα 合成。Rolfumilast 抑制 CD4+ T 细胞的增殖和细胞因子合成。效力 (IC30) 为 7 nM 的 Roflumilast 最多可抑制增殖约 60%[3]

    MCE has not independently confirmed the accuracy of these methods. They are for reference only.

    体内研究
    (In Vivo)

    Roflumilast 的动物研究表明,在豚鼠、小鼠或大鼠短期暴露于烟草烟雾以及大鼠暴露于烟草烟雾和细菌脂多糖的组合后,它减少了支气管肺泡灌洗液中嗜中性粒细胞的积累,并消除了暴露于烟草烟雾 7 个月的大鼠肺实质炎症细胞流入[2]。Roflumilast 在 pIgR / 小鼠中阻断 COPD 进展。对于这些研究,9 个月大的 WT 或 pIgR / 小鼠每天通过口服强饲法处理 100 μg Roflumilast (5 μg/g) 或载体 (4% 甲基纤维素,1.3% PEG400) 3 个月,肺在 12 个月大时收获。与载体处理的 pIgR-/- 小鼠不同,Roflumilast 处理的小鼠在开始处理后小气道壁重塑没有进展。引人注目的是,与 9 个月大的 pIgR / 小鼠相比,Roflumilast 处理的 12 个月大的 pIgR / 小鼠肺气肿指数降低,表明 Roflumilast 不仅阻止了该模型中肺气肿的进展,而且显然有助于解决肺实质的肺气肿性破坏[4]

    MCE has not independently confirmed the accuracy of these methods. They are for reference only.

    Clinical Trial
    分子量

    403.21

    Formula

    C17H14Cl2F2N2O3

    CAS 号
    性状

    固体

    颜色

    White to off-white

    中文名称

    罗氟司特

    运输条件

    Room temperature in continental US; may vary elsewhere.

    储存方式
    Powder -20°C 3 years
    4°C 2 years
    In solvent -80°C 2 years
    -20°C 1 year
    溶解性数据
    细胞实验: 

    DMSO 中的溶解度 : ≥ 50 mg/mL (124.00 mM; 吸湿的 DMSO 对产品的溶解度有显著影响,请使用新开封的 DMSO)

    H2O 中的溶解度 : < 0.1 mg/mL (insoluble)

    * "≥" means soluble, but saturation unknown.

    配制储备液
    浓度 溶剂体积 质量 1 mg 5 mg 10 mg
    1 mM 2.4801 mL 12.4005 mL 24.8010 mL
    5 mM 0.4960 mL 2.4801 mL 4.9602 mL
    查看完整储备液配制表

    * 请根据产品在不同溶剂中的溶解度选择合适的溶剂配制储备液;一旦配成溶液,请分装保存,避免反复冻融造成的产品失效
    储备液的保存方式和期限:-80°C, 2 years; -20°C, 1 year。-80°C储存时,请在2年内使用, -20°C储存时,请在1年内使用。

    • 摩尔计算器

    • 稀释计算器

    Mass (g) = Concentration (mol/L) × Volume (L) × Molecular Weight (g/mol)

    质量
    =
    浓度
    ×
    体积
    ×
    分子量 *

    Concentration (start) × Volume (start) = Concentration (final) × Volume (final)

    This equation is commonly abbreviated as: C1V1 = C2V2

    浓度 (start)

    C1

    ×
    体积 (start)

    V1

    =
    浓度 (final)

    C2

    ×
    体积 (final)

    V2

    动物实验:

    请根据您的 实验动物和给药方式 选择适当的溶解方案。

    以下溶解方案都请先按照 In Vitro 方式配制澄清的储备液,再依次添加助溶剂:
    ——为保证实验结果的可靠性,澄清的储备液可以根据储存条件,适当保存;体内实验的工作液,建议您现用现配,当天使用
    以下溶剂前显示的百分比是指该溶剂在您配制终溶液中的体积占比;如在配制过程中出现沉淀、析出现象,可以通过加热和/或超声的方式助溶

    • 方案 一

      请依序添加每种溶剂: 10% DMSO    90% Corn Oil

      Solubility: ≥ 2.5 mg/mL (6.20 mM); 澄清溶液

      此方案可获得 ≥ 2.5 mg/mL(饱和度未知)的澄清溶液,此方案实验周期在半个月以上的动物实验酌情使用。

      1 mL 工作液为例,取 100 μL 25.0 mg/mL 的澄清 DMSO 储备液加到 900 μL玉米油中,混合均匀。

    动物溶解方案计算器
    请输入动物实验的基本信息:

    给药剂量

    mg/kg

    动物的平均体重

    g

    每只动物的给药体积

    μL

    动物数量

    由于实验过程有损耗,建议您多配一只动物的量
    请输入您的动物体内配方组成:
    %
    DMSO +
    +
    %
    Tween-80 +
    %
    Saline
    如果您的动物是免疫缺陷鼠或者体弱鼠,建议 DMSO 中的在最后工作液体系中的占比尽量不超过 2%。
    方案所需 助溶剂 包括:DMSO ,均可在 MCE 网站选购。 Tween 80,均可在 MCE 网站选购。
    计算结果
    工作液所需浓度 : mg/mL
    储备液配制方法 : mg 药物溶于 μL  DMSO(母液浓度为 mg/mL)。
    您所需的储备液浓度超过该产品的实测溶解度,以下方案仅供参考,如有需要,请与 MCE 中国技术支持联系。
    动物实验体内工作液的配制方法 : 取 μL DMSO 储备液,加入 μL  μL ,混合均匀至澄清,再加 μL Tween 80,混合均匀至澄清,再加 μL 生理盐水
    连续给药周期超过半月以上,请谨慎选择该方案。
    请确保第一步储备液溶解至澄清状态,从左到右依次添加助溶剂。您可采用超声加热 (超声清洗仪,建议频次 20-40 kHz),涡旋吹打等方式辅助溶解。
    纯度 & 产品资料

    纯度: 99.98%

    参考文献
    Kinase Assay
    [3]

    PDE activity is determined with some modifications. The assay mixture contain 50 mM Tris (pH 7.4), 5 mM MgCl2, 0.5 μM cAMP or cGMP, and [3H]cAMP or [3H]cGMP (about 30,000 cpm/assay), the indicated concentration of the inhibitor and an aliquot of the enzyme solution at a final assay volume of 200 μL. Stock solutions of the compounds are diluted 1:100 (v/v) in the Tris buffer mentioned above; appropriate dilutions are prepared in 1% (v/v) DMSO/Tris buffer, which are diluted 1:2 (v/v) in the assays to obtain the desired final concentrations of the inhibitors at a DMSO concentration of 0.5% (v/v). DMSO itself affected none of the PDE activities. After preincubation for 5 min at 37°C, the reaction is started by the addition of substrate (cAMP or cGMP) and the assays are incubated for further 15 min at 37°C. Then 50 μL of 0.2 N HCl is added to stop the reaction and the assays are left on ice for about 10 min. Following incubation with 25 μg of 5′-nucleotidase (Crotalus atrox snake venom) for 10 min at 37°C, the assays are loaded on QAE Sephadex A-25 (1 mL of bed volume in Poly-Prep chromatography columns). The columns are eluted with 2 mL of 30 mM ammonium formate (pH 6.0) and the eluate is counted for radioactivity. Results are corrected for blank values (measured in the presence of denatured protein) that are below 5% of total radioactivity. The amount of cyclic nucleotides hydrolyzed did not exceed 30% of the original substrate concentration[3].

    MCE has not independently confirmed the accuracy of these methods. They are for reference only.

    Animal Administration
    [4]

    Mice[4]
    WT or pIgR−/− mice are used. For studies using Roflumilast, 200 μL of 0.5 mg/mL suspension of Roflumilast or vehicle (4% methylcellulose, 1.3% PEG400 and 5 μg drug per g animal weight) is administered by oral gavage once daily, 5 days a week for the duration of treatment. Mice are treated daily by oral gavage with 100 μg of Roflumilast (5 μg/g) or vehicle (4% methylcellulose, 1.3% PEG400) for 3 months and lungs are harvested at 12 months of age.

    MCE has not independently confirmed the accuracy of these methods. They are for reference only.

    参考文献

    完整储备液配制表

    * 请根据产品在不同溶剂中的溶解度选择合适的溶剂配制储备液;一旦配成溶液,请分装保存,避免反复冻融造成的产品失效
    储备液的保存方式和期限:-80°C, 2 years; -20°C, 1 year。-80°C储存时,请在2年内使用, -20°C储存时,请在1年内使用。

    可选溶剂 浓度 溶剂体积 质量 1 mg 5 mg 10 mg 25 mg
    DMSO 1 mM 2.4801 mL 12.4005 mL 24.8010 mL 62.0024 mL
    5 mM 0.4960 mL 2.4801 mL 4.9602 mL 12.4005 mL
    10 mM 0.2480 mL 1.2400 mL 2.4801 mL 6.2002 mL
    15 mM 0.1653 mL 0.8267 mL 1.6534 mL 4.1335 mL
    20 mM 0.1240 mL 0.6200 mL 1.2400 mL 3.1001 mL
    25 mM 0.0992 mL 0.4960 mL 0.9920 mL 2.4801 mL
    30 mM 0.0827 mL 0.4133 mL 0.8267 mL 2.0667 mL
    40 mM 0.0620 mL 0.3100 mL 0.6200 mL 1.5501 mL
    50 mM 0.0496 mL 0.2480 mL 0.4960 mL 1.2400 mL
    60 mM 0.0413 mL 0.2067 mL 0.4133 mL 1.0334 mL
    80 mM 0.0310 mL 0.1550 mL 0.3100 mL 0.7750 mL
    100 mM 0.0248 mL 0.1240 mL 0.2480 mL 0.6200 mL
    Help & FAQs
    • Do most proteins show cross-species activity?

      Species cross-reactivity must be investigated individually for each product. Many human cytokines will produce a nice response in mouse cell lines, and many mouse proteins will show activity on human cells. Other proteins may have a lower specific activity when used in the opposite species.

    您最近查看的产品:

    Your information is safe with us. * Required Fields.

       产品名称:

     

    * 需求量:

    * 客户姓名:

     

    * Email:

    * 电话:

     

    * 公司或机构名称:

       留言给我们:

    Bulk Inquiry

    Inquiry Information

    产品名称:
    Roflumilast
    目录号:
    HY-15455
    需求量: