1. MAPK/ERK Pathway Autophagy Apoptosis
  2. JNK Autophagy Apoptosis Ferroptosis
  3. SP600125

SP600125 是一种口服有效的,可逆的,ATP竞争性的 JNK 抑制剂,抑制 JNK1JNK2JNK3IC50 分别为 40,40,90 nM。SP600125 是一种有效的铁死亡 (ferroptosis) 抑制剂。SP600125 能诱导膀胱癌细胞自噬 (autophagy) 向凋亡 (apoptosis) 的转化。

MCE 的所有产品仅用作科学研究或药证申报,我们不为任何个人用途提供产品和服务

CAS No. : 129-56-6

1.  客户无需承担相应的运输费用。

2.  同一机构(单位)同一产品试用装仅限申领一次,同一机构(单位)一年内

     可免费申领三个不同产品的试用装。

3.  试用装只面向终端客户

规格 价格 是否有货 数量
10 mM * 1 mL in DMSO ¥605
In-stock
5 mg ¥343
In-stock
10 mg ¥550
In-stock
50 mg ¥850
In-stock
100 mg ¥1250
In-stock
200 mg ¥2250
In-stock
500 mg ¥4800
In-stock
1 g   询价  
5 g   询价  

* Please select Quantity before adding items.

Customer Review

Other Forms of SP600125:

MCE 顾客使用本产品发表的 535 篇科研文献

WB
RT-PCR

    SP600125 purchased from MCE. Usage Cited in: Signal Transduct Target Ther. 2024 Mar 25;9(1):74.  [Abstract]

    SP600125 (10 μM; 12 h) can significantly reduce the phosphorylation level of c-JNK stimulated by E protein (50 μg/mL; 12 h) in BEAS-2B cells.

    SP600125 purchased from MCE. Usage Cited in: Mil Med Res. 2023 Nov 25;10(1):56.  [Abstract]

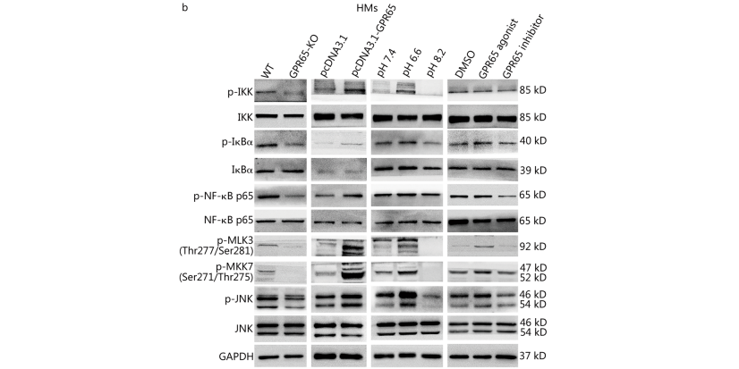
    Western blotting was used to determine the level of p-IKK, IKK, p-IĸBα, IĸBα, p-p65, p65, p-MLK3, p-MKK7, p-JNK and JNK in GPR65-KO, GPR65-overexpressed, various pH-treated and GPR65 agonist/inhibitor-treated HMs. The specific inhibitors of JNK, SP600125 (10 μmol/L) and JNK-IN-8 (5 μmol/L), as well as the specific inhibitors of NF-κB, BAY 11–7082 (5 μmol/L) and APDC (20 μmol/L), were used to treat GPR65-overexpressed HMs for 24 h.

    SP600125 purchased from MCE. Usage Cited in: Nat Metab. 2023 Mar;5(3):481-494.  [Abstract]

    Mt2 gene expression in beige adipocytes treated with indicated compounds (50 ng ml−1 TNF, 2 μM BMS345541, 1 μM SCH772984, 5 μM SB202190 and 5 μM SP600125; n = 4 biological independent samples).

    SP600125 purchased from MCE. Usage Cited in: Cytotherapy. 2023 Jul;25(7):728-738.  [Abstract]

    SP600125 (10 μM; 24 h) decreases the protein levels of p-JNK and p-c-Jun in THP-1 and U937 cells.

    SP600125 purchased from MCE. Usage Cited in: Exp Neurol. 2020 Sep;331:113374.  [Abstract]

    Effects of SP600125 attenuated p-JNK and RIPK3-mediated necroptosis after I/R injury. Representative western blot images and quantification of the protein expression of p-JNK, IL-6, pRIPK3 and AIF in the group pretreated with SP600125 before I/R.

    SP600125 purchased from MCE. Usage Cited in: Chem Biol Interact. 2019 Sep 1:310:108748.  [Abstract]

    Followed by 10 μM SP600125 incubation for 3 or 6 h, the protein levels of t-JNK, p-JNK, t-c-Jun and p-c-Jun in MC3T3-E1 cells are detected by western blotting.

    SP600125 purchased from MCE. Usage Cited in: Acta Biochim Biophys Sin (Shanghai). 2019 Apr 1;51(4):365-374.  [Abstract]

    MAPKs inhibitors suppress LPS-induced COX-2 expression and AKT1 phosphorylation. RAW264.7 cells are pretreated for 1 h with U0126, SB202190, SP600125 alone, or all the three inhibitors, respectively, and then exposed to 40 ng/ml LPS for 30 min or 12 h. The phosphorylated protein kinases and COX-2 expression are detected by western blot analysis using their corresponding antibodies.

    SP600125 purchased from MCE. Usage Cited in: J Cell Biochem. 2019 Mar;120(3):3898-3910.  [Abstract]

    Cells pretreated with SP600125 show a decreased proapoptotic Bax expression and increase antiapoptotic Bcl-2 formation when JNK pathway is blocked. Inhibition of p38 by SB202190 significantly enhanced Bcl-2 expression. Pretreatment with BAY 11-7082 to inhibit NF‐κB markedly enhance Baxm and decrease Bcl-2 expression compared with the ACR-treated group.

    SP600125 purchased from MCE. Usage Cited in: J Neuroinflammation. 2018 Oct 19;15(1):291.  [Abstract]

    Blocking the three MAPK signaling pathways through specific inhibitors (U0126; SB202190; and SP600125) significantly decrease the infection-induced neuroinflammatory response via real-time PCR analysis.

    SP600125 purchased from MCE. Usage Cited in: J Neuroinflammation. 2018 Oct 19;15(1):291.  [Abstract]

    Blocking the three MAPK signaling pathways through specific inhibitors (U0126; SB202190; and SP600125) significantly decrease the infection-induced neuroinflammatory response via real-time PCR analysis.

    SP600125 purchased from MCE. Usage Cited in: J Neuroinflammation. 2018 Jun 15;15(1):184.  [Abstract]

    Representative immunoblots of total lysates from BV2 cells treated with MPP+or/and U0126 (10 μM), SP600125 (SP, 10 μM) and SB203580 (SB, 10 μM) using the antibodies against DICER.

    SP600125 purchased from MCE. Usage Cited in: Phytomedicine. 2018 Mar 15:42:152-163.  [Abstract]

    Cells are pretreated with SP600125 (20 μM), SB203580 (20 μM) or U0126 (20 μM) in presence or absence of KLA, then incubated with LPS (1 μg/mL) for certain time. Cell lysates are subjected to western blot.

    SP600125 purchased from MCE. Usage Cited in: Free Radic Biol Med. 2018 Aug 20:124:205-213.  [Abstract]

    Total and phosphorylation levels of JNK in MCF7 and MDAMB231 after SP600125 treatment at 24 h.

    SP600125 purchased from MCE. Usage Cited in: Br J Pharmacol. 2018 Dec;175(23):4338-4352.  [Abstract]

    Treatment of macrophages with inhibitor of p38 (SB203580) or JNK (SP600125) inhibits the synthesis of pro-IL-1β in ZFP91-overexpressing THP-1 cells.

    SP600125 purchased from MCE. Usage Cited in: Biomed Pharmacother. 2018 Dec:108:1294-1302.  [Abstract]

    As for both 0 g and 3 g groups, the p-p38&p38 is downregulated by inhibitors SB203580, SP600125, and U0126.

    SP600125 purchased from MCE. Usage Cited in: Biomed Pharmacother. 2018 Dec:108:1294-1302.  [Abstract]

    The protein levels of IL-1β and TNF-α are sharply downregulated by the addition of inhibitors SB203580, SP600125, and U0126.

    SP600125 purchased from MCE. Usage Cited in: Biomed Pharmacother. 2018 Dec:108:1294-1302.  [Abstract]

    The protein level of MMP-9 is downregulated by inhibitors SB203580, SP600125, and U0126.

    SP600125 purchased from MCE. Usage Cited in: Biomed Pharmacother. 2018 Dec:108:1294-1302.  [Abstract]

    As for both 0 g and 3 g groups, the p-JNK1&JNK1 is downregulated by inhibitors SB203580, SP600125, and U0126.

    SP600125 purchased from MCE. Usage Cited in: Biomed Pharmacother. 2018 Dec:108:1294-1302.  [Abstract]

    As for both 0 g and 3 g groups, the p-ERK1/2/ERK1/2 is notably reduced by inhibitors SB203580, SP600125, and U0126.

    SP600125 purchased from MCE. Usage Cited in: J Autoimmun. 2018 May:89:30-40.  [Abstract]

    The protein expression of S100A7 in keratinocytes incubated with DMSO or JNK inhibitor SP600125 for 48 h after transfection with siRNA for 24 h.

    SP600125 purchased from MCE. Usage Cited in: Cell Mol Life Sci. 2018 Mar;75(6):1117-1132.  [Abstract]

    Sertoli cells (SC) are pretreated with the SP600125 for 1 h followed by a 24-h treatment with MC-LR. Expression levels of MMP-8, c-Jun, c-Fos, p-ERK, ERK, p-JNK, and JNK are determined by western blotting.

    SP600125 purchased from MCE. Usage Cited in: Cell Mol Life Sci. 2018 Jul;75(14):2627-2641.  [Abstract]

    RAW264.7 macrophages are pre-treated with the inhibitor of ERK, JNK, P38, P65, and AKT signal pathway.Western blot analyzes the non- and phosphorylation of ERK, JNK, P38, P65, and AKT.

    SP600125 purchased from MCE. Usage Cited in: J Agric Food Chem. 2018 Jun 27;66(25):6317-6325.  [Abstract]

    HepG2 cells are pre-incubated with 20 µM SB203580, SP600125 and PD98059 for 1 h and then treated with tangeretin(20µM) for 24 h.

    SP600125 purchased from MCE. Usage Cited in: FASEB J. 2018 May;32(5):2722-2734.  [Abstract]

    Cultured L02 cells exposed to 1% BSA or 200 mM PA for 12 h are pretreated with JNK inhibitor (SP600125) for 2 h. Intracellular and released HMGB1 are analyzed.

    SP600125 purchased from MCE. Usage Cited in: Sci Rep. 2018 Apr 23;8(1):6379.  [Abstract]

    Immunoblot analysis of lysates from Anisomycin pre-treatment cells reveals an increase of CHIP protein compared with OGD treated only cells, contrasting with a decrease in RIPK3 and p-MLKL protei. Pre-treatment cells with SP600125 results in the expected attenuation in JNK phosphorylation levels.

    SP600125 purchased from MCE. Usage Cited in: J Mol Endocrinol. 2018 Feb;60(2):145-157.  [Abstract]

    SP600125 decreases Keap1 expression through inhibition of JNK activity.

    SP600125 purchased from MCE. Usage Cited in: Onco Targets Ther. 2018 Nov 28:11:8435-8444.  [Abstract]

    Western blot results of active caspase 3 and JNK pathway-related genes in the treatment of CON, XRCC1-ON and SP600125.

    SP600125 purchased from MCE. Usage Cited in: Biochem Biophys Res Commun. 2018 Sep 5;503(2):903-909.  [Abstract]

    Inactivation of JNK using SP600125 in the PTP1B overexpressing cancer cells largely restores the expression levels of Twist, vimentin and Ecadherin.

    SP600125 purchased from MCE. Usage Cited in: Cell Physiol Biochem. 2018;46(5):1779-1792.  [Abstract]

    Western blot bands of p38, phospho-p38, ZO-1, Clau-din-1, and Occludin. JNK inhibitor SP600125 and p38 inhibitor SB203580 are used.

    SP600125 purchased from MCE. Usage Cited in: bioRxiv. August 2, 2018.

    AGS-EBV and B95.8 cells are pretreated with SP600125 (0, 50, and 100 nM) for 24. Equal amounts of cell lysates are prepared and western blot analysis is performed to determine the levels of total and phosphorylated ERKs, p38, and JNKs and EBV lytic proteins.

    SP600125 purchased from MCE. Usage Cited in: Cell Death Differ. 2017 Mar;24(3):492-499.  [Abstract]

    LPS stimulates ICER expression via p38-CREB pathway. Effect of MAPK and IKK inhibitors on LPS-induced CREB phosphorylation in peritoneal macrophages.

    SP600125 purchased from MCE. Usage Cited in: Cancer Lett. 2017 May 1:393:22-32.  [Abstract]

    Effects of p38 MAPK inhibitor (SB203580), ERK inhibitor (U0126), JNK inhibitor (SP600125), caspase inhibitor (Z-VAD-FMK) and NAC on SGC-7901 and MGC-803 treated with DOX/VCPA combination treatment. VCPA pretreatment strategy is the same as above. SB203580 (20 μM), U0126 (10 μM), SP600125 (20 μM), Z-VAD-FMK (10 μM) and NAC (5 mM) are treated 2 h before DOX (2 μg/mL) added into the culture, respectively. MAPK pathway protein levels are determined.

    SP600125 purchased from MCE. Usage Cited in: Oncoimmunology. 2017 Dec 26;7(4):e1412910.  [Abstract]

    The down-regulated phosphorylation of SAPK/JNK pathway by 10µM SP600125 is detected in RAW264.7 by Western blot. The down-regulated phosphorylation of SAPK/JNK pathway by 15mg/kg SP600125 is detected in peritoneal macrophages in vivo by Western blot.

    SP600125 purchased from MCE. Usage Cited in: Int J Mol Med. 2017 Jan;39(1):71-80.  [Abstract]

    Inhibition of c-Jun N-terminal kinase (JNK) expression enhances the promoting effects of miR-214 on adipocyte differentiation and decreases p-JNK protein expression in bone marrow-derived mesenchymal stem cells (BMSCs) following the overexpression of miR-214. p-JNK protein expression is even more significantly suppressed by treatment of the cells with JNK inhibitor as shown by (A) western blot analysis and (B) statistical analysis of p-JNK protein expression.

    SP600125 purchased from MCE. Usage Cited in: Chem Biol Interact. 2017 Nov 1:277:62-73.  [Abstract]

    Effects of silencing p53 on colistin-induced ROS production and p-JNK expression level in PC-12 cells. The protein levels of p53. The protein levels of p-JNK by western blot.

    SP600125 purchased from MCE. Usage Cited in: Mol Immunol. 2017 Jul:87:161-170.  [Abstract]

    Effect of TLR2 on autophagy activation via ERK signaling pathway in MG-infected RAW264.7 cells. RAW264.7 cells transfected with TLR2 siRNA/control siRNA are infected with MG for 30 min prior to SP600125. The expression levels of Beclin1, LC3-II/I, p-JNK, p-ERK1/2 and p-p38 are examined by Western blot. The GAPDH level was used as the internal standard.

    SP600125 purchased from MCE. Usage Cited in: Oxid Med Cell Longev. 2017:2017:7426458.  [Abstract]

    Representative immunoblot analysis of p53, p16, p21, and retinoblastoma protein (Rb) in NP cells.

    SP600125 purchased from MCE. Usage Cited in: Oxid Med Cell Longev. 2017:2017:6175841.  [Abstract]

    Involvements of MAPK signaling pathway in CPS-induced apoptosis in ALI cultures of sheep bronchial epithelial cells. Cells are pretreated with SP600125 (a JNK inhibitor, 20 μM) for 1 h, followed by exposure to CPS (100 ng/mL) or MO (MOI = 30) for 48 h. Cell lysates are subjected to Western blotting analysis using indicated antibodies.

    SP600125 purchased from MCE. Usage Cited in: Oncotarget. 2016 Dec 20;7(51):85079-85096.  [Abstract]

    IL-37b inhibits TNF-α mediated activation of the pSmad3L/c-myc pathway but potentiates pSmad3C/ p21 expression in SMMC-7721 cells. Serum-starved LV_NC and LV_IL1F7b-infected SMMC-7721 cells are incubated for 8 h in the absence or presence of 10 μM SP600125 and are then treated for 30 mins with 400 pM TNF-α. Expression of endogenous Smad3 phosphorylation, p21, and c-myc is analyzed in Western blot using specific Abs.

    SP600125 purchased from MCE. Usage Cited in: J Mol Cell Cardiol. 2015 Dec;89(Pt B):268-79.  [Abstract]

    Dose response of MAPK and Akt inhibitors on cardiac fibroblast-derived exosomes (Exo)-induced activation of MAPKs and Akt. Neonatal rat cardiomyocytes are treated with or without Exo (50 μg/mL), U0126, SP600125, MK-2206, and SB023580 for 20 min and subjected to Western blot analysis. The results are from 4 separate experiments.

    查看 JNK 亚型特异性产品:

    • 生物活性

    • 实验参考方法

    • 纯度 & 产品资料

    • 参考文献

    生物活性

    SP600125 is an orally active, reversible, and ATP-competitive JNK inhibitor with IC50s of 40, 40 and 90 nM for JNK1, JNK2 and JNK3, respectively. SP600125 is a potent ferroptosis inhibitor. SP600125 induces the transformation of bladder cancer cells from autophagy to apoptosis[1][2][3].

    IC50 & Target[1]

    JNK1

    40 nM (IC50)

    JNK2

    40 nM (IC50)

    JNK3

    90 nM (IC50)

    Autophagy

     

    细胞效力
    (Cellular Effect)
    Cell Line Type Value Description References
    786-0 IC50
    27.1 μM
    Compound: SP600125
    Antiproliferative activity against human 786-0 cells measured after 48 hrs by SRB assay
    Antiproliferative activity against human 786-0 cells measured after 48 hrs by SRB assay
    [PMID: 35764033]
    A498 IC50
    7.03 μM
    Compound: SP600125
    Antiproliferative activity against human A498 cells measured after 48 hrs by SRB assay
    Antiproliferative activity against human A498 cells measured after 48 hrs by SRB assay
    [PMID: 35764033]
    A549 IC50
    14.93 μM
    Compound: SP600125
    Antiproliferative activity against human A549 cells measured after 48 hrs by SRB assay
    Antiproliferative activity against human A549 cells measured after 48 hrs by SRB assay
    [PMID: 35764033]
    ACHN IC50
    6.64 μM
    Compound: SP600125
    Antiproliferative activity against human ACHN cells measured after 48 hrs by SRB assay
    Antiproliferative activity against human ACHN cells measured after 48 hrs by SRB assay
    [PMID: 35764033]
    BT-549 IC50
    30.76 μM
    Compound: SP600125
    Antiproliferative activity against human BT-549 cells measured after 48 hrs by SRB assay
    Antiproliferative activity against human BT-549 cells measured after 48 hrs by SRB assay
    [PMID: 35764033]
    CAKI-1 IC50
    3.56 μM
    Compound: SP600125
    Antiproliferative activity against human CAKI-1 cells measured after 48 hrs by SRB assay
    Antiproliferative activity against human CAKI-1 cells measured after 48 hrs by SRB assay
    [PMID: 35764033]
    CCRF-CEM IC50
    16.03 μM
    Compound: SP600125
    Antiproliferative activity against human CCRF-CEM cells measured after 48 hrs by SRB assay
    Antiproliferative activity against human CCRF-CEM cells measured after 48 hrs by SRB assay
    [PMID: 35764033]
    COLO 205 IC50
    19.54 μM
    Compound: SP600125
    Antiproliferative activity against human COLO 205 cells measured after 48 hrs by SRB assay
    Antiproliferative activity against human COLO 205 cells measured after 48 hrs by SRB assay
    [PMID: 35764033]
    DU-145 IC50
    28.18 μM
    Compound: SP600125
    Antiproliferative activity against human DU-145 cells measured after 48 hrs by SRB assay
    Antiproliferative activity against human DU-145 cells measured after 48 hrs by SRB assay
    [PMID: 35764033]
    EKVX IC50
    20.04 μM
    Compound: SP600125
    Antiproliferative activity against human EKVX cells measured after 48 hrs by SRB assay
    Antiproliferative activity against human EKVX cells measured after 48 hrs by SRB assay
    [PMID: 35764033]
    HCC 2998 IC50
    9.62 μM
    Compound: SP600125
    Antiproliferative activity against human HCC 2998 cells measured after 48 hrs by SRB assay
    Antiproliferative activity against human HCC 2998 cells measured after 48 hrs by SRB assay
    [PMID: 35764033]
    HCT-116 IC50
    44.57 μM
    Compound: SP600125
    Antiproliferative activity against human HCT-116 cells measured after 48 hrs by SRB assay
    Antiproliferative activity against human HCT-116 cells measured after 48 hrs by SRB assay
    [PMID: 35764033]
    HCT-15 IC50
    8.04 μM
    Compound: SP600125
    Antiproliferative activity against human HCT-15 cells measured after 48 hrs by SRB assay
    Antiproliferative activity against human HCT-15 cells measured after 48 hrs by SRB assay
    [PMID: 35764033]
    HL-60(TB) IC50
    42.07 μM
    Compound: SP600125
    Antiproliferative activity against human HL-60(TB) cells measured after 48 hrs by SRB assay
    Antiproliferative activity against human HL-60(TB) cells measured after 48 hrs by SRB assay
    [PMID: 35764033]
    HOP-62 IC50
    69.34 μM
    Compound: SP600125
    Antiproliferative activity against human HOP-62 cells measured after 48 hrs by SRB assay
    Antiproliferative activity against human HOP-62 cells measured after 48 hrs by SRB assay
    [PMID: 35764033]
    HOP-92 IC50
    37.58 μM
    Compound: SP600125
    Antiproliferative activity against human HOP-92 cells measured after 48 hrs by SRB assay
    Antiproliferative activity against human HOP-92 cells measured after 48 hrs by SRB assay
    [PMID: 35764033]
    Hs-578T IC50
    55.08 μM
    Compound: SP600125
    Antiproliferative activity against human Hs-578T cells measured after 48 hrs by SRB assay
    Antiproliferative activity against human Hs-578T cells measured after 48 hrs by SRB assay
    [PMID: 35764033]
    HT-29 IC50
    25.88 μM
    Compound: SP600125
    Antiproliferative activity against human HT-29 cells measured after 48 hrs by SRB assay
    Antiproliferative activity against human HT-29 cells measured after 48 hrs by SRB assay
    [PMID: 35764033]
    IGROV-1 IC50
    11.35 μM
    Compound: SP600125
    Antiproliferative activity against human IGROV-1 cells measured after 48 hrs by SRB assay
    Antiproliferative activity against human IGROV-1 cells measured after 48 hrs by SRB assay
    [PMID: 35764033]
    K562 IC50
    48.64 μM
    Compound: SP600125
    Antiproliferative activity against human K562 cells measured after 48 hrs by SRB assay
    Antiproliferative activity against human K562 cells measured after 48 hrs by SRB assay
    [PMID: 35764033]
    KM12 IC50
    2.62 μM
    Compound: SP600125
    Antiproliferative activity against human KM12 cells measured after 48 hrs by SRB assay
    Antiproliferative activity against human KM12 cells measured after 48 hrs by SRB assay
    [PMID: 35764033]
    M14 IC50
    > 100 μM
    Compound: SP600125
    Antiproliferative activity against human M14 cells measured after 48 hrs by SRB assay
    Antiproliferative activity against human M14 cells measured after 48 hrs by SRB assay
    [PMID: 35764033]
    Malme-3M IC50
    16.41 μM
    Compound: SP600125
    Antiproliferative activity against human Malme-3M cells measured after 48 hrs by SRB assay
    Antiproliferative activity against human Malme-3M cells measured after 48 hrs by SRB assay
    [PMID: 35764033]
    MCF7 IC50
    48.98 μM
    Compound: SP600125
    Antiproliferative activity against human MCF7 cells measured after 48 hrs by SRB assay
    Antiproliferative activity against human MCF7 cells measured after 48 hrs by SRB assay
    [PMID: 35764033]
    MDA-MB-231 IC50
    65.31 μM
    Compound: SP600125
    Antiproliferative activity against human MDA-MB-231 cells measured after 48 hrs by SRB assay
    Antiproliferative activity against human MDA-MB-231 cells measured after 48 hrs by SRB assay
    [PMID: 35764033]
    MDA-MB-435 IC50
    12.82 μM
    Compound: SP600125
    Antiproliferative activity against human MDA-MB-435 cells measured after 48 hrs by SRB assay
    Antiproliferative activity against human MDA-MB-435 cells measured after 48 hrs by SRB assay
    [PMID: 35764033]
    MOLT-4 IC50
    20.37 μM
    Compound: SP600125
    Antiproliferative activity against human MOLT-4 cells measured after 48 hrs by SRB assay
    Antiproliferative activity against human MOLT-4 cells measured after 48 hrs by SRB assay
    [PMID: 35764033]
    MONO-MAC-6 IC50
    5.2 μM
    Compound: SP600125
    Inhibition of JNK in human MONO-MAC-6 cells assessed as reduction in LPS-induced IL6 production preincubated for 30 mins followed by LPS-stimulation and measured after 24 hrs by ELISA
    Inhibition of JNK in human MONO-MAC-6 cells assessed as reduction in LPS-induced IL6 production preincubated for 30 mins followed by LPS-stimulation and measured after 24 hrs by ELISA
    [PMID: 30347329]
    NCI/ADR-RES IC50
    22.59 μM
    Compound: SP600125
    Antiproliferative activity against human NCI-ADR-RES cells measured after 48 hrs by SRB assay
    Antiproliferative activity against human NCI-ADR-RES cells measured after 48 hrs by SRB assay
    [PMID: 35764033]
    NCI-H226 IC50
    22.86 μM
    Compound: SP600125
    Antiproliferative activity against human NCI-H226 cells measured after 48 hrs by SRB assay
    Antiproliferative activity against human NCI-H226 cells measured after 48 hrs by SRB assay
    [PMID: 35764033]
    NCI-H23 IC50
    23.77 μM
    Compound: SP600125
    Antiproliferative activity against human NCI-H23 cells measured after 48 hrs by SRB assay
    Antiproliferative activity against human NCI-H23 cells measured after 48 hrs by SRB assay
    [PMID: 35764033]
    NCI-H322M IC50
    24.95 μM
    Compound: SP600125
    Antiproliferative activity against human NCI-H322M cells measured after 48 hrs by SRB assay
    Antiproliferative activity against human NCI-H322M cells measured after 48 hrs by SRB assay
    [PMID: 35764033]
    NCI-H460 IC50
    9.86 μM
    Compound: SP600125
    Antiproliferative activity against human NCI-H460 cells measured after 48 hrs by SRB assay
    Antiproliferative activity against human NCI-H460 cells measured after 48 hrs by SRB assay
    [PMID: 35764033]
    NCI-H522 IC50
    12.19 μM
    Compound: SP600125
    Antiproliferative activity against human NCI-H522 cells measured after 48 hrs by SRB assay
    Antiproliferative activity against human NCI-H522 cells measured after 48 hrs by SRB assay
    [PMID: 35764033]
    OVCAR-3 IC50
    15.31 μM
    Compound: SP600125
    Antiproliferative activity against human OVCAR-3 cells measured after 48 hrs by SRB assay
    Antiproliferative activity against human OVCAR-3 cells measured after 48 hrs by SRB assay
    [PMID: 35764033]
    OVCAR-4 IC50
    31.91 μM
    Compound: SP600125
    Antiproliferative activity against human OVCAR-4 cells measured after 48 hrs by SRB assay
    Antiproliferative activity against human OVCAR-4 cells measured after 48 hrs by SRB assay
    [PMID: 35764033]
    OVCAR-5 IC50
    24.38 μM
    Compound: SP600125
    Antiproliferative activity against human OVCAR-5 cells measured after 48 hrs by SRB assay
    Antiproliferative activity against human OVCAR-5 cells measured after 48 hrs by SRB assay
    [PMID: 35764033]
    OVCAR-8 IC50
    22.03 μM
    Compound: SP600125
    Antiproliferative activity against human OVCAR-8 cells measured after 48 hrs by SRB assay
    Antiproliferative activity against human OVCAR-8 cells measured after 48 hrs by SRB assay
    [PMID: 35764033]
    PC-3 IC50
    23.28 μM
    Compound: SP600125
    Antiproliferative activity against human PC-3 cells measured after 48 hrs by SRB assay
    Antiproliferative activity against human PC-3 cells measured after 48 hrs by SRB assay
    [PMID: 35764033]
    RPMI-8226 IC50
    18.79 μM
    Compound: SP600125
    Antiproliferative activity against human RPMI-8226 cells measured after 48 hrs by SRB assay
    Antiproliferative activity against human RPMI-8226 cells measured after 48 hrs by SRB assay
    [PMID: 35764033]
    RXF 393 IC50
    20.75 μM
    Compound: SP600125
    Antiproliferative activity against human RXF 393 cells measured after 48 hrs by SRB assay
    Antiproliferative activity against human RXF 393 cells measured after 48 hrs by SRB assay
    [PMID: 35764033]
    SF-268 IC50
    18.45 μM
    Compound: SP600125
    Antiproliferative activity against human SF-268 cells measured after 48 hrs by SRB assay
    Antiproliferative activity against human SF-268 cells measured after 48 hrs by SRB assay
    [PMID: 35764033]
    SF-295 IC50
    22.49 μM
    Compound: SP600125
    Antiproliferative activity against human SF-295 cells measured after 48 hrs by SRB assay
    Antiproliferative activity against human SF-295 cells measured after 48 hrs by SRB assay
    [PMID: 35764033]
    SF-539 IC50
    32.21 μM
    Compound: SP600125
    Antiproliferative activity against human SF-539 cells measured after 48 hrs by SRB assay
    Antiproliferative activity against human SF-539 cells measured after 48 hrs by SRB assay
    [PMID: 35764033]
    SK-MEL-2 IC50
    28.97 μM
    Compound: SP600125
    Antiproliferative activity against human SK-MEL-2 cells measured after 48 hrs by SRB assay
    Antiproliferative activity against human SK-MEL-2 cells measured after 48 hrs by SRB assay
    [PMID: 35764033]
    SK-MEL-28 IC50
    37.5 μM
    Compound: SP600125
    Antiproliferative activity against human SK-MEL-28 cells measured after 48 hrs by SRB assay
    Antiproliferative activity against human SK-MEL-28 cells measured after 48 hrs by SRB assay
    [PMID: 35764033]
    SK-MEL-5 IC50
    14.62 μM
    Compound: SP600125
    Antiproliferative activity against human SK-MEL-5 cells measured after 48 hrs by SRB assay
    Antiproliferative activity against human SK-MEL-5 cells measured after 48 hrs by SRB assay
    [PMID: 35764033]
    SK-OV-3 IC50
    20.99 μM
    Compound: SP600125
    Antiproliferative activity against human SK-OV-3 cells measured after 48 hrs by SRB assay
    Antiproliferative activity against human SK-OV-3 cells measured after 48 hrs by SRB assay
    [PMID: 35764033]
    SN12C IC50
    14.76 μM
    Compound: SP600125
    Antiproliferative activity against human SN12C cells measured after 48 hrs by SRB assay
    Antiproliferative activity against human SN12C cells measured after 48 hrs by SRB assay
    [PMID: 35764033]
    SNB-19 IC50
    50 μM
    Compound: SP600125
    Antiproliferative activity against human SNB-19 cells measured after 48 hrs by SRB assay
    Antiproliferative activity against human SNB-19 cells measured after 48 hrs by SRB assay
    [PMID: 35764033]
    SNB-75 IC50
    16.9 μM
    Compound: SP600125
    Antiproliferative activity against human SNB-75 cells measured after 48 hrs by SRB assay
    Antiproliferative activity against human SNB-75 cells measured after 48 hrs by SRB assay
    [PMID: 35764033]
    SR IC50
    13.09 μM
    Compound: SP600125
    Antiproliferative activity against human SR cells measured after 48 hrs by SRB assay
    Antiproliferative activity against human SR cells measured after 48 hrs by SRB assay
    [PMID: 35764033]
    SW-620 IC50
    10.91 μM
    Compound: SP600125
    Antiproliferative activity against human SW-620 cells measured after 48 hrs by SRB assay
    Antiproliferative activity against human SW-620 cells measured after 48 hrs by SRB assay
    [PMID: 35764033]
    T47D IC50
    > 100 μM
    Compound: SP600125
    Antiproliferative activity against human T47D cells measured after 48 hrs by SRB assay
    Antiproliferative activity against human T47D cells measured after 48 hrs by SRB assay
    [PMID: 35764033]
    TK-10 IC50
    5.93 μM
    Compound: SP600125
    Antiproliferative activity against human TK-10 cells measured after 48 hrs by SRB assay
    Antiproliferative activity against human TK-10 cells measured after 48 hrs by SRB assay
    [PMID: 35764033]
    U-251 IC50
    23.07 μM
    Compound: SP600125
    Antiproliferative activity against human U-251 cells measured after 48 hrs by SRB assay
    Antiproliferative activity against human U-251 cells measured after 48 hrs by SRB assay
    [PMID: 35764033]
    UACC-257 IC50
    29.51 μM
    Compound: SP600125
    Antiproliferative activity against human UACC-257 cells measured after 48 hrs by SRB assay
    Antiproliferative activity against human UACC-257 cells measured after 48 hrs by SRB assay
    [PMID: 35764033]
    UACC-62 IC50
    14.55 μM
    Compound: SP600125
    Antiproliferative activity against human UACC-62 cells measured after 48 hrs by SRB assay
    Antiproliferative activity against human UACC-62 cells measured after 48 hrs by SRB assay
    [PMID: 35764033]
    UO-31 IC50
    10.54 μM
    Compound: SP600125
    Antiproliferative activity against human UO-31 cells measured after 48 hrs by SRB assay
    Antiproliferative activity against human UO-31 cells measured after 48 hrs by SRB assay
    [PMID: 35764033]
    WI-38 IC50
    > 20 μM
    Compound: SP600125
    Antiproliferative activity against human WI-38 cells measured by MTT assay
    Antiproliferative activity against human WI-38 cells measured by MTT assay
    [PMID: 35764033]
    体外研究
    (In Vitro)

    SP600125 是 JNK2 的 ATP 竞争性抑制剂,Ki 值为 0.19±0.06 μM。SP600125 在 Jurkat T 细胞中抑制 c-Jun 的磷酸化,IC50 为 5 μM 至 10 μM。在 CD4+ 细胞中,例如从人脐带血或外周血中分离的 Th0 细胞,SP600125 阻断细胞活化和分化并抑制炎症基因 COX-2、IL-2、IL-10、IFN-γ 和 TNF-α,IC50 为 5 μM 至 12 μM[1]
    在小鼠 β 细胞 MIN6 中,SP600125 (20 μM) 诱导 p38 MAPK 的磷酸化及其下游 CREB 依赖性启动子激活[2]
    在 HCT116 细胞中,SP600125 (20 μM) 阻断 G2 期到有丝分裂的转变并诱导核内复制。SP600125 的这种能力独立于 JNK 抑制,但由于其抑制 Aurora A 和 Polo 样激酶 1 上游的 CDK1-细胞周期蛋白 B 激活[3]

    MCE has not independently confirmed the accuracy of these methods. They are for reference only.

    体内研究
    (In Vivo)

    SP600125 (15 mg/kg 或 30 mg/kg;静脉注射) 显著抑制 TNF-α 血清水平,而 30 mg/kg 口服施用后,则剂量依赖性地阻断 TNF-α 表达[1]
    SP600125 在大鼠体内减轻 LPS 诱导的 ALI。SP600125 组大鼠 BALF 中 TNF-α和 IL-6 的表达水平显著降低[4]

    MCE has not independently confirmed the accuracy of these methods. They are for reference only.

    分子量

    220.23

    Formula

    C14H8N2O

    CAS 号
    性状

    固体

    颜色

    Yellow to green

    运输条件

    Room temperature in continental US; may vary elsewhere.

    储存方式
    Powder -20°C 3 years
    4°C 2 years
    In solvent -80°C 2 years
    -20°C 1 year
    溶解性数据
    细胞实验: 

    DMSO 中的溶解度 : 12.5 mg/mL (56.76 mM; 超声助溶; 吸湿的 DMSO 对产品的溶解度有显著影响,请使用新开封的 DMSO)

    配制储备液
    浓度 溶剂体积 质量 1 mg 5 mg 10 mg
    1 mM 4.5407 mL 22.7035 mL 45.4071 mL
    5 mM 0.9081 mL 4.5407 mL 9.0814 mL
    查看完整储备液配制表

    * 请根据产品在不同溶剂中的溶解度选择合适的溶剂配制储备液;一旦配成溶液,请分装保存,避免反复冻融造成的产品失效
    储备液的保存方式和期限:-80°C, 2 years; -20°C, 1 year。-80°C储存时,请在2年内使用, -20°C储存时,请在1年内使用。

    • 摩尔计算器

    • 稀释计算器

    Mass (g) = Concentration (mol/L) × Volume (L) × Molecular Weight (g/mol)

    质量
    =
    浓度
    ×
    体积
    ×
    分子量 *

    Concentration (start) × Volume (start) = Concentration (final) × Volume (final)

    This equation is commonly abbreviated as: C1V1 = C2V2

    浓度 (start)

    C1

    ×
    体积 (start)

    V1

    =
    浓度 (final)

    C2

    ×
    体积 (final)

    V2

    动物实验:

    请根据您的 实验动物和给药方式 选择适当的溶解方案。

    以下溶解方案都请先按照 In Vitro 方式配制澄清的储备液,再依次添加助溶剂:
    ——为保证实验结果的可靠性,澄清的储备液可以根据储存条件,适当保存;体内实验的工作液,建议您现用现配,当天使用
    以下溶剂前显示的百分比是指该溶剂在您配制终溶液中的体积占比;如在配制过程中出现沉淀、析出现象,可以通过加热和/或超声的方式助溶

    • 方案 一

      请依序添加每种溶剂: 10% DMSO    40% PEG300    5% Tween-80    45% Saline

      Solubility: 2.08 mg/mL (9.44 mM); 悬浊液; 超声助溶

      此方案可获得 2.08 mg/mL的均匀悬浊液,悬浊液可用于口服和腹腔注射。

      1 mL 工作液为例,取 100 μL 20.8 mg/mL 的澄清 DMSO 储备液加到 400 μL PEG300 中,混合均匀;再向上述体系中加入 50 μL Tween-80,混合均匀;然后再继续加入 450 μL 生理盐水 定容至 1 mL

      生理盐水的配制:将 0.9 g 氯化钠,溶解于 ddH₂O 并定容至 100 mL,可以得到澄清透明的生理盐水溶液。

    以下溶解方案,请直接配制工作液。建议现用现配,在短期内尽快用完。 以下溶剂前显示的百分比是指该溶剂在您配制终溶液中的体积占比; 如在配制过程中出现沉淀、析出现象,可以通过加热和/或超声的方式助溶。

    • 方案 一

      请依序添加每种溶剂: Corn Oil

      Solubility: 1 mg/mL (4.54 mM); 悬浊液; 超声助溶 (<80°C)

    • 方案 二

      请依序添加每种溶剂: 1% CMC-Na/saline water

      Solubility: 3.33 mg/mL (15.12 mM); 悬浊液; 超声助溶

    动物溶解方案计算器
    请输入动物实验的基本信息:

    给药剂量

    mg/kg

    动物的平均体重

    g

    每只动物的给药体积

    μL

    动物数量

    由于实验过程有损耗,建议您多配一只动物的量
    请输入您的动物体内配方组成:
    %
    DMSO +
    +
    %
    Tween-80 +
    %
    Saline
    如果您的动物是免疫缺陷鼠或者体弱鼠,建议 DMSO 中的在最后工作液体系中的占比尽量不超过 2%。
    方案所需 助溶剂 包括:DMSO ,均可在 MCE 网站选购。 Tween 80,均可在 MCE 网站选购。
    计算结果
    工作液所需浓度 : mg/mL
    储备液配制方法 : mg 药物溶于 μL  DMSO(母液浓度为 mg/mL)。
    您所需的储备液浓度超过该产品的实测溶解度,以下方案仅供参考,如有需要,请与 MCE 中国技术支持联系。
    动物实验体内工作液的配制方法 : 取 μL DMSO 储备液,加入 μL  μL ,混合均匀至澄清,再加 μL Tween 80,混合均匀至澄清,再加 μL 生理盐水
    连续给药周期超过半月以上,请谨慎选择该方案。
    请确保第一步储备液溶解至澄清状态,从左到右依次添加助溶剂。您可采用超声加热 (超声清洗仪,建议频次 20-40 kHz),涡旋吹打等方式辅助溶解。
    纯度 & 产品资料

    纯度: 99.73%

    参考文献
    Cell Assay
    [1]

    Determination of mRNA half-life is performed essentially, except that CD14+ cells are stimulated with (bacterial) lipopolysaccharide (LPS; 50 ng/mL) for 2 h before addition of actinomycin D (5 μg/mL). SP600125 (25 μM) or vehicle (0.5% DMSO vol/vol) is added immediately following the actinomycin D. Analysis is performed by using real-time reverse transcription (RT)-PCR. Total RNA is extracted with an RNeasy Mini kit. TNF mRNA is measured by real time RT-PCR, using a TNF Taqman probe. All data are normalized by using glyceraldehyde-3-phosphate dehydrogenase (GAPDH) expression. The TNF-α forward primer is 5′-CTGGCCCAGGCAGTCAGAT-3′ and the reverse primer is 5′-TATCTCTCAGCTCCACGCCATT-3′. The Taqman probe sequence is 5′-FAM-CCTGTAGCCCATGTTGTAGCAAACCCTCA-TAMRA-3′[1].

    MCE has not independently confirmed the accuracy of these methods. They are for reference only.

    Animal Administration
    [1][4]

    Mice[1]
    Female CD-1 mice (8-10 weeks of age) are dosed i.v. or per oswith SP600125 in PPCES vehicle (30% PEG-400/20% polypropylene glycol/15% Cremophor EL/5% ethanol/30% saline), final volume of 5 mL/kg, 15 min before i.v. injection with LPS in saline (0.5 mg/kg). At 90 min, a terminal bleed is obtained from the abdominal vena cava, and the serum is recovered. Samples are analyzed for mouse TNF-α by using an ELISA.
    Rats[4]
    A total of 40 male Wistar rats are randomly divided into four groups (n=10): the control group, LPS group, normal saline group (NS) and the SP600125 group. Acute lung injury (ALI) is induced via intratracheal injection of LPS. Normal saline or SP600125 is administered via intraperitoneal injection (15 mg/kg) 10 min after the LPS injection.

    MCE has not independently confirmed the accuracy of these methods. They are for reference only.

    参考文献

    完整储备液配制表

    * 请根据产品在不同溶剂中的溶解度选择合适的溶剂配制储备液;一旦配成溶液,请分装保存,避免反复冻融造成的产品失效
    储备液的保存方式和期限:-80°C, 2 years; -20°C, 1 year。-80°C储存时,请在2年内使用, -20°C储存时,请在1年内使用。

    可选溶剂 浓度 溶剂体积 质量 1 mg 5 mg 10 mg 25 mg
    DMSO 1 mM 4.5407 mL 22.7035 mL 45.4071 mL 113.5177 mL
    5 mM 0.9081 mL 4.5407 mL 9.0814 mL 22.7035 mL
    10 mM 0.4541 mL 2.2704 mL 4.5407 mL 11.3518 mL
    15 mM 0.3027 mL 1.5136 mL 3.0271 mL 7.5678 mL
    20 mM 0.2270 mL 1.1352 mL 2.2704 mL 5.6759 mL
    25 mM 0.1816 mL 0.9081 mL 1.8163 mL 4.5407 mL
    30 mM 0.1514 mL 0.7568 mL 1.5136 mL 3.7839 mL
    40 mM 0.1135 mL 0.5676 mL 1.1352 mL 2.8379 mL
    50 mM 0.0908 mL 0.4541 mL 0.9081 mL 2.2704 mL
    Help & FAQs
    • Do most proteins show cross-species activity?

      Species cross-reactivity must be investigated individually for each product. Many human cytokines will produce a nice response in mouse cell lines, and many mouse proteins will show activity on human cells. Other proteins may have a lower specific activity when used in the opposite species.

    您最近查看的产品:

    Your information is safe with us. * Required Fields.

       产品名称:

     

    * 需求量:

    * 客户姓名:

     

    * Email:

    * 电话:

     

    * 公司或机构名称:

       留言给我们:

    Bulk Inquiry

    Inquiry Information

    产品名称:
    SP600125
    目录号:
    HY-12041
    需求量: