1. Immunology/Inflammation
  2. MyD88
  3. ST 2825

ST 2825 是一种特异的 MyD88 二聚化抑制剂。ST 2825 干扰 MyD88IRAK1IRAK4 的募集,抑制 IL-1β 介导的 NF-κB 转录活性。

MCE 的所有产品仅用作科学研究或药证申报,我们不为任何个人用途提供产品和服务

ST 2825

ST 2825 Chemical Structure

CAS No. : 894787-30-5

1.  客户无需承担相应的运输费用。

2.  同一机构(单位)同一产品试用装仅限申领一次,同一机构(单位)一年内

     可免费申领三个不同产品的试用装。

3.  试用装只面向终端客户

规格 价格 是否有货 数量
10 mM * 1 mL in DMSO ¥11061
In-stock
1 mg ¥3302
In-stock
5 mg 现货 询价
10 mg 现货 询价
25 mg 现货 询价
50 mg   询价  
100 mg   询价  

* Please select Quantity before adding items.

Customer Review

MCE 顾客使用本产品发表的 68 篇科研文献

WB

    ST 2825 purchased from MCE. Usage Cited in: J Cell Physiol. 2019 May;234(5):7645-7658.  [Abstract]

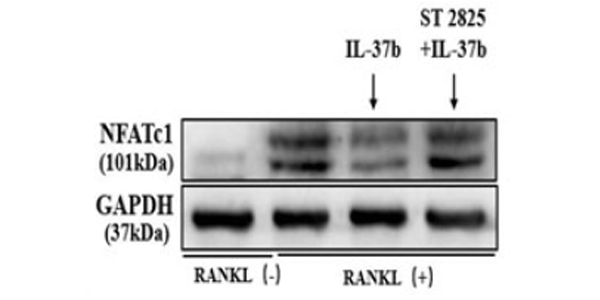
    Western blot analysis shows the level of NFATc1 in cells stimulated with RANKL in the presence or absence of ST 2825.

    ST 2825 purchased from MCE. Usage Cited in: Int Immunopharmacol. 2018 Nov:64:33-41.  [Abstract]

    Western blot analysis of the protein levels of the phosphorylated NF-κB P65 levels, and the phosphorylated ERK levels in U251 cells, pre-treated with the indicated concentrations of ST2825 (ST) for 24 h, and re-treated with 1 μg/mL LPS for 1 h.

    ST 2825 purchased from MCE. Usage Cited in: Oncol Lett. 2018 Oct;16(4):4929-4936.  [Abstract]

    Western blot analysis of cyclin D1 and MMP 9 in high dose ST2825 treated cells. High dose ST2825 significantly inhibits cyclin D1 expression in osteosarcoma cells, and significantly increases MMP9 protein expression.

    ST 2825 purchased from MCE. Usage Cited in: Oncol Lett. 2018 Oct;16(4):4929-4936.  [Abstract]

    Western blot analysis of p65 and cleaved caspase 3 in high dose ST2825 treated cells. High dose ST2825 significantly inhibits nuclear p65 in osteosarcoma cells, and significantly increases cleaved caspase 3 protein expression.

    ST 2825 purchased from MCE. Usage Cited in: Exp Neurol. 2017 Sep:295:23-35.  [Abstract]

    Western blotting analysis of the Tyr1472-phosphorylation of the NR2B subunit in the hippocampus of experimental rats under the various treatment conditions. ST2825 (10 μg in 2 μL) is injected. Representative Western blotting bands corresponding to the specific proteins and the various pharmacological treatments.

    ST 2825 purchased from MCE. Usage Cited in: Sci Rep. 2017 Nov 17;7(1):15797.  [Abstract]

    Representative Western blot to show the level of MyD88 protein. The upper panel shows representative protein levels of MyD88. Tubulin is detected as a loading control. The bottom panel shows quantitative data of MyD88.

    ST 2825 purchased from MCE. Usage Cited in: Anticancer Res. 2017 Nov;37(11):6203-6209.  [Abstract]

    Effect of ST2825 on the expression of myeloid differentiation primary response gene 88 (MYD88) and nuclear factor kappa B (NF-ĸB) signaling proteins. Cells are cultured with 100 μM ST2825 for 6 h and analysed for protein expression by immunoblotting. DMSO is used as a vehicle control and α-tubulin as a loading control.

    ST 2825 purchased from MCE. Usage Cited in: Brain Res. 2016 Jul 15:1643:130-9.  [Abstract]

    Effect of ST2825 treatment on the expression of MyD88 at 24h after TBI. Levels of MyD88 are significantly increased at 24 h after TBI. ST2825 (20 μg/μL) treatment reduces the levels of MyD88 at 24 h post TBI. No difference is detected between the TBI group and TBI+vehicle group.

    ST 2825 purchased from MCE. Usage Cited in: Genet Mol Res. 2016 Mar 4;15(1):15016826.  [Abstract]

    Effect of ST2825 on IκB, cyclin D1, cleaved caspase-3, and bcl-2 expression in HepG-2 cells as determined by western blot analysis (lane 1, blank; lane 2, control; and lane 3, high-dose ST2825). Compared with the control, 24 h of ST2825 treatment significantly inhibits cyclin D1 and bcl-2 expression (P>0.05), but 24-h treatment with ST2825 significantly increases cleaved caspase-3 expression (P<0.05) in the high-dose group.

    ST 2825 purchased from MCE. Usage Cited in: Mol Med Rep. 2015 Jul;12(1):895-904.  [Abstract]

    The degradation of IκBα and nuclear translocation of p65 induced by IL-1β are also dramatically blocked by pretreatment of the cells with TLR2Ab, ST2825 and TPCA-1. The cultured leukocytes are obtained from a normal control mouse and stimulated with IL-1β (10 ng/ml) for 1 h with or without pre-treatment of BML-111 (1 mM) for 30 min, BOC1 (100 μM) for 30 min, TLR2Ab (1 μg/mL) for 1 h, goat IgG (1 μg/mL) for 1 h, ST2825 (20 μM) for 1 h or TPCA-1 (10 μM) for 1 h. The western blot is representative
    • 生物活性

    • 实验参考方法

    • 纯度 & 产品资料

    • 参考文献

    生物活性

    ST 2825 is a specific MyD88 dimerization inhibitor. ST2825 interferes with recruitment of IRAK1 and IRAK4 by MyD88, causing inhibition of IL-1β-mediated activation of NF-κB transcriptional activity[1][2].

    IC50 & Target

    MyD88[1]

    体外研究
    (In Vitro)

    ST2825 阻断 IL-1R/TLR 信号通路,通过浓度依赖方式抑制 MyD88 同源二聚化;在 5 μM 时约抑制 40%,在 10 μM 时抑制 80%[1].

    MCE has not independently confirmed the accuracy of these methods. They are for reference only.

    体内研究
    (In Vivo)

    ST2825 口服后剂量依赖性地抑制 IL-1β 诱导的 IL-6 产生。在腹腔注射前 5 分钟,用适当的载体或 ST2825 以 50 至 200 mg/kg 的剂量给动物口服与 20 μg/kg IL-1β 联合使用。ST2825 在 100 和 200 mg/kg[1] 时可显著抑制 IL-1β 刺激的 IL-6 产生。

    MCE has not independently confirmed the accuracy of these methods. They are for reference only.

    分子量

    591.51

    Formula

    C27H28Cl2N4O5S

    CAS 号
    性状

    固体

    颜色

    White to off-white

    运输条件

    Room temperature in continental US; may vary elsewhere.

    储存方式
    Powder -20°C 3 years
    4°C 2 years
    In solvent -80°C 2 years
    -20°C 1 year
    溶解性数据
    细胞实验: 

    DMSO 中的溶解度 : 100 mg/mL (169.06 mM; 超声助溶; 吸湿的 DMSO 对产品的溶解度有显著影响,请使用新开封的 DMSO)

    配制储备液
    浓度 溶剂体积 质量 1 mg 5 mg 10 mg
    1 mM 1.6906 mL 8.4529 mL 16.9059 mL
    5 mM 0.3381 mL 1.6906 mL 3.3812 mL
    查看完整储备液配制表

    * 请根据产品在不同溶剂中的溶解度选择合适的溶剂配制储备液;一旦配成溶液,请分装保存,避免反复冻融造成的产品失效
    储备液的保存方式和期限:-80°C, 2 years; -20°C, 1 year。-80°C储存时,请在2年内使用, -20°C储存时,请在1年内使用。

    • 摩尔计算器

    • 稀释计算器

    Mass (g) = Concentration (mol/L) × Volume (L) × Molecular Weight (g/mol)

    质量
    =
    浓度
    ×
    体积
    ×
    分子量 *

    Concentration (start) × Volume (start) = Concentration (final) × Volume (final)

    This equation is commonly abbreviated as: C1V1 = C2V2

    浓度 (start)

    C1

    ×
    体积 (start)

    V1

    =
    浓度 (final)

    C2

    ×
    体积 (final)

    V2

    动物实验:

    请根据您的 实验动物和给药方式 选择适当的溶解方案。

    以下溶解方案都请先按照 In Vitro 方式配制澄清的储备液,再依次添加助溶剂:
    ——为保证实验结果的可靠性,澄清的储备液可以根据储存条件,适当保存;体内实验的工作液,建议您现用现配,当天使用
    以下溶剂前显示的百分比是指该溶剂在您配制终溶液中的体积占比;如在配制过程中出现沉淀、析出现象,可以通过加热和/或超声的方式助溶

    • 方案 一

      请依序添加每种溶剂: 10% DMSO    40% PEG300    5% Tween-80    45% Saline

      Solubility: ≥ 2.5 mg/mL (4.23 mM); 澄清溶液

      此方案可获得 ≥ 2.5 mg/mL(饱和度未知)的澄清溶液。

      1 mL 工作液为例,取 100 μL 25.0 mg/mL 的澄清 DMSO 储备液加到 400 μL PEG300 中,混合均匀;再向上述体系中加入 50 μL Tween-80,混合均匀;然后再继续加入 450 μL 生理盐水 定容至 1 mL

      生理盐水的配制:将 0.9 g 氯化钠,溶解于 ddH₂O 并定容至 100 mL,可以得到澄清透明的生理盐水溶液。
    • 方案 二

      请依序添加每种溶剂: 10% DMSO    90% Corn Oil

      Solubility: ≥ 2.5 mg/mL (4.23 mM); 澄清溶液

      此方案可获得 ≥ 2.5 mg/mL(饱和度未知)的澄清溶液,此方案实验周期在半个月以上的动物实验酌情使用。

      1 mL 工作液为例,取 100 μL 25.0 mg/mL 的澄清 DMSO 储备液加到 900 μL玉米油中,混合均匀。

    动物溶解方案计算器
    请输入动物实验的基本信息:

    给药剂量

    mg/kg

    动物的平均体重

    g

    每只动物的给药体积

    μL

    动物数量

    由于实验过程有损耗,建议您多配一只动物的量
    请输入您的动物体内配方组成:
    %
    DMSO +
    +
    %
    Tween-80 +
    %
    Saline
    如果您的动物是免疫缺陷鼠或者体弱鼠,建议 DMSO 中的在最后工作液体系中的占比尽量不超过 2%。
    方案所需 助溶剂 包括:DMSO ,均可在 MCE 网站选购。 Tween 80,均可在 MCE 网站选购。
    计算结果
    工作液所需浓度 : mg/mL
    储备液配制方法 : mg 药物溶于 μL  DMSO(母液浓度为 mg/mL)。
    您所需的储备液浓度超过该产品的实测溶解度,以下方案仅供参考,如有需要,请与 MCE 中国技术支持联系。
    动物实验体内工作液的配制方法 : 取 μL DMSO 储备液,加入 μL  μL ,混合均匀至澄清,再加 μL Tween 80,混合均匀至澄清,再加 μL 生理盐水
    连续给药周期超过半月以上,请谨慎选择该方案。
    请确保第一步储备液溶解至澄清状态,从左到右依次添加助溶剂。您可采用超声加热 (超声清洗仪,建议频次 20-40 kHz),涡旋吹打等方式辅助溶解。
    纯度 & 产品资料

    纯度: 99.92%

    参考文献
    Cell Assay
    [1]

    HeLa cells are seeded at 105 cells/mL in a 96-well tissue-culture plate. After incubating overnight, the medium is discarded, and the cells are added with tissue culture medium, 10% FBS, containing ST2825 at concentrations ranging from 0.1 to 10 μM and DMSO at 0.1% final concentration. The cells are incubated for 6 and 18 h and then added with the yellow XTT (0.3 mg/mL) for further 2 h of incubation. At the end of the incubation periods, reactions are quantified by using a Sirio S Seac microplate reader[1].

    MCE has not independently confirmed the accuracy of these methods. They are for reference only.

    Animal Administration
    [1]

    Mice[1]
    Mice (female C57Bl/6) are divided into experimental groups of 15 mice. They are injected i.p. with saline (control animals) or recombinant murine IL-1β (20 μg/kg). A time-course analysis of IL-6 production established that the peak of cytokine is reached 2 h after IL-1β injection. ST2825, administered orally as 0.5% suspension in carboxymethylcellulose (CMC) or CMC alone, is supplied to the experimental mice groups. Two hours after IL-1β injection, the animals are killed, and sera are collected to assay IL-6 levels. Mice, which are treated orally with 100 and 200 mg/kg ST2825, shows lower levels of IL-6 versus CMC-treated mice.

    MCE has not independently confirmed the accuracy of these methods. They are for reference only.

    参考文献

    完整储备液配制表

    * 请根据产品在不同溶剂中的溶解度选择合适的溶剂配制储备液;一旦配成溶液,请分装保存,避免反复冻融造成的产品失效
    储备液的保存方式和期限:-80°C, 2 years; -20°C, 1 year。-80°C储存时,请在2年内使用, -20°C储存时,请在1年内使用。

    可选溶剂 浓度 溶剂体积 质量 1 mg 5 mg 10 mg 25 mg
    DMSO 1 mM 1.6906 mL 8.4529 mL 16.9059 mL 42.2647 mL
    5 mM 0.3381 mL 1.6906 mL 3.3812 mL 8.4529 mL
    10 mM 0.1691 mL 0.8453 mL 1.6906 mL 4.2265 mL
    15 mM 0.1127 mL 0.5635 mL 1.1271 mL 2.8176 mL
    20 mM 0.0845 mL 0.4226 mL 0.8453 mL 2.1132 mL
    25 mM 0.0676 mL 0.3381 mL 0.6762 mL 1.6906 mL
    30 mM 0.0564 mL 0.2818 mL 0.5635 mL 1.4088 mL
    40 mM 0.0423 mL 0.2113 mL 0.4226 mL 1.0566 mL
    50 mM 0.0338 mL 0.1691 mL 0.3381 mL 0.8453 mL
    60 mM 0.0282 mL 0.1409 mL 0.2818 mL 0.7044 mL
    80 mM 0.0211 mL 0.1057 mL 0.2113 mL 0.5283 mL
    100 mM 0.0169 mL 0.0845 mL 0.1691 mL 0.4226 mL
    Help & FAQs
    • Do most proteins show cross-species activity?

      Species cross-reactivity must be investigated individually for each product. Many human cytokines will produce a nice response in mouse cell lines, and many mouse proteins will show activity on human cells. Other proteins may have a lower specific activity when used in the opposite species.

    您最近查看的产品:

    Your information is safe with us. * Required Fields.

       产品名称:

     

    * 需求量:

    * 客户姓名:

     

    * Email:

    * 电话:

     

    * 公司或机构名称:

       留言给我们:

    Bulk Inquiry

    Inquiry Information

    产品名称:
    ST 2825
    目录号:
    HY-50937
    需求量: