1. Cytoskeleton Epigenetics TGF-beta/Smad
  2. MARCKS PKC
  3. Sotrastaurin

Sotrastaurin  (Synonyms: AEB071)

目录号: HY-10343 纯度: 99.79%
COA 产品使用指南 技术支持

Sotrastaurin (AEB071) 是一种口服有效的 pan-PKC 抑制剂,作用于 PKCθ,PKCβ,PKCα,PKCη,PKCδPKCεKi 分别为 0.22 nM,0.64 nM,0.95 nM,1.8 nM,2.1 nM 和 3.2 nM。

MCE 的所有产品仅用作科学研究或药证申报,我们不为任何个人用途提供产品和服务

Sotrastaurin

Sotrastaurin Chemical Structure

CAS No. : 425637-18-9

1.  客户无需承担相应的运输费用。

2.  同一机构(单位)同一产品试用装仅限申领一次,同一机构(单位)一年内

     可免费申领三个不同产品的试用装。

3.  试用装只面向终端客户

规格 价格 是否有货 数量
10 mM * 1 mL in DMSO ¥1208
In-stock
1 mg ¥569
In-stock
5 mg ¥1252
In-stock
10 mg ¥2046
In-stock
25 mg ¥3520
In-stock
50 mg ¥4992
In-stock
100 mg 现货 询价
200 mg   询价  
500 mg   询价  

* Please select Quantity before adding items.

Customer Review

Other Forms of Sotrastaurin:

    Sotrastaurin purchased from MCE. Usage Cited in: Mol Ther Oncolytics. 2018 Aug 29:11:1-13.  [Abstract]

    Levels of murine APOBEC3 are measured by ELISA (left panel) and western blot (right panel) from B16 cells infected with VSV-GFP at an MOI of 0.01 at 0, 48, or 96 hr after treatment with a control IgG, a polyclonal anti-IFN-β antibody, or AEB071 (10 μM).

    Sotrastaurin purchased from MCE. Usage Cited in: Patent. US20180185302A1.

    Representative PKC inhibitor treated cancer cell line experiment. Each line is treated with AEB071 (10 μM) or vehicle control for 48 hours prior to analysis. The histogram reports APOBEC3B mRNA levels normalized to the vehicle treated control for each line.

    Sotrastaurin purchased from MCE. Usage Cited in: Cancer Res. 2015 Nov 1;75(21):4538-47.  [Abstract]

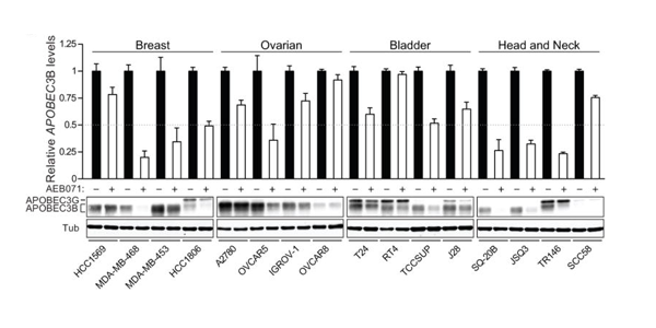
    AEB071 downregulates APOBEC3B in multiple cancer cell lines. The histogram reports APOBEC3B mRNA levels normalized to the vehicle treated control for each line. The dotted line represents a 50% decrease of APOBEC3B expression due to AEB071. The corresponding immunoblots show APOBEC3B and TUBULIN levels. Each line is treated with AEB071 (10 μM) or vehicle control for 48 hours prior to mRNA and protein analysis.
    • 生物活性

    • 实验参考方法

    • 纯度 & 产品资料

    • 参考文献

    生物活性

    Sotrastaurin (AEB071) is a potent and orally-active pan-PKC inhibitor, with Kis of 0.22 nM, 0.64 nM, 0.95 nM, 1.8 nM, 2.1 nM and 3.2 nM for PKCθ, PKCβ, PKCα, PKCη, PKCδ and PKCε, respectively[1].

    IC50 & Target[1]

    PKCθ

    0.22 nM (Ki)

    PKCβI

    0.64 nM (Ki)

    PKCα

    0.95 nM (Ki)

    PKCη

    1.8 nM (Ki)

    PKCδ

    2.1 nM (Ki)

    PKCε

    3.2 nM (Ki)

    细胞效力
    (Cellular Effect)
    Cell Line Type Value Description References
    A549 IC50
    > 3.2 μM
    Compound: Sotra
    Cytotoxicity in human A549 cells assessed as reduction in cell viability incubated for 24 hrs by CCK8 assay
    Cytotoxicity in human A549 cells assessed as reduction in cell viability incubated for 24 hrs by CCK8 assay
    [PMID: 33100009]
    ASPC1 IC50
    > 3.2 μM
    Compound: Sotra
    Cytotoxicity in human ASPC1 cells assessed as reduction in cell viability incubated for 24 hrs by CCK8 assay
    Cytotoxicity in human ASPC1 cells assessed as reduction in cell viability incubated for 24 hrs by CCK8 assay
    [PMID: 33100009]
    Bone marrow cell IC50
    3.7 μM
    Compound: 1
    Antiproliferative activity against CBA mouse bone marrow cells assessed as inhibition of [3H]thymidine incorporation after 4 days
    Antiproliferative activity against CBA mouse bone marrow cells assessed as inhibition of [3H]thymidine incorporation after 4 days
    [PMID: 19827831]
    BXPC-3 IC50
    > 3.2 μM
    Compound: Sotra
    Cytotoxicity in human BXPC-3 cells assessed as reduction in cell viability incubated for 24 hrs by CCK8 assay
    Cytotoxicity in human BXPC-3 cells assessed as reduction in cell viability incubated for 24 hrs by CCK8 assay
    [PMID: 33100009]
    Jurkat IC50
    54 nM
    Compound: 1
    Inhibition of TCR/CD28-mediated human T cell activation in Jurkat cells expressing human IL2 promoter by luciferase reporter gene assay
    Inhibition of TCR/CD28-mediated human T cell activation in Jurkat cells expressing human IL2 promoter by luciferase reporter gene assay
    [PMID: 19827831]
    Lymphocyte IC50
    150 nM
    Compound: 1, STN, AEB071, sotrastaurin
    Immunosuppressive activity in mouse lymphocytes assessed as alloantigen-induced T cell proliferation by mixed lymphocyte reaction assay
    Immunosuppressive activity in mouse lymphocytes assessed as alloantigen-induced T cell proliferation by mixed lymphocyte reaction assay
    [PMID: 21797275]
    Lymphocyte IC50
    37 nM
    Compound: 1, STN, AEB071, sotrastaurin
    Immunosuppressive activity in human lymphocytes assessed as alloantigen-induced T cell proliferation by mixed lymphocyte reaction assay
    Immunosuppressive activity in human lymphocytes assessed as alloantigen-induced T cell proliferation by mixed lymphocyte reaction assay
    [PMID: 21797275]
    MGC-803 IC50
    > 3.2 μM
    Compound: Sotra
    Cytotoxicity in human MGC-803 cells assessed as reduction in cell viability incubated for 24 hrs by CCK8 assay
    Cytotoxicity in human MGC-803 cells assessed as reduction in cell viability incubated for 24 hrs by CCK8 assay
    [PMID: 33100009]
    NCI-H1299 IC50
    > 3.2 μM
    Compound: Sotra
    Cytotoxicity in human NCI-H1299 cells assessed as reduction in cell viability incubated for 24 hrs by CCK8 assay
    Cytotoxicity in human NCI-H1299 cells assessed as reduction in cell viability incubated for 24 hrs by CCK8 assay
    [PMID: 33100009]
    NCI-H1975 IC50
    > 3.2 μM
    Compound: Sotra
    Cytotoxicity in human NCI-H1975 cells assessed as reduction in cell viability incubated for 24 hrs by CCK8 assay
    Cytotoxicity in human NCI-H1975 cells assessed as reduction in cell viability incubated for 24 hrs by CCK8 assay
    [PMID: 33100009]
    PBMC IC50
    28 nM
    Compound: Sotrastaurin
    Inhibition of human PBMC proliferation assessed as decrease in [3H]-TdR uptake after 6 days by mixed lymphocyte reaction assay
    Inhibition of human PBMC proliferation assessed as decrease in [3H]-TdR uptake after 6 days by mixed lymphocyte reaction assay
    [PMID: 28131714]
    PC-9 IC50
    > 3.2 μM
    Compound: Sotra
    Cytotoxicity in human PC-9 cells assessed as reduction in cell viability incubated for 24 hrs by CCK8 assay
    Cytotoxicity in human PC-9 cells assessed as reduction in cell viability incubated for 24 hrs by CCK8 assay
    [PMID: 33100009]
    RKO IC50
    > 3.2 μM
    Compound: Sotra
    Cytotoxicity in human RKO cells assessed as reduction in cell viability incubated for 24 hrs by CCK8 assay
    Cytotoxicity in human RKO cells assessed as reduction in cell viability incubated for 24 hrs by CCK8 assay
    [PMID: 33100009]
    Splenocyte IC50
    128 nM
    Compound: 1
    Immunosuppressive activity in BALB/c mouse splenocytes assessed as inhibition of [3H]thymidine incorporation after 4 days by allogenic mixed lymphocyte reaction assay
    Immunosuppressive activity in BALB/c mouse splenocytes assessed as inhibition of [3H]thymidine incorporation after 4 days by allogenic mixed lymphocyte reaction assay
    [PMID: 19827831]
    Splenocyte IC50
    34 nM
    Compound: 1
    Immunosuppressive activity in human splenocytes assessed as inhibition of [3H]thymidine incorporation after 4 days by allogenic mixed lymphocyte reaction assay
    Immunosuppressive activity in human splenocytes assessed as inhibition of [3H]thymidine incorporation after 4 days by allogenic mixed lymphocyte reaction assay
    [PMID: 19827831]
    Vero CC50
    66 μM
    Compound: 210
    Cytotoxicity against African green monkey Vero cells assessed as reduction in cell viability measured on day 5 post dose by MTS/PMS based microscopic analysis
    Cytotoxicity against African green monkey Vero cells assessed as reduction in cell viability measured on day 5 post dose by MTS/PMS based microscopic analysis
    [PMID: 28689975]
    体外研究
    (In Vitro)

    在无细胞激酶测定中,Sotrastaurin (AEB071) 抑制 PKC,Ki 值在亚纳摩尔到低纳摩尔范围内。当在一组选定的激酶上测试 Sotrastaurin 时,Sotrastaurin 显示 IC50 值低于 1 μM 的唯一酶是糖原合酶激酶 3β[1]
    Sotrastaurin (AEB071) 抑制所有细胞系中的 p-MARCKS (一种 PKC 底物) 和 pS6,与突变状态无关。在较低剂量下,在 GNA11 突变细胞中也存在对 pERK 的轻微抑制,但在任何浓度的 WT 细胞中都没有。这与之前的报道一致,表明 Sotrastaurin 抑制 GNAQ 突变细胞系中的 ERK1/2 磷酸化[2]

    MCE has not independently confirmed the accuracy of these methods. They are for reference only.

    体内研究
    (In Vivo)

    与单独的 Sotrastaurin (AEB071) 或 BYL719 相比,联合疗法导致肿瘤体积显著减少 (p=0.049 对比 BYL719,p=0.022 对比 Sotrastaurin,第 26 天)。与对照控制相比,效果甚至更大 (p=0.016)[2]
    Sotrastaurin (STN) 处理肝脏供体和原位肝移植 (OLT) 接受者 (Gr.I) 或单独接受 OLT 接受者 (Gr.II) 可延长动物存活期,因为 Gr. 10 只大鼠中有 9 只。I 和 Gr.II 中 6 只大鼠中的 6 只存活 > 14 天。相比之下,10 名对照 OLT 接受者中只有 4 名在第 14 天还活着 (p<0.01)[3]

    MCE has not independently confirmed the accuracy of these methods. They are for reference only.

    Clinical Trial
    分子量

    438.48

    Formula

    C25H22N6O2

    CAS 号
    性状

    固体

    运输条件

    Room temperature in continental US; may vary elsewhere.

    储存方式
    Powder -20°C 3 years
    4°C 2 years
    In solvent -80°C 1 year
    -20°C 6 months
    溶解性数据
    细胞实验: 

    DMSO 中的溶解度 : ≥ 50 mg/mL (114.03 mM; 吸湿的 DMSO 对产品的溶解度有显著影响,请使用新开封的 DMSO)

    * "≥" means soluble, but saturation unknown.

    配制储备液
    浓度 溶剂体积 质量 1 mg 5 mg 10 mg
    1 mM 2.2806 mL 11.4030 mL 22.8061 mL
    5 mM 0.4561 mL 2.2806 mL 4.5612 mL
    查看完整储备液配制表

    * 请根据产品在不同溶剂中的溶解度选择合适的溶剂配制储备液;一旦配成溶液,请分装保存,避免反复冻融造成的产品失效
    储备液的保存方式和期限:-80°C, 1 year; -20°C, 6 months。-80°C储存时,请在1年内使用, -20°C储存时,请在6个月内使用。

    • 摩尔计算器

    • 稀释计算器

    Mass (g) = Concentration (mol/L) × Volume (L) × Molecular Weight (g/mol)

    质量
    =
    浓度
    ×
    体积
    ×
    分子量 *

    Concentration (start) × Volume (start) = Concentration (final) × Volume (final)

    This equation is commonly abbreviated as: C1V1 = C2V2

    浓度 (start)

    C1

    ×
    体积 (start)

    V1

    =
    浓度 (final)

    C2

    ×
    体积 (final)

    V2

    动物实验:

    请根据您的 实验动物和给药方式 选择适当的溶解方案。

    以下溶解方案都请先按照 In Vitro 方式配制澄清的储备液,再依次添加助溶剂:
    ——为保证实验结果的可靠性,澄清的储备液可以根据储存条件,适当保存;体内实验的工作液,建议您现用现配,当天使用
    以下溶剂前显示的百分比是指该溶剂在您配制终溶液中的体积占比;如在配制过程中出现沉淀、析出现象,可以通过加热和/或超声的方式助溶

    • 方案 一

      请依序添加每种溶剂: 10% DMSO    90% (20% SBE-β-CD in Saline)

      Solubility: 2.5 mg/mL (5.70 mM); 悬浊液; 超声助溶

      此方案可获得 2.5 mg/mL的均匀悬浊液,悬浊液可用于口服和腹腔注射。

      1 mL 工作液为例,取 100 μL 25.0 mg/mL 的澄清 DMSO 储备液加到 900 μL 20% 的 SBE-β-CD 生理盐水水溶液 中,混合均匀。

      2 g SBE-β-CD(磺丁基醚 β-环糊精)粉末定容于 10 mL 的生理盐水中,完全溶解至澄清透明。
    动物溶解方案计算器
    请输入动物实验的基本信息:

    给药剂量

    mg/kg

    动物的平均体重

    g

    每只动物的给药体积

    μL

    动物数量

    由于实验过程有损耗,建议您多配一只动物的量
    请输入您的动物体内配方组成:
    %
    DMSO +
    +
    %
    Tween-80 +
    %
    Saline
    如果您的动物是免疫缺陷鼠或者体弱鼠,建议 DMSO 中的在最后工作液体系中的占比尽量不超过 2%。
    方案所需 助溶剂 包括:DMSO ,均可在 MCE 网站选购。 Tween 80,均可在 MCE 网站选购。
    计算结果
    工作液所需浓度 : mg/mL
    储备液配制方法 : mg 药物溶于 μL  DMSO(母液浓度为 mg/mL)。
    您所需的储备液浓度超过该产品的实测溶解度,以下方案仅供参考,如有需要,请与 MCE 中国技术支持联系。
    动物实验体内工作液的配制方法 : 取 μL DMSO 储备液,加入 μL  μL ,混合均匀至澄清,再加 μL Tween 80,混合均匀至澄清,再加 μL 生理盐水
    连续给药周期超过半月以上,请谨慎选择该方案。
    请确保第一步储备液溶解至澄清状态,从左到右依次添加助溶剂。您可采用超声加热 (超声清洗仪,建议频次 20-40 kHz),涡旋吹打等方式辅助溶解。
    纯度 & 产品资料

    纯度: 99.79%

    参考文献
    Kinase Assay
    [1]

    Classical and novel PKC isotypes are assayed by scintillation proximity assay technology. In brief, the assay is performed in 20 mM Tris-HCl buffer, pH 7.4, and 0.1% bovine serum albumin by incubating 1.5 μM of the peptide substrate with 10 μM [33P]ATP, 10 mM Mg (NO3)2, 0.2 mM CaCl2, and PKC at a protein concentration varying from 25 to 400 ng/mL, and lipid vesicles containing 30 mol% phosphatidylserine, 5 mol% diacylglycerol (DAG), and 65 mol% phosphatidylcholine at a final lipid concentration of 0.5 μM. Incubation is performed for 60 min at room temperature. The reaction is stopped by adding 50 μL of a mixture containing 100 mM EDTA, 200 μM ATP, 0.1% Triton X-100, and 0.375 μg/well streptavidin-coated scintillation proximity assay beads in PBS without Ca2+ and Mg2+. Incorporated radioactivity is measured in a MicroBetaTrilux counter for 1 min. PKCζ is assayed. In situ Thr-219 autophosphorylation status analysis of PKCθ is done by a phospho-site-specific antibody[1].

    MCE has not independently confirmed the accuracy of these methods. They are for reference only.

    Cell Assay
    [2]

    Cells are plated in a 96-well plate and treated with Sotrastaurin, BYL719 or DMSO at indicated concentrations for a period of 5 days. Viability is assessed using Cell Counting Kit. The Combination Index values are calculated using the CompuSyn software. Briefly explained, the plots generated by the CompuSyn software demonstrate the Y-axis combination index values, where CI<1, =1, and >1 indicate synergism, additive effect, and antagonism, respectively. The X-Axis represents the fractional activity, which reflects the fraction of cells inhibited by the treatments relative to vehicle control. For combination index studies, the concentrations tested included Sotrastaurin (0, 125, 250, 500, 1000 nM) and BYL719 (0, 250, 500, 1000, 2000 nM)[2].

    MCE has not independently confirmed the accuracy of these methods. They are for reference only.

    Animal Administration
    [2][3]

    Mice[2]
    6-8 week nu/nu SCID female mice bearing subcutaneously injected 92.1 tumors (7 mice/group) of 100mm3 diameter are treated with vehicle, Sotrastaurin (80mg/kg/d) TID and or BYL719 orally (50mg/kg/d) QD as single agents and in combination, 5 days/week for 2 weeks. After 2 weeks, two animals from each group are sacrificed and tumors are collected to analyze for Western blot. For Omm1 xenogratfs, 6-8 weeks athymic female mice bearing subcutaneously injected Omm1 tumors (7 mice/group) of 100 mm3 diameter are treated with vehicle, Sotrastaurin (80mg/kg/d) TID and or BYL719 orally (50mg/kg/d) QD as single agents and in combination, 5 days/week for 3 weeks. Tumors are homogenized with grinding resins kits. Tumors are collected to analyze for H&E, and terminal deoxynucleotidyl transferase dUTP nick end labeling (TUNEL) staining. Tumors are measured every 2 to 3 days with calipers, and tumor volumes are calculated. Toxicity is monitored by weight loss.
    Rats[3]
    Male Sprague-Dawley (SD) rats (230-250g) are used throughout.Livers from SD rats are stored at 4C in UW solution for 30h, and then transplanted to SD rats with revascularization. Sotrastaurin (30mg/kg b.i.d. via oral gavage) is used in two treatment protocols. In Gr. I (n=10), liver Sotrastaurin is given to liver donors (90min prior to organ harvest) and OLT recipients (90min prior to the transplant, and for three days post-OLT). In Gr. II (n=6), Sotrastaurin is administered to OLT recipients only (according to Gr. I protocol). Gr. III controls are treated with PBS (n=10). OLT survival is assessed at day 14. Separate cohorts in Gr. I (n=3-4/gr) are sacrificed at 6h and 24h; OLT and peripheral blood samples are collected for analyses.

    MCE has not independently confirmed the accuracy of these methods. They are for reference only.

    参考文献

    完整储备液配制表

    * 请根据产品在不同溶剂中的溶解度选择合适的溶剂配制储备液;一旦配成溶液,请分装保存,避免反复冻融造成的产品失效
    储备液的保存方式和期限:-80°C, 1 year; -20°C, 6 months。-80°C储存时,请在1年内使用, -20°C储存时,请在6个月内使用。

    可选溶剂 浓度 溶剂体积 质量 1 mg 5 mg 10 mg 25 mg
    DMSO 1 mM 2.2806 mL 11.4030 mL 22.8061 mL 57.0151 mL
    5 mM 0.4561 mL 2.2806 mL 4.5612 mL 11.4030 mL
    10 mM 0.2281 mL 1.1403 mL 2.2806 mL 5.7015 mL
    15 mM 0.1520 mL 0.7602 mL 1.5204 mL 3.8010 mL
    20 mM 0.1140 mL 0.5702 mL 1.1403 mL 2.8508 mL
    25 mM 0.0912 mL 0.4561 mL 0.9122 mL 2.2806 mL
    30 mM 0.0760 mL 0.3801 mL 0.7602 mL 1.9005 mL
    40 mM 0.0570 mL 0.2851 mL 0.5702 mL 1.4254 mL
    50 mM 0.0456 mL 0.2281 mL 0.4561 mL 1.1403 mL
    60 mM 0.0380 mL 0.1901 mL 0.3801 mL 0.9503 mL
    80 mM 0.0285 mL 0.1425 mL 0.2851 mL 0.7127 mL
    100 mM 0.0228 mL 0.1140 mL 0.2281 mL 0.5702 mL
    Help & FAQs
    • Do most proteins show cross-species activity?

      Species cross-reactivity must be investigated individually for each product. Many human cytokines will produce a nice response in mouse cell lines, and many mouse proteins will show activity on human cells. Other proteins may have a lower specific activity when used in the opposite species.

    您最近查看的产品:

    Your information is safe with us. * Required Fields.

       产品名称:

     

    * 需求量:

    * 客户姓名:

     

    * Email:

    * 电话:

     

    * 公司或机构名称:

       留言给我们:

    Bulk Inquiry

    Inquiry Information

    产品名称:
    Sotrastaurin
    目录号:
    HY-10343
    需求量: