1. NF-κB Stem Cell/Wnt MAPK/ERK Pathway Autophagy Apoptosis
  2. Keap1-Nrf2 ERK Autophagy Apoptosis Ferroptosis
  3. TBHQ

TBHQ  (Synonyms: 特丁基对苯二酚; tert-Butylhydroquinone)

目录号: HY-100489 纯度: 99.89%
COA 产品使用指南 技术支持

TBHQ (tert-Butylhydroquinone) 是一种广泛使用的 Nrf2 激活剂,通过激活 Nrf2 来免受 Doxorubicin (DOX)-诱导的心脏毒性。TBHQ (tert-Butylhydroquinone) 也是一种 ERK 激活剂,逆转 Dehydrocorydaline (DHC) 对黑素瘤细胞增殖的抑制作用。

MCE 的所有产品仅用作科学研究或药证申报,我们不为任何个人用途提供产品和服务

TBHQ

TBHQ Chemical Structure

CAS No. : 1948-33-0

1.  客户无需承担相应的运输费用。

2.  同一机构(单位)同一产品试用装仅限申领一次,同一机构(单位)一年内

     可免费申领三个不同产品的试用装。

3.  试用装只面向终端客户

规格 价格 是否有货 数量
10 mM * 1 mL in DMSO ¥440
In-stock
500 mg ¥400
In-stock
1 g ¥500
In-stock
5 g   询价  
10 g   询价  

* Please select Quantity before adding items.

Customer Review

Other Forms of TBHQ:

MCE 顾客使用本产品发表的 109 篇科研文献

WB

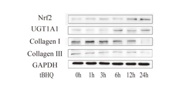
    TBHQ purchased from MCE. Usage Cited in: Front Pharmacol. 2018 Jun 6:9:540.  [Abstract]

    BHQ promotes higher protein expression of Nrf2 in a time-dependent manner in neonatal rat cardiac fibroblasts (NRCF) while notably downregulated collagen I and collagen III.

    TBHQ purchased from MCE. Usage Cited in: Biochem Biophys Res Commun. 2018 Jun 7;500(3):790-796.  [Abstract]

    Macrophages are isolated from wild-type mice, treated with tBHQ (100 μM) or not, and induced for 3 h using LPS, IFN-g, IL-4 or IL-13. Western blot analysis of the expression of Nrf2, p65 subunit of NF-kB, phosphorylated p65 and PPARg in the cytoplasm and nucleus.

    查看 ERK 亚型特异性产品:

    • 生物活性

    • 纯度 & 产品资料

    • 参考文献

    生物活性

    TBHQ (tert-Butylhydroquinone) is a widely used Nrf2 activator, protects against Doxorubicin (DOX)-induced cardiotoxicity through activation of Nrf2[1]. TBHQ (tert-Butylhydroquinone) is also an ERK activator; rescues Dehydrocorydaline (DHC)-induced cell proliferation inhibitionin melanoma[2].

    IC50 & Target[1][2]

    Nrf2

     

    ERK

     

    Autophagy

     

    细胞效力
    (Cellular Effect)
    Cell Line Type Value Description References
    HCT-116 IC50
    > 100 μM
    Compound: tBHQ
    Cytotoxicity against human HCT116 cells by MTT assay
    Cytotoxicity against human HCT116 cells by MTT assay
    [PMID: 23820128]
    HeLa EC50
    > 400 μM
    Compound: TBHQ
    Inhibition of Influenza A virus H3N2 A/X-31 hemagglutinin 3 D1122N expressed in HeLa cells assessed as polykaryon formation preincubated for 15 mins and further incubated for 15 mins with acidic buffer containing compounds at pH 5.6 by giemsa staining bas
    Inhibition of Influenza A virus H3N2 A/X-31 hemagglutinin 3 D1122N expressed in HeLa cells assessed as polykaryon formation preincubated for 15 mins and further incubated for 15 mins with acidic buffer containing compounds at pH 5.6 by giemsa staining bas
    [PMID: 31753804]
    HeLa EC50
    12 μM
    Compound: TBHQ
    Inhibition of Influenza A virus H3N2 A/X-31 hemagglutinin 3 E572K mutant expressed in HeLa cells assessed as polykaryon formation preincubated for 15 mins and further incubated for 15 mins with acidic buffer containing compounds at pH 5.2 by giemsa staini
    Inhibition of Influenza A virus H3N2 A/X-31 hemagglutinin 3 E572K mutant expressed in HeLa cells assessed as polykaryon formation preincubated for 15 mins and further incubated for 15 mins with acidic buffer containing compounds at pH 5.2 by giemsa staini
    [PMID: 31753804]
    HeLa EC50
    9.9 μM
    Compound: TBHQ
    Inhibition of influenza H3N2 A/X-31 hemagglutinin 3 expressed in HeLa cells assessed as polykaryon formation preincubated for 15 mins and further incubated for 15 mins with acidic buffer containing compounds at pH 5.2 by giemsa staining based microscopic
    Inhibition of influenza H3N2 A/X-31 hemagglutinin 3 expressed in HeLa cells assessed as polykaryon formation preincubated for 15 mins and further incubated for 15 mins with acidic buffer containing compounds at pH 5.2 by giemsa staining based microscopic
    [PMID: 31753804]
    HepG2 EC50
    12.6 μM
    Compound: t-Butylhydroquinone
    Activation of human PXR expressed in human HepG2 (DPX-2) cells after 24 hrs by luciferase reporter gene based luminescent analysis
    Activation of human PXR expressed in human HepG2 (DPX-2) cells after 24 hrs by luciferase reporter gene based luminescent analysis
    [PMID: 20966043]
    HepG2 EC50
    2 μM
    Compound: t-Butylhydroquinone
    Activation of human PXR expressed in human HepG2 (DPX-2) cells assessed as induction of CYP3A4 after 24 hrs by luminescent analysis
    Activation of human PXR expressed in human HepG2 (DPX-2) cells assessed as induction of CYP3A4 after 24 hrs by luminescent analysis
    [PMID: 20966043]
    THP-1 IC50
    > 100 μM
    Compound: tBHQ
    Cytotoxicity against human THP-1 cells assessed as reduction in cell viability measured after 24 hrs by MTT assay
    Cytotoxicity against human THP-1 cells assessed as reduction in cell viability measured after 24 hrs by MTT assay
    [PMID: 35253427]
    体外研究
    (In Vitro)

    TBHQ (t-butylhydroquinone; tBHQ) (0-100 μM; 48 h) 单独使用不会影响 H9c2 细胞活力。将 H9c2 细胞与不同浓度的 tBHQ 预孵育 24 小时可增强细胞活力,而细胞活力会因暴露于乙醇而以剂量依赖性方式降低。用 tBHQ 处理可显著增强暴露于乙醇的 H9c2 心肌细胞的活力[3]
    TBHQ (5 μM; 15 mins;H9c2 细胞) 处理可显著减少暴露于乙醇的凋亡细胞数量[3]
    TBHQ (5 μM; H9c2 细胞) 预处理显著抑制了乙醇诱导的 caspase-3Bax 表达增加,并增强了 Bcl-2 表达[3]

    MCE has not independently confirmed the accuracy of these methods. They are for reference only.

    Cell Viability Assay[3]

    Cell Line: H9c2 cells
    Concentration: 0 µM, 0.625 µM, 1.25 µM, 2.5 µM, 5 µM, 10 µM, 20 µM, 50 µM and 100 µM
    Incubation Time: 48 hours
    Result: Enhanced the viability of H9c2 cardiomyocytes exposed to ethanol.

    Apoptosis Analysis[3]

    Cell Line: H9c2 cells
    Concentration: 5 μM
    Incubation Time:
    Result: Lowered the amount of apoptotic cells exposed to ethanol.

    Western Blot Analysis[3]

    Cell Line: H9c2 cells
    Concentration: 5 μM
    Incubation Time:
    Result: Inhibited the ethanol-induced increase in caspase-3 and Bax expression, and enhanced Bcl-2 expression.
    体内研究
    (In Vivo)

    TBHQ 治疗 (50 mg/kg; i.p.; 在脑出血 (ICH) 后 1 小时开始注射,每次隔 8 小时注射一次,共注射三次; CD-1 小鼠) 可增强 Nrf2 的 DNA 结合活性,减轻脑出血 (ICH) 后的氧化性脑损伤和急性神经功能障碍,减弱小胶质细胞活化,同时减少促炎细胞因子白细胞介素-1β (IL-1β) 的释放。TBHQ 在脑出血后给药具有减轻急性神经损伤的疗效[4]

    MCE has not independently confirmed the accuracy of these methods. They are for reference only.

    Animal Model: Male CD-1 mice (8-10 weeks old)[4]
    Dosage: 50 mg/kg
    Administration: Intraperitoneal injection; three injections at intervals of 8 hours that began 1h post ICH.
    Result: The treatment augmented the DNA-binding activity of Nrf2, attenuated brain oxidative damage, attenuated the microglial activation and the expression of IL-1β.
    分子量

    166.22

    Formula

    C10H14O2

    CAS 号
    性状

    固体

    颜色

    White to off-white

    中文名称

    特丁基对苯二酚;叔丁基对苯二酚

    运输条件

    Room temperature in continental US; may vary elsewhere.

    储存方式

    Store at room temperature 3 years

    In solvent -80°C 2 years
    -20°C 1 year
    溶解性数据
    细胞实验: 

    DMSO 中的溶解度 : ≥ 56.66 mg/mL (340.87 mM; 吸湿的 DMSO 对产品的溶解度有显著影响,请使用新开封的 DMSO)

    * "≥" means soluble, but saturation unknown.

    配制储备液
    浓度 溶剂体积 质量 1 mg 5 mg 10 mg
    1 mM 6.0161 mL 30.0806 mL 60.1612 mL
    5 mM 1.2032 mL 6.0161 mL 12.0322 mL
    查看完整储备液配制表

    * 请根据产品在不同溶剂中的溶解度选择合适的溶剂配制储备液;一旦配成溶液,请分装保存,避免反复冻融造成的产品失效
    储备液的保存方式和期限:-80°C, 2 years; -20°C, 1 year。-80°C储存时,请在2年内使用,-20°C储存时,请在1年内使用。

    • 摩尔计算器

    • 稀释计算器

    Mass (g) = Concentration (mol/L) × Volume (L) × Molecular Weight (g/mol)

    质量
    =
    浓度
    ×
    体积
    ×
    分子量 *

    Concentration (start) × Volume (start) = Concentration (final) × Volume (final)

    This equation is commonly abbreviated as: C1V1 = C2V2

    浓度 (start)

    C1

    ×
    体积 (start)

    V1

    =
    浓度 (final)

    C2

    ×
    体积 (final)

    V2

    动物实验:

    请根据您的 实验动物和给药方式 选择适当的溶解方案。

    以下溶解方案都请先按照 In Vitro 方式配制澄清的储备液,再依次添加助溶剂:
    ——为保证实验结果的可靠性,澄清的储备液可以根据储存条件,适当保存;体内实验的工作液,建议您现用现配,当天使用
    以下溶剂前显示的百分比是指该溶剂在您配制终溶液中的体积占比;如在配制过程中出现沉淀、析出现象,可以通过加热和/或超声的方式助溶

    • 方案 一

      请依序添加每种溶剂: 10% DMSO    40% PEG300    5% Tween-80    45% Saline

      Solubility: ≥ 2.5 mg/mL (15.04 mM); 澄清溶液

      此方案可获得 ≥ 2.5 mg/mL(饱和度未知)的澄清溶液。

      1 mL 工作液为例,取 100 μL 25.0 mg/mL 的澄清 DMSO 储备液加到 400 μL PEG300 中,混合均匀;再向上述体系中加入 50 μL Tween-80,混合均匀;然后再继续加入 450 μL 生理盐水 定容至 1 mL

      生理盐水的配制:将 0.9 g 氯化钠,溶解于 ddH₂O 并定容至 100 mL,可以得到澄清透明的生理盐水溶液。
    • 方案 二

      请依序添加每种溶剂: 10% DMSO    90% (20% SBE-β-CD in Saline)

      Solubility: ≥ 2.5 mg/mL (15.04 mM); 澄清溶液

      此方案可获得 ≥ 2.5 mg/mL(饱和度未知)的澄清溶液。

      1 mL 工作液为例,取 100 μL 25.0 mg/mL 的澄清 DMSO 储备液加到 900 μL 20% 的 SBE-β-CD 生理盐水水溶液 中,混合均匀。

      2 g SBE-β-CD(磺丁基醚 β-环糊精)粉末定容于 10 mL 的生理盐水中,完全溶解至澄清透明。

    以下溶解方案,请直接配制工作液。建议现用现配,在短期内尽快用完。 以下溶剂前显示的百分比是指该溶剂在您配制终溶液中的体积占比; 如在配制过程中出现沉淀、析出现象,可以通过加热和/或超声的方式助溶。

    • 方案 一

      请依序添加每种溶剂: 50% PEG300    50% Saline

      Solubility: 20 mg/mL (120.32 mM); 澄清溶液; 超声助溶

    动物溶解方案计算器
    请输入动物实验的基本信息:

    给药剂量

    mg/kg

    动物的平均体重

    g

    每只动物的给药体积

    μL

    动物数量

    由于实验过程有损耗,建议您多配一只动物的量
    请输入您的动物体内配方组成:
    %
    DMSO +
    +
    %
    Tween-80 +
    %
    Saline
    如果您的动物是免疫缺陷鼠或者体弱鼠,建议 DMSO 中的在最后工作液体系中的占比尽量不超过 2%。
    方案所需 助溶剂 包括:DMSO ,均可在 MCE 网站选购。 Tween 80,均可在 MCE 网站选购。
    计算结果
    工作液所需浓度 : mg/mL
    储备液配制方法 : mg 药物溶于 μL  DMSO(母液浓度为 mg/mL)。
    您所需的储备液浓度超过该产品的实测溶解度,以下方案仅供参考,如有需要,请与 MCE 中国技术支持联系。
    动物实验体内工作液的配制方法 : 取 μL DMSO 储备液,加入 μL  μL ,混合均匀至澄清,再加 μL Tween 80,混合均匀至澄清,再加 μL 生理盐水
    连续给药周期超过半月以上,请谨慎选择该方案。
    请确保第一步储备液溶解至澄清状态,从左到右依次添加助溶剂。您可采用超声加热 (超声清洗仪,建议频次 20-40 kHz),涡旋吹打等方式辅助溶解。
    纯度 & 产品资料

    纯度: 99.89%

    参考文献

    完整储备液配制表

    * 请根据产品在不同溶剂中的溶解度选择合适的溶剂配制储备液;一旦配成溶液,请分装保存,避免反复冻融造成的产品失效
    储备液的保存方式和期限:-80°C, 2 years; -20°C, 1 year。-80°C储存时,请在2年内使用,-20°C储存时,请在1年内使用。

    可选溶剂 浓度 溶剂体积 质量 1 mg 5 mg 10 mg 25 mg
    DMSO 1 mM 6.0161 mL 30.0806 mL 60.1612 mL 150.4031 mL
    5 mM 1.2032 mL 6.0161 mL 12.0322 mL 30.0806 mL
    10 mM 0.6016 mL 3.0081 mL 6.0161 mL 15.0403 mL
    15 mM 0.4011 mL 2.0054 mL 4.0107 mL 10.0269 mL
    20 mM 0.3008 mL 1.5040 mL 3.0081 mL 7.5202 mL
    25 mM 0.2406 mL 1.2032 mL 2.4064 mL 6.0161 mL
    30 mM 0.2005 mL 1.0027 mL 2.0054 mL 5.0134 mL
    40 mM 0.1504 mL 0.7520 mL 1.5040 mL 3.7601 mL
    50 mM 0.1203 mL 0.6016 mL 1.2032 mL 3.0081 mL
    60 mM 0.1003 mL 0.5013 mL 1.0027 mL 2.5067 mL
    80 mM 0.0752 mL 0.3760 mL 0.7520 mL 1.8800 mL
    100 mM 0.0602 mL 0.3008 mL 0.6016 mL 1.5040 mL
    Help & FAQs
    • Do most proteins show cross-species activity?

      Species cross-reactivity must be investigated individually for each product. Many human cytokines will produce a nice response in mouse cell lines, and many mouse proteins will show activity on human cells. Other proteins may have a lower specific activity when used in the opposite species.

    您最近查看的产品:

    Your information is safe with us. * Required Fields.

       产品名称:

     

    * 需求量:

    * 客户姓名:

     

    * Email:

    * 电话:

     

    * 公司或机构名称:

       留言给我们:

    Bulk Inquiry

    Inquiry Information

    产品名称:
    TBHQ
    目录号:
    HY-100489
    需求量: