1. Membrane Transporter/Ion Channel
  2. P-glycoprotein
  3. Tariquidar methanesulfonate, hydrate

Tariquidar methanesulfonate, hydrate  (Synonyms: XR9576 methanesulfonate, hydrate)

目录号: HY-10550A 纯度: 98.52%
COA 产品使用指南 技术支持

Tariquidar methanesulfonate, hydrate (XR9576 methanesulfonate, hydrate) 是有效和特异性的 P-glycoprotein (P-gp) 抑制剂,Kd值为5.1 nM。

MCE 的所有产品仅用作科学研究或药证申报,我们不为任何个人用途提供产品和服务

Tariquidar methanesulfonate, hydrate

Tariquidar methanesulfonate, hydrate Chemical Structure

CAS No. : 625375-83-9

1.  客户无需承担相应的运输费用。

2.  同一机构(单位)同一产品试用装仅限申领一次,同一机构(单位)一年内

     可免费申领三个不同产品的试用装。

3.  试用装只面向终端客户

规格 价格 是否有货 数量
10 mM * 1 mL in DMSO ¥1045
In-stock
5 mg ¥593
In-stock
10 mg ¥950
In-stock
50 mg ¥2930
In-stock
100 mg ¥4604
In-stock
200 mg   询价  
500 mg   询价  

* Please select Quantity before adding items.

Customer Review

Other Forms of Tariquidar methanesulfonate, hydrate:

MCE 顾客使用本产品发表的 52 篇科研文献

IF
WB

    Tariquidar methanesulfonate, hydrate purchased from MCE. Usage Cited in: Eur J Med Chem. 2017 Feb 15:127:586-598.  [Abstract]

    Fluorescence ratio values in K562/DOX cells incubated with Rhd 123 in the absence (control) and in the presence of Verapamil (ver.) and Tariquidar (tar.) tested at 3.0 μM and 1.0 μM concentrations respectively.

    Tariquidar methanesulfonate, hydrate purchased from MCE. Usage Cited in: RSC Adv. 2016,6, 69083-69093.

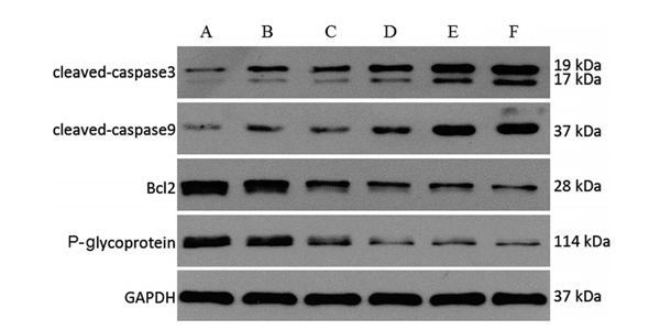
    Western blot analysis on MCF-7/ADR cells after being treated by (A) control (without treatment), (B) free DOX, (C) CMC/CaCO3/DOX, (D) BCMC/CaCO3/DOX, (E) CMC/CaCO3/DOX/TQR, and (F) BCMC/CaCO3/DOX/TQR for 24 h.
    • 生物活性

    • 实验参考方法

    • 纯度 & 产品资料

    • 参考文献

    生物活性

    Tariquidar methanesulfonate, hydrate (XR9576 methanesulfonate, hydrate) is a potent and specific inhibitor of P-glycoprotein (P-gp) with a Kd of 5.1 nM.

    IC50 & Target

    Kd: 5.1 nM (P-gp)[1]

    体外研究
    (In Vitro)

    Tariquidar methanesμLfonate,hydrate (XR9576 methanesμLfonate,hydrate) 是 P-gp 介导的[3H]-Vinblastine 和[3H]-Paclitaxel 转运的有效调节剂,因为它增加这些细胞毒素在 CHrB30 细胞中的稳态积累达到在不表达 P-gp 的 AuxB1 细胞中观察到的水平 (EC50=487 nM)。[3H]-Tariquidar 以最高亲和力结合 CHrB30 膜 (Kd=5.1 nM) 结合能力 (Bmax) 为 275 pmol/mg 膜蛋白。与亲本细胞系相比,[3H]-长春碱的积累通过调节剂 XR9576 以剂量依赖性方式增加 (EC50=487 nM)。MDR 调节剂 Tariquidar 能够抑制 60-70% 的钒酸盐敏感 ATPase 活性,有效的 IC50 值为 43 nM[1]。Tariquidar (XR9576) 增强多种药物的细胞毒性,包括多柔比星、紫杉醇、依托泊苷和长春新碱;在 25-80 nM Tariquidar 存在的情况下可实现耐药性的完全逆转。Tariquidar 是[3H]Azidopine 对 P-gp 进行光亲和标记的有效抑制剂,表明与蛋白质直接相互作用[2]

    MCE has not independently confirmed the accuracy of these methods. They are for reference only.

    体内研究
    (In Vivo)

    在携带固有抗性 MC26 结肠肿瘤的小鼠中,同时服用 Tariquidar methanesμLfonate,hydrate (XR9576 methanesμLfonate,hydrate) 可增强多柔比星的抗肿瘤活性,而不会显著增加毒性;在 2.5-4.0 mg/kg 静脉内或口服给药时观察到最大增强作用 此外,与 Tariquidar (6-12 mg/kg po) 共同给药可完全恢复紫杉醇、依托泊苷和长春新碱对两种高度耐药 MDR 人类肿瘤的抗肿瘤活性裸鼠异种移植物 (2780AD,H69/LX4)。Tariquidar 被发现还显著增强阿霉素对体内皮下注射;MC26 肿瘤的抗肿瘤活性[2]

    MCE has not independently confirmed the accuracy of these methods. They are for reference only.

    Clinical Trial
    分子量

    892.99

    Formula

    C40H52N4O15S2

    CAS 号
    性状

    固体

    颜色

    Yellow to orange

    中文名称

    他立喹达二甲磺酸盐六水合物

    运输条件

    Room temperature in continental US; may vary elsewhere.

    储存方式

    4°C, sealed storage, away from moisture

    *In solvent : -80°C, 6 months; -20°C, 1 month (sealed storage, away from moisture)

    溶解性数据
    细胞实验: 

    DMSO 中的溶解度 : ≥ 296 mg/mL (331.47 mM; 吸湿的 DMSO 对产品的溶解度有显著影响,请使用新开封的 DMSO)

    H2O 中的溶解度 : 5 mg/mL (5.60 mM; 超声助溶)

    * "≥" means soluble, but saturation unknown.

    配制储备液
    浓度 溶剂体积 质量 1 mg 5 mg 10 mg
    1 mM 1.1198 mL 5.5992 mL 11.1983 mL
    5 mM 0.2240 mL 1.1198 mL 2.2397 mL
    查看完整储备液配制表

    * 请根据产品在不同溶剂中的溶解度选择合适的溶剂配制储备液;一旦配成溶液,请分装保存,避免反复冻融造成的产品失效
    储备液的保存方式和期限:-80°C, 6 months; -20°C, 1 month (sealed storage, away from moisture)。-80°C储存时,请在6个月内使用,-20°C储存时,请在1个月内使用。

    * 备注:如您选择水作为储备液,请稀释至工作液后,再用 0.22 μm 的滤膜过滤除菌后使用。

    • 摩尔计算器

    • 稀释计算器

    Mass (g) = Concentration (mol/L) × Volume (L) × Molecular Weight (g/mol)

    质量
    =
    浓度
    ×
    体积
    ×
    分子量 *

    Concentration (start) × Volume (start) = Concentration (final) × Volume (final)

    This equation is commonly abbreviated as: C1V1 = C2V2

    浓度 (start)

    C1

    ×
    体积 (start)

    V1

    =
    浓度 (final)

    C2

    ×
    体积 (final)

    V2

    动物实验:

    以下溶解方案源自文献,仅供参考,建议您先取少量样品进行尝试。

    • 方案 一

      Tariquidar methanesulfonate, hydrate is prepared in vehicle (2.5 % glucose solution)[3].

    动物溶解方案计算器
    请输入动物实验的基本信息:

    给药剂量

    mg/kg

    动物的平均体重

    g

    每只动物的给药体积

    μL

    动物数量

    由于实验过程有损耗,建议您多配一只动物的量
    计算结果
    工作液所需浓度 : mg/mL
    纯度 & 产品资料

    纯度: 98.52%

    参考文献
    Cell Assay
    [2]

    Cells (EMT6 AR1.0 8×102/well; A2780 5×103/well; 2780AD 6×103/well) are seeded into 96-well plates. After ~4 h, varying concentrations of Tariquidar are added, and cells are incubated for an additional 4 days (EMT6 AR1.0) or 6 days (2780AD) before quantification of cell growth and calculation of IC10 values (concentration resulting in 10% inhibition of cell growth)[2].

    MCE has not independently confirmed the accuracy of these methods. They are for reference only.

    Animal Administration
    [2]

    Mice[2]
    MC26 tumor slurry is implanted s.c. in BALB/c mice (day 0). The animals are then randomized, 24 h later, into groups of 15-18 and treated once with various regimens. Tariquidar methanesulfonate or vehicle is administered either i.v. via a lateral tail vein or p.o. with Doxorubicin (5 mg/kg) or vehicle i.v. The modulator is administered either i.v. at 2-4 mg/kg (10 mL/kg) at the same time as Doxorubicin or p.o. at 2-8 mg/kg (10 mL/kg) 1 h before the Cytotoxic drug. GG918 is administered p.o. 1 h before doxorubicin. All of the animals are weighed twice weekly. The animals are killed by cervical dislocation on day 14, and the tumors are excised and weighed. The data are analyzed by Student’s t test.
    Rat[2]
    Male CD rats (3 animals per time point) are dosed i.v. with paclitaxel alone [15 min infusion at 10 mg/kg in Tween 80:ethanol:5% dextrose (5:10:85% v/v/v)] or in combination with Tariquidar methanesulfonate (10 mg/kg). Tariquidar methanesulfonate is administered as a bolus (i.v.) dose 15 min before infusion of Paclitaxel. Blood samples are collected by cardiac puncture using heparinized syringes at various times between 0.083 and 48 h and are centrifuged to prepare plasma, which is stored at −20°C until analysis. Paclitaxel concentration in plasma samples is measured by a LC-MS/MS assay.

    MCE has not independently confirmed the accuracy of these methods. They are for reference only.

    参考文献

    Tariquidar methanesulfonate, hydrate 相关分类

    完整储备液配制表

    * 请根据产品在不同溶剂中的溶解度选择合适的溶剂配制储备液;一旦配成溶液,请分装保存,避免反复冻融造成的产品失效
    储备液的保存方式和期限:-80°C, 6 months; -20°C, 1 month (sealed storage, away from moisture)。-80°C储存时,请在6个月内使用,-20°C储存时,请在1个月内使用。

    可选溶剂 浓度 溶剂体积 质量 1 mg 5 mg 10 mg 25 mg
    H2O / DMSO 1 mM 1.1198 mL 5.5992 mL 11.1983 mL 27.9958 mL
    5 mM 0.2240 mL 1.1198 mL 2.2397 mL 5.5992 mL
    DMSO 10 mM 0.1120 mL 0.5599 mL 1.1198 mL 2.7996 mL
    15 mM 0.0747 mL 0.3733 mL 0.7466 mL 1.8664 mL
    20 mM 0.0560 mL 0.2800 mL 0.5599 mL 1.3998 mL
    25 mM 0.0448 mL 0.2240 mL 0.4479 mL 1.1198 mL
    30 mM 0.0373 mL 0.1866 mL 0.3733 mL 0.9332 mL
    40 mM 0.0280 mL 0.1400 mL 0.2800 mL 0.6999 mL
    50 mM 0.0224 mL 0.1120 mL 0.2240 mL 0.5599 mL
    60 mM 0.0187 mL 0.0933 mL 0.1866 mL 0.4666 mL
    80 mM 0.0140 mL 0.0700 mL 0.1400 mL 0.3499 mL
    100 mM 0.0112 mL 0.0560 mL 0.1120 mL 0.2800 mL

    * 备注:如您选择水作为储备液,请稀释至工作液后,再用 0.22 μm 的滤膜过滤除菌后使用。

    Help & FAQs
    • Do most proteins show cross-species activity?

      Species cross-reactivity must be investigated individually for each product. Many human cytokines will produce a nice response in mouse cell lines, and many mouse proteins will show activity on human cells. Other proteins may have a lower specific activity when used in the opposite species.

    您最近查看的产品:

    Your information is safe with us. * Required Fields.

       产品名称:

     

    * 需求量:

    * 客户姓名:

     

    * Email:

    * 电话:

     

    * 公司或机构名称:

       留言给我们:

    Bulk Inquiry

    Inquiry Information

    产品名称:
    Tariquidar methanesulfonate, hydrate
    目录号:
    HY-10550A
    需求量:
    !很高兴为您提供帮助!