1. Immunology/Inflammation NF-κB Metabolic Enzyme/Protease
  2. Reactive Oxygen Species (ROS)
  3. Visomitin

Visomitin  (Synonyms: SKQ1)

目录号: HY-100474 纯度: 98.82%
COA 产品使用指南 技术支持

Visomitin (SKQ1) 是一种靶向线粒体的抗氧化剂,具有高的线粒体穿透能力和有效的抗氧化能力。

MCE 的所有产品仅用作科学研究或药证申报,我们不为任何个人用途提供产品和服务

我们将采用定制合成服务的方式为您快速提供所需产品和技术服务

Visomitin

Visomitin Chemical Structure

CAS No. : 934826-68-3

1.  客户无需承担相应的运输费用。

2.  同一机构(单位)同一产品试用装仅限申领一次,同一机构(单位)一年内

     可免费申领三个不同产品的试用装。

3.  试用装只面向终端客户

规格 价格 是否有货 数量
10 mM * 1 mL in DMSO ¥679
In-stock
1 mg ¥200
In-stock
5 mg ¥500
In-stock
10 mg ¥800
In-stock
25 mg ¥1300
In-stock
50 mg ¥1900
In-stock
100 mg ¥2850
In-stock
200 mg   询价  
500 mg   询价  

* Please select Quantity before adding items.

Customer Review

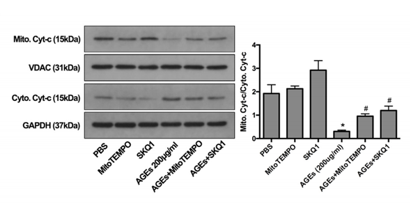
    Visomitin purchased from MCE. Usage Cited in: Redox Biol. 2018 Oct;19:339-353.  [Abstract]

    Representative western blotting assay and quantitation of the level of Cyt-c in mitochondrial and cytoplasmic extracts from human NP cells with MitoTEMPO or SKQ1 pre-treatment.
    • 生物活性

    • 实验参考方法

    • 纯度 & 产品资料

    • 参考文献

    生物活性

    Visomitin (SKQ1) is a mitochondrial-targeted antioxidant with the high mitochondrion membrane penetrating ability and potent antioxidant capability[1].

    体外研究
    (In Vitro)

    Visomitin (SkQ1) 直接处理肿瘤浸润白细胞不影响其对 Panc02 细胞的细胞毒性;然而,500 nM 浓度的 Visomitin 显著抑制人 PDAC 细胞的增殖,但对细胞存活无明显影响[1].

    MCE has not independently confirmed the accuracy of these methods. They are for reference only.

    体内研究
    (In Vivo)

    关于全身血管生成因子,在胰腺导管腺癌 (PDAC) 小鼠血清中观察到 Visomitin (SkQ1) 持续治疗组的 KC 降低。用 Visomitin 治疗小鼠会增加 VEGF 分子的水平。在所有 Visomitin 治疗组或后续治疗后,MIP1a 和催乳素的量分别降低。此外,在 Visomitin 治疗组中发现 IL-6IL-13 的量增加。在预处理环境中,TGF-b 的量减少。相反,所有 Visomitin 治疗方案都会降低 NKT 细胞百分比。Visomitin 治疗延长了 PDAC 小鼠的中位生存期,但差异未达到定义的显着性水平[1]

    MCE has not independently confirmed the accuracy of these methods. They are for reference only.

    Clinical Trial
    分子量

    617.60

    Formula

    C36H42BrO2P

    CAS 号
    性状

    固体

    颜色

    Yellow to brown

    运输条件

    Room temperature in continental US; may vary elsewhere.

    储存方式

    4°C, stored under nitrogen, away from moisture

    *In solvent : -80°C, 6 months; -20°C, 1 month (stored under nitrogen, away from moisture)

    溶解性数据
    细胞实验: 

    DMSO 中的溶解度 : 100 mg/mL (161.92 mM; 超声助溶; 吸湿的 DMSO 对产品的溶解度有显著影响,请使用新开封的 DMSO)

    配制储备液
    浓度 溶剂体积 质量 1 mg 5 mg 10 mg
    1 mM 1.6192 mL 8.0959 mL 16.1917 mL
    5 mM 0.3238 mL 1.6192 mL 3.2383 mL
    查看完整储备液配制表

    * 请根据产品在不同溶剂中的溶解度选择合适的溶剂配制储备液;一旦配成溶液,请分装保存,避免反复冻融造成的产品失效
    储备液的保存方式和期限:-80°C, 6 months; -20°C, 1 month (stored under nitrogen, away from moisture)。-80°C储存时,请在6个月内使用,-20°C储存时,请在1个月内使用。

    • 摩尔计算器

    • 稀释计算器

    Mass (g) = Concentration (mol/L) × Volume (L) × Molecular Weight (g/mol)

    质量
    =
    浓度
    ×
    体积
    ×
    分子量 *

    Concentration (start) × Volume (start) = Concentration (final) × Volume (final)

    This equation is commonly abbreviated as: C1V1 = C2V2

    浓度 (start)

    C1

    ×
    体积 (start)

    V1

    =
    浓度 (final)

    C2

    ×
    体积 (final)

    V2

    动物实验:

    请根据您的 实验动物和给药方式 选择适当的溶解方案。

    以下溶解方案都请先按照 In Vitro 方式配制澄清的储备液,再依次添加助溶剂:
    ——为保证实验结果的可靠性,澄清的储备液可以根据储存条件,适当保存;体内实验的工作液,建议您现用现配,当天使用
    以下溶剂前显示的百分比是指该溶剂在您配制终溶液中的体积占比;如在配制过程中出现沉淀、析出现象,可以通过加热和/或超声的方式助溶

    • 方案 一

      请依序添加每种溶剂: 10% DMSO    40% PEG300    5% Tween-80    45% Saline

      Solubility: ≥ 2.5 mg/mL (4.05 mM); 澄清溶液

      此方案可获得 ≥ 2.5 mg/mL(饱和度未知)的澄清溶液。

      1 mL 工作液为例,取 100 μL 25.0 mg/mL 的澄清 DMSO 储备液加到 400 μL PEG300 中,混合均匀;再向上述体系中加入 50 μL Tween-80,混合均匀;然后再继续加入 450 μL 生理盐水 定容至 1 mL

      生理盐水的配制:将 0.9 g 氯化钠,溶解于 ddH₂O 并定容至 100 mL,可以得到澄清透明的生理盐水溶液。
    动物溶解方案计算器
    请输入动物实验的基本信息:

    给药剂量

    mg/kg

    动物的平均体重

    g

    每只动物的给药体积

    μL

    动物数量

    由于实验过程有损耗,建议您多配一只动物的量
    请输入您的动物体内配方组成:
    %
    DMSO +
    +
    %
    Tween-80 +
    %
    Saline
    如果您的动物是免疫缺陷鼠或者体弱鼠,建议 DMSO 中的在最后工作液体系中的占比尽量不超过 2%。
    方案所需 助溶剂 包括:DMSO ,均可在 MCE 网站选购。 Tween 80,均可在 MCE 网站选购。
    计算结果
    工作液所需浓度 : mg/mL
    储备液配制方法 : mg 药物溶于 μL  DMSO(母液浓度为 mg/mL)。

    *In solvent : -80°C, 6 months; -20°C, 1 month (stored under nitrogen, away from moisture)

    您所需的储备液浓度超过该产品的实测溶解度,以下方案仅供参考,如有需要,请与 MCE 中国技术支持联系。
    动物实验体内工作液的配制方法 : 取 μL DMSO 储备液,加入 μL  μL ,混合均匀至澄清,再加 μL Tween 80,混合均匀至澄清,再加 μL 生理盐水
    连续给药周期超过半月以上,请谨慎选择该方案。
    请确保第一步储备液溶解至澄清状态,从左到右依次添加助溶剂。您可采用超声加热 (超声清洗仪,建议频次 20-40 kHz),涡旋吹打等方式辅助溶解。
    纯度 & 产品资料

    纯度: 98.99%

    参考文献
    Cell Assay
    [1]

    Panc02 cells are treated 48 h with different concentrations of Visomitin (SkQ1). Cell viability after Visomitin treatment is measured with an EZ4U Kit as described by the manufacturers. Briefly, 20,000 cells per well are seeded in 96-wellplates and let grow overnight. Afterwards, cells are treated without the medium exchange. A substrate compound from the kit is added and the cells are further incubated for 5 hr at 37°C to convert the yellow colored tetrazolium to its red formazan derivate by living cells. The absorbance is measured at 450 nm[1].

    MCE has not independently confirmed the accuracy of these methods. They are for reference only.

    Animal Administration
    [2]

    Female C57BL/6 mice are used in this study. For experiments on both acute and chronic pancreatitis, mice are divided in three groups. Group A (acute pancreatitis (AP) n=8; chronic pancreatitis (CP) n=12) is treated with 5 nmol/kg Visomitin (SkQ1), group B (AP n=8; CP n=12) is the untreated control, and group C (AP n=8; CP n=7) is the sham group, which is injected intraperitoneally with 0.9% NaCl instead of cerulein and is therefore the negative control group without pancreatitis. For experiments on acute pancreatitis, mice are pretreated with Visomitin for 8 weeks prior to induction of pancreatitis. Mice designated for experiments on chronic pancreatitis receive Visomitin at the same concentration for 8 weeks in parallel with induction of pancreatitis[2].

    MCE has not independently confirmed the accuracy of these methods. They are for reference only.

    参考文献

    完整储备液配制表

    * 请根据产品在不同溶剂中的溶解度选择合适的溶剂配制储备液;一旦配成溶液,请分装保存,避免反复冻融造成的产品失效
    储备液的保存方式和期限:-80°C, 6 months; -20°C, 1 month (stored under nitrogen, away from moisture)。-80°C储存时,请在6个月内使用,-20°C储存时,请在1个月内使用。

    可选溶剂 浓度 溶剂体积 质量 1 mg 5 mg 10 mg 25 mg
    DMSO 1 mM 1.6192 mL 8.0959 mL 16.1917 mL 40.4793 mL
    5 mM 0.3238 mL 1.6192 mL 3.2383 mL 8.0959 mL
    10 mM 0.1619 mL 0.8096 mL 1.6192 mL 4.0479 mL
    15 mM 0.1079 mL 0.5397 mL 1.0794 mL 2.6986 mL
    20 mM 0.0810 mL 0.4048 mL 0.8096 mL 2.0240 mL
    25 mM 0.0648 mL 0.3238 mL 0.6477 mL 1.6192 mL
    30 mM 0.0540 mL 0.2699 mL 0.5397 mL 1.3493 mL
    40 mM 0.0405 mL 0.2024 mL 0.4048 mL 1.0120 mL
    50 mM 0.0324 mL 0.1619 mL 0.3238 mL 0.8096 mL
    60 mM 0.0270 mL 0.1349 mL 0.2699 mL 0.6747 mL
    80 mM 0.0202 mL 0.1012 mL 0.2024 mL 0.5060 mL
    100 mM 0.0162 mL 0.0810 mL 0.1619 mL 0.4048 mL
    Help & FAQs
    • Do most proteins show cross-species activity?

      Species cross-reactivity must be investigated individually for each product. Many human cytokines will produce a nice response in mouse cell lines, and many mouse proteins will show activity on human cells. Other proteins may have a lower specific activity when used in the opposite species.

    您最近查看的产品:

    Your information is safe with us. * Required Fields.

       产品名称:

     

    * 需求量:

    * 客户姓名:

     

    * Email:

    * 电话:

     

    * 公司或机构名称:

       留言给我们:

    Bulk Inquiry

    Inquiry Information

    产品名称:
    Visomitin
    目录号:
    HY-100474
    需求量: