1. Stem Cell/Wnt Epigenetics Cell Cycle/DNA Damage
  2. β-catenin PARP
  3. XAV-939

XAV-939 是一种 Tankyrase 抑制剂。XAV-939 对 TNKS1 和 TNKS2 具有抑制活性,IC50 值分别为 5 nM 和 2 nM。XAV-939 也是 hMSCs 成骨细胞分化的增强剂。XAV-939 可用于研究与激活的 Wnt 信号传导相关的疾病,例如癌症、纤维化疾病和与低骨形成相关的疾病。

MCE 的所有产品仅用作科学研究或药证申报,我们不为任何个人用途提供产品和服务

XAV-939

XAV-939 Chemical Structure

CAS No. : 284028-89-3

1.  客户无需承担相应的运输费用。

2.  同一机构(单位)同一产品试用装仅限申领一次,同一机构(单位)一年内

     可免费申领三个不同产品的试用装。

3.  试用装只面向终端客户

规格 价格 是否有货 数量
10 mM * 1 mL in DMSO ¥500
In-stock
5 mg ¥418
In-stock
10 mg ¥558
In-stock
25 mg ¥1240
In-stock
50 mg ¥1860
In-stock
100 mg ¥2790
In-stock
200 mg ¥3713
In-stock
500 mg 现货 询价
1 g 现货 询价
5 g   询价  
10 g   询价  

* Please select Quantity before adding items.

Customer Review

Other Forms of XAV-939:

MCE 顾客使用本产品发表的 164 篇科研文献

WB

    XAV-939 purchased from MCE. Usage Cited in: EMBO Mol Med. 2023 Jun 7;15(6):e17101.  [Abstract]

    XAV939 (20 μM; 3 days) restores the expression of Homer1, PSD95, and GluR1 in Shank3 knockout (KO) human neurons.

    XAV-939 purchased from MCE. Usage Cited in: Ecotoxicol Environ Saf. 2023 Jan 1:249:114410.  [Abstract]

    XAV-939 (5 μM) significantly decreases the expression level of β-catenin in A549 cells.

    XAV-939 purchased from MCE. Usage Cited in: Am J Physiol Renal Physiol. 2020 Sep 1;319(3):F458-F468.  [Abstract]

    Representative Western blot showing FN protein abundance in HMCs cultured in media containing NG or HG in the absence or presence of liraglutide (100 nM) or DMSO (1:1000) or XAV-939 (5 μM) for 24 h.

    XAV-939 purchased from MCE. Usage Cited in: Cell Death Dis. 2018 Jan 18;9(2):27.  [Abstract]

    The cellular locations of β-catenin are detected by western blot. GAPDH, Histone H3, and ATP1A1 are used to normalize protein expression in total lysates and nuclear and membrane fractions, respectively. SGC-7901 cells with PCDHGA9 overexpression or vector control cells are grown in media with or without 10 μg/mL inhibitor of β-catenin (XAV-939).

    XAV-939 purchased from MCE. Usage Cited in: Front Pharmacol. 2018 Jun 21:9:660.  [Abstract]

    By Western blotting, the α-SMA and palladin proteins are determined in cells that are pretreated with NF-κB (JSH-23), Wnt/β-catenin (XAV939), EGFR (CP-358774), p38 MAPK (TAK-715), and Smad3 (SIS3) inhibitors and are followed by TWEAK stimulation.

    XAV-939 purchased from MCE. Usage Cited in: Biochem Biophys Res Commun. 2018 Sep 10;503(3):2061-2067.  [Abstract]

    Western blot analysis and alizarin red staining of hDFSCs transfected by EZH2-siRNA and treated by XAV-939. DMSO is used as a vehicle control.

    XAV-939 purchased from MCE. Usage Cited in: Anticancer Drugs. 2018 Mar;29(3):208-215.  [Abstract]

    SUM159 sphere-forming cells are treated with GDC-0449 (15 μM), a Smoothened (Smo) inhibitor for 7 days, and the protein expression levels of breast cancer stem cells (CSCs) play markers are detected by western blotting.

    XAV-939 purchased from MCE. Usage Cited in: Anticancer Drugs. 2018 Mar;29(3):208-215.  [Abstract]

    SUM159 sphereforming cells are treated with 15 μM XAV-939 for 7 days, and the protein expression levels of breast cancer stem cells (CSCs) markers are detected by western blotting.

    XAV-939 purchased from MCE. Usage Cited in: Biomed Res Int. 2017:2017:1972608.  [Abstract]

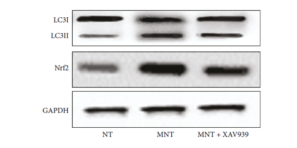
    To investigate the roles of β-catenin, XAV939 (β-catenin inhibitor) was added to MNT group. Total protein is used to observe the expression of Nrf2 and LC3.

    XAV-939 purchased from MCE. Usage Cited in: Proc Natl Acad Sci U S A. 2016 Mar 29;113(13):E1898-906.  [Abstract]

    Analysis of the in vitro role of the Wnt/β–catenin pathway in the regulation of AQP2 expression in response to sPRR-His treatment. Effect of XAV on sPRR-His-induced AQP2 expression (n = 6 per group).

    XAV-939 purchased from MCE. Usage Cited in: Cell Physiol Biochem. 2016;39(1):360-70.  [Abstract]

    EGF upregulates the expression of follicle-regulatory genes via Wnt/β-catenin signaling pathway. (A) The mRNA and (B, C) the protein levels of Survivin, Msx2 and SGK3 in the ORS cells with EGF treatment/overexpression and/or XAV-939 treatment.

    XAV-939 purchased from MCE. Usage Cited in: Comp Biochem Phys B. 2016 Jan;191:155-62.  [Abstract]

    The protein expression of Wnt10b and p-GSK-3β is significantly induced by LiCl treatment (A and B). Nevertheless, XAV939 treatment significantly inhibits the protein expression of p-GSK-3β (B). Moreover, the protein expression of p-β-catenin is significantly inhibited by LiCl treatment, but significantly induced by XAV939 treatment (C).
    • 生物活性

    • 纯度 & 产品资料

    • 参考文献

    生物活性

    XAV-939 is a Tankyrase inhibitor. XAV-939 has inhibitory activity for TNKS1 and TNKS2 with IC50 values of 5 nM and 2 nM, respectively. XAV-939 also is an enhancer of osteoblastic differentiation of hMSCs. XAV-939 can be used for the research of conditions associated with activated Wnt signaling, such as cancer, fibrotic diseases and conditions associated with low bone formation[1][2][3].

    IC50 & Target[6]

    TNKS2

    2 nM (IC50)

    TNKS1

    5 nM (IC50)

    ARTD2

    479 nM (IC50)

    ARTD1

    5500 nM (IC50)

    细胞效力
    (Cellular Effect)
    Cell Line Type Value Description References
    A549 IC50
    12.3 μM
    Compound: XAV939
    Growth inhibition of human A549 cells after 72 hrs by MTT assay
    Growth inhibition of human A549 cells after 72 hrs by MTT assay
    [PMID: 29934219]
    COLO 320DM GI50
    17 μM
    Compound: XAV939
    Antiproliferative activity against human COLO320DM cells assessed as inhibition of cell growth measured after 4 days by CellTiter-Glo assay
    Antiproliferative activity against human COLO320DM cells assessed as inhibition of cell growth measured after 4 days by CellTiter-Glo assay
    [PMID: 30883102]
    DLD-1 IC50
    0.707 μM
    Compound: 1, XAV-939
    Inhibition of tankyrase in human DLD1 cells assessed as reduction in Wnt activity after 24 hrs by TCF-luciferase reporter gene assay
    Inhibition of tankyrase in human DLD1 cells assessed as reduction in Wnt activity after 24 hrs by TCF-luciferase reporter gene assay
    [PMID: 25299683]
    HEK293 IC50
    0.078 μM
    Compound: 1, XAV939
    Inhibition of mouse Wnt3A signaling in human HEK293 cells after 1 day by super top flash luciferase reporter gene assay
    Inhibition of mouse Wnt3A signaling in human HEK293 cells after 1 day by super top flash luciferase reporter gene assay
    [PMID: 22260203]
    HEK293 IC50
    0.078 μM
    Compound: 1, XAV939
    Inhibition of Wnt signaling in human HEK293 cells assessed as inhibition of forskolin-induced cAMP response element activation by STF luciferase reporter gene assay
    Inhibition of Wnt signaling in human HEK293 cells assessed as inhibition of forskolin-induced cAMP response element activation by STF luciferase reporter gene assay
    [PMID: 23879431]
    HEK293 IC50
    0.078 μM
    Compound: 1, XAV939
    Inhibition of WNT3A signaling in HEK293 cells by luciferase reporter gene assay in presence of forskolin
    Inhibition of WNT3A signaling in HEK293 cells by luciferase reporter gene assay in presence of forskolin
    [PMID: 23844574]
    HEK293 IC50
    272 μM
    Compound: 3, XAV939
    Inhibition of Tankyrase in human HEK293 cells assessed as inhibition of Wnt pathway by Wnt3a-induced STF assay
    Inhibition of Tankyrase in human HEK293 cells assessed as inhibition of Wnt pathway by Wnt3a-induced STF assay
    [PMID: 23316926]
    HEK-293T IC50
    51 nM
    Compound: 2, XAV939
    Inhibition of beta-casein-dependent canonical Wnt3 pathway in human HEK293T cells by luciferase reporter gene assay
    Inhibition of beta-casein-dependent canonical Wnt3 pathway in human HEK293T cells by luciferase reporter gene assay
    [PMID: 22191557]
    Sf21 IC50
    0.0053 μM
    Compound: 1, XAV939
    Inhibition of N-terminal GST-tagged TNKS2 (unknown origin) expressed in baculovirus infected sf21 cells after 60 mins by LC-MS analysis
    Inhibition of N-terminal GST-tagged TNKS2 (unknown origin) expressed in baculovirus infected sf21 cells after 60 mins by LC-MS analysis
    [PMID: 23879431]
    Sf21 IC50
    17 nM
    Compound: 5; XAV939
    Inhibition of N-terminal GST-tagged human TNKS-2 (849 to 1166 residues) expressed in in insect sf21 cells preincubated for 2 hrs followed by substrate addition measured after 30 mins
    Inhibition of N-terminal GST-tagged human TNKS-2 (849 to 1166 residues) expressed in in insect sf21 cells preincubated for 2 hrs followed by substrate addition measured after 30 mins
    [PMID: 27163581]
    Sf9 IC50
    2.1 nM
    Compound: XAV939
    Inhibition of human N-terminal GST-tagged TNKS2 (667 to 1166 residues) expressed in baculovirus infected Sf9 insect cells using histone as substrate measured after 1 hr by horseradish peroxidase-coupled chemiluminescence assay
    Inhibition of human N-terminal GST-tagged TNKS2 (667 to 1166 residues) expressed in baculovirus infected Sf9 insect cells using histone as substrate measured after 1 hr by horseradish peroxidase-coupled chemiluminescence assay
    [PMID: 31042381]
    Sf9 IC50
    4.2 nM
    Compound: XAV939
    Inhibition of human N-terminal GST-tagged TNKS1 (1001 to 1327 residues) expressed in baculovirus infected Sf9 insect cells using histone as substrate measured after 1 hr by horseradish peroxidase-coupled chemiluminescence assay
    Inhibition of human N-terminal GST-tagged TNKS1 (1001 to 1327 residues) expressed in baculovirus infected Sf9 insect cells using histone as substrate measured after 1 hr by horseradish peroxidase-coupled chemiluminescence assay
    [PMID: 31042381]
    SW480 GI50
    > 50 μM
    Compound: XAV939
    Growth inhibition of human SW480 cells by Cell-titer-fluor reagent based assay
    Growth inhibition of human SW480 cells by Cell-titer-fluor reagent based assay
    [PMID: 31769984]
    SW480 EC50
    0.371 μM
    Compound: 1, XAV939
    Stabilization of Axin2 in human SW480 cells after 24 hrs by sandwich ELISA
    Stabilization of Axin2 in human SW480 cells after 24 hrs by sandwich ELISA
    [PMID: 22260203]
    体外研究
    (In Vitro)

    XAV-939 对 TNKS1 和 TNKS2 具有活性,IC50 值分别为 5 nM 和 2 nM[1]
    XAV-939 (0.3-30 μM;3 或 10 天) 增强 hBMSCs 的成骨细胞分化[2]
    XAV-939 (3 μM) 通过 SH3BP2 的积累促进 hMSCs 的成骨细胞分化[2]
    XAV-939 (3 μM;10 天) 在成骨细胞分化过程中上调 hBMSC 细胞中 OPG 的表达并下调 RANKL 的表达[2]
    XAV-939 抑制 Wnt/β-catenin 信号并促进 SFRP3 和 SFRP4 的表达[3]

    MCE has not independently confirmed the accuracy of these methods. They are for reference only.

    Cell Viability Assay[2]

    Cell Line: hMSC-TERT cell line
    Concentration: 0.3, 3, and 30 μM
    Incubation Time: 3 days
    Result: Showed no significant effect on proliferation at day 1, 2, and 3 at dose of 0.3 and 3 μM but inhibited hMSCs cell proliferation on day 3 at dose of 30 μM.

    Apoptosis Analysis[2]

    Cell Line: hMSC-TERT cell line
    Concentration: 3 µM
    Incubation Time: 3 days
    Result: Showed a minute percentage of cell death (apoptosis and necrosis) in the XAV-939-treated hBMSC

    RT-PCR[2]

    Cell Line: hMSC-TERT cell line
    Concentration: 3 µM
    Incubation Time: 10 days
    Result: Upregulated gene expression of osteoblast-associated gene markers including: ALP, COL1A1, RUNX2, and OC.
    体内研究
    (In Vivo)

    XAV-939 在体内修复机械应力诱导的软骨退化[3]

    MCE has not independently confirmed the accuracy of these methods. They are for reference only.

    分子量

    312.31

    Formula

    C14H11F3N2OS

    CAS 号
    性状

    固体

    颜色

    White to off-white

    运输条件

    Room temperature in continental US; may vary elsewhere.

    储存方式
    Powder -20°C 3 years
    4°C 2 years
    In solvent -80°C 1 year
    -20°C 6 months
    溶解性数据
    细胞实验: 

    DMSO 中的溶解度 : 15.62 mg/mL (50.01 mM; 超声助溶 (<60°C); 吸湿的 DMSO 对产品的溶解度有显著影响,请使用新开封的 DMSO)

    配制储备液
    浓度 溶剂体积 质量 1 mg 5 mg 10 mg
    1 mM 3.2019 mL 16.0097 mL 32.0195 mL
    5 mM 0.6404 mL 3.2019 mL 6.4039 mL
    查看完整储备液配制表

    * 请根据产品在不同溶剂中的溶解度选择合适的溶剂配制储备液;一旦配成溶液,请分装保存,避免反复冻融造成的产品失效
    储备液的保存方式和期限:-80°C, 1 year; -20°C, 6 months。-80°C储存时,请在1年内使用, -20°C储存时,请在6个月内使用。

    • 摩尔计算器

    • 稀释计算器

    Mass (g) = Concentration (mol/L) × Volume (L) × Molecular Weight (g/mol)

    质量
    =
    浓度
    ×
    体积
    ×
    分子量 *

    Concentration (start) × Volume (start) = Concentration (final) × Volume (final)

    This equation is commonly abbreviated as: C1V1 = C2V2

    浓度 (start)

    C1

    ×
    体积 (start)

    V1

    =
    浓度 (final)

    C2

    ×
    体积 (final)

    V2

    动物实验:

    请根据您的 实验动物和给药方式 选择适当的溶解方案。

    以下溶解方案都请先按照 In Vitro 方式配制澄清的储备液,再依次添加助溶剂:
    ——为保证实验结果的可靠性,澄清的储备液可以根据储存条件,适当保存;体内实验的工作液,建议您现用现配,当天使用
    以下溶剂前显示的百分比是指该溶剂在您配制终溶液中的体积占比;如在配制过程中出现沉淀、析出现象,可以通过加热和/或超声的方式助溶

    • 方案 一

      请依序添加每种溶剂: 10% DMSO    40% PEG300    5% Tween-80    45% Saline

      Solubility: 1.56 mg/mL (5.00 mM); 悬浊液; 超声助溶

      此方案可获得 1.56 mg/mL的均匀悬浊液,悬浊液可用于口服和腹腔注射。

      1 mL 工作液为例,取 100 μL 15.6 mg/mL 的澄清 DMSO 储备液加到 400 μL PEG300 中,混合均匀;再向上述体系中加入 50 μL Tween-80,混合均匀;然后再继续加入 450 μL 生理盐水 定容至 1 mL

      生理盐水的配制:将 0.9 g 氯化钠,溶解于 ddH₂O 并定容至 100 mL,可以得到澄清透明的生理盐水溶液。
    • 方案 二

      请依序添加每种溶剂: 10% DMSO    90% (20% SBE-β-CD in Saline)

      Solubility: 1.56 mg/mL (5.00 mM); 悬浊液; 超声助溶

      此方案可获得 1.56 mg/mL的均匀悬浊液,悬浊液可用于口服和腹腔注射。

      1 mL 工作液为例,取 100 μL 15.6 mg/mL 的澄清 DMSO 储备液加到 900 μL 20% 的 SBE-β-CD 生理盐水水溶液 中,混合均匀。

      2 g SBE-β-CD(磺丁基醚 β-环糊精)粉末定容于 10 mL 的生理盐水中,完全溶解至澄清透明。

    以下溶解方案,请直接配制工作液。建议现用现配,在短期内尽快用完。 以下溶剂前显示的百分比是指该溶剂在您配制终溶液中的体积占比; 如在配制过程中出现沉淀、析出现象,可以通过加热和/或超声的方式助溶。

    • 方案 一

      请依序添加每种溶剂: 50% PEG300    50% Saline

      Solubility: 5 mg/mL (16.01 mM); 悬浊液; 超声助溶

    动物溶解方案计算器
    请输入动物实验的基本信息:

    给药剂量

    mg/kg

    动物的平均体重

    g

    每只动物的给药体积

    μL

    动物数量

    由于实验过程有损耗,建议您多配一只动物的量
    请输入您的动物体内配方组成:
    %
    DMSO +
    +
    %
    Tween-80 +
    %
    Saline
    如果您的动物是免疫缺陷鼠或者体弱鼠,建议 DMSO 中的在最后工作液体系中的占比尽量不超过 2%。
    方案所需 助溶剂 包括:DMSO ,均可在 MCE 网站选购。 Tween 80,均可在 MCE 网站选购。
    计算结果
    工作液所需浓度 : mg/mL
    储备液配制方法 : mg 药物溶于 μL  DMSO(母液浓度为 mg/mL)。
    您所需的储备液浓度超过该产品的实测溶解度,以下方案仅供参考,如有需要,请与 MCE 中国技术支持联系。
    动物实验体内工作液的配制方法 : 取 μL DMSO 储备液,加入 μL  μL ,混合均匀至澄清,再加 μL Tween 80,混合均匀至澄清,再加 μL 生理盐水
    连续给药周期超过半月以上,请谨慎选择该方案。
    请确保第一步储备液溶解至澄清状态,从左到右依次添加助溶剂。您可采用超声加热 (超声清洗仪,建议频次 20-40 kHz),涡旋吹打等方式辅助溶解。
    纯度 & 产品资料

    纯度: 99.91%

    参考文献

    完整储备液配制表

    * 请根据产品在不同溶剂中的溶解度选择合适的溶剂配制储备液;一旦配成溶液,请分装保存,避免反复冻融造成的产品失效
    储备液的保存方式和期限:-80°C, 1 year; -20°C, 6 months。-80°C储存时,请在1年内使用, -20°C储存时,请在6个月内使用。

    可选溶剂 浓度 溶剂体积 质量 1 mg 5 mg 10 mg 25 mg
    DMSO 1 mM 3.2019 mL 16.0097 mL 32.0195 mL 80.0487 mL
    5 mM 0.6404 mL 3.2019 mL 6.4039 mL 16.0097 mL
    10 mM 0.3202 mL 1.6010 mL 3.2019 mL 8.0049 mL
    15 mM 0.2135 mL 1.0673 mL 2.1346 mL 5.3366 mL
    20 mM 0.1601 mL 0.8005 mL 1.6010 mL 4.0024 mL
    25 mM 0.1281 mL 0.6404 mL 1.2808 mL 3.2019 mL
    30 mM 0.1067 mL 0.5337 mL 1.0673 mL 2.6683 mL
    40 mM 0.0800 mL 0.4002 mL 0.8005 mL 2.0012 mL
    50 mM 0.0640 mL 0.3202 mL 0.6404 mL 1.6010 mL
    Help & FAQs
    • Do most proteins show cross-species activity?

      Species cross-reactivity must be investigated individually for each product. Many human cytokines will produce a nice response in mouse cell lines, and many mouse proteins will show activity on human cells. Other proteins may have a lower specific activity when used in the opposite species.

    您最近查看的产品:

    Your information is safe with us. * Required Fields.

       产品名称:

     

    * 需求量:

    * 客户姓名:

     

    * Email:

    * 电话:

     

    * 公司或机构名称:

       留言给我们:

    Bulk Inquiry

    Inquiry Information

    产品名称:
    XAV-939
    目录号:
    HY-15147
    需求量: