1. Immunology/Inflammation Metabolic Enzyme/Protease Apoptosis Anti-infection
  2. COX Acyltransferase Apoptosis HSV CMV Influenza Virus
  3. Xanthohumol

Xanthohumol  (Synonyms: 黄腐酚)

目录号: HY-N1067 纯度: 99.94%
COA 产品使用指南 技术支持

Xanthohumol 是从啤酒花中分离到的黄酮类化合物,是 DGATCOX-1COX-2 的抑制剂,具有抗肿瘤,抗血管生成的作用。Xanthohumol 还具有抗牛病毒性腹泻病毒 (BVDV),鼻病毒,HSV-1HSV-2 和 巨细胞病毒 (CMV) 的抗病毒活性。

MCE 的所有产品仅用作科学研究或药证申报,我们不为任何个人用途提供产品和服务

Xanthohumol

Xanthohumol Chemical Structure

CAS No. : 6754-58-1

1.  客户无需承担相应的运输费用。

2.  同一机构(单位)同一产品试用装仅限申领一次,同一机构(单位)一年内

     可免费申领三个不同产品的试用装。

3.  试用装只面向终端客户

规格 价格 是否有货 数量
10 mM * 1 mL in DMSO ¥546
In-stock
1 mg ¥310
In-stock
5 mg ¥700
In-stock
10 mg ¥1100
In-stock
25 mg ¥2200
In-stock
50 mg ¥3400
In-stock
100 mg ¥4963
In-stock
500 mg 现货 询价
1 g   询价  
5 g   询价  

* Please select Quantity before adding items.

Customer Review

Other Forms of Xanthohumol:

    Xanthohumol purchased from MCE. Usage Cited in: Phytother Res. 2023 Jul;37(7):3057-3068.  [Abstract]

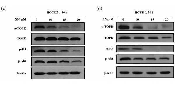
    Xanthohumol (XN; 10, 15, 20 μM; 36 h) results in a dose-dependent inhibition of TOPK phosphorylation (Thr9), and inhibits the phosphorylation of histone H3 and Akt, in both HCC827 cells (fig c) and HCT116 cells (Fig d).

    Xanthohumol purchased from MCE. Usage Cited in: Phytother Res. 2023 Jul;37(7):3057-3068.  [Abstract]

    Xanthohumol (XN; 10, 15, 20 μM; 36 h) suppresses the serum-induced migratory ability of A549 cells.

    Xanthohumol purchased from MCE. Usage Cited in: Phytother Res. 2023 Jul;37(7):3057-3068.  [Abstract]

    Xanthohumol (XN; 25 mg/kg; i.p.; single daily for 30 days) significantly suppresses the tumor growth and reduces the final tumor weight by 50.4% (Fig a-c).

    查看 COX 亚型特异性产品:

    查看 Acyltransferase 亚型特异性产品:

    查看 HSV 亚型特异性产品:

    • 生物活性

    • 实验参考方法

    • 纯度 & 产品资料

    • 参考文献

    生物活性

    Xanthohumol is one of the principal flavonoids isolated from hops, the inhibitor of diacylglycerol acetyltransferase (DGAT), COX-1 and COX-2, and shows anti-cancer and anti-angiogenic activities. Xanthohumol also has antiviral activity against bovine viral diarrhea virus (BVDV), rhinovirus, HSV-1, HSV-2 and cytomegalovirus (CMV).

    IC50 & Target[1][2][3][4][5]

    COX-1

     

    COX-2

     

    HSV-1

     

    HSV-2

     

    DGAT1

    40 μM (IC50)

    DGAT2

    40 μM (IC50)

    CMV

     

    体外研究
    (In Vitro)

    Xanthohumol 可显著减弱 ADP 诱导的血小板聚集,并显著降低血小板表面纤维蛋白原受体 (GPIIbIIIa 的活化形式) 的表达[1]
    Xanthohumol (5-50 nM) 可降低对照肌细胞和因以下原因造成 Ca2+ 超载的细胞中自发发生的 Ca2+ 火花和 Ca2+ 波的频率:(1) 暴露于低 K+ 溶液中,(2) 高频电刺激周期,(3) 暴露于异丙肾上腺素或 (4) 咖啡因。Xanthohumol (50-100 nM) 可降低电刺激或咖啡因诱发的 Ca2+ 瞬变的舒张速率,而不会抑制 ICa,但这种效应较小,并且在生理温度下可被异丙肾上腺素逆转。Xanthohumol 还会抑制 SR 中的 Ca2+ 含量及其再循环速率[2]
    用 Xanthohumol 处理内皮细胞可导致 AMPK 磷酸化和活性增加。使用生化方法进行的功能研究证实,AMPK 介导 Xanthohumol 的抗血管生成活性。Xanthohumol 激活 AMPK 是由 CAMMKβ 介导的,而不是 LKB1。下游机制分析表明,Xanthohumol 诱导的 AMPK 激活通过降低 eNOS 磷酸化来降低内皮细胞中的一氧化氮 (NO) 水平。最后,作为 Xanthohumol 抗血管生成活性的一部分,AKT 通路被黄腐酚抑制,但该抑制作用独立于 AMPK,表明这两条信号通路是独立进行的[3]
    Xanthohumol 显著降低细胞活力,并通过 pro-caspase-3/8 的裂解和聚 (ADP 核糖) 聚合酶 (PARP) 的降解诱导细胞凋亡。pro-caspase-9 的裂解、Bcl2 家族表达的变化、线粒体功能障碍以及细胞内 ROS 的生成也参与了 Xanthohumol 诱导的神经胶质瘤细胞死亡。Xanthohumol 通过 miR-204-3p 靶向抑制 IGFBP2/AKT/Bcl2 通路,在介导神经胶质瘤细胞死亡中起关键作用[4]

    MCE has not independently confirmed the accuracy of these methods. They are for reference only.

    Clinical Trial
    分子量

    354.40

    Formula

    C21H22O5

    CAS 号
    性状

    固体

    颜色

    Yellow to orange

    结构分类
    初始来源
    运输条件

    Room temperature in continental US; may vary elsewhere.

    储存方式
    Powder -20°C 3 years
    4°C 2 years
    In solvent -80°C 2 years
    -20°C 1 year
    溶解性数据
    细胞实验: 

    DMSO 中的溶解度 : 83.33 mg/mL (235.13 mM; 超声助溶; 吸湿的 DMSO 对产品的溶解度有显著影响,请使用新开封的 DMSO)

    配制储备液
    浓度 溶剂体积 质量 1 mg 5 mg 10 mg
    1 mM 2.8217 mL 14.1084 mL 28.2167 mL
    5 mM 0.5643 mL 2.8217 mL 5.6433 mL
    查看完整储备液配制表

    * 请根据产品在不同溶剂中的溶解度选择合适的溶剂配制储备液;一旦配成溶液,请分装保存,避免反复冻融造成的产品失效
    储备液的保存方式和期限:-80°C, 2 years; -20°C, 1 year。-80°C储存时,请在2年内使用, -20°C储存时,请在1年内使用。

    • 摩尔计算器

    • 稀释计算器

    Mass (g) = Concentration (mol/L) × Volume (L) × Molecular Weight (g/mol)

    质量
    =
    浓度
    ×
    体积
    ×
    分子量 *

    Concentration (start) × Volume (start) = Concentration (final) × Volume (final)

    This equation is commonly abbreviated as: C1V1 = C2V2

    浓度 (start)

    C1

    ×
    体积 (start)

    V1

    =
    浓度 (final)

    C2

    ×
    体积 (final)

    V2

    动物实验:

    请根据您的 实验动物和给药方式 选择适当的溶解方案。

    以下溶解方案都请先按照 In Vitro 方式配制澄清的储备液,再依次添加助溶剂:
    ——为保证实验结果的可靠性,澄清的储备液可以根据储存条件,适当保存;体内实验的工作液,建议您现用现配,当天使用
    以下溶剂前显示的百分比是指该溶剂在您配制终溶液中的体积占比;如在配制过程中出现沉淀、析出现象,可以通过加热和/或超声的方式助溶

    • 方案 一

      请依序添加每种溶剂: 10% DMSO    40% PEG300    5% Tween-80    45% Saline

      Solubility: ≥ 2.08 mg/mL (5.87 mM); 澄清溶液

      此方案可获得 ≥ 2.08 mg/mL(饱和度未知)的澄清溶液。

      1 mL 工作液为例,取 100 μL 20.8 mg/mL 的澄清 DMSO 储备液加到 400 μL PEG300 中,混合均匀;再向上述体系中加入 50 μL Tween-80,混合均匀;然后再继续加入 450 μL 生理盐水 定容至 1 mL

      生理盐水的配制:将 0.9 g 氯化钠,溶解于 ddH₂O 并定容至 100 mL,可以得到澄清透明的生理盐水溶液。
    • 方案 二

      请依序添加每种溶剂: 10% DMSO    90% (20% SBE-β-CD in Saline)

      Solubility: ≥ 2.08 mg/mL (5.87 mM); 澄清溶液

      此方案可获得 ≥ 2.08 mg/mL(饱和度未知)的澄清溶液。

      1 mL 工作液为例,取 100 μL 20.8 mg/mL 的澄清 DMSO 储备液加到 900 μL 20% 的 SBE-β-CD 生理盐水水溶液 中,混合均匀。

      2 g SBE-β-CD(磺丁基醚 β-环糊精)粉末定容于 10 mL 的生理盐水中,完全溶解至澄清透明。
    动物溶解方案计算器
    请输入动物实验的基本信息:

    给药剂量

    mg/kg

    动物的平均体重

    g

    每只动物的给药体积

    μL

    动物数量

    由于实验过程有损耗,建议您多配一只动物的量
    请输入您的动物体内配方组成:
    %
    DMSO +
    +
    %
    Tween-80 +
    %
    Saline
    如果您的动物是免疫缺陷鼠或者体弱鼠,建议 DMSO 中的在最后工作液体系中的占比尽量不超过 2%。
    方案所需 助溶剂 包括:DMSO ,均可在 MCE 网站选购。 Tween 80,均可在 MCE 网站选购。
    计算结果
    工作液所需浓度 : mg/mL
    储备液配制方法 : mg 药物溶于 μL  DMSO(母液浓度为 mg/mL)。
    您所需的储备液浓度超过该产品的实测溶解度,以下方案仅供参考,如有需要,请与 MCE 中国技术支持联系。
    动物实验体内工作液的配制方法 : 取 μL DMSO 储备液,加入 μL  μL ,混合均匀至澄清,再加 μL Tween 80,混合均匀至澄清,再加 μL 生理盐水
    连续给药周期超过半月以上,请谨慎选择该方案。
    请确保第一步储备液溶解至澄清状态,从左到右依次添加助溶剂。您可采用超声加热 (超声清洗仪,建议频次 20-40 kHz),涡旋吹打等方式辅助溶解。
    纯度 & 产品资料

    纯度: 99.94%

    参考文献
    Cell Assay
    [3]

    In vitro cell proliferation/viability is measured by the MTT test at different time points. 1000 cells/well are plated into 96-multiwell plates in complete medium. Following adhesion, medium is replaced with fresh medium containing the different treatments or vehicle (DMSO in medium). Xanthohumol and EGCG are used in a concentration range from 2.5 to 40 μM, up to 96 hours. 3 hours before each time point, MTT reagent (3-(4,5-dimethylthiazol-2-yl)-2,5-diphenyltetrazolium bromide) is added to the wells and plates are incubated at 37°C. At the indicated time points, absorbance at 540 nm is then measured by a FLUOstar spectrophotometer.

    MCE has not independently confirmed the accuracy of these methods. They are for reference only.

    参考文献

    完整储备液配制表

    * 请根据产品在不同溶剂中的溶解度选择合适的溶剂配制储备液;一旦配成溶液,请分装保存,避免反复冻融造成的产品失效
    储备液的保存方式和期限:-80°C, 2 years; -20°C, 1 year。-80°C储存时,请在2年内使用, -20°C储存时,请在1年内使用。

    可选溶剂 浓度 溶剂体积 质量 1 mg 5 mg 10 mg 25 mg
    DMSO 1 mM 2.8217 mL 14.1084 mL 28.2167 mL 70.5418 mL
    5 mM 0.5643 mL 2.8217 mL 5.6433 mL 14.1084 mL
    10 mM 0.2822 mL 1.4108 mL 2.8217 mL 7.0542 mL
    15 mM 0.1881 mL 0.9406 mL 1.8811 mL 4.7028 mL
    20 mM 0.1411 mL 0.7054 mL 1.4108 mL 3.5271 mL
    25 mM 0.1129 mL 0.5643 mL 1.1287 mL 2.8217 mL
    30 mM 0.0941 mL 0.4703 mL 0.9406 mL 2.3514 mL
    40 mM 0.0705 mL 0.3527 mL 0.7054 mL 1.7635 mL
    50 mM 0.0564 mL 0.2822 mL 0.5643 mL 1.4108 mL
    60 mM 0.0470 mL 0.2351 mL 0.4703 mL 1.1757 mL
    80 mM 0.0353 mL 0.1764 mL 0.3527 mL 0.8818 mL
    100 mM 0.0282 mL 0.1411 mL 0.2822 mL 0.7054 mL
    Help & FAQs
    • Do most proteins show cross-species activity?

      Species cross-reactivity must be investigated individually for each product. Many human cytokines will produce a nice response in mouse cell lines, and many mouse proteins will show activity on human cells. Other proteins may have a lower specific activity when used in the opposite species.

    您最近查看的产品:

    Your information is safe with us. * Required Fields.

       产品名称:

     

    * 需求量:

    * 客户姓名:

     

    * Email:

    * 电话:

     

    * 公司或机构名称:

       留言给我们:

    Bulk Inquiry

    Inquiry Information

    产品名称:
    Xanthohumol
    目录号:
    HY-N1067
    需求量: