1. Apoptosis
  2. Caspase
  3. Z-DEVD-FMK

Z-DEVD-FMK 是一种特异性的不可逆的 caspase-3 抑制剂,IC50 为 18 μM。

MCE 的所有产品仅用作科学研究或药证申报,我们不为任何个人用途提供产品和服务

Z-DEVD-FMK

Z-DEVD-FMK Chemical Structure

CAS No. : 210344-95-9

1.  客户无需承担相应的运输费用。

2.  同一机构(单位)同一产品试用装仅限申领一次,同一机构(单位)一年内

     可免费申领三个不同产品的试用装。

3.  试用装只面向终端客户

规格 价格 是否有货 数量
10 mM * 1 mL in DMSO ¥4487
In-stock
1 mg ¥1050
In-stock
5 mg ¥3050
In-stock
10 mg ¥4435
In-stock
50 mg   询价  
100 mg   询价  

* Please select Quantity before adding items.

Customer Review

MCE 顾客使用本产品发表的 108 篇科研文献

WB

    Z-DEVD-FMK purchased from MCE. Usage Cited in: Acta Pharm Sin B. 2020 Aug;10(8):1397-1413.  [Abstract]

    Hepa1-6 cells are treated with miltirone (40 μM) in the absence or presence of Z-DEVD-FMK (20 μM) for 24 h, total cellular extracts are prepared and subjected to Western blotting analyses using antibodies against caspase 3, GSDME, and GADPH.

    Z-DEVD-FMK purchased from MCE. Usage Cited in: Apoptosis. 2016 Feb;21(2):130-42.  [Abstract]

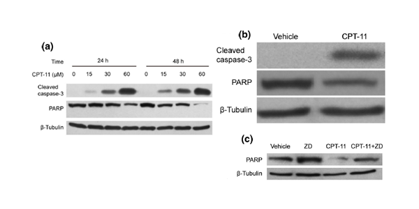
    (a) CPT-11 induces cell cycle arrest and apoptosis in RAW 264.7macrophages. a.Western blot analysis of cleaved caspase-3 and PARP levels. (b) CPT-11 induced cell cycle arrest and apoptosis in mouse peritoneal macrophages. Western blot analysis of cleaved caspase-3 and PARP levels in peritoneal macrophages isolated from vehicleand CPT-11-administered mice. (c) Caspase-3 inhibitor z-DEVD-fmk (ZD) attenuates CPT-11-induced loss of GATA6+ peritoneal macrophages in mice. Western blot analy
    • 生物活性

    • 实验参考方法

    • 纯度 & 产品资料

    • 参考文献

    生物活性

    Z-DEVD-FMK is a specific and irreversible caspase-3 inhibitor with an IC50 of 18 μM[1].

    IC50 & Target[1]

    Caspase-3

    18 μM (IC50)

    体外研究
    (In Vitro)

    N27 细胞在存在或不存在 50 μM Z-DIPD-FMK 或 100 μM Z-DEVD-FMK 或 50 μM Z-LEHD-FMK 的情况下暴露于 MPP+,然后在暴露后 12 和 24 小时分别通过酶促分析确定 caspase-9 和 caspase-3 酶活性。N27 细胞暴露于 300 μM MPP+ 24 小时可导致 caspase-3 酶活性增加约 2.5 倍。50 μM Z-DIPD-FMK、100 μM Z-DEVD-FMK 和 50 μM Z-LEHD-FMK 可显著阻断 MPP+ 诱导的 caspase-3 酶活性增加[1]

    MCE has not independently confirmed the accuracy of these methods. They are for reference only.

    体内研究
    (In Vivo)

    早期 Z-DEVD-FMK (160 ng) 治疗可改善小鼠严重受控皮质撞击 (CCI) 引起的中枢神经系统创伤后的运动和认知功能[2]。与使用 DMSO 载体治疗的创伤动物相比,使用 Z-DEVD-FMK (160 ng) 治疗可显著改善神经系统结果[3]

    MCE has not independently confirmed the accuracy of these methods. They are for reference only.

    分子量

    668.66

    Formula

    C30H41FN4O12

    CAS 号
    性状

    固体

    颜色

    White to off-white

    运输条件

    Room temperature in continental US; may vary elsewhere.

    储存方式
    Powder -20°C 3 years
    4°C 2 years
    In solvent -80°C 6 months
    -20°C 1 month
    溶解性数据
    细胞实验: 

    DMSO 中的溶解度 : ≥ 50 mg/mL (74.78 mM; 吸湿的 DMSO 对产品的溶解度有显著影响,请使用新开封的 DMSO)

    * "≥" means soluble, but saturation unknown.

    配制储备液
    浓度 溶剂体积 质量 1 mg 5 mg 10 mg
    1 mM 1.4955 mL 7.4776 mL 14.9553 mL
    5 mM 0.2991 mL 1.4955 mL 2.9911 mL
    查看完整储备液配制表

    * 请根据产品在不同溶剂中的溶解度选择合适的溶剂配制储备液;一旦配成溶液,请分装保存,避免反复冻融造成的产品失效
    储备液的保存方式和期限:-80°C, 6 months; -20°C, 1 month。-80°C储存时,请在6个月内使用,-20°C储存时,请在1个月内使用。

    • 摩尔计算器

    • 稀释计算器

    Mass (g) = Concentration (mol/L) × Volume (L) × Molecular Weight (g/mol)

    质量
    =
    浓度
    ×
    体积
    ×
    分子量 *

    Concentration (start) × Volume (start) = Concentration (final) × Volume (final)

    This equation is commonly abbreviated as: C1V1 = C2V2

    浓度 (start)

    C1

    ×
    体积 (start)

    V1

    =
    浓度 (final)

    C2

    ×
    体积 (final)

    V2

    动物实验:

    请根据您的 实验动物和给药方式 选择适当的溶解方案。

    以下溶解方案都请先按照 In Vitro 方式配制澄清的储备液,再依次添加助溶剂:
    ——为保证实验结果的可靠性,澄清的储备液可以根据储存条件,适当保存;体内实验的工作液,建议您现用现配,当天使用
    以下溶剂前显示的百分比是指该溶剂在您配制终溶液中的体积占比;如在配制过程中出现沉淀、析出现象,可以通过加热和/或超声的方式助溶

    • 方案 一

      请依序添加每种溶剂: 10% DMSO    40% PEG300    5% Tween-80    45% Saline

      Solubility: ≥ 1 mg/mL (1.50 mM); 澄清溶液

      此方案可获得 ≥ 1 mg/mL(饱和度未知)的澄清溶液。

      1 mL 工作液为例,取 100 μL 10.0 mg/mL 的澄清 DMSO 储备液加到 400 μL PEG300 中,混合均匀;再向上述体系中加入 50 μL Tween-80,混合均匀;然后再继续加入 450 μL 生理盐水 定容至 1 mL

      生理盐水的配制:将 0.9 g 氯化钠,溶解于 ddH₂O 并定容至 100 mL,可以得到澄清透明的生理盐水溶液。
    • 方案 二

      请依序添加每种溶剂: 10% DMSO    90% Corn Oil

      Solubility: ≥ 1 mg/mL (1.50 mM); 澄清溶液

      此方案可获得 ≥ 1 mg/mL(饱和度未知)的澄清溶液,此方案实验周期在半个月以上的动物实验酌情使用。

      1 mL 工作液为例,取 100 μL 10.0 mg/mL 的澄清 DMSO 储备液加到 900 μL玉米油中,混合均匀。

    动物溶解方案计算器
    请输入动物实验的基本信息:

    给药剂量

    mg/kg

    动物的平均体重

    g

    每只动物的给药体积

    μL

    动物数量

    由于实验过程有损耗,建议您多配一只动物的量
    请输入您的动物体内配方组成:
    %
    DMSO +
    +
    %
    Tween-80 +
    %
    Saline
    如果您的动物是免疫缺陷鼠或者体弱鼠,建议 DMSO 中的在最后工作液体系中的占比尽量不超过 2%。
    方案所需 助溶剂 包括:DMSO ,均可在 MCE 网站选购。 Tween 80,均可在 MCE 网站选购。
    计算结果
    工作液所需浓度 : mg/mL
    储备液配制方法 : mg 药物溶于 μL  DMSO(母液浓度为 mg/mL)。
    您所需的储备液浓度超过该产品的实测溶解度,以下方案仅供参考,如有需要,请与 MCE 中国技术支持联系。
    动物实验体内工作液的配制方法 : 取 μL DMSO 储备液,加入 μL  μL ,混合均匀至澄清,再加 μL Tween 80,混合均匀至澄清,再加 μL 生理盐水
    连续给药周期超过半月以上,请谨慎选择该方案。
    请确保第一步储备液溶解至澄清状态,从左到右依次添加助溶剂。您可采用超声加热 (超声清洗仪,建议频次 20-40 kHz),涡旋吹打等方式辅助溶解。
    纯度 & 产品资料

    纯度: ≥98.0%

    参考文献
    Cell Assay
    [1]

    N27 cells and primary mesencephalic neurons are exposed to either 10-100 μM 6-OHDA or 10-300 μM MPP+ in the presence or absence of 0.1-50 μM Z-DIPD-FMK or 0.1-100 μM Z-DEVD-FMK or 50 μM Z-IETD-FMK or Z-LEHD-FMK for the duration of the experiment. N27 cells are incubated with 100 μM 6-OHDA for 24 h or 300 μM MPP+ for 36 h in the presence or absence of 50 μM Z-DEVD-FMK and cell death is determined by MTT assay, which is widely used to assess cell viability. After treatment, the cells are incubated in serum-free medium containing 0.25 mg/mL MTT for 3 h at 37°C. Formation of formazan from tetrazolium is measured at 570 nm with a reference wavelength at 630 nm using a SpectraMax microplate reader[1].

    MCE has not independently confirmed the accuracy of these methods. They are for reference only.

    Animal Administration
    [2][3]

    Mice[2]
    Male C57Bl/6 mice (20-25 g) are used. For treatment with Z-DEVD-fmk or vehicle after CCI, mice are placed in a stereotaxic apparatus, and the CCI wound is reopened for intracerebroventricular injection. Either Z-DEVD-FMK (160 ng in 2 μL DMSO), or DMSO vehicle is injected over a 5-minute period.
    Rats[3]
    Male Sprague Dawley rats (425±25 g) are used. DMSO (5 μL) vehicle or Z-DEVD-FMK (160 ng in 5 μL of DMSO) is administered at a controlled rate of 0.5 μL/min via an infusion pump at 30 min before and at 6 and 24 hr after TBI. At the designated time periods after injury, animals are decapitated under NSC 10816 anesthesia (100 mg/kg, i.p.), and the brains are removed rapidly and dissected. Sham-operated (control) animals received anesthesia and surgery but are not subjected to trauma. Tissue samples are collected 1, 4, 12, 24, and 72 hr after TBI. Samples are frozen on dry ice and kept at −85°C.

    MCE has not independently confirmed the accuracy of these methods. They are for reference only.

    参考文献

    完整储备液配制表

    * 请根据产品在不同溶剂中的溶解度选择合适的溶剂配制储备液;一旦配成溶液,请分装保存,避免反复冻融造成的产品失效
    储备液的保存方式和期限:-80°C, 6 months; -20°C, 1 month。-80°C储存时,请在6个月内使用,-20°C储存时,请在1个月内使用。

    可选溶剂 浓度 溶剂体积 质量 1 mg 5 mg 10 mg 25 mg
    DMSO 1 mM 1.4955 mL 7.4776 mL 14.9553 mL 37.3882 mL
    5 mM 0.2991 mL 1.4955 mL 2.9911 mL 7.4776 mL
    10 mM 0.1496 mL 0.7478 mL 1.4955 mL 3.7388 mL
    15 mM 0.0997 mL 0.4985 mL 0.9970 mL 2.4925 mL
    20 mM 0.0748 mL 0.3739 mL 0.7478 mL 1.8694 mL
    25 mM 0.0598 mL 0.2991 mL 0.5982 mL 1.4955 mL
    30 mM 0.0499 mL 0.2493 mL 0.4985 mL 1.2463 mL
    40 mM 0.0374 mL 0.1869 mL 0.3739 mL 0.9347 mL
    50 mM 0.0299 mL 0.1496 mL 0.2991 mL 0.7478 mL
    60 mM 0.0249 mL 0.1246 mL 0.2493 mL 0.6231 mL
    Help & FAQs
    • Do most proteins show cross-species activity?

      Species cross-reactivity must be investigated individually for each product. Many human cytokines will produce a nice response in mouse cell lines, and many mouse proteins will show activity on human cells. Other proteins may have a lower specific activity when used in the opposite species.

    您最近查看的产品:

    Your information is safe with us. * Required Fields.

       产品名称:

     

    * 需求量:

    * 客户姓名:

     

    * Email:

    * 电话:

     

    * 公司或机构名称:

       留言给我们:

    Bulk Inquiry

    Inquiry Information

    产品名称:
    Z-DEVD-FMK
    目录号:
    HY-12466
    需求量: