1. Metabolic Enzyme/Protease Autophagy
  2. Renin Autophagy
  3. Aliskiren fumarate

Aliskiren fumarate  (Synonyms: CGP 60536 fumarate; CGP60536B fumarate; SPP 100 fumarate)

目录号: HY-12176B
产品使用指南 技术支持

Aliskiren fumarate 是一种口服有效的、选择性的肾素 (renin) 抑制剂,其 IC50 为 1.5 nM。Aliskiren fumarate 可用于高血压、心血管疾病和癌症恶病质的研究。

MCE 的所有产品仅用作科学研究或药证申报,我们不为任何个人用途提供产品和服务

Aliskiren fumarate

Aliskiren fumarate Chemical Structure

CAS No. : 1196835-68-3

1.  客户无需承担相应的运输费用。

2.  同一机构(单位)同一产品试用装仅限申领一次,同一机构(单位)一年内

     可免费申领三个不同产品的试用装。

3.  试用装只面向终端客户

规格 是否有货
50 mg   询价  
100 mg   询价  
250 mg   询价  

* Please select Quantity before adding items.

Aliskiren fumarate 的其他形式现货产品:

Customer Review

Other Forms of Aliskiren fumarate:

    Aliskiren fumarate purchased from MCE. Usage Cited in: Lipids Health Dis. 2018 Jul 31;17(1):183.  [Abstract]

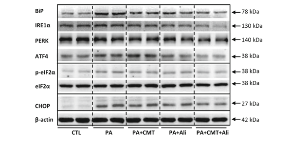
    Protein abundance of ER stress markers (BiP, IRE1α, PERK, ATF4, pS51-eIF2α, eIF2α, and CHOP) are upregulated after palmitic acid (PA) treatment, which is prevented by cotreatment with chymostatin (50μM) and Aliskiren (10 nM).

    Aliskiren fumarate purchased from MCE. Usage Cited in: Department of Biological Science. National Sun Yat-Sen University. 2015 Sep.

    Effects of Aliskiren (AK) produce efficacious antagonism of the protein expression of c-Fos (A), GFAP (B) and OX-42 (C) in SC, aCSF+MCAO, AK+MCAO or AK alone group one day after stroke.
    • 生物活性

    • 纯度 & 产品资料

    • 参考文献

    生物活性

    Aliskiren fumarate is an orally active, highly potent and selective renin inhibitor, with IC50 of 1.5 nM. Aliskiren fumarate can be used for the research of hypertension, cardiovascular diseases and cancer cachexia[1][2][3].

    IC50 & Target

    IC50: 1.5 nM (renin)[1]

    体内研究
    (In Vivo)

    Aliskiren fumarate (< 10 mg/kg, Orally, daily) inhibits plasma renin activity and lowers blood pressure in sodium-depleted marmosets[2].
    Aliskiren fumarate (10 mg/kg, Intragastrically, once) significantly alleviates multiple cachexia‑associated symptoms in BALB/c mice bearing C26 mouse colon carcinoma cells, including BW loss, tumor burden, muscle wasting, muscular dysfunction, and shortened survival[3].

    MCE has not independently confirmed the accuracy of these methods. They are for reference only.

    Clinical Trial
    分子量

    667.83

    Formula

    C34H57N3O10

    CAS 号
    运输条件

    Room temperature in continental US; may vary elsewhere.

    储存方式

    Please store the product under the recommended conditions in the Certificate of Analysis.

    纯度 & 产品资料
    参考文献
    • 摩尔计算器

    • 稀释计算器

    The molarity calculator equation

    Mass (g) = Concentration (mol/L) × Volume (L) × Molecular Weight (g/mol)

    质量   浓度   体积   分子量 *
    = × ×

    The dilution calculator equation

    Concentration (start) × Volume (start) = Concentration (final) × Volume (final)

    This equation is commonly abbreviated as: C1V1 = C2V2

    浓度 (start) × 体积 (start) = 浓度 (final) × 体积 (final)
    × = ×
    C1   V1   C2   V2
    Help & FAQs
    • Do most proteins show cross-species activity?

      Species cross-reactivity must be investigated individually for each product. Many human cytokines will produce a nice response in mouse cell lines, and many mouse proteins will show activity on human cells. Other proteins may have a lower specific activity when used in the opposite species.

    您最近查看的产品:

    Your information is safe with us. * Required Fields.

       产品名称:

     

    * 需求量:

    * 客户姓名:

     

    * Email:

    * 电话:

     

    * 公司或机构名称:

       留言给我们:

    Bulk Inquiry

    Inquiry Information

    产品名称:
    Aliskiren fumarate
    目录号:
    HY-12176B
    需求量: