1. Cell Cycle/DNA Damage Stem Cell/Wnt Cytoskeleton TGF-beta/Smad Neuronal Signaling Membrane Transporter/Ion Channel Autophagy Epigenetics
  2. ROCK Calcium Channel Autophagy PKA PKC
  3. Fasudil

Fasudil  (Synonyms: 法舒地尔; HA-1077; AT877)

目录号: HY-10341A 纯度: 99.91%
COA 产品使用指南 技术支持

Fasudil (HA-1077; AT877) 是一种非特异性 RhoA/ROCK 抑制剂,并抑制蛋白激酶。Fasudil 抑制 ROCK1Ki 为 0.33 μM,抑制 ROCK2PKAPKCPKGIC50 分别为 0.158 μM 和 4.58 μM,12.30 μM,1.650 μM。Fasudil 也是一种有效的 Ca2+ 通道拮抗剂和血管扩张剂。

MCE 的所有产品仅用作科学研究或药证申报,我们不为任何个人用途提供产品和服务

Fasudil

Fasudil Chemical Structure

CAS No. : 103745-39-7

1.  客户无需承担相应的运输费用。

2.  同一机构(单位)同一产品试用装仅限申领一次,同一机构(单位)一年内

     可免费申领三个不同产品的试用装。

3.  试用装只面向终端客户

规格 价格 是否有货 数量
Free Sample (0.1 - 0.2 mg)   Apply now  
10 mM * 1 mL in DMSO ¥605
In-stock
50 mg ¥550
In-stock
100 mg ¥785
In-stock
200 mg   询价  
500 mg   询价  

* Please select Quantity before adding items.

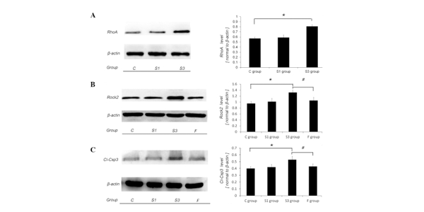
    Fasudil purchased from MCE. Usage Cited in: Biomed Rep. 2015 May;3(3):361-364.  [Abstract]

    RhoA and ROCK2 upregulation in the rat hippocampus is involved in memory dysfunction induced by postnatal exposure of Sevoflurane. The expression of RhoA, ROCK2 and cleaved caspase-3 (Cl-Csp3) in the hippocampus of the S3 group significantly increased, compared to that of the C group (P<0.05). There is no difference of the level of RhoA, ROCK2 and Cl-Csp3 between the C and S1 groups (P>0.05). ROCK2 inhibitor Fasudil hydrochloride in the F group clearly decreases the expression of ROCK2 and Cl-Cs
    • 生物活性

    • 纯度 & 产品资料

    • 参考文献

    生物活性

    Fasudil (HA-1077; AT877) is a nonspecific RhoA/ROCK inhibitor and also has inhibitory effect on protein kinases, with an Ki of 0.33 μM for ROCK1, IC50s of 0.158 μM and 4.58 μM, 12.30 μM, 1.650 μM for ROCK2 and PKA, PKC, PKG, respectively. Fasudil is also a potent Ca2+ channel antagonist and vasodilator[1][2][3].

    IC50 & Target[1]

    p160ROCK

    0.33 μM (Ki)

    ROCK2

    0.158 μM (IC50)

    PKA

    4.58 μM (IC50)

    PKC

    12.3 μM (IC50)

    PKG

    1.65 μM (IC50)

    细胞效力
    (Cellular Effect)
    Cell Line Type Value Description References
    HASMC IC50
    1.3 μM
    Compound: Fasudil
    Antiproliferative activity against human HASMC cells assessed as inhibition of cell proliferation measured after 24 hrs by MTT assay
    Antiproliferative activity against human HASMC cells assessed as inhibition of cell proliferation measured after 24 hrs by MTT assay
    [PMID: 33569941]
    Sf9 IC50
    300 nM
    Compound: Fasudil
    Inhibition of human recombinant N-terminal his-tagged ROCK1 (3-543) expressed in baculovirus infected Sf9 cells using Biotin-Ahx-AKRRLSSLRA-CONH2 substrate and [gamma-33P]ATP after 90 mins by scintillation proximity assay
    Inhibition of human recombinant N-terminal his-tagged ROCK1 (3-543) expressed in baculovirus infected Sf9 cells using Biotin-Ahx-AKRRLSSLRA-CONH2 substrate and [gamma-33P]ATP after 90 mins by scintillation proximity assay
    [PMID: 17018693]
    体外研究
    (In Vitro)

    Fasudil (100 μM) inhibits cell spreading, the formation of stress fibers, and expression of α-SMA with concomitant suppression of cell growth in rat HSCs (hepatic stellate cells) and human HSC-derived TWNT-4 cells[4].
    Fasudil (50-100 μM; 24 hours) inhibits the LPA (lysophoaphatidic acid)-induced phosphorylation of ERK1/2, JNK, and p38 detected by western blotting in rat HSCs and human HSC-derived TWNT-4 cells[4].
    Fasudil (25-100 μM; 24 hours) suppresses transcription of collagen and TIMP, stimulates transcription of MMP-1 in human HSC-derived TWNT-4 cells[4].

    MCE has not independently confirmed the accuracy of these methods. They are for reference only.

    Western Blot Analysis[4]

    Cell Line: Rat HSCs and human HSC-derived TWNT-4 cells
    Concentration: 50 μM; 100 μM
    Incubation Time: 24 hours
    Result: Suppressed the LPA-induced phosphorylation of ERK1/2, JNK and p38 MAPK by 60%, 70%,and 90%, respectively.

    RT-PCR[4]

    Cell Line: Rat HSCs and human HSC-derived TWNT-4 cells
    Concentration: 25 μM; 50 μM; 100 μM
    Incubation Time: 24 hours
    Result: Reduced the expression of type I collagen, a-SMA, and TIMP-1.
    体内研究
    (In Vivo)

    Fasudil (10 mg/kg; i.v.; 1 h before operation) exhibits protectable effects on cardiovascular disease and reduces the activation of JNK and attenuates mitochondrial-nuclear translocation of AIF under ischemic injury[5].
    Fasudil (50 mg/kg/d; i.p.) inhibits acute and relapsing EAE (experimental autoimmune encephalomyelitis) induced by proteolipid protein PLP p139-151, reduces lymphocytes proliferation, results downregulation of interleukin (IL)-17 and a marked decrease of the IFN-γ/IL-4 ratio[6].
    Fasudil (100 mg/kg/d; p.o.) significantly reduces incidence and pathological examination score of EAE (experimental autoimmune encephalomyelitis) in SJL/J mice, decreases inflammation, demyelination, axonal loss and APP positivein spinal cord in mice[6].

    MCE has not independently confirmed the accuracy of these methods. They are for reference only.

    Animal Model: Myocardial ischemia and reperfusion in rat (250-300 g)[5]
    Dosage: 10 mg/kg
    Administration: Intravenous injection; 1 h before operation
    Result: Activated the Rho-kinase, JNK, and resulted AIF translocated to the nucleus.
    Inhibited Rho-kinase activity, and reduced myocardial infarct size and heart cell apoptosis.
    Clinical Trial
    分子量

    291.37

    Formula

    C14H17N3O2S

    CAS 号
    性状

    固体

    颜色

    Off-white to light yellow

    中文名称

    法舒地尔

    运输条件

    Room temperature in continental US; may vary elsewhere.

    储存方式
    Powder -20°C 3 years
    4°C 2 years
    In solvent -80°C 6 months
    -20°C 1 month
    溶解性数据
    细胞实验: 

    DMSO 中的溶解度 : 33.33 mg/mL (114.39 mM; 超声助溶 (<60°C); 吸湿的 DMSO 对产品的溶解度有显著影响,请使用新开封的 DMSO)

    配制储备液
    浓度 溶剂体积 质量 1 mg 5 mg 10 mg
    1 mM 3.4321 mL 17.1603 mL 34.3206 mL
    5 mM 0.6864 mL 3.4321 mL 6.8641 mL
    查看完整储备液配制表

    * 请根据产品在不同溶剂中的溶解度选择合适的溶剂配制储备液;一旦配成溶液,请分装保存,避免反复冻融造成的产品失效
    储备液的保存方式和期限:-80°C, 6 months; -20°C, 1 month。-80°C储存时,请在6个月内使用,-20°C储存时,请在1个月内使用。

    • 摩尔计算器

    • 稀释计算器

    Mass (g) = Concentration (mol/L) × Volume (L) × Molecular Weight (g/mol)

    质量
    =
    浓度
    ×
    体积
    ×
    分子量 *

    Concentration (start) × Volume (start) = Concentration (final) × Volume (final)

    This equation is commonly abbreviated as: C1V1 = C2V2

    浓度 (start)

    C1

    ×
    体积 (start)

    V1

    =
    浓度 (final)

    C2

    ×
    体积 (final)

    V2

    动物实验:

    请根据您的 实验动物和给药方式 选择适当的溶解方案。

    以下溶解方案都请先按照 In Vitro 方式配制澄清的储备液,再依次添加助溶剂:
    ——为保证实验结果的可靠性,澄清的储备液可以根据储存条件,适当保存;体内实验的工作液,建议您现用现配,当天使用
    以下溶剂前显示的百分比是指该溶剂在您配制终溶液中的体积占比;如在配制过程中出现沉淀、析出现象,可以通过加热和/或超声的方式助溶

    • 方案 一

      请依序添加每种溶剂: 10% DMSO    40% PEG300    5% Tween-80    45% Saline

      Solubility: ≥ 3.33 mg/mL (11.43 mM); 澄清溶液

      此方案可获得 ≥ 3.33 mg/mL(饱和度未知)的澄清溶液。

      1 mL 工作液为例,取 100 μL 33.3 mg/mL 的澄清 DMSO 储备液加到 400 μL PEG300 中,混合均匀;再向上述体系中加入 50 μL Tween-80,混合均匀;然后再继续加入 450 μL 生理盐水 定容至 1 mL

      生理盐水的配制:将 0.9 g 氯化钠,溶解于 ddH₂O 并定容至 100 mL,可以得到澄清透明的生理盐水溶液。
    • 方案 二

      请依序添加每种溶剂: 10% DMSO    90% (20% SBE-β-CD in Saline)

      Solubility: ≥ 3.33 mg/mL (11.43 mM); 澄清溶液

      此方案可获得 ≥ 3.33 mg/mL(饱和度未知)的澄清溶液。

      1 mL 工作液为例,取 100 μL 33.3 mg/mL 的澄清 DMSO 储备液加到 900 μL 20% 的 SBE-β-CD 生理盐水水溶液 中,混合均匀。

      2 g SBE-β-CD(磺丁基醚 β-环糊精)粉末定容于 10 mL 的生理盐水中,完全溶解至澄清透明。
    动物溶解方案计算器
    请输入动物实验的基本信息:

    给药剂量

    mg/kg

    动物的平均体重

    g

    每只动物的给药体积

    μL

    动物数量

    由于实验过程有损耗,建议您多配一只动物的量
    请输入您的动物体内配方组成:
    %
    DMSO +
    +
    %
    Tween-80 +
    %
    Saline
    如果您的动物是免疫缺陷鼠或者体弱鼠,建议 DMSO 中的在最后工作液体系中的占比尽量不超过 2%。
    方案所需 助溶剂 包括:DMSO ,均可在 MCE 网站选购。 Tween 80,均可在 MCE 网站选购。
    计算结果
    工作液所需浓度 : mg/mL
    储备液配制方法 : mg 药物溶于 μL  DMSO(母液浓度为 mg/mL)。
    您所需的储备液浓度超过该产品的实测溶解度,以下方案仅供参考,如有需要,请与 MCE 中国技术支持联系。
    动物实验体内工作液的配制方法 : 取 μL DMSO 储备液,加入 μL  μL ,混合均匀至澄清,再加 μL Tween 80,混合均匀至澄清,再加 μL 生理盐水
    连续给药周期超过半月以上,请谨慎选择该方案。
    请确保第一步储备液溶解至澄清状态,从左到右依次添加助溶剂。您可采用超声加热 (超声清洗仪,建议频次 20-40 kHz),涡旋吹打等方式辅助溶解。
    纯度 & 产品资料
    参考文献

    完整储备液配制表

    * 请根据产品在不同溶剂中的溶解度选择合适的溶剂配制储备液;一旦配成溶液,请分装保存,避免反复冻融造成的产品失效
    储备液的保存方式和期限:-80°C, 6 months; -20°C, 1 month。-80°C储存时,请在6个月内使用,-20°C储存时,请在1个月内使用。

    可选溶剂 浓度 溶剂体积 质量 1 mg 5 mg 10 mg 25 mg
    DMSO 1 mM 3.4321 mL 17.1603 mL 34.3206 mL 85.8016 mL
    5 mM 0.6864 mL 3.4321 mL 6.8641 mL 17.1603 mL
    10 mM 0.3432 mL 1.7160 mL 3.4321 mL 8.5802 mL
    15 mM 0.2288 mL 1.1440 mL 2.2880 mL 5.7201 mL
    20 mM 0.1716 mL 0.8580 mL 1.7160 mL 4.2901 mL
    25 mM 0.1373 mL 0.6864 mL 1.3728 mL 3.4321 mL
    30 mM 0.1144 mL 0.5720 mL 1.1440 mL 2.8601 mL
    40 mM 0.0858 mL 0.4290 mL 0.8580 mL 2.1450 mL
    50 mM 0.0686 mL 0.3432 mL 0.6864 mL 1.7160 mL
    60 mM 0.0572 mL 0.2860 mL 0.5720 mL 1.4300 mL
    80 mM 0.0429 mL 0.2145 mL 0.4290 mL 1.0725 mL
    100 mM 0.0343 mL 0.1716 mL 0.3432 mL 0.8580 mL
    Help & FAQs
    • Do most proteins show cross-species activity?

      Species cross-reactivity must be investigated individually for each product. Many human cytokines will produce a nice response in mouse cell lines, and many mouse proteins will show activity on human cells. Other proteins may have a lower specific activity when used in the opposite species.

    您最近查看的产品:

    Your information is safe with us. * Required Fields.

       产品名称:

     

    * 需求量:

    * 客户姓名:

     

    * Email:

    * 电话:

     

    * 公司或机构名称:

       留言给我们:

    Bulk Inquiry

    Inquiry Information

    产品名称:
    Fasudil
    目录号:
    HY-10341A
    需求量: