1. Cell Cycle/DNA Damage Stem Cell/Wnt JAK/STAT Signaling Apoptosis
  2. Nucleoside Antimetabolite/Analog DNA/RNA Synthesis STAT Apoptosis
  3. Fludarabine

Fludarabine  (Synonyms: 氟达拉滨; F-ara-A; NSC 118218)

目录号: HY-B0069 纯度: 99.77%
COA 产品使用指南 技术支持

Fludarabine (F-ara-A; NSC 118218) 是一种 DNA 合成抑制剂和一种在淋巴增生性恶性肿瘤中具有抗肿瘤活性的氟化嘌呤类似物。Fludarabine 抑制细胞因子诱导的正常静止或激活淋巴细胞中 STAT1STAT1 依赖性基因转录的激活。

MCE 的所有产品仅用作科学研究或药证申报,我们不为任何个人用途提供产品和服务

Fludarabine

Fludarabine Chemical Structure

CAS No. : 21679-14-1

1.  客户无需承担相应的运输费用。

2.  同一机构(单位)同一产品试用装仅限申领一次,同一机构(单位)一年内

     可免费申领三个不同产品的试用装。

3.  试用装只面向终端客户

规格 价格 是否有货 数量
10 mM * 1 mL in DMSO ¥550
In-stock
5 mg ¥496
In-stock
10 mg ¥750
In-stock
25 mg ¥1428
In-stock
50 mg ¥2285
In-stock
100 mg ¥3199
In-stock
200 mg   询价  
500 mg   询价  

* Please select Quantity before adding items.

Customer Review

Other Forms of Fludarabine:

MCE 顾客使用本产品发表的 86 篇科研文献

WB

    Fludarabine purchased from MCE. Usage Cited in: Nat Commun. 2021 Mar 29;12(1):1940.  [Abstract]

    SW1990 cells transfected with indicated 20, 50 μM Fludara with 20 ng/mL IFN-γ for 24 hours, immunoblotting analyses are performed using the indicated antibodies.

    Fludarabine purchased from MCE. Usage Cited in: J Exp Clin Cancer Res. 2019 Aug 22;38(1):370.  [Abstract]

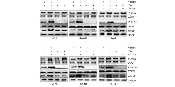
    Western blot of JAK2 and STAT1 phosphorylation and CXCL1 expression in cells pretreated with Fludarabine (100 μM) for 1 h and subsequently treated with VP-16 (20 μM) or CPT-11 (80 μg/mL) for 0.5 h.

    查看 STAT 亚型特异性产品:

    • 生物活性

    • 纯度 & 产品资料

    • 参考文献

    生物活性

    Fludarabine (NSC 118218) is a DNA synthesis inhibitor and a fluorinated purine analogue with antineoplastic activity in lymphoproliferative malignancies. Fludarabine inhibits the cytokine-induced activation of STAT1 and STAT1-dependent gene transcription in normal resting or activated lymphocytes[1][2][3][4].

    细胞效力
    (Cellular Effect)
    Cell Line Type Value Description References
    A549 IC50
    47.44 μM
    Compound: fludarabine
    Cytotoxicity against human A549 cells after 72 hrs by MTT assay
    Cytotoxicity against human A549 cells after 72 hrs by MTT assay
    [PMID: 20605656]
    CCRF-CEM IC50
    19.49 μM
    Compound: fludarabine
    Cytotoxicity against human CEM cells after 72 hrs by MTT assay
    Cytotoxicity against human CEM cells after 72 hrs by MTT assay
    [PMID: 20605656]
    HCT-116 IC50
    6.6 μM
    Compound: Fludarabine
    Cytotoxicity against human HCT116 cells after 72 hrs by SRB assay
    Cytotoxicity against human HCT116 cells after 72 hrs by SRB assay
    [PMID: 25462277]
    HCT-116 IC50
    8 μM
    Compound: Fludarabine
    Antiproliferative activity against human HCT116 cells after 72 hrs by SRB assay
    Antiproliferative activity against human HCT116 cells after 72 hrs by SRB assay
    [PMID: 29326016]
    HeLa EC50
    16 μM
    Compound: Flu
    Antitumor activity against human HeLa cells assessed as cell viability by MTT assay
    Antitumor activity against human HeLa cells assessed as cell viability by MTT assay
    [PMID: 24673739]
    HepG2 IC50
    20 μM
    Compound: Fludarabine
    Antiproliferative activity against human HepG2 cells after 72 hrs by SRB assay
    Antiproliferative activity against human HepG2 cells after 72 hrs by SRB assay
    [PMID: 29326016]
    Huh-7 IC50
    30 μM
    Compound: Fludarabine
    Antiproliferative activity against human HuH7 cells after 72 hrs by SRB assay
    Antiproliferative activity against human HuH7 cells after 72 hrs by SRB assay
    [PMID: 29326016]
    Huh-7 IC50
    60.1 μM
    Compound: Fludarabine
    Cytotoxicity against human HuH7 cells after 72 hrs by SRB assay
    Cytotoxicity against human HuH7 cells after 72 hrs by SRB assay
    [PMID: 25462277]
    JVM-2 EC50
    10.4 μM
    Compound: Flu
    Antitumor activity against human JVM2 cells assessed as cell viability after 48 hrs by FACS analysis
    Antitumor activity against human JVM2 cells assessed as cell viability after 48 hrs by FACS analysis
    [PMID: 24673739]
    K562 IC50
    0.26 μM
    Compound: fludarabine
    Cytotoxicity against human paclitaxel-resistant K562 cells after 72 hrs by MTT assay
    Cytotoxicity against human paclitaxel-resistant K562 cells after 72 hrs by MTT assay
    [PMID: 20605656]
    K562 IC50
    0.6 μg/mL
    Compound: Fludarabine
    Inhibitory concentration required against human chronic myelogenous leukemic K-562 cell line after 48h, using [3H]thymidine incorporation assay
    Inhibitory concentration required against human chronic myelogenous leukemic K-562 cell line after 48h, using [3H]thymidine incorporation assay
    [PMID: 12617912]
    K562 IC50
    0.6 μg/mL
    Compound: Fludarabine
    Inhibitory concentration required against human chronic myelogenous leukemic K-562 cell line after 5h, using [3H]thymidine incorporation assay
    Inhibitory concentration required against human chronic myelogenous leukemic K-562 cell line after 5h, using [3H]thymidine incorporation assay
    [PMID: 12617912]
    K562 IC50
    267 μM
    Compound: fludarabine
    Cytotoxicity against human K562 cells after 72 hrs by MTT assay
    Cytotoxicity against human K562 cells after 72 hrs by MTT assay
    [PMID: 20605656]
    Mahlavu IC50
    10 μM
    Compound: Fludarabine
    Antiproliferative activity against human Mahlavu cells after 72 hrs by SRB assay
    Antiproliferative activity against human Mahlavu cells after 72 hrs by SRB assay
    [PMID: 29326016]
    MCF7 IC50
    15 μM
    Compound: Fludarabine
    Antiproliferative activity against human MCF7 cells after 72 hrs by SRB assay
    Antiproliferative activity against human MCF7 cells after 72 hrs by SRB assay
    [PMID: 29326016]
    PBMC IC50
    1.9 μM
    Compound: fludarabine
    Cytotoxicity against patient PBMC after 48 hrs by CellTitre-Blue assay
    Cytotoxicity against patient PBMC after 48 hrs by CellTitre-Blue assay
    [PMID: 25562417]
    PBMC IC50
    10 μM
    Compound: fludarabine
    Cytotoxicity against patient PBMC after 48 hrs by CellTitre-Blue assay in presenc of mouse M210B4 cells
    Cytotoxicity against patient PBMC after 48 hrs by CellTitre-Blue assay in presenc of mouse M210B4 cells
    [PMID: 25562417]
    PBMC IC50
    14 μM
    Compound: fludarabine
    Cytotoxicity against healthy human PBMC after 48 hrs by CellTitre-Blue assay
    Cytotoxicity against healthy human PBMC after 48 hrs by CellTitre-Blue assay
    [PMID: 25562417]
    T47D IC50
    46.2 μM
    Compound: Fludarabine
    Cytotoxicity against human T47D cells after 72 hrs by SRB assay
    Cytotoxicity against human T47D cells after 72 hrs by SRB assay
    [PMID: 25462277]
    体外研究
    (In Vitro)

    Fludarabine(5 μM;48 小时)诱导 p27kip1 表达降低[4]

    MCE has not independently confirmed the accuracy of these methods. They are for reference only.

    Western Blot Analysis[4]

    Cell Line: B-CLL cells
    Concentration: 5 μM
    Incubation Time: 24 hours
    Result: Induces a decrease in p27kip1 expression. The decrease in p27kip1 expression was significantly correlated to the extent of in vitro apoptosis.
    体内研究
    (In Vivo)

    Fludarabine(0.8 mg/kg;腹腔注射;两个周期,每 2 周 1 次,每次 5 天)与 Cyclophosphamide(400 mg/kg;腹腔注射;2 周)联合使用可降低 GVHD 的发生率[6]

    MCE has not independently confirmed the accuracy of these methods. They are for reference only.

    Animal Model: F-1 mice received 105 BCL-1 leukemia cells[6]
    Dosage: 0.8 mg/kg
    Administration: Intraperitoneal injection; two cycles for 5 days every 2 weeks
    Result: Combination with Cyclophosphamide decreased incidence of graft-versus-host disease (GVHD).
    Clinical Trial
    分子量

    285.24

    Formula

    C10H12FN5O4

    CAS 号
    性状

    固体

    颜色

    White to yellow

    中文名称

    氟达拉滨

    运输条件

    Room temperature in continental US; may vary elsewhere.

    储存方式
    Powder -20°C 3 years
    4°C 2 years
    In solvent -80°C 6 months
    -20°C 1 month
    溶解性数据
    细胞实验: 

    DMSO 中的溶解度 : 25 mg/mL (87.65 mM; 超声助溶; 吸湿的 DMSO 对产品的溶解度有显著影响,请使用新开封的 DMSO)

    配制储备液
    浓度 溶剂体积 质量 1 mg 5 mg 10 mg
    1 mM 3.5058 mL 17.5291 mL 35.0582 mL
    5 mM 0.7012 mL 3.5058 mL 7.0116 mL
    查看完整储备液配制表

    * 请根据产品在不同溶剂中的溶解度选择合适的溶剂配制储备液;一旦配成溶液,请分装保存,避免反复冻融造成的产品失效
    储备液的保存方式和期限:-80°C, 6 months; -20°C, 1 month。-80°C储存时,请在6个月内使用,-20°C储存时,请在1个月内使用。

    • 摩尔计算器

    • 稀释计算器

    Mass (g) = Concentration (mol/L) × Volume (L) × Molecular Weight (g/mol)

    质量
    =
    浓度
    ×
    体积
    ×
    分子量 *

    Concentration (start) × Volume (start) = Concentration (final) × Volume (final)

    This equation is commonly abbreviated as: C1V1 = C2V2

    浓度 (start)

    C1

    ×
    体积 (start)

    V1

    =
    浓度 (final)

    C2

    ×
    体积 (final)

    V2

    动物实验:

    请根据您的 实验动物和给药方式 选择适当的溶解方案。

    以下溶解方案都请先按照 In Vitro 方式配制澄清的储备液,再依次添加助溶剂:
    ——为保证实验结果的可靠性,澄清的储备液可以根据储存条件,适当保存;体内实验的工作液,建议您现用现配,当天使用
    以下溶剂前显示的百分比是指该溶剂在您配制终溶液中的体积占比;如在配制过程中出现沉淀、析出现象,可以通过加热和/或超声的方式助溶

    • 方案 一

      请依序添加每种溶剂: 10% DMSO    40% PEG300    5% Tween-80    45% Saline

      Solubility: ≥ 2.5 mg/mL (8.76 mM); 澄清溶液

      此方案可获得 ≥ 2.5 mg/mL(饱和度未知)的澄清溶液。

      1 mL 工作液为例,取 100 μL 25.0 mg/mL 的澄清 DMSO 储备液加到 400 μL PEG300 中,混合均匀;再向上述体系中加入 50 μL Tween-80,混合均匀;然后再继续加入 450 μL 生理盐水 定容至 1 mL

      生理盐水的配制:将 0.9 g 氯化钠,溶解于 ddH₂O 并定容至 100 mL,可以得到澄清透明的生理盐水溶液。
    • 方案 二

      请依序添加每种溶剂: 10% DMSO    90% (20% SBE-β-CD in Saline)

      Solubility: ≥ 2.5 mg/mL (8.76 mM); 澄清溶液

      此方案可获得 ≥ 2.5 mg/mL(饱和度未知)的澄清溶液。

      1 mL 工作液为例,取 100 μL 25.0 mg/mL 的澄清 DMSO 储备液加到 900 μL 20% 的 SBE-β-CD 生理盐水水溶液 中,混合均匀。

      2 g SBE-β-CD(磺丁基醚 β-环糊精)粉末定容于 10 mL 的生理盐水中,完全溶解至澄清透明。

    以下溶解方案,请直接配制工作液。建议现用现配,在短期内尽快用完。 以下溶剂前显示的百分比是指该溶剂在您配制终溶液中的体积占比; 如在配制过程中出现沉淀、析出现象,可以通过加热和/或超声的方式助溶。

    • 方案 一

      请依序添加每种溶剂: 50% PEG300    50% Saline

      Solubility: 5 mg/mL (17.53 mM); 悬浊液; 超声助溶

    动物溶解方案计算器
    请输入动物实验的基本信息:

    给药剂量

    mg/kg

    动物的平均体重

    g

    每只动物的给药体积

    μL

    动物数量

    由于实验过程有损耗,建议您多配一只动物的量
    请输入您的动物体内配方组成:
    %
    DMSO +
    +
    %
    Tween-80 +
    %
    Saline
    如果您的动物是免疫缺陷鼠或者体弱鼠,建议 DMSO 中的在最后工作液体系中的占比尽量不超过 2%。
    方案所需 助溶剂 包括:DMSO ,均可在 MCE 网站选购。 Tween 80,均可在 MCE 网站选购。
    计算结果
    工作液所需浓度 : mg/mL
    储备液配制方法 : mg 药物溶于 μL  DMSO(母液浓度为 mg/mL)。
    您所需的储备液浓度超过该产品的实测溶解度,以下方案仅供参考,如有需要,请与 MCE 中国技术支持联系。
    动物实验体内工作液的配制方法 : 取 μL DMSO 储备液,加入 μL  μL ,混合均匀至澄清,再加 μL Tween 80,混合均匀至澄清,再加 μL 生理盐水
    连续给药周期超过半月以上,请谨慎选择该方案。
    请确保第一步储备液溶解至澄清状态,从左到右依次添加助溶剂。您可采用超声加热 (超声清洗仪,建议频次 20-40 kHz),涡旋吹打等方式辅助溶解。
    纯度 & 产品资料

    纯度: 99.77%

    参考文献

    完整储备液配制表

    * 请根据产品在不同溶剂中的溶解度选择合适的溶剂配制储备液;一旦配成溶液,请分装保存,避免反复冻融造成的产品失效
    储备液的保存方式和期限:-80°C, 6 months; -20°C, 1 month。-80°C储存时,请在6个月内使用,-20°C储存时,请在1个月内使用。

    可选溶剂 浓度 溶剂体积 质量 1 mg 5 mg 10 mg 25 mg
    DMSO 1 mM 3.5058 mL 17.5291 mL 35.0582 mL 87.6455 mL
    5 mM 0.7012 mL 3.5058 mL 7.0116 mL 17.5291 mL
    10 mM 0.3506 mL 1.7529 mL 3.5058 mL 8.7645 mL
    15 mM 0.2337 mL 1.1686 mL 2.3372 mL 5.8430 mL
    20 mM 0.1753 mL 0.8765 mL 1.7529 mL 4.3823 mL
    25 mM 0.1402 mL 0.7012 mL 1.4023 mL 3.5058 mL
    30 mM 0.1169 mL 0.5843 mL 1.1686 mL 2.9215 mL
    40 mM 0.0876 mL 0.4382 mL 0.8765 mL 2.1911 mL
    50 mM 0.0701 mL 0.3506 mL 0.7012 mL 1.7529 mL
    60 mM 0.0584 mL 0.2922 mL 0.5843 mL 1.4608 mL
    80 mM 0.0438 mL 0.2191 mL 0.4382 mL 1.0956 mL
    Help & FAQs
    • Do most proteins show cross-species activity?

      Species cross-reactivity must be investigated individually for each product. Many human cytokines will produce a nice response in mouse cell lines, and many mouse proteins will show activity on human cells. Other proteins may have a lower specific activity when used in the opposite species.

    您最近查看的产品:

    Your information is safe with us. * Required Fields.

       产品名称:

     

    * 需求量:

    * 客户姓名:

     

    * Email:

    * 电话:

     

    * 公司或机构名称:

       留言给我们:

    Bulk Inquiry

    Inquiry Information

    产品名称:
    Fludarabine
    目录号:
    HY-B0069
    需求量: