1. Immunology/Inflammation
  2. STING
  3. H-151

H-151 是一种有效,选择性和共价的 STING 拮抗剂,在体外和体内均具有显着的抑制活性。H-151 减少 TBK1 磷酸化并抑制 STING 棕榈酰化。H-151 可用于自身炎症性疾病的研究。

MCE 的所有产品仅用作科学研究或药证申报,我们不为任何个人用途提供产品和服务

CAS No. : 941987-60-6

1.  客户无需承担相应的运输费用。

2.  同一机构(单位)同一产品试用装仅限申领一次,同一机构(单位)一年内

     可免费申领三个不同产品的试用装。

3.  试用装只面向终端客户

规格 价格 是否有货 数量
10 mM * 1 mL in DMSO ¥880
In-stock
5 mg ¥800
In-stock
10 mg ¥1200
In-stock
50 mg ¥4500
In-stock
100 mg 现货 询价
200 mg   询价  
500 mg   询价  

* Please select Quantity before adding items.

Customer Review

MCE 顾客使用本产品发表的 100 篇科研文献

IF
WB
Cell Viability Assay
RT-PCR

    H-151 purchased from MCE. Usage Cited in: Adv Sci (Weinh). 2024 Jun 18:e2401634.  [Abstract]

    H-151 (750 nmol in 200 µL PBS with 5% Tween-80) suppresses radiation-induced phosphorylation of TBK1 and IRF3 in the colons of C57BL/6J mice.

    H-151 purchased from MCE. Usage Cited in: Small. 2024 Mar;20(9):e2307448.  [Abstract]

    H-151 (1-10 μM; 24 h) dose-dependently reduces 223Ra (3.7 kBq/mL; 48 h)-induced cytotoxicity in LLC cells.

    H-151 purchased from MCE. Usage Cited in: Small. 2024 Mar;20(9):e2307448.  [Abstract]

    H-151 (1 μM; 24 h) significantly attenuates 223Ra (3.7 kBq/mL; 48 h)-induced upregulation of NLRP3 expression while increasing the cleaved GSDMD/GSDMD ratio in LLC cells.

    H-151 purchased from MCE. Usage Cited in: Toxicol Lett. 2023 Jan 15:373:172-183.  [Abstract]

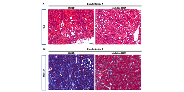
    H-151 (H151; 750 nM/mice; i.p.; every 12 h for 72 h) significantly restores inflammatory cell infiltration and ECM deposition in the mice with EsA (fig K), and decreases collagen fiber streaks (blue-stained area) (fig M).

    H-151 purchased from MCE. Usage Cited in: Cell Metab. 2021 Oct 5;33(10):2076-2089.e9.  [Abstract]

    FHs 74 Int cells were pretreated with 1 μM H-151 or 4 μM C-170 for 2 h and then exposed to 10 Gy ionizing radiation. IFNb expression was examined by qPCR 2 h after irradiation.

    H-151 purchased from MCE. Usage Cited in: Cancer Res. 2021 May 15;81(10):2714-2729.  [Abstract]

    RT-qPCR analysis of CCL5, CXCL10, ISG15 and IFI44 expression in HOC7 with depletion of STING by STING inhibition (1 μM H151) for 24 hours (E) or si-STING (100μM) for 48 hours (F)
    • 生物活性

    • 纯度 & 产品资料

    • 参考文献

    生物活性

    H-151 is a potent, selective and covalent antagonist of STING that has noteworthy inhibitory activity both in cells and in vivo. H-151 reduces TBK1 phosphorylation and suppresses STING palmitoylation. H-151 can be used for the research of autoinflammatory disease[1].

    IC50 & Target

    STING[1]

    体外研究
    (In Vitro)

    H-151 (0.02-2 μM) 降低 HEK293T 细胞的 IFNβ 荧光素酶报告基因测量值[1]
    H-151 (0.5 μM;2 h) 抑制 THP- 中 TBK1 的磷酸化 1 个细胞[1]
    H-151 (1 μM;3 小时) 抑制 hsSTING 棕榈酰化[1]

    MCE has not independently confirmed the accuracy of these methods. They are for reference only.

    体内研究
    (In Vivo)

    H-151 (每只小鼠 750 nmol;单次腹腔注射) 显著降低经 CMA 处理的小鼠的全身细胞因子反应[1]
    H-151 (每只小鼠 750 nmol;每天腹腔注射,持续7 d) 在表达生物发光 IFNβ 报告基因的 Trex1 / 小鼠中表现出显著功效[1]
    H-151 (每只小鼠 750 nmol;单次腹腔注射) 达到有效的全身水平,在血清中显示出较短的半衰期,并在野生型小鼠中形成 mmSTING 的加合物[1]

    MCE has not independently confirmed the accuracy of these methods. They are for reference only.

    分子量

    279.34

    Formula

    C17H17N3O

    CAS 号
    性状

    固体

    颜色

    White to off-white

    运输条件

    Room temperature in continental US; may vary elsewhere.

    储存方式
    Powder -20°C 3 years
    In solvent -80°C 6 months
    -20°C 1 month
    溶解性数据
    细胞实验: 

    DMSO 中的溶解度 : 100 mg/mL (357.99 mM; 超声助溶; 吸湿的 DMSO 对产品的溶解度有显著影响,请使用新开封的 DMSO)

    配制储备液
    浓度 溶剂体积 质量 1 mg 5 mg 10 mg
    1 mM 3.5799 mL 17.8993 mL 35.7987 mL
    5 mM 0.7160 mL 3.5799 mL 7.1597 mL
    查看完整储备液配制表

    * 请根据产品在不同溶剂中的溶解度选择合适的溶剂配制储备液;一旦配成溶液,请分装保存,避免反复冻融造成的产品失效
    储备液的保存方式和期限:-80°C, 6 months; -20°C, 1 month。-80°C储存时,请在6个月内使用,-20°C储存时,请在1个月内使用。

    • 摩尔计算器

    • 稀释计算器

    Mass (g) = Concentration (mol/L) × Volume (L) × Molecular Weight (g/mol)

    质量
    =
    浓度
    ×
    体积
    ×
    分子量 *

    Concentration (start) × Volume (start) = Concentration (final) × Volume (final)

    This equation is commonly abbreviated as: C1V1 = C2V2

    浓度 (start)

    C1

    ×
    体积 (start)

    V1

    =
    浓度 (final)

    C2

    ×
    体积 (final)

    V2

    动物实验:

    请根据您的 实验动物和给药方式 选择适当的溶解方案。

    以下溶解方案都请先按照 In Vitro 方式配制澄清的储备液,再依次添加助溶剂:
    ——为保证实验结果的可靠性,澄清的储备液可以根据储存条件,适当保存;体内实验的工作液,建议您现用现配,当天使用
    以下溶剂前显示的百分比是指该溶剂在您配制终溶液中的体积占比;如在配制过程中出现沉淀、析出现象,可以通过加热和/或超声的方式助溶

    • 方案 一

      请依序添加每种溶剂: 5% DMSO    5% Tween-80    90% PBS

      Solubility: 2.5 mg/mL (8.95 mM); 悬浊液; 超声助溶

    • 方案 二

      请依序添加每种溶剂: 10% DMSO    40% PEG300    5% Tween-80    45% Saline

      Solubility: ≥ 2.08 mg/mL (7.45 mM); 澄清溶液

      此方案可获得 ≥ 2.08 mg/mL(饱和度未知)的澄清溶液。

      1 mL 工作液为例,取 100 μL 20.8 mg/mL 的澄清 DMSO 储备液加到 400 μL PEG300 中,混合均匀;再向上述体系中加入 50 μL Tween-80,混合均匀;然后再继续加入 450 μL 生理盐水 定容至 1 mL

      生理盐水的配制:将 0.9 g 氯化钠,溶解于 ddH₂O 并定容至 100 mL,可以得到澄清透明的生理盐水溶液。
    动物溶解方案计算器
    请输入动物实验的基本信息:

    给药剂量

    mg/kg

    动物的平均体重

    g

    每只动物的给药体积

    μL

    动物数量

    由于实验过程有损耗,建议您多配一只动物的量
    请输入您的动物体内配方组成:
    %
    DMSO +
    +
    %
    Tween-80 +
    %
    Saline
    如果您的动物是免疫缺陷鼠或者体弱鼠,建议 DMSO 中的在最后工作液体系中的占比尽量不超过 2%。
    方案所需 助溶剂 包括:DMSO ,均可在 MCE 网站选购。 Tween 80,均可在 MCE 网站选购。
    计算结果
    工作液所需浓度 : mg/mL
    储备液配制方法 : mg 药物溶于 μL  DMSO(母液浓度为 mg/mL)。
    您所需的储备液浓度超过该产品的实测溶解度,以下方案仅供参考,如有需要,请与 MCE 中国技术支持联系。
    动物实验体内工作液的配制方法 : 取 μL DMSO 储备液,加入 μL  μL ,混合均匀至澄清,再加 μL Tween 80,混合均匀至澄清,再加 μL 生理盐水
    连续给药周期超过半月以上,请谨慎选择该方案。
    请确保第一步储备液溶解至澄清状态,从左到右依次添加助溶剂。您可采用超声加热 (超声清洗仪,建议频次 20-40 kHz),涡旋吹打等方式辅助溶解。
    纯度 & 产品资料

    纯度: 99.86%

    参考文献

    完整储备液配制表

    * 请根据产品在不同溶剂中的溶解度选择合适的溶剂配制储备液;一旦配成溶液,请分装保存,避免反复冻融造成的产品失效
    储备液的保存方式和期限:-80°C, 6 months; -20°C, 1 month。-80°C储存时,请在6个月内使用,-20°C储存时,请在1个月内使用。

    可选溶剂 浓度 溶剂体积 质量 1 mg 5 mg 10 mg 25 mg
    DMSO 1 mM 3.5799 mL 17.8993 mL 35.7987 mL 89.4967 mL
    5 mM 0.7160 mL 3.5799 mL 7.1597 mL 17.8993 mL
    10 mM 0.3580 mL 1.7899 mL 3.5799 mL 8.9497 mL
    15 mM 0.2387 mL 1.1933 mL 2.3866 mL 5.9664 mL
    20 mM 0.1790 mL 0.8950 mL 1.7899 mL 4.4748 mL
    25 mM 0.1432 mL 0.7160 mL 1.4319 mL 3.5799 mL
    30 mM 0.1193 mL 0.5966 mL 1.1933 mL 2.9832 mL
    40 mM 0.0895 mL 0.4475 mL 0.8950 mL 2.2374 mL
    50 mM 0.0716 mL 0.3580 mL 0.7160 mL 1.7899 mL
    60 mM 0.0597 mL 0.2983 mL 0.5966 mL 1.4916 mL
    80 mM 0.0447 mL 0.2237 mL 0.4475 mL 1.1187 mL
    100 mM 0.0358 mL 0.1790 mL 0.3580 mL 0.8950 mL
    Help & FAQs
    • Do most proteins show cross-species activity?

      Species cross-reactivity must be investigated individually for each product. Many human cytokines will produce a nice response in mouse cell lines, and many mouse proteins will show activity on human cells. Other proteins may have a lower specific activity when used in the opposite species.

    您最近查看的产品:

    Your information is safe with us. * Required Fields.

       产品名称:

     

    * 需求量:

    * 客户姓名:

     

    * Email:

    * 电话:

     

    * 公司或机构名称:

       留言给我们:

    Bulk Inquiry

    Inquiry Information

    产品名称:
    H-151
    目录号:
    HY-112693
    需求量:

    S

    T

    X

    Y

    Z

    A B C F G H J L N Q S T X Y Z