1. Metabolic Enzyme/Protease
  2. Phospholipase
  3. Pyrrophenone

Pyrrophenone 是一种有效且特异性的胞质磷脂酶 A2α (cPLA2α) 抑制剂,IC50 值为 4.2 nM。

MCE 的所有产品仅用作科学研究或药证申报,我们不为任何个人用途提供产品和服务

Pyrrophenone

Pyrrophenone Chemical Structure

CAS No. : 341973-06-6

1.  客户无需承担相应的运输费用。

2.  同一机构(单位)同一产品试用装仅限申领一次,同一机构(单位)一年内

     可免费申领三个不同产品的试用装。

3.  试用装只面向终端客户

规格 价格 是否有货 数量
10 mM * 1 mL in DMSO ¥14024
In-stock
1 mg ¥2400
In-stock
5 mg 现货 询价
10 mg   询价  
50 mg   询价  

* Please select Quantity before adding items.

Customer Review

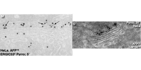
    Pyrrophenone purchased from MCE. Usage Cited in: Int J Mol Sci. 2023 Jan 10;24(2):1375.

    In HeLa cells transfected with AFP, pyrrophenone inhibits the delivery of AFP at the trans-side of the GC (Figure M-O).

    查看 Phospholipase 亚型特异性产品:

    • 生物活性

    • 纯度 & 产品资料

    • 参考文献

    生物活性

    Pyrrophenone is a potent and specific cytosolic phospholipase A2α (cPLA2α) inhibitor with an IC50 value of 4.2 nM[1].

    IC50 & Target[1]

    cPLA2α

    4.2 nM (IC50)

    体外研究
    (In Vitro)

    Pyrrophenone 能有效抑制人体全血中花生四烯酸的释放、前列腺素 E2、血栓素 B2 和白三烯 B4 的形成[1]
    Pyrrophenone 抑制用 A23187[1] 刺激的 THP-1 细胞产生花生四烯酸 (AA) (IC50=24±1.7 nM)、PGE2 (IC50=25±19 nM) 和 LTC4 (IC50=14±6.7 nM)。
    Pyrrophenone 抑制 AA (IC50=0.19±0.068 μM)、PGE2 (IC50=0.20±0.047 μM)、TXB2 (IC50=0.16 μM) 和从用 A23187 刺激的人全血中提取 LTB4 (IC50=0.32 μM)[1]
    Pyrrophenone (0.1-0.5 μM, 48 小时) 抑制 PC-PTC3 和 PCCl3 细胞的生长[2]

    MCE has not independently confirmed the accuracy of these methods. They are for reference only.

    Cell Proliferation Assay[2]

    Cell Line: PC-PTC3 and PCCl3 cells
    Concentration: 0.1, 0.3, and 0.5 μM
    Incubation Time: 48 hours
    Result: Significantly inhibited basal PC-PTC3 cell proliferation at concentrations as low as 0.1 μM.
    Basal cell proliferation of normal PCCl3 cells was also inhibited by 0.5 μM, although to a lesser extent.
    体内研究
    (In Vivo)

    Pyrrophenone (在 LPS 注射前 30 分钟以 20 mg/kg 的剂量腹腔注射) 可抑制支气管肺泡灌洗 (BAL) 中白三烯 B4 (LTB4) 和血小板活化因子 (PAF)[3] 的水平。

    MCE has not independently confirmed the accuracy of these methods. They are for reference only.

    Animal Model: Specific pathogen-free female BALB/c mice[3]
    Dosage: 20 mg/kg
    Administration: Administered i.p. 30 min before LPS injection
    Result: Suppressed the recruitment of neutrophils and eosinophils, but not macrophages.
    分子量

    849.96

    Formula

    C49H37F2N3O5S2

    CAS 号
    性状

    固体

    颜色

    White to off-white

    运输条件

    Room temperature in continental US; may vary elsewhere.

    储存方式

    4°C, sealed storage, away from moisture and light

    *In solvent : -80°C, 6 months; -20°C, 1 month (sealed storage, away from moisture and light)

    溶解性数据
    细胞实验: 

    DMSO 中的溶解度 : 100 mg/mL (117.65 mM; 超声助溶; 吸湿的 DMSO 对产品的溶解度有显著影响,请使用新开封的 DMSO)

    配制储备液
    浓度 溶剂体积 质量 1 mg 5 mg 10 mg
    1 mM 1.1765 mL 5.8826 mL 11.7653 mL
    5 mM 0.2353 mL 1.1765 mL 2.3531 mL
    查看完整储备液配制表

    * 请根据产品在不同溶剂中的溶解度选择合适的溶剂配制储备液;一旦配成溶液,请分装保存,避免反复冻融造成的产品失效
    储备液的保存方式和期限:-80°C, 6 months; -20°C, 1 month (sealed storage, away from moisture and light)。-80°C储存时,请在6个月内使用,-20°C储存时,请在1个月内使用。

    • 摩尔计算器

    • 稀释计算器

    Mass (g) = Concentration (mol/L) × Volume (L) × Molecular Weight (g/mol)

    质量
    =
    浓度
    ×
    体积
    ×
    分子量 *

    Concentration (start) × Volume (start) = Concentration (final) × Volume (final)

    This equation is commonly abbreviated as: C1V1 = C2V2

    浓度 (start)

    C1

    ×
    体积 (start)

    V1

    =
    浓度 (final)

    C2

    ×
    体积 (final)

    V2

    动物溶解方案计算器
    请输入动物实验的基本信息:

    给药剂量

    mg/kg

    动物的平均体重

    g

    每只动物的给药体积

    μL

    动物数量

    由于实验过程有损耗,建议您多配一只动物的量
    计算结果
    工作液所需浓度 : mg/mL
    纯度 & 产品资料
    参考文献

    完整储备液配制表

    * 请根据产品在不同溶剂中的溶解度选择合适的溶剂配制储备液;一旦配成溶液,请分装保存,避免反复冻融造成的产品失效
    储备液的保存方式和期限:-80°C, 6 months; -20°C, 1 month (sealed storage, away from moisture and light)。-80°C储存时,请在6个月内使用,-20°C储存时,请在1个月内使用。

    可选溶剂 浓度 溶剂体积 质量 1 mg 5 mg 10 mg 25 mg
    DMSO 1 mM 1.1765 mL 5.8826 mL 11.7653 mL 29.4131 mL
    5 mM 0.2353 mL 1.1765 mL 2.3531 mL 5.8826 mL
    10 mM 0.1177 mL 0.5883 mL 1.1765 mL 2.9413 mL
    15 mM 0.0784 mL 0.3922 mL 0.7844 mL 1.9609 mL
    20 mM 0.0588 mL 0.2941 mL 0.5883 mL 1.4707 mL
    25 mM 0.0471 mL 0.2353 mL 0.4706 mL 1.1765 mL
    30 mM 0.0392 mL 0.1961 mL 0.3922 mL 0.9804 mL
    40 mM 0.0294 mL 0.1471 mL 0.2941 mL 0.7353 mL
    50 mM 0.0235 mL 0.1177 mL 0.2353 mL 0.5883 mL
    60 mM 0.0196 mL 0.0980 mL 0.1961 mL 0.4902 mL
    80 mM 0.0147 mL 0.0735 mL 0.1471 mL 0.3677 mL
    100 mM 0.0118 mL 0.0588 mL 0.1177 mL 0.2941 mL
    Help & FAQs
    • Do most proteins show cross-species activity?

      Species cross-reactivity must be investigated individually for each product. Many human cytokines will produce a nice response in mouse cell lines, and many mouse proteins will show activity on human cells. Other proteins may have a lower specific activity when used in the opposite species.

    您最近查看的产品:

    Your information is safe with us. * Required Fields.

       产品名称:

     

    * 需求量:

    * 客户姓名:

     

    * Email:

    * 电话:

     

    * 公司或机构名称:

       留言给我们:

    Bulk Inquiry

    Inquiry Information

    产品名称:
    Pyrrophenone
    目录号:
    HY-111376
    需求量:

    H

    J

    L

    N

    Q

    S

    T

    X

    Y

    Z

    A B C F G H J L N Q S T X Y Z