1. Apoptosis
  2. Apoptosis
  3. Stevioside

Stevioside  (Synonyms: 甜菊苷)

目录号: HY-N0669 纯度: 99.32%
COA 产品使用指南 技术支持

Stevioside 是可以从甜叶菊 (Stevia rebaudiana) 中分离得到的一种具有口服活性的甜味剂,具有降压、降血糖、抗氧化、抗炎和抗肿瘤活性。

MCE 的所有产品仅用作科学研究或药证申报,我们不为任何个人用途提供产品和服务

Stevioside

Stevioside Chemical Structure

CAS No. : 57817-89-7

1.  客户无需承担相应的运输费用。

2.  同一机构(单位)同一产品试用装仅限申领一次,同一机构(单位)一年内

     可免费申领三个不同产品的试用装。

3.  试用装只面向终端客户

规格 价格 是否有货 数量
10 mM * 1 mL in DMSO ¥193
In-stock
10 mg ¥175
In-stock
25 mg ¥315
In-stock
50 mg ¥455
In-stock
100 mg ¥665
In-stock
200 mg   询价  
500 mg   询价  

* Please select Quantity before adding items.

Customer Review

Other Forms of Stevioside:

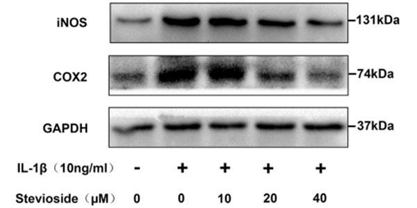
    Stevioside purchased from MCE. Usage Cited in: J Orthop Translat. 2022 Nov 15:38:190-202.

    Stevioside (STE; 10, 20, 40 µM) significantly decreases the expression of iNOS and COX-2 in a dose-dependent manner compared to stimulation with IL-1β.
    • 生物活性

    • 纯度 & 产品资料

    • 参考文献

    生物活性

    Stevioside is an orally active sweetener that can be isolated from Stevia rebaudiana, with antihypertensive, antihyperglycemic, antioxidant, anti-inflammatory and anti-tumor activities[1][2].

    细胞效力
    (Cellular Effect)
    Cell Line Type Value Description References
    Raji IC50
    360 μM
    Compound: 1
    Inhibition of TPA-induced EBV-early antigen activation in human Raji cells after 48hrs by indirect immunofluorescence technique
    Inhibition of TPA-induced EBV-early antigen activation in human Raji cells after 48hrs by indirect immunofluorescence technique
    [PMID: 19131254]
    体外研究
    (In Vitro)

    Stevioside (5-100 μM, 24-48 h) 可增强 5-氟尿嘧啶 (5-Fu,HY-90006) 对 MDA-MB-231 和 SKBR3 细胞的细胞毒性[1]
    Stevioside (10 μM, 48 h) 与 5-氟尿嘧啶 (HY-90006) 联用可增加 MDA-MB-231 细胞中 Bax 与 Bcl2 的比例,从而引发细胞凋亡[1]
    Stevioside (10-1000 μM, 6 h) 诱导 THP-1 细胞释放 TNF-α 和 IL-1β[2]

    MCE has not independently confirmed the accuracy of these methods. They are for reference only.

    Apoptosis Analysis[1]

    Cell Line: MDA-MB-231
    Concentration: 10 μM
    Incubation Time: 24 h
    Result: Increased the rate of apoptosis in cells with combination of 5-Fu (HY-90006).
    Increased ROS level significantly in MDA-MB-231.
    Combinated with 5-Fu (HY-90006) could trigger early and late apoptotic events in cancer cells.

    Western Blot Analysis[2]

    Cell Line: THP-1 cells
    Concentration: 1 mM
    Incubation Time: 45 min
    Result: Inhibited the expression level of NF-κB and IKKβ.
    体内研究
    (In Vivo)

    Stevioside (20 mg/kg, 口服, 每日一次, 10 天) 可防止 NMRI Haan 小鼠血糖显著升高[3]
    Stevioside (50-200 mg/kg, 静脉注射, 一次) 以剂量依赖性方式降低自发性高血压大鼠的血压[4]
    Stevioside (6.25-25 mg/kg, 口服, 每日一次, 15 天) 可增加 Balb/c 小鼠中 LPS 刺激的 B 淋巴细胞的增殖反应[5]

    MCE has not independently confirmed the accuracy of these methods. They are for reference only.

    Animal Model: Balb/c mice[5]
    Dosage: 6.25-25 mg/kg
    Administration: p.o., daily, 7 days
    Result: Didn’t show any change in the general behaviour of the test animals.
    Increased antibody synthesis of 15.38% and delayed type hypersensitivity (DTH) response of 18% at the dose of 12.5 mg/kg.
    Possessed macrophage stimulatory activity and increased phagocytic index.
    Clinical Trial
    分子量

    804.87

    Formula

    C38H60O18

    CAS 号
    性状

    固体

    颜色

    White to off-white

    中文名称

    甜菊苷

    结构分类
    初始来源
    运输条件

    Room temperature in continental US; may vary elsewhere.

    储存方式
    Powder -20°C 3 years
    4°C 2 years
    In solvent -80°C 6 months
    -20°C 1 month
    溶解性数据
    细胞实验: 

    DMSO 中的溶解度 : 250 mg/mL (310.61 mM; 超声助溶 (<60°C); 吸湿的 DMSO 对产品的溶解度有显著影响,请使用新开封的 DMSO)

    配制储备液
    浓度 溶剂体积 质量 1 mg 5 mg 10 mg
    1 mM 1.2424 mL 6.2122 mL 12.4244 mL
    5 mM 0.2485 mL 1.2424 mL 2.4849 mL
    查看完整储备液配制表

    * 请根据产品在不同溶剂中的溶解度选择合适的溶剂配制储备液;一旦配成溶液,请分装保存,避免反复冻融造成的产品失效
    储备液的保存方式和期限:-80°C, 6 months; -20°C, 1 month。-80°C储存时,请在6个月内使用,-20°C储存时,请在1个月内使用。

    • 摩尔计算器

    • 稀释计算器

    Mass (g) = Concentration (mol/L) × Volume (L) × Molecular Weight (g/mol)

    质量
    =
    浓度
    ×
    体积
    ×
    分子量 *

    Concentration (start) × Volume (start) = Concentration (final) × Volume (final)

    This equation is commonly abbreviated as: C1V1 = C2V2

    浓度 (start)

    C1

    ×
    体积 (start)

    V1

    =
    浓度 (final)

    C2

    ×
    体积 (final)

    V2

    动物实验:

    请根据您的 实验动物和给药方式 选择适当的溶解方案。

    以下溶解方案都请先按照 In Vitro 方式配制澄清的储备液,再依次添加助溶剂:
    ——为保证实验结果的可靠性,澄清的储备液可以根据储存条件,适当保存;体内实验的工作液,建议您现用现配,当天使用
    以下溶剂前显示的百分比是指该溶剂在您配制终溶液中的体积占比;如在配制过程中出现沉淀、析出现象,可以通过加热和/或超声的方式助溶

    • 方案 一

      请依序添加每种溶剂: 10% DMSO    40% PEG300    5% Tween-80    45% Saline

      Solubility: ≥ 2.08 mg/mL (2.58 mM); 澄清溶液

      此方案可获得 ≥ 2.08 mg/mL(饱和度未知)的澄清溶液。

      1 mL 工作液为例,取 100 μL 20.8 mg/mL 的澄清 DMSO 储备液加到 400 μL PEG300 中,混合均匀;再向上述体系中加入 50 μL Tween-80,混合均匀;然后再继续加入 450 μL 生理盐水 定容至 1 mL

      生理盐水的配制:将 0.9 g 氯化钠,溶解于 ddH₂O 并定容至 100 mL,可以得到澄清透明的生理盐水溶液。
    • 方案 二

      请依序添加每种溶剂: 10% DMSO    90% (20% SBE-β-CD in Saline)

      Solubility: ≥ 2.08 mg/mL (2.58 mM); 澄清溶液

      此方案可获得 ≥ 2.08 mg/mL(饱和度未知)的澄清溶液。

      1 mL 工作液为例,取 100 μL 20.8 mg/mL 的澄清 DMSO 储备液加到 900 μL 20% 的 SBE-β-CD 生理盐水水溶液 中,混合均匀。

      2 g SBE-β-CD(磺丁基醚 β-环糊精)粉末定容于 10 mL 的生理盐水中,完全溶解至澄清透明。
    动物溶解方案计算器
    请输入动物实验的基本信息:

    给药剂量

    mg/kg

    动物的平均体重

    g

    每只动物的给药体积

    μL

    动物数量

    由于实验过程有损耗,建议您多配一只动物的量
    请输入您的动物体内配方组成:
    %
    DMSO +
    +
    %
    Tween-80 +
    %
    Saline
    如果您的动物是免疫缺陷鼠或者体弱鼠,建议 DMSO 中的在最后工作液体系中的占比尽量不超过 2%。
    方案所需 助溶剂 包括:DMSO ,均可在 MCE 网站选购。 Tween 80,均可在 MCE 网站选购。
    计算结果
    工作液所需浓度 : mg/mL
    储备液配制方法 : mg 药物溶于 μL  DMSO(母液浓度为 mg/mL)。
    您所需的储备液浓度超过该产品的实测溶解度,以下方案仅供参考,如有需要,请与 MCE 中国技术支持联系。
    动物实验体内工作液的配制方法 : 取 μL DMSO 储备液,加入 μL  μL ,混合均匀至澄清,再加 μL Tween 80,混合均匀至澄清,再加 μL 生理盐水
    连续给药周期超过半月以上,请谨慎选择该方案。
    请确保第一步储备液溶解至澄清状态,从左到右依次添加助溶剂。您可采用超声加热 (超声清洗仪,建议频次 20-40 kHz),涡旋吹打等方式辅助溶解。
    纯度 & 产品资料

    纯度: 99.32%

    参考文献

    完整储备液配制表

    * 请根据产品在不同溶剂中的溶解度选择合适的溶剂配制储备液;一旦配成溶液,请分装保存,避免反复冻融造成的产品失效
    储备液的保存方式和期限:-80°C, 6 months; -20°C, 1 month。-80°C储存时,请在6个月内使用,-20°C储存时,请在1个月内使用。

    可选溶剂 浓度 溶剂体积 质量 1 mg 5 mg 10 mg 25 mg
    DMSO 1 mM 1.2424 mL 6.2122 mL 12.4244 mL 31.0609 mL
    5 mM 0.2485 mL 1.2424 mL 2.4849 mL 6.2122 mL
    10 mM 0.1242 mL 0.6212 mL 1.2424 mL 3.1061 mL
    15 mM 0.0828 mL 0.4141 mL 0.8283 mL 2.0707 mL
    20 mM 0.0621 mL 0.3106 mL 0.6212 mL 1.5530 mL
    25 mM 0.0497 mL 0.2485 mL 0.4970 mL 1.2424 mL
    30 mM 0.0414 mL 0.2071 mL 0.4141 mL 1.0354 mL
    40 mM 0.0311 mL 0.1553 mL 0.3106 mL 0.7765 mL
    50 mM 0.0248 mL 0.1242 mL 0.2485 mL 0.6212 mL
    60 mM 0.0207 mL 0.1035 mL 0.2071 mL 0.5177 mL
    80 mM 0.0155 mL 0.0777 mL 0.1553 mL 0.3883 mL
    100 mM 0.0124 mL 0.0621 mL 0.1242 mL 0.3106 mL
    Help & FAQs
    • Do most proteins show cross-species activity?

      Species cross-reactivity must be investigated individually for each product. Many human cytokines will produce a nice response in mouse cell lines, and many mouse proteins will show activity on human cells. Other proteins may have a lower specific activity when used in the opposite species.

    您最近查看的产品:

    Your information is safe with us. * Required Fields.

       产品名称:

     

    * 需求量:

    * 客户姓名:

     

    * Email:

    * 电话:

     

    * 公司或机构名称:

       留言给我们:

    Bulk Inquiry

    Inquiry Information

    产品名称:
    Stevioside
    目录号:
    HY-N0669
    需求量: