1. PROTAC Apoptosis Autophagy
  2. Autophagy Apoptosis Ligands for E3 Ligase Molecular Glues
  3. Thalidomide

Thalidomide  (Synonyms: 沙利度胺)

目录号: HY-14658 纯度: 99.98%
COA 产品使用指南 技术支持

Thalidomide 能够抑制 cereblon (cullin-4 E3 泛素连接酶复合物 CUL4-RBX1-DDB1 的一部分),Kd 值约为 250 nM,具有免疫调节、抗炎、抗肿瘤作用。Thalidomide 可以作为分子胶来增强底物。

MCE 的所有产品仅用作科学研究或药证申报,我们不为任何个人用途提供产品和服务

Thalidomide

Thalidomide Chemical Structure

CAS No. : 50-35-1

1.  客户无需承担相应的运输费用。

2.  同一机构(单位)同一产品试用装仅限申领一次,同一机构(单位)一年内

     可免费申领三个不同产品的试用装。

3.  试用装只面向终端客户

规格 价格 是否有货 数量
10 mM * 1 mL in DMSO ¥616
In-stock
200 mg ¥560
In-stock
500 mg ¥1000
In-stock
1 g   询价  
5 g   询价  

* Please select Quantity before adding items.

Customer Review

Other Forms of Thalidomide:

    Thalidomide purchased from MCE. Usage Cited in: Elife. 2018 Aug 1;7:e38430.  [Abstract]

    H9 hESC are treated with increasing concentrations of Thalidomide, Lenalidomide, Pomalidomide, or DMSO as a control. Following 24 h of incubation, SALL4 and GAPDH protein levels are assessed by western blot analysis.

    Thalidomide purchased from MCE. Usage Cited in: Elife. 2018 Aug 1;7:e38430.  [Abstract]

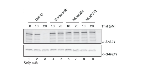
    Kelly cells are treated with increasing concentrations of Thalidomide and co-treated with 5 μM Bortezomib, 5 μM MLN4924, 0.5 μM MLN7243, or DMSO as a control. Following 24 h incubation, SALL4 and GAPDH protein levels are assessed by western blot analysis.

    Thalidomide purchased from MCE. Usage Cited in: Nat Commun. 2017 May 22;8:15398.  [Abstract]

    HEK293T cells are treated with 50 μg/mL Cycloheximide and increasing concentrations of Lenalidomide, Thalidomide or with DMSO, and cells are incubated for 6 h. ZFP91 and GAPDH levels are detected using anti-ZFP91 or anti-GAPDH immunoblotting.
    • 生物活性

    • 实验参考方法

    • 纯度 & 产品资料

    • 参考文献

    生物活性

    Thalidomide inhibits cereblon (CRBN), a part of the cullin-4 E3 ubiquitin ligase complex CUL4-RBX1-DDB1, with a Kd of ∼250 nM, and has immunomodulatory, anti-inflammatory and anti-angiogenic cancer properties. Thalidomide can work as molecular glue to potentiate substrate.

    IC50 & Target

    Cereblon

     

    细胞效力
    (Cellular Effect)
    Cell Line Type Value Description References
    DLD-1 IC50
    > 50 μM
    Compound: Thalidomide
    Cytotoxicity against human DLD1 cells by MTT assay
    Cytotoxicity against human DLD1 cells by MTT assay
    [PMID: 19394719]
    Ehrlich IC50
    0.26 nM
    Compound: Thalidomide
    Cytotoxicity against mouse Ehrlich cells assessed as cell growth inhibition incubated for 3 hrs by trypan blue exclusion assay
    Cytotoxicity against mouse Ehrlich cells assessed as cell growth inhibition incubated for 3 hrs by trypan blue exclusion assay
    [PMID: 34710743]
    HL-60 IC50
    > 50 μM
    Compound: Thalidomide
    Cytotoxicity against human HL60 cells by MTT assay
    Cytotoxicity against human HL60 cells by MTT assay
    [PMID: 19394719]
    HT-29 IC50
    > 50 μM
    Compound: Thalidomide
    Cytotoxicity against human HT-29 cells by MTT assay
    Cytotoxicity against human HT-29 cells by MTT assay
    [PMID: 19394719]
    HUVEC IC50
    > 50 μM
    Compound: Thalidomide
    Cytotoxicity against HUVEC by MTT assay
    Cytotoxicity against HUVEC by MTT assay
    [PMID: 19394719]
    PBMC IC50
    ~ 200 μM
    Compound: Thalidomide
    Inhibition of LPS stimulated Tumor Necrosis Factor-alpha (TNF-alpha) release by human PBMC
    Inhibition of LPS stimulated Tumor Necrosis Factor-alpha (TNF-alpha) release by human PBMC
    [PMID: 9873600]
    PBMC IC50
    77 μM
    Compound: 3
    Inhibition of TNF-alpha production in LPS-stimulated human PBMC preincubated for 1 hr before LPS challenge measured after 28 to 20 hrs by ELISA
    Inhibition of TNF-alpha production in LPS-stimulated human PBMC preincubated for 1 hr before LPS challenge measured after 28 to 20 hrs by ELISA
    [PMID: 23168019]
    ST486 IC50
    > 50 μM
    Compound: Thalidomide
    Cytotoxicity against human ST486 cells by MTT assay
    Cytotoxicity against human ST486 cells by MTT assay
    [PMID: 19394719]
    T-cell EC50
    > 10 μM
    Compound: 3
    Inhibition of IL-2 production in human T cells measured after 2 to 3 days by ELISA
    Inhibition of IL-2 production in human T cells measured after 2 to 3 days by ELISA
    [PMID: 23168019]
    WI-38 IC50
    > 100 μg/mL
    Compound: 10 (Thalidomide)
    The cytotoxicity assessed using human embryonic lung fibroblast WI-38 cells.
    The cytotoxicity assessed using human embryonic lung fibroblast WI-38 cells.
    [PMID: 9288167]
    体外研究
    (In Vitro)

    Thalidomide 具有免疫调节、抗炎和抗血管生成的癌症特性,靶向 cereblon (CRBN),这是 cuLlin-4 E3 泛素连接酶复合物 CuL4-RBX1-DDB1 的一部分,Kd 为~250 nM[1]
    Thalidomide (50 μg/mL) 增强 Icotinib 对 PC9 和 A549 细胞增殖的抗肿瘤活性,这种作用与细胞凋亡和细胞迁移相关。此外,Thalidomide 和 Icotinib 抑制 PC9 细胞中的 EGFR 和 VEGF-R2 通路[3]

    MCE has not independently confirmed the accuracy of these methods. They are for reference only.

    体内研究
    (In Vivo)

    Thalidomide (100 mg/kg,口服) 抑制胶原蛋白沉积,下调 α-SMA 和胶原蛋白 I 的 mRNA 表达水平,并显著降低 RILF 小鼠的促炎细胞因子。Thalidomide 通过抑制 ROS 和下调依赖于 Nrf2 状态的 TGF-β/Smad 通路来减轻 RILF[2]
    Thalidomide (200 mg/kg,口服) 联合 Icotinib 对荷瘤 PC9 细胞的裸鼠表现出协同抗肿瘤作用,抑制肿瘤生长并促进肿瘤死亡[3]

    MCE has not independently confirmed the accuracy of these methods. They are for reference only.

    Clinical Trial
    分子量

    258.23

    Formula

    C13H10N2O4

    CAS 号
    性状

    固体

    颜色

    White to off-white

    中文名称

    沙利度胺

    运输条件

    Room temperature in continental US; may vary elsewhere.

    储存方式
    Powder -20°C 3 years
    4°C 2 years
    In solvent -80°C 1 year
    -20°C 6 months
    溶解性数据
    细胞实验: 

    DMSO 中的溶解度 : 100 mg/mL (387.25 mM; 超声助溶; 吸湿的 DMSO 对产品的溶解度有显著影响,请使用新开封的 DMSO)

    配制储备液
    浓度 溶剂体积 质量 1 mg 5 mg 10 mg
    1 mM 3.8725 mL 19.3626 mL 38.7252 mL
    5 mM 0.7745 mL 3.8725 mL 7.7450 mL
    查看完整储备液配制表

    * 请根据产品在不同溶剂中的溶解度选择合适的溶剂配制储备液;一旦配成溶液,请分装保存,避免反复冻融造成的产品失效
    储备液的保存方式和期限:-80°C, 1 year; -20°C, 6 months。-80°C储存时,请在1年内使用, -20°C储存时,请在6个月内使用。

    • 摩尔计算器

    • 稀释计算器

    Mass (g) = Concentration (mol/L) × Volume (L) × Molecular Weight (g/mol)

    质量
    =
    浓度
    ×
    体积
    ×
    分子量 *

    Concentration (start) × Volume (start) = Concentration (final) × Volume (final)

    This equation is commonly abbreviated as: C1V1 = C2V2

    浓度 (start)

    C1

    ×
    体积 (start)

    V1

    =
    浓度 (final)

    C2

    ×
    体积 (final)

    V2

    动物实验:

    请根据您的 实验动物和给药方式 选择适当的溶解方案。

    以下溶解方案都请先按照 In Vitro 方式配制澄清的储备液,再依次添加助溶剂:
    ——为保证实验结果的可靠性,澄清的储备液可以根据储存条件,适当保存;体内实验的工作液,建议您现用现配,当天使用
    以下溶剂前显示的百分比是指该溶剂在您配制终溶液中的体积占比;如在配制过程中出现沉淀、析出现象,可以通过加热和/或超声的方式助溶

    • 方案 一

      请依序添加每种溶剂: 10% DMSO    40% PEG300    5% Tween-80    45% Saline

      Solubility: ≥ 2.5 mg/mL (9.68 mM); 澄清溶液

      此方案可获得 ≥ 2.5 mg/mL(饱和度未知)的澄清溶液。

      1 mL 工作液为例,取 100 μL 25.0 mg/mL 的澄清 DMSO 储备液加到 400 μL PEG300 中,混合均匀;再向上述体系中加入 50 μL Tween-80,混合均匀;然后再继续加入 450 μL 生理盐水 定容至 1 mL

      生理盐水的配制:将 0.9 g 氯化钠,溶解于 ddH₂O 并定容至 100 mL,可以得到澄清透明的生理盐水溶液。
    • 方案 二

      请依序添加每种溶剂: 10% DMSO    90% Corn Oil

      Solubility: ≥ 2.5 mg/mL (9.68 mM); 澄清溶液

      此方案可获得 ≥ 2.5 mg/mL(饱和度未知)的澄清溶液,此方案实验周期在半个月以上的动物实验酌情使用。

      1 mL 工作液为例,取 100 μL 25.0 mg/mL 的澄清 DMSO 储备液加到 900 μL玉米油中,混合均匀。

    以下溶解方案,请直接配制工作液。建议现用现配,在短期内尽快用完。 以下溶剂前显示的百分比是指该溶剂在您配制终溶液中的体积占比; 如在配制过程中出现沉淀、析出现象,可以通过加热和/或超声的方式助溶。

    • 方案 一

      请依序添加每种溶剂: 0.5% CMC-Na/saline water

      Solubility: 20 mg/mL (77.45 mM); 悬浊液; 超声助溶

    • 方案 二

      请依序添加每种溶剂: 10% Tween-80 in PBS

      Solubility: 20 mg/mL (77.45 mM); 悬浊液; 超声助溶

    动物溶解方案计算器
    请输入动物实验的基本信息:

    给药剂量

    mg/kg

    动物的平均体重

    g

    每只动物的给药体积

    μL

    动物数量

    由于实验过程有损耗,建议您多配一只动物的量
    请输入您的动物体内配方组成:
    %
    DMSO +
    +
    %
    Tween-80 +
    %
    Saline
    如果您的动物是免疫缺陷鼠或者体弱鼠,建议 DMSO 中的在最后工作液体系中的占比尽量不超过 2%。
    方案所需 助溶剂 包括:DMSO ,均可在 MCE 网站选购。 Tween 80,均可在 MCE 网站选购。
    计算结果
    工作液所需浓度 : mg/mL
    储备液配制方法 : mg 药物溶于 μL  DMSO(母液浓度为 mg/mL)。
    您所需的储备液浓度超过该产品的实测溶解度,以下方案仅供参考,如有需要,请与 MCE 中国技术支持联系。
    动物实验体内工作液的配制方法 : 取 μL DMSO 储备液,加入 μL  μL ,混合均匀至澄清,再加 μL Tween 80,混合均匀至澄清,再加 μL 生理盐水
    连续给药周期超过半月以上,请谨慎选择该方案。
    请确保第一步储备液溶解至澄清状态,从左到右依次添加助溶剂。您可采用超声加热 (超声清洗仪,建议频次 20-40 kHz),涡旋吹打等方式辅助溶解。
    纯度 & 产品资料

    纯度: 99.98%

    参考文献
    Cell Assay
    [2]

    THP-1 cells, A549 cells and KYSE30 cells are cultured in RPMI-1640 Medium supplemented with 10% fetal bovine serum and maintained at 37 °C in an atmosphere of 5% CO2 and 95% room air. THP-1 cells is irradiated with a single dose of 4 Gy 6-MV X-ray and treated with or without Thalidomide (0.2 μmol/mL)-containing medium for 48 h after radiation. The concentration of Thalidomide is selected based on the preliminary results[2].

    MCE has not independently confirmed the accuracy of these methods. They are for reference only.

    Animal Administration
    [2]

    Mice[2]
    A total of 24 WT C57BL/6 mice are randomly divided into 4 groups for the experiments (n = 6 in each group): a control group, an irradiated group, a group irradiated along with Thalidomide, and a Thalidomide only group. Based on the preliminary results, 100 mg/kg Thalidomide is used in the experiment. Thalidomide is dissolved in DMSO vehicle. The treatment group receives the indicated dose of Thalidomide in 200  μL by gavage every other day beginning on day 1 for six treatments. The control mice receives 200 μL 0.1% DMSO contained-saline only. The lungs are harvested at 12 weeks after irradiation for the analysis. A total of 20 Nrf2-/- mice are randomly divided into 4 groups for the experiments (n = 5 in each group). The experiment procedures of Nrf2-/- mice are the same as WT C57BL/6 mice. In addition, a total of 30 WT C57BL/6 mice are randomly divided into 5 groups for the subsequent experiments (n = 6 in each group): a control group, an irradiated group, a group irradiated along with CDDO-Me and Thalidomide, a group irradiated along with CDDO-Me, and a group irradiated along with Thalidomide. 600 ng and 100 mg/kg are selected as the dose of CDDO-Me and Thalidomide for the experiment, respectively. The treatment group receives the indicated dose of CDDO-Me or Thalidomide in 200 μL by gavage every other day beginning on day 1 for six times. For the combined group of CDDO-Me and Thalidomide, CDDO-Me is delivered in 200 μL by gavage every other day beginning on day 1 for six treatments. Thalidomide is delivered in 200  μL by gavage every other day beginning on day 2 for six treatments[2].

    MCE has not independently confirmed the accuracy of these methods. They are for reference only.

    参考文献

    完整储备液配制表

    * 请根据产品在不同溶剂中的溶解度选择合适的溶剂配制储备液;一旦配成溶液,请分装保存,避免反复冻融造成的产品失效
    储备液的保存方式和期限:-80°C, 1 year; -20°C, 6 months。-80°C储存时,请在1年内使用, -20°C储存时,请在6个月内使用。

    可选溶剂 浓度 溶剂体积 质量 1 mg 5 mg 10 mg 25 mg
    DMSO 1 mM 3.8725 mL 19.3626 mL 38.7252 mL 96.8129 mL
    5 mM 0.7745 mL 3.8725 mL 7.7450 mL 19.3626 mL
    10 mM 0.3873 mL 1.9363 mL 3.8725 mL 9.6813 mL
    15 mM 0.2582 mL 1.2908 mL 2.5817 mL 6.4542 mL
    20 mM 0.1936 mL 0.9681 mL 1.9363 mL 4.8406 mL
    25 mM 0.1549 mL 0.7745 mL 1.5490 mL 3.8725 mL
    30 mM 0.1291 mL 0.6454 mL 1.2908 mL 3.2271 mL
    40 mM 0.0968 mL 0.4841 mL 0.9681 mL 2.4203 mL
    50 mM 0.0775 mL 0.3873 mL 0.7745 mL 1.9363 mL
    60 mM 0.0645 mL 0.3227 mL 0.6454 mL 1.6135 mL
    80 mM 0.0484 mL 0.2420 mL 0.4841 mL 1.2102 mL
    100 mM 0.0387 mL 0.1936 mL 0.3873 mL 0.9681 mL
    Help & FAQs
    • Do most proteins show cross-species activity?

      Species cross-reactivity must be investigated individually for each product. Many human cytokines will produce a nice response in mouse cell lines, and many mouse proteins will show activity on human cells. Other proteins may have a lower specific activity when used in the opposite species.

    您最近查看的产品:

    Your information is safe with us. * Required Fields.

       产品名称:

     

    * 需求量:

    * 客户姓名:

     

    * Email:

    * 电话:

     

    * 公司或机构名称:

       留言给我们:

    Bulk Inquiry

    Inquiry Information

    产品名称:
    Thalidomide
    目录号:
    HY-14658
    需求量: