1. GPCR/G Protein Neuronal Signaling
  2. Adrenergic Receptor
  3. Vilanterol acetate

Vilanterol acetate  (Synonyms: GW642444 acetate)

目录号: HY-14300D
产品使用指南 技术支持

Vilanterol (GW642444) acetate 是一种长效 β2-AR 激动剂。Vilanterol acetate 对 β2-AR,β1-AR 和 β3-AR 的 pEC50 分别为 9.4,6.4,6.1。Vilanterol acetate 选择性激活气道 β2-AR 受体,升高 cAMP 从而舒张支气管平滑肌。Vilanterol acetate 可用于哮喘的相关研究[1][2]

MCE 的所有产品仅用作科学研究或药证申报,我们不为任何个人用途提供产品和服务

Vilanterol acetate

Vilanterol acetate Chemical Structure

CAS No. : 503068-35-7

1.  客户无需承担相应的运输费用。

2.  同一机构(单位)同一产品试用装仅限申领一次,同一机构(单位)一年内

     可免费申领三个不同产品的试用装。

3.  试用装只面向终端客户

规格 是否有货
50 mg   询价  
100 mg   询价  
250 mg   询价  

* Please select Quantity before adding items.

Vilanterol acetate 的其他形式现货产品:

Customer Review

Other Forms of Vilanterol acetate:

    Vilanterol acetate purchased from MCE. Usage Cited in: University of Alberta. 2016.

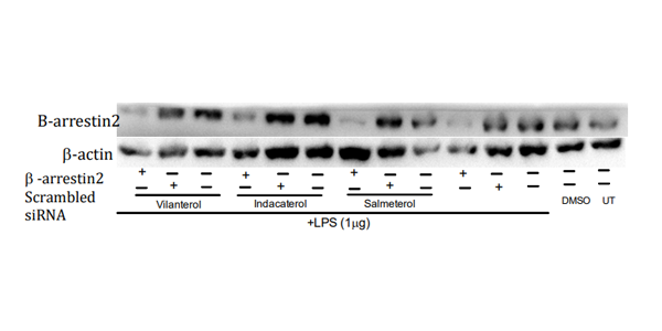
    β-arrestin2 is important in the β2-AR agonist-mediated inhibition of TNF-β, but not in β2-AR agonist-mediated IL-10 enhancement. Western blot showing silencing β-arrestin2 expression.

    Vilanterol acetate purchased from MCE. Usage Cited in: Mental Health and Neuroscience Institute. University of Alberta. 2016 Sep.

    The objective of the next set of experiments is to determine if the (i) super long-acting 2-AR agonists Indacaterol and Vilanterol inhibit TNF-α in a β-arrestin2-dependent manner, and (ii) whether β-arrestin2 is involved in the anti-inflammatory conversion leading to the up-regulation of IL-10 production by these β2-AR agonists.

    查看 Adrenergic Receptor 亚型特异性产品:

    • 生物活性

    • 纯度 & 产品资料

    • 参考文献

    生物活性

    Vilanterol (GW642444) acetate is a long-acting β2 adrenergic receptor agonist. Vilanterol acetate has pEC50 values for β2-AR, β1-AR, and β3-AR of 9.4, 6.4, and 6.1, respectively. Vilanterol acetate selectively activates airway β2 adrenergic receptors, increases cAMP and thus relaxes bronchial smooth muscle. Vilanterol acetate can be used in asthma research[1][2].

    体外研究
    (In Vitro)

    Vilanterol acetate (Compound 13f) 是一种在转染了人 β1、β2 和 β3 受体的中国仓鼠卵巢细胞 (CHO) 中高效 (β2: pEC50 = 9.4)、高活性 (IA = 0.69) 且高选择性 (pEC50 差异: β21 = 3.0) 的 β2 受体激动剂[1]

    Vilanterol acetate (5 μM, 30 min) 在人肝微粒体实验中,在全身循环中快速代谢失活[1]

    Vilanterol acetate 在 MDCKII-MDR1 细胞中膜渗透性中等 (P_app = 34 nm/s),可能减少全身吸收[1]

    Vilanterol acetate 对 β2-AR 具有高度选择性,其对 β2-AR和 β3-AR 亚型的选择性至少高出 1000 倍[2]

    MCE has not independently confirmed the accuracy of these methods. They are for reference only.

    体内研究
    (In Vivo)

    Vilanterol acetate (Compound 13f) (30 μM, 300 μM, 雾化吸入, 单次给药) 对吸入后体内支气管扩张具有持久作用,给药剂量越高,这种作用的持续时间越长,可以显著缓解组胺诱导的豚鼠支气管痉挛中的哮喘症状[1]

    MCE has not independently confirmed the accuracy of these methods. They are for reference only.

    Animal Model: Histamine-induced bronchospasm in the guinea pig model[1]
    Dosage: EC90 = 30 μM, 300 μM
    Administration: Nebulizer inhalation (Neb. Inh.), once dose.
    Result: Exhibited a duration of action of 10 hours at an EC90 of 30 μM and 17 hours at an EC90 of 300 μM.
    分子量

    546.48

    Formula

    C26H37Cl2NO7

    CAS 号
    运输条件

    Room temperature in continental US; may vary elsewhere.

    储存方式

    Please store the product under the recommended conditions in the Certificate of Analysis.

    纯度 & 产品资料
    参考文献
    • 摩尔计算器

    • 稀释计算器

    The molarity calculator equation

    Mass (g) = Concentration (mol/L) × Volume (L) × Molecular Weight (g/mol)

    质量   浓度   体积   分子量 *
    = × ×

    The dilution calculator equation

    Concentration (start) × Volume (start) = Concentration (final) × Volume (final)

    This equation is commonly abbreviated as: C1V1 = C2V2

    浓度 (start) × 体积 (start) = 浓度 (final) × 体积 (final)
    × = ×
    C1   V1   C2   V2
    Help & FAQs
    • Do most proteins show cross-species activity?

      Species cross-reactivity must be investigated individually for each product. Many human cytokines will produce a nice response in mouse cell lines, and many mouse proteins will show activity on human cells. Other proteins may have a lower specific activity when used in the opposite species.

    您最近查看的产品:

    Your information is safe with us. * Required Fields.

       产品名称:

     

    * 需求量:

    * 客户姓名:

     

    * Email:

    * 电话:

     

    * 公司或机构名称:

       留言给我们:

    Bulk Inquiry

    Inquiry Information

    产品名称:
    Vilanterol acetate
    目录号:
    HY-14300D
    需求量: