1. Cell Cycle/DNA Damage Epigenetics
  2. Sirtuin
  3. Selisistat

Selisistat  (Synonyms: EX-527)

目录号: HY-15452 纯度: 99.85%
COA 产品使用指南 技术支持

Selisistat (EX-527) 是一种有效和选择性的 SirT1 (黑腹果蝇中的 Sir2) 抑制剂,IC50 值为 123 nM。Selisistat 缓解多种亨廷顿病动物和细胞模型的病理学。

MCE 的所有产品仅用作科学研究或药证申报,我们不为任何个人用途提供产品和服务

Selisistat

Selisistat Chemical Structure

CAS No. : 49843-98-3

1.  客户无需承担相应的运输费用。

2.  同一机构(单位)同一产品试用装仅限申领一次,同一机构(单位)一年内

     可免费申领三个不同产品的试用装。

3.  试用装只面向终端客户

规格 价格 是否有货 数量
10 mM * 1 mL in DMSO ¥528
In-stock
5 mg ¥480
In-stock
10 mg ¥640
In-stock
25 mg ¥1100
In-stock
50 mg ¥1900
In-stock
100 mg ¥3000
In-stock
200 mg   询价  
500 mg   询价  

* Please select Quantity before adding items.

Customer Review

Other Forms of Selisistat:

MCE 顾客使用本产品发表的 244 篇科研文献

WB

    Selisistat purchased from MCE. Usage Cited in: J Funct Foods. 2023 Mar.

    Selisistat (EX527) treatment significantly increases the levels of C-caspase3 and Bax but decreases the levels of Bcl-2, in 4-OI (4-Octyl Itaconate)-treated chondrocytes.

    Selisistat purchased from MCE. Usage Cited in: Metab Brain Dis. 2019 Feb;34(1):203-212.  [Abstract]

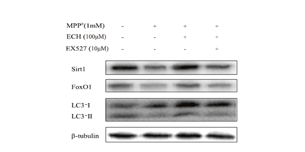
    Western analysis of the protein expression of Sirt1, FoxO1 and LC3 protein in the PC12 with the treatment of MPP+, ECH and EX527.

    Selisistat purchased from MCE. Usage Cited in: Front Pharmacol. 2018 Aug 3:9:854.  [Abstract]

    Western blotting and quantitative analysis of XBP-1 and ATF6 levels normalized to GAPDH in mice (n=6). Western blotting and quantitative analysis of P-Smad3 and ac-Smad3 levels normalized to T-Smad3 (n=6). I stands for ISO, G stands for GE, and E stands for Ex-527.

    Selisistat purchased from MCE. Usage Cited in: Biochim Biophys Acta. 2018 Mar 6;1863(6):595-603.  [Abstract]

    LC3 deacetylation levels after erythropoietin (EPO) treatment are detected in PA-treated cells that have been treated with or without the SIRT1 inhibitor EX-527.

    Selisistat purchased from MCE. Usage Cited in: Int J Mol Sci. 2017 May 19;18(5). pii: E1063.  [Abstract]

    Inhibition of sirt1 and AMPK blocked Rb2-induced hepatic autophagy. HepG2 cells are pretreated with 50 µM Rb2 for 4 h in the presence or absence of the sirt1 inhibitor EX-528 (EX) and the specific AMPK inhibitor Compound C (CC), and then subjected to OA (1 mM for HepG2 and 2 mM for primary mouse hepatocytes) exposure for 12 h. For lipid content determination, intracellular TG are stained by Oil red O (ORO). ORO is then eluted with isopropanol and the optical absorbance of the eluate is measured

    Selisistat purchased from MCE. Usage Cited in: Oncotarget. 2017 Apr 18;8(32):52783-52791.  [Abstract]

    Immunoblot analysis of p-AKT (Ser473) and LC3-II in cells treated with 50 nM of TCO for 24 h in the presence and absence of EX-527.
    • 生物活性

    • 实验参考方法

    • 纯度 & 产品资料

    • 参考文献

    生物活性

    Selisistat (EX-527) is a potent and selective SirT1 (Sir2 in Drosophila melanogaster) inhibitor with an IC50 of 123 nM for SirT1. Selisistat alleviates pathology in multiple animal and cell models of Huntington's disease[1][2].

    IC50 & Target

    IC50: 123 nM (SirT1)[2]

    细胞效力
    (Cellular Effect)
    Cell Line Type Value Description References
    A549 IC50
    29 μM
    Compound: EX-527
    Cytotoxicity against human A549 cells assessed as cell viability measured after 48 hrs by MTT assay
    Cytotoxicity against human A549 cells assessed as cell viability measured after 48 hrs by MTT assay
    [PMID: 32711231]
    HCT-116 IC50
    37 μM
    Compound: EX-527
    Cytotoxicity against human HCT-116 cells assessed as cell viability measured after 48 hrs by MTT assay
    Cytotoxicity against human HCT-116 cells assessed as cell viability measured after 48 hrs by MTT assay
    [PMID: 32711231]
    HEK-293T IC50
    51 μM
    Compound: EX-527
    Cytotoxicity against human HEK293T cells assessed as cell viability measured after 48 hrs by MTT assay
    Cytotoxicity against human HEK293T cells assessed as cell viability measured after 48 hrs by MTT assay
    [PMID: 32711231]
    HeLa IC50
    > 100 μM
    Compound: 1
    Inhibitory activity against human HDAC in HeLa cell extract by fluorimetric assay
    Inhibitory activity against human HDAC in HeLa cell extract by fluorimetric assay
    [PMID: 16335928]
    HepG2 IC50
    44 μM
    Compound: EX-527
    Cytotoxicity against human HepG2 cells assessed as cell viability measured after 48 hrs by MTT assay
    Cytotoxicity against human HepG2 cells assessed as cell viability measured after 48 hrs by MTT assay
    [PMID: 32711231]
    Hs 683 IC50
    115.9 μM
    Compound: 3; EX-527
    Antiproliferative activity against human Hs683 cells after 72 hrs by MTT assay
    Antiproliferative activity against human Hs683 cells after 72 hrs by MTT assay
    [PMID: 28475330]
    HT-29 IC50
    > 100 μM
    Compound: EX-527
    Cytotoxicity against human HT-29 cells assessed as cell viability measured after 48 hrs by MTT assay
    Cytotoxicity against human HT-29 cells assessed as cell viability measured after 48 hrs by MTT assay
    [PMID: 32711231]
    HUVEC IC50
    15 μM
    Compound: EX-527
    Cytotoxicity against human HUVEC cells assessed as cell viability measured after 48 hrs by MTT assay
    Cytotoxicity against human HUVEC cells assessed as cell viability measured after 48 hrs by MTT assay
    [PMID: 32711231]
    K562 IC50
    60 μM
    Compound: EX-527
    Cytotoxicity against human K562 cells assessed as cell viability measured after 48 hrs by MTT assay
    Cytotoxicity against human K562 cells assessed as cell viability measured after 48 hrs by MTT assay
    [PMID: 32711231]
    MCF7 IC50
    37 μM
    Compound: EX-527
    Cytotoxicity against human MCF7 cells assessed as cell viability measured after 48 hrs by MTT assay
    Cytotoxicity against human MCF7 cells assessed as cell viability measured after 48 hrs by MTT assay
    [PMID: 32711231]
    NCI-H460 IC50
    1 μM
    Compound: 59
    Inhibition of SIRT-2 in human NCI-H460 cells assessed as inhibition of p53 deacetylation after 6 hrs by immunoprecipitation/immunoblotting analysis
    Inhibition of SIRT-2 in human NCI-H460 cells assessed as inhibition of p53 deacetylation after 6 hrs by immunoprecipitation/immunoblotting analysis
    10.1039/C1MD00199J
    NCI-H460 IC50
    48 μM
    Compound: EX-527
    Cytotoxicity against human NCI-H460 cells assessed as cell viability measured after 48 hrs by MTT assay
    Cytotoxicity against human NCI-H460 cells assessed as cell viability measured after 48 hrs by MTT assay
    [PMID: 32711231]
    U-373MG ATCC IC50
    157.4 μM
    Compound: 3; EX-527
    Antiproliferative activity against human U373 cells after 72 hrs by MTT assay
    Antiproliferative activity against human U373 cells after 72 hrs by MTT assay
    [PMID: 28475330]
    体外研究
    (In Vitro)

    Selisistat (1-10 μM) 可抑制转染细胞中人类 SirT1 和果蝇 Sir2 的去乙酰化活性[1]

    MCE has not independently confirmed the accuracy of these methods. They are for reference only.

    体内研究
    (In Vivo)

    Selisistat(5 和 20 mg/kg,口服,每日;转基因 R6/2 小鼠从 4.5 周龄开始直至死亡)对亨廷顿舞蹈症 (HD) 的 R6/2 小鼠模型具有保护作用[1]

    MCE has not independently confirmed the accuracy of these methods. They are for reference only.

    Clinical Trial
    分子量

    248.71

    Formula

    C13H13ClN2O

    CAS 号
    性状

    固体

    颜色

    Off-white to light yellow

    运输条件

    Room temperature in continental US; may vary elsewhere.

    储存方式
    Powder -20°C 3 years
    4°C 2 years
    In solvent -80°C 2 years
    -20°C 1 year
    溶解性数据
    细胞实验: 

    DMSO 中的溶解度 : ≥ 100 mg/mL (402.07 mM; 吸湿的 DMSO 对产品的溶解度有显著影响,请使用新开封的 DMSO)

    Ethanol 中的溶解度 : 10 mg/mL (40.21 mM; 超声助溶)

    * "≥" means soluble, but saturation unknown.

    配制储备液
    浓度 溶剂体积 质量 1 mg 5 mg 10 mg
    1 mM 4.0207 mL 20.1035 mL 40.2070 mL
    5 mM 0.8041 mL 4.0207 mL 8.0414 mL
    查看完整储备液配制表

    * 请根据产品在不同溶剂中的溶解度选择合适的溶剂配制储备液;一旦配成溶液,请分装保存,避免反复冻融造成的产品失效
    储备液的保存方式和期限:-80°C, 2 years; -20°C, 1 year。-80°C储存时,请在2年内使用, -20°C储存时,请在1年内使用。

    • 摩尔计算器

    • 稀释计算器

    Mass (g) = Concentration (mol/L) × Volume (L) × Molecular Weight (g/mol)

    质量
    =
    浓度
    ×
    体积
    ×
    分子量 *

    Concentration (start) × Volume (start) = Concentration (final) × Volume (final)

    This equation is commonly abbreviated as: C1V1 = C2V2

    浓度 (start)

    C1

    ×
    体积 (start)

    V1

    =
    浓度 (final)

    C2

    ×
    体积 (final)

    V2

    动物实验:

    请根据您的 实验动物和给药方式 选择适当的溶解方案。

    以下溶解方案都请先按照 In Vitro 方式配制澄清的储备液,再依次添加助溶剂:
    ——为保证实验结果的可靠性,澄清的储备液可以根据储存条件,适当保存;体内实验的工作液,建议您现用现配,当天使用
    以下溶剂前显示的百分比是指该溶剂在您配制终溶液中的体积占比;如在配制过程中出现沉淀、析出现象,可以通过加热和/或超声的方式助溶

    • 方案 一

      请依序添加每种溶剂: 10% DMSO    40% PEG300    5% Tween-80    45% Saline

      Solubility: ≥ 2.5 mg/mL (10.05 mM); 澄清溶液

      此方案可获得 ≥ 2.5 mg/mL(饱和度未知)的澄清溶液。

      1 mL 工作液为例,取 100 μL 25.0 mg/mL 的澄清 DMSO 储备液加到 400 μL PEG300 中,混合均匀;再向上述体系中加入 50 μL Tween-80,混合均匀;然后再继续加入 450 μL 生理盐水 定容至 1 mL

      生理盐水的配制:将 0.9 g 氯化钠,溶解于 ddH₂O 并定容至 100 mL,可以得到澄清透明的生理盐水溶液。
    • 方案 二

      请依序添加每种溶剂: 10% DMSO    90% (20% SBE-β-CD in Saline)

      Solubility: ≥ 2.5 mg/mL (10.05 mM); 澄清溶液

      此方案可获得 ≥ 2.5 mg/mL(饱和度未知)的澄清溶液。

      1 mL 工作液为例,取 100 μL 25.0 mg/mL 的澄清 DMSO 储备液加到 900 μL 20% 的 SBE-β-CD 生理盐水水溶液 中,混合均匀。

      2 g SBE-β-CD(磺丁基醚 β-环糊精)粉末定容于 10 mL 的生理盐水中,完全溶解至澄清透明。

    以下溶解方案,请直接配制工作液。建议现用现配,在短期内尽快用完。 以下溶剂前显示的百分比是指该溶剂在您配制终溶液中的体积占比; 如在配制过程中出现沉淀、析出现象,可以通过加热和/或超声的方式助溶。

    • 方案 一

      请依序添加每种溶剂: 50% PEG300    50% Saline

      Solubility: 10 mg/mL (40.21 mM); 澄清溶液; 超声助溶

    动物溶解方案计算器
    请输入动物实验的基本信息:

    给药剂量

    mg/kg

    动物的平均体重

    g

    每只动物的给药体积

    μL

    动物数量

    由于实验过程有损耗,建议您多配一只动物的量
    请输入您的动物体内配方组成:
    %
    DMSO +
    +
    %
    Tween-80 +
    %
    Saline
    如果您的动物是免疫缺陷鼠或者体弱鼠,建议 DMSO 中的在最后工作液体系中的占比尽量不超过 2%。
    方案所需 助溶剂 包括:DMSO ,均可在 MCE 网站选购。 Tween 80,均可在 MCE 网站选购。
    计算结果
    工作液所需浓度 : mg/mL
    储备液配制方法 : mg 药物溶于 μL  DMSO(母液浓度为 mg/mL)。
    您所需的储备液浓度超过该产品的实测溶解度,以下方案仅供参考,如有需要,请与 MCE 中国技术支持联系。
    动物实验体内工作液的配制方法 : 取 μL DMSO 储备液,加入 μL  μL ,混合均匀至澄清,再加 μL Tween 80,混合均匀至澄清,再加 μL 生理盐水
    连续给药周期超过半月以上,请谨慎选择该方案。
    请确保第一步储备液溶解至澄清状态,从左到右依次添加助溶剂。您可采用超声加热 (超声清洗仪,建议频次 20-40 kHz),涡旋吹打等方式辅助溶解。
    纯度 & 产品资料

    纯度: 99.87%

    参考文献
    Cell Assay
    [2]

    The immortal mouse macrophage cell line RAW264.7 are used. Cells are seeded in 96-well dishes at a density of 3 × 103 cells/cm2 and treated with high glucose at the concentrations of 5.6, 11.1, 25 and 30 mM, alone or with SRT1720 (1 μM) or Selisistat(10 μM) for 24 h. The stock solution of SRT1720 or Selisistat is prepared by dissolving each of them (in powder form) respectively in DMSO yielding a concentration of 100 μM and then stored at -80°C. MTT solution (0.5 mg/mL) is then added to each well and cells are incubated for 4 h at 37°C in a 5% CO2 incubator. Subsequently, the supernatant is removed, the formation of farmazan is solubilized with DMSO and measured at 540 nm with a Bio-Rad Model 680 Plate Reader[2].

    MCE has not independently confirmed the accuracy of these methods. They are for reference only.

    Animal Administration
    [3]

    Mice[3] Mice are injected with Resveratrol (RSV) 30mg/kg (4 mL/kg) or equivalent volume of DMSO (Vehicle) (4 mL/kg) intraperitoneally 18 hours pre-sepsis. This dose of RSV in mice is as per documented literature. In one group of mice, RSV pre-treated mice receive Selisistat (10 mg/kg intraperitoneally; 4mL/kg, Vehicle: DMSO) within 10 minutes of cecal ligation and puncture.

    MCE has not independently confirmed the accuracy of these methods. They are for reference only.

    参考文献

    完整储备液配制表

    * 请根据产品在不同溶剂中的溶解度选择合适的溶剂配制储备液;一旦配成溶液,请分装保存,避免反复冻融造成的产品失效
    储备液的保存方式和期限:-80°C, 2 years; -20°C, 1 year。-80°C储存时,请在2年内使用, -20°C储存时,请在1年内使用。

    可选溶剂 浓度 溶剂体积 质量 1 mg 5 mg 10 mg 25 mg
    Ethanol / DMSO 1 mM 4.0207 mL 20.1035 mL 40.2070 mL 100.5175 mL
    5 mM 0.8041 mL 4.0207 mL 8.0414 mL 20.1035 mL
    10 mM 0.4021 mL 2.0103 mL 4.0207 mL 10.0517 mL
    15 mM 0.2680 mL 1.3402 mL 2.6805 mL 6.7012 mL
    20 mM 0.2010 mL 1.0052 mL 2.0103 mL 5.0259 mL
    25 mM 0.1608 mL 0.8041 mL 1.6083 mL 4.0207 mL
    30 mM 0.1340 mL 0.6701 mL 1.3402 mL 3.3506 mL
    40 mM 0.1005 mL 0.5026 mL 1.0052 mL 2.5129 mL
    DMSO 50 mM 0.0804 mL 0.4021 mL 0.8041 mL 2.0103 mL
    60 mM 0.0670 mL 0.3351 mL 0.6701 mL 1.6753 mL
    80 mM 0.0503 mL 0.2513 mL 0.5026 mL 1.2565 mL
    100 mM 0.0402 mL 0.2010 mL 0.4021 mL 1.0052 mL
    Help & FAQs
    • Do most proteins show cross-species activity?

      Species cross-reactivity must be investigated individually for each product. Many human cytokines will produce a nice response in mouse cell lines, and many mouse proteins will show activity on human cells. Other proteins may have a lower specific activity when used in the opposite species.

    您最近查看的产品:

    Your information is safe with us. * Required Fields.

       产品名称:

     

    * 需求量:

    * 客户姓名:

     

    * Email:

    * 电话:

     

    * 公司或机构名称:

       留言给我们:

    Bulk Inquiry

    Inquiry Information

    产品名称:
    Selisistat
    目录号:
    HY-15452
    需求量: