1. Cell Cycle/DNA Damage
  2. Wee1
  3. Adavosertib

Adavosertib  (Synonyms: AZD1775; MK-1775)

目录号: HY-10993 纯度: 99.96%
COA 产品使用指南 技术支持

Adavosertib (AZD-1775; MK-1775) 是一种有效的 Wee1 抑制剂,IC50 值为 5.2 nM。

MCE 的所有产品仅用作科学研究或药证申报,我们不为任何个人用途提供产品和服务

我们将采用定制合成服务的方式为您快速提供所需产品和技术服务

Adavosertib

Adavosertib Chemical Structure

CAS No. : 955365-80-7

1.  客户无需承担相应的运输费用。

2.  同一机构(单位)同一产品试用装仅限申领一次,同一机构(单位)一年内

     可免费申领三个不同产品的试用装。

3.  试用装只面向终端客户

规格 价格 是否有货 数量
10 mM * 1 mL in DMSO ¥738
In-stock
1 mg ¥291
In-stock
5 mg ¥670
In-stock
10 mg ¥1079
In-stock
25 mg ¥1975
In-stock
50 mg ¥3113
In-stock
100 mg ¥4363
In-stock
200 mg 现货 询价
500 mg 现货 询价
1 g 现货 询价
5 g   询价  
10 g   询价  

* Please select Quantity before adding items.

Customer Review

Other Forms of Adavosertib:

MCE 顾客使用本产品发表的 57 篇科研文献

WB

    Adavosertib purchased from MCE. Usage Cited in: J Hematol Oncol. 2018 Aug 1;11(1):99.  [Abstract]

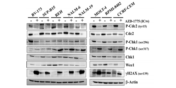
    Representative immunoblots showing the expression of key proteins of the WEE1 pathway after treatment with AZD-1775 (IC50 for each cell line) for 24 h of the indicated cells lines. β-actin is used for loading normalization.

    Adavosertib purchased from MCE. Usage Cited in: Cancer Res. 2017 Sep 1;77(17):4663-4672.  [Abstract]

    Isogenic A549 or H2030 cells expressing full-length LKB1 or kinase-dead LKB1(KDLKB1) are treated with 1 μM AZD1775 or vehicle (DMSO) for 24 hours. Protein lysates are immunoblotted with the indicated antibodies. Actin was used as a loading control.

    Adavosertib purchased from MCE. Usage Cited in: Scienze biomediche. University of Bologna. 2016 Apr.

    In the blots B-/T-ALL cell lines are incubated for 24 hours with MK-1775 (IC50 value). The homogeneity of the protein loaded (40 μg) is determined using an internal control (β-actin).

    查看 Wee1 亚型特异性产品:

    • 生物活性

    • 实验参考方法

    • 纯度 & 产品资料

    • 参考文献

    生物活性

    Adavosertib (AZD-1775; MK-1775) is a potent Wee1 inhibitor with an IC50 of 5.2 nM.

    IC50 & Target

    IC50: 5.2 nM (Wee1)

    细胞效力
    (Cellular Effect)
    Cell Line Type Value Description References
    A-427 IC50
    158 nM
    Compound: 1; AZD1775
    Antiproliferative activity against human A-427 cells assessed as cell growth inhibition measured after 7 days by alamar blue assay
    Antiproliferative activity against human A-427 cells assessed as cell growth inhibition measured after 7 days by alamar blue assay
    [PMID: 37197456]
    A-427 IC50
    78 nM
    Compound: AZD1775
    Antiproliferative activity against human A-427 cells assessed as reduction in cell viability after 3 days by CellTiter-Glo assay
    Antiproliferative activity against human A-427 cells assessed as reduction in cell viability after 3 days by CellTiter-Glo assay
    [PMID: 34423975]
    BT-549 IC50
    0.49 μM
    Compound: 1; AZD1775
    Antiproliferative activity against human BT-549 cells assessed as inhibition of cell growth measured after 72 hrs by MTS assay
    Antiproliferative activity against human BT-549 cells assessed as inhibition of cell growth measured after 72 hrs by MTS assay
    [PMID: 35231578]
    Daoy IC50
    150 nM
    Compound: Adavosertib
    Antiproliferative activity against human Daoy cells assessed as inhibition of cell proliferation incubated for 72 hrs by MTS assay
    Antiproliferative activity against human Daoy cells assessed as inhibition of cell proliferation incubated for 72 hrs by MTS assay
    [PMID: 33636537]
    HEK-293T IC50
    0.29 μM
    Compound: MK-1775
    Antiproliferative activity against HEK293T cells measured after 72 hrs by CellTiter-Blue assay
    Antiproliferative activity against HEK293T cells measured after 72 hrs by CellTiter-Blue assay
    [PMID: 28792760]
    LNCaP IC50
    0.5 μM
    Compound: 1; AZD1775
    Antiproliferative activity against human LNCaP cells assessed as inhibition of cell growth measured after 72 hrs by MTS assay
    Antiproliferative activity against human LNCaP cells assessed as inhibition of cell growth measured after 72 hrs by MTS assay
    [PMID: 35231578]
    MCF7 IC50
    1.1 μM
    Compound: 1; AZD1775
    Antiproliferative activity against human MCF7 cells assessed as inhibition of cell growth measured after 72 hrs by MTS assay
    Antiproliferative activity against human MCF7 cells assessed as inhibition of cell growth measured after 72 hrs by MTS assay
    [PMID: 35231578]
    MDA-MB-231 IC50
    0.26 μM
    Compound: MK-1775
    Antiproliferative activity against human MDA-MB-231 cells measured after 72 hrs by CellTiter-Blue assay
    Antiproliferative activity against human MDA-MB-231 cells measured after 72 hrs by CellTiter-Blue assay
    [PMID: 28792760]
    MM1.S IC50
    0.31 μM
    Compound: MK-1775
    Antiproliferative activity against human MM1S cells measured after 72 hrs by CellTiter-Blue assay
    Antiproliferative activity against human MM1S cells measured after 72 hrs by CellTiter-Blue assay
    [PMID: 28792760]
    MV4-11 IC50
    95 nM
    Compound: AZD1775
    Antiproliferative activity against human MV4-11 cells incubated for 72 hrs by Celltiter-glo assay
    Antiproliferative activity against human MV4-11 cells incubated for 72 hrs by Celltiter-glo assay
    [PMID: 37167712]
    NCI-H1299 IC50
    0.2837 nM
    Compound: AZD-1775; MK-1775
    Inhibition of cell proliferation in human NCI-H1299 cells incubated for 3 days by MTT assay
    Inhibition of cell proliferation in human NCI-H1299 cells incubated for 3 days by MTT assay
    [PMID: 35051747]
    NCI-H1299 IC50
    104 nM
    Compound: AZD1775
    Antiproliferative activity against human NCI-H1299 cells assessed as cell growth inhibition incubated for 3 days by CellTiter-Glo Luminescent assay
    Antiproliferative activity against human NCI-H1299 cells assessed as cell growth inhibition incubated for 3 days by CellTiter-Glo Luminescent assay
    [PMID: 36075370]
    NCI-H23 IC50
    122 nM
    Compound: AZD1775
    Antiproliferative activity against human NCI-H23 cells assessed as reduction in cell viability after 4 days by CellTiter-Glo assay
    Antiproliferative activity against human NCI-H23 cells assessed as reduction in cell viability after 4 days by CellTiter-Glo assay
    [PMID: 34423975]
    NCI-H23 IC50
    175 nM
    Compound: 1; AZD1775
    Antiproliferative activity against human NCI-H23 cells assessed as cell growth inhibition measured after 7 days by alamar blue assay
    Antiproliferative activity against human NCI-H23 cells assessed as cell growth inhibition measured after 7 days by alamar blue assay
    [PMID: 37197456]
    PC-3 IC50
    8 μM
    Compound: 1; AZD1775
    Antiproliferative activity against human PC-3 cells assessed as inhibition of cell growth measured after 72 hrs by MTS assay
    Antiproliferative activity against human PC-3 cells assessed as inhibition of cell growth measured after 72 hrs by MTS assay
    [PMID: 35231578]
    T47D IC50
    12780 nM
    Compound: AZD1775
    Antiproliferative activity against human T47D cells incubated for 72 hrs by Celltiter-glo assay
    Antiproliferative activity against human T47D cells incubated for 72 hrs by Celltiter-glo assay
    [PMID: 37167712]
    体外研究
    (In Vitro)

    Adavosertib (MK-1775) 增强 5-FU 在 p53 缺陷型人结肠癌细胞中的细胞毒性作用。Adavosertib (MK-1775) 抑制细胞中的 CDC2 Y15 磷酸化,消除由 5-FU 诱导的 DNA 损伤检查点,并导致通过诱导组蛋白 H3 磷酸化确定的有丝分裂过早进入[1]
    Adavosertib (MK-1775) 可消除 p53 缺陷细胞中辐射诱导的 G2 阻滞,但不会消除 p53 野生型细胞系[2]
    在 p53 缺陷型肿瘤中,NSC 613327 与 Adavosertib (MK-1775) 的组合产生强大的抗肿瘤活性,并且与 NSC 613327 处理相比显著增强肿瘤消退反应 (4.01 倍)[3]

    MCE has not independently confirmed the accuracy of these methods. They are for reference only.

    体内研究
    (In Vivo)

    在体内,Adavosertib (MK-1775) 在可耐受剂量下增强 5-FU 的抗肿瘤功效[1]
    Adavosertib (MK-1775) (60 mg/kg,每天两次,口服) 增强 H1299 异种移植肿瘤对分次放疗的反应[2]
    与 GEM 处理的小鼠相比,Adavosertib (MK-1775) (30 mg/kg,口服) 抑制 PANC198、PANC215 和 PANC185 的肿瘤生长[3]

    MCE has not independently confirmed the accuracy of these methods. They are for reference only.

    Clinical Trial
    分子量

    500.60

    Formula

    C27H32N8O2

    CAS 号
    性状

    固体

    颜色

    Light yellow to yellow

    运输条件

    Room temperature in continental US; may vary elsewhere.

    储存方式
    Powder -20°C 3 years
    4°C 2 years
    In solvent -80°C 1 year
    -20°C 6 months
    溶解性数据
    细胞实验: 

    DMSO 中的溶解度 : 100 mg/mL (199.76 mM; 超声助溶; 吸湿的 DMSO 对产品的溶解度有显著影响,请使用新开封的 DMSO)

    配制储备液
    浓度 溶剂体积 质量 1 mg 5 mg 10 mg
    1 mM 1.9976 mL 9.9880 mL 19.9760 mL
    5 mM 0.3995 mL 1.9976 mL 3.9952 mL
    查看完整储备液配制表

    * 请根据产品在不同溶剂中的溶解度选择合适的溶剂配制储备液;一旦配成溶液,请分装保存,避免反复冻融造成的产品失效
    储备液的保存方式和期限:-80°C, 1 year; -20°C, 6 months。-80°C储存时,请在1年内使用, -20°C储存时,请在6个月内使用。

    • 摩尔计算器

    • 稀释计算器

    Mass (g) = Concentration (mol/L) × Volume (L) × Molecular Weight (g/mol)

    质量
    =
    浓度
    ×
    体积
    ×
    分子量 *

    Concentration (start) × Volume (start) = Concentration (final) × Volume (final)

    This equation is commonly abbreviated as: C1V1 = C2V2

    浓度 (start)

    C1

    ×
    体积 (start)

    V1

    =
    浓度 (final)

    C2

    ×
    体积 (final)

    V2

    动物实验:

    请根据您的 实验动物和给药方式 选择适当的溶解方案。

    以下溶解方案都请先按照 In Vitro 方式配制澄清的储备液,再依次添加助溶剂:
    ——为保证实验结果的可靠性,澄清的储备液可以根据储存条件,适当保存;体内实验的工作液,建议您现用现配,当天使用
    以下溶剂前显示的百分比是指该溶剂在您配制终溶液中的体积占比;如在配制过程中出现沉淀、析出现象,可以通过加热和/或超声的方式助溶

    • 方案 一

      请依序添加每种溶剂: 10% DMSO    90% (20% SBE-β-CD in Saline)

      Solubility: 2.08 mg/mL (4.16 mM); 悬浊液; 超声助溶

      此方案可获得 2.08 mg/mL的均匀悬浊液,悬浊液可用于口服和腹腔注射。

      1 mL 工作液为例,取 100 μL 20.8 mg/mL 的澄清 DMSO 储备液加到 900 μL 20% 的 SBE-β-CD 生理盐水水溶液 中,混合均匀。

      2 g SBE-β-CD(磺丁基醚 β-环糊精)粉末定容于 10 mL 的生理盐水中,完全溶解至澄清透明。

    以下溶解方案,请直接配制工作液。建议现用现配,在短期内尽快用完。 以下溶剂前显示的百分比是指该溶剂在您配制终溶液中的体积占比; 如在配制过程中出现沉淀、析出现象,可以通过加热和/或超声的方式助溶。

    • 方案 一

      请依序添加每种溶剂: 0.5% Methylcellulose/saline water

      Solubility: 5 mg/mL (9.99 mM); 悬浊液; 超声助溶

    动物溶解方案计算器
    请输入动物实验的基本信息:

    给药剂量

    mg/kg

    动物的平均体重

    g

    每只动物的给药体积

    μL

    动物数量

    由于实验过程有损耗,建议您多配一只动物的量
    请输入您的动物体内配方组成:
    %
    DMSO +
    +
    %
    Tween-80 +
    %
    Saline
    如果您的动物是免疫缺陷鼠或者体弱鼠,建议 DMSO 中的在最后工作液体系中的占比尽量不超过 2%。
    方案所需 助溶剂 包括:DMSO ,均可在 MCE 网站选购。 Tween 80,均可在 MCE 网站选购。
    计算结果
    工作液所需浓度 : mg/mL
    储备液配制方法 : mg 药物溶于 μL  DMSO(母液浓度为 mg/mL)。
    您所需的储备液浓度超过该产品的实测溶解度,以下方案仅供参考,如有需要,请与 MCE 中国技术支持联系。
    动物实验体内工作液的配制方法 : 取 μL DMSO 储备液,加入 μL  μL ,混合均匀至澄清,再加 μL Tween 80,混合均匀至澄清,再加 μL 生理盐水
    连续给药周期超过半月以上,请谨慎选择该方案。
    请确保第一步储备液溶解至澄清状态,从左到右依次添加助溶剂。您可采用超声加热 (超声清洗仪,建议频次 20-40 kHz),涡旋吹打等方式辅助溶解。
    纯度 & 产品资料

    纯度: 99.96%

    参考文献
    Cell Assay
    [2]

    Total protein is extracted from the cell pellet using a lysis solution containing 50 mM HEPES (pH 7.9), 0.4 mol/L NaCl, and 1 mM EDTA and fortified with 10 µL/mL phosphatase inhibitor cocktail 1, 10 µL/mL phosphatase inhibitor cocktail 2, 10 µL/mL protease inhibitor, and 1% NP-40. Protein concentration of the lysates is determined by the Bio-Rad protein assay. Equal amounts of protein are separated by 12% SDS-PAGE and transferred to an Immobilon membrane. Nonspecific binding sites on the membrane are blocked in 5% nonfat dry milk in Tris (20 mM)-buffered saline (150 mM, pH 7.4) with 0.1% Tween (TBS-T). Protein signals are detected by incubating the membrane in primary antibody in 5% nonfat dry milk overnight at 4°C, followed by a 45-min incubation in the appropriate peroxidase-conjugated secondary antibody. The membrane is then developed by enhanced chemiluminescence with ECL plus Western Blotting Detection Reagents on a Typhoon 9400 scanner.

    MCE has not independently confirmed the accuracy of these methods. They are for reference only.

    Animal Administration
    [2]

    Tumor xenografts are produced in the leg by im inoculation of 1×106 Calu-6 cells in 10 µL. Irradiation and Adavosertib (MK-1775) treatment are started when tumors reach 8 mm diameter and continue for 5 days. Gamma-rays are delivered locally to the tumor-bearing legs of unanesthetized mice using a small-animal irradiator consisting of two parallel-opposed 137Cs sources, at a dose rate of 5 Gy/min. Tumors are irradiated twice daily separated by 6 h. Adavosertib (MK-1775) is given by gavage in 0.1 mL volumes 1 h before and 2 h after the first daily radiation dose.

    MCE has not independently confirmed the accuracy of these methods. They are for reference only.

    参考文献

    完整储备液配制表

    * 请根据产品在不同溶剂中的溶解度选择合适的溶剂配制储备液;一旦配成溶液,请分装保存,避免反复冻融造成的产品失效
    储备液的保存方式和期限:-80°C, 1 year; -20°C, 6 months。-80°C储存时,请在1年内使用, -20°C储存时,请在6个月内使用。

    可选溶剂 浓度 溶剂体积 质量 1 mg 5 mg 10 mg 25 mg
    DMSO 1 mM 1.9976 mL 9.9880 mL 19.9760 mL 49.9401 mL
    5 mM 0.3995 mL 1.9976 mL 3.9952 mL 9.9880 mL
    10 mM 0.1998 mL 0.9988 mL 1.9976 mL 4.9940 mL
    15 mM 0.1332 mL 0.6659 mL 1.3317 mL 3.3293 mL
    20 mM 0.0999 mL 0.4994 mL 0.9988 mL 2.4970 mL
    25 mM 0.0799 mL 0.3995 mL 0.7990 mL 1.9976 mL
    30 mM 0.0666 mL 0.3329 mL 0.6659 mL 1.6647 mL
    40 mM 0.0499 mL 0.2497 mL 0.4994 mL 1.2485 mL
    50 mM 0.0400 mL 0.1998 mL 0.3995 mL 0.9988 mL
    60 mM 0.0333 mL 0.1665 mL 0.3329 mL 0.8323 mL
    80 mM 0.0250 mL 0.1249 mL 0.2497 mL 0.6243 mL
    100 mM 0.0200 mL 0.0999 mL 0.1998 mL 0.4994 mL
    Help & FAQs
    • Do most proteins show cross-species activity?

      Species cross-reactivity must be investigated individually for each product. Many human cytokines will produce a nice response in mouse cell lines, and many mouse proteins will show activity on human cells. Other proteins may have a lower specific activity when used in the opposite species.

    您最近查看的产品:

    Your information is safe with us. * Required Fields.

       产品名称:

     

    * 需求量:

    * 客户姓名:

     

    * Email:

    * 电话:

     

    * 公司或机构名称:

       留言给我们:

    Bulk Inquiry

    Inquiry Information

    产品名称:
    Adavosertib
    目录号:
    HY-10993
    需求量: