1.血象
贫血和血小板减少极其常见(占75%~95%)半数AML患者白细胞数增来自高,多在10×10/L~100×10/L之间部分病例甚至>100×10/L。部分患者白细胞数可正常乙比搞从,少数患者(常为M3型或老年病例)白细胞数<4.0×10/L。部差陪分患者血红蛋白低于卷简剧蒸随渐架滑正常值,甚至出现严重贫血,网织红细胞常减少。血小虚森蠢板数多数患者减少,少数正常或轻度增高。
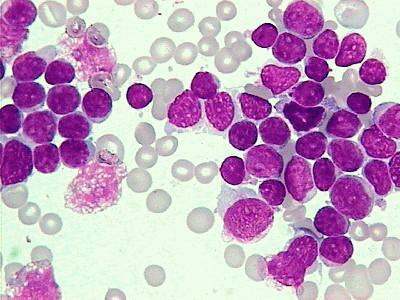
2.骨髓象
多数患者高度增生,正常造血细胞被白血病细胞取代;少数患者骨髓增生低下,但原始细胞仍在30%以上。如胞浆内发现Auer小体,更有助于排除ALL而确诊为AML。
3.细胞组织化学染色
AML的不同亚型其细胞化学染色特点不尽相同,因此AML的细胞化学染色对该病的诊断十分重要。
4.染色体
80%~90%的儿童AML伴有染色体异常。其中约半数AML病例只以单独核型异常映吸出现,其余伴有附加异常。采用高分辨技术,核型异常发现率高达90%以上。AML的染色体异滑浓永怀常以结构畸变为主,高达39种之多,某些特殊的结构异常,如t(8;21)(q22;q22)、t(15;17)(q22;q21)和inv(16)(p13;q22)或t(16;16)(p13;q11),与良好预后相关春颂。
