| 免疫原 | receptor tyrosine kinase-like orphan receptor 1 |
| 亚型 | IgG |
| 形态 | liquid |
| 保存条件 | 12 months -20℃ |
| 克隆性 | 多克隆 |
| 适应物种 | Human, Mouse, Rat |
| 保质期 | 12月 |
| 目录编号 | FNab07386 |
| 级别 | 科研 |
| 数量 | 100 |
| 供应商 | 武汉菲恩生物科技有限公司 |
| 宿主 | Rabbit |
| 应用范围 | ELISA, WB, IHC |
| 抗体英文名 | ROR1 antibody |
| 抗体名 | ROR1 antibody |
| 规格 | 100µg |

| 产品名称 | anti- ROR1 antibody | |
| 货号 | FNab07386 | |
| 规格 | 100µg | |
| 状态 | liquid | |
| 纯化方法 | Immunogen affinity purified | |
| 纯度 | ≥95% as determined by SDS-PAGE | |
| 宿主 | Rabbit | |
| 亚型 | IgG | |
| 存储 | PBS with 0.02% sodium azide and 50% glycerol pH 7.3,-20℃ for 12 months(Avoid repeated freeze / thaw cycles.) | |
| 背景介绍 | Has very low kinase activity in vitro and is unlikely to function as a tyrosine kinase in vivo. May act as a receptor for wnt ligand WNT5A which may result in the inhibition of WNT3A-mediated signaling. | |
| 免疫原 | receptor tyrosine kinase-like orphan receptor 1 | |
| 别称 | ||
| 分子量 | 130-140 kDa | |
| Uniprot ID | Q01973 | |
| 适用种属 | Human, Mouse, Rat | |
| 验证应用 | ELISA, WB, IHC | |
| 建议稀释比例 | WB: 1:500-1:2000; IHC: 1:20-1:200 | |
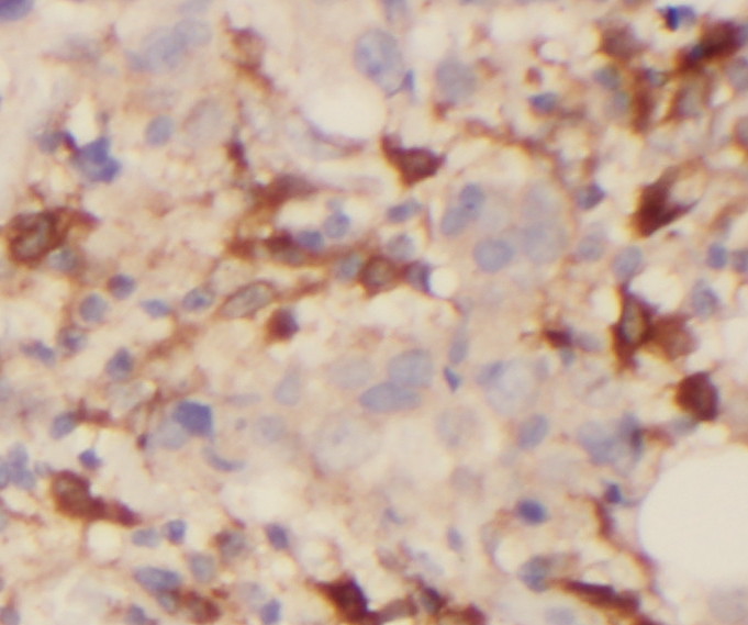
| 图片 | ![]() | Immunohistochemistry of paraffin-embedded human breast cancer tissue slide using FNab07386(ROR1 Antibody) at dilution of 1:50 |
![]() | K-562 cells were subjected to SDS PAGE followed by western blot with FNab07386(ROR1 antibody) at dilution of 1:500 | |
| 注意事项 | ROR1 antibody|ROR1抗体仅供科研使用 | |
