PKG antibody

询价
genetex
2021-07-15 15:10

GeneTex

我要认领
GeneTex
GeneTex
13817352439 +886-963616735
info@genetex.com
产品属性
应用范围WB,ICC/IF,IP,IHC
宿主Rabbit
适应物种Human,Mouse,Rat,Bovine
产品说明

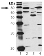
Western blot analysis of GTX12257
Lane 1: MW marker
Lane 2: HeLa cell lysate
Lane 3: Rat brain tissue extract
Lane 4: MDBK cell lysate.