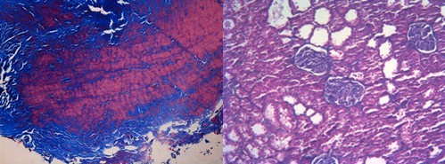
Masson染色

¥10
2021-07-20 18:52

上海钰森生物技术有限公司

我要认领
上海钰森生物技术有限公司
庄小云
13381983119 021-54113598
zhuangxy@fudanbio.com
823788835
产品属性
服务名称Masson染色
提供商上海钰森生物技术有限公司
规格
产品说明
Masson染色法是利用两种或三种阴离子染料混合或先或后作用完整鉴别染色的。胶原纤维呈蓝色,肌纤维呈红色。 实验步骤:
1. 组织固定,切片,脱蜡至水
2. Masson复合染色液5分钟
3. 0.2%醋酸水溶液稍洗
4. 5%磷钨酸5~10分钟
5. 0.2%醋酸水溶液浸洗2次
6. 亮绿染色液5分钟,0.2%醋酸水溶液洗2次
7. 无水乙醇脱水,二甲苯透明,中性树胶封片结果为胶原纤维呈绿色,肌纤维呈红色,红细胞呈橘红色
我们提供:
1. 提供完成实验的玻片
2. 每张切片提供一张照片
3. 提供具体的实验方法、步骤、所用试剂、仪器、及相关分析数据等,实验结果将以电子或书面形式提交给您
结果示意图:


服务周期:
服务内容说明价格∕元实验周期
Masson染色提供白片10元∕张3个工作日





温馨提示:

1. 确保细胞或组织取材新鲜,固定及时
2. 取材大小和固定方法正确,包埋面要求写清楚
3. 提供实验必要的信息,例如组织来源